Fetal Echo 2 Flashcards

(318 cards)

1
Q

Sustained SVT can cause what cardiac finding that typically results in hydrops

A

Dilated cardiomyopathy

How well did you know this?
1
Not at all
2
3
4
5
Perfectly
2
Q

What is the most common fetal anomaly that is associated with complete heart block?

A

Left atrial isomerism

How well did you know this?
1
Not at all
2
3
4
5
Perfectly
3
Q

The SVC is located ________ of the ascending aorta

A

Posterior and to the right

How well did you know this?
1
Not at all
2
3
4
5
Perfectly
4
Q

The azygos vein delivers __________ to the SVC

A

Deoxygenated blood from the posterior wall of the thorax and abdomen

How well did you know this?
1
Not at all
2
3
4
5
Perfectly
5
Q

What vein travels from the mid abdomen to the upper mediastinum?

A

Azygos vein

How well did you know this?
1
Not at all
2
3
4
5
Perfectly
6
Q

The ________ courses vertically, anterior to the brachiocephalic artery

A

Right brachiocephalic vein

How well did you know this?
1
Not at all
2
3
4
5
Perfectly
7
Q

The left brachiocephalic vein courses ________ and is ________ to the 3 aortic arch branches and _______ to the thymus

You can visualize it by _________

A

Horizontally

Anterior

Posterior

Sweeping cephalad to the 3VT view

How well did you know this?
1
Not at all
2
3
4
5
Perfectly
8
Q

What flow is this? Is it normal or abnormal?

A

IVC normal

IT IS TRIPHASIC

How well did you know this?
1
Not at all
2
3
4
5
Perfectly
9
Q

What flow is this? Is it normal or abnormal?

A

IVC, abnormal

How well did you know this?
1
Not at all
2
3
4
5
Perfectly
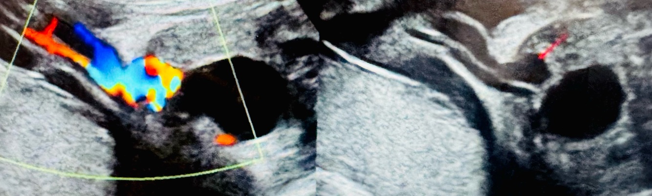
10
Q

What pathology?

A

Interrupted IVC with azygos continuation (see double vessel sign)

How well did you know this?
1
Not at all
2
3
4
5
Perfectly
11
Q

What pathology?

A

LSVC

How well did you know this?
1
Not at all
2
3
4
5
Perfectly
12
Q

What 3 syndromes are associated with absent/agenesis of the ductus venosus?

What can it cause?

A

1) Noonan syndrome

2) Trisomy 13/18/21

3) Turners

—-can cause volume overload, increased cardiac output and hydrops

How well did you know this?
1
Not at all
2
3
4
5
Perfectly
13
Q

The MCA is most common method for evaluating for _______

It should be measured as close to ______

The flow starts out ________ In first trimester and then becomes _________ in 2nd and 3rd trimester

It normally has a higher resistance than _______

If there is increased diastolic flow it suggests _______

Diastolic flow reversal suggests_____

**Normal peak systolic value is _____

Moderate to severe is _____**

A

Anemia

The ICA as possible

With high pulsatility and no diastolic flow

Lower pulsatility with some antegrade diastolic flow

The umbilical artery.

Brain sparing and therefor IUGR

Pending fetal demise

**<1.3

> 1.5**

How well did you know this?
1
Not at all
2
3
4
5
Perfectly
14
Q

The umbilical cord usually has how many arteries and veins?

A

2 arteries, 1 vein

How well did you know this?
1
Not at all
2
3
4
5
Perfectly
15
Q

What pathology?

A

See UV pulsations

How well did you know this?
1
Not at all
2
3
4
5
Perfectly
16
Q

What pathology? Describe. What can it be confused with and how can you tell the difference? When does it occur?

A

Umbilical vein varix

A locally dilated segment of the umbilical vein

Can be confused with umbilical vein cyst. (Varix has color flow cysts dont)

Can occur when there is volume overload

ASSOCIATED WITH TRISOMY 21

How well did you know this?
1
Not at all
2
3
4
5
Perfectly
17
Q

When can a low S/D ratio and RI be normal?

UA flow is considered abnormal when ______

A

In 2nd and 3rd trimesters

Absence of diastolic flow or diastolic flow reversal

How well did you know this?
1
Not at all
2
3
4
5
Perfectly
18
Q

List 9 things you might see with IUGR

A

1) Abnormal UA flow (decreased/absent or reversed)

2) IVC flow reversal during atrial contraction

3) flow reversal at the aortic isthmus (for severe IUGR)

4) decreased PI in MCA

5) decreased cardiac output

6) decreased S/D ratio

7) mitral inflow E/A > 1.0

8) prolonged myocardial performance index

9) increased pulsatility of the ductus venosus

How well did you know this?
1
Not at all
2
3
4
5
Perfectly
19
Q

3 signs of fetal anemia:

A

1) high cardiac output

2) increased velocities in MCA, descending aorta, and umbilical vein

3) increased pulsatility and a wave reversal of ductus venosus

How well did you know this?
1
Not at all
2
3
4
5
Perfectly
20
Q

What pathology? And what are 2 names for it?

A

Skin edema (also called “Anasarca”)

How well did you know this?
1
Not at all
2
3
4
5
Perfectly
21
Q

TR severity scale:

A

Trivial — nonholosystolic <200m/sec
Mild—- holosystilic, 30-100m/sec
Mod—- 100-200m/sec
Severe—- >200m/sec

How well did you know this?
1
Not at all
2
3
4
5
Perfectly
22
Q

What is the most common tumor of the PLACENTA?

List 3 characterisitics of their appearance

And 3 things can it lead to?

A

Chorioangioma

Highly vascularlized, large hypoechoic mass near cord insertion

Heart failure, hydrops, Polyhydramnios

How well did you know this?
1
Not at all
2
3
4
5
Perfectly
23
Q

The IVC converges with the ductus venosus and what other structures? What do they merge into?

A

3 hepatic veins

Subdiaphragmatic vestibules

How well did you know this?
1
Not at all
2
3
4
5
Perfectly
24
Q

Most cases of interrupted IVC are related to ______ (what percent?)

A

Left atrial isomerism (80%)

How well did you know this?
1
Not at all
2
3
4
5
Perfectly
25
If diastolic flow reversal of the ductus venosus is present in a FIRST trimester pregnancy, what should be suspected?
Chromosomal abnormality
26
CHF
27
What is the most common cause of hydrops in North America?
Dilated cardiomyopathy caused by tachycardia or bradycardia
28
Significant tricuspid regurgitation in the first trimester is associated with:
Trisomy 21
29
In cases with moderate to severe TR what other vessel should be sampled by Doppler to assess for the development of hydrops?
Ductus venosus
30
An umbilical varix seen with duodenal atresia and AVSD strongly suggests:
Trisomy 21
31
With an unroofed coronary sinus, the coronary sinus becomes ________
Dilated
32
What fetal echo view best demonstrates an ASD?
Subcostal 4 chamber view
33
What 2 associated defects are often seen with a secundum ASD
Mitral valve prolapse and PAPVR
34
What associated defect is commonly associated with a common atria?
Heterotaxy
35
1) An anterior malalignment is associated with ________ and _______ **2) A posterior malalignment VSD is associated with _______, _______, and _______**
1) Tetralogy of Fallot and DORV **2) Subaortic stenosis, coarctation, and interrupted aortic arch**
36
What is the best view to evaluate a perimembranous VSD?
5 chamber or longitudinal view of aorta
37
A VSD < _____ cannot be identified on fetal echo
< 3 mm
38
What maternal risk factor is commonly associated with VSD?
Maternal alcohol use
39
An unobstructed VSD flow is usually what direction fetaly?
Bidirectional
40
What percent of AVSD is complete?
70%
41
Rastelli types
A-crest of the septum B- RV papillary muscle on right side of septum (most rare) C- free floating
42
What pathology?
Gooseneck deformity of AVSD
43
_______ % of AVSD have defects in other fetal systems _____% if AVSD are associated with chromosomal abnormalities
50% 40-60%
44
An AVSD valve has ______ leaflets and a ________ across the AV valves
5 leaflets Linear insertion
45
Normal S/D ratio of MCA
> 6
46
What rhythm
Fetal SVT
47
With HLHS ______ is a commonly associated finding that should be closely monitored. It is also important to document the ______
Restrictive PFO DA patency
48
In HLHS how are the coronaries supplied?
Retrograde filling from the DA
49
Aside from left heart hypoplasia, what 4 thing will you see in HLHS fetal echo?
1) Restrictive or intact IAS 2) flow reversal in the aortic isthmus 3) **dilated PDA** 4) EFE
50
What is the most significant indicator of a ductal dependent lesion that will require prostaglandins postnatally?
Retrograde flow in the DUCTAL arch
51
How do we calculate restrictive IAS and what ratio is significant?
Trace the forward pulmonary vein waveform and the pulm vein reversal wave form for VTI tracings. Fwd/reversal < 3:1 is significantly restrictive
52
In HLHS the cardiac axis is usually ________. What 2 things give HLHS a poor prognosis?
1) Normal (?? Most other cards say rightward??) 2) restrictived IAS and tricuspid regurgitant jet
53
What 2 drugs are associated with HLHS
Trimethadione and valproic acid
54
What pathology?
Reversal of pulmonary A wave in HLHS patient with restrictive PFO
55
What direction will the PFO shunt in HLHS?
Left to right
56
List 6 associated cardiac findings with critical AS
1) LV dilation 2) possibly reduced systolic function 3) velocity > 200m/sec through AoV 4) Dilated aortic root 5) monophasic MV flow (shortened diastolic filling) 6) can lead to L-R IAS shunt
57
What pathology?
HLHS intact IAS (see dilated atria)
58
What pathology?
HLHS (see MR/dilated pulmonary veins/ enlarged RV/small LV cavity)
59
List the 4 common risk factors for HLHS
1) abnormal nuchal translucency 2) Turner syndrome 3) Trisomy 13 4) maternal drug use (trimethadone and valproic acid)
60
What is the most common associated finding of HLHS
Coarctation
61
When evaluating an HLHS patient what is a good supplemental measurement to provide and why?
Ascending aorta diameter— to predict postnatal outcomes after Norwood procedure
62
What 2 things must be documented with HLHS to determine risk for intervention
1) presence and direction of PFO 2) VTI of pulmonary venous forward & reversal flow
63
What is associated another name for hypoplastic right heart syndrome? And what syndrome is associated with both it AND HLHS?
Pulmonary atresia with intact septum. Short rib polydactyl syndrome (series of skeletal anomalies)
64
List the 3 parts of that comprise a “tripartite” ventricle And which part is underdeveloped in HRHS?
1) inlet 2) musculur 3) outlet Any of them
65
With a suprasystemic RV there can be ______
LV outflow tract obstruction
66
List 5 finding for HRHS
1) coronary sinusoids 2) possible atretic or hypoplastic pulmonary or tricuspid valves 3) flow reversal in DUCTAL arch 4) severe high velocity TR 5) ductus venosus flow reversal of A wave
67
What pathology?
HRHS (PA intact IVS)
68
HRHS most commonly occurs with what type of great artery relationship?
Normally related
69
What is HRHS associated to risks?
1) maternal Rubella 2) maternal use of accutane, Thalidomide, and Valprioic acid
70
What pathology?
Reverse oriented ductus, often seen in pulmonary atresia
71
About 50% of Pulmonary atresia with VSD _______ Pulmonary atresia with VSD may also ______
Have no PDA May have MAPCAS
72
What is short rib polydactyl syndrome associated with?
HLHS, HRHS (PA intact septum), TriAtresia
73
What are 4 associated risks of tricuspid Atresia?
Rubella, enterovirus, lithium, and short rib polydactyl syndrome (skeletal abnormalities)
74
After an abnormally small right heart is identified what should be done next?
Evaluate the PV and TV annulus sizes and apply color/spectral Doppler
75
List 2 differences between PA with VSD and PA with intact IVS
PA with VSD— normal RV size, abnormal 5chamber (overriding aorta/VSD) PA intact IVS- small RV, normal 5chamber
76
What cardiac defect is always present with tricuspid atresia?
VSD
77
What is the most common structural abnormality that causes tricuspid atresia?
Abnormal muscular growth
78
What are 4 risk associations with single ventricles
1) paternal marijuana use 2) maternal smoking 3) alcohol use 4) cocaine use
79
Supravalvar AS in conjunction with ______ should raise suspicion for _______
Peripheral pulmonary stenosis William’s syndrome
80
What is the most common type of stenosis found in a fetus?
Valvar AS
81
Define Mild, mod, and severe AS
Mild—- color aliasing at valve level with peak 100-200cm/sec Mod— color aliasing with pk >200cm/sec, restrictive mitral valve leaflets, and possible Mild LVH Severe- color aliasing with pk >200, aortic and mitral regurgitation are present, flow reversal in arch, reduced E/A waves
82
What finding in a 3VV would indicate valvular aortic stenosis
Dilated aortic arch (While flow reversal in the aortic arch could also be present, if SEVERE)
83
What type of PS is seen in TTTS?
Infundibular develops first (most common), followed by subvalvular
84
EFE is not only seen in HLHS and restrictive heart disease, but it can also be seen in:
AS and PS
85
Severe PS cause flow reversal in _____
The ductal arch during atrial contraction
86
What is a fetal 2D sign of valvar thickening/stenosis?
Pulmonary leaflets visible through systole and diastole
87
Pulmonary stenosis is rarely _____
An isolated finding
88
Which type of PS is most common?
Valvar
89
What 3 findings indicate significant pulmonary stenosis from 3VV
1) post stenotic dilitation of the pulmonary artery 2) turbulent color flow in pulmonary artery 3) flow reversal in the ductus arteriosus
90
Serial evaluations of a fetus with known pulmonary stenosis should include documentation of what additional 4 areas?
1) RV size/function 2) flow direction across ductal arch 3) flow direction across PFO 4) TR peak velocity
91
List 5 syndromes associated with coarctation
1) Turner’s syndrome 2) DiGeorge 3) All 3 trisomies
92
What cardiac lesion is associated with Berry aneurysms in cerebral circulation?
Coarctation
93
What is associated with Rubella and Takayasu arteritis?
Thoracic coarctation
94
Most coarctation cases will show _______ flow at IAS While severe cases will show ______in the transverse arch
Bidirectional shunting Retrograde flow
95
A transverse arch measurement of _____ as well as _______indicates severe coarctation **Also an Ao/PA ratio of ______ = severe coarctation**
< 3mm after 30weeks GA Bidirectional or all LEFT TO RIGHT shunting at the IAS <0.625
96
What defect?
Posterior malalignment VSD (most often seen in interrupted arch type B)
97
What pathology?
Interrupted arch (no arch demonstrated with enlarged PA)
98
What pathology?
Interrupted aortic arch (the ascending aorta courses straight and does not curve)
99
What pathology?
Interrupted aortic arch. (Also this, different view)
100
What pathology?
Double aortic arch
101
What pathology?
Double aortic arch (even though not a circle or a trident, still 3 large vessels)
102
Aside from truncus what 4 other things will you see in truncus echo?
1) leftward axis deviation 2) anterior malalignment VSD 3) likely no ductus 4) possible right arch
103
What percent of truncal valves have insufficiency?
50%
104
List 3 risk factors for truncus
1) DiGeorge 2) Phenylketonuria 3) Maternal diabetes
105
Truncus Arteriosus types are based off of ____, _____, and _____. The Van Praagh classification may include a ______ (which is A? Which is B?) Describe each type. The most common type is _____ at _____%
based on branch pulmonary arteries, the development of the aortic arch, and the presence of a PDA. With Van Praagh Each type may include a modifier "A" (with VSD) of "B" (intact ventricular septum). • Type 1: The main pulmonary is present and bifurcates into the left and right pulmonary arteries (same as Collette and Edwards classification). PDA is not usually present • Type 2: The right and left branch pulmonary arteries arise from the common trunk (usually back of trunk) PDA is not usually present • Type 3: One branch pulmonary artery (typically the right) arises from the common trunk (usually on sides) (van praag type 3 says the other arises from the descending aorta or **sometimes** a PDA) • Type 4: This type is defined by presence of aortic arch hypoplasia, coarctation or interrupted aortic arch and a large PDA. With PAs most often coming off the aorta or PDA **most likely type to have a PDA** (Van Praagh type 4 is truncus with interrupted arch, others are the same) **Type 1 (A1) is most common at 60%**
106
What pathology?
Truncus arteriosus
107
A truncal valve usually has ______ which can lead to _______
Insufficiency CHF/pulmonary obstructive vascular disease
108
All of the above
109
Which CHD is rarely associated with chromosomal abnormalities?
DTGA
110
What is a good way to distinguish DTGA with DORV/Side by side great arteries?
DORV has VSD even though VSD is DTGAs most common associated defect, they more commonly don’t have a VSD
111
What is most likely diagnosis?
TGA
112
What is most likely diagnosis?
DORV (side by side great arteries with VSD)
113
What extracardiac anomaly is commonly seen with TGA?
None
114
In DGTA what needs to be evaluated?
The size/patency of the PFO
115
What pathology?
LTGA (notice aorta is anterior and leftward)
116
What pathology?
LTGA (with a Ebstein’s) (—-notice abdominal aorta on the same side as RV)
117
Describe LTGA
Discordant AV connection and ventriculoarterial connection (the morphological LA connects to RV to Lv
118
What is the most common arrhythmia associated with LTGA?
Complete heart block
119
What is the best view to identify LTGA?
4chamber
120
What syndromes are TOF associated with?
Digeorge, Trisomy 21, and Apert syndrome
121
Wha maternal risk factors are linked to TOF?
Maternal diabetes, phenylketonuria, and thrombocytopenia
122
Which CHD is more commonly associated with MAPCAs? With coronary sinusoids?
TOF with severe PS (but PA also has them) Pulm atresia
123
Wha pathology?
PS from ductal view (TOF patient)
124
Wha pathology?
Pulmonary atresia (the pulmonary artery is missing, the aorta is present next to SVC)?
125
What CHD has vessels originating from the splanchnic vascular nerve plexus is which connects to the systemic and pulmonary arterial vasculature to supply pulmonary flow
Tet pulmonary atresia with MAPCAs (rarest form of TOF)
126
What pathology?
TOF/PA with MAPCAS (see blue MAPCAS along arch)
127
What pathology?
Tet absent pulmonary valve (notice massively dilated PAs)
128
In a fetus with Tetralogy of Fallot with Pulmonary Atresia and VSD how do the pulmonary arteries receive blood flow?
Through the PDA **If no PDA than through MAPCAs!**
129
If a fetus has TOF/pulmonary atresia intact septum then nearly half the cases ______. How does these cases supply blood flow to branch PAs?
Have no ductus MAPCAS
130
List 4 findings seen with TOF absent pulmonary valve syndrome
1) massive MPA and branch PAs 2) markedly dilated RV 3) CT ratio usually over 60% 4) large anterior malalignment VSD with overriding aorta
131
List 4 DOPPLER findings in TOF absent pulmonary valve
1) to and to flow across the rudimentary PV 2) Reversed end-diastolic flow in umbilical artery 3) reversed flow in the MCA 4) TR
132
Wha syndrome is associated with severe levocardia and hypoplastic right lung?
Ebstein’s anomaly
133
What is the most severe form of Ebstein’s anomaly called?
Imperforate Ebstein’s anomaly (no flow detected across TV)
134
List 6 echo findings for Ebstein’s
1) TR from mid ventricle 2) RA dilation (also cardiomegaly) 3) also extreme levocardia 4) often retrograde ductal flow 5) often functional pulmonary atresia 6) increased IVC A wave reversal, ductus venosus and umbilical vein pulsatility
135
What pathology?
Ebstein’s (TR from mid RV)
136
What pathology?
(Ascites and pericardial effusion in patient with Ebstein’s)
137
What pathology?
TV dysplasia (not Ebstein’s—- notice how valve is not apically displaced)
138
What measurement index is associated with Ebstein’s anomaly and how do you do it?
Calermajer index The area of the right atrium and the atrialized portion of the right ventricle to the area of the functional right and left ventricles. > 1.5 is poor prognosis
139
What 3 Doppler findings should be measured on serial exams of ebstein patients?
1) TR velocity 2) umbilical artery flow 3) MCA flow
140
To detect progressing heart failure
141
What 4 syndromes are associated with TAPVR?
Turners, Noonan’s, Pentalogy of Cantrell, and Asplenia
142
What pathology?
Supracardiac TAPVR (notice vertical vein and dilated SVC)
143
What classification system is used to identify TAPVR types? And what are these classifications?
The Craig Classification Type 1: Supracardiac Type 2: Cardiac Type 3: Infracardiac Type 4: Mixed
144
What pathology?
TAPVR with posterior confluence (patient also with dextrocardia, AV canal and DORV)
145
List the 4 types of PAPVR
1) Type 1 (most common) R pulm veins drain to SVC often with sinus venosus 2) Type 2: Scimitar syndrome 3) Type 3: left veins drain to innominant or right veins drain to CS (often with second um ASD) 4) Type 4: left veins drain to CS, IVC, SVC, or right atrium
146
What pathology?
Scimitar syndrome (s) means hypoplastic right lung
147
All forms of TAPVR have _______
A pulmonary venous confluence
148
What 2 defects are commonly associated with TAPVR?
ASD and LSVC
149
List 4 secondary findings of anomalous pulmonary venous return on FE
1) RV larger than LV (LV can be under filled) 2) Dilated PA 3) SVC and 3VT 4) 4th vessel in to the left of the PA to in 3VT view is vertical vein
150
Normal
151
List the types of dilated cardiomyopathy
1) **High output failure** caused be anemia, hemophilia etc (**peripheral oxygen demand** causes heart rate and stroke volume to increase) 2)**Volume overload** from **arteriovenous shunt** like vein of Galen, TTTS, sacrococcygeal tumors 3)**Myocardial damage** from infection, autoimmune disease, SVT, or bradycardia
152
What is the most common type of CHD with maternal infection?
Dilated cardiomyopathy
153
What pathology?
Dilated CM (LV)
154
When is biventricular cardiomyopathy seen?
In ricipient twin of TTTS
155
When is isolated IVS hypetrophy most seen?
In mayernal insulin dependent diabetes
156
What is the most common type of CM? What is the 2nd most common?
Dilated Hypertrophic
157
What pathology?
Hypertrophic CM (biventricular)
158
What E/A ratio implies restrictive cardiomyopathy?
>1.0
159
When EFE occurs without CHD what is it called and what causes it?
“Primary EFE” Caused by maternal infection (coxsackie virus or lupus)
160
Maternal infection
161
List 4 causes of high output failure CM
1) severe fetal anemia 2) hemophilia 3) alpha-thalassemia 4) maternal Rh incompatibility
162
List 5 causes of volume overload dilated CM
1) Vein of Galen aneurysm 2) twin to twin transfusion 3) acardiac twin 4) sacrococcygeal teratomas 5) AV malformation
163
List 4 causes of myocardial damage type cardiomyopathy
1) Maternal infection 2) Maternal autoimmune disease (Sjogrens/SLE) 3) Supraventricular tachycardia (SVT) 4) Bradycardia/fetal anoxia
164
If cardiomyopathy goes untreated what will develop?
Hydrops
165
Which one creates higher risk of CHD, abnormal situs, cardiac axis abnormality, or cardiac position abnormality?
Cardiac axis abnormalities
166
90% of dextrocardia with dextroposition patients have _______
Corrected transposition
167
What syndrome is associated with situs inversus?
Kartagener syndrome
168
Situs inversus with levocardia is associated with what 2 things?
DORV and interrupted IVC
169
Situs ambiguous is associated with _____
Polysplenia or Asplenia
170
Situs solitus with extreme dextrocardia is associated with _____ Situs solitus with extreme levocardia is most associated with _____
LTGA Ebstein’s (Both have significant risk of CHD)
171
If the heart and stomach are on opposite sides it is most likely
Left atrial isomerism
172
With polysplenia the lungs are ______ With asplenia the lungs are ______
Bilobed Trilobed
173
Discordance of the stomach and cardiac apex is most likely ________
Asplenia
174
What is hyparterial bronchi and what is it associated with?
The PAs course over the lungs and then behind the bronchus Polysplenia
175
What are epiarterial bronchi and what is it associated with?
Pulmonary artery is anterior to the bronchus Asplenia
176
List 5 echo findings of left atrial isomerism
1) Interrupted IVC with azygous continuation 2) Complete heart block 3) AV canal defect 4) ASD 5) Bilateral SVC 6) PAPVR
177
List at least 5 echo findings of right atrial isomerism
1) Duplicated IVC 2) Unbalanced AVSD, Common atrium 3) Conotruncal abnormalities 4) TAPVR 5) single ventricle
178
What is present in almost all cases of asplenia?
Pulmonary stenosis/atresia
179
Which type of cardiac tumor is hyperechoic with multiple cystic areas and calcifications?
Teratoma
180
Which type of cardiac tumor is associated with Gorlin syndrome? What else is it associated with?
Fibromas Cleft lip/palate, and CHF
181
Which type of effusion is considered anterior? Which type is considered posterior/lateral/circumferential?
Pericardial effusion Pleural effusion
182
Which type of cardiac tumor is known for size, often causes severe cardiac rotation, impingement of right atrium and obstruction
Teratoma
183
Which tumor is a single nonencapsulated intramural tumor most commonly located within the myocardium of the left ventricular free wall or septum
Fibroma (3rd most common)
184
Which cardiac tumor is considered myxomatoid and trabeculated appearance
Fibroma
185
What pathology
Fibroma
186
Which type of tumor has mixed echogenicity and is vascularized?
Hemangioma
187
Which type of tumor is usually pedunculated and mobile, moving in and out of the left atrium through the AV valve?
Myxoma
188
Which type of congenital ventricular diverticulum are associated with other defects? These defects include ______
Apical CVDs Pentalogy of Cantrell (Non-apical ventricular diverticulums are usually isolated)
189
What best describes the typical sonographic appearance of a rhabdomyoma?
Hyperechoic and homogenous
190
List 4 associations of Alagille syndrome
Right heart defects Pulmonary branch artery stenosis Pulmonary valve stenosis TOF
191
List 4 associations of Apert syndrome
Developmental malformation Coarctation VSD Tetralogy of Fallot
192
What is another name for Tuberous Sclerosus and what are 2 associations of
Bourneville-Pringle Syndrome Mental retardation/developmental delay Rhabdomyomas
193
What are 6 associations of cat eye syndrome?
Distinctive eye abnormality ASD VSD Double Outlet Right Ventricle Pulmonary stenosis TAPVR
194
What 5 cardiac defects are associated with DeLange Syndrome?
VSD Tetralogy of Fallot Double Outlet Right Ventricle Coarctation of the aorta Interrupted aortic arch
195
What cardiac defects are seen in EDS?
Aortic dilation Coarctation of the aorta Interrupted aortic arch ASD VSD
196
List 4 associations of Ellis-Van Creveld Syndrome
More common in Amish community Bone growth malformation ASD Single atrium
197
List 2 associations of cytomegalovirus exposure
Hydrops Intracranial hemorrhage
198
List 10 associations of Rubella syndrome
Deafness, mental retardation Patent ductus arteriosus, pulmonary branch artery stenosis, ventricular septal defect, and tetralogy of Fallot, HRHS, AS,PS
199
List 3 associations with Fredrichs ataxia
Progressive damage to nervous system Pulmonary stenosis HOCM
200
List 3 cardiac lesions of Kleinfelter syndromes
MVP PDA ASD
201
List 2 cardiac manifestations of Lutembacher syndrome
Mitral stenosis ASD
202
What is another name for Velocardinal facial syndrome?
Digeorge
203
List 11 syndromes associated with VSD
204
List 10 syndromes associated with ASD
205
List 7 syndromes associated with TOF
206
List 7 syndromes associated with valvar stenosis
207
List 8 syndromes associated with coarctation
(Plus trisomies)
208
What 5 things will ductal constriction look like in echo?
Decreased pulsatility index. Tricuspid regurgitation with right heart failure/dilatation/hypertrophy and dysfunction Abnormal ductus venosus and umbilical vein waveforms
209
What is associated with thromboembolism?
Ductus arteriosus aneurysm
210
What CHD is associated with maternal heroine use?
AP window
211
What pathology
AP window
212
What is this and define It
When the LPA arises from the RPA and courses POSTERIOR to the trachea and ANTERIOR to the esophagus. Also this
213
What CHD makes it near impossible to obtain a four-chamber view at standard transverse plane through the fetal chest
Criss-cross Heart
214
Wha is it called when you have a direct communication of the papillary muscles to the mitral leaflets without connecting chordae or shortened chordae. What is it called when there is a single or very dominant papillary muscle or two very closely spaced papillary muscles
Arcade mitral valve. Parachute mitral valve
215
What pathology?
Chorioangioma (most common placental tumor, near cord insertion)
216
TTTS generally only happens in _______
Monochorionic identical twins (Can be mono-di or mono-mono)
217
What is the Myocardial performance index and and when/how do you do it? What is the normal range?
AKA “Tei” index —- measures time between AV valve closure and AV valve opening and measures the ejection time across the outflow. MPI=(ICT+IRT)/EJ Used for TTTS and IUGR Normal values are 0.28-0.44
218
What is TRAP syndrome?
Twin Reversed Arterial Perfusion Syndrome (AKA acardiac/parabiotic twin) Only in mono/mono twins Acardiac twin has no connection to the placenta with no to little cardiac structures The umbilical artery and veins join the donors. The normal twin/“pump” twin develops heart failure Very poor prognosis for both twins
219
What is it called when conjoined twins are fused from the upper chest to the lower chest? What is it called when they are fused from the upper thorax to lower belly? What is it called when they are fused at the lower abdomen?
Thoraco-omphalopagus Thoracopagus **the heart is always involved in these first two cases** Omphalopagus **the heart is never involved in this type**
220
What are parasitic twins? Wha is Craniopagus?
Twins that are asymmetrically conjoined, resulting in one twin that is small, less formed Fused skulls, but separate bodies
221
What pathology?
Conjoined twins who share heart
222
List the 5 cardiac findings associated with sacroccocygeal tumor
Polyhydramnios cardiomegaly heart failure IVC dilation **decreased diastolic blood flow of umbilical artery indicates blood steal from mass**
223
What pathology?
Sacrococcygeal teratoma (Note dilated IVC)
224
Infantile Hemangioendothelioma
Most common liver tumor Can cause heart failure due to AVMs
225
Describe cerebral arteriovenous malformation appearance on FE
1) right heart dilation/dysfunction 2) dilated neck vessels 3) reversal of flow in the aortic arch/isthmus without aortic regurgitation 4) absent or decreased diastolic flow in the umbilical artery Most common type is **vein of galen**
226
What is the most common prenatal cardiac intervention and what is the most common approach?
AS ballooning (through ventricle) Percutaneous approach
227
Describe the appearance of the twins in TTTS
Donor twin: growth restricted, appears stuck to the wall due to oligohydramnios Recipient twin: will develop hydrops and heart failure, polyhydramnios
228
A significantly dilated left brachiocephalic vein (innominate vein) indicates _________ An absent one indicates ________
Supracardiac TAPVR or Vein of Galen LSVC
229
Systolic velocity minus diastolic velocity divided by systolic velocity = **Can be used to measure**
Resistive index **Umbilical artery or MCA**
230
List the 6 CHD seen with abnormal cardiac situs and looping defects
-Dextrocardia • Mesocardia • Bilateral Right Atrial Isomerism • Bilateral Left Atrial Isomerism • ccTGA
231
What is the main cause of IUGR
Placental insufficiency (Which can lead to pressure and volume overload due to fetal stress)
232
Ebstein’s anomaly will cause a ______ IAS shunt and a ______ DA shunt
Right to left, and left to right
233
What is associated with a “slit-like” ventricle?
Tricuspid atresia or mitral/aortic atresia
234
Immune hydrops fetalis is caused by ______
Rh incompatibility
235
Coarctation does not usually cause _____
Cardiomegaly
236
Which fetal cardiac tumor is most commonly found in the ventricles and interventricular septum?
Rhabdomyomas
237
What pathology?
Left lung agenisis (heart is shifted leftward and the right lung is enlarged — as homogeneous tissue filling the whole right cavity m)
238
What is associated with semilunar and atrioventricular valve regurgitation, heart block, and myocarditis?
Cardiomegaly
239
What is the most common finding associated with the abnormality displayed?
Tricuspid regurgitation/right heart failure (the pic demonstrates ductal constriction not coarctation)
240
List 4 characteristics of donor twin in TTTS
1) small due to placental dysfunction 2) oligohydramnios (little fluid) 3) Hyperdynamkc heart to increase output due to low blood oxygen 4) chronic intrauterine hypoxemia
241
What is the most common defect seen in both asplenia and polysplenia?
ASD
242
What can cause lung enlargement, abnormal cardiac axis, inverted diaphragm, IVC displacement, and Polyhydramnios?
CCAM
243
Which of the following is least likely to cause hydrops: 1) Heterotaxy 2) HLHS 3) Ebstein’s 4) SVT?
HLHS
244
The most common form of CHD associated with dextroversion is ___
Corrected transposition
245
Wha pathology?
Dilated cardinal vein
246
Which of the following is an echocardiographic characteristic seen in a fetus with significant aortic stenosis?
Mitral valve demonstrates restrictive motions
247
The _________ is the contraction of the myocardium with increasing pressure, but no volume change The _________ is the relaxation of the myocardium with decreasing pressure, but no volume change
IVCT IVRT
248
Complete septation of the heart normally occurs by week ?
8
249
When assessing a perimembranous VSD what is the most common other defect seen?
Coarctation
250
What structure is A?
Main PA
251
Wear gowns that are _______. Wash hands and then _______, then _______ If any gown becomes wet it should ______
Long and large Put on mask, then gown, then gloves Should be removed
252
Vertex **its transverse of the UTERUS not baby position**
253
Higher mean arterial pressure in the pulmonary artery will cause ________
Shorter acceleration times than the aortic flow
254
A muscular VSD is identified in a 22 week fetus. What will be the next step?
Karyotyping
255
Total peripheral resistance is decreased
256
PS
257
Note amount of movement in the extremities/body
258
Right to left
259
IVC
260
Situs inversus with extreme levocardia is associated with DORV, CCTGA, and what?
Interrupted IVC
261
Pulmonic stenosis, tricuspid atresia, conotruncal abnormalities and coarctation are the most common associations with:
First trimester febrile illness
262
Anterior
263
Significantly enlarged right atrium
264
What is the best way to obtain fetal abdominal aorta flow with pw?
Ensure the angle of incidence is less than 60 degrees (and place Doppler below the diaphragm)
265
The time between the end of early diastolic filling and the beginning of systole is ___
PR interval
266
What structure is B?
MPA
267
Evaluate atrial appendages
268
Increasing rejection
269
What cell layer does the primary heart tube develop?
Splanchnic layer of the mesoderm
270
Annular measurements of all the valves
271
What 2 measurements on a fetal echo should be the same?
PFO and aortic root diameter
272
The umbilical vein becomes what after birth?
Ligamentum teres
273
Heart rate
274
What digestive tract anomaly does maternal use of aspirin cause?
Gastroschisis
275
What anatomy is A?
RPA
276
If a PW angle exceeds _____ the velocities will be underestimated
20
277
High levels of AFP in a quad screen test indicate __________ While low AFP indicates _____
Neural tube defects Trisomy 21
278
5-8MHz
279
What separated the TV and PV?
Subpulmonic conus
280
Atrial velocity (due to A wave reversal)
281
High
282
As a normal pregnancy progressed the umbilical artery flow will ________
Decrease in resistsnce and diastolic flow increases (and therefore S/D ratio decreases—- after 30 weeks an SD ratio of 3.0 can indicate IUGR or placental insufficiency)
283
From an apical view slide cephalad
284
The fetal should be evaluated for fluid in the _____, ______, and _______ cavities
Pericardial, pleural, and peritoneal cavities (ascites)
285
Baby is vertex. What pathology?
Right aortic arch (mirror image V-sign)
286
What pathology?
Right aortic left ductus (the “U sign”)
287
Is this a left or right arch?
Right arch. The 2D can help see “U” better
288
Describe the appearance on the 3VT for Aberrant RSCA
The RSCA courses POSTERIOR to the trachea
289
Describe the right sided arch with left ductus appearance on 3VT view
The Aorta and ductus form a “U” POSTERIOR to the trachea
290
What associated defect is in nearly all truncus arteriosus?
VSD
291
What arrhythmias are associated with truncus arteriosus?
Complete heart block and SVT
292
Which is blocked PAC vs which is conducted PAC?
Left is blocked right is conducted
293
What is this and what is it associated with?
“Double bubble” sign (the stomach and a sign of duodenal obstruction Associated with Trisomy 21
294
List 4 best practices to obtain the DV
1) obtain right sagittal view of fetal trunk and heart (IVCish view) with umbilical vein, DV and heart all in the same image 2) use 1mm or less sample volume 3) cursor angle less than 30 4) low filter setting and fast sweep speed
295
Fetal echo is recommended when the likelihood of fetal CHD is _____
3x greater than the general population or >1%
296
How is the z-score calculated for cardiac biometry measurements?
Mean value-measurement value/standard deviation
297
What represents the PR interval when being obtained from the SVC/Ao?
The short A wave reversal in the SVC is the P and the onset of of forward flow in the aorta is the R.
298
Trisomy 21
299
What is an in utero endoscopic balloon tracheal procedure and what should you evaluate after having one?
It treats congenital diaphragmatic hernias and you pulse the branch PAs
300
TAPVR
301
Fractional shortening
302
Discard all gloves
303
When evaluating the ductus venosus with pulsed wave Doppler, samples should be taken
At the origin adjacent to the umbilical vein and at the junction with the IVC near the heart
304
Dilated ductus arteriosus and pulmonary artery
305
Fetal magnetocardiography is used to assess:
Fetal arrhythmias
306
IVC
307
Aorta
308
Stomach and aorta on left Liver IVC on right
309
PDA (Rubella is strongly linked to branch pulmonary artery stenosis and PDA)
310
When evaluating the fetal inferior vena cava, the Doppler cursor should be positioned ________ or ________
At its junction with the right atrium or at the segment between the renal veins
311
Right ventricular flow volume exceeds the LV flow volume by a ratio ______
1.3:1
312
Flow direction across the PFO
313
The preferred fetal position for an early fetal echo is _______
Low transverse position
314
The AV interval is shorter than the VA interval
315
When is IVRT vs when is IVCT?
316
List each point of the ductus venosus
317
What is an important way to track fetal SVT?
Ductus venosus waveform
318
Your scale should be >______ when evaluating the ductus venosus If there is not a ductus venosus you will see _____
> 48cm/sec A large right heart