Final Flashcards

(39 cards)

1
Q

34F presents to ED with 1d hx of pleuritic chest pain and SOB. Also reports pain in her L leg. She just returned from a 17hr flight from Auckland (New Zealand). PMHx is unremarkable. Takes OCP.

Vitals: 37.2C, 118bpm, 28RR, 110/76mmHg, Sats 88% on room air.

On exam: JVD, swollen L calf compared to R by >3cm.
CXR is normal.

You decide to order imaging for this patient, what would be the expected radiation dose for your test?

a) 0
b) 0.1
c) 0.7
d) 2
e) 10

A

34F presents to ED with 1d hx of pleuritic chest pain and SOB. Also reports pain in her L leg. She just returned from a 17hr flight from Auckland (New Zealand). PMHx is unremarkable. Takes OCP.

Vitals: 37.2C, 118bpm, 28RR, 110/76mmHg, Sats 88% on room air.

On exam: JVD, swollen L calf compared to R by >3cm.
CXR is normal.

You decide to order imaging for this patient, what would be the expected radiation dose for your test?

a) 0
b) 0.1
c) 0.7
d) 2
e) 10

(E) 10mSv (idea is that diagnosis is PE, therefore should order CT chest, which has radiation of 10). WOULD NOT be appropriate for d-dimer as her WELLS SCORE is 7.5 (high risk)

How well did you know this?
1
Not at all
2
3
4
5
Perfectly
2
Q

25F presents to ED with abdominal pain and vaginal bleeding. It started a few hours ago, and seems to localize to the LLQ. She has a past medical history of PID and irregular periods, she thinks her last one was 2 months ago. She is sexually active, does not regularly use condoms.

Vitals: 37.7C, 120bpm, 22RR, 85/55mmHg.

On exam: appears pale and diaphoretic. Tender max to the LLQ. Pelvic exam reveals mild bleeding, and left adnexal tenderness.
POCUS: free fluid in the abdomen

Labs: hgb 75, wbc 10, plt 350, hcg 1500.

What is your most likely diagnosis?

a) Appendicitis with abscess
b) Ectopic pregnancy
c) PID
d) UTI
e) Ovarian torsion

A

25F presents to ED with abdominal pain and vaginal bleeding. It started a few hours ago, and seems to localize to the LLQ. She has a past medical history of PID and irregular periods, she thinks her last one was 2 months ago. She is sexually active, does not regularly use condoms.

Vitals: 37.7C, 120bpm, 22RR, 85/55mmHg.

On exam: appears pale and diaphoretic. Tender max to the LLQ. Pelvic exam reveals mild bleeding, and left adnexal tenderness.
POCUS: free fluid in the abdomen

Labs: hgb 75, wbc 10, plt 350, hcg 1500.

What is your most likely diagnosis?

a) Appendicitis with abcess
b) Ectopic pregnancy
c) PID
d) UTI
e) Ovarian torsion

(B) Ectopic pregnancy (overdue period + repro age + sudden onset + signs of shock + free fluid in the abdomen-> hemorrhagic shock 2/2 ruptured ectopic. The exam won’t make it this easy!

How well did you know this?
1
Not at all
2
3
4
5
Perfectly
3
Q

A 64-year-old man presents your rural family medicine clinic with six weeks of profuse, watery diarrhea that occurs both during the day and at night. He reports no abdominal pain, weight loss, or recent travel. Fasting does not affect stool frequency. His serum osmolality is normal. Which of the following is the MOST consistent with his presentation?

A. Diarrhea due to lactose intolerance
B. Secretory diarrhea, such as from microscopic colitis
C. Inflammatory diarrhea, such as from ulcerative colitis
D. Dysmotility-related diarrhea, such as from hyperthyroidism
E. Functional diarrhea

A

A 64-year-old man presents your rural family medicine clinic with six weeks of profuse, watery diarrhea that occurs both during the day and at night. He reports no abdominal pain, weight loss, or recent travel. Fasting does not affect stool frequency. His serum osmolality is normal. Which of the following is the MOST consistent with his presentation?

A. Diarrhea due to lactose intolerance
B. Secretory diarrhea, such as from microscopic colitis

Symptoms persist with fasting, no pain, and nocturnal component

C. Inflammatory diarrhea, such as from ulcerative colitis
D. Dysmotility-related diarrhea, such as from hyperthyroidism
E. Functional diarrhea

Background reading 40: Chronic Diarrhea; page 4

How well did you know this?
1
Not at all
2
3
4
5
Perfectly
4
Q

A 51-year-old woman presents with a 3-month history of intermittent diarrhea. She reports mild cramping, no blood, but notes several episodes of waking up at night to defecate. She’s lost 5 kg unintentionally and attributes it to stress. Her father had colon cancer at age 65. Which of the following features is considered a red flag for further workup?

A. Age under 50
B. No nocturnal symptoms
C. Intentional weight loss
D. Presence of hematochezia
E. Family history of lung cancer

A

A 51-year-old woman presents with a 3-month history of intermittent diarrhea. She reports mild cramping, no blood, but notes several episodes of waking up at night to defecate. She’s lost 5 kg unintentionally and attributes it to stress. Her father had colon cancer at age 65. Which of the following features is not considered a red flag for further workup?

A. Age under 50
B. No nocturnal symptoms
C. Intentional weight loss
**D. Presence of hematochezia- all others are not red flags
**E. Family history of lung cancer

Background reading 40: Chronic Diarrhea; page 2

How well did you know this?
1
Not at all
2
3
4
5
Perfectly
5
Q

A 32-year-old man presents with 4 months of loose stools occurring 3 - 4 times daily. He denies any weight loss, fever, or nocturnal symptoms. He does not describe any abdominal cramping, but notes occasional bloating. Which feature, if present, would most strongly suggest a diagnosis of IBS?

A. Relief of pain after defecation
B. Occasional bloating
C. Symptom onset during a stressful life event
D. Stool frequency >3/day
E. Normal inflammatory markers

A

A 32-year-old man presents with 4 months of loose stools occurring 3 - 4 times daily. He denies any weight loss, fever, or nocturnal symptoms. He does not describe any abdominal cramping, but notes occasional bloating. Which feature, if present, would most strongly suggest a diagnosis of IBS?

A. Relief of pain after defecation

Pain relief or exacerbation related to defecation is a hallmark of IBS

B. Occasional bloating
C. Symptom onset during a stressful life event
D. Stool frequency >3/day
E. Normal inflammatory markers

Background reading 40: Chronic Diarrhea; page 3

How well did you know this?
1
Not at all
2
3
4
5
Perfectly
6
Q

A 68-year-old woman presents with painless watery diarrhea ongoing for 5 weeks. She has no fever, blood, or weight loss. Fasting does not improve symptoms. Physical exam is unremarkable. What is the next best step?

A. Start empiric loperamide for presumed IBS
B. Colonoscopy and obtain biopsies
C. Order fecal calprotectin
D. Upper endoscopy and obtain biopsies
E. Refer for capsule endoscopy

A

A 68-year-old woman presents with painless watery diarrhea ongoing for 5 weeks. She has no fever, blood, or weight loss. Fasting does not improve symptoms. Physical exam is unremarkable. Colonoscopy reveals normal mucosa. What is the next best step?

A. Start empiric loperamide for presumed IBS
B. Colonoscopy and obtain biopsies
C. Order fecal calprotectin
**D. Upper endoscopy and obtain biopsies - Microscopic colitis can present with secretory features and requires biopsy to diagnose.
**
E. Refer for capsule endoscopy

How well did you know this?
1
Not at all
2
3
4
5
Perfectly
7
Q

24F presents to FM office d/t 3d hx of lower abdo pain and dysuria. PMHx of previous UTIs which resolves w/ abx. Sexually active w/ one partner, does not use condoms. Had pain w/ sex 1wk ago.

Vitals: 38.2C, 86bpm, 110/70mmHg.

On exam: lower abdo tenderness, bilateral inguinal lymphadenopathy, small amount of purulent discharge. Cervical motion tenderness on bimanual exam.

Most likely diagnosis?

A

24F presents to FM office d/t 3d hx of lower abdo pain and dysuria. PMHx of previous UTIs which resolves w/ abx. Sexually active w/ one partner, does not use condoms. Had pain w/ sex 1wk ago.

Vitals: 38.2C, 86bpm, 110/70mmHg.

On exam: lower abdo tenderness, bilateral inguinal lymphadenopathy, small amount of purulent discharge. Cervical motion tenderness on bimanual exam.

Most likely diagnosis?

PID (cervical motion tenderness common findings for PID)

How well did you know this?
1
Not at all
2
3
4
5
Perfectly
8
Q

22F G1P0 presents to ED due to several hours of abdominal cramping and passing of vaginal blood clots. She is at 8wks gestation.

Vitals: 36.8C, 75bpm, 110/66mmHg

On exam: closed cervical os

Next step?

a) Misoprostol
b) Expectant Management
c) Dilation and Curretage
d) Ultrasound
e) Oxytocin

A

22F G1P0 presents to ED due to several hours of abdominal cramping and passing of vaginal blood clots. She is at 12wks gestation.

Vitals: 36.8C, 75bpm, 110/66mmHg

On exam: closed cervical os

Next step?

a) Misoprostol
b) Expectant Management
c) Dilation and Curretage
**d) Ultrasound
**e) Oxytocin

(D) US is most helpful for identifying life-threatening causes of vaginal bleeding such as ectopic pregnancy, but also assessing for fetal viability/signs of miscarriage

How well did you know this?
1
Not at all
2
3
4
5
Perfectly
9
Q

25F presents to ED d/t sudden onset abdominal pain, nausea, and vomiting. Patient denies fever, diarrhea, vaginal bleeding, or vaginal discharge. LNMP 4wks ago. Uses OCP. Had an appy at age of 12. Last sexually active 2 months ago, always uses condoms.

Vitals: 37.5C, 105bpm, 23RR, 110/70mmHg.

On exam: severe RLQ tenderness w/ rebound and guarding. No Significant vaginal discharge. R adnexal tenderness. BHCG -ve.

What is at the top of your DDx?

a) Diverticulitis
b) Ovarian torsion
c) Appendicitis
d) Ruptured ectopic pregnancy
e) Ovarian cancer

A

25F presents to ED d/t sudden onset abdominal pain, nausea, and vomiting. Patient denies fever, diarrhea, vaginal bleeding, or vaginal discharge. LNMP 4wks ago. Uses OCP. Had an appy at age of 12. Last sexually active 2 months ago, always uses condoms.

Vitals: 37.5C, 105bpm, 23RR, 110/70mmHg.

On exam: severe RLQ tenderness w/ rebound and guarding. No Significant vaginal discharge. R adnexal tenderness. BHCG -ve.

What is at the top of your DDx?

a) Diverticulitis
b) Ovarian torsion
c) Appendicitis
d) Ruptured ectopic pregnancy
e) Ovarian cancer

**(B) Ovarian torsion should be at the top of DDx. Appy unlikely with previous appendicitis. Diverticulitis is usually on left side and for older people. Ectopic unlikely with neg BHCG. **

How well did you know this?
1
Not at all
2
3
4
5
Perfectly
10
Q

15F brought to ED d/t 24 hours of abdo pain, n/v, and decreased appetite. Initially periumbilical, but now painful to the RLQ. LNMP 3wks ago. She is not sexually active.

Vitals: 38.1C

On exam: tenderness to palpation, guarding in RLQ

Labs: 12.6WBC

Which of the following would you most likely expect in this patient?

a) Abnormal Abdominal X-ray
b) Positive Murphy’s sign
c) Positive Rovsing sign
d) Elevated lipase
e) Positive pregnancy test

A

15F brought to ED d/t 24 hours of abdo pain, n/v, and decreased appetite. Initially periumbilical, but now painful to the RLQ. LNMP 3wks ago. She is not sexually active.

Vitals: 38.1C

On exam: tenderness to palpation, guarding in RLQ

Labs: 12.6WBC

Which of the following would you most likely expect in this patient?

a) Abnormal Abdominal X-ray
b) Positive Murphy’s sign
**c) Positive Rovsing sign
**d) Elevated lipase
e) Positive pregnancy test

(C) - RLQ pain with leukocytosis points to appy, therefore Rovsing sign is most likely to be posisive. X-ray abdominal is not helpful for appy. +murphy suggestive of chole, +lipase sugggestive of pancreatitis)

How well did you know this?
1
Not at all
2
3
4
5
Perfectly
11
Q

Which of the following ECG findings is typically seen earliest in hyperkalemia?

A. Tall peaked T waves
B. Loss of P waves
C. Sine wave morphology
D. Widened QRS complex
E. Ventricular fibrillation

A

Which of the following ECG findings is typically seen earliest in hyperkalemia?

A. Tall peaked T waves

Tall peaked T waves are typically the first ECG abnormality in hyperkalemia.

B. Loss of P waves
C. Sine wave morphology
D. Widened QRS complex
E. Ventricular fibrillation

Background reading 41 AKI/Hyperkalemia: page 6

How well did you know this?
1
Not at all
2
3
4
5
Perfectly
12
Q

A 68-year-old man with ESRD on hemodialysis presents with K = 7.4 mmol/L, muscle weakness, and peaked T waves on ECG. What is the first priority in management?

A. Administer calcium gluconate IV
B. Infuse sodium bicarbonate
C. Administer furosemide 40 mg IV
D. Administer patiromer orally
E. Start insulin-glucose infusion

A

A 68-year-old man with ESRD on hemodialysis presents with K = 7.4 mmol/L, muscle weakness, and peaked T waves on ECG. What is the first priority in management?

A. Administer calcium gluconate IV

  • IV calcium is given first to stabilize cardiac membranes before shifting or removing potassium.*

B. Infuse sodium bicarbonate
C. Administer furosemide 40 mg IV
D. Administer patiromer orally
E. Start insulin-glucose infusion

Background reading 41 AKI/Hyperkalemia: page 6

How well did you know this?
1
Not at all
2
3
4
5
Perfectly
13
Q

Which of the following adult patients presenting with acute diarrhea is most likely to require urgent stool testing?

A. A 25-year-old medical student with watery diarrhea, nausea, and low-grade fever after finishing his peds ER rotation.

B. A 67-year-old woman with a history of hypertension who reports several episodes of bloody diarrhea and subjective fevers after eating undercooked meat.

C. A 36-year-old man recently returned from travel to Vancouver with intermittent loose stools.

D. A 40-year-old woman with 3 days of diarrhea and cramping, who is otherwise well and afebrile.

E. A 31-year-old man with a history of antibiotic use for a severe sinus infection 8 months ago, now presents with diarrhea

A

Which of the following adult patients presenting with acute diarrhea is most likely to require urgent stool testing?

A. A 25-year-old medical student with watery diarrhea, nausea, and low-grade fever after finishing his peds ER rotation.

B. A 67-year-old woman with a history of hypertension who reports several episodes of bloody diarrhea and subjective fevers after eating undercooked meat.

C. A 36-year-old man recently returned from travel to Vancouver with intermittent loose stools.

D. A 40-year-old woman with 3 days of diarrhea and cramping, who is otherwise well and afebrile.

E. A 31-year-old man with a history of antibiotic use for a severe sinus infection 8 months ago, now presents with diarrhea

Red flags for acute diarrhea requiring urgent stool workup include Inflammatory features such as blood and fevers. Also helpful when looking for specific pathogens like pathogenic E. coli.
Peds rotation = lots of kids with gastroenteritis/viral
Travel to vancouver is not high risk by itself
8 months abx is too long for c-diff to high up on the lest

How well did you know this?
1
Not at all
2
3
4
5
Perfectly
14
Q

79M being seen in your personal care home with abdominal pain. Last BM was 6hrs ago, watery but not bloody, but was recently having decreased stooling. No weight changes and no vomiting. PMHx of HTN, DM2, and vascular dementia, largely bedridden. Treated with amlodipine, lisinopril, ASA, and insulin. No recent diet changes.

Vitals: 37C, 75bpm, 17RR, 132/90mmHg. Appears well and non-toxic.

On exam: abdo is mildly distended, mild tenderness diffusely throughout abdo without peritonitis. Palpable masses in lower abdo. Decreased bowel sounds. DRE shows hard, non-bloody stool.

Most likely Dx?

a) Colon cancer
b) Fecal impaction
c) Bowel perforation
d) Mesenteric ischemia
e) Diverticulitis

A

79M being seen in your personal care home with abdominal pain. Last BM was 6hrs ago, watery but not bloody, but was recently having decreased stooling. No weight changes and no vomiting. PMHx of HTN, DM2, and vascular dementia, largely bedridden. Treated with amlodipine, lisinopril, ASA, and insulin. No recent diet changes.

Vitals: 37C, 75bpm, 17RR, 132/90mmHg. Appears well and non-toxic.

On exam: abdo is mildly distended, mild tenderness diffusely throughout abdo without peritonitis. Decreased bowel sounds. DRE shows hard, non-bloody stool.

Most likely Dx?

a) Colon cancer
**b) Fecal impaction
**c) Bowel perforation
d) Mesenteric ischemia
e) Diverticulitis

**(B) - Given well appearance and lack of vomiting, perforation and mesenteric ischemia less likely. Non-focal pain makes diverticulitis less likely too. Reasonable to try treatments for fecal impaction/consitation to start and closely follow. **

How well did you know this?
1
Not at all
2
3
4
5
Perfectly
15
Q

71M presents to ED d/t sudden onset abdominal pain, traveling to the back. PMHx of HTN. 20PY smoker.

Vitals: 120bpm, 18RR, 82/54mmHg.

On exam: patient appears unwell, and have a midline pulsatile mass.

Which of the following is the most appropriate next step?

a) Reassurance
b) AXR
c) MRI
d) CT
e) Lipase

A

71M presents to ED d/t sudden onset abdominal pain, traveling to the back. PMHx of HTN. 20PY smoker.

Vitals: 120bpm, 18RR, 82/54mmHg.

On exam: patient appears unwell, and have a midline pulsatile mass.

Which of the following is the most appropriate next step?

a) Reassurance
b) AXR
c) MRI
d) CT
e) Lipase

(D) - CT scan (along with US) are the two imaging tests that are done to confirm dx of ruptured AAA. MR is NOT a fast test and can take a day or two. Abdominal XR will not identify AAA

How well did you know this?
1
Not at all
2
3
4
5
Perfectly
16
Q

54F presents to ED d/t 5hr hx of diffuse severe abdo pain w/ n/v. She reports that 2wks ago she began to have mild epigastric pain that improved with eating. PMHx of OA, controlled with ibuprofen for years. Social drinker.

Vitals: 38.5C, 120bpm, 20RR, 100/64mmHg

On exam: abdo tenderness w/ guarding and peritonitis, decreased bowel sounds.

AXR is shown below.

What is the most likely cause of her current symptoms?

a) Bowel obstruction due to IBD
b) Bowel obstruction due to volvulus
c) Bowel perforation due to pancreatitis
d) Bowel perforation due to foreign body
e) Bowel perforation due to duodenal ulcer

A

54F presents to ED d/t 5hr hx of diffuse severe abdo pain w/ n/v. She reports that 2wks ago she began to have mild epigastric pain that improved with eating. PMHx of OA, controlled with ibuprofen for years. Social drinker.

Vitals: 38.5C, 120bpm, 20RR, 100/64mmHg

On exam: abdo tenderness w/ guarding and peritonitis, decreased bowel sounds.

AXR is shown below.

What is the most likely cause of her current symptoms?

a) Bowel obstruction due to IBD
b) Bowel obstruction due to volvulus
c) Bowel perforation due to pancreatitis
d) Bowel perforation due to foreign body
e) Bowel perforation due to duodenal ulcer

(E) - epigastric pain that gets better with eating -> duodenal ulcer, which causes the perf seen in the axr w/ free air under dphram

17
Q

45F presents to ED with RUQ abdo pain, fever, and nausea which started after eating dinner 8hrs ago.

On exam: soft abdo, normal bowel sounds, sudden inspiratory arrest during palpation of the RUQ.

Labs: WBC 13, everything else normal.

Which of the following is a positive predictor for the most likely cause of this patient’s symptoms?

a) Obesity
b) PPI use
c) Previous appendectomy
d) Family history of atopy
e) Recent travel to indonesia

A

45F presents to ED with RUQ abdo pain, fever, and nausea which started after eating dinner 8hrs ago.

On exam: soft abdo, normal bowel sounds, sudden inspiratory arrest during palpation of the RUQ.

Labs: WBC 13, everything else normal.

Which of the following is a positive predictor for the most likely cause of this patient’s symptoms?

a) Obesity
b) PPI use
c) Previous appendectomy
d) Family history of atopy
e) Recent travel to indonesia

(A) - most likely dx is acute cholecystitis (per Murphy’s sign), the only answer that is a +ve predictor of acute chole is obesity per reading

18
Q

33F presents to your clinic d/t 4mo hx of intermittent abdo pain associated with diarrhea, nausea, and bloating. Occasional lower GIB. 8% weight loss during this time period. PMHx: previous appendicitis.

Vitals: 36.9C, 90bpm, 130/90mmHg

On exam: RS normal, CV normal. Mild tenderness to palpation in RLQ w/o guarding or rebound. Bowel sounds normal. Occult blood testing +ve.

Labs: 105hgb, 12wbc, 480plt

Which of the following is likely also seen in this patient?

a) Elevated ESR
b) Osler’s nodes
c) Clubbing of fingers
d) Hematuria
e) Dilated loops of bowel on AXR

A

33F presents to your clinic d/t 4mo hx of intermittent abdo pain associated with diarrhea, nausea, and bloating. Occasional lower GIB. 8% weight loss during this time period. PMHx: previous appendicitis.

Vitals: 36.9C, 90bpm, 130/90mmHg

On exam: RS normal, CV normal. Mild tenderness to palpation in RLQ w/o guarding or rebound. Bowel sounds normal. Occult blood testing +ve.

Labs: 105hgb, 12wbc, 480plt

Which of the following is likely also seen in this patient?

a) Elevated ESR
b) Osler’s nodes
c) Clubbing of fingers
d) Hematuria
e) Dilated loops of bowel on AXR

(A) - most likely diagnosis is IBD (specifically crohn’s d/t RLQ pain) because this is a young person with diarrhea, B-symptoms, blood in stool. Crohns is associated with terminal ilietis, which presents with RLQ pain.

19
Q

26M presents to your clinic due to 6mo hx of increasing fatigue. Also has mild cramping LLQ abdo pain and bloody diarrhea for last 2 months Father had colon ca at 55. 5PY smoker. Social drinker.

Vitals: 37.3C, 88bpm, 120/74mmHg

On exam: mild tenderness to palpation of LLQ, DRE shows blood mixed with stool, otherwise normal.

Labs: 135hgb, 7.5wbc, 480plt

What is the next best step?

a) Repeat bloodwork in 6 weeks
b) AXR
c) Colonoscopy
d) Reassurance
e) US

A

26M presents to your clinic due to 6mo hx of increasing fatigue. Also has mild cramping LLQ abdo pain and bloody diarrhea for last 2 months Father had colon ca at 55. 5PY smoker. Social drinker.

Vitals: 37.3C, 88bpm, 120/74mmHg

On exam: mild tenderness to palpation of LLQ, DRE shows blood mixed with stool, otherwise normal.

Labs: 135hgb, 7.5wbc, 480plt

What is the next best step?

a) Repeat bloodwork in 6 weeks
b) AXR
c) Colonoscopy
d) Reassurance
e) US

(C) - story is meant to sound like IBD (specifically UC w/ the LLQ pain), per reading best test for dx of IBD is scope w/ biopsy. Stable vitals makes complications like perf less likely so idea is that axr/ct is less needed.

20
Q

53M presents to ED due to 8/10 R side colicky flank pain. Vomitted once, non-bilious. No similar episodes in the past. Reports dysuria but denies hematuria. PMHx of HTN and Gout. Heavy drinker, with a diet rich in red meats.

Vitals: 37.1C, 101bpm, 130/90mmHg

On exam: R CVA tenderness.

Microscopic examination of urine shows RBCs, no WBCs.

What is the most likely diagnosis?

a) Pyelonephritis
b) Appendicitis
c) Mesenteric ischemia
d) Nephrolithiasis
e) Acute gout attack

A

53M presents to ED due to 8/10 R side colicky flank pain. Vomitted once, non-bilious. No similar episodes in the past. Reports dysuria but denies hematuria. PMHx of HTN and Gout. Heavy drinker, with a diet rich in red meats.

Vitals: 37.1C, 101bpm, 130/90mmHg

On exam: R CVA tenderness.

Microscopic examination of urine shows RBCs, no WBCs.

What is the most likely diagnosis?

a) Pyelonephritis
b) Appendicitis
c) Mesenteric ischemia
d) Nephrolithiasis
e) Acute gout attack

(D) - colicky flank pain, without fever, and microscopic hematuria (which is why the patient doesn’t report hematuria) points to kidney stones

21
Q

55M presents to FM office d/t 1mo hx of chest pain. Describes it as “burning” character. When he is asked to point to wear it hurts, he points to the epigastric region. Worse with meals and lying in bed. Over the last 6 months, his weight has dropped from 190 to 182 (~4%). PMHx of HTN, treated with ACEi. Father died of CRC at 78. Mom has hypothyroidism. 20PY smoker. Social drinker.

Vitals: 37.0C, 88bpm, 15RR, 132/88mmHg. BMI 28.

What is the next best step?

a) Upper GI scope
b) H. Pylori testing
c) Troponin
d) Lipase
e) Gallbladder US

A

55M presents to FM office d/t 1mo hx of chest pain. Describes it as “burning” character. When he is asked to point to wear it hurts, he points to the epigastric region. Worse with meals and lying in bed. Over the last 6 months, his weight has dropped from 190 to 182 (~4%). PMHx of HTN, treated with ACEi. Father died of CRC at 78. Mom has hypothyroidism. 20PY smoker. Social drinker.

Vitals: 37.0C, 88bpm, 15RR, 132/88mmHg. BMI 28.

What is the next best step?

a) Upper GI scope
**b) H. Pylori testing
**c) Troponin
d) Lipase
e) Gallbladder US

(B) - per reading, dyspepsia without alarm features (note weight loss is less than 5%) should get h. pylori testing (see step 4)

22
Q

67M presents to FM doc d/t 3mo hx of burning sensation after eating. Also reports epigastric abdominal pain that increases after eating. PMHx of OA in the L knee, treated with ibuprofen. No famhx. 21PY smoker, social drinker.

Vitals: 37.1C, 84bpm, 15RR, 128/78mmHg

On exam: soft abdo, mild tenderness to palpation over epigastric area.

EGD is done, showing inflammation of the mucosa and biopsies +ve for H. Pylori

What is the best next step?

a) Stop eating spicy foods
b) H. Pylori serology
c) Urea breath test
d) Eradication therapy
e) Reassurance

A

67M presents to FM doc d/t 3mo hx of burning sensation after eating. Also reports epigastric abdominal pain that increases after eating. PMHx of OA in the L knee, treated with ibuprofen. No famhx. 21PY smoker, social drinker.

Vitals: 37.1C, 84bpm, 15RR, 128/78mmHg

On exam: soft abdo, mild tenderness to palpation over epigastric area.

EGD is done, showing inflammation of the mucosa and biopsies +ve for H. Pylori

What is the best next step?

a) Stop eating spicy foods
b) H. Pylori serology
c) Urea breath test
**d) Eradication therapy
**e) Reassurance

(D) - use of NSAIDs + epigastric burning points to PUD, 2/2 to HP infection (as confirmed by biopsy), per reading should treat w/ abx (3x or 4x therapy)

23
Q

38M presents to ED due to worsening epigastric discomfort and lack of appetite for 2wks. Associated symptoms include n/v. Also reports episodes of abdominal pain at night that has been relived by eating. No PMHx. 14PY smoker, social drinker. Used MJ in HS but quit in college. Only medication is naproxen, which has been using for “years”.

Vitals: 36.5C, 110bpm, 104/70mmHg.

On exam: soft abdomen, mild tenderness to palpation of epigastric area and RUQ. Bowel sounds normal. DRE normal.

Labs: hgb128, wbc13, plt230. LFTs are normal. US is -ve for gallbladder and liver pathology.

What is the most likely cause of this patients symptoms?

a) Colon cancer
b) Renal colic
c) Hepatitis
d) Cholecystitis
e) PUD

A

38M presents to ED due to worsening epigastric discomfort and lack of appetite for 2wks. Associated symptoms include n/v. Also reports episodes of abdominal pain at night that has been relived by eating. No PMHx. 14PY smoker, social drinker. Used MJ in HS but quit in college. Only medication is naproxen, which has been using for “years”.

Vitals: 36.5C, 110bpm, 104/70mmHg.

On exam: soft abdomen, mild tenderness to palpation of epigastric area and RUQ. Bowel sounds normal. DRE normal.

Labs: hgb128, wbc13, plt230. LFTs are normal. US is -ve for gallbladder and liver pathology.

What is the most likely cause of this patients symptoms?

a) Colon cancer
b) Renal colic
c) Hepatitis
d) Cholecystitis
**e) PUD
**

(E) - chronic NSAID use points to PUD, which leads to perf and bleeding as complications

24
Q

75M presents to your clinic d/t 3mo hx of epigastric abdominal pain, nausea, fatigue, and early satiety. Has lost 15% of body weight in last 6mo. PMHx of OA in R knee, treated with ibuprofen. Immigrated to Canada from South Korea 10 years ago. Famhx of “some kind of GI cancer” with brother. 30PY smoker, social drinker.

Vitals: 37.2C, 78bpm, 16RR, 110/70mmHg.

On exam: palpable abdominal mass in the epigastric area, non-tender. Inguinal lymphadenopathy. DRE is +ve for melena.

What is the next best step?

a) Endoscopy
b) PPI
c) Urea breath test
d) US
e) Fecal calprotectin

A

75M presents to your clinic d/t 3mo hx of epigastric abdominal pain, nausea, fatigue, and early satiety. Has lost 15% of body weight in last 6mo. PMHx of OA in R knee, treated with ibuprofen. Immigrated to Canada from South Korea 10 years ago. Famhx of UC in brother. 30PY smoker, social drinker.

Vitals: 37.2C, 78bpm, 16RR, 110/70mmHg.

On exam: palpable abdominal mass in the epigastric area, non-tender. Inguinal lymphadenopathy.

What is the next best step?

a) Endoscopy
b) PPI
c) Urea breath test
d) US
e) Fecal calprotectin

(A) - elderly man with severe B symps, and abdominal mass + melena + LN should be concerning for gastric cancer, and per reading the test for gastric ca is scope

25
44F presents to ED due to 3hr hx of constant dull discomfort in the epigastric region, traveling to the R shoulder. Occurred after having dinner at a steakhouse with her husband. Had occurred twice in the past, usually after eating, both times going away after 5 hours. PMHx of DM2, treated with metformin. Uses OCP. Non-smoker, non-drinker. Vitals: 37.2C, 77bpm, 14RR, 124/76mmHg, 31BMI. On exam: soft abdomen, mild tenderness in the epigastric and RUQ regions. No organomegaly, jaundice, or masses. What is the next best step? a) US b) CXR c) AXR d) PPI e) H. Pylori serology
44F presents to ED due to 3hr hx of constant dull discomfort in the epigastric region, traveling to the R shoulder. Occured after having dinner at a steakhouse with her husband. Had occured twice in the past, usually after eating, both times going away after 5 hours. PMHx of DM2, treated with metformin. Uses OCP. Non-smoker, non-drinker. Vitals: 37.2C, 77bpm, 14RR, 124/76mmHg, 31BMI. On exam: soft abdomen, mild tenderness in the epigastric and RUQ regions. No organomegaly, jaundice, or masses. What is the next best step? a) US b) CXR c) AXR d) PPI e) H. Pylori serology **(A) - obesity, female, fertile, forty, presenting w/ epigastric/RUQ pain, with pain that is occuring after eating fatty food, and usually going away within 6hrs is typical for a biliary colic**
26
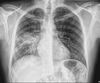
57F presents with fever, chills, and headache, 3d after open chole. R-sided CP, increases w/ inspiration, and productive cough for 12hrs. Had a hysterectomy 16yrs ago due to uterine fibroids. PMHx of HTN treated with ACEi. 17PY smoker, social drinker. Vitals: 38.9C, 98bpm, 20RR, 120/84mmHg. On exam: crackles in RML, abdo soft and nontender. Healing surgical incision below R costal margin. CXR below. What is the most likely cause of the patient's symptoms? a) Heart Failure b) Pulmonary Embolism c) Pneumothorax d) Atelectasis e) Pneumonia
57F presents with fever, chills, and headache, 3d after open chole. R-sided CP, increases w/ inspiration, and productive cough for 12hrs. Had a hysterectomy 16yrs ago due to uterine fibroids. PMHx of HTN treated with ACEi. 17PY smoker, social drinker. Vitals: 38.9C, 98bpm, 20RR, 120/84mmHg. On exam: crackles in RML, abdo soft and nontender. Healing surgical incision below R costal margin. CXR below. What is the most likely cause of the patient's symptoms? a) Heart Failure b) Pulmonary Embolism c) Pneumothorax d) Atelectasis e) Pneumonia **(E) - bad vitals + POD2-3 SOB points to post-op pna, confirmed with CXR**
27
You are a fresh clerk in a family medicine clinic and are tasked with performing a history/physical exam on a patient suspected of having osteoarthritis. Which of the following clinical features would most argue against osteoarthritis as the diagnosis in a patient with joint pain? A. Nighttime joint pain in the absence of use B. Morning stiffness that lasts 15–20 minutes C. Crepitus on active joint motion D. Gradual onset of stiffness and pain over 8 months E. Bony enlargement at DIP joints
You are a fresh clerk in a family medicine clinic and are tasked with performing a history/physical exam on a patient suspected of having osteoarthritis. Which of the following clinical features would most argue against osteoarthritis as the diagnosis in a patient with joint pain? **A. Nighttime joint pain in the absence of use** *Nocturnal pain without use may suggest other etiologies such as malignancy or inflammatory arthritis. OA pain typically worsens with use.* B. Morning stiffness that lasts 15–20 minutes C. Crepitus on active joint motion D. Gradual onset of stiffness and pain over 8 months E. Bony enlargement at DIP joints | Background reading 42 Osteoarthritis: page 2
28
You are seeing a 76-year-old patient with stage 3 CKD and poorly controlled hypertension. Which of the following pharmacologic options for OA pain management is most appropriate for this patient? A. Topical NSAID B. Oral acetaminophen 1 g TID C. Naproxen 500 mg BID D. Intra-articular corticosteroid every 2 weeks E. Long-term opioids
You are seeing a 76-year-old patient with stage 3 CKD and poorly controlled hypertension. Which of the following pharmacologic options for OA pain management is most appropriate for this patient? **A. Topical NSAID** *Topical NSAIDs have less systemic absorption and are safer in patients with renal disease and hypertension.* B. Oral acetaminophen 1 g TID C. Naproxen 500 mg BID D. Intra-articular corticosteroid every 2 weeks E. Long-term opioids | Background reading 42 Osteoarthritis: page 4
29
A 72-year-old man with bilateral knee OA has undergone 6 months of physical therapy, trialed acetaminophen and topical NSAIDs with limited relief, and now has difficulty climbing stairs and shopping. His X-rays show moderate joint space narrowing. What is the most appropriate next step? A. Start low-dose opioids for pain control B. Refer to rheumatology for disease-modifying therapy C. Recommend hyaluronic acid injections D. Refer to orthopedics for surgical assessment E. Begin bisphosphonates for subchondral sclerosis
A 72-year-old man with bilateral knee OA has undergone 6 months of physical therapy, trialed acetaminophen and topical NSAIDs with limited relief, and now has difficulty climbing stairs and shopping. His X-rays show moderate joint space narrowing. What is the most appropriate next step? A. Start low-dose opioids for pain control B. Refer to rheumatology for disease-modifying therapy C. Recommend hyaluronic acid injections **D. Refer to orthopedics for surgical assessment** *functional impairment and failure of conservative measures are indications for surgical referral * E. Begin bisphosphonates for subchondral sclerosis | Background reading 42 Osteoarthritis: page 5
30
A randomized controlled trial evaluating a topical NSAID for knee osteoarthritis reports that 20% of patients in the treatment group achieved meaningful pain relief compared to 10% in the placebo group. Based on this, what is the approximate Number Needed to Treat (NNT) to achieve pain relief in one additional patient? A. 5 B. 10 C. 20 D. 25 E. 50
A randomized controlled trial evaluating a topical NSAID for knee osteoarthritis reports that 20% of patients in the treatment group achieved meaningful pain relief compared to 10% in the placebo group. Based on this, what is the approximate Number Needed to Treat (NNT) to achieve pain relief in one additional patient? A. 5 **B. 10** *NNT = 1 / Absolute Risk Reduction (ARR)* *ARR = 20% − 10% = 10%* *1/0.1 = 10 * C. 20 D. 25 E. 50
31
55M presents POD9 after CABG due to pain and erythema at the surgical site. PMHx of CAD, HTN, and DM2. Vitals: 37.5C, 95bpm, 140/90mmHg, 15RR. On exam: sternal incision that has been closed with staples. Incision is surrounded by erythematous tissue, and there is some purulent drainage from the inferior part of the incision. CBC is significant for WBC of 12. CXR and UA are negative What is the most likely cause of this patient's symptoms? a) Pneumonia b) Surgical site infection c) Atelectasis d) UTI e) Pulmonary embolism
55M presents POD9 after CABG due to pain and erythema at the surgical site. PMHx of CAD, HTN, and DM2. Vitals: 37.5C, 95bpm, 140/90mmHg, 15RR. On exam: sternal incision that has been closed with staples. Incision is surrounded by erythematous tissue, and there is some purulent drainage from the inferior part of the incision. CBC is significant for WBC of 12. CXR and UA are negative What is the most likely cause of this patient's symptoms? a) Pneumonia b) Surgical site infection c) Atelectasis d) UTI e) Pulmonary embolism **(B) - fever and erythema on POD9 (5-10 per reading) points to SSI, esp with purulent stuff coming out of wound**
32
55F presents on POD5 after open chole with fever, confusion, and SOB. Productive cough that started on POD3. PMHx of HTN and DM2, treated with metformin and amlodipine. Vitals: 39.5C, 104bpm, 30RR, 90/56mmHg, 92% O2 on 2L. On exam: decreased breath sounds at RLL. Well-healing scar on abdomen with no erythema or purulence. Cap refill of 3s. AOx1. Labs: 105hgb, 23wbc, 340plt, 140Cr. Urine culture, blood culture, sputum culture, blood gas, and CXR have been ordered and are pending. What is the next best step? a) Acetaminophen b) Amoxicillin c) Norepinephrine d) IV fluid bolus e) AXR
55F presents on POD5 after open chole with fever, confusion, and SOB. Productive cough that started on POD3. PMHx of HTN and DM2, treated with metformin and amlodipine. Vitals: 39.5C, 104bpm, 30RR, 90/56mmHg, 92% O2 on 2L. On exam: decreased breath sounds at RLL. Well-healing scar on abdomen with no erythema or purulence. Cap refill of 3s. AOx1. Labs: 105hgb, 23wbc, 340plt, 140Cr. Urine culture, blood culture, sputum culture, blood gas, and CXR have been ordered and are pending. What is the next best step? a) Acetaminophen b) Amoxicillin c) Norepinephrine d) IV fluid bolus e) AXR **(D) - patient has organ dysfunction (per elevated cr and confusion) due to dysregulated response to infection (post-op pneumonia in this case). Per reading, start with fluid bolus, only if still hypotensive after fluid bolus then give pressors**
33
53M presents POD6 after appendectomy w/ syncope and fever. Syncopal episode lasted 30sec, after which he regained conciousness. Patient reports SOB and pleuritic CP. PMHx of HTN and DLD, treated with amlodipine and atorvastatin. 20PY smoker. Vitals: 37.9C, 130bpm, 90/56mmHg, 88% O2 on RA. On exam: Lungs are clear. Abdomen is soft and non-tender, surgical site is clean. R leg is swollen and erythematous. ECG below What is the most likely cause of this patient's post-operative syncope? a) VTE b) Pneumonia c) LVH d) Atrial fibrilation e) Aortic stenosis
53M presents POD6 after appendectomy w/ syncope and fever. Syncopal episode lasted 30sec, after which he regained conciousness. Patient reports SOB and pleuritic CP. PMHx of HTN and DLD, treated with amlodipine and atorvastatin. 20PY smoker. Vitals: 37.9C, 130bpm, 90/56mmHg, 88% O2 on RA. On exam: Lungs are clear. Abdomen is soft and non-tender, surgical site is clean. R leg is swollen and erythematous. ECG below What is the most likely cause of this patient's post-operative syncope? **a) VTE **b) Pneumonia c) LVH d) Atrial fibrilation e) Aortic stenosis **(A) - POD5-7 fever + swollen leg points to VTE as cause of patient's symptoms. DVT is leading to PE, which is leading to obstructive shock per low BP**
34
18M presents to ED w/ RLQ pain, n/v, for the the last 1d. Initially started in periumbilical region and migrated to RLQ. Nil pmhx. Vitals: 37.9C, 103bpm, 118/84mmHg, 18RR, 99% on RA. Labs: wbc14 Which of the following is also likely to be seen in this patient? a) Increase in pain upon lifting head while supine b) Bruising of the abdominal flanks c) Increase in RUQ pain while being palpated, upon inspiration d) RLQ pain with palpation of the LLQ e) Enlarged supraclavicular lymph node
18M presents to ED w/ RLQ pain, n/v, for the the last 1d. Initially started in periumbilical region and migrated to RLQ. Nil pmhx. Vitals: 37.9C, 103bpm, 118/84mmHg, 18RR, 99% on RA. Labs: wbc14 Which of the following is also likely to be seen in this patient? a) Increase in pain upon lifting head while supine b) Bruising of the abdominal flanks c) Increase in RUQ pain while being palpated, upon inspiration d) RLQ pain with palpation of the LLQ e) Enlarged supraclavicular lymph node **(D) - RLQ pain w/ palpation of LLQ is Rosving's sign, associated with appy.
35
A 4-year-old boy presents with a 3 day history of limp and refusal to walk. He had a recent viral illness. He is afebrile, appears well, and his hip exam shows mild limitation in internal rotation with minimal discomfort. CRP is 8 mg/L (normal <5), WBC is 11 × 10⁹/L. No trauma history. What is the most appropriate next step in management? A. Start empiric IV antibiotics for septic arthritis B. Schedule urgent MRI of the hip C. Observe with close outpatient follow-up D. Perform urgent joint aspiration E. Refer for orthopedic surgical evaluation
A 4-year-old boy presents with a 3 day history of limp and refusal to walk. He had a recent viral illness. He is afebrile, appears well, and his hip exam shows mild limitation in internal rotation with minimal discomfort. CRP is 8 mg/L (normal <5), WBC is 11 × 10⁹/L. No trauma history. What is the most appropriate next step in management? A. Start empiric IV antibiotics for septic arthritis B. Schedule urgent MRI of the hip **C. Observe with close outpatient follow-up** *Mild inflammatory markers, no fever, and reassuring exam support transient synovitis. Observation is safe with no red flags.* D. Perform urgent joint aspiration E. Refer for orthopedic surgical evaluation | Background reading 43 Hip pain in child: page 2
36
A 12-year-old boy presents with vague right thigh and knee pain for 2 weeks. He is overweight, has no fever, and denies trauma. On exam, he walks with an antalgic gait and has limited internal rotation of the right hip. Hip pain increases with passive flexion. Which of the following is the most likely diagnosis? A. Septic arthritis B. Legg-Calvé-Perthes disease C. Transient synovitis D. Slipped capital femoral epiphysis E. Osgood-Schlatter disease
A 12-year-old boy presents with vague right thigh and knee pain for 2 weeks. He is overweight, has no fever, and denies trauma. On exam, he walks with an antalgic gait and has limited internal rotation of the right hip. Hip pain increases with passive flexion. Which of the following is the most likely diagnosis? A. Septic arthritis B. Legg-Calvé-Perthes disease C. Transient synovitis **D. Slipped capital femoral epiphysis** *Classic SCFE presentation * E. Osgood-Schlatter disease | Background reading 43 Hip pain in child: page 3
37
A 6-year-old girl presents to the nursing station during your rural elective with acute refusal to walk. She has a fever of 38.9°C, and left hip pain. On exam, she holds her hip flexed, and any attempt to move it causes her to cry. CRP is 55, WBC is 15.5. Recent URTI 1 week ago. She has a mild heart murmur noted on auscultation. What is the most likely diagnosis? A. Juvenile idiopathic arthritis B. Septic arthritis C. Transient synovitis D. Viral myositis E. Rheumatic fever
A 6-year-old girl presents to the nursing station during your rural elective with acute refusal to walk. She has a fever of 38.9°C, and left hip pain. On exam, she holds her hip flexed, and any attempt to move it causes her to cry. CRP is 55, WBC is 15.5. Recent URTI 1 week ago. She has a mild heart murmur noted on auscultation. What is the most likely diagnosis? A. Juvenile idiopathic arthritis **B. Septic arthritis** *Fever, systemic symptoms, elevated CRP/WBC, and severe pain with passive ROM * C. Transient synovitis D. Viral myositis E. Rheumatic fever | Background reading 43 Hip pain in child: page 2
38
An 8-year-old boy is brought in for a limp lasting over 3 weeks. He denies pain, but his teacher noted decreased participation in physical activities. No trauma history. On exam, there is mild limited abduction and internal rotation of the right hip. No systemic symptoms. What would your next test? A. Hip ultrasound B. Bilateral hip X-rays C. ESR and CRP D. Bone scan E. MRI of the lumbar spine
An 8-year-old boy is brought in for a limp lasting over 3 weeks. He denies pain, but his teacher noted decreased participation in physical activities. No trauma history. On exam, there is mild limited abduction and internal rotation of the right hip. No systemic symptoms. What would your next test? A. Hip ultrasound **B. Bilateral hip X-rays** *Classic subtle Perthes presentation.* C. ESR and CRP D. Bone scan E. MRI of the lumbar spine | Background reading 43 Hip pain in child: page 3
39
A 7-year-old boy has had a limp on and off for 6 weeks. Parents note morning stiffness that improves during the day. No recent illness or trauma. Exam reveals minimal effusion in the left knee and limited hip internal rotation. He is afebrile, and growth charts show mild deceleration. Which diagnosis is most consistent with this picture? A. Juvenile idiopathic arthritis B. Legg-Calvé-Perthes disease C. Slipped capital femoral epiphysis D. Transient synovitis E. Muscular dystrophy
A 7-year-old boy has had a limp on and off for 6 weeks. Parents note morning stiffness that improves during the day. No recent illness or trauma. Exam reveals minimal effusion in the left knee and limited hip internal rotation. He is afebrile, and growth charts show mild deceleration. Which diagnosis is most consistent with this picture? **A. Juvenile idiopathic arthritis** *Prolonged symptoms, morning stiffness, and subtle joint findings point to JIA* B. Legg-Calvé-Perthes disease C. Slipped capital femoral epiphysis D. Transient synovitis E. Muscular dystrophy | Background reading 43 Hip pain in child: page 4