Fibroids (leiomyomas) Flashcards

(16 cards)

1
Q

what- fibroids?

A

Benign tumour of smooth muscle (myometrium)

How well did you know this?
1
Not at all
2
3
4
5
Perfectly
2
Q

symptoms- fibroids?

A

SYMPTOMS:
-Menorrhagia (heavy menstrual bleeding)
-Infertility/ subfertility
-Pressure symptoms +/- abdominal distention (includes urinary frequency or chronic retention)
-Associated pain (rare)

(Their growth is oestrogen dependant so they are more likely to be a problem in reproductive years
More concerned if you have one in post menopausal state)

SIGNS:
-Solid mass or enlarged uterus which may be palpable on abdominal or bimanual examination
-uterus is non tender

How well did you know this?
1
Not at all
2
3
4
5
Perfectly
3
Q

what imaging used for fibroids?

A

-pelvic US
-MRI (rarely required, unless sarcoma is suspected)

submucosal fibroids presenting with heavy bleeding= hysteroscopy

How well did you know this?
1
Not at all
2
3
4
5
Perfectly
4
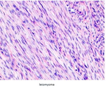
Q

what would be seen on histoligcal biopsy of fibroids?

A

-interlacing smooth muscle cells
(usually only looked at to excluse leiomyosarcoma)

How well did you know this?
1
Not at all
2
3
4
5
Perfectly
5
Q

Management of fibroid <3cm?

A

Same management as heavy menstrual bleeding!

1st line= Mirena Coil must be no distortion of uterus
NSAIDs + tranexamic acid (symptomatic)
COC
Cyclical oral progesterones

Surgical:
-endometrial ablation
-Resection hysterascopically for submucosal fibroids
-Hysterectomy

How well did you know this?
1
Not at all
2
3
4
5
Perfectly
6
Q

Medical managment of fibroid >3cm

A

Refer to gynaecology!!
Mirena Coil (depending on size and shape of fibroid)
NSAID + tranexamic acid (symptomatic)
COC
Cyclical oral progesterones

Surgical:
-Uterine artery embolisation
-Myomectomy
-Hysterectomy

How well did you know this?
1
Not at all
2
3
4
5
Perfectly
7
Q

role of GnRH analogues?

A

they shrink the fibroids (often used before surgery)

How well did you know this?
1
Not at all
2
3
4
5
Perfectly
8
Q

why can’t GnRH analogues be used long term?

A

due to osteoperosis risk

How well did you know this?
1
Not at all
2
3
4
5
Perfectly
9
Q

who is more at risk of developing fibroids?

A

-women in later reproductive years
-black women

How well did you know this?
1
Not at all
2
3
4
5
Perfectly
10
Q

what type of fibroid is on a stalk?

A

pedunculated fibroid

How well did you know this?
1
Not at all
2
3
4
5
Perfectly
11
Q

describe a subserosal fibroid

A

-a fibroid just below the outer layer of the uterus

-these fibroids grow outwards and become very large filling the abdominal cavity

How well did you know this?
1
Not at all
2
3
4
5
Perfectly
12
Q

describe intramural fibroid

A

-a fibroid found within the wall of the myometrium

-as they grow they can change the shape of the uterus

How well did you know this?
1
Not at all
2
3
4
5
Perfectly
13
Q

describe submucosal fibroid

A

-fibroid found just below the lining of the uterus (endometrium)

How well did you know this?
1
Not at all
2
3
4
5
Perfectly
14
Q

treatment for fibroid affecting fertility?

A

myomectomy

How well did you know this?
1
Not at all
2
3
4
5
Perfectly
15
Q

examples of GnRH agonists?

A

Leuprolide, goserelin, triptorelin and histrelin

How well did you know this?
1
Not at all
2
3
4
5
Perfectly
16
Q

what would leiomyosarcoma show on histology?

A

spindle cells