Eye Exam Flashcards

(47 cards)

1
Q
  • Inspection of the eye
A
  • Position and alignment of the eyes
  • Eyebrows for hair and scaliness
  • Conjunctiva
  • Sclera
  • Cornea
  • Iris
  • Pupil
  • Ask patient to look upward as lower lids are pulled inferior and vice versa
How well did you know this?
1
Not at all
2
3
4
5
Perfectly
2
Q
  • Techniques for opthalmoscopy
A
  • Lights off
  • Right eye with opthalmoscope in right hand to examine patient’s right eye and vice versa
  • Patient should focus on distant point in front of them
  • Start 10-15 inches laterally from eye and move in 1-3 inches from the eye
  • Patient should briefly look at light
How well did you know this?
1
Not at all
2
3
4
5
Perfectly
3
Q
  • Abbreviated eye exam findings
A
  • PERRLA EOMI

Pupils equal, round and reactive to light, and accomodation. extraocular muscles intact

How well did you know this?
1
Not at all
2
3
4
5
Perfectly
4
Q
  • Complete eye exam findings
A
  • Eyes:
    • Orbits
    • Eyelids
    • Conjunctivae
    • Sclera normal
  • PERRLA, EOMI
  • Vision grossly intact and fundoscopic exam is unremarkable
How well did you know this?
1
Not at all
2
3
4
5
Perfectly
5
Q
  • How to use Snellen Eye Chart
A
  • Hold 14 inches from patient at eye level
  • Ask them to read smallest line that they can
  • Have them close one eye and test
How well did you know this?
1
Not at all
2
3
4
5
Perfectly
6
Q
  • Things to look for during pupillary exam
A
  • Should remain same side regardless to light exposure
  • Monitor both eyes for response to light (direct and consensual)
  • Convergence: pupil constriction when objects become close to eyes
  • Avg pupil size: 4 mm
How well did you know this?
1
Not at all
2
3
4
5
Perfectly
7
Q

Anisocoria

A

Unequal size of pupils

How well did you know this?
1
Not at all
2
3
4
5
Perfectly
8
Q
  • How do you test for red reflex?
A
  • Have patient look directly at light at arm length away
    • Should be equal red color reflection d/l
How well did you know this?
1
Not at all
2
3
4
5
Perfectly
9
Q
  • In what patients can there be a lighter red reflex that appears yellow, orange or pink?
A
  • Patients with a lighter colored eyes
  • African American
How well did you know this?
1
Not at all
2
3
4
5
Perfectly
10
Q
  • Leukocoria
A
  • “White reflex”
  • Indicates serious pathology, usually congenital cataract
  • May be
    • Retinoblastoma
    • Retinal detachment
How well did you know this?
1
Not at all
2
3
4
5
Perfectly
11
Q
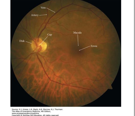
  • Fundoscopic exam
    • Structures of posterior chamber to identify
A
  • Optic disc: nasal and inferior
  • Arterioles: 2 laterally, 2 nasally
  • Macula: Temporal
How well did you know this?
1
Not at all
2
3
4
5
Perfectly
12
Q
  • Retinoblastoma
A
  • Neuroectoderm malignancy from embryonic retinal cells
  • Most common presenting sign is leukocoria
  • 90% diagnosed before age 5
How well did you know this?
1
Not at all
2
3
4
5
Perfectly
13
Q
  • How do you test the cardinal signs of gaze?
  • Which muscles are responsible for each?
A
  • H Test
  • SO4-LR6-AR3
How well did you know this?
1
Not at all
2
3
4
5
Perfectly
14
Q
  • Strabismus
    • What is it?
    • What can it lead to?
    • What symptoms are included?
A
  • Misalignment of eyes
  • Can lead to ambylopia (lazy eye)
  • Includes
    • Extropia (lateral)
    • Esotropia (medial)
    • Hypotropia (caudal)
    • Hypertropia (cephalad)
How well did you know this?
1
Not at all
2
3
4
5
Perfectly
15
Q
  • Cover uncover test
A
  • Used to identify weakness of EOM
  • Eyes should remain synchronous regardless of being covered
  • Watch for drift as eye is uncovered
How well did you know this?
1
Not at all
2
3
4
5
Perfectly
16
Q
  • Nystagmus
    • When is it seen in children
    • When is it seen in adults
A
  • Children
    • Functional or anatomic sensory defect
  • Adults
    • Dysfunctional labyrinth
    • Vestibular system while turning head
    • Intoxication
    • Neurological dysfunction
How well did you know this?
1
Not at all
2
3
4
5
Perfectly
17
Q
  • Caloric reflex
A
  • Eyes deviated towards ear when being tested with cold water
  • Eyes deviated to opposite ear when being tested with warm water
How well did you know this?
1
Not at all
2
3
4
5
Perfectly
18
Q
  • How to test visual field confrontation
A
  • Static finger wiggle test
  • Kinetic red target test
  • *sensitivity and specificity is best when both are performed together*
How well did you know this?
1
Not at all
2
3
4
5
Perfectly
19
Q
  • Fluorescein Stain
A
  • Used to identify epithelial defect (EX: Corneal abrasion)
  • Perform after complete screening exam
20
Q
  • Hordeolum (Stye)
A
  • Painful inflammation of eyelid margins or meibomian glands
  • Commonly caused by S.aureus
  • Internal-caused by gland actually plugged
  • External-caused by eyelash follicle or lid margin tear gland
  • More common on lower eyelid
  • Along eyelash line
21
Q
  • Chalazion
A
  • Painless
  • Caused when Meibomian tear gland becomes obstructed
  • Granulomatous process
  • If persists, may need I+D
  • Often associated with blepharitis and roasacea
  • More common on upper eyelid
  • In the eyelid
22
Q
  • Xanthelasma
A
  • Benign soft yellow plaques filled with cholesterol
  • Most often on medial aspects of eyelids
  • Dyslipidemia in 50% of patients but also classic for primary biliary cholangitis associated with hypercholesterolemia
23
Q
  • Bacterial conjunctivitis
A
  • Spread by direct contact
  • Commonly unilateral
  • Can become matted shut during sleep
  • Purulent discharge throughout day
  • Adults-S aureus
  • Children-S pneumonia, H influenzae, m. catarrhallis (most common)
24
Q
  • Viral conjunctivitis
A
  • Spreads by direct contact
  • Gritty or sandy feeling of eyes
  • Initially unilateral but becomes b/l
  • Clear discharge and may have follicular appearance on tarsal conjunctiva
  • Adenovirus=most common cause
25
* Pterygium
* Benign growth d/t chronic UV exposure * In fibroblastic tissue of eye * Usually on medial side * More likely if patient has dry eyes
26
* Hyphema
* Blood in anterior chamber of eye * Commonly from trauma * Other causes * Vascular abnormalities * Clotting problems * Mass effects from neoplasms
27
* Orbital compartment syndrome
* Opthalamic emergency * Blood collection within bony confines of orbit leads to increased intraocular pressure * Presentation * Progressive pain * Diplopia * Diffuse subconjunctival hemorrhage and chemosis
28
* Associated symptoms with eye complaints
* Pain * Drainage * Itching/burning * Vision change * Blurry vision * Flashing lights
29
* Relevant ROS for Eye complaints
* General * Fever * Weight change * Neuro * Headache * Motor weakness * Dizziness * Poor balance * Cardiovasc * Dysrhythmias * Chest pain * Endocrine * Excessive thirst * Frequent urination * Symptoms with hypoglycemia * MSK * Joint pain * Back pain * Skin * Frequent infections * Dry skin * GI * Changes in bowel functions
30
* Relevant PMH
* Glaucoma * DM * Thyroid disease * ASCD (atherosclerotic coronary disease) * Collagen Vascular disease * HIV * IBD
31
* Relevant medications
* Steroids * Plaquenil * Antihistamines * Antidepressants * Antipsychotics * Antiarryhtmics * Beta Blockers
32
* Causes of periorbital edema
* Change in elasticity * Lipoatrophy or lipohypertrophy **from topical meds** * Bruising * Trauma * Allergic shiners (**Basically bruising/bloated looking eyes)** * Xanthelasma * Check cholesterol levels * Proptosis/Exopthalmos * Hyperthyroid * Dacrocystitis-**infection in tear duct common in infants** * Rash * To hairline **(herpes zoster-shingles)** * Pustules-acne, insect bites, other
33
* What can cause the following
* Staph and strep infections
34
* What conditions can affect the lacrimal apparatus
* Skin lesions * Cancer * Auto immune diseases
35
* When looking at conjunctiva, what is normal and what is abnormal
* Normal-clear * Abnormal * Erythema-subconjunctival hemorrhage * Purulence (Pink eye), conjunctivitis * Ptergium
36
* What nerve is responsible for the sensory portion of the corneal reflex * What nerve is responsible for the motor portion of the corneal reflex
* Sensory-Trigeminal * Motor-Facial
37
* Arcus senilis
* Lipid deposition encircling iris * Common in people over 60 * If \< 40 years, check cholesterol
38
* What is icterus and what causes it
* Yellow sclera * Causes * Neonatal liver disease * Pancreatic cancer * GB disease
39
* Blue sclera increased risk of \_ * Don't confuse with _ which is a birthmark blue sclera and periorbital tissues
* Bone disease * Nevus of Ota
40
* What's worse, horizontal or vertical nystagmus?
* Vertical
41
* One thing to do before dilating pupils (mydriasis)
* Make sure patient does not have shallow anterior chamber (acute angle glaucoma)
42
* Arterioles and venules of the eye
* Arterioles are smaller and brighter
43
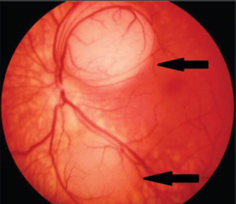
* Papilledema
* Indicative of increased intracranial pressure
44
* Cotton wool spots are commonly seen in
* patients w/ HTN or DM
45
* Glaucomatous cupping
46
* Retinal proliferation is commonly seen (along with cotton wool spots) in patients with _ and \_
* HTN and DM
47
* _ are precursors to macular degeneration
* Drusen bodies