FELINES Flashcards

Cats are evil (94 cards)

1
Q

When performing a subtotal colectomy on a feline patient, what blood vessel limits the amount of colon that you are able to remove?

a. Pudendal artery
b. Caudal mesenteric artery
c. Ileocolic artery
d. Left colic artery

A

c. Ileocolic artery

The site for colonic resection is limited by tension on the ileocolic artery when trying to suture your new end of colon to the rectum. Sometimes the tension is too great and instead of a colocolic anastomosis, an ileocolic anastomosis must be performed. Essentially you are trying to connect a section of ascending colon to the rectum. Now that can be pretty far! Performing an ileocolic anastomosis is not ideal because you eliminate the ileocecal valve, and that may predispose the animal to bacterial overgrowth. The caudal mesenteric artery gives branches to the rectum and descending colon. The left colic artery also feeds the descending colon. The pudendal artery supplies the external genitalia. The ileocolic artery provides blood supply to the ascending and transverse colon.

How well did you know this?
1
Not at all
2
3
4
5
Perfectly
2
Q

An 11-yr-old male neutered domestic long-haired cat presented with hair loss on his ventral abdomen. Hairs are completely absent from the site and the skin exhibits a shiny luster. Which of the following organs is most likely affected?

a. Pancreas
b. Kidney
c. Heart
d. Small intestine

A

a. Pancreas

Alopecia of the ventral abdomen is a paraneoplastic syndrome and is considered a cutaneous marker of pancreatic carcinoma. In rare cases Diabetes and Cushing’s can also present similarly.

How well did you know this?
1
Not at all
2
3
4
5
Perfectly
3
Q

A middle aged MN stray cat is left on the doorstep of your clinic. The cat has a large dry crusted area of alopecia over his nose. A skin scraping of the area is negative. The lesion fluoresces under Wood’s lamp examination (see image). Which of the following would be the best treatment?

a. Povidone-iodine scrub
b. Full body lyme sulfur dip, itraconazole
c. Doxycycline
d. Athlete’s foot cream (clotrimazole)
e. Lufenuron

A

b. Full body lyme sulfur dip, itraconazole

This cat has a ringworm infection caused by Microsporum canis. This fungi fluoresces blue under a Wood’s lamp in 50% of cases.

The best treatment for ringworm infection would include a combination topical and oral therapy. Lyme sulfur dip or an antifungal shampoo containing miconazole would be acceptable. Oral antifungals such as itraconazole or fluconazole are most effective with the least side effects.

Povidone-iodine scrub has not been shown to be effective against ringworm.

Lufenuron is classified as an insect development inhibitor because of its ability to inhibit chitin synthesis, thus in the past has been said to have some effect against fungal infections. This has been debated and not widely supported as a treatment for ringworm.

Doxycycline is an antibiotic and would not be effective in treatment of fungal disease.

Athlete’s foot cream (clotrimazole) may have some effect at treating the lesion. Most over-the-counter creams such as this also include a steroid like betamethasone which would not be desired. Although this lesion appears to be localized to the nasal area, ringworm may also be subclinical and this cat may have infection elsewhere in the skin that is not grossly visible. Therefore, the best therapy is a combination of topical and oral.

How well did you know this?
1
Not at all
2
3
4
5
Perfectly
4
Q

A 4-month old kitten arrives at your clinic with a 3-day history of anorexia, lethargy, vomiting, and diarrhea. On physical exam the cat is 5% dehydrated and has a temperature of 103.9F (39.9 C). What is your primary differential?

a. Feline infectious peritonitis
b. Feline panleukopenia virus
c. Foreign body
d. Feline immunodeficiency virus

A

b. Feline panleukopenia virus

These clinical signs most closely correlate with panleukopenia. One must piece together the signalment, history, and clinical findings. Usually a cat with a foreign body will not have diarrhea and a fever. It is unlikely for a 4-month old kitten to have FIV due to maternal antibody protection. It is also unlikely for FIP to present in such a manner. With the wet form of FIP, you may see dyspnea due to pleural effusion and abdominal distention due to ascites. With the dry form of FIP it will depend on the organ that is affected. You may see a hepatopathy, splenomegaly, renal failure, etc.

How well did you know this?
1
Not at all
2
3
4
5
Perfectly
5
Q

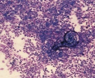
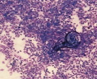
A 3-year-old male intact cat presents with a progressive history of coughing for the past 3 months. The cat lives indoors and outdoors and is not on any medications. Blood work shows a moderately elevated neutrophil count with a mild lymphopenia. Chest radiographs demonstrate a moderate bronchointerstitial pattern. The owners consented to a laryngeal exam, bronchoscopy, and a transtracheal wash. The image below is from the transtracheal wash. What is this organism and what is the treatment for it?

a. Aelurostrongylus abstrusus and ivermectin
b. Strongylus endentatus and fenben dazole
c. Toxocara gati and fenbendazole
d. Spirocerca lupi and ivermectin

A

a. Aelurostrongylus abstrusus and ivermectin

The feline lungworm in cats is Aelurostrongylus abstrusus. Treatment with ivermectin and fenbendazole have been reported to be successful.

Toxocara gati is a roundworm (ascarid) in which cats become infected by ingesting larvated eggs. The life cycle is complicated and involves migration through the liver and lungs. Eventually the larvae come up the mucociliary apparatus and are then swallowed where they develop in the small intestine. Eggs can readily be found in the feces, while adults can be visualized within the small intestine. Clinical signs in the kittens include poor body condition and a pot-bellied appearance. Vomiting may also be present. Diagnosis is best made via a fecal flotation and a transtracheal wash is unlikely to be as rewarding. Treatment options include selemectin, fenbendazole, pyrantel pamoate, milbemycine oxime, and moxidectin. It has been recommended that all kittens be dewormed beginning at 2 weeks of age until they are approximately 8 weeks old, at which point they should be transitioned to a heartworm preventative that is also effective against ascarids.

Strongylus edentatus is one of the large strongyles of horses found in the large intestines. Treatment includes ivermectin, moxidectin, pyrantel, and fenbendazole.

Spirocerca lupi is an esophageal worm found in dogs. They are found in the esophageal, aortic, and gastric walls of dogs that have eaten infected dung beetles, chickens, reptiles, or rodents. Chronic infection may cause neoplastic transformation of the surrounding tissues into sarcomas or rupture and life-threatening hemorrhage of the aorta. Treatment is with ivermectin or doramectin.

How well did you know this?
1
Not at all
2
3
4
5
Perfectly
6
Q

Which is not a clinical sign of Horner’s syndrome?

a. Ptosis
b. Enophthalmos
c. Conjunctivitis
d. Prolapsed third eyelid
e. Miosis

A

c. Conjunctivitis

Horner’s syndrome is caused by disruption of the sympathetic trunk. The prolapsed third eyelid occurs as a result of enophthalmos.

How well did you know this?
1
Not at all
2
3
4
5
Perfectly
7
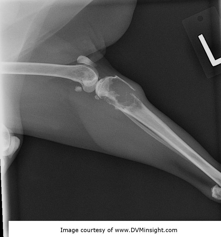
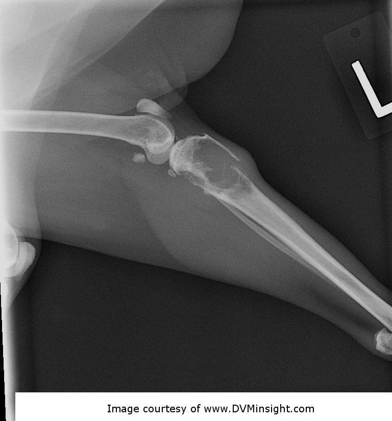
Q

A 12-year old female spayed Himalayan cat presents to you for acute onset of left hind limb lameness after leaping off of the counter to the floor this morning. The cat is non-weight bearing and very painful around the left stifle. You take a radiograph (shown below). Which of the following conclusions can you make about the cat’s injury?

a. The cat has a bone tumor that will likely metastasize within 6 months if she is not given chemotherapy
b. This fracture could be reduced and surgically plated or would heal after 8 weeks with strict confinement with external coaptation
c. Strict rest appears to be all that is needed because the bony structures appear normal
d. A pathologic fracture occurred when the cat jumped off of the counter

A

d. A pathologic fracture occurred when the cat jumped off of the

There is marked osteolysis of the proximal tibia with a pathologic fracture. This fracture will not heal with either rest or with rigid fixation due to the presence of underlying disease that resulted in the osteolysis. The most likely cause is a tumor of the bone. In cats, unlike dogs, many bone tumors do not have a high metastatic rate and do not necessarily require adjunct chemotherapy although histopathology would be needed to confirm the tumor type and grade.

How well did you know this?
1
Not at all
2
3
4
5
Perfectly
8
Q

A client of yours calls you, concerned that she just found rice-like worms on the hind end of her 8 year-old, indoor-only cat. You think back fondly about how your professors told you not to describe lesions as food. You suspect tapeworms and recommend that the owner bring the cat in for an exam. What else are you expecting to find on physical exam?

a. Ear mites
b. Cachexia
c. Icterus
d. Ascites
e. Fleas/flea dirt

A

e. Fleas/flea dirt

Adult fleas contain the cysticercoid life stage of the common tapeworm Dipylidium caninum. As cats groom themselves, they ingest the adult flea; the tapeworm then develops into its adult form in the intestines. It is a common myth that cats won’t get fleas or intestinal parasites if they are indoors-only. While these patients are at a decreased risk, they still can become infected/infested with the right exposure.

How well did you know this?
1
Not at all
2
3
4
5
Perfectly
9
Q

A 2-year old indoor-outdoor female spayed domestic short hair cat presents to you for inappetance and vomiting. The cat vomits and the contents include several 3 cm long nematodes with spine-covered heads. You are able to identify the worms as Gnathostoma. Which of the following is true about these worms?

a. The life cycle involves a rodent intermediate host
b. The parasite is typically found in dry, dusty environments
c. Proper disposrsal of feces eliminates the threat of transmission to other animals
d. The life cycle involves a flea intermediate host
e. The parasite does not cause disease in humans

A

c. Proper disposrsal of feces eliminates the threat of transmission to other animals

The life cycle of Gnathostoma involves a small copepod intermediate host (similar to Dracunculus worms). Copepods are small crustaceans that are found in freshwater habitats (i.e. ponds). Eggs passed in the feces are not infectious unless first ingested by copepods so proper disposal of feces prevents transmission to other animals.

Adult worms live in the mucosa of the stomach and cause gastritis. They can also create nodules in the stomach which can ulcerate and lead to severe peritonitis. Human cases of gnathostoma usually occur from ingestion of undercooked fish or other animals and can cause gastritis or peritonitis. Larva may undergo cutaneous or neural migration (rare).

Control is typically achieved by preventing cats from hunting in areas where the parasite is found. It is thought that albendazole is effective against gnathostomiasis.

How well did you know this?
1
Not at all
2
3
4
5
Perfectly
10
Q

A 7-year old spayed DSH cat presents to your clinic with a history of chronic respiratory and ocular disease. You notice nasal discharge, facial swelling, and distortion of the nose (sort of like a “roman nose”). Additionally, there is moderate submandibular lymphadenopathy. Radiographs of the head reveal increased opacity and turbinate destruction. What is the diagnosis?

a. Blastomycosis
b. Coccidiodomycosis
c. Squamous cell carcinoma
d. Aspergillosis
e. Cryptococcosis

A

e. Cryptococcosis

The correct answer is cryptococcosis (Cryptococcus neoformans), a yeast-like fungus which has narrow based budding. In a cat, the respiratory, central nervous system, eyes, and skin are usually the areas that you will see affected. Most of the cases will have nasal involvement characterized by facial swelling, distortion, chronic snuffling and discharge, and granulomatous masses seen coming out of the nostril. Squamous cell carcinoma of the nasal planum will usually present in the form of ulcerative lesions and is seen in older cats. Coccidioidomycosis rarely causes lesions in cats and they will present as skin lesions if it does. Cats are rarely affected by Blastomyces or Aspergillus.

How well did you know this?
1
Not at all
2
3
4
5
Perfectly
11
Q

A man presents his middle aged female spayed indoor/outdoor cat for having difficulty breathing. Her gums are pink but she has moderate tachypnea and temperature is 104.1 F (40.1 C). The lung sounds are quiet. You perform a thoracocentesis and retrieve a pleural effusion that is white with a yellow tinge. It has a foul odor when you empty the syringe. What treatment do you advise?

a. Euthanasia due to the cat likely having FIP and the prognosis is grave
b. Drain the effusion via thoracocentesis and start furosemide for congestive heart failure
c. Drain the fluid via thoracocentesis, start a low fat diet and benzopyrone (Rutin)
d. Culture the fluid and start antibiotics, the fluid will resorb after the infection is treated
e. Place a chest tube to drain and lavage chest and administer IV antibiotics

A

e. Place a chest tube to drain and lavage chest and administer IV antibiotics

This cat has pyothorax which is an accumulation of pus within the pleural cavity. In cats, the most common cause is a bite wound that introduces bacteria into the chest cavity. It can also be seen with migrating foreign body, or extension of pneumonia into the pleural space. At minimum, hospitalization with chest tube, drainage and lavage of the pleural space, and antibiotics are needed. Sometimes surgical exploration is required.

While this cat could have FIP, the foul odor and presence of bacteria indicate a suppurative infection which is not typical for FIP.

Congestive heart failure can present as pleural effusion in cats, but fever and this type of effusion are not typical of heart failure.

Culturing the fluid is important. However, the fluid will not resorb and the fluid must be removed and the pleural space lavaged.

A low fat diet and Rutin are treatments for pleural effusion caused by chylothorax which is an accumulation of lymphatic fluid within the pleural space.

How well did you know this?
1
Not at all
2
3
4
5
Perfectly
12
Q

Which of the following agents is the cat in the photograph most likely affected with?

a. Mycoplasma
b. Calicivirus
c. Chlamydophila felis
d. Herpesvirus

A

b. Calicivirus

The correct answer is calicivirus. This upper respiratory tract pathogen is known for causing oral ulcers in cats along with nasal discharge, chemosis, and other upper respiratory signs. Herpes virus will cause ocular, dendritic ulcers, and less commonly cause oral ulcers. Mycoplasma and Chlamydophila are not associated with oral ulceration.

How well did you know this?
1
Not at all
2
3
4
5
Perfectly
13
Q

A 5-week old domestic short hair kitten is presented for ataxia and tremors. The owner notes that the kitten was found several weeks ago and has always had tremors and difficulty keeping its balance. On physical exam, the kitten is ataxic, hypermetric, has a wide based stance, and head tremors. The kitten is otherwise normal on physical exam. What is the neuroanatomic location of the kitten’s lesion?

a. Cerebral cortex
b. Cerebellum
c. Brainstem
d. Pons

A

b. Cerebellum

The correct answer is cerebellum. Cerebellar dysfunction results in inability to regulate and measure motor function. Clinical signs of cerebellar lesions include ataxia, dysmetria, vestibular signs, delayed postural reactions, and sometimes upper motor neuron signs in the limbs. In utero or perinatal infection of kittens with feline panleukopenia virus often results in cerebellar hypoplasia, leading to the clinical signs mentioned in the question.

How well did you know this?
1
Not at all
2
3
4
5
Perfectly
14
Q

An 8-year old female spayed Siamese cat shown in the picture below presents for a right-sided head tilt and a horizontal nystagmus with the fast phase to the left. On physical exam, the cat has the described head tilt and nystagmus. She is circling to the right and her mentation is normal. What is your next step?

a. Complete blood count and chemistry panel
b. Magnetic resonance imaging (MRI) of the head
c. Otic exam
d. Radiographs of the head
e. Computed tomography (CT) of the head

A

c. Otic exam

Any dog or cat that presents with vestibular signs such a head tilt, nystagmus, and circling should have an otic exam as part of its physical exam.

Vestibular disease can be central or peripheral in origin. Although, advanced imaging such as a MRI or CT scan of the head is often recommended for vestibular disease to better characterize the brain and inner ear, an otic exam is the least invasive way to evaluate the patient and should be the next step, even prior to running blood work.

Also, it is important to check blood pressure in an animal presenting with vestibular disease. Hypertension and vascular accident can be an important cause to rule out. It is a good idea to get the blood pressure before you draw the blood to minimize stress during the blood pressure readings.

How well did you know this?
1
Not at all
2
3
4
5
Perfectly
15
Q

What is a major cross match in a cat?

a. Donor plasma vs. recipient red blood cells
b. Donor red blood cells vs. recipient plasma
c. Donor and recipient red blood cells vs. donor plasma
d. Donor red blood cells vs. recipient red blood cells

A

b. Donor red blood cells vs. recipient plasma

The correct answer is donor cells vs. recipient plasma. A major cross match is when you test donor cells vs. recipient plasma. A minor cross match is donor plasma vs. recipient cells.

How well did you know this?
1
Not at all
2
3
4
5
Perfectly
16
Q

A 13-year old female domestic short hair presents for a lump on her abdomen. Physical exam shows the 3cm lump is associated with the 4th mammary gland. What do you tell the owner?

a. The tumor is most likely a mammary gland tumor, which are mostly benign in cats
b. The tumor is most likely mammary hyperplasia which resolves after spaying
c. The tumor is most likely a cyst adenoma, which is benign
d. The tumor is most likely a mammary gland tumor, which are mostly malignant in cats
e. The tumor is most likely an injection site sarcoma

A

d. The tumor is most likely a mammary gland tumor, which are mostly malignant in cats

Eighty to 90% of mammary gland tumors in cats are considered malignant and the majority of them will metastasize. Injection site sarcomas typically occur on the dorsal or lateral trunk, or on the legs where injections are given. Injections are rarely administered into the mammary tissue. Mammary hyperplasia typically occurs in younger cats.

How well did you know this?
1
Not at all
2
3
4
5
Perfectly
17
Q

Changes in the diets of cats to prevent struvite urolithiasis have resulted in an increased prevalence of what disease?

a. Cysteine urolithiasis
b. Urinary tract infections
c. Urate urolithiasis
d. Calcium oxalate urolithiasis

A

d. Calcium oxalate urolithiasis

The correct answer is calcium oxalate urolithiasis. Struvites are soluble at low pH. Acidifying diets have resulted in an increased prevalence of calcium oxalate urolithiasis.

How well did you know this?
1
Not at all
2
3
4
5
Perfectly
18
Q

A 6-year old male neutered domestic short hair cat presents with the tongue lesion shown in the photo (see image). The lesion is unilateral and nodular with ulceration. What is the most accurate description of this lesion?

a. Eosinophilic ulcer
b. Miliary dermatitis
c. Eosinophilic plaque
d. Collagenolytic granuloma

A

d. Collagenolytic granuloma

The image and description are most consistent with a collagenolytic granuloma. Feline eosinophilic granuloma complex consists of 3 separate clinical sydromes:

1) The collagenolytic granuloma (also known as eosinophilic granuloma or linear granuloma) usually occurs on the nose, chin, oral cavity (as in this case), or caudal thighs. The lesions are typically raised and ulcerative or nodular as seen here.
2) The eosinophilic plaque occurs most frequently on the abdomen and medial thighs but can appear other places. They appear as single or multiple, raised, red, often ulcerated lesions of varying size (0.5-7 cm). They frequently have a cobblestone appearance and unlike eosinophilic ulcers, these are often pruritic. This condition is histopathologically similar to miliary dermatitis and is usually associated with underlying allergy.
3) The eosinophilic ulcer (also known as indolent ulcer) typically occurs on the upper lip and may be unilateral or bilateral. They often have a characteristic central area of yellow to pink tissue with a slightly raised circumferential edge

The underlying cause of eosinophilic ulcers and collagenolytic granulomas are unknown, although an underlying allergic cause such as arthropod bites and/or cutaneous hypersensitivity have been suggested.

Treatment of collagenolytic granulomas is also controversial so it is unlikely that you would be asked about treatment of this disorder on a board exam aside from knowing that you should attempt to identify and remove/treat underlying allergy or biting arthropod problems. Some cases respond to antibiotic therapy but most require glucocorticoid therapy.

How well did you know this?
1
Not at all
2
3
4
5
Perfectly
19
Q

An 8-year old female spayed domestic short hair cat presents for her yearly physical exam. Your oral exam reveals multifocal lesions of absent dental substance on multiple teeth consistent with feline odontoclastic resorption lesions (FORL). Which of the following statements about FORL is true?

a. The lesions can be internal and external, so dental radiographs should be taken to further investigate the extent of the lesions
b. The lesions are usually non-painful
c. FORL is now a rare clinical finding since commercial diets have become more strictly regulated
d. The lesions are usually incidental findings that are not clinically significant and do not need to be treated

A

a. The lesions can be internal and external, so dental radiographs should be taken to further investigate the extent of the lesions

How well did you know this?
1
Not at all
2
3
4
5
Perfectly
20
Q

Which life stage requires greatest energy requirement in the cat (kcal/kg/day)?

a. Early pregnancy
b. Late pregnancy
c. Lactation
d. Growth (kitten)

A

c. Lactation

The correct answer is lactation. The metabolic demands of lactation are far greater than those of growth or pregnancy.

How well did you know this?
1
Not at all
2
3
4
5
Perfectly
21
Q

Oral administration of which of these drugs has been implicated as a cause of esophageal strictures in cats?

a. Doxycycline
b. DIazepam
c. Azithromycin
d. Potassium bromide

A

a. Doxycycline

The correct answer is doxycycline. There is also evidence that clindamycin can cause stricture formation. For this reason, it is recommended that after pilling a cat with doxycycline, it is followed with a small volume (5-10 mls) of water.

How well did you know this?
1
Not at all
2
3
4
5
Perfectly
22
Q

Chaotic electrical activity and mechanical activity during cardiac arrest is most consistent with _______.

a. Electromechanical dissociation
b. Ventricular fibrillation
c. Ventricular asystole
d. Third degree block

A

b. Ventricular fibrillation

The correct answer is ventricular fibrillation. Ventricular fibrillation is the best choice. Ventricular asystole is characterized by no electrical or mechanical activity. Electromechanical dissociation consists of rhythmic electrical activity and no mechanical activity. Third degree block is not seen during a cardiac arrest.

How well did you know this?
1
Not at all
2
3
4
5
Perfectly
23
Q

A 3-month old kitten presents for mucoid diarrhea and anemia. You have recently seen several other puppies and kittens with similar clinical signs that were infected with Strongyloides stercoralis. What is the best way to confirm this diagnosis in this cat?

a. Baermann fecal technique
b. Direct fecal smear
c. Fecal flotation
d. Fecal sedimentation

A

a. Baermann fecal technique

The correct answer is Baermann fecal technique. Strongyloides stercoralis mainly causes a mucoid diarrhea and possibly anemia in puppies and kittens. It passed in the feces in the L1 larvae form. The best technique for recovering larvae is the Baermann technique. Fecal flotations are good for eggs that float. Fecal sedimentation is good for eggs that sink, such as most fluke eggs. A direct fecal smear can find any type of egg or larva passed in feces but does not concentrate the sample to improve the yield in finding the eggs or larvae.

How well did you know this?
1
Not at all
2
3
4
5
Perfectly
24
Q

A 2-year old MN DSH has recently been treated for a urethral obstruction. He went home last week from the hospital on an acidifying canned diet for this condition. The owner reports he is passing urine in moderate amounts, but he is still straining frequently. You re-examine the cat and find that the bladder is empty on palpation and the wall feels a little thickened. You are confident that the cat has not re-blocked and the cat’s bloodwork shows normal electrolytes and renal values. Which of the following medications may help the cat with this problem?

a. Phenylpropanolamine
b. Methocarbamol
c. Phenoxybenzamine
d. Prednisolone
e. Amitriptyline

A

c. Phenoxybenzamine

This cat is likely suffering from hypertonicity of urethral muscle, which was incited from the recent obstruction and urinary catheter. This can cause spasms, which makes urinating painful and not easily controlled. Phenoxybenzamine can be used in this case to reduce internal urethral sphincter tone such that the cat may urinate more easily.

Methocarbamol is a muscle relaxant but would not directly help spasms of the urethra.

Prednisolone is not used to help reduce inflammation or spasms in the urethra and may predispose the cat to contracting a urinary infection, especially while his bladder and urethra are compromised.

Phenylpropanolamine is used to treat urinary incontinence from urethral hypotonicity most often in dogs and would be contraindicated in this case.

Amitriptyline is an anti-depressant medication that has been implicated as part of a treatment plan for cats with cystitis, although benefit has never been proven. Because cats with cystitis can flare up during times of stress, the amitriyptyline has been thought to help prevent this. This medication would not work to stop spasms in the urethra.

How well did you know this?
1
Not at all
2
3
4
5
Perfectly
25
A 6-year old cat is brought to your clinic after falling off of the owner's balcony. The cat is stressed but alert with moderate bleeding noted around the mouth. Temperature - 102.4 F, 39.1 C Heart rate- 220 beats per minute, no murmurs or arrhythmias Respiratory rate- 40 breaths per minute, all lung fields clear Thoracic radiographs are unremarkable. You perform an oral exam and note the mandibular abnormality show in the photo. Which of the following treatment options is most appropriate once the cat is stable? a. Tape muzzle and conservative therapy b. Circummandibular cerclage wire placed caudal to canine teeth c. External fixator with 4 Kirschner wires d. Intramedullary pin placement in the mandibular canal Bone screw fixation across mandibular symphysis
b. Circummandibular cerclage wire placed caudal to canine teeth ## Footnote Separations of the mandibular symphysis are seen commonly with "high-rise syndrome" or when cats fall from heights because they frequently are able to rotate in mid-air, landing on all 4 feet to break the fall but often also landing with their lower jaw hitting the ground at the same time. This is sometimes referred to as a symphyseal fracture but it is not a true fracture as the mandibular symphysis never fully ossifies or fuses. Symphyseal separation occurs with this type of trauma and right and left rami become distracted as is evident in the photo. The standard treatment is circummandibular cerclage wire placed caudal to the lower canine teeth with the wire tightened once the hemi-mandibles are aligned. A hypodermic needle is often used to guide placement of the wire.
26
An 8-year old male neutered domestic short hair cat presents for anorexia and vomiting of 8 days duration. On physical exam, you notice what is illustrated in the picture below. The cat has a body condition score of 8 out of 9 and is mildly dehydrated and depressed. The remainder of the physical exam is normal. Blood work shows marked elevation in alkaline phosphatase (ALP) and bilirubin. Abdominal ultrasound shows an enlarged and uniformly hyperechoic liver. Aspiration of the liver shows hepatocytes with lipid filled vacuoles. What do you recommend to the owner? a. Treatment with amoxicillin clavulanate b. Treatment with insulin therapy c. Treatment with prednisolone d. Placement of a esophagostomy tube with tube feeding e. Surgical removal of the affected liver
d. Placement of a esophagostomy tube with tube feeding ## Footnote The cat has hepatic lipidosis. This condition is often seen with obese cats that have become anorexic for several days, causing mobilization of excessive fat stores into the liver. Treatment is aimed at supplying nutrition to the cat to stop the cycle of fat being mobilized into the liver. The most effective way of doing this is with tube feedings. Prednisolone, antibiotics, insulin therapy and surgery are not warranted specifically with hepatic lipidosis, but may be effective in treating some of the causes that result in the cat becoming anorexic in the first place. Common causes for anorexia leading to hepatic lipidosis include inflammatory bowel disease, cholangiohepatitis, neoplasia, and pancreatitis.
27
Which of the following can be treated with enalapril? a. Protein-losing nephropathy b. Protein losing enteropathy c. Acute renal failure d. Hypotension
a. Protein-losing nephropathy ## Footnote Enalapril is an angiotensin-converting enzyme (ACE) inhibitor used as a vasodilator, antihypertensive agent, and heart failure treatment. It works by preventing the conversion of angiotensin I to angiotensin II, thus reducing aldosterone concentrations and causing diuresis. Its dilatory effects on the efferent arterioles of glomeruli help to palliate protein losing nephropathies. It is often used in conjunction with diuretics.
28
An owner presents her 2-year old female cat to your clinic because the cat is in heat. She would like to schedule an ovariohysterectomy but would like to have it done when the cat is not in heat since you informed her that the procedure can be slightly more difficult when cats are in heat. The owner is about to leave for a vacation and wants to schedule the procedure when she returns. If the cat is not bred, how long will it take for her to return to estrus (assuming she is not bred and does not ovulate)? a. 2-3 months from the end of the current estrus b. 4-6 months from the end of the current estrus c. 1-3 weeks from the end of the current estrus d. 7-9 months from the end of the current estrus e. 2-3 days from the end of the current estrus
c. 1-3 weeks from the end of the current estrus ## Footnote Estrus in cats, defined as the behavioral receptivity to mating, typically lasts about 7 days (usually between 4-10 days) Interestrus, the period between one estrus and the next, has a variable duration of 7-21 days. Cats are induced ovulators. If a queen ovulates but does not become pregnant, a psuedopregnancy occurs and corpora lutea develop and secrete progesterone. This inhibits GnRH release from the hypothalamus and secretion of LH and FSH from the anterior pituitary, preventing return to estrus (typically for 45-50 days). Additional clinical signs of pseudopregnancy are rare in cats.
29
Which of the following is not a common concurrent disease in cats with diabetic ketoacidosis? a. Pancreatitis b. Hyperthyroidism c. Bacterial infections d. Hyperadrenocorticism e. Cardiac disease
d. Hyperadrenocorticism ## Footnote The correct answer is hyperadrenocorticism. Hyperadrenocorticism commonly occurs in DKA of dogs, but not in cats. Pancreatitis and bacterial infections commonly occur in DKA dogs and cats. Cardiac disease can be a common concurrent disease in a cat with DKA. Hyperthyroidism commonly occurs in DKA cats, but not dogs.
30
A 1-year-old female indoor cat from Florida was presented for an after-hours emergency examination. Approximately, 72 hours after spending the night locked out on the family's screened-in porch, the cat developed acute severe facial pruritus and was presented for the lesions shown in the image below. Similar lesions were seen on the ear tips and paws; only thinly haired areas with dark hair were affected. The cat was otherwise healthy. Skin scrapings were negative. Impression smears of the nose revealed inflammatory exudates comprised of approximately 75% eosinophils and lesser numbers of neutrophils, lymphocytes, and mast cells. Which of the following is the best diagnostic or treatment plan? a. Intradermal skin testing for allergens b. Bacterial culture of lesions c. Confine the cat indoors for 5-7 days d. Dietary trial with novel protein source e. Institute aggressive flea control
c. Confine the cat indoors for 5-7 days Explanation The history, onset, clinical appearance, as well as the cytologic and histologic findings are most consistent with insect bite hypersensitivity. There are other reasonable but less likely differentials including pemphigus foliaceus, food allergy or atopy, and dermatophytosis. The best way to rule in/out the most likely diagnosis is to confine the cat indoors and see if the lesions resolve as none of the other differentials would be expected to respond. It would be premature to institute skin testing for allergies or a dietary trial for food allergy. Aggressive flea control is not a bad idea, but the lesion distribution is less likely for flea allergy dermatitis. Cats are very sensitive to several pesticides. Bacterial culture would likely result in growth of normal superficial bacteria and not indicate the underlying pathology. It also may be necessary to initiate an anti-pruritic therapy to reduce further self-trauma by the cat.
31
Which of these chemotherapeutic drugs cause fatal pulmonary edema in cats? a. Carboplatin d. Doxorubicin c. Vincristine d. CIsplatin e. 5-Fluoruracil
d. CIsplatin ## Footnote The correct answer is cisplatin. The famed statement, "cis-plat splats cats" is quite appropriate. 5-fluorouracil is also contraindicated for use in cats, but it is neurotoxic. Carboplatin, vincristine and doxorubicin are all used in cats.
32
A 10-year-old female spayed DSH presents to you after the pet-sitter found her with the following wound (see image). She is strictly indoors and the pet-sitter notes that she has otherwise been normal. She is the only animal in the house. She was previously diagnosed with diabetes mellitus and has been receiving her insulin on a consistent schedule but she continues to be polyuric and polydipsic. Her haircoat is unkempt and her abdomen is slightly pendulous. A CBC was unremarkable. Chemistry panel showed hyperglycemia and her urine specific gravity was 1.040. An abdominal ultrasound was performed. Which ultrasonographic finding is consistent with the likely underlying disease process? a. Normal to enlarged adrenal glands b. Hypoechoic pancreas and hyperechoic mesentery c. Bilateral adrenal atrophy d. Hyperechoic liver and moderate hepatomegaly
a. Normal to enlarged adrenal glands The clinical signs, patient's medical history, and lack of overt trauma is highly suggestive of skin fragility syndrome. Typically, these patients appear to have a normal looking coat from a distance but when palpated or manipulated one must be very careful, particularly when scruffing the patient. Skin fragility syndrome in cats is commonly associated with poorly regulated diabetes mellitus due to hyperadrenocorticism. Cushing's disease can cause insulin resistance. Clinical signs are similar to those seen in dogs (pendulous abdomen, polyuria, polydipsia, polyphagia, lethargy, and muscle wasting). The hyperadrenocorticism can be iatrogenic, adrenal dependent or pituitary dependent. In cats, approximately 80% have a pituitary tumor while 20% have an adrenal tumor. ACTH stimulation test is not recommended in cats due to poor sensitivity. The low dose dexamethasone suppression test is recommended to confirm hyperadrenocorticism. Urine cortisol-creatinine ratio can be used as a screening tool. The UCCR has a high sensitivity so a negative test makes Cushing's highly unlikely. Abdominal ultrasound can be used to support your diagnosis. With pituitary dependent Cushing's (which constitutes 80% of cats), you would expect normal to hypertrophied/enlarged adrenal glands. The excessive ACTH secreted from the pituitary gland produces an excessive amount of cortisol and adrenal hypertrophy. Bilateral adrenal atrophy can be seen with hypoadrenocorticism. A hypoechoic pancreas and hyperechoic mesentery is highly suggestive of pancreatitis which is not associated with fragile skin in cats. A hyperechoic liver and moderate hepatomegaly can be suggestive of hepatic disease such as hepatic lipidosis or lymphoma which would not result in fragile skin either.
33
Dolly, a 3-year old female spayed Siamese mix, presents with a history of weight loss over the last month. She is now vomiting occasionally and has a decreased appetite over the last 2 weeks. She has not eaten in the last 2 days. She is current on vaccines. Temperature is 103.7 F (39.8 C). You can palpate an abdominal mass effect in the mid to caudal abdomen. You believe the cat has a foreign body and are concerned about a possible intestinal perforation. Abdominal tap is negative. Pre-anesthetic bloodwork shows neutrophils 25,000 /ul (2,500-12,500/ul), bands 3,000 /ul (0-300/ul), globulins 6.9 g/dL (2.6-5.1 g/dl). Your x-ray machine is not working today and you recommend an abdominal exploratory. Upon exploratory, the intestines are severely hyperemic and the mesenteric lymph nodes are greatly enlarged. You cannot find a foreign body and no perforations are seen. There is a small amount of yellow tinged sticky ascites. What do you do? a. Refer to an oncologist for work up of gastrointestinal lymphoma b. Perform a fecal flotation and start sulfafimethoxine for a severe coccidial infection c. Biopsy the lymph node and intestine and discuss a poor prognosis with the owner d. Euthanize the cat on the table since you are unable to reach the owner over the phone about the poor prognosis e. Start the cat on prednisolone and hypoallergenic diet for severe inflammatory bowel disease
c. Biopsy the lymph node and intestine and discuss a poor prognosis with the owner ## Footnote This cat most likely has Feline Infectious Peritonitis, or FIP, which is caused by a mutation of a feline corona virus. Fever, weight loss, and gastrointestinal symptoms are the most frequent presentation. However, this virus may attack multiple organs and can be difficult to diagnose; the only definitive way to diagnose this disease is via histopathology. Clinical symptoms, blood results, and corona virus titers can all be used in combination to help aid in the suspected diagnosis of FIP. Unfortunately, there is no cure for this disease and it is currently considered a fatal disease. Due to this cat's declining and critical health and strong evidence to support the diagnosis of FIP, euthanasia may be the most humane option. If the owner cannot be reached, however, it is the best option to go ahead and take biopsies while you are in surgery and then discuss the prognosis and differentials in detail when you can reach the owner. An animal should not be euthanized without owner consent. Inflammatory bowel disease should not cause ascites and fever. Parasites can lead to ascites, but typically would not cause the elevations of white blood cells and globulins with fever. While lymphoma may be a possibility, it is less likely in this young cat. The biopsies would help to differentiate.
34
Which insulin is most similar in composition to feline insulin? a. Human insulin b. Canine insulin c. Porcine insulin d. Bovine insulin
d. Bovine insulin ## Footnote Feline insulin is closest in its amino acid sequence to bovine insulin, differing by only one amino acid in the A-chain. Canine insulin however is identical to porcine insulin in its amino acid sequence. It is quite dissimilar from feline insulin, differing by four amino acids. Feline and human insulin sequences differ by four amino acids. Although feline insulin is closest in sequence to bovine insulin, some cats can be managed quite well on other forms of insulin. Insulin glargine (Lantus), an engineered human insulin, is the current recommended insulin for cats. ProZinc (a protamine zinc recombinant human insulin) is also an option and has been FDA approved for use in diabetic cats. PZI (bovine zinc insulin) is no longer manufactured.
35
A 3-year old cat presents with pyrexia and dyspnea. On exam, you detect decreased respiratory sounds ventrally. Pleural fluid is obtained and smears are made from the sediment. What is the etiology of this cat's pleural effusion? a. Cryptococcus b. Streptococcus c. Toxoplasma d. Feline infectious peritonitis (FIP)
c. Toxoplasma ## Footnote In addition to the neutrophils seen cytologically, you should have seen toxoplasma gondii tachyzoites multiplying within macrophages and neutrophils. Cryptococcus is a narrow, budding, thin-walled yeast surrounded by a clear capsule. Streptococcus appears as small, round bacterial cocci. FIP effusion is typically characterized by a nonseptic exudate.
36
Which of the following statements is correct regarding the treatment of pancreatitis in cats? a. They should not be fed until the pancreatitis begins to resolve b. They sholuld be fed through a jejunostomy tube c. THey should be fed a regular commercial diet if eating d. They should be fed a low-protein diet e. They should be fed a low-fat diet
c. THey should be fed a regular commercial diet if eating ## Footnote The correct answer is feed a regular commercial diet if eating. Cats do not require a low-fat nor a low-protein diet and usually do not require a period of being NPO. Withholding food for an extended period may be likely to induce hepatic lipidosis in some cats. Additionally, some studies suggest that stimulation of pancreatic enzymes via feeding is actually necessary in affected cats. A jejunostomy feeding tube may be occasionally recommended in severe cases of pancreatitis with dogs, but is less likely necessary in cats. If anorectic, usually an esophagostomy feeding tube is sufficient.
37
A 2-year old indoor, vaccinated, spayed female DSH presents with a 6-month history of lesions involving the feet. The owner reports that initially, only the posterior paws were involved but the lesions progressed to involve all four paws. The owner reports the cat did not improve after previous treatment with several antibiotics or a one week course of prednisone at 1 mg/kg. On examination, you note that all of the metacarpal and metatarsal pads are soft, swollen and discolored as shown in the image. You note that the cat is uncomfortable when walking and occasionally licking the pads; one of the pads is fissured. Bloodwork reveals a mild monocytosis and mild hyperglobulinemia. Which of the following tests will be most helpful in determining the diagnosis? a. Abdominal ultrasound b. Serum electrophoresis c. Biopsy of the pad lesions d. Radiographs of the involved regions e. Fungal culture of the lesion
c. Biopsy of the pad lesions This is a case of plasma cell pododermatitis which is a relatively uncommon idiopathic disorder of cats. While the history and description of the lesions is consistent with this uncommon disorder, other differentials could include pemphigus foliaceus, pemphigus vulgaris, or lupus erythematosus. A chemical or physical trauma could cause lesions such as these but do not fit well with the history. Neoplasia, infection, or sterile pyogranulomas are possible but would be unlikely to affect all paws simultaneously. Eosinophilic granuloma complex is also possible. Biopsy is likely the only way to differentiate between most of these possibilities. Because plasma cell pododermatitis is rare, it is unlikely that you would be asked about details of this disorder. With plasma cell pododermatitis, you would expect to see intense plasmacytic infiltration of the dermal tissue, potentially with other inflammatory cell types present due to secondary infection. The disease is not thought to have an infectious cause at this time. Treatment usually involves long courses (10 weeks) of Doxycycline. Approximately, 80% of cats will respond to Doxycycline. If a good response is not seen than systemic glucocorticoids can be tried. Surgical excision of the foot pad may be necessary in cases that fail to respond to medical management. Although this question involves a rare disease that you probably would not be expected to know very much about, the question itself involves critical thinking and clinical judgement that you should be able to reason through if you can construct an appropriate list of differential diagnoses. The ability to read through the details of a complicated case and identify the information needed to decide what to do next will be an important skill on your board exam.
38
A cat owner brings his 1-year old intact male cat to your clinic and is at his wit's end with his cat due to scratching and destruction of his furniture . He requests an onychectomy. He says he has "tried everything" including frequent nail trims, the use of nail caps, and installation of scratching posts. Which of the following is consistent with AVMA recommendations in such instances? a. Destruction of property is not a sufficient rationale to consider onychectomy in domestic cats b. Peri-operative analgesic use is imperative if onychectomy is performed c. Surgical tendonectomy should be considered as a more humane alternative d. Castration is likely to reduce scratching and should be considered first
b. Peri-operative analgesic use is imperative if onychectomy is performed The AVMA position statement on onychectomy states that declawing of domestic cats should be considered only after attempts have been made to prevent the cat from using its claws destructively or when its clawing presents a zoonotic risk for the owner. There are 7 specific points listed in the AVMA position statement as follows: 1. Scratching is a normal feline behavior, is a means for cats to mark their territory both visually and with scent, and is used for claw conditioning ("husk" removal) and stretching activity. 2. Owners must provide suitable implements for normal scratching behavior. Examples are scratching posts, cardboard boxes, lumber or logs, and carpet or fabric remnants affixed to stationary objects. Implements should be tall or long enough to allow full stretching, and be firmly anchored to provide necessary resistance to scratching. Cats should be positively reinforced in the use of these implements. 3. Appropriate claw care (consisting of trimming the claws every 1 to 2 weeks) should be provided to prevent injury or damage to household items. 4. Surgical declawing is not a medically necessary procedure for the cat in most cases. While rare in occurrence, there are inherent risks and complications with any surgical procedure including, but not limited to, anesthetic complications, hemorrhage, infection, and pain. If onychectomy is performed, appropriate use of safe and effective anesthetic agents and the use of safe peri-operative analgesics for an appropriate length of time are imperative. The surgical alternative of tendonectomy is not recommended. 5. Declawed cats should be housed indoors. 6. Scientific data do indicate that cats that have destructive clawing behavior are more likely to be euthanatized, or more readily relinquished, released, or abandoned, thereby contributing to the homeless cat population. Where scratching behavior is an issue as to whether or not a particular cat can remain as an acceptable household pet in a particular home, surgical onychectomy may be considered. 7. There is no scientific evidence that declawing leads to behavioral abnormalities when the behavior of declawed cats is compared with that of cats in control groups. Ref: AVMA position statement on the declawing of domestic cats - April 15, 2003 The only answer choice here that is in agreement with these points is that peri-operative analgesic use is imperative if onychectomy is performed. Scratching is considered a normal behavior and is not considered to be hormonally driven; therefore, castration is not likely to prevent further scratching.
39
A 3-year old, domestic long hair, indoor-outdoor cat was brought to the clinic, after sustaining unknown trauma while roaming the neighborhood. The owner was particularly concerned about the right hind limb that the cat refused to place any weight on. The cat is particularly fractious and it was necessary to gas him down in order to obtain a physical exam. Multiple abrasions are noted throughout the skin. When examining the right hind leg, the cat's heart rate is noted to rise on palpation of the tarsus. Subjectively there seems to be more laxity when manipulating the tarsal joint laterally. Which anatomical structure has likely been compromised? a. Long digiral extensor tendon b. Medial collateral ligament c. Lateral collateral ligament d. Superficial digital flexor tendon
b. Medial collateral ligament ## Footnote Disruption of the medial collateral ligament will lead to increased lateral give of the tarsal joint and a greater joint opening noted on the medial aspect. The reverse would be observed with a disruption of the lateral collateral ligament. The long digital extensor and the superficial digital flexor tendon do not play a role in stabilizing the tarsal joint.
40
Which of the following is not a common sequela of hypertrophic cardiomyopathy in cats? a. Left heart failure b. Thromboenbolism c. Systolic anterior motion of the mitral valve d. Right heart failure
d. Right heart failure ## Footnote The correct answer is right heart failure. HCM in cats usually only affects the left heart. Thromboemboli occur due to stasis of blood in the dilated left atrium. Left heart failure occurs as the left ventricle becomes stiffer, and blood backs up into the pulmonary vasculature. Systolic anterior motion of the mitral valve occurs when the anterior leaflet of the mitral valve blocks the left ventricular outflow tract during systole due to thickening of the ventricle wall and displacement of the valve leaflet.
41
Which of the following is not passed by passive contact and sharing of a litter box? a. Feline panleukopenia b. Feline herpes virus c. Feline immunodeficiency virus d. Feline leukemia virus e. Feline corona virus
c. Feline immunodeficiency virus The correct answer is feline immunodeficiency virus. The virus is shed in the saliva and is transmitted mainly through bites. The disease mostly affects older, outdoor male cats which have a higher likelihood of getting into fights and being bitten by other cats. Having the disease makes them immunosuppressed and more susceptible to infections. The remainder of the answer choices can be passed via passive contact.
42
A 1.5-year-old spayed female cat presents with a 7-day history of vocalizing, rolling, and allowing a male neutered cat in the household to mount her. The cat has gone through one similar episode 1 month ago. She otherwise has been behaving normally and has no other health problems. You performed an ovariohysterectomy on the cat at 3 months of age. You perform vaginal cytology which shows some cornified epithelial cells but is inconclusive. You measure serum lutenizing hormone of 0.2 ng/ml (normal for an ovariectomized female is \>1 ng/ml). Which of the following is the most appropriate course of action? a. Exploratory laparotomy to remove the ovarian remnant b. Order MRI of the brain to rule out a pituitary tumor c. Measure serum testosterone levels d. Measure serum estrogen and progesterone levels
a. Exploratory laparotomy to remove the ovarian remnant This is a classic description of ovarian remnant syndrome, which is when a cat goes into estrus after previously having an ovariohysterectomy (OVH). This can occur anywhere from weeks to years after OVH and typically the clinical signs consistent with estrus are sufficient to conclude that the cat is in estrus and has ovarian tissue present. Additional diagnostic tests that are consistent with ovarian remnant syndrome include: Serum estrogen \>70 pmol/L indicate that the cat has estrogen production from the ovary. The problem with this test is that estrogen measurements may fluctuate and can be unreliable. Serum progesterone \>6 nmol/L after induced ovulation is sufficient to conclude that corpora lutea formed and released progesterone. Testing for serum LH levels can also help confirm the diagnosis. In intact queens, LH is consistently maintained at basal levels due to negative feedback from ovarian estradiol secretion. After OVH, this control is lost and LH concentrations increase. LH \<1 ng/mL is consistent with the presence of an ovary as it is in this case. Surgery is the treatment of choice. Many practitioners prefer to do surgery during estrus or diestrus when the ovarian tissue is enlarged and easier to locate. Remnants may be bilateral so a complete exploratory laparatomy is necessary. Ovarian tissue is most commonly at the ovarian pedicle but can also be in the mesentery or elsewhere.
43
A 5-month old female kitten presents with a history of spitting up about 20 minutes after eating. The food comes up in a bolus and appears to be a passive process from what the owner describes. You believe the cat is regurgitating. The owner has been liquefying the diet and elevating her during and after feedings and it seems she does well with this. Based on this history, which of the following congenital malformations would you be most concerned about? a. Persistent right aortic arch b. Diaphragmatic hernia c. Mucopolysaccharidosis d. Peritoneopericardial diaphragmatic hernia e. Myotonia congenita
a. Persistent right aortic arch ## Footnote Persistent right aortic arch (PRAA) is reported but pretty rare in cats. It is seen more frequently in dogs, particularly a few predisposed breeds (Irish Setters, German Shepherds, Great Danes). Despite being a relatively uncommon disease, you should have been able to reach the appropriate answer by ruling out the other options because they cause different clinical signs. This is how PRAA develops: During fetal development, there is a right and left aortic arch. Normally the left aortic arch forms the main artery that extends off the heart and travels to the abdominal region. In cases of PRAA, the right aortic arch develops into the aorta and the esophagus becomes trapped by the ligamentum arteriosum that extends from the pulmonary artery to the aorta. There are several other variants of how the vascular anomaly can occur. Clinical signs commonly are present from a very young age, often near time of weaning. Treatment is surgical and the prognosis with early surgical intervention is good. Cats born with congenital diaphragmatic hernias often have mild breathing difficulties, especially when the cat is stressed. Sometimes they are incidentally diagnosed years later, although this is less common. In another presentation there may also be mild gastrointestinal upset. In severe cases, there can be respiratory distress, abnormal heart rhythm, muffled heart and lung sounds, and other signs of systemic shock. The abdomen may feel empty when palpated. Cats born with peritoneopericardial diaphragmatic hernia (PPDH) are usually asymptomatic with discovery being made when diagnostic tests (radiographs, contrast studies, ultrasound) are performed for other reasons. Occasionally, cats will develop vomiting, diarrhea, and abdominal pain or cardiorespiratory signs. Cats born with mucopolysaccharidosis (usually Siamese cats) have an enzyme deficiency that results in problems with the joints and/or bones. Cats born with myotonia congenita (very rare) have muscle stiffness and may be heavily muscled with little body fat.
44
Which of these is an appropriate treatment for an animal showing signs of strychnine toxicity? a. 2-Pralidoxime b. Atropine c. 4-Methylpyrazole d. Vitamin K1 e. Methocarbamol
e. Methocarbamol The correct answer is methocarbamol. Strychnine is found is some snail baits and other poisons. Strychnine competitively antagonizes the action of glycine and causes a loss of impulse control in the spinal cord and brainstem. Clinical signs can begin suddenly and progress from anxiety to tetanic convulsions spontaneously or in response to stimuli. The poison affects all striated muscles. There is no specific antidote, so treatment is symptomatic. Convulsions can be controlled with anesthetic drugs and/or methocarbamol. Stimulation should be prevented.
45
A 3-year old male castrated cat presents to your clinic for inappetence and depression of 3 days duration. On physical exam, the cat is febrile with a temperature of 103.6F (39.8 C) and is 8% dehydrated. Complete blood count shows: Hematocrit - 36% (30-45 %) White blood cell count- 25,678/ul (5,500-19,500/ul) Neutrophils- 21,678/ul (2,500-12,500/ul) Lymphocytes- 3,300/ul (1,500-7,000/ul) Monocytes- 200/ul (0-900/ul) Eosinophils- 500/ul (0-800/ul) Platelets- 210,000/ul (300,000-800,000/ul) Serum chemistry shows: Creatinine- 1.8 mg/dl (0.9-2.2 mg/dl) Blood urea nitrogen (BUN)- 30 mg/dl (19-34 mg/dl) Glucose- 70 mg/dl (60-120 mg/dl) Albumin= 3.2 g/dl (2.8-3.9 g/dl) Globulin= 2.8 g/dl (2.6-5.1 g/dl) ALP- 95 IU/L (0-45 IU/L) ALT- 349 IU/L (25-97 IU/L) GGT- 12 IU/L (0-6 IU/L) Total bilirubin- 1.1 mg/dl (0-0.1 mg/dl) You perform an abdominal ultrasound and find that the liver appears subjectively enlarged. The echogenicity of the liver and spleen are normal. The gall bladder appears mildly enlarged; no choleliths are seen. The pancreas does not appear sonographically enlarged or abnormal. The kidneys and the remainder of the abdomen appear unremarkable. You perform an ultrasound guided liver biopsy. Histopathology indicates fibrosis associated with portal triads, bile duct proliferation, and centrilobular accumulation of bile with casts in canalicular areas. With treatment, what is the cat's prognosis? a. 90% chance of surviving greater than 3 months but only a 25% chance of surviving greater than 1 year b. 10% chance of surviving greater than 3 months c. 50% chance of long term survival, 50% chance of dying within 3 months d. 90% chance of long term survival although the cat will be predisposed to similar episodes in the future
c. 50% chance of long term survival, 50% chance of dying within 3 months The case described is very consistent with acute cholangiohepatitis. This condition is usually seen in younger cats (mean age 3-3.5 years) and is more common in males than females. This is in contrast to chronic cholangiohepatitis which occurs in older cats (mean age 9 years). Acute cholangiohepatitis patients are more likely to be depressed, dehydrated and febrile. Bloodwork in cholangiohepatitis often shows a neutrophilia with or without a left shift. Mild increases in bilirubin and ALP are common, often with more severe elevations of ALT. The sonographic and biopsy findings are also consistent with the diagnosis of acute cholangiohepatitis and make other differentials such as hepatic lipidosis or lymphocytic portal hepatitis less likely. Treatment of choice for this disease includes antibiotics with aerobic and anaerobic coverage that are excreted unchanged in the bile. Examples of antibiotics excreted unchanged in the bile include tetracyclines, ampicillin, amoxicillin, erythromycin, chloramphenicol, and metronidazole. Usually erythromycin, tetracycline, and choloramphenicol are not the first choices unless they are indicated based on culture and sensitivity because erythromycin is not effective against gram negative bacteria, tetracycline is hepatotoxic, and chloramphenicol may cause anorexia. Ampicillin or amoxicillin with clavulanic acid are good choices and metronidazole may be used to expand the anaerobic coverage. Ursodeoxycholic acid (Actigall) is useful in all types of inflammatory liver disease because of its anti-inflammatory and anti-fibrotic properties on the liver. It also increases fluidity of biliary secretions. With treatment, it is thought that the response of acute and chronic cholangiohepatitis cases is similar with about half of animals dying or being euthanized within 90 days and half of them having prolonged survival.
46
A 5-year old female spayed Tonkinese cat presents to your clinic with increased respiratory effort, anorexia, and occasional open mouth breathing. The cat has a grade III/VI sternal systolic murmur. No arrhythmias are noted and pulses are synchronous. What is the most appropriate next step? a. Echocardiography and diuretic therapy b. Repeat radiographs in 1 month c. ECG and pericardiocentesis d. Cardiac angiogram and coil placement
a. Echocardiography and diuretic therapy The next step is to determine the type of cardiomyopathy causing the clinical signs and heart failure. The increased interstitial pattern in the cranioventral lung lobes indicates that there is cardiac decompensation. Diuretics are an appropriate therapy to treat heart failure pending diagnosis.
47
A middle aged MN stray cat is left on the doorstep of your clinic. The cat has a large dry crusted area of alopecia over his nose. A skin scraping of the area is negative. The lesion fluoresces under Wood's lamp examination (see image). Which of the following would be the best treatment? a. Full body lyme sulfur dip, itraconazole b. Athlete's foot cream (clotrimazole) c. Doxycycline d. Povidone-iodine scrub e. Lufenuron
a. Full body lyme sulfur dip, itraconazole This cat has a ringworm infection caused by Microsporum canis. This fungi fluoresces blue under a Wood's lamp in 50% of cases. The best treatment for ringworm infection would include a combination topical and oral therapy. Lyme sulfur dip or an antifungal shampoo containing miconazole would be acceptable. Oral antifungals such as itraconazole or fluconazole are most effective with the least side effects. Povidone-iodine scrub has not been shown to be effective against ringworm. Lufenuron is classified as an insect development inhibitor because of its ability to inhibit chitin synthesis, thus in the past has been said to have some effect against fungal infections. This has been debated and not widely supported as a treatment for ringworm. Doxycycline is an antibiotic and would not be effective in treatment of fungal disease. Athlete's foot cream (clotrimazole) may have some effect at treating the lesion. Most over-the-counter creams such as this also include a steroid like betamethasone which would not be desired. Although this lesion appears to be localized to the nasal area, ringworm may also be subclinical and this cat may have infection elsewhere in the skin that is not grossly visible. Therefore, the best therapy is a combination of topical and oral.
48
What is the surgical treatment of choice for cats with chronic obstipation and megacolon that is refractory to medical therapies? a. Subtotal colectomy b. Enterotomy and reclosure after removal of feces c. Colostomy d. Colonplasty
a. Subtotal colectomy ## Footnote The correct answer is subtotal colectomy. This technique usually entails transecting the ascending colon a few centimeters distal to the cecum and the descending colon a few centimeters proximal to the pubis and anastomosing them together, trying to preserve the ileocolic junction. The other procedures listed are not successful therapies for megacolon.
49
An 11-year old female spayed Siamese cat presents for further evaluation after developing a mass over the scapular region. The mass is approximately 2cm in diameter. An aspirate of the mass confirms your suspicion, what is your surgical plan? a. Excision with 2cm margin b. Excision with 1cm margin c. Radical excision of the mass d. Excisional biopsy
c. Radical excision of the mass This is a probable vaccine associated fibrosarcoma. These tumors are slow to metastasize but extremely aggressive locally. A radical excision of the mass will be your best opportunity at a surgical cure. All other answer choices will likely result in poor margins and recurrence.
50
Which of the following is incorrect concerning feline heartworm disease? a. Antibody tests can detect the exposure of the host to both male and female worms b. A negative microfilaria test does not rule out heartworm disease c. Cats typically have much lower adult worm burdens than dogs d. Migration of larvae to extopic regions (outside of the heart and pulmonary arteries) is less common than in dogs
d. Migration of larvae to extopic regions (outside of the heart and pulmonary arteries) is less common than in dogs ## Footnote Cats do typically have fewer adult worms than dogs because of increased natural resistance. Cats are often microfilaria negative despite an active infection (either from all male worm infections, or occult disease). Antibody testing can detect exposure to both male and female worms; however, in cats, larvae are more likely to migrate to ectopic locations such as the brain, skin, and ocular tissue.
51
The 13-year old male neutered domestic short hair cat shown in this photo presents to you with a 6-month history of progressive weight loss and an unkempt hair coat. You question the owner regarding his activity level and she mentions the activity seems the same other than the fact that he is more easily agitated. Which of the following values is most likely to be elevated in this cat? a. Serum ALT b. Urine specific gravity c. Serum creatinine d. Serum cholesterol
a. Serum ALT ## Footnote This cat has several classic features of hyperthyroidism. You might expect to find a palpable thyroid nodule as well. In addition to an elevated T4, clinicopathologic features of hyperthyroidism include erythrocytosis and a stress leukogram (neutrophilia, lymphopenia) due to increased circulating catecholamines. Increased catabolism of muscle tissue in hyperthyroid cats may result in increased BUN, but not creatinine. In fact, glomerular filtration rate (GFR) is increased in hyperthyroid cats, which may lower the BUN and creatinine and mask underlying renal insufficiency. Although hyperthyroidism increases GFR, the effect of thyroid hormone excess on the urinalysis can vary. Most cats, however, will have decreased urine specific gravity and may exhibit polyuria. The increased metabolic rate in hyperthyroidism results in liver hypermetabolism; therefore, serum activities of liver enzymes are commonly increased (ALT, ALP) in 80-90% of hyperthyroid cats. The increase in ALT is usually mild to moderate (100-400 IU/L). If the ALT is greater than 500, concurrent hepatic disease should be suspected. Serum cholesterol is usually normal, but can be moderately decreased, due to increased hepatic clearance mediated by thyroid hormones.
52
A 1.5-year-old female Persian cat presents with dramatically enlarged mammary glands that the owner says have developed over several weeks. A brief ultrasound shows that the cat is not pregnant. What hormone is responsible for feline mammary hyperplasia (hypertrophy)? a. Prolactin b. Testeosterone c. Progesterone d. Estrogen
c. Progesterone Feline mammary hyperplasia, or fibroadenomatous hyperplasia, is a benign, often drastic enlargement of the mammary glands typically seen in younger cats. This syndrome classically has a rapid onset and is seen in pregnant and non-pregnant, unspayed females. It is uncommonly seen in males and spayed females. In cycling females, this condition is caused by hormonal stimulation from a functional ovary producing progesterone. Megesterol acetate is a synthetic progesterone that can cause this side effect. It is generally treated by ovariohysterectomy. If the mammary gland has become severely infected or ulcerated, a mastectomy may be required.
53
Which test is the most accurate for diagnosing pancreatitis in the cat? a. Pancreatic biopsy b. Serum TLI c. Serum amylase d. Serum lipase
a. Pancreatic biopsy ## Footnote The correct answer is pancreatic biopsy. Amylase, lipase, and TLI are all unreliable indicators of pancreatitis in cats because they can be normal or elevated in cats with and without pancreatitis. The histologic appearance of pancreatitis in the cat is peripancreatic fat necrosis with acinar cell necrosis and inflammation. Although often impractical, pancreatic biopsy is the "gold standard" for diagnosing pancreatitis.
54
You examine a cat with unilateral blepharospasm, conjunctival hyperemia, and epiphora of the right eye. You perform a fluorescein stain and the eye is shown in the image. What is the most likely cause? a. Keratoconjunctivitis sicca b. Herpesvirus infection c. Corneal dystrophy d. Trauma
b. Herpesvirus infection ## Footnote The correct answer is herpesvirus infection. Herpesvirus is the only infectious cause of corneal ulcers in cats although they can become infected secondarily with bacteria. Herpes causes characteristic ulcers which are linear or sometimes referred to as dendritic ulcers. The lesions tend to be unilateral but can be bilateral. Usually, this is a persistent or recurrent disease that often flares up with stress.
55
A 4-year old FS cat presents for its annual exam which is unremarkable. The owner complains about a chronic cough so you perform a CBC and chemistry panel. HCT- 45% (30-45%) WBC- 10,500/ul (5,500-19,500/ul) Neutrophils- 4,000/ul (2,500-12,500/ul) Lymphocytes- 1,000ul (1,500-7,000/ul) Monocytes- 500/ul (0-900/ul) Eosinophils- 5000/ul (0-800/ul) Na- 145 mEq/L (146-156 mEq/L) K-4.1 mEq/L (3.7-6.1 mEq/L) Cl-115 mEq/L (115-130 mEq/L) ALT-40 U/L (25-97 U/L) AST-30 U/L (7-38 U/L) Albumin- 2.8 g/dl (2.8-3.9 g/dl) Globulin- 4.9 g/dl (2.6-5.1 g/dl) BUN-16 mg/dl (19-34 mg/dl) Creatinine- 1.1 mg/dl (0.9-2.2 mg/dl) You perform a routine fecal flotation; an image from the fecal flotation is shown below. What is your diagnosis? ## Footnote a. Paragonimus b. Capillaria c. Trichuris d. Aelurostrongylus
b. Capillaria The correct answer is Capillaria. This is consistent with the clinical signs of cough. The peripheral eosinophilia could be caused by any of the parasites listed. Therefore, it is important to be able to recognize parasite eggs. Capillaria ova, as seen in the image, look similar to Trichuris eggs but are smaller and have asymmetric terminal plugs. Most cases of Capillaria are asymptomatic but chronic cough may be seen. Paragonimus is found by fecal flotation and have a single operculum. Aelurostrongylus larvae are recovered by Baermann.
56
Sydney is a 1.5-year old male neutered DSH, previously feral but now an indoor only cat. He has a history of controlled diabetes mellitus and recent bloodwork was within normal limits aside from an elevated blood glucose of 200 mg/dl (60-120mg/dl). He presents to you today for difficulty breathing and x-rays showed pleural fluid. You remove 250mL of serosanguinous fluid and you are concerned about the possibility of feline infectious peritonitis (FIP); which of the following tests would be most helpful in ruling out FIP (which has the highest negative predictive value)? a. Immunofluorescence staining for coronavirusin macrophages in effusion fluid b. Rivalta's test c. Reverse-transcriptase polymerase chain reaction (RT-PCR) for coronaviral RNA in serum d. Coronavirus antibody detection in effusion fluid
b. Rivalta's test Of the tests listed, Rivalta's test has the highest negative predictive value in the diagnosis of FIP. This means that a negative test is likely associated with the cat truly not having the disease. In two separate studies, Rivalta's test has been shown to have a negative predictive value (NPV) greater than 90% (Hartmann 2003, JVIM: showed PPV=86% and NPV=97%, and Fischer 2012, Vet Clin Path: showed PPV=58% and NPV=93.4%). False positives are more commonly seen in older cats and cats with lymphoma or bacterial infections but negative results are relatively convincing compared to most other diagnostic tests for this disease. Rivalta's test involves filling a reagent tube with distilled water and 1 drop of acetic acid (98%). On the surface of this solution, 1 drop of the effusion fluid is added and if the drop disappears and the solution remains clear, the Rivalta's test is negative. If the drop retains its shape, stays attached to the surface, or slowly floats down to the bottom of the tube as a drop, Rivalta's test is defined as positive. The other tests listed tend to have high PPVs and are more specific but have more false negatives and are not as good for ruling out the disease. Reverse-transcriptase polymerase chain reaction (RT-PCR) for coronaviral RNA in serum has been reported to have a PPV= 90% and NPV= 47%. Coronavirus antibody detection in effusion has been reported to have a PPV= 90% and NPV= 79%. Immunofluorescence staining for coronavirus in macrophages in effusion fluid has been reported to have a PPV= 100% and NPV= 57%.
57
A 1-year-old domestic short hair presents for patchy alopecia that is most severe around the eyes. The owner reports that the other cats in the household have similar lesions and the cats are itchy. You are very suspicious of Demodex. Which diagnostic test would be most useful? a. Bacterial culture b. Deep skin scrape c. Superficial skin scrape d. Trichogram e. Fungal culture
c. Superficial skin scrape The key to this question lies in realizing that the cat most likely has Demodex gatoi since this is the only Demodex species that is contagious. Also Demodex gatoi is often very itchy. Demodex gatoi differs from Demodex cati in that it infects the epithelium and not the hair follicle. Thus, the best test would be a superficial skin scrape. The best diagnostic test for Demodex cati would be a deep skin scrape. A trichogram refers to analyzing hair and is a useful test for dermatophytes and follicular mites. A bacterial culture may be indicated if you have a secondary infection. A fungal culture is not useful for Demodex.
58
You want to give a 22 pound cat a 5 mg/kg dose of a drug. The drug comes as a 2.5% solution. How many milliliters should you give the cat? a. 0.4 b. 0.2 c. 4.4 d. 2 e. 20 f. 8.8
d. 2 First, you must recognize that the cat's weight is given in pounds and should immediately be converted to kilograms. There are 2.2 lbs/kg so this is a 10 kg cat. Second, you must be able to convert a percent solution to mg/ml. A 2.5% solution is 25 mg/ml. This is hard for some students to remember. A memory tip is that a 100% solution would be 1 gram/ml. Therefore a 50% solution would be 500mg/ml, and a 5% solution would be 50 mg/ml. The math to solve this question is: 22 lbs x (1 kg/2.2 lbs) x 5mg/kg x (1ml/25mg) = 2 ml
59
A 12-year-old cat presents to your emergency clinic in critical condition after acute onset of icterus and lethargy over the past several days. The cat has been managed by another hospital for chronic renal insufficiency over several years. The cat's condition is deteriorating and the owners elect to euthanize the cat and request a postmortem evaluation. Results reveal that the cat had developed acute fulminant hepatic necrosis. The owners had been treating the cat with several medications to manage complications of the cat's chronic renal insufficiency and poor appetite. Which of the following medications is implicated in causing hepatic necrosis in cats? a. Aluminum hydroxide b. Omeprazole c. Enalapril d. Diazepam e. Erythropoietin
d. Diazepam ## Footnote Diazepam is a benzodiazepine sedative that has been used effectively for appetite stimulation in cats, but administration has been associated with acute fulminant hepatic necrosis. The risk appears to be greatest if diazepam is administered repeatedly and orally. This side effect is thought to be related to metabolism of the drug in the liver to toxic metabolites. This is more severe when administered orally due to first pass metabolism. Cats that are glutathione deficient may be at increased risk. The other drugs listed have not been associated with this type of liver failure in cats. Omeprazole is a proton-pump inhibitor that is used to decrease gastric acid secretion. A potential side effect is an increase in liver enzymes but this is not thought to be harmful.
60
A pregnant woman brings her cat to you to perform Toxoplasma gondii titers on it. The cat has no clinical signs. What would be appropriate to tell the woman? a. A single serum titer should be able to determine if the cat is likely shedding oocysts presently b. Toxoplasma oocysts take about 5 days to sporulate and become infective, so as long as the woman has the cat's litterbox cleaned before 5 days have passed, she should not have to worry about being infected. c. Cats seropositive for Toxoplasma gondii shed oocysts most of the time, so the woman should separate herself from the cat and its feces d. A large percentage of cats are seropositive for Toxoplasma gondii, but are not necessarily shedding oocysts
d. A large percentage of cats are seropositive for Toxoplasma gondii, but are not necessarily shedding oocysts The correct answer is a large percentage of cats are seropositive for Toxoplasma gondii but are not necessarily shedding oocysts. Infected cats will usually only shed oocysts for 1-2 weeks when they are initially infected. They usually don't shed again unless they become severely immune-compromised. Paired serum titers should be taken 1-2 weeks apart in order to determine the stage of infection. A rise in the consecutive titers would mean the cat was recently infected. Titers that aren't significantly different can be interpreted as the cat having an old infection and is less likely to be actively shedding oocysts. Infectivity of the oocysts occurs with sporulation, which occurs within 1-5 days after shedding.
61
A 5-year old female spayed Tonkinese cat presents to your clinic with increased respiratory effort, anorexia, and occasional open mouth breathing. The cat has a grade III/VI sternal systolic murmur. No arrhythmias are noted and pulses are synchronous. What is the most appropriate next step? a. ECG and pericardiocentesis b. Repeat radiographs in 1 month c. Cardiac angiogram and coil placement d. Echocardiography and diuretic therapy
d. Echocardiography and diuretic therapy The next step is to determine the type of cardiomyopathy causing the clinical signs and heart failure. The increased interstitial pattern in the cranioventral lung lobes indicates that there is cardiac decompensation. Diuretics are an appropriate therapy to treat heart failure pending diagnosis.
62
Feline leukemia (FeLV) status has been shown to affect many aspects of disease progression and treatment of lymphoma. FeLV seropositive cats with lymphoma are similar to FeLV seronegative cats with lymphoma in which one of the following aspects? a. Frequency of spinal lymphoma b. Initial treatment response c. Survival time d. Prevalence of gastrointestinal lymphoma e. Prevalence of mediastinal lymphoma
b. Initial treatment response Feline leukemia virus seropositive and seronegative cats share similar response rates to initial treatment with chemotherapy for lymphoma. However, survival times are shorter for cats with FeLV compared with FeLV negative cats. Most U.S. cats with mediastinal, multicentric, or spinal forms of lymphoma are FeLV-positive
63
A 10-year old female spayed domestic short hair named Gypsy presents with a history of increased drinking and urinating for 2 weeks and weight loss. She has not eaten in 2 days. Bloodwork shows blood glucose 457 mg/dL and her urine shows 3+ glucose, 2+ ketones. Which type of insulin would be recommended for this patient at this time? a. Vetsulin b. PZI insulin c. Glargine (Lantus) insulin d. Humulin-N (NPH) e. Humalin-R (regular insulin)
e. Humalin-R (regular insulin) ## Footnote This cat is in a state of diabetic ketoacidosis. Due to this status, the recommended insulin type is Humulin-R, or regular insulin. This is a shorter acting insulin which will help to get the ketonuria to resolve more efficiently. After the ketosis has resolved and the cat is hydrated, eating, drinking, and electrolytes are stable, the cat can be switched to a longer acting insulin. Glargine or PZI are the insulin types of choice for long term control in felines after the ketoacidosis has been corrected, but other insulin types can also be used.
64
What is the most common cause of exocrine pancreatic insufficiency in the cat? a. Pancreatic acinar atrophy b. Chronic pancreatitis c. Pancreatic infection d. Pancreatic neoplasia
b. Chronic pancreatitis ## Footnote The correct answer is chronic pancreatitis. This is the case in cats, in contrast to dogs, which develop EPI from pancreatic acinar atrophy.
65
You perform thoracocentesis on a cat with pleural effusion. The fluid has a hazy gold color and a protein content of 7 g/dl and 7,000 cells/uL. These cells are primarily non-degenerative neutrophils with lesser numbers of other white blood cells and mesothelial cells. What is the most appropriate interpretation of these findings? a. This effusion is strongly suggestive of FIP b. This effusion is a classic exudate; the cat has pyothorax c. This is a chylous effusion d. This effusion is strongly suggestive of neoplasia
a. This effusion is strongly suggestive of FIP ## Footnote The correct answer is that this effusion is strongly suggestive of FIP. FIP causes a classic straw or gold colored effusion with high protein content (about equal to serum protein) and moderate cell counts. An exudate would tend to have somewhat higher cell counts and lower protein. The protein content is not consistent with chyle or neoplasia.
66
An indoor only 6-year old female spayed domestic short haired cat presents in respiratory distress. The breathing pattern is rapid and shallow and there is no history of trauma. The owner reports she has been breathing more rapidly over the last week. You do not auscult any crackles or wheezes and the heart sounds normal. The lung fields are very quiet overall. You administer oxygen immediately. What should you do first? a. Lateral and ventrodorsal radiograph b. Thoracocentesis c. Perform a barium swallow radiographic study d. Furosemide injection
b. Thoracocentesis ## Footnote If a cat presents with rapid shallow breathing, quiet lung sounds, and a heart that auscults normally, pleural space disease, including effusion or pneumothorax, is the most likely cause of the breathing pattern. Various types of pleural effusion include blood (hemothorax) which could result from trauma or coagulopathy, pus (pyothorax) which could be caused by a migrating foreign body or other infection in the pleural space, chyle (chylothorax) which occurs from unknown causes or a ruptured thoracic duct, other neoplastic effusions (such as lymphoma), or infection (such as FIP). If the chest tap is positive, thoracocentesis should be completed in an attempt to stabilize the animal's respiratory status before taking radiographs. The only case in which the fluid should not be removed is hemothorax, if an active bleed into the pleural space is suspected. Cytology and analysis of the fluid collected will be helpful in the diagnosis; it is not always possible to tell the cause of the effusion by gross observation. In pets that are in distress, it is best to take a dorsoventral radiograph instead of a ventrodorsal view since placing them on their back can cause further distress and could potentially lead to respiratory arrest. Cats in congestive heart failure may have crackles on auscultation and often have a heart murmur or gallop rhythm. Diaphragmatic hernia typically has the same breathing pattern, but usually the lung sounds are not as quiet as they are with effusions. A barium swallow would not be performed first in this case; stabilizing the patient always comes first. If a diaphragmatic hernia were suspected, the patient should be held upright to try and keep the abdominal organs from invading the chest cavity.
67
Which of these factors do cats require in their diet? a. Aspartic acid b. Arachidonic acid c. Alanine d. Glutamic acid e. Glycine
b. Arachidonic acid ## Footnote The correct answer is arachidonic acid. Cats, unlike dogs, require intact arachidonic acid in their diets.
68
You check blood gases on a cat in the intensive care unit with renal disease. They read as: PaCO2= 28 (28-34 mmHg) pH= 7.23 (7.25-7.4) PaO2=100 (90-100 mmHg) Base excess= -8 (-5 to +2 mmol/L) HCO3 = 12 (16-20 mmol/L) What can you conclude? a. The car has a mixed respiratory and metabolic acidosis b. The cat has primary metabolic acidosis with compensatory respiratory alkalosis c. The cat has primary respiratory acidosis with compensatory metabolic alkalosis d. The cat has primary respiratory alkalosis with compensatory metabolic acidosis e. The cat has primary metabolic alkalosis with compensatory respiratory acidosis
b. The cat has primary metabolic acidosis with compensatory respiratory alkalosis The correct answer is that the cat has primary metabolic acidosis with compensatory respiratory alkalosis. The low pH tells you the cat is acidemic so the primary disorder must be an acidosis because compensatory mechanisms will never overshoot the primary abnormality. In this case, the negative base excess or low HCO3 tells us there is a metabolic acidosis (renal disease can cause this). The low PaCO2 tells us there is a respiratory alkalosis or hyperventilation. The primary abnormality must be the metabolic acidosis. The respiratory alkalosis can then be interpreted as compensatory.
69
A 3-year old male castrated domestic short hair cat presents to you for weight gain, polyuria and polydipsia over the course of 6 months. His previous veterinarian made a diagnosis of diabetes and has tried to control this with insulin but has not been successful. On examination, you detect prognathism, hepatomegaly, and a grade III/VI heart murmur. You suspect that the cat may have an underlying disorder that is contributing to his poorly-controlled diabetes. Which of the following diagnostic tests will be most helpful in confirming your suspicion? a. Serum insulin:glucose ratio b. Serum folate and cobalamin levels c. MRI of the brain d. Serum T4 levels e. Abdominal ultrasound
c. MRI of the brain ## Footnote This cat has clinical signs most consistent with acromegaly (weight gain, prognathism, organomegaly, and diabetes mellitus that is difficult to control). This condition results from a growth hormone (GH) secreting pituitary tumor. GH or insuline-like growth factor (IGF) assays can be diagnostic but are not offered by many veterinary laboratories. Advanced imaging techniques are the most reliable way to diagnose a pituitary mass in this instance. This cat is not likely to be hyperthyroid due to the history of weight gain. Hyperadrenocorticism as a cause of insulin-resistant diabetes mellitus is less likely given the cat's other clinical signs; nevertheless, adrenal function testing such as an ACTH stimulation test or dexamethasone suppression test to rule out hyperadrenocorticism should be considered.
70
A client brings in her 3-year old cat who she heard scream in her basement and then found recumbent and vocalizing. Since then, the cat has become very rigid with muscle spasms. What could have happened? a. Black widow spider bite b. Wasp envenomation c. Brown recluse spider bite d. Copperhead snake bite
a. Black widow spider bite The correct answer is black widow spider bite. Latrodectus mactans and L. hesperus are the scientific names for this spider. They make a toxin that binds to calcium channels, increasing membrane permeability and enhancing depolarization. Ascending motor paralysis and destruction of peripheral nerves endings occur. A single bite may be serious to adult humans and could kill a small animal. Clinical signs occur almost immediately with pain, due in part to the release of acetylcholine, which stimulates contraction of major muscle groups. There may be ascending motor paralysis, muscle spasms, muscle rigidity, and salivation. Death from respiratory or cardiovascular failure is possible.
71
In a cat with CNS signs (ataxia, cranial nerve deficits), which is not a convincing indicator that Cryptococcus is the cause of its signs? a. Demonstration of numerous small yeasts with large capsules in a CSF tap b. A latex agglutination titer of 1:100 on CSF c. A mixed pleocytosis and elevated protein on CSF analysis with no bacteria d. A latex agglutination titer of 1:10,000 on serum
c. A mixed pleocytosis and elevated protein on CSF analysis with no bacteria The correct answer is a mixed pleocytosis and elevated protein on CSF analysis with no bacteria. Demonstration of the organism, visible as small yeasts surrounded by a large capsule is occasionally seen with Cryptococcus. Serology is also very useful for diagnosis. The latex agglutination test against the cryptococcal antigen is very sensitive and specific and can be used to document disease or monitor therapy. It can be run on serum, CSF, or urine. A mixed pleocytosis is common in many conditions causing CNS signs and is not specific for any of them.
72
A 10-year old feline domestic short hair presents to you in respiratory distress. A chest radiograph reveals rounded lung lobes and a significant bilateral pleural effusion. A sample of this fluid is milky white with an elevated triglyceride:cholesterol ratio. What is your immediate treatment choice for this cat? a. Tap one side of the chest only to reduce likelihood of complications with tapping b. Hospitalize this cat and place it in an oxygenated cage for medical treatment c. Tap both side of the chest to evacuate as much fluid as possible d. DIscuss the poor prognosis with the owners and offer euthanasia
c. Tap both side of the chest to evacuate as much fluid as possible ## Footnote The radiographs describe significantly rounded lung lobes which suggests that the fluid has caused some fibrosing pleuritis. Sheets of fibrous connective tissue often times will cause pocketing of fluid on the right and left sides of the chest. Thus, it is important to tap both sides of the chest to adequately drain enough fluid to relieve dyspnea. The immediate life-saving procedure will be to remove the fluid that is causing the respiratory distress. Chylothorax is usually idiopathic in origin and rarely may resolve spontaneously in 1-2 months. Most cases ultimately require surgery which is usually a combination of ligation of the thoracic duct and a sub-total pericardiectomy.
73
A cat with a rhabdomyosarcoma has a tumor of what cell type? a. Nerve Sheath b. Cardiac muscle c. Striated muscle d. Smooth muscle
c. Striated muscle ## Footnote The correct answer is striated muscle. Rhabdomyosarcomas, by definition are tumors derived from striated (or skeletal) muscle.
74
A 8-year old Siamese cat presents to you with a single 2 cm skin mass on top of his head that is well circumscribed, hairless, dome-shaped and fixed to the overlying skin but freely movable from underlying fascia. The mass has been present for months and has been slowly growing. What is the most likely diagnosis? a. Basal cell tumor b. Cutaneous lymphosarcoma c. Mast cell tumor d. Squamous cell carcinoma
a. Basal cell tumor ## Footnote The correct answer is basal cell tumor. This is the most common skin tumor in the cat (about 20% of all feline skin tumors). These tumors are usually hairless, dome-shaped, raised masses as described. They are most frequently found on the head, neck, and shoulders. They are almost always benign although histologically, they may have aggressive characteristics.
75
All the following are true regarding cutaneous feline mast cell tumors EXCEPT which of the following? a. Cutaneous mast cell tumors are the 2nd most common skin tumor in the cat b. Feline mast cell tumors are not graded I, II, and II as they are in canines c. Cutaneous feline mast cell tumors are most commonly found on the trunk and extremities d. Cutaneous feline mast cell tumors rarely metastasize
c. Cutaneous feline mast cell tumors are most commonly found on the trunk and extremities ## Footnote Cutaneous feline mast cell tumors are most commonly located on the face and head. They are the second most common skin tumor found in cats, behind basal cell tumors. Feline mast cell tumors of the skin rarely metastasize. Generally speaking, when metastatic mast cell disease is found, it is likely that a visceral source of disease (i.e. splenic mast cell disease) is present. Feline mast cell tumors of the skin are not graded as they are in dogs, but histopathology is relied upon to dictate the behavior of the tumor that is removed.
76
The 2-year old intact female domestic short hair cat shown in the picture below presents for bilateral mammary masses. The cat has a normal activity and appetite at home. On physical exam, the cat is bright and alert. All mammary glands are enlarged but non-painful on palpation. What is the treatment for this cat? a. Bilateral radical mastectomy followed by chemotherapy b. Bilateral radical mastectomy without chemotherapy c. Ovariohysterectomy d. Radiation therapy e. Antibiotics
c. Ovariohysterectomy The cat in the image has mammary gland hyperplasia or fibroadenomatous/fibroepithelial hyperplasia. It most commonly occurs in young, intact female cats due to increased progesterone exposure. It is characterized by affecting one or more mammary glands, which become enlarged and are non-painful. Most affected cats are systemically well and do not show signs of illness or pain. Treatment for the condition is removal of the source of progesterone via ovariectomy or ovariohysterectomy. If no source of progesterone can be identified, or if the glands do not respond to spaying, a progesterone receptor blocker such as aglepristone can be administered as well. Differential diagnoses for this condition include mammary neoplasia and mastitis. Mammary cancer more commonly affects older cats and would be less likely to affect all glands simultaneously and symmetrically like the cat shown in the picture. Mastitis would be painful, inflamed, and the cat would likely be acting systemically ill.
77
The patient imaged below has a very rare condition known as Ehlers-Danlos syndrome. What is the primary etiology of this condition? a. Defect in the stratum corneum b. Excessive uric acid deposition between collagen fibrils c. Elevated cortisol levels d. Defect in collagen production
d. Defect in collagen production ## Footnote Ehlers-Danlos syndrome is a hereditary condition in which a defect in collagen production results in abnormal Type I collagen. This renders the skin very pliable, thin, and susceptible to trauma. Patients with this condition should not be bred. Treatment consists of appropriate housing and lifestyle modifications and prompt treatment of secondary infections. Cats with hyperadrenocorticism may develop a similar skin fragility syndrome, which as the name implies, results in a very thin, easily damaged, friable skin. Uric acid deposition within joints is known as gout. There is no known condition in which deposition in skin associated collagen causes these clinical signs.
78
A 5-month old kitten presents to you with a rectal prolapse, as shown in the photo. What is the most common cause of rectal prolapse in a kitten? a. Gastrointestinal parasites b. Trauma c. Dysautonomia d. Panleukopenia
a. Gastrointestinal parasites ## Footnote The correct answer is gastrointestinal parasites. You should perform a fecal float and smear. This cat probably has severe diarrhea and has been straining. Dysautonomia is possible but very rare. Panleukopenia does not usually result in a rectal prolapse, but is a cause of diarrhea.
79
A 2-year-old male neutered domestic short hair cat presents for acutely being anorexic, lethargic, and not passing any stool. The owner reports that the cat was playing with dental floss 2 days ago and may have swallowed it. On physical exam, the cat is depressed, febrile with a temperature of 104.3 F/ 40.2 C, and resists abdominal palpation. On oral exam, you see that one end of the dental floss is attached to the base of the ventral side of the tongue. Abdominal radiographs show clumped intestines, loss of serosal detail, and an irregular gas pattern in the abdomen. What should you recommend to the owner? a. Release the dental floss and allow it to pass through the intestinal tract on its own b. Exploratory laparotomy with linear foreigh body removal c. Endoscopy for liner foreign body removal d. Induction of emesis with xylazine e. Induction of emesis with apomorphine
b. Exploratory laparotomy with linear foreigh body removal Linear foreign bodies are surgical emergencies. The string is often anchored at the base of the tongue. The peristaltic activity of the stomach and intestines around a string causes bunching of the intestines. With peristaltic movement, the string will often saw through the intestines, leading to perforation and peritonitis. Induction of emesis, endoscopy, or release of the string would be unlikely to relieve the bunching of the intestines.
80
A 3-year old male castrated domestic short hair cat is given a large dose of oxymorphone for analgesia. Shortly after intramuscular administration of the drug, the cat is excessively sedate and barely rousable. Which drug can be used to reverse the oxymorphone? a. Yohimbine b. Puprenorphine c. Naloxone d. Morphine
c. Naloxone ## Footnote The correct answer is naloxone. Butorphanol can also be used to reverse mu agonists like oxymorphone (but it wasn't in the list of choices). It is a partial mu antagonist, kappa agonist. Morphine is a mu agonist and would have a similar effect on the cat as oxymorphone. Buprenorphine is a partial mu agonist, kappa antagonist and would not effectively reverse the effects of pure mu agonists. Yohimbine is used to reverse alpha 2 agonists such as xylazine. Naloxone is the only opioid antagonist amongst the choices that can be used to effectively reverse the mu agonists.
81
An 8-year old female spayed Siamese cat shown in the picture below presents for a right-sided head tilt and a horizontal nystagmus with the fast phase to the left. On physical exam, the cat has the described head tilt and nystagmus. She is circling to the right and her mentation is normal. What is your next step? a. Otic exam b. Computed tomography (CT) of the head c. Magnetic resonance imaging (MRI) of the head d. Radiographs of the head e. Complete blood count and chemistry panel
a. Otic exam Any dog or cat that presents with vestibular signs such a head tilt, nystagmus, and circling should have an otic exam as part of its physical exam. Vestibular disease can be central or peripheral in origin. Although, advanced imaging such as a MRI or CT scan of the head is often recommended for vestibular disease to better characterize the brain and inner ear, an otic exam is the least invasive way to evaluate the patient and should be the next step, even prior to running blood work. Also, it is important to check blood pressure in an animal presenting with vestibular disease. Hypertension and vascular accident can be an important cause to rule out. It is a good idea to get the blood pressure before you draw the blood to minimize stress during the blood pressure readings.
82
An 8-year male neutered Maine Coon presents with a hot spot on the ventral neck. It appears infected, severely inflamed, and the cat has been scratching. This has been a seasonal occurrence for the last few years and allergies are suspected as the underlying cause. Physical exam reveals mild periodontal disease and a new grade 3/6 heart murmur. Which of the following treatments would be contraindicated in this patient? a. Chlorpheniramine (Chlortrimeton/antihistamine) b. Methylprednisolone injection (Depo Medrol/corticosteroid) c. Amoxicillin/clavulanic acid (Clavamox/antibiotic) d, Hypoallergenic diet
b. Methylprednisolone injection (Depo Medrol/corticosteroid) In cats with an undiagnosed heart murmur, a corticosteroid (especially Depo Medrol) is generally not a good idea. It has been theorized that cats with underlying heart disease, whether or not they have a heart murmur, can be pushed into congestive heart failure by administration of steroids. One theory is that the mineralocorticoid effect can cause fluid retention leading to overload and congestive heart failure. Another is plasma volume expansion as a result of an intra- to extracellular fluid shift that occurs due to glucocorticoid-mediated extracellular hyperglycemia. Clavamox in general is a good antibiotic for skin infections or abscesses in cats. Chlorpheniramine or antihistamine may help the cat with pruritus and would be acceptable for treating allergies in general. A hypoallergenic diet may help this cat if the allergy had a food component (which is less likely with seasonal allergies), but certainly would not be contraindicated.
83
A 3-year old male domestic shorthair cat presents for a two day history of lethargy, vomiting and vocalizing progressing to recumbency. On initial evaluation, heart rate is 100 bpm, pulse quality is poor, mentation is obtunded, and there is a large firm bladder on abdominal palpation. An intravenous catheter is placed. Which of the following is the most immediately life-saving intervention? a. IV administration of a balanced electrolyte solution b. IV administration of calcium gluconate c. Placing a urinary catheter to relieve urethral obstruction d. IV administration of sodium bicarbonate e. IV administration of regular insulin f. IV administration of dextrose
b. IV administration of calcium gluconate ## Footnote Calcium gluconate will serve to immediately counter the effects of hyperkalemia-induced bradycardia and cardiovascular collapse in this cat with a most-likely diagnosis of urethral obstruction. The other interventions will help to reduce the level of potassium and could be a part of therapy but may not take effect rapidly enough to address the most life-threatening component of the cat's illness.
84
A 3-month old kitten presents for mucoid diarrhea and anemia. You have recently seen several other puppies and kittens with similar clinical signs that were infected with Strongyloides stercoralis. What is the best way to confirm this diagnosis in this cat? a. Baermann fecal technique b. Direct fecal smear c. Fecal flotation d. Fecal sedimentation
a. Baermann fecal technique ## Footnote The correct answer is Baermann fecal technique. Strongyloides stercoralis mainly causes a mucoid diarrhea and possibly anemia in puppies and kittens. It passed in the feces in the L1 larvae form. The best technique for recovering larvae is the Baermann technique. Fecal flotations are good for eggs that float. Fecal sedimentation is good for eggs that sink, such as most fluke eggs. A direct fecal smear can find any type of egg or larva passed in feces but does not concentrate the sample to improve the yield in finding the eggs or larvae.
85
An unvaccinated domestic short hair is brought to your clinic after biting a human. The cat appears clinically healthy. What is the best course of action? a. Vaccinate the cat immediately and quarantine it for 45 days b. Vaccinate the cat after 6 month quarantine c. COnfine the cat and observe for 10 days d. Vaccinate the cat immediately and quarantine it for 10 days e. Quarantine the cat for 10 days, or euthanize it and test it for rabies
e. Quarantine the cat for 10 days, or euthanize it and test it for rabies The best answer is to quarantine for 10 days, or euthanize it and test it for rabies. You may confine the cat and observe it for 10 days if it is vaccinated.
86
A 1-year-old domestic short hair presents for patchy alopecia that is most severe around the eyes. The owner reports that the other cats in the household have similar lesions and the cats are itchy. You are very suspicious of Demodex. Which diagnostic test would be most useful? a. Trichogram b. Superficial skin scrape c. Bacterial culture d. Deep skin scrape e. Fungal culture
b. Superficial skin scrape The key to this question lies in realizing that the cat most likely has Demodex gatoi since this is the only Demodex species that is contagious. Also Demodex gatoi is often very itchy. Demodex gatoi differs from Demodex cati in that it infects the epithelium and not the hair follicle. Thus, the best test would be a superficial skin scrape. The best diagnostic test for Demodex cati would be a deep skin scrape. A trichogram refers to analyzing hair and is a useful test for dermatophytes and follicular mites. A bacterial culture may be indicated if you have a secondary infection. A fungal culture is not useful for Demodex.
87
A 5-year-old male neutered domestic short hair presents with miliary dermatitis. The owner explains that the pruritus and skin lesions started about 1.5 years ago and have progressed since then. The cat lives indoors only, and no other animals are in the household. The cat is not on any flea control, since the owner has never noticed any fleas. You perform a dermatological examination and no flea excrement or fleas are found. What do you tell the owner? a. The clinical signs are likely due to flea allergy dermatitis and flea treatment is not necessary since neither fleas nor flea excrement were found on examination; recommend treating with a short course of steroids b. The clinical signs are most likely not related to flea allergy dermatitis, as neither fleas nor flea excrement were found on examination; further work-up of environmental allergies should be performed c. The clinical signs are most likely not related to flea allergy dermatitis since the cat lives indoors and is affected year long; recommend a diet trial with a novel protein diet d. The clinical signs are likely due to flea allergy dermatitis and flea treatment is necessary
d. The clinical signs are likely due to flea allergy dermatitis and flea treatment is necessary ## Footnote The correct answer is that you are suspicious of flea allergy dermatitis and flea treatment is necessary. In warmer climates, flea allergies can be seen year-round. And like other allergic disorders, flea allergy dermatitis can also be progressive. It is not surprising that fleas or flea excrement were not detected. Animals, particularly cats, who are pruritic typically either scratch or lick off the fleas and their excrement. The clue that suggests flea allergy dermatitis is that the cat has miliary dermatitis and is not on any flea control. However, the cat may also have a food and/or environmental allergy. Flea treatment should be considered before work-up of food or environmental allergies, since a work-up can be lengthy and expensive. Steroids can be used to treat flea allergy dermatitis, but this is only palliative therapy and should be used with appropriate flea medication.
88
Which test is the most accurate for diagnosing pancreatitis in the cat? a. Serum lipase b. Serum TLI c. Serum amylase d. Pancreatic biopsy
d. Pancreatic biopsy ## Footnote The correct answer is pancreatic biopsy. Amylase, lipase, and TLI are all unreliable indicators of pancreatitis in cats because they can be normal or elevated in cats with and without pancreatitis. The histologic appearance of pancreatitis in the cat is peripancreatic fat necrosis with acinar cell necrosis and inflammation. Although often impractical, pancreatic biopsy is the "gold standard" for diagnosing pancreatitis.
89
A 3-year old male domestic shorthair cat presents for a two day history of lethargy, vomiting and vocalizing progressing to recumbency. On initial evaluation, heart rate is 100 bpm, pulse quality is poor, mentation is obtunded, and there is a large firm bladder on abdominal palpation. An intravenous catheter is placed. Which of the following is the most immediately life-saving intervention? a. IV administration of sodium bicarbonate b. IV administration of dextrose c. IV administration of calcium gluconate d. Placing a urinary catheter to relieve urethral obstruction e. IV administration of regular insulin
c. IV administration of calcium gluconate ## Footnote Calcium gluconate will serve to immediately counter the effects of hyperkalemia-induced bradycardia and cardiovascular collapse in this cat with a most-likely diagnosis of urethral obstruction. The other interventions will help to reduce the level of potassium and could be a part of therapy but may not take effect rapidly enough to address the most life-threatening component of the cat's illness.
90
A 10-year old cat presents with a history of chronic constipation and hasn't had a bowel movement in several days. The owner says the cat is uncomfortable and breathing heavy when she strains to defecate. T= 102.8 F (39.3 C), P= 220, R= 75. You take radiographs (see image). Which course of treament is most appropriate for this cat? a. Lactulose and Cisapride b. Surgery c. Thoracocentesis d. Manual deobstipation
b. Surgery ## Footnote The radiographs show the colon in the thoracic cavity. This finding is consistent with a diaphragmatic hernia. The best course of treatment is surgery to return the abdominal organs back into their appropriate place and close the defect in the diaphragm. Note that the cat has an increased respiratory rate, due to the colon being in the chest.
91
A 5-year old male castrated domestic short haired cat presents for pollakiuria, hematuria, and dysuria. Which of the following is the least likely differential diagnosis in this cat? a. Cystitis b. Pyelonephritis c. Urethral obstruction by uroliths d. Feline lower urinary tract disease
b. Pyelonephritis ## Footnote The correct answer is pyelonephritis. Pollakiuria and dysuria are lower urinary tract signs that are not consistent with pyelonephritis alone. Pyelonephritis causes systemic signs such as fever, anorexia, and depression.
92
A client brings in her 3-year old cat who she heard scream in her basement and then found recumbent and vocalizing. Since then, the cat has become very rigid with muscle spasms. What could have happened? a. Black widow spider bite b. Brown recluse spider bite C. Copperhead snake bite d. Wasp envenomation
a. Black widow spider bite The correct answer is black widow spider bite. Latrodectus mactans and L. hesperus are the scientific name for this spider. They make a toxin that binds to calcium channels, increasing membrane permeability and enhancing depolarization. Ascending motor paralysis and destruction of peripheral nerves ending occur. A single bite may be serious to adult humans and could kill a small animal. Clinical signs occur almost immediately with pain, dur in part to the release of acetylcholine, which stimulates contraction of major muscle groups. There may be ascending motor paralysis, muscle spasms, muscle rigidity, and salivation. Death from respiratory or cardiovascular failure is possible.
93
What is a common side effect of xylazine administration in cats? a. Anuria b. Vomiting c. Polycythemia d. Miosis e. Seizures
b. Vomiting The correct answer is vomiting. Xylazine frequently causes vomiting in cats. In fact, veterinarians use Xylazine when they wish to induce emesis in cats. It can also cause decreased PCV, mydriasis, and diuresis.
94
A 1.5-year-old spayed female cat presents with a 7-day history of vocalizing, rolling, and allowing a male neutered cat in the household to mount her. The cat has gone through one simi;ar episode 1 month ago. She otherwise has been behaving normally and has no other health problems. You performed an ovariohysterectomy on the cat at 3 months of age. You perform vaginal cytology which shows some cornified epithelial cells but is inconclusive. You measure serum lutenizing hormone of 0.2ng/mL (normal for an ovariectomized female is \> 1ng/mL). Which of the following is the most appropriate course of action? a. Order MRI of the brain to rule out a pituitary tumor b. Measure serum estrogen and progesterone levels c. Measure serum testosterone levels d. Exploratory laparotomy to remove the ovarian remnant
d. Exploratory laparotomy to remove the ovarian remnant This is a classic description of ovarian remnant syndrome, which is when a cat goes into estrus after previously having an ovariohysterectomy (OVH). This can occur anywhere from weeks to years after OVH and typically the clinical signs consistent with estrus are sufficient to conclude that the cat is in estrus and has ovarian tissue present. Additional diagnostic tests that are consistent with ovarian remnant syndrome include: Serum estrogen \>70 pmol/L indicate that the cat has estrogen production from the ovary. The problem with this test is that estrogen measurements may fluctuate and can be unreliable. Serum progesterone \>6 nmol/L after induced ovulation is sufficient to conclude that corpora lutea formed and released progesterone. Testing for serum LH levels can also help confirm the diagnosis. In intact queens, LH is consistently maintained at basal levels due to negative feedback from ovarian estradiol secretion. After OVH, this control is lost and LH concentrations increase. LH \<1 ng/mL is consistent with the presence of an ovary as it is in this case. Surgery is the treatment of choice. Many practitioners prefer to do surgery during estrus or diestrus when the ovarian tissue is enlarged and easier to locate. Remnants may be bilateral so a complete exploratory laparatomy is necessary. Ovarian tissue is most commonly at the ovarian pedicle but can also be in the mesentery or elsewhere.