What is a stroke?
Stroke is where a portion of the brain is deprived of oxygen due to ischaemia or haemorrhage resulting in rapid onset of focal signs and loss of function lasting longer than 24 hours
How does a TIA differ from a stroke?
A transient ischaemic attack is a temporary disruption in blood supply to the brain resulting in focal neurological defectit lasting less than 24 hours
There are three types of stroke Haemorrhagic, Infarct and subarachnoid haemorrhage Which stroke is most common and by what percentage?
Ischaemic strokes are most common accounting for roughly 85% of all strokes Haemorrhagic strokes account for 10% of all strokes - by haemorrhagic stroke - referring to a intracerebral haemorrhage and Subarachnoid haemorrhages account for 5% of all strokes
What are the signs of a stroke? (FAST)
Face - they may have face drooped on one side or be unable to smile or open an eye Arms - person with suspected stroke may be unable to lift both arms due to weakness in one of the arms Speech - their speech may be slurred or gargled or unable to speak at all despite appearing awake T - time to call 999 F = face droping A = arm weakness S = speech difficulty T = time to call 999
Which imaging modality is usually used as urgent action for a stroke?
Urgent CT scan
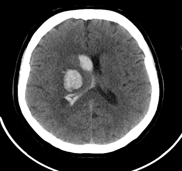
What colour does blood show up as on a CT scan of head and neck?
CT is very sensitive for blood – blood shows up as a white on CT – can see this man has a haemorrhage

Which factors contribute when deciding whether or not thrombolyse the patient if ischaemic stroke ?
Age Onset since symptoms Previous intracerbral haemorrhage or infarct Blood pressure Diabetes
How long after time since onset of stroke are you able to thrombolyse? what is the drug given known as?
Able to thrombolyse if onest of symptoms less than 4.5 hours Give IV tPA (recombinant tissue plasminogen - alteplase) - plasminogen breaks down the clot
What is an alternative / additional therapy for patients who respond poorly to thrombolysis?
This would be endovascular therapy - is a type of surgery to remove a blood clot from inside an artery or vein where a stent is passed into the artery and the clot is attempted to be removed manually
If the patient has recieved thrombolysis, when should anti-platelet therapy be started?
Do not start antiplatelet before 24 hours after administering r-tPA and only if the post lysis CT comes back showing absence of intracranial haemorrhage
After thrombolysis, how long is waited usually before repeating a CT scan to identify for bleeds?
Usually carry out a CT scan 24hours post lysis to identify if there have been any bleeds before starting the antiplatelet therapy
What assessment is always carried out after a stroke for the patient?
Carry out a swallow assessment on the patient
If the patient presents 4.5 hours after time of onset or thrombolysis is contraindicated in an ischamic stroke, what is given?
Give aspirin and supportive care ie fluids
The facial drooping, arm weakness, speech slurring occur in both ischaemic and haemorrhagic stroke What signs/symptoms/previous conditions point towards one or the other?
Haemorrhagic - severe headache and coma within hours Ischameic - history of IHD, AF, carotid bruit, TIA
What type of treatment is recommended for DVT prophylaxis in a patient who has had a strke? high risk of DVT formation due to immobility
Intermittent pneumatic compression reduces risk of DVT compared to control - therapeutic technique used in medical devices that include an air pump and inflatable auxiliary sleeves, gloves or boots in a system designed to improve venous circulation in the limbs of patients who suffer edema or the risk of deep vein thrombosis
If a patients swallow screen assessment is abnormal, they need to be seen by a speech and language therapist What may they need in order to be hydrated and fed then?
May need an NG tube or textured diets
Patients with acute stroke should be screened for risk of malnutrition on admission and how aften thereafter?
They should be screened weekly for malnutrition using MUST (Malntrition universal screeing tool) thereafter
MUST score takes into account patients BMI, weight loss in last 3-6 months, whether they have eaten in the last 5 days How are each of the three sections scored?
What MUST score warrants nutritional support?
A MUST score of 2 or more So one of: -

Secondary prevention of a stroke includes medication and lifestyle factors What should be carrid out ASAP for lifestyle facotrs?
Rehabilitation of the patient and exercise to reduce risk of DVT and promote recovery
What is the most common cause of hemorrhagic stroke and what is the other type of cause?
Most common cause of haemorrhagic stroke is uncontrolled hypertension Hemorrhagic stroke can also be caused by structural abnormality in the vessels
In general if a stroke occurs, should antihypertensives be administered?
No they should not be administered as a drop in blood pressure could further underperfuse the brain
What are the three main types of ischaemic stroke?
Atheroembolic Cardioembolic and small vessel - the vessel is just too small a size
How does a stroke occur in cardioembolic stroek? Is cardioembolic stroke fibrin or platelt dependent and what colour is the thrombus?
Usually patient will have a history of atrial fibrillation and there will be a blood clot that has travelled in the internal carotid artery and into branches and blocked them It is fibrin dependent and described as a red thrombus Fibrin due to blood stasis
