What percentage of children will be diagnosed with eczema at somepoint in childhood?
24%
Is the prevalence of eczema increasing or decreasing?
Increasing, currently at 4%
What is eczema also known as?
Dermatitis
What is eczema?
Eczema is a condition where patches of skin become inflamed, itchy, red, cracked, and rough. Blisters may sometimes occur.
Is an inflammatory skin condition
What parts of the body does eczema often impact?
Flexural areas
What does eczema lead to generally?
It is irritated skin that leads to barrier dysfunction and inflammation
What is atopic eczema?
An itchy skin condition in the last 12 months, plus 3 of the following:
What is the pathogenesis of atopic eczema?
Genetics:
Epidermal barrier dysfunction
Environmental factors
Immune system dysregulation
What gene is involved in the development of atopic eczema?
Filaggrin gene
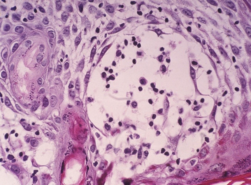
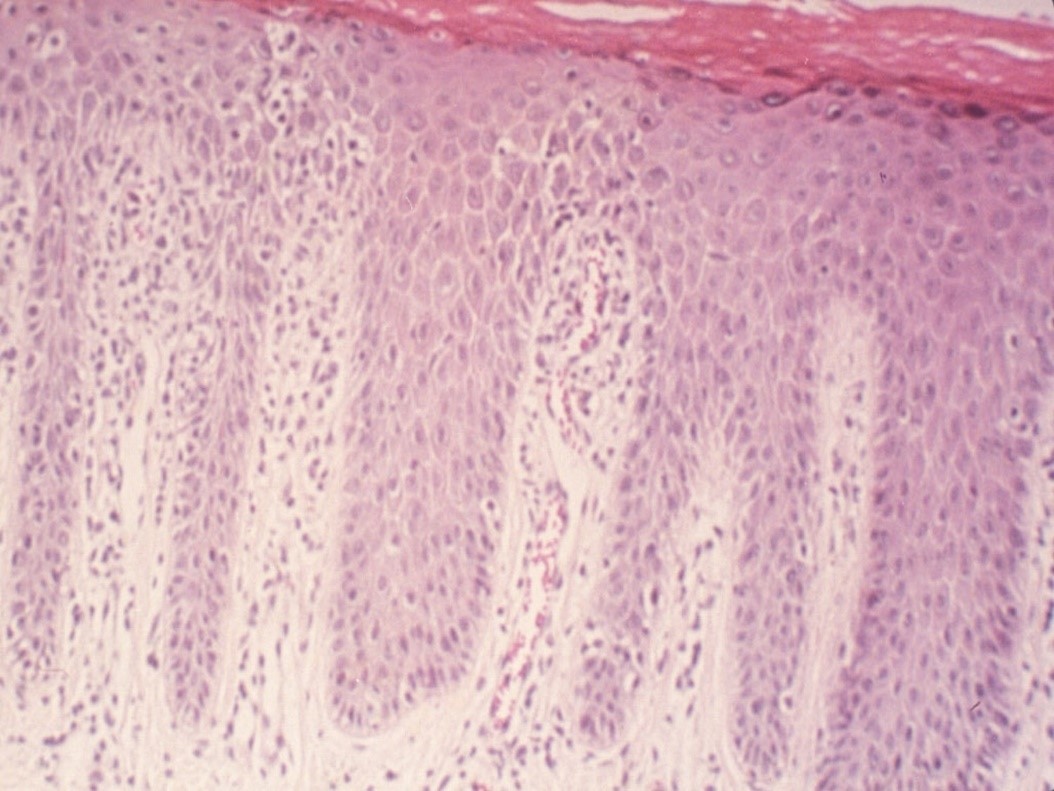
What is the pathology of atopic eczema?
Spongiosis (intercellular oedema) within the epidermis
Acanthosis (thickening of the epidermis)
Inflammation, superficial perivascular lymphohistiocystic infiltrate
The epidermis is the outermost layer of skin, the dermis contains blood vessels, lymph vessels, hair follicles and sweat glands
What is spongiosis?
Intercellular oedema
What is acanthosis?
Thickening of the epidermis
What is the pathology of acute dermatitis?

What is the pathology of chronic (spongiotic) dermatitis?

What are the clinical features of atopic eczema?
What is the distribution of atopic eczema?
Other than atopic eczema, what are some other types of eczema?
Exogenous (external):
Endogenous (internal):
What is allergic contact dermatitis?
Type 4 hypersensitivity:
What is hapten?
A small molecule which, when combined with a larger carrier such as a protein, can elicit the production of antibodies which bind specifically to it (in the free or combined state)
What kind of hypersensitivity reaction is allergic contact dermatitis?
Type 4
What is irritant contact dermatitis?
Form of contact dermatitis, in which the skin is injured by friction, environmental factors such as cold, over-exposure to water, or chemicals such as acids, alkalis, detergents and solvents
What can the skin be injured by to cause irritant contact dermatitis?
Skin injured by:
What is a major risk factor for irritant contact dermatitis?
Occupation puts people at risk:
What investigation should be done with irritant contact dermatitis?
Patch testing: