Extracellular Matrix
The structural Framework in which cells organize, move and interact
Provides sites for cell adhesion and a conduit for exchange of cell nutrients and wastes
Promerties of the ECM
Processes influenced by ECM
Componenets of the ECM
ECM:
Structural
Collagen Types
There are at least 28 different types of collagen
Collagen Disorders:
Marfan Syndrome
Dermatosporaxis
Ehler-Danlos Syndrome

ECM:
Absorptive
Proteoglycans and Edema
ECM:
Adhesive
Fibronectin and Wound Healing

Fibronectin
Injury to the ECM
Increased Destruction of ECM

Decreased Production of ECM

Excessive Production of ECM

Depostition of Substances in ECM
ECM depostition:
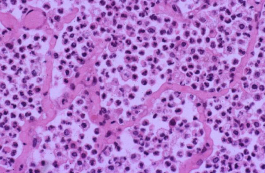
Amyloid

ECM Deposition:
Amyloid:
Syndromes
ECM deposition:
Amyloid:
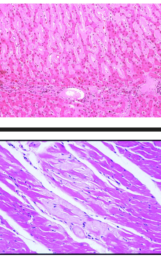
Primary amyloidosis

ECM Deposition:
Amyloid:
Secondary Amyloidosis

ECM Deposition:
Amyloid:
Amyloidosis of aging
ECM Deposition:
Amyloid:
Endocrine Amyloidosis
