Final Flashcards

(64 cards)

1
Q

Définition hématopoïèse

A

Ensemble des phénomènes qui contribuent à la fabrication et au remplacement continu et régulé des cellules sanguines

How well did you know this?
1
Not at all
2
3
4
5
Perfectly
2
Q

Le système hématopoïétique se compose (5)

A
  1. Cellules souches
  2. Cellules progénitrices hématopoïétiques
  3. Précurseurrs hématopoïétiquese
  4. Cellules sanguines matures
  5. Microenvironnement
How well did you know this?
1
Not at all
2
3
4
5
Perfectly
3
Q

Caractéristiques du système hématopoïétique

A
  1. Tissu très prolifératif, possédant une activité mitotique très élevée
    –> 2.5 milliards de GR/kg/jour
    –> 2.5 milliards de plaquettes/kg/jour
    –> 1 milliard de granulocytes/kg/jour
  2. Les cellules sanguines ont une durée de vie limitée et n’ont pas la capacité de se diviser
    Demi-vie des cellules sanguines du chien:
    –> GR 120 jours
    –> Plaquettes 7 jours
    –> Neutrophiles 24 hrs
  3. Origine monophylétique
    –> Les cellules souches sont capables de produire toutes les cellules sanguines
  4. Capacité de production pouvant s’ajuster pour faire face à une modification des besoins
How well did you know this?
1
Not at all
2
3
4
5
Perfectly
4
Q

Moelle osseuse et microenvironnement

A
  1. Présence d’un stroma fibrovasculaire
    –> Assure l’organisation et supporte l’hématopoïèse
    –> Délimite l’espace extravasculaire et intravasculaire
    –> Hématopoïèse extravasculaire chez les mammifères
    –> Le stroma assure l’organisation de la MO en niche hématopoïétique et le maintien des cellules souches
How well did you know this?
1
Not at all
2
3
4
5
Perfectly
5
Q

Compartiments de l’hématopoïèse

A
  1. Cellules souches hématopoïétiques (CSH)
  2. Progéniteurs hématopoïétiques
  3. Précurseurs hématopoïétiques
How well did you know this?
1
Not at all
2
3
4
5
Perfectly
6
Q
  1. Cellules souches hématopoïétiques (CSH)
A
  1. Petites cellules rondes qui expriment le marqueur CD34
  2. Très peu abondantes: 1:100 000 - 1: 1 000 000
  3. Division cellulaire à toutes les 8-10 semaines
  4. Retrouvées en circulation
  5. Capacité d’autorenouvellement
    –> Division cellulaire sans différenciation permettant de maintenir intact un groupe de cellules souches primitives
  6. Pluripotentes
    –> Capable de se différencier en cellules des 3 lignées cellulaires. Cette différenciation est irréversible.
    –> Permet aux cellules souches de renouveler la totalité des cellules hématopoïétiques
How well did you know this?
1
Not at all
2
3
4
5
Perfectly
7
Q
  1. Progéniteurs hématopoïétiques
A
  1. Proviennent de la différenciation des CSH
  2. Prolifèrent plus rapidement que les CSH, mais n’ont pas la capacité de se renouveler
  3. Potentiel de différenciation plus limité que les CSH
  4. CSH se différencient en progéniteurs myéloïdes communs (CMP) et en progéniteurs lymphoïdes communs (CLP)
  5. Les CMP vont ensuite se différencier en progéniteurs érythromégacaryocytaire et en progéniteurs granulo-monocytaire
How well did you know this?
1
Not at all
2
3
4
5
Perfectly
8
Q
  1. Précurseurs hématopoïétiques
A
  1. Issus de la différenciation des progéniteurs
  2. Cellules commises à une seule lignée et qui démontrent les caractéristiques de la lignée
How well did you know this?
1
Not at all
2
3
4
5
Perfectly
9
Q

Les lignées cellulaires

A
  1. Érythrocytaire
    –> Rubriblaste
    –> Prorubricyte
    –> Rubricyte
    –> Métarubricyte
    –> Polychromatophile
    –> ÉRYTHROCYTE MATURE
  2. Granulocytaire
    –> Myéloblaste
    –> Progranulocyte
    –> Myélocyte
    –> Métamyélocyte
    –> Bande
    –> GRANULOCYTE MATURE
  3. Monocytaire
    –> Monoblaste
    –> Promonocyte
    –> MONOCYTE MATURE
  4. Mégacaryocytaire
    –> Mégacaryoblaste
    –> Promégacaryocyte
    –> Mégacaryocyte
    –> PLAQUETTE MATURE
How well did you know this?
1
Not at all
2
3
4
5
Perfectly
10
Q

Érythropoïèse

A
  1. L’érythropoïèse débute au stade des progéniteurs érythroïdes et se termine par la production d’érythrocytes matures
  2. Cette différenciation est stimulée par de nombreuses cytokines
    –> SCF = Stem Cell Factor
    –> IL-3
    –> GM-CSF = Granulocyte Macrophage Colony Stimulationg Factor
    –> TPO = Thrombopoïétine
  3. Les progéniteurs érythroïdes sont rares et difficiles à isoler. Elles ont la capacité de se diviser et de synthétiser de l’hémoglobine
How well did you know this?
1
Not at all
2
3
4
5
Perfectly
11
Q

Rôles des macrophages

A
  1. Formation des îlots érythroïdes = contact direct avec les cellules érythroïdes
  2. Synthèse d’EPO
  3. Rôle inhibiteur lors d’inflammation
How well did you know this?
1
Not at all
2
3
4
5
Perfectly
12
Q

Contrôle de l’érythropoïèse

A
  1. Érythropoïétine (EPO) = contrôle de l’érythropoïèse
    –> Responsable de la viabilité, de la prolifération et de la différenciation des progéniteurs érythroïdes
    –> Augmentation EPO = augmente le nombre de progéniteurs érythroïdes et accélère le cycle des précurseurs érythroïdes
    –> Produit pas le microenvironnement (macrophages), mais surtout par les REINS (cellules tubulaires interstitielles) lors d’hypoxie
  2. EPOr
    –> NOmbre maximal des récepteurs à EPO a/n des progéniteurs érythroïdes
    –> Diminue à partir du stade rubriblaste
How well did you know this?
1
Not at all
2
3
4
5
Perfectly
13
Q

Besoins en nutriments

A
  1. Fer = essentiel à la formation de l’hème, un constituant de l’hémoglobine
  2. Cuivre = sous la forme de céruloplasmine, le Cu est nécessaire pour permettre le transport du Fe des tissus vers le sang
  3. Vitamine B6 = cofacteur nécessaire pour la synthèse de l’hème
  4. Acide folique = cofacteur essentiel aux enzymes impliquées dans la synthèse de l’ADN et de l’ARN
  5. Vitamine B12 = indirectement impliquée dans la synthèse d’ADN
  6. Cobalt = nécessaire à la synthèse de la vitamine B12 chez les ruminants
How well did you know this?
1
Not at all
2
3
4
5
Perfectly
14
Q

Maturation des précurseurs

A

1.. Les progéniteurs érythroïdes vont se différencier en rubriblastes
2. Un rubriblaste donne 8-16 métarubricytes en 3-4 jours

How well did you know this?
1
Not at all
2
3
4
5
Perfectly
15
Q

Rubriblaste

A
  1. Il contient une faible quantité de cytoplasme très basophile et le noyau contient 1 ou plusieurs nucléoles
  2. Le noyau représente environ 75-80% du volume total de la cellule
How well did you know this?
1
Not at all
2
3
4
5
Perfectly
16
Q

Prorubricyte

A
  1. Il contient un cytoplasme encore basophile, mais le noyau est plus petit et ne contient pas de nucléole
How well did you know this?
1
Not at all
2
3
4
5
Perfectly
17
Q

Rubricyte

A
  1. Il contient un cytoplasme basophile à rouge-bleu en raison de la synthèse d’hémoglobine (Hgb).
  2. Le noyau est plus petit et le noyau contient des régions foncées et des régions claires
How well did you know this?
1
Not at all
2
3
4
5
Perfectly
18
Q

Métarubricyte

A
  1. Cette cellule est incapable de division cellulaire, elle contient de plus en plus d’Hgb et le noyau et très dense
How well did you know this?
1
Not at all
2
3
4
5
Perfectly
19
Q

Polychromatophile

A
  1. Le noyau est expulsé par l’action des macrophages a/n de la MO et la concentration en Hgb augmente
  2. Le polychromatophile est légèrement plus gros que le GRR mature. Il correspond au réticulocyte agrégé au NBM
How well did you know this?
1
Not at all
2
3
4
5
Perfectly
20
Q

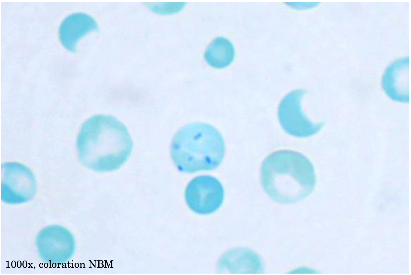
Les réticulocytes

A
  1. Le réticulocyte est un polychromatophile coloré au nouveau bleu de méthylènee (NBM)
  2. Le NBM provoque la précipitation de l’ARN ribosomique et d’autres protéines = formation de granules bleutés
  3. Les réticulocytes (ou polychromatophiles) ont une grande quantité d’ARNr et de RER contrairement aux GR matures
How well did you know this?
1
Not at all
2
3
4
5
Perfectly
21
Q

2 types de réticulocytes

A
  1. Réticulocyte AGRÉGÉ: nombreux granules empilés formant des agrégats denses et correspond à un polychromatophile
  2. Réticulocyte PONCTUÉ: quelques granules individuels et correspond à un GR macrocyte et sont donc plus matures que les réticulocytes agrégés
How well did you know this?
1
Not at all
2
3
4
5
Perfectly
22
Q
A

Réticulocytes agrégés

How well did you know this?
1
Not at all
2
3
4
5
Perfectly
23
Q
A

Réticulocyte ponctué

How well did you know this?
1
Not at all
2
3
4
5
Perfectly
24
Q

La maturation des réticulocytes

A
  1. Leur maturation débute dans la MO pour se terminer dans le sang (sauf le cheval)
  2. La vitesse de maturation varie selon les espèces:
    –> Chien: 1/2 vie des réticulocytes agrégés et ponctués comparable
    –> Chat: 1/2 des réticulocytes agrégés 24 hrs et des ponctués 7-10 jrs
    –> Cheval: la maturation des réticulocytes se termine dans la moelle
    –> Bovin: peuvent être présents lors d’anémie sévère
How well did you know this?
1
Not at all
2
3
4
5
Perfectly
25
Leucopoïèse Classification des leucocytes
1. Granulocytes --> Neutrophiles - hétérophiles --> Éosinophiles --> Basophiles 2. Mononucléaires --> Monocytes --> Lymphocytes
26
Contrôle de la production des neutrophiles
1. La production est stimulée par l'IL-1, IL-3, IL--6, GM-CF et G-CSF 2. G-CSF --> Stimule les précurseurs à se différencier en myéloblastes --> Il augmente le nombre de cellules en division et il réduit le temps de maturation, favorise la libération des neutrophiles matures
27
Production des granulocytes
1. Les granulocytes vont passer par 6 ÉTAPES de maturation et de différenciation (myéloïde) --> Myéloblaste --> Progranulocyte --> Myélocyte --> Métamyélocyte --> Bande --> Neutrophile segmenté 2. 5 divisions cellulaires qui produiront de 16-32 cellules en 6 jours 3. Lorsque la MO est stimulée, le temps requis peut être de 2 à 3 jours seulement
28
Étapes de la différenciation myéloïde MYÉLOBLASTE
1. Première cellule de la lignée granulocytaire pouvant être reconnue en microscopie optique 2. Cellules au cytoplasme bleu foncé peu abondant et au noyau rond avec 1 ou 2 nucléoles
29
Étapes de la différenciation myéloïde PROGRANULOCYTE
1. Contiennent un noyau rond avec ou sans nucléole 2. Présence de granules cytoplasmiques rosés à rouges (granules primaires)
30
Étapes de la différenciation myéloïde MYÉLOCYTE
1. Caractérisé par un noyau rond ou légèrement aplati 2. Produisent les granules spécifiques aux neutrophiles, éosinophiles et basophiles
31
Étapes de la différenciation myéloïde MÉTAMYÉLOCYTE
1. Noyau réniforme (en forme de rein) avec une légère dépression
32
Étapes de la différenciation myéloïde BANDE
1. Possède un noyau non segmenté au contour parallèle, lisse et sans indentation --> Forme de U ou S
33
Étapes de la différenciation myéloïde NEUTROPHILE NON SEGMENTÉ
34
Contrôle de la production des éosinophiles et des basophiles
1. Les progéniteurs stimulés surtout par le GM-CSF et l'IL-3 2. Par contre, le contrôle de la production des éosinophiles est surtout assuré par l'IL-5 produit par les lymphocytes T 3. Production des basophiles semble surtout assurée par l'IL-3 4. Maturation semblable à celle des neutrophiles
35
Éosinophiles
1. Impliqués dans la défense contre les parasites, dans certains processus inflammatoires et dans la suppression des réactions d'hypersensibilité 2. Les granules contiennent de nombreuses substances notamment la protéine basique majeure et la protéine cationique éosinophilique = ces substance sont cytotoxiques pour les parasites
36
Éosinophile d'un lapin
37
Éosinophile d'une tortue verte
38
Éosinophile d'une raie
39
Basophiles
1. Rôle dans les réactions d'hypersensibilité 2. Les granules contiennent de nombreux médiateurs chimiques de l'inflammation tels que l'histamine et les leucotriènes
40
Basophile d'un chat
41
Basophile d'un paresseux
42
Basophile d'un lapin
43
Leucopoïèse Compartiments granulocytaires
1. MO 2. Sang 3. Tissus 4. Circulation unidirectionnelle 5. En circulation seulement 5 à 10 hrs dans le sang avant de migrer vers les tissus 6. Tous les neutrophiles sanguins sont remplacés 2 à 3 fois par jour
44
2 sous-compartiments dans la MO
1. Sous-compartiment de prolifération --> Stade myéloblaste jusqu'à myélocyte --> Cellules capables de division cellulaire --> 10 à 35% des cellules de la lignée de neutrophiles 2. Sous-compartiment de maturation et de réserve --> Stade métamyélocyte jusqu'à neutrophile mature --> Incapable de division cellulaire --> 65 à 90% des cellules --> Il comprend les neutrophiles de « réserve »
45
2 sous-compartiments sanguins
1. Sous-compartiment circulant --> Les neutrophiles se déplacent passivement, transportés par le flux sanguin 2. Sous-compartiment marginal --> Composé des neutrophiles qui adhèrent à l'endothélium --> Les neutrophiles du sous-compartiment marginal ne sont pas représentés dans un leucogramme 3. Il y a autant de neutrophiles dans le compartiment circulant que dans le compartiment marginal --> Le CHAT EST UNE EXCEPTION = le compartiment marginal contient 3 fois plus de neutrophiles 4. Une excitation peut provoquer une démargination des neutrophiles et causer une neutrophilie transitoire chez toutes les espèces, mais qui est beaucoup plus marquée chez le chat
46
Production et circulation des monocytes
1. La différenciation ne nécessite que 2 cycles de division cellulaire et est rapidement complétée en 50-60 hrs 2. Le temps nécessaire pour produire un monocyte est donc beaucoup plus court que celui nécessaire pour produire un neutrophile
47
Monocytes et neutrophiles d'un chien
48
Azurophile (monocyte variant) d'un boa
49
Monocyte d'un éléphant
50
Monocyte avec granules d'un chien
51
Monocyte avec granules d'un cheval
52
Production et circulation des lymphocytes
1. La majorité des lymphocytes résident dans les organes lymphoïdes = NL, thymus, rate et MO 2. Une faible proportion des lymphocytes circulent dans le sang et proviennent essentiellement des NL 3. Dans le sang, entre 50 et 75% sont des lymphocytes T et 20--35% sont des lymphocytes B 4. Les lymphocytes sanguins recirculent entre les tissus lymphoïdes et la circulation sanguine 5. Approximativement 25% des lymphocytes sanguins entrent quotidiennement dans les NL 6. Chez certaines espèces (ex: bovins), les lymphocytes dominent en nombre au leucogramme
53
Petits lymphocytes d'un cheval
54
Lymphocytee avec un corps de Kurloff d'un cochon d'Inde
55
Petit lymphocyte d'un bovin
56
Lymphocyte granulaire d'un équin
57
Lymphocyte intermédiaire d'un équin
58
Lymphocyte réactif d'un potamochère
Satellitisme plaquettaire = phénomène in vitro causé par l'EDTA
59
Lymphocyte réactif d'un cheval
60
Thrombopoïèse: Production de plaquettes sanguines
1. La thrombopoïèse est le processus de production des plaquettes sanguines à partir des mégacaryocytes 2. Les précurseurs mégacaryocytaires n'ont plus la capacité à se diviser --> Il y a entre 2-5 réplications nucléaires sans division cellulaire (endomitose) pour former un mégacaryocyte de ploïdie élevéee (habituellement 32 à 64 N chez le chien) 3. Dans la MO, on retrouve habituellement un mégacaryocyte par 2000 cellules nucléées 4. Les plaquettes sont issues de la fragmentation cytoplasmique des mégacaryocytes (Mk) --> Chaque Mk peut produire entre 2000 et 5000 plaquettes
61
Promégacaryocyte d'un chien
62
Mégacaryocyte d'un chien
Inhabituel d'en avoir autant regroupé
63
Mégacaryocyte d'un chien
64
La thrombopoïétine (TPO)
1. La TPO est la principale régulatrice de la production de plaquettes et elle est principalement produite de façon constitutive et constante par le foie --> Le facteur des cellules souches, le GM-CSF, l'IL-3, IL-6, IL-11 et l'EPO peuvent également contribuer au développement des mégacaryocytes 2. La TPO circulante (libre) stimule la thrombopoïèse en se liant aux récepteurs de la TPO (TPO-R) 3. Les TPO-R se trouvent sur un large éventail de cellules hématopoïétiques --> Mk, plaquettes, cellules immatures de toutes les lignées, cellules CD34+, cellules souches pluripotentielles --> Effet sur de nombreuses cellules