Who are the “smelly little thiefs”?
Ferrets
A Ferret comes into the clinic, and you diagnose it with Influenza. Where did it most likey get the virus?
From the Owner
What is the average life span of a ferret?
7-8 years
What kind of activity/foraging behavior do ferrets exhibit?
Crepuscular
Active at twilight
What is Waardenburg Sydrome?
A color-linked congential deafness seen in blaze and panda ferrets
the often bite because they are easily startled
You see this tattoo while examining a ferret.
Where was it bred and what do you know about it now?

Bred from Marshal Farms - North Rose, NY
It has been neutered and descented
T/F: Ferrets are near-sighted, have a good sense of smell and a flat skull
True
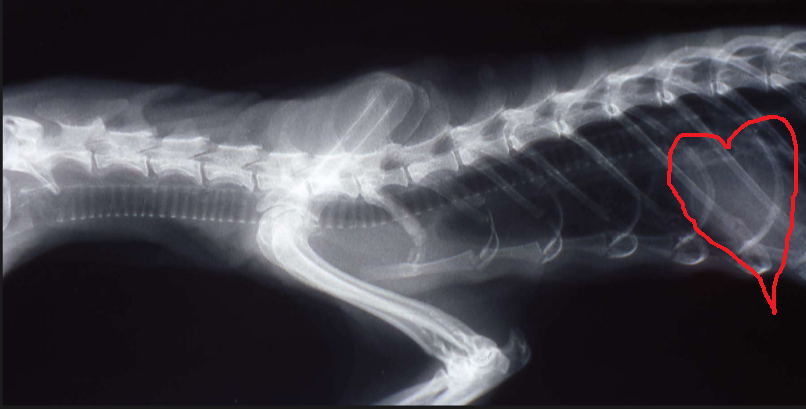
What is this doctor listening to on this ferret?

The heart.
It sits more caudally than the typical elbow landmark.

Ferrets have a (large/small) lung capacity and (large/small) diameter airways,
Ferrets have a large lung capacity and large diameter airways,
What is the avergae HR of a ferret?
What does a normal ECG look like?
HR 180-230
Tall R Waves
Normal to have a sinus arrhythmia
Abnormal but common: AV Block
How would you classify a ferret’s diet?
Strictly Carnivorous
T/F: Ferrets lack a cecum and have a GI transit time of ~3 hours.
True
What characteristics should you look for in a ferret diet?
High protein (35-40%)
High fat (15-20%)
Low fiber (<3%)
How do you weigh a ferret?
In grams, with a gram scale
Name 4 injectable sedatives that can be used in ferrets
Butorphanol (AKA torbugesic - long lasting)
Midazolam (Flumazinel reversal)
Dexmeditomadine (Atipamezole reversal) (AKA Dexdormitor and Anti-sedan)
Alfaxalone
What happens if you give a ferret CDV vaccine made for dogs?
They can contract CDV. Must use a vaccine made for ferrets!
Must be modified live monovalent vaccine
When do we vaccinate ferrets for canine distemper virus?
At 12 and 16 weeks
My ferret likes to hang out with the local raccoon. I noticed that after a week of playing with the raccon, his foot pads are becoming thickened and his skin is kind of an orange/red. What should my veterinarin do to diagnose his problem?
Look for inclusion bodies in a skin biopsy
Sounds like Canine distemper :(
T/F: Ferrets need to be vaccinated every 3 years for rabies.
Depends ..
They can get the vaccine yearly, but it depends on local laws and prevelance of the disease in your area.
Vaccine reactions are very common in ferrets. How long after giving a vaccine does the reaction typically occur?
Within 30 minutes
We can pre-medicate with antihistamines
We can give antihistamines and steroids after if a reaction occurs.
What are 5 venipuncture sites on a ferret?
When taking blood on a ferret, what should you add to the needel because of thier slow blood flow?
What does this mean about blood testing?
Add heparin to the syringe to prevent blood clot
Cant do CBC if heparin used, but can do chemistry
What pH does ferret urine usually run?
5.5-6.5
Common to have crystal formation
T/F: Urinary Tract Obstruction is a common emergency that is more prevelant in male ferrets than female ferrets
True
Some causes are Urolithiasis, Prostatomegaly, Adrenal Dz