Final Flashcards

(155 cards)

1
Q

Solución de continuidad a nivel oseo, que se produce como consecuencia de un esfuerzo excesivo que supera la resistencia del hueso.
Opciones de preguntas:

Fractura

Traumatismo

Luxación

Esguince

A

Fractura

How well did you know this?
1
Not at all
2
3
4
5
Perfectly
2
Q

Son parte de las fuerzas biomecanicas, excepto:
Opciones de preguntas:

Torsión

Extensión

Compresión

Flexión

A

Extensión

How well did you know this?
1
Not at all
2
3
4
5
Perfectly
3
Q

Son los rubros para la identificación de una radiografía simple:

Nombre, Fecha, Lado correcto

Verdadero/ falso

A

Verdadero

How well did you know this?
1
Not at all
2
3
4
5
Perfectly
4
Q

Se refiere a la localización de una fractura
Opciones de preguntas:

Proximal

En medio

Arriba

Superior

A

Proximal

How well did you know this?
1
Not at all
2
3
4
5
Perfectly
5
Q

Se le considera el padre de la Ortopedia Moderna
Opciones de preguntas:

Allgower

Ruedi

Miuller

Lambotte

A

Miuller

How well did you know this?
1
Not at all
2
3
4
5
Perfectly
6
Q

Seleccione el tipo de trazo para esta fractura.
Opciones de preguntas:

Transversa

Espiroidea

Oblicua

A

Espiroidea

How well did you know this?
1
Not at all
2
3
4
5
Perfectly
7
Q

Uno de los factores con más peso en la forma final de una fractura es la tracción muscular o ligamentosa.
Opciones de preguntas:
Verdadero
Falso

A

Verdadero

How well did you know this?
1
Not at all
2
3
4
5
Perfectly
8
Q

Hallazgo radiológico que se valora en una fractura:
Opciones de preguntas:

Desplazamiento de los trazos

Presencia de osteofitos

Esclerosis Subcondral

Lesión de la piel

A

Desplazamiento de los trazos

How well did you know this?
1
Not at all
2
3
4
5
Perfectly
9
Q

En las lesiones secundarias de tejidos blandos, a nivel de extremidad superior su diagnóstico no requiere de otras pruebas, suficiente con sospechar la fractura.
Opciones de preguntas:
Verdadero
Falso

A

Falso

How well did you know this?
1
Not at all
2
3
4
5
Perfectly
10
Q

Es considerado el padre de la Osteosintesis
Opciones de preguntas:

Albin Lambotte

Maurice Miuller

Robert Danis

Martin Algower

A

Albin Lambotte

How well did you know this?
1
Not at all
2
3
4
5
Perfectly
11
Q

Caso Clínico J19: Masculino de 35 años de edad quien acude a urgencias, tras sufrir herida por arma de fuego en pierna derecha, a la exploración física con buen llenado capilar distal, sin cambios de coloración, herida puntiforme de 0.9cm en cara anterior de pierna, sin agujero de salida, con sangrado mínimo que se controla con compresión sobre la herida. Clasifique la fractura:

Pregunta 1 opciones:

Expuesta Grado I

Expuesta Grado III

Cerrada

Expuesta Grado II

A

Expuesta grado III

How well did you know this?
1
Not at all
2
3
4
5
Perfectly
12
Q

Son parte de la personalidad de la fractura la Edad, Actividad Física, Tipo de Trabajo, Comorbilidades, Pronóstico

Pregunta 2 opciones:
Verdadero
Falso

A

Verdadero

How well did you know this?
1
Not at all
2
3
4
5
Perfectly
13
Q

Fractura expuesta, de más de 10cm con pérdida de la cobertura , con un grado alto de contaminación, conminución moderada
Pregunta 3 opciones:

IIIA

I

IIIB

II

A

IIIB

How well did you know this?
1
Not at all
2
3
4
5
Perfectly
14
Q

Continuando caso Clínico J19: (Caso Clínico J19: Masculino de 35 años de edad quien acude a urgencias, tras sufrir herida por arma de fuego en pierna derecha, a la exploración física con buen llenado capilar distal, sin cambios de coloración, herida puntiforme de 0.9cm en cara anterior de pierna, sin agujero de salida, con sangrado mínimo que se controla con compresión sobre la herida. Clasifique la fractura):
Cual es el manejo terapéutico mejor indicado para este caso.
Pregunta 4 opciones:

Mantener estable la pierna, en caso de sospecha de fractura

Urge Rayos X para saber si hay Fractura

Hablar al Ortopedista de forma inmediata.

No descubrir Herida por riesgo de infección

A

Mantener estable la pierna, en caso de sospecha de fractura

How well did you know this?
1
Not at all
2
3
4
5
Perfectly
15
Q

Se define como traumatismo de alta energía:
Pregunta 5 opciones:

> 35 km/hr

> 60 km/hr

> 40 km/hr

> 55 km/hr

A

> 40 km/hr

How well did you know this?
1
Not at all
2
3
4
5
Perfectly
16
Q

Perdida de la relación entre 2 o mas huesos que componen una articulación.
Pregunta 6 opciones:

Luxación

Contusión

Esguince

Fractura

A

Luxación

How well did you know this?
1
Not at all
2
3
4
5
Perfectly
17
Q

Selecciona de los siguientes cual No es un principio de la Filosofía AO, para el tratamiento de fracturas:
Pregunta 7 opciones:

Conservación de la vascularización

Reducción Anatómica

Movilización tardía y pasiva

Fijación estable

A

Movilización taría y pasiva

How well did you know this?
1
Not at all
2
3
4
5
Perfectly
18
Q

Indique cual no es parte de la triada clínica del embolismo graso:
Pregunta 8 opciones:

Fascitis Necrotizante

Alteración mental

Insuficiencia respiratoria

Petequias

A

Fascitis necrotizante

How well did you know this?
1
Not at all
2
3
4
5
Perfectly
19
Q

Masculino de 41 años de edad, oficinista, practica halterofilia, manifiesta omalgia izquierda de 2 meses de evolución, irradiado hacia cuello, mano y dedos ipsilateral, entumecimiento de los 5 dedos, palidez de los mismos, mejora al elevar sus brazos por arriba de su cabeza. Cuenta con los siguientes estudios:

¿Cual es su sospecha diagnostica?
Pregunta 1 opciones:

Condroblastoma Humero Proximal

Neuritis Braquial

Síndrome del Túnel del Carpo

Síndrome de Salida Torácica

A

Síndrome de salida torácica

How well did you know this?
1
Not at all
2
3
4
5
Perfectly
20
Q

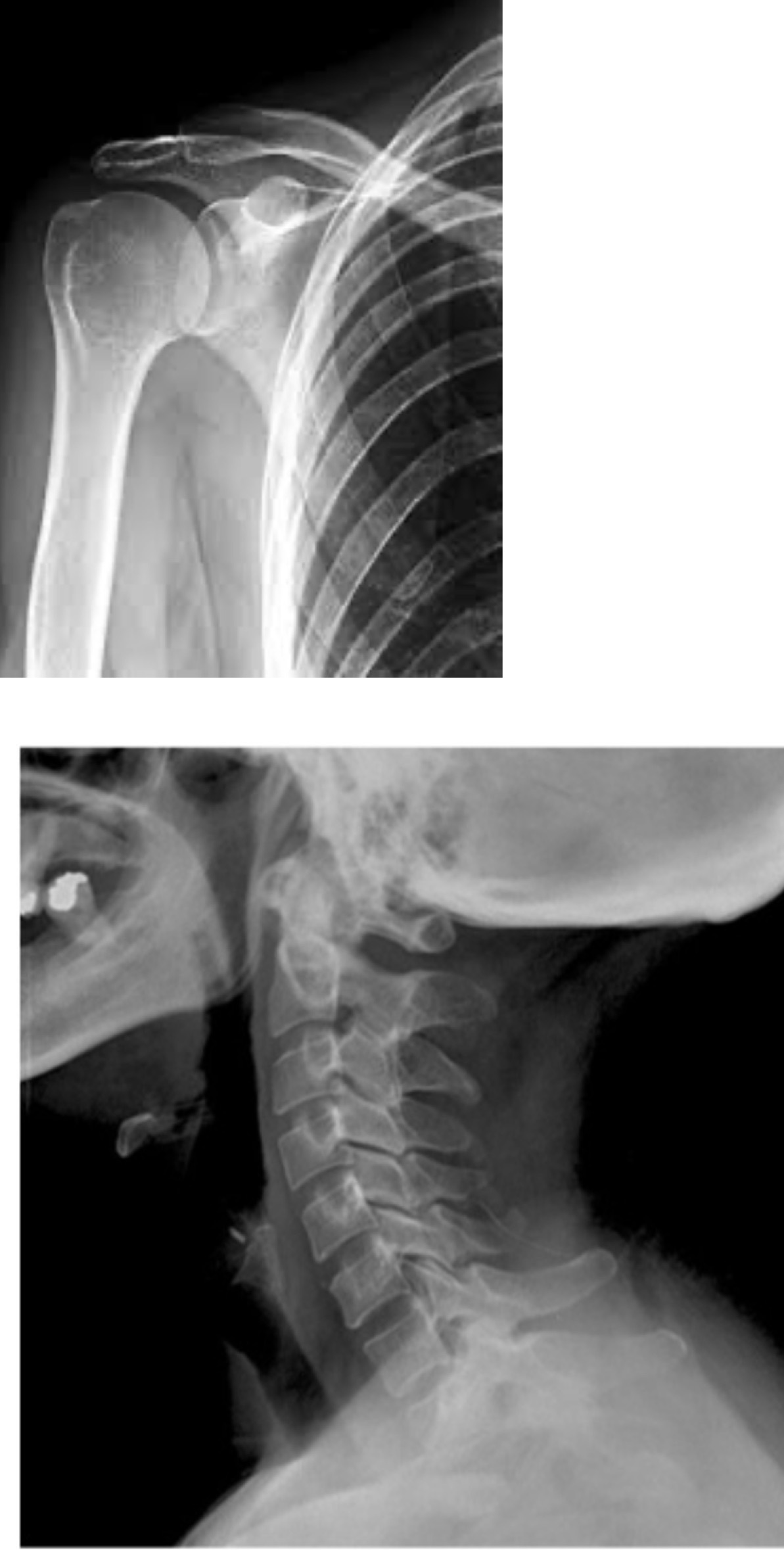
Femenino de 63 años de edad, con gonalgia y coxalgia bilateral, antecedente de prótesis de cadera derecha y rodilla izquierda, encuentra usted desviación de dedos de las manos hacia cubital, uso crónico de prednisona y sulfazalacina, llega a su consulta por dolor de hombro izquierdo de 6 meses de evolucion, intensidad 8/10, irradiacion hacia escapula, limita la flexion a tal grado que no logra peinarse, rotacion externa a 5°, rotacion interna 10°, con crepitos a la abduccion de 65°. Cuenta con el siguiente estudio de imagen:

En base a su sospecha diagnostica, ¿cual es el mejor tratamiento para esta paciente?
Pregunta 2 opciones:

Rehabilitación Física

Acromioplastía Anterior con Osteotomía Tipo Munford

Reemplazo Protésico de Humero Proximal

Movilización Bajo Anestesia

A

Remplazo protésico de húmero proximal

How well did you know this?
1
Not at all
2
3
4
5
Perfectly
21
Q

Femenino de 40 años de edad, ama de casa, padece Artritis Reumatoide desde hace 10 años, refiere omalgia derecha de 5 meses de evolución, la cual ha aumentado la intensidad y frecuencia de dolor, dolor nocturno, incapacidad de elevar su brazo por arriba de su cabeza, usted sospecha de pinzamiento subacromial, ¿que signo de la exploración física estaría negativo en esta paciente?
Pregunta 3 opciones:

Yocuum

Speed

Patte

Neer

A

Speed

How well did you know this?
1
Not at all
2
3
4
5
Perfectly
22
Q

Cual de los siguientes casos, sospecharía usted de capsulitis adhesiva:

Pregunta 4 opciones:

Femenino de 65 años de edad con desviación cubital de manos, con dolor de hombro izquierdo, y refiere rigidez del mismo, a la exploración física, tolera flexión de dicho hombro de 140°, abducción 125°

Femenino de 50 años de edad quien toma desde hace 3 años levotiroxina 100 mcg cada 24 horas, se encuentra con perdida de movimientos de hombro izquierdo tanto pasivo como activo.

Femenino de 40 años de edad con Anticuerpos Anti nucleares positivos, y dolor de rodillas y hombro izquierdo

Masculino de 40 años de edad con historia de podagra quien tiene dolor de hombro derecho hace 1 semana

A

Femenino de 50 años de edad quien toma desde hace 3 años levotiroxina 100 mcg cada 24 horas, se encuentra con perdida de movimientos de hombro izquierdo tanto pasivo como activo.

How well did you know this?
1
Not at all
2
3
4
5
Perfectly
23
Q

Masculino de 40 años de edad, mano derecha siendo la dominante, acude por dolor en hombro derecho e inestabilidad al levantar su brazo por arriba de la cabeza, refiere luxación glenohumeral derecha hace 2 semanas mientras esquiaba. a la exploración física, tolera flexión de hombro a 30°, rotación externa 15° con fuerza muscular 3/5, dolor a la movilización pasiva, sensibilidad conservada. una Resonancia Magnética esta contraindicada, debido a que porta un marcapasos, por lo que se realiza la siguiente artrografía

¿Cual es la opción de tratamiento que mejor le va a este paciente?
Pregunta 5 opciones:

Artroplastía Total de Hombro Derecho

Reparación de Manguito Rotador

Hemiartroplastia de Hombro

Reducción Abierta Fijación Interna al Humero Proximal Derecho

A

Reparación de Manguito Rotador

How well did you know this?
1
Not at all
2
3
4
5
Perfectly
24
Q

Indique cual de las siguientes NO es una causa Intrinseca de Dolor de Hombro:
Pregunta 6 opciones:

Tendinitis Bicipital

Pinzamiento Subacromial

Artritis Inflamatoria

Neuritis Braquial

A

Neuritis braquial

How well did you know this?
1
Not at all
2
3
4
5
Perfectly
25
Ante la sospecha clínica de pinzamiento subacromial de hombro izquierdo, cual de los siguientes es el menos indicado para esta patología? Pregunta 7 opciones: Artrotomografía de Hombro Izquierdo Resonancia Magnética Simple de Hombro Izquierdo Rayos x AP verdadera de hombro y Zanca Ecografía Doppler
Ecografía Doppler
26
Masculino de 38 años de edad, tabaquismo positivo, se dedica a la albañilería, dolor de hombro derecho de 3 meses de evolución, en la exploracion fisica dirigida, que signo representa la siguiente imagen Patte Yocum Neer Speed
Yocum
27
¿Cual de las siguientes, se considera factor de riesgo para desarrollo de capsulitis Adhesiva de Hombro? Pregunta 9 opciones: Enfermedad Renal Crónica Corticoesteroides Diabetes Mellitus Tipo 2 Menopausia
DM2
28
Masculino de 19 años se presenta a la sala de emergencias luego de un accidente automovilístico, desconoce cinematica de la lesion. El examen revela ingurgitación unilateral de la vena yugular, se sospecha de atelectasia derecha. Las radiografías de tórax y vistas especiales Después de una tomografía computarizada del tórax, el siguiente paso en el manejo es: Pregunta 1 opciones: Reducción abierta en quirófano bajo anestesia general con cirugía torácica en espera, seguida de inmovilización durante 4 semanas Manejo no quirúrgico y tomografía computarizada de seguimiento en 6 semanas Reducción abierta en el quirófano bajo anestesia general, seguida de fijación transarticular con agujas de Kirschner Reducción cerrada en urgencias bajo sedación
Reducción abierta en quirófano bajo anestesia general con cirugía torácica en espera, seguida de inmovilización durante 4 semanas
29
Masculino de 58 años de edad, contador mano dominante derecha; se cae de una bicicleta hace 4 días y se lesiona el hombro izquierdo. Cuenta con la siguiente radiografía: La radiografía axilar no muestra traslación anteroposterior. ¿Cuál es el siguiente paso más apropiado en el tratamiento? Pregunta 2 opciones: Reconstrucción del ligamento coracoclavicular Reconstrucción capsular acromioclavicular Inmovilización y posteriormente terapia física Procedimiento Weber-Dunn
Inmovilización y posteriormente terapia física
30
Un jugador de fútbol americano sufre caida, usted sospecha luxacion acromio clavicular izquierda. Además de una AP real y una lateral axilar, ¿cuál de las siguientes vistas radiográficas adicionales es la más apropiada para evaluar la articulación AC? Pregunta 3 opciones: Stryker Zanca West Point Velpeou
Zanca
31
Una mujer de 46 años se cayó de su bicicleta y sufrió la lesión que se muestra en la siguiente imagen: ¿Cuál de los siguientes ligamentos se ha roto? Pregunta 4 opciones: Coracoclavicular Acromioclavicular Coracoacromial y esternoclavicular Acromioclavicular y coracoclavicular
Acromioclavicular y coracoclavicular
32
¿Cuál es el tratamiento preferido para una separación acromioclavicular aguda sintomática donde hay un aumento del 20% en la distancia coracoclavicular en la radiografía AP en comparación con el lado opuesto no lesionado? Pregunta 5 opciones: Reparación aguda de cápsula acromioclavicular Cabestrillo seguido de fisioterapia Reducción y fijación retrógrada de la articulación acromioclavicular Reconstrucción anatómica del ligamento coracoclavicular
Cabestrillo seguido de fisioterapia
33
Un trabajador dominante de la mano izquierda de 22 años sufre la siguiente lesión como resultado de una caída de una escalera. Cual de las siguientes aseveraciones es correcta: Pregunta 6 opciones: Presenta inminencia de exposicion El mejor tratamiento para este caso es el conservador Lo primero que hay que hacer es pedir interconsulta al traumatólogo El riesgo de una lesión vascular es bajo
Presenta inminencia de exposicion
34
Un hombre de 35 años con la mano derecha como dominante, se cae de una escalera y sufre la siguiente lesión. Cual de los siguientes enunciados corresponde a una indicación absoluta para cirugía Pregunta 7 opciones: Acortamiento de mas de 15mm Fractura patológica no desplazada Fractura Multifragmentada Tórax Inestable
Tórax Inestable
35
De acuerdo a la clasificación de Neer, ¿a que tipo corresponde esta fractura? De acuerdo a la clasificación de Neer, ¿a que tipo corresponde esta fractura? Pregunta 8 opciones: Multifragmentada Articular 2 partes 3 partes
3 partes
36
Lesion asociada a luxacion gleno humeral, excepto: Pregunta 9 opciones: Fractura de Cabeza Humeral Fractura de Glenoides Fractura de Troquiter Rotura de mango Rotador
Fractura de Troquiter
37
Complicacion tras luxacion Gleno humeral, donde se lesiona la porcion anterio inferior del labrum Pregunta 10 opciones: Bankart Oseo Lesión de Hill-Sacks Fractura de Troquin Lesión de Bankart
Lesión de Bankart
38
Masculino de 26 años de edad, arquitecto de profesión. sufre el día de hoy caída de su plano de sustentación, con carga axial sobre su mano derecha, con muñeca en hiperextensión, manifiesta dolor y edema, crepito. a la exploración física, encuentra deformidad de la muñeca hacia dorsal, con crépito a la palpación; se obtienen las siguientes radiografías: Seleccione según el diagnostico, que es lo primero que debe usted como medico general realizar: Seleccione según el diagnostico, que es lo primero que debe usted como medico general realizar: Opciones de preguntas: Inmovilización con férula No realizar ninguna maniobra, esperar a que llegue el traumatologo Colocación de yeso Braquipalmar Reducción de la fractura y ferulizar
Reducción de la fractura y ferulizar
39
Continuando con el caso anterior, ¿cual es el diagnostico mas certero? Pregunta 2 opciones: Fractura de Escafoides Carpal Fractura Metafisaria Distal de Radio Fractura - Luxacion de Semilunar Esguince de Muñeca Grado III
Fractura Metafisaria Distal de Radio
40
¿Cual es la principal indicación para realizar cirugía? Pregunta 3 opciones: Edad del paciente Profesión del paciente No tiene comórbidos agregados Mano dominante
Profesión del paciente
41
Usted y el Traumatólogo, deciden realizar cirugía, RAFI Con placa en T, que indicaciones en general post-quirúrgicas da usted, teniendo en cuenta que no hubo complicaciones durante la cirugía, y la reducción quedo estable. Pregunta 4 opciones: Puede regresar a trabajar a los 3 días de salir del hospital. Férula durante 6 semanas esperando consolidación de la fractura Muñequera para disminuir el dolor durante 3 semanas Movilización inmediata sin ejercicios de carga
Movilización inmediata sin ejercicios de carga
42
Femenino de 23 años de edad, de profesión músico, sufre hace 2 días caída de su plano de sustentación con carga axial sobre palma de la mano derecha, manifiesta dolor EVA 6/10, mejora con uso de muñequera nocturna, aumenta con los movimientos y con tocar instrumento musical, lleva la siguiente radiografía. De acuerdo a su diagnostico, ¿cual es la mejor indicacion que le da usted a esta paciente? Pregunta 5 opciones: Reposo, Hielo, Compresión, Elevación de la extremidad Retirar muñequera, e iniciar actividad diaria habitual Inmovilización tipo SPICA antebraquipalmar Retirar muñequera e iniciar terapia física de rehabilitación
Inmovilización tipo SPICA antebraquipalmar
43
De acuerdo a su diagnostico, ¿Cual es la complicación mas común en este tipo de lesiones? Pregunta 6 opciones: Infección Artrosis Pseudoartrosis Perdida de los movimientos
Pseudoartrosis
44
Masculino de 39 años de edad, profesión pintor, sufre el día de hoy aplastamiento en su 5to dedo mano derecha, al valorar la piel se encuentra con herida a nivel de cara palmar del 5to dedo puntiforme, uña con hematoma, no hay datos de compromiso neurovascular distal. ¿Cual es el riesgo de llevar a cabo una cirugía a ese nivel? Pregunta 7 opciones: Falta de Consolidación Osea Infección Perdida de la reducción, al ser un fragmento muy pequeño Lesión del lecho ungueal
Lesión del lecho ungueal
45
La pseudoartrosis se considera como un proceso de la consolidación de una fractura, durante un tiempo más largo de lo esperado. * Falso * Verdadero
Falso
46
Fase de la consolidación ósea, que se caracteriza por presentar un hematoma. Opciones de preguntas: 1ra fase Callo Blando 3ra fase Remodelación ósea
1ra fase
47
Unidad anatómica funcional principal del hueso compacto. Opciones de preguntas: Osteoblasto Osteoclasto Osteona Célula madre
Osteona
48
A nivel microscópico, por esta estructura discurren los vasos sanguíneos y terminaciones nerviosas hacia el canal medular Opciones de preguntas: Sistema de Havers Canal de Havers Conducto de Volkmann Osteona
Conducto de Volkman
49
Fase de la consolidación ósea, donde se forman osteoide, cartílago y colágeno, Opciones de preguntas: Remodelacion Callo Blando Hematoma Callo Duro
Callo Blando
50
En qué fase de la consolidación se da la transformación de hueso fibroso en hueso laminar Opciones de preguntas: Hematoma Callo duro 2da fase Remodelacion
Remodelacion
51
En qué semana, tras la fractura, se genera un callo blando. Opciones de preguntas: 2-3 meses 2-3 semanas 1 año 1er semana
2-3 semanas
52
Hablamos de estabilidad absoluta cuando... Opciones de preguntas: Hay movimiento menor de 5 micras entre los fragmentos fracturados No hay movimiento entre los fragmentos de la fractura Hay movimiento mayor de 5 micras entre los fragmentos fracturados Se genera una consolidación secundaria
No hay movimiento entre los fragmentos de la fractura
53
Factores que intervienen a favor de una consolidación ósea Opciones de preguntas: Manejo con ciprofloxacino AINEs COX-2 selectivos como Celecoxib Cinc
Cinc
54
Factor que retrasa la consolidacion osea de una fractura. Opciones de preguntas: Vitamina C Estatinas Ibuprofeno Zinc
Ibuprofeno
55
Se considera el aumento de la presión en un espacio limitado que comprime la circulación, afectando la función de los tejidos. Opciones de preguntas: Bursitis Shock medular Sindrome compartamental Capsulitis adhesiva
Sindrome compartamental
56
Principal síntoma que debe hacerte sospechar en un síndrome compartimental. Opciones de preguntas: Tensión del compartimento (Pressure) Pulso ausente Palidez Dolor (Pain)
Dolor
57
Caso clínico GT87: Masculino de 39 años de edad quien acude por haber sufrido accidente en motocicleta el día de hoy a las 07:00 am , es valorado por usted a las 01:30 pm encontrando dolor a nivel de antebrazo, con herida de 7 cm de longitud, con exposición ósea y fractura evidente, presenta cobertura cutánea, sin aparente lesión neurovascular. ¿De acuerdo a la clasificación de Gustilo y Anderson, cual es la clasificación para la lesión que sufre el paciente? Opciones de preguntas: GyA IIIA GYA IIB GyA II GyA IIIB
GyA IIIA
58
Continua Caso clínico GT87... Manejo medico no quirúrgico más importante a realizar para la lesión del paciente , como manejo inicial. Opciones de preguntas: Inmovilizar la fractura Contar con vía endovenosa e iniciar con antibiótico Tomar imagen fotográfica, para no descubrir herida. Reducir la fractura y suturar la herida
Inmovilizar la fractura
59
Continúa caso clínico GT87: Antibiótico aconsejado para la lesión de su paciente. Opciones de preguntas: Imipenem Cefalotina y Amikacina Ceftazidima y Amikacina Cefuroxima
Cefuroxima
60
Paciente con factores de riesgo para gonococo, y acude con usted con datos clínicos francos de artritis séptica de codo derecho, de acuerdo a la GPC, ¿qué antibiótico es el mejor indicado? Opciones de preguntas: Ceftriaxona Amikacina Cefazolina Cefuroxima
Ceftriaxona
61
De acuerdo al algoritmo de la GPC para artritis séptica, usted como médico general, en qué momento debe enviar al Ortopedista a un paciente con dicha patología? Opciones de preguntas: Teniendo clínica franca de artritis séptica Al contar con radiografías de la articulación afectada Al contar con 2 hemocultivos + Al contar con neutrofilia, VSG mayor de 20mm/hr y PCR mayor de 2.0 mg/L
Al contar con 2 hemocultivos +
62
Caso clínico YL43: Femenino de 47 años de edad quien sufre accidente automovilístico , es llevada por paramédicos a urgencias, donde usted está de guardia, ¿cuál de los siguientes datos te alerta sobre una lesión grave que pone en peligro la vida de la paciente? Opciones de preguntas: Fractura de pelvis en libro abierto Dolor abdominal TA 70/55mmHg FC 109x´ FR 23x´ Temp 37.1°C SO2 83% Hematoma a nivel de trocanter mayor
TA 70/55mmHg FC 109x´ FR 23x´ Temp 37.1°C SO2 83%
63
Caso clínico YL43:: Como parte del protocolo ATLS, usted tiene vía aérea permeable, buena circulación, y paciente se encuentra con escala de coma de Glasgow de 13, Ventilación autónoma, ayudado de puntas nasales para mantener SO2 de 93%, sin embargo el paciente sigue hemodinámicamente inestable, la siguiente acción a seguir debe ser: Opciones de preguntas: Llevar a Rx para AP de pelvis Colocación de cinturón pélvico Body TAC Hemotranfundir Concentrados eritrocitarios.
Colocación de cinturón pélvico
64
Caso clínico YL43: Después de la acción tomada, el paciente logra estabilizarse hemodinámicamente, ¿cuál es el siguiente paso a seguir, de acuerdo al flujograma de paciente con fractura de anillo pélvico? Opciones de preguntas: Manejo quirúrgico definitivo de su fractura Angiografía Laparotomia TAC de pelvis
Manejo quirúrgico definitivo de su fractura
65
Continua caso clínico YL43: Factor de riesgo para mortalidad, ante la sospecha de fractura de pelvis. Opciones de preguntas: Hipotension Polifracturas Lesión uretral Politranfusion
Hipotension
66
Característica de No unión o Pseudoartrosis... - Capacidad de soportar peso - Dolor persistente - Obliteración de la línea de fractura - Puente óseo en 3 corticales del hueso
Dolor persistente
67
Presencia de callo óseo, trabéculas, Funcionalidad del paciente, Capacidad de soportar peso, son características de.. - Pseudoartrosis - Mal unión - Consolidación ósea
Consolidación ósea
68
Fractura con mayor riesgo de pseudoartrosis, en general. - Tibia - Femur - Humero - Radio
Tibia
69
De acuerdo a la clasificación de Judet y Judet de pseudoartrosis, corresponde a aquella que está relacionada a pobre vascularización, con bordes atróficos, perdida ósea. - Atrófica - Hipertrofica - Pata de caballo - Pata de elefante
Atrófica
70
Consolidación defectuosa, se completa en el periodo de tiempo esperado, solo que lo hace en una posición anormal, a que tipo de consolidación corresponde? - Absoluta - Primaria - Mal Unión - Pseudoartros
Mal unión
71
Recomendación tras cuidados a un paciente post operado de prótesis total de cadera, para evitar luxaciones... - Evitar ejercicios como bicicleta - No elevar cadera por encima de 90° de flexion - Permanecer en decúbito supino por al menos 4 semanas posteriores a su cirugía. - Cuidados de la herida con técnica estéril.
No elevar cadera por encima de 90° de flexion
72
Herida traumática, con tejido desvitalizado, clínicamente con datos de infección...de acuerdo a la GPC pertenece a la siguiente clasificación: - Sucia - Limpia contaminada - Contaminada - Limpia
Sucia
73
De acuerdo a la GPC... Las soluciones con base de alcohol más un antiséptico adicional, reduce las UFC comparado con el lavado con agua y jabón. - Verdadero - Falso
Verdadero
74
Paciente que se realizara cirugía de prótesis de cadera, en hospital particular, por fractura de cadera subcapital, paciente con Diabetes mellitus tipo 2, en buen control glucémico, como parte de profilaxis antibiótica, se recomienda administrar que antibiótico: - Trimetropim / Sulfametoxazol - Amikacina - Cefalotina - Imipenem
Cefalotina
75
Caso Clínico RV19: Femenino de 24 años de edad estudiante de medicina, sufre caída de su bicicleta, con carga axial sobre hombro derecho, manifiesta dolor, crepito, limitación funcional, se presenta con la siguiente imagen de rx. ¿De acuerdo a la clasificación de Allman pertenece esta fractura? - Allman III - Allman IIIB - Allman I - Allman II
Allman I
76
Continua Caso Clínico RV19: Manejo inicial para esta lesión que padece el px - Vendaje de Velpou - Aparato de yeso Coraco braquial - Vendaje de Jones para disminuir edema - Yeso Colgante de Caldwell
Vendaje de Velpou
77
Continúa Caso Clínico RV19: Es uno de los criterios absolutos para manejo quirúrgico de la lesión de esta paciente. - Estético - Deformidad - Dolor - Inminencia de exposición
Inminencia de exposición
78
Continua Caso Clínico RV19: Musculo involucrado, en desplazar el extremo medial de la fractura de esta paciente. - Subclavio - Esternocleidomastoideo - Deltoides - Pectoral mayor
Esternocleidomastoideo
79
Continua Caso Clínico RV19: Manejo quirúrgico recomendado en esta paciente. - Técnica de Weber y Dune - Placa Gancho - Placa de reconstrucción 3.5 - Manejo conservador
Placa de reconstrucción
80
Las fracturas de meseta tibial medial son las más comunes, entre las de meseta tibial. Verdadero Falso
Falso
81
Femenino de 33 años de edad con dolor en rodilla derecha, cara posterior, de 3 semanas de evolución, tras haber realizado extensión forzada de la misma al realizar actividad deportiva. ¿En que lesión debe hacerle sospechar, de acuerdo al sitio de localización del dolor? Opciones de preguntas: Quiste de Baker Menisco Medial Tendinitis de Pata de ganso Ligamento Cruzado Anterior
Quiste de Baker
82
Masculino de 28 años de edad, practica Futbol Americano, refiere gonalgia derecha, sufre hace 2 días, lesión en valgo forzado con rotación externa, manifiesta inestabilidad anterior de su rodilla derecha. ¿Qué signo de la exploración física es el mas sensible para su sospecha diagnostica? Opciones de preguntas: Pivot Shift Cajón Anterior Lachman Bostezo Medial
Lachman
83
Clasificación más utilizada para fracturas de meseta tibial... - Jones - Weber - Gustilo y Anderson - Schatzker
Schatzker
84
Caso clínico WYB 1: Masculino de 41 años de edad, quien sufre caída de altura de 2.5metros aprox, manifiesta dolor intenso en rodilla derecha, edema, crepito, limitación a la movilización, usted cuenta con la siguiente radiografía: ¿Cuál es el diagnóstico definitivo de este caso) - Fractura Schatzker IV - Fractura de meseta tibial Medial - Fractura Schatzker I - Fractura de ambos platillos tibiales
Fractura Schatzker I
85
Continua Caso clínico WYB 1: Al ser usted el medico de 1er contacto, cual es el siguiente manejo medico a seguir: - Rodillera mecánica graduada - Yeso muslo podalico - Solicitar TC - Reducción de la fractura.
Solicitar TC
86
Ventaja del uso de fijador externo: - Resulta más económico - Mejorar calidad de tejidos blandos - No abrir el foco de fractura - Manejo definitivo de la fractura
Mejorar calidad de tejidos blandos y no abrir foco de fractura
87
De acuerdo a la clasificación de rotula, esta radiografía corresponde a: - Transverso - Vertical - Conminuta - Polo inferior
Polo inferior
88
En la exploración física, al colocar al paciente en decúbito supino sobre la mesa de exploración, cadera en flexión de 40º, rodilla en flexión de 80º, y realiza usted un desplazamiento hacia posterior de la tibia siendo este positivo; ¿Cuál es el nombre de este signo clínico? Opciones de preguntas: Cajón Posterior McMurray Lachman Pivot Shift Reverso
Cajón Posterior
89
Masculino de 45 años de edad, con gonartrosis bilateral de larga evolución, presenta genu varo, se presenta con la siguientes radiografías: En la exploración física, encuentra rodillas con deformidad en varo, aumento de volumen +/+++, crepito a la flexo extensión, cajón posterior negativo, Pivot shift negativo, Bostezo medial +. ¿De acuerdo a su sospecha diagnostica, que estructura de tejidos blandos nos hace sospechar que este lesionada? Opciones de preguntas: Ligamento Colateral Lateral Ligamento Colateral Medial Tendón de la Pata de Ganso Menisco Medial
Ligamento Colateral Lateral
90
Caso Clinico 1: Masculino de 22 años de edad quien refiere gonalgia derecha de 1 día de evolución, con imposibilidad para la extensión de la rodilla, sufre el día de ayer caída de su plano de sustentación con carga axial sobre su rodilla derecha. ¿Qué signo clínico esperaría encontrar de acuerdo a su sospecha diagnóstica? Appley Mc Murray Signo del Hachazo Pivot Shift
Signo del Hachazo
91
Continuando caso clínico 1: Manda al paciente a Rx, y se le presenta a usted: ¿Cuál es el tratamiento inicial que usted debe realizar a este paciente, según su sospecha diagnostica? Opciones de preguntas: Analgésicos orales, e infiltración de esteroide intraarticular. Inmovilizar con férula tipo muslo-podálica Movimientos pasivos y activos, pero no de carga Inmovilizar con férula tipo calza
Inmovilizar con férula tipo calza
92
Continua caso clínico 1: ¿Cuál es el tratamiento definitivo para esta patología? Opciones de preguntas: RAFI con cerclaje a patela Tenorrafia de Cuadriceps Infiltración de esteroide intraarticular a rodilla Manejo conservador, reposo por 2 semanas y posteriormente iniciar deambulación con apoyo de muletas.
RAFI con cerclaje a patela
93
Caso clínico 1: Femenino de 29 años de edad quien sufre el día de hoy inversión forzada de su pie derecho, manifiesta dolor, y edema, a la exploración física encuentra tobillo derecho con aumento de volumen +/+++, dolor a la palpación a nivel de maléolo lateral, no crepitos, no tolera deambular mas de 3 pasos sin ayuda. ¿Qué estudio solicitaría usted de acuerdo a su sospecha diagnostica? - Rayos X Dorsoplantar y oblicua de pie derecho - Rayos X AP y lateral de Tobillo derecho - Ultrasonido de tobillo derecho - Ningún estudio de imagen
Rayos X AP y lateral de Tobillo derecho
94
La paciente regresa con la siguiente radiografía: ¿Qué signo clínico debe buscar intencionadamente, de acuerdo a la lesión presentada? -Squezz Test - Valorar datos de compromiso neurovascular distal -Movimiento de Flexo - Extensión Tibio astragalino - Varo con Estrés
Squezz Test
95
De acuerdo al diagnostico realizado, cual es el tratamiento definitivo de esta lesión? - Se trata de un esguince de tobillo, por lo cual requiere de reposo y analgésico - Fractura astragalina, requiere de TAC de tobillo y pie para valorar tipo de cirugía. - Lesión de la sindesmosis, manejo quirúrgico con Tornillos situacionales - Fractura de tobillo que requiere RAFI con placa y tornillos
Lesión de la sindesmosis, manejo quirúrgico con Tornillos situacionales
96
Caso clínico ÑP97 Femenino de 31 años de edad quien al usar zapato alto de tacón, sufre inversión forzada de su pie izquierdo, manifiesta dolor, edema, y equimosis en cara dorsal, borde lateral, a la exploración física, ¿qué es lo correcto a realizar en esta paciente? - Palpación a nivel de 1er dedo pie izquierdo - Palpación a nivel de base de 5to metatarsiano - Deambulación con las puntas de los pies - Valoración de sensibilidad con monofilamento
Palpación a nivel de base de 5to metatarsiano
97
Continua caso clínico ÑP 97: de acuerdo a la sospecha diagnostica de esta paciente que estudio de imagen es el mejor indicado, para confirmar el diagnóstico. - Rx lateral de tobillo y mortaja izquierdo - Ultrasonido de pie, con doppler - Rx dorso plantar y oblicua de pie izquierdo - Resonancia magnética simple de pie derecho
Rx dorso plantar y oblicua de pie izquierdo
98
Continua caso clínico ÑP 97: ¿Cuál es el manejo inicial que debe usted efectuar en este caso? - Vendaje sencillo - Celecoxib 200 mg 1 capsula via oral cada 24 horas por 10 dias - Sandalia ortopedica - Férula suro podalica
Ferula suro podalica
99
Las fracturas de meseta tibial medial son las más comunes, entre las de meseta tibial. Pregunta 1 opciones: Verdadero Falso
Falso
100
Mecanismo de lesión de las fracturas de meseta tibial : Pregunta 2 opciones: Varo de cadera Supinación con rotación externa Valgo de tobillo Valgo de rodilla
Valgo de rodilla
101
Clasificación más utilizada para fracturas de meseta tibial... Pregunta 3 opciones: Gustilo y Anderson Jones Schatzker Weber
Schatzker
102
Caso clínico WYB 1: Masculino de 41 años de edad, quien sufre caída de altura de 2.5metros aprox, manifiesta dolor intenso en rodilla derecha, edema, crepito, limitación a la movilización, usted cuenta con la siguiente radiografía: ¿Cuál es el diagnóstico definitivo de este caso) Pregunta 4 opciones: Fractura Schatzker IV Fractura de ambos platillos tibiales Fractura de meseta tibial Medial Fractura Schatzker I
Fractura Schatzker I
103
Continua Caso clínico WYB 1: (Caso clínico WYB 1: Masculino de 41 años de edad, quien sufre caída de altura de 2.5metros aprox, manifiesta dolor intenso en rodilla derecha, edema, crepito, limitación a la movilización, usted cuenta con la siguiente radiografía): Al ser usted el medico de 1er contacto, cual es el siguiente manejo medico a seguir: Pregunta 5 opciones: Solicitar Tomografía Computarizada Yeso muslo podalico Rodillera mecánica graduada Reducción de la fractura.
Solicitar Tomografía Computarizada
104
.
Mejora calidad de tejidos blandos ?
105
De acuerdo a la clasificación de rotula, esta radiografía corresponde a: Pregunta 7 opciones: Polo inferior Conminuta Transverso Vertical
Polo inferior
106
Caso Clínico AQ37: Llega a su consulta, pareja joven, mujer 23 años de edad, actualmente en su gesta 2, externan temor ante su embarazo, en particular énfasis a displasia del desarrollo de cadera, ya que su 1er hija presenta esta enfermedad. ¿que factor de riesgo interrogaría usted dentro de los que se conocen que pueden afectar al producto de la paciente embarazada? - Si el embarazo anterior terminó en parto o cesárea - Estatura del padre - Si se trata de un embarazo gemelar - Tipo de anticonceptivos previo al embarazo
Si se trata de un embarazo gemelar
107
Continuando caso clínico AQ37. A los meses de haber valorado a la pareja, llegan a su consultorio, con una recién nacido femenino de 2 semanas de nacida, somatometría al nacer: peso 3.050kg estatura 57 cm. Refieren no complicaciones al momento del parto, con presentación cefálica, egresados en binomio. A la exploración física ¿qué factores de riesgo debe usted buscar? - Cadera Derecha - Espina bífida - Pie Zambo - Deformidad de Madelung (Muñeca)
Pie zambo
108
Continuando caso clínico AQ37: La cadera que usted observa con datos de displasia de cadera, componente luxación de cadera es la izquierda, no encuentra ninguna deformidad en pies, ni resto de miembros inferiores, no existe hiperlaxitud ligamentosa, ni lesiones a columna. ¿Cuántos factores de riesgo presenta la recién nacida, para padecer de Displasia del desarrollo de Cadera? - 1 - 3 - 2 - Ninguno
3
109
Caso Clínico AQ37: A la exploración física, usted encuentra simetría en pliegues, así como al colocarlo en posición supina sobre la mesa de exploración, flexionar ambas caderas y rodillas, hay simetría de éstas, logra luxar la cadera izquierda, sin embargo no logra reducirla. ¿Qué signo positivo tiene la paciente? - Ortolani - Klisec - Galeazzi - Barlow
Barlow
110
Termina caso clínico AQ37: ¿Cuál es el plan más correcto a seguir en este caso? - Explicar que no tiene factores de riesgo de peso, para sospechar en patología DDC, y dar de alta. - Ecografía de caderas y Enviar al Ortopedista Pediatra - Rx AP de pelvis (ambas caderas) y enviar al Ortopedista Pediatra - Seguimiento y revaloración en 4 meses
Ecografía de caderas y Enviar al Ortopedista Pediatra
111
Caso Clínico FS97: Acude a su consulta masculino de 2 años de edad acompañado por su mamá, motivo de consulta pie plano, para que recete plantillas, ya que su otro hijo tiene misma patología y ha usado plantillas desde los 3 años. Signo clínico que debe identificar a la exploración física, para corroborar que sea pie plano rígido. - Maniobra de Jefferson - Signo de Thompson - Signo de Hoffman - Maniobra de Jack
Maniobra de Jack
112
Caso Clínico FS97: al estar negativo el signo antes mencionado, que tipo de plantilla recomendaría usted para este paciente. - Plantilla de cuero para ambos pies, con botón metatarsal de 1.5cm, uso diario , recambio cada 6 meses. - No requiere plantillas, se trata de pie plano rígido, es necesario una prótesis cónica al pie más afectado. - No se recomienda plantilla, se trata de pie plano flexible, requiere de ejercicios, terapia física, caminar descalzo en casa. - Plantilla de pelite para ambos pies, con virón corrido interno de 2mm, uso diario en zapato cerrado
No se recomienda plantilla, se trata de pie plano flexible, requiere de ejercicios, terapia física, caminar descalzo en casa.
113
El pie plano flexible, clínicamente se debe a presencia de grasa plantar, y aumento de laxitud ligamentaria Verdadero Falso
tru
114
Caso clínico RW43: Una de las teorías del Pie Equino Varo Aducto Congénito, es que las fibras de colágeno son muy densas y ondulantes. Opciones de preguntas: Verdadero Falso
Verdadero
115
Caso clínico RW43: Acude a su consulta ambos padres con su hija de 6 meses de edad, porque ven los pies "chuecos" a su hija, usted encuentra a la exploración física ¿En qué momento se recomienda iniciar tratamiento para PEVAc? - A los 6 meses de edad - Desde el nacimiento - No se da tratamiento, corrige solo - Cuando inicie deambulación
Desde el nacimiento
116
Caso clínico RW43: Los padres desean saber si necesitan tomar algún estudio para el diagnóstico de su hija, la respuesta correcta es que: - Requiere Rx dorsoplantar y oblicua de pie - Necesita Ultrasonido de partes blandas del pie - No requiere estudios, el diagnostico es clinico - Una TAC simple del pie
No requiere estudios, el diagnostico es clinico
117
Caso clínico RW43: Una preocupación de los padres, es la necesidad de cirugía como parte del tratamiento. ¿Cuál es el mejor tratamiento para PEVAc? - Método Ponseti seguido de tenotomía y termina con férula de Dennis Brown - El metodo ponseti solo requiere de yesos correctores. - No requiere ningún tipo de cirugía, solo ejercicios de terapia física. - Es necesario una liberación tendinosa, con transposición del tibial anterior
Método Ponseti seguido de tenotomía y termina con férula de Dennis Brown
118
Ante un paciente masculino de 7 años de edad con coxalgia derecha de larga evolución, no antecedente traumático, y cojera, una sospecha diagnostica es : - Coxartrosis derecha - Lesión lumbar - Enfermedad por Legg Calve Perthes - Fractura transtrocanterica derecha
Enfermedad por Legg Calve Perthes
119
Caso Clínico MM49: Femenino de 37 años de edad con dolor en medio pie izquierdo, de más de 2 meses de evolución, refiere esguince de tobillo izquierdo hace 3 meses, 5 meses y 8 meses, manifiesta dolor intensidad 5/10, irradiación hacia dedos, con parestesias, no tolera zapato de tacón, ni apretado, usa plantillas en ambos pies por pie plano; Peso 71kg Estatura 1.53m; una electromiografía de miembros pélvicos muestra una neuro praxia del tibial posterior; ¿cuántos factores de riesgo tiene esta paciente para la lesión que padece? 3 1 4 2
4
120
Caso Clínico OP67: Femenino de 48 años de edad padece DM2 de larga evolución, acude por dolor en rodilla izquierda de más de 3 semanas de evolución, sin evento traumático aparente, limitación a la flexo extensión. A la exploración física se encuentra rodilla con edema ++/+++, enrojecimiento, dolorosa a la palpación, tolera flexión pasiva de 30°, extensión 0°, signo de tempano +, TA 130/85mmHg FC 105x´FR 21x´ Temp 38.5°C SO2 94%. De acuerdo a la epidemiologia y características de la paciente, ¿qué agente etiológico debe hacerle sospechar? Staphylococus aureus Escherichia coli Mecanismo de carga axial con valgo de rodilla Neisseria gonorrhoeae
Staphylococus aureus
121
Continua caso clínico OP67: 3 factores de riesgo que debe identificar en esta paciente, de acuerdo a la correcta sospecha diagnostica. Gonartrosis grado IV izquierda, Drepanocitosis, Alcoholismo Género masculino, Ulceras cutáneas, deformidad angular en varo en ambas rodillas Nivel socioeconómico bajo, Diabetes Mellitus, Antecedente de Prótesis de Cadera Antecedente de inyección intra articular, Cáncer de Tiroides con metástasis, Diabetes mellitus
Nivel socioeconómico bajo, Diabetes Mellitus, Antecedente de Prótesis de Cadera
122
Continua caso clínico OP67: a la paciente se le realiza artrocentesis de su rodilla, encontrando las siguientes características en liquido: color opaco, viscosidad baja, leucocitos 61,000 /ul, Glucosa 89mg/dl, PMN 75%, el cultivo se encuentra en siembra, presenta una biometría hemática con Hb 9.7g/dl, Leucos 13,000, VSG 43mm/hr Proteína c reactiva 55mg/dl. De acuerdo a estos estudios, la indicación médica adecuada es la siguiente: Antibioticoterapia empírica Crioterapia, reposo por 7-10 dias Rodillera mecanica graduada AINEs cox 2 selectivos
Antibioticoterapia empírica
123
Caso clínico OP67: Tratamiento final de acuerdo a la GPC 2016, según la sospecha diagnostica. Dexametasona 8mg I.V. cada 8 horas por 8 dias Amoxicilina / clavulanato 1g I.V. cada 8 horas por 7 dias Linezolid 600 mg I.V. cada 12 horas por 10 dias Cefalotina 1g I.V. cada 8 horas por 14 días
Cefalotina 1g I.V. cada 8 horas por 14 días
124
Caso clínico OP67: En el diagnóstico de esta paciente, la inmovilización prolongada resulta en daño y perdida de cartílago articular, por lo que la movilidad precoz tiene efecto benéfico en la distribución del líquido sinovial y en la nutrición por difusión del cartílago. Verdadero Falso
Verdadero
125
Principal agente etiológico relacionado en osteomielitis crónica. Staphylococcus aureus Origen micotico Pseudomonas Aeuruginosa E. Coli
Staphylococcus aureus
126
Seleccione la respuesta que represente a 3 factores predisponentes para sospechar de osteomielitis aguda: Fractura de radio diafisario manejo conservador con yeso, Obesidad grado II, VIH-SIDA Diabetes Mellitus tipo 2 controlada, Lumbalgia crónica, Malnutrición Cirugía de prótesis de rodilla, Conjuntivitis bacteriana, Hallux valgus severo Displasia del desarrollo de cadera bilateral, Enfermedad por COVID 19, Reflujo Gastroesofagico
Fractura de radio diafisario manejo conservador con yeso, Obesidad grado II, VIH-SIDA
127
De las siguientes opciones, que paciente es en el que se sospecha de osteomielitis aguda... Masculino de 37 años de edad sin comorbidos, antecedente de extraccion dentaria hace 1 mes, presenta codo doloroso hiperemico, temperatura 37.6°C. Masculino de 71 años de edad con lumbalgia cronica, irradiacion hacia pelvico izquierdo, con parestesias, no paresias, en tratamiento con pregabalina durante 3 meses. Femenino de 57 años de edad con DM2, HAS, dolor en ambas rodillas, con crepito, se exacerba a la deambulacion y subir escaleras, no datos de inestabilidad. Femenino de 6 años de edad con displasia del desarrollo de cadera izquierda, variación luxación, requiere manejo quirúrgico, la cadera se aprecia dolorosa a la movilización, no enrojecimiento, no calor, sin inflamación regional.
Masculino de 37 años de edad sin comorbidos, antecedente de extraccion dentaria hace 1 mes, presenta codo doloroso hiperemico, temperatura 37.6°C.
128
Masculino de 49 años de edad con DM2, HAS, se encuentra con TA 139/89mmHg Glucometría plasmática 164mg/dl, acude a consulta por lumbalgia de 4 semanas de evolución, predominio nocturno, intensidad 4/10, no irradiación, hipertermia no cuantificada, ¿Sospecha diagnostica correcta? Espondilodiscitis Lumbociática secundario a Hernia de disco Lumbociática secundario a Canal Lumbar Estrecho Espondilo artopatia degenerativa lumbar
Espondilodiscitis
129
Ante la sospecha de espondilodiscitis bacteriana, estudios que debemos solicitar para apoyr nuestro diagnostico clinico: Leucos, cuenta de reticulocitos, hemoglobina Hba1C, Plaquetas, Urocultivo Leucos, VSG, PCR, Hemocultivo Rx lumbares, dinámicas y TAC con reconstrucción
Leucos, VSG, PCR, Hemocultivo
130
Ante un caso confirmado por hemocultivo, de espondilitis bacteriana, secundario a S. aureus (SAMR); ¿Que antibiótico es el mejor indicado, en un varón de 37 años de edad ex fumador, con déficit motor miembro pélvico derecho? Ciprofloxacino 500 mg I.V. cada 12 horas por 10 dias Cefuroxima 750 mg I.V. cada 8 horas por 6 semanas Amoxicilina / Clavulanato 1g I.V. cada 6 horas por 5 semanas Ceftazidina 1g I.V. cada 8 horas por 6 semanas
Cefuroxima 750 mg I.V. cada 8 horas por 6 semanas
131
Caso Clínico MM49: Femenino de 37 años de edad con dolor en medio pie izquierdo, de más de 2 meses de evolución, refiere esguince de tobillo izquierdo hace 3 meses, 5 meses y 8 meses, manifiesta dolor intensidad 5/10, irradiación hacia dedos, con parestesias, no tolera zapato de tacón, ni apretado, usa plantillas en ambos pies por pie plano; Peso 71kg Estatura 1.53m; una electromiografía de miembros pélvicos muestra una neuro praxia del tibial posterior; ¿cuántos factores de riesgo tiene esta paciente para la lesión que padece? - 3 - 1 - 4 - 2
4
132
Las fracturas de cupula radial las clasifica Masson de acuerdo a: Opciones de preguntas: Al desplazamiento de los fragmentos Al grado de conminucion de la fractura Numero de fragmentos oses Al tamaño de la exposicion osea
Al desplazamiento de los fragmentos
133
En esta radiografía, cuales son los objetivos del tratamiento: Opciones de preguntas: Recuperación funcional precoz Consolidación ósea Todas son correctas Restauración de la anatomía
Todas son correctas
134
De acuerdo al diagnostico correcto de esta radiografía, selecciones la respuesta correcta: Opciones de preguntas: Requiere aplicación de yeso braquipalmar​ Requiere reducción de la luxación y fijación de la fractura Requiere Fijación de la fractura Corresponde a una fractura luxación de Monteggia tipo I
Requiere reducción de la luxación y fijación de la fractura
135
Clasifique la siguiente fractura, en base a esta radiografia: Masson II Masson I Mayo II AO 12B1
Masson II
136
Caso Clínico MM49: Fisio patogenia de la lesión que padece la paciente. - Gangliones - Atrapamiento por el retináculo de los flexores - Lesión intrínseca del Nervio Tibial Posterior - Tendinitis del tibial anterior
Atrapamiento por el retináculo de los flexores
137
Caso Clínico MM49: FM de 37 años de edad con dolor en medio pie izquierdo, de más de 2 meses de evolución, refiere esguince de tobillo izquierdo hace 3 meses, 5 meses y 8 meses, manifiesta dolor intensidad 5/10, irradiación hacia dedos, con parestesias, no tolera zapato de tacón, ni apretado, usa plantillas en ambos pies por pie plano; Peso 71kg Estatura 1.53m; una electromiografía de miembros pélvicos muestra una neuro praxia del tibial posterior. Característica a la exploración física de esta lesión: - Hipersensibilidad - Dolor urente en región lateral del tobillo - Irradiación hacia 2do y 3er dedos del pie - Se aumenta con el apoyo plantar
Se aumenta con el apoyo plantar
138
Caso Clínico GH61: Paciente masculino de 37 años de edad, llega a servicio de urgencias 3a.m. por dolor en tobillo y medio pie derecho, tras caída de escaleras, desconoce mecanismo exacto de la lesión, 2 días de evolución, presenta edema, dolor a la palpación en maléolo medial, con equimosis a nivel de arco plantar. ¿Qué estudio es el correcto que debe solicitar ante la sospecha diagnostica del paciente? - Rx en mortaja de tobillo derecho - Dorso plantar y oblicua de pie derecho - AP y lateral de tobillo derecho - Lateral de calcáneo derecho
Dorso plantar y oblicua de pie derecho
139
Caso Clínico GH61: Teniendo las siguientes rx del paciente ¿Cuál es el manejo más adecuado a la lesión que padece el paciente? Opciones de preguntas: Férula suro podálica, y revisión en 72 horas Yeso circular suro podálico, cita a la consulta externa de Traumatología en 5 semana para retiro. Vendaje de Jones, dejar en observación, analgésicos I.V. Férula de yeso, e interconsulta con traumatología, para manejo quirúrgico de urgencia
Férula de yeso, e interconsulta con traumatología, para manejo quirúrgico de urgencia
140
¿Cuál es el principal factor de riesgo modificable para padecer Hallux Valgus? - DM tipo 2 decontrolado - Uso de zapato de tacón alto - Trabajo que tenga que estar parado por más de 8 horas - Pie plano
Uso de zapato de tacón alto
141
En la fisiopatología del hallux valgus, la cabeza metartarsal se desplaza hacia lateral (de acuerdo al eje del pie) Opciones de preguntas: Verdadero Falso
Falso
142
Radiografías a solicitar para planeación quirúrgica de Hallux Valgus - Lateral de pie - Dorso plantar y oblicua de pie - AP de tobillo - Oblicua de pie
Dorso plantar y oblicua de pie
143
En el caso de Hallux valgus, el uso de férulas nocturnas ayudan a aliviar los síntomas, mas no mejoran la deformidad. Opciones de preguntas: Verdadero Falso
verdadero
144
El objetivo del manejo quirúrgico es aliviar dolor y recuperar la anatomía del 1er dedo. Verdadero Falso
verdadero
145
146
Factores de riesgo para mortalidad, tras fractura de pelvis, Excepto: Opciones de preguntas: Fractura expuesta grado III-B de Húmero Trauma de abdomen asociado Coagulopatia Traumatismo Cráneo Encefálico Leve
Fractura expuesta grado III-B de Húmero
147
Masculino de 28 años de edad quien sufre accidente en motocicleta, se desconoce cinematica del trauma, es llevado por paramedicos a la unidad de urgencias del hospital; encuentra paciente con escala de coma de glasgow de 9/15, herida sangrante tipo scalpe en region frontoparietal, sus signos vitales son TA 85/55mmHg FC 115x´ FR 28x´Temp 36.7°C. ¿Cual es la primer medida que debe usted evaluar en este paciente? Opciones de preguntas: Identificar que no haya obstrucción de la vía aérea Solicitar inmediatamente radiografias de pelvis. Interrogar sobre el mecanismo de lesión exacto Realizar lavado de herida en cráneo, y suturar para detener la hemorragia
Identificar que no haya obstrucción de la vía aérea
148
Continuando con el caso anterior usted encuentra que el paciente presenta hematoma a nivel de hemipelvis derecha, al realizar maniobras para estabilidad pélvica, usted encuentra datos clínicos de inestabilidad; la vía aérea se encuentra libre, ya tiene 2 vías para hidratación, ¿cual es la siguiente medida a realizar? Opciones de preguntas: Inmediatamente enviar a Rx para valorar fractura de pelvis Colocar cinturón pélvico circunferencial Indicar soluciones cristaloides, ya que esta en choque hipovolémico Solicitar interconsulta al traumatólogo para valoración de pelvis inestable.
Colocar cinturón pélvico circunferencial
149
La radiografía AP de pelvis se muestra a continuación ¿Que radiografías complementarias son las mas indicadas? Opciones de preguntas: Rx. de entrada y salida de pelvis Rx. AP y lateral de acetábulo Rx. con rotación externa de fémur izquierdo Rx. oblicuas de pelvis
Rx. De entrada y salida de pelvis
150
Masculino de 35 años de edad, traído a urgencias por accidente de vehículo, tipo colisión, presenta hipotensión, y clinicamente con inestabilidad de pelvis. Radiografía Se le coloca un cinturón pélvico, su TA se normaliza temporalmente, se realiza TAC abdominal, hallando liquido libre en cavidad intraperitoneal, por lo que se le indica una laparotomía. ¿Cual es el manejo ortopédico mas apropiado en este momento? Opciones de preguntas: Realizar la laparotomía, y en un 2do tiempo quirúrgico realiza la fijación de la pelvis Reducción Cerrada Fijación Interna con Tornillo a articulación Sacroiliaca Derecha Reducción Cerrada Fijación Externa con Fijador Externo Reducción Abierta Fijación Interna con placa de reconstrucción a sínfisis de pubis
Reducción Cerrada Fijación Externa con Fijador Externo
151
Masculino de 37 años de edad en atropellado por vehiculo, al deambular en la noche. Hemodinamicamente inestable, se inicia protocolo ATLS, evaluacion inicial completa. Se solicitan radiografias AP de torax y Pelvis: ¿Cual es el siguiente paso mas apropiado? Opciones de preguntas: Llevar al paciente inmediatamente a sala de quirófano para colocación de fijador externo a pelvis Continuar terapia de hidratación endovenosa e inmediatamente obtener TAC de Tórax, Abdomen, Pelvis. Aplicación de cinturón pélvico, continuar con hidratación endovenosa y re-evaluar condición hemodinámica Solicitar Rx. entrada y salida de pelvis para tener una mejor clasificación de la fractura.
Aplicación de cinturón pélvico, continuar con hidratación endovenosa y re-evaluar condición hemodinámica
152
Es una de las causas de morbilidad y mortalidad más importantes en pacientes ancianos y es un reto para los sistemas de salud en todo el mundo, tanto por su frecuencia como por su alto costo económico: Opciones de preguntas: Fractura de columna Cervical Fractura de Humero proximal Fractura de Cadera Fractura de acetábulo
Fractura de Cadera
153
Según la GPC (ultima actualización de 2018) Factor de riesgo para Osteoporosis: Opciones de preguntas: Uso de Bastón para la deambulación Antecedente de EVC Incontinencia Urinaria Todas las anteriores
Todas las anteriores
154
De acuerdo a la estadística de E.U.A. que porcentaje de pacientes geriátricos, con fractura de cadera, fallecerá en el primer año tras evento traumático. Opciones de preguntas: Hasta 52% 20% Entre 2 y 7 % Entre 17 y 33%
Hasta 52%
155
A que se refiere el concepto de Ortogeriatría: Opciones de preguntas: Permitir un confort de muerte a un paciente geriatrico con fractura Un grupo multidisciplinario que se enfoca en la atención y manejo de un paciente geriátrico con fractura. Un traumatólogo que realiza cirugías a pacientes geriátricos Un geriatra que atiende pacientes con fracturas patologicas
Un grupo multidisciplinario que se enfoca en la atención y manejo de un paciente geriátrico con fractura.