
Diagnóstico: Hemangioma.
Faz parte das lesões hipervasculares do fígado:

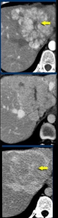
Diagnóstico = Hiperplasia Nodular Focal!
Na imagem, duas lesões hipervasculares adjacentes com realce homogêneo na fase arterial e cicatrizes centrais hipodensas na fase arterial e venosa, que aumentam na fase de equilíbrio. Isso é característico da HNF.
A HNF é considerada uma resposta hiperplásica e não neoplásica a uma malformação vascular congênita. Histologicamente, a HNF não é um tumor e consiste em hepatócitos de aparência benigna que ocorrem em um fígado que é normal (isto é, sem cirrose).
Na fase arterial tardia, a HNF tipicamente apresenta um realce homogêneo e brilhante, mas menos intenso que a aorta com uma cicatriz central hipodensa. (As faixas ou septos fibrosos hipodensos irradiados, oriundos da cicatriz, não são infrequentes e bastante característicos. Na fase portal, a HNF freqüentemente atenua o fígado normal e pode ser difícil de delinear.
A fase tardia freqüentemente mostra a hiperatenuação da cicatriz central e dos septos devido à opacificação tardia dos componentes fibróticos. Nenhuma calcificação, heterogeneidade ou cápsula deve ser observada na FNH.

Diagnóstico = adenoma
Um adenoma é regularmente caracterizado por sangramento, gordura ou peliose. Embora não possamos ver a própria peliose, ela pode resultar em uma lesão hiperintensa no T1. Na imagem, dois incidentalomas. Decida por si mesmo porque estas não são lesões de FNH. Na fase arterial, existem duas lesões hipervasculares, um pouco menos densas do que seria de esperar na HNF. Ambas as lesões demonstram um halo de uma cápsula, que não deve ser aparente na HNF. Diferentemente da HNF, o realce não é homogêneo e na fase de portovenous e equilíbrio as lesões não são isodens para o fígado.