EXTRA: Ortopedia Flashcards

(8 cards)

1
Q

EXTRA: Ortopedia

Embolia gordurosa
Quadro clasico em prova

A

Quadro de dispneia, petéquias e confusão mental, de evolução em até 72 horas após uma fratura ou politrauma

How well did you know this?
1
Not at all
2
3
4
5
Perfectly
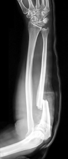
2
Q

EXTRA: Ortopedia

Fratura-luxação de Monteggia

A

Fratura diafisária proximal da ulna, associada à luxação da cabeça do rádio.

How well did you know this?
1
Not at all
2
3
4
5
Perfectly
3
Q

EXTRA: Ortopedia

Fratura-luxação de Galeazzi

A

Fratura diafisária médio-distal do rádio, associada a lesão da articulação radioulnar distal.

How well did you know this?
1
Not at all
2
3
4
5
Perfectly
4
Q

EXTRA: Ortopedia

Fratura de Colles

A

Fratura do rádio distal com desvio dorsal.

How well did you know this?
1
Not at all
2
3
4
5
Perfectly
5
Q

EXTRA: Ortopedia

Fratura de Smith

A

Fratura do rádio distal com desvio volar.

How well did you know this?
1
Not at all
2
3
4
5
Perfectly
6
Q

EXTRA: Ortopedia

Fratura de Barton

A

Fratura do rádio distal com traço intra-articular e desvio dorsal.

How well did you know this?
1
Not at all
2
3
4
5
Perfectly
7
Q

EXTRA: Ortopedia

Fratura de Chauffeur

A

Fratura do processo estiloide do rádio. (Nao tem deslocamento)

How well did you know this?
1
Not at all
2
3
4
5
Perfectly
8
Q

EXTRA: Ortopedia

Hernias de disco
Nivel de lesao - Local - Reflexo - Movimento

A
How well did you know this?
1
Not at all
2
3
4
5
Perfectly