Fibrose Cística Flashcards

(25 cards)

1
Q

A fibrose cística é uma doença autosômica_________(dominante/recessiva)

A

recessiva

How well did you know this?
1
Not at all
2
3
4
5
Perfectly
2
Q

a fisiopatogenia da fibrose cística envolve alteração em qual canal?

A

CFTR- regulador de canal de cloro

How well did you know this?
1
Not at all
2
3
4
5
Perfectly
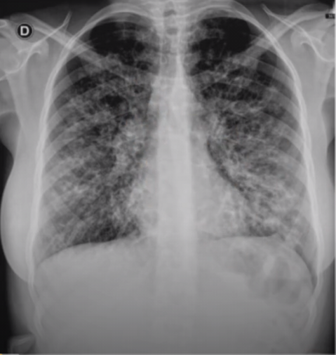
3
Q

raio x de tórax fibrose cística:

A

Bronquiectasias em ápices

espessamento brônquico

atelectasias

How well did you know this?
1
Not at all
2
3
4
5
Perfectly
4
Q

A fibrose cística causa um comprometimento pulmonar do tipo:

A

Obstrutivo

VEF/VCF

How well did you know this?
1
Not at all
2
3
4
5
Perfectly
5
Q

Sintomas sugestivos de fibrose cística:

A

Tosse crônica e produção crônica de catarro, pneumonia de repetição

Ileo meconial e icterícia colestática

baixo ganho ponderal(apesar que come pakas)

Baqueteamento digital

Síndrome dsabsortiva

How well did you know this?
1
Not at all
2
3
4
5
Perfectly
6
Q

Exacerbação pulmonar na fibrose cística, exames:

A

HMG

HMC

Escarro

RX de tórax

How well did you know this?
1
Not at all
2
3
4
5
Perfectly
7
Q

Exacerbação pulmonar na fibrose cística, ATB:

A

Ambulatorial: amoxicilina-clavula

hospitalar: oxacilina e/ou ceftazidima+ amicacina

How well did you know this?
1
Not at all
2
3
4
5
Perfectly
8
Q

Ileo meconial pensar em:

A

fibrose cística

Retardo na eliminação de mecônio

Distensão abdominal

vômitos biliosos

How well did you know this?
1
Not at all
2
3
4
5
Perfectly
9
Q

Qual a sínddrome metabólica característica de fibrose cística?

A

Alcalose metabólica hipoclorêmica

How well did you know this?
1
Not at all
2
3
4
5
Perfectly
10
Q

Triade classica da fibrose cistica:

A

baixo ganho+ esteatorreia+ infecções de repetição

How well did you know this?
1
Not at all
2
3
4
5
Perfectly
11
Q

Método padrão ouro para diagnóstico de fibrose cística:

A

teste de cloro no suor:

> 60 mmol/L

Duvidoo: 30-60mmol/l

normal< 3ommol/l

Diagnóstico = 2 testes positivos do cloro no suor

How well did you know this?
1
Not at all
2
3
4
5
Perfectly
12
Q

Tratamento do trato respiratório fibrose cística:

A

atividade fisica

fisioterapia respiratoria

azitromicina 3x semana

ATB inalatória

How well did you know this?
1
Not at all
2
3
4
5
Perfectly
13
Q

Transplante pulmonar na fibrose cística, quando?

A

VEF<30%

How well did you know this?
1
Not at all
2
3
4
5
Perfectly
14
Q

Tratamento gastrointestinal fibrose cística:

A

dieta hipercalórica, hiperproteica e normogordurosa

reosição de enzimas pancreáticas e de vitaminas

How well did you know this?
1
Not at all
2
3
4
5
Perfectly
15
Q

Drogas moduladoras da fibrose cística:

A

Ivacafor

Lumacaftor

How well did you know this?
1
Not at all
2
3
4
5
Perfectly
16
Q

Teste IRT positivo, o que fazer?

A

segundo teste antes de 30 dias

se positivo cloro no suor

17
Q

Qual disturbio hidroeletrolitico relacionado à fibrose cistica?

A

alcalose metabolica hiponatremica/hipocloremica/hipocalemica

18
Q

ivacaftor/lumacaftor atuam especificamente em qual gene da fibrose cistica?

A

mutação F508del.

19
Q

Agentes colonizadores comum das VA da fibrose cistica:

A

S aureus e pseudomonas

20
Q

Paciente de 12 anos, sexo feminino, com antecedente de fibrose cística pancreato-insuficiente. Queixa-se de aumento da tosse e da quantidade de secreção nos últimos 7 dias. Ao exame físico, está em bom estado geral, afebril, dispneica, saturando 86% em ar ambiente. Trouxe culturas de secreção traqueal prévias, mostrando colonização: - Crônico: Staphylococcus aureus MRSA - Intermitente: Pseudomonas aeruginosa multissensível. Qual o melhor esquema antimicrobiano para esta paciente?

A

Vancomicina + Ceftazidima + Amicacina

21
Q

Qual o papel da dornase alfa inalatoria na fibrose cistica? quando é indicada?

A

Indicada para > 6 anos, melhora função pulmonar e reduz exacerbação

22
Q

Quando realizar espirometria nos pacientes?

A

nos maiores de 5 anos

23
Q

Qual o papel da elastase fecal na fibrose cistica? quando utilizar?

A

Utilizar a partir de 2 sem de vida

Util para diagnostico de insuf pancreatica exocrina

24
Q

Suplementação de sódio deve ser utilizada de rotina em lactentes e neonatos com fibrose cistica. V ou F?

25
Tobramicina Inalatória indicações e como usar:
crianças maiores de 6 anos com infecção por pseudomonas Usar em ciclos de 28 dias até erradicação