Final Exam Flashcards

(24 cards)

1
Q

What skeleton is figure A? How many bones are there?

A

Axial
80

How well did you know this?
1
Not at all
2
3
4
5
Perfectly
2
Q

What skeleton is figure B? How many bones are there?

A

Appendicular
126

How well did you know this?
1
Not at all
2
3
4
5
Perfectly
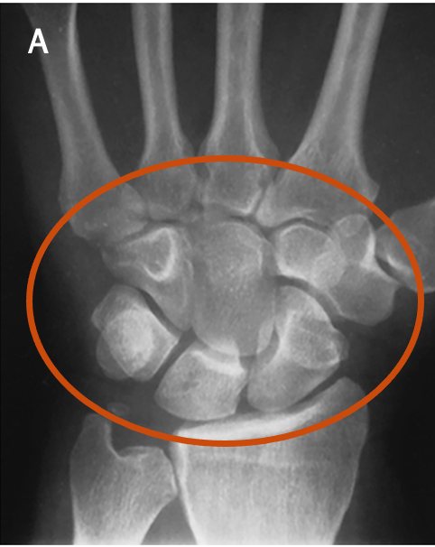
3
Q

What type of bones are circled in figure A? How many carpals are there?

A

Short bones
8 carpals

How well did you know this?
1
Not at all
2
3
4
5
Perfectly
4
Q

What type of bone is figure B? How many vertebrae are there in the spinal column?

A

Irregular bones
26 (includes sacrum & coccyx)

How well did you know this?
1
Not at all
2
3
4
5
Perfectly
5
Q

What type of synovial joint is this

A

Plane (gliding)

Carpals shown

How well did you know this?
1
Not at all
2
3
4
5
Perfectly
6
Q

What type of synovial joint is this

A

Ginglymus (hinge)

How well did you know this?
1
Not at all
2
3
4
5
Perfectly
7
Q

What type of synovial joint is this?

A

Ellipsoidal (condyloid)

How well did you know this?
1
Not at all
2
3
4
5
Perfectly
8
Q

A synovial joint is a ____ joint with synovial fluid encased in a ____ capsule

A

freely moveable (diarthrodial)
fibrous

How well did you know this?
1
Not at all
2
3
4
5
Perfectly
9
Q

What is the following type of synovial joint?

A

Pivot (trochoid)

How well did you know this?
1
Not at all
2
3
4
5
Perfectly
10
Q

What is the following type of synovial joint?

A

Bicondylar (Modified hinge)

How well did you know this?
1
Not at all
2
3
4
5
Perfectly
11
Q

What is the following type of synovial joint?

A

Ball and socket (spheroidal)

How well did you know this?
1
Not at all
2
3
4
5
Perfectly
12
Q

What is the following type of synovial joint?

A

Saddle (sellar)

How well did you know this?
1
Not at all
2
3
4
5
Perfectly
13
Q

What is this body position

A

LAO (PA projection)

How well did you know this?
1
Not at all
2
3
4
5
Perfectly
14
Q

What is this body position

A

Left dorsal decubitus (cross-table)

How well did you know this?
1
Not at all
2
3
4
5
Perfectly
15
Q

What is this body position

A

LPO (AP oblique projection)

How well did you know this?
1
Not at all
2
3
4
5
Perfectly
16
Q

What is this body position

A

Left lateral decubitus (AP projection)

17
Q

What projection is this?

A

AP Axial foot
(CR at base of 3rd MCT, 10-15º cephalic depending on arch of foot)

18
Q

What projection is this?

A

Plantodorsal (axial) calcaneus- 40º cephalad

19
Q

What is the name of the stress movements of figure C? Figure D?

A

C: Eversion
D: Inversion

20
Q

What is the name of the stress movements of figure C? Figure D?

A

C: Eversion
D: Inversion

21
Q

What is the name of this projection?

A

Carpal canal (tunnel) tangential inferosuperior projection- wrist

22
Q

What pathology does this projection demonstrate?

A

Demonstrates abnormal calcifications and bony changes in the carpal sulcus that may impinge on the median nerve

23
Q

What projection is shown here?

24
Q

What fat pad is often seen when there is an elbow fracture?

A

Fx of olecranon process