Final Exam Flashcards

(94 cards)

1
Q

inflammation of the bile ducts

A

cholangitis

How well did you know this?
1
Not at all
2
3
4
5
Perfectly
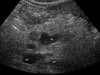
2
Q

acute or chronic inflammation of the gallbladder

A

cholecystitis

How well did you know this?
1
Not at all
2
3
4
5
Perfectly
3
Q

calculi within the bile duct

A

choledocholithiasis

How well did you know this?
1
Not at all
2
3
4
5
Perfectly
4
Q

the formation or presence of calculi or bile stones within the gallbladder

A

cholelithiasis

How well did you know this?
1
Not at all
2
3
4
5
Perfectly
5
Q

air within the bile ducts

A

pneumobilia

How well did you know this?
1
Not at all
2
3
4
5
Perfectly
6
Q

Typical bile capacity

A

30 to 60 mL

How well did you know this?
1
Not at all
2
3
4
5
Perfectly
7
Q

GB length and wall thickness

A

-length 8cm
-wall thickness 3 mm

How well did you know this?
1
Not at all
2
3
4
5
Perfectly
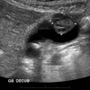
8
Q
A

GB anatomy

How well did you know this?
1
Not at all
2
3
4
5
Perfectly
9
Q

Studies suggest hepatic duct may increase nearly ______ in diameter after cholecystectomy.

A

1 mm

How well did you know this?
1
Not at all
2
3
4
5
Perfectly
10
Q

Bile contains

A

-Bile pigments—chiefly bilirubin
●Bile acids
●Cholesterol
●Lecithin
●Mucin
●Other organic and inorganic substances

How well did you know this?
1
Not at all
2
3
4
5
Perfectly
11
Q

Bile helps

A

●Emulsify fat
●Promote fat absorption
●Facilitates actions of lipase enzyme

How well did you know this?
1
Not at all
2
3
4
5
Perfectly
12
Q

Laboratory Tests to Evaluate Pathophysiology

A

oWBC increased value indicates infection.
oAST and ALT enzymes produced by liver and other tissues of high metabolic activity
oAST and in particular ALT enzymes can be mildly to moderately elevated in biliary obstruction.
oLDH can be mildly elevated in obstructive jaundice
oALP markedly increases in obstructive jaundice

How well did you know this?
1
Not at all
2
3
4
5
Perfectly
13
Q

Location of Gall Bladder

A

oGB located in main lobar fissure to right of ligamentum teres, anterior to right kidney, and lateral to pancreatic head
oPosition can vary but neck has constant relationship to region of porta hepatis
oCBD is usually identified anterior to portal vein and hepatic artery at porta hepatis.
oFollow CBD throughout course to pancreatic head
oEvaluate CHD and right and left intraductal branches
oEvaluate GB and ducts for size, wall thickness, contents, course, and caliber

How well did you know this?
1
Not at all
2
3
4
5
Perfectly
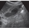
14
Q
A

Phrygian cap

How well did you know this?
1
Not at all
2
3
4
5
Perfectly
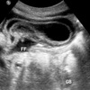
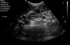
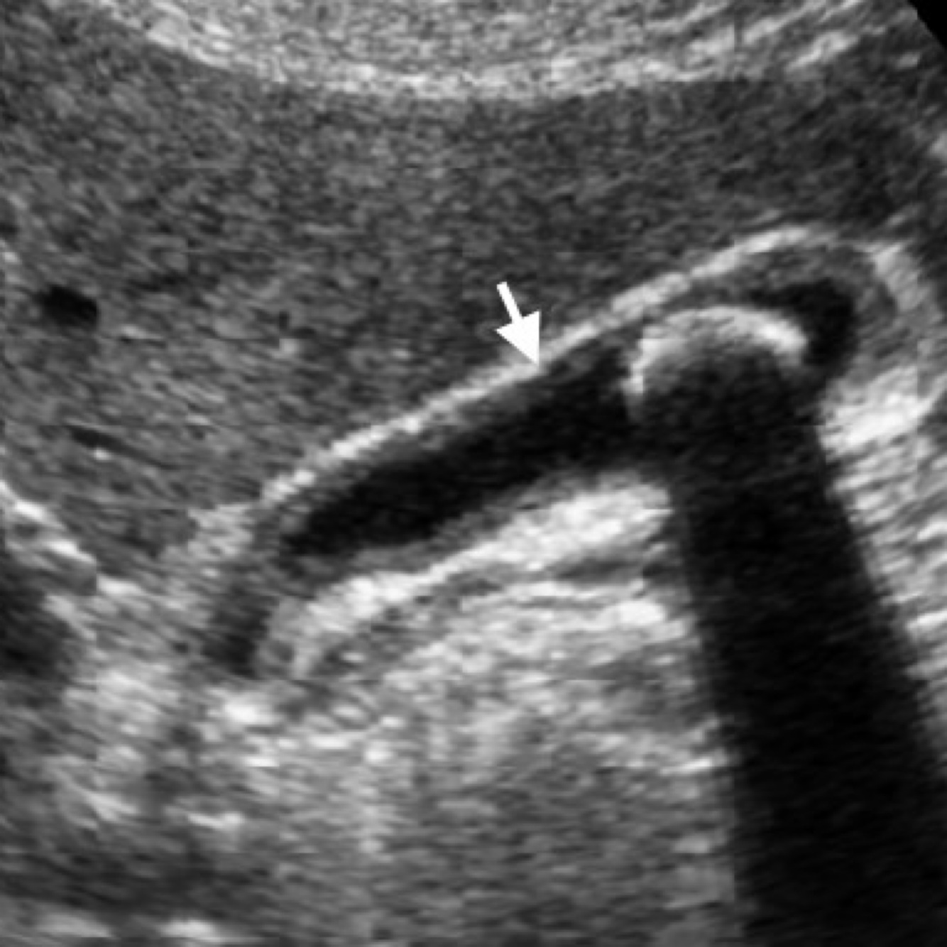
15
Q
A

●Biliary Atresia
oMost common type of obstructive biliary disease in infants and young children, it is associated with persistent or sudden onset of jaundice occurring after the first or second week of birth.
oBiliary atresia is twice as common in males.
oDestruction of extrahepatic biliary system occurs due to inflammation and sclerosing cholangiopathy.
oProgressive obliteration of extrahepatic ducts, and in many instances, the GB takes place
oObliteration extends into proximal intrahepatic duct system—which usually remains patent in first few weeks of life
oSeverity varies with duration of involvement.
oFibrosis
oImportant to distinguish biliary atresia from neonatal hepatitis because atresia may be treated surgically with a liver transplant or Kasai procedure
oOutcome is better with early surgical intervention. and obliteration of biliary tree progress distal to proximal.

How well did you know this?
1
Not at all
2
3
4
5
Perfectly
16
Q

There are five classifications of choledochal cysts and is 4x more common in females than males and often present early in life. The most common type being Type 1, a fusiform dilatation of the CBD. Type V ________ aka communicating cavernous ectasia, is a nonobstructive, saccular dilatation of communicating intrahepatic ducts

A

Caroli disease

How well did you know this?
1
Not at all
2
3
4
5
Perfectly
17
Q

May be caused by conditions
●Prolonged fasting
●Total parenteral nutrition (TPN)
●Bile stasis
●Pregnancy
●Rapid weight loss
●Recent surgery

A

Biliary sludge

How well did you know this?
1
Not at all
2
3
4
5
Perfectly
18
Q
A

GB sludge

How well did you know this?
1
Not at all
2
3
4
5
Perfectly
19
Q
A

Caroli disease: is a rare, congenital condition characterized by dilatation of the intrahepatic bile ducts, leading to the formation of cystic structures within the liver.

How well did you know this?
1
Not at all
2
3
4
5
Perfectly
20
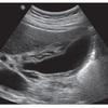
Q

Cholelithiasis (Gallstones)

A

oPrevalence higher in females than in males
oPrime cholelithiasis candidate: female, fatty, forty, fertile, and flatulent
oOther associated risks include: ethnicity, genetics, diet, TPN, cirrhosis, diabetes, pregnancy, rapid weight loss, ileal disorders (Crohn), and various medications
oMajority (60-80%) of gallstones are asymptomatic.
oPatients with symptoms generally present with RUQ pain that is steady, occurs after meals, or radiates to the upper back, shoulder, or epigastric area.
oPatient may have nausea or vomiting.

How well did you know this?
1
Not at all
2
3
4
5
Perfectly
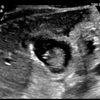
21
Q
A

Cholelithiasis

How well did you know this?
1
Not at all
2
3
4
5
Perfectly
22
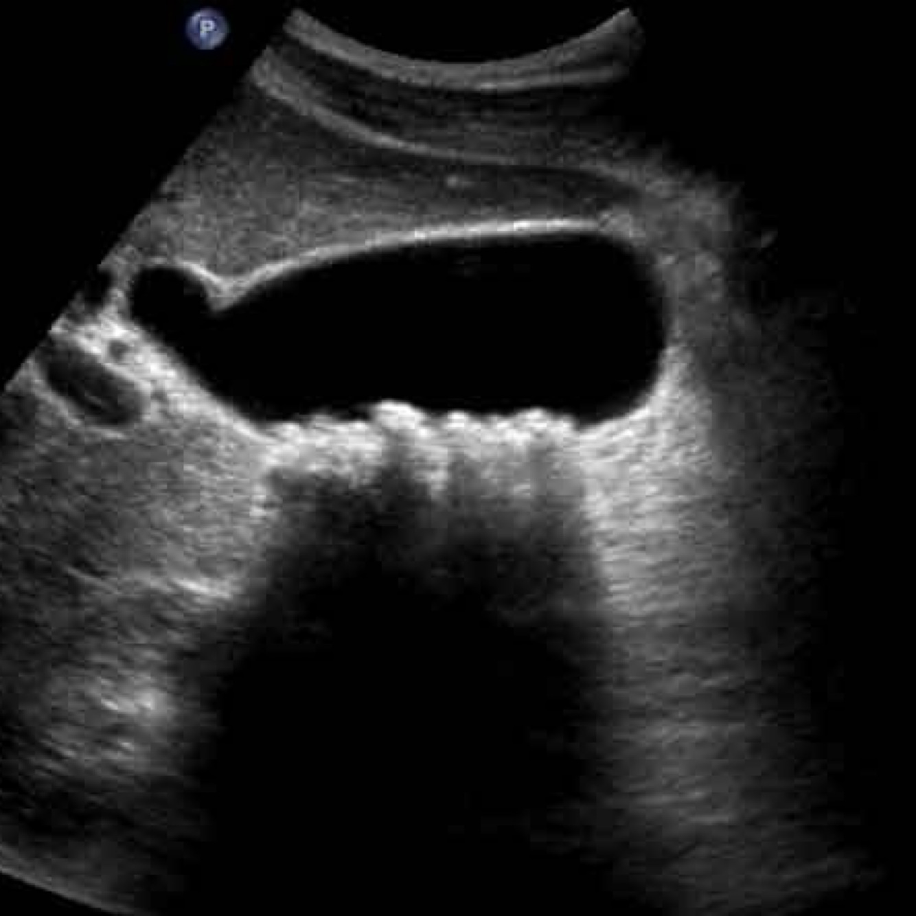
Q
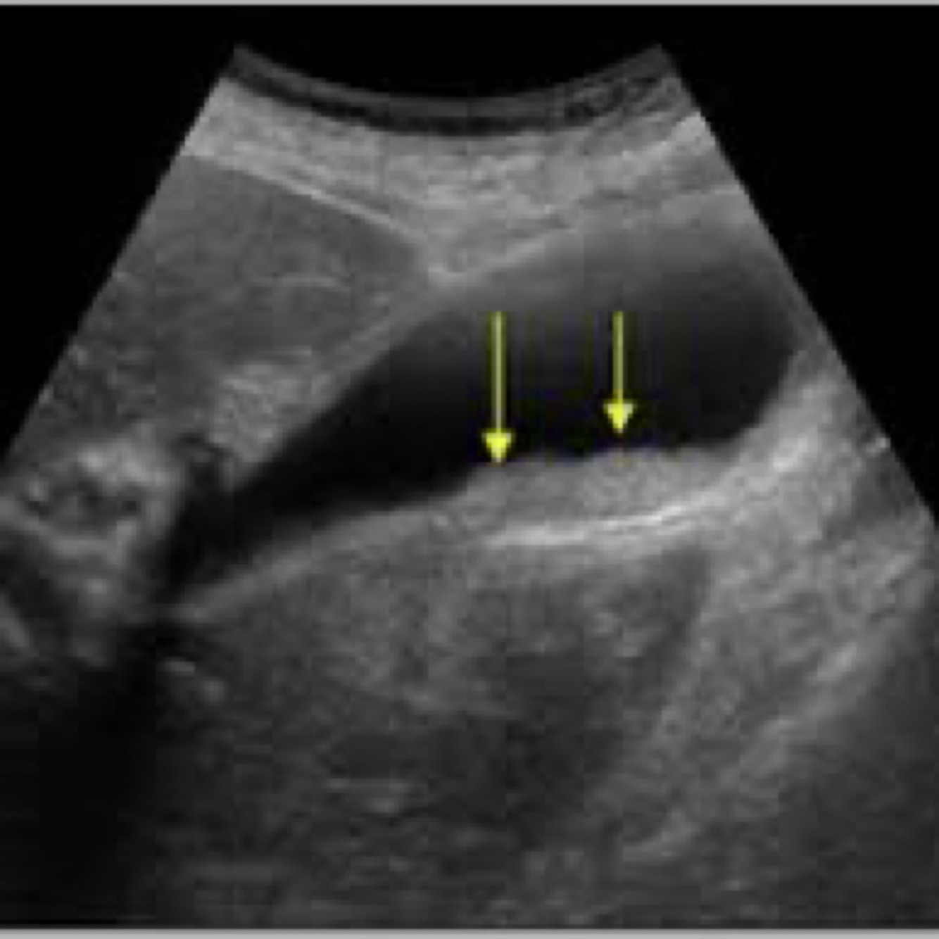
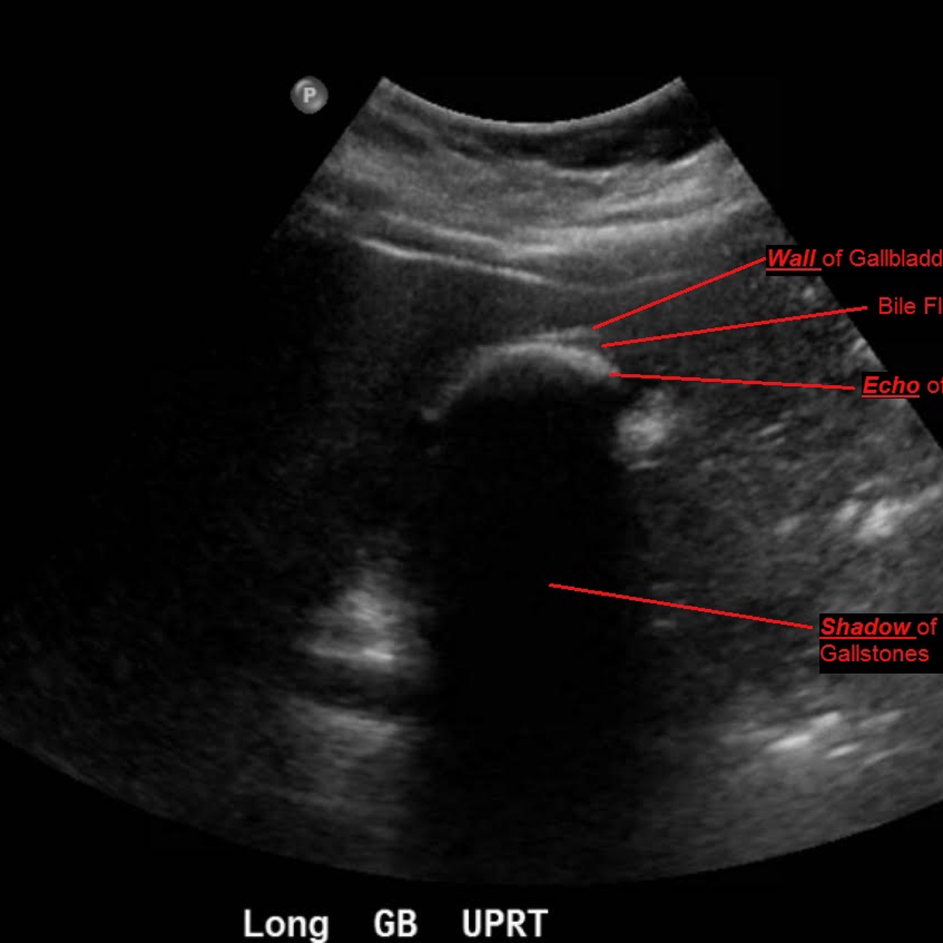
A

Wall-Echo-Shadow Triad
●With careful technique, visualize wall–echo–shadow (WES) triad or double-arc shadow sign.
●First arc or curved echogenic line represents thickened GB wall.
●Second arc is from surface of stone followed by posterior acoustic shadowing.
●With chronic disease, GB may be so contracted and is difficult to visualize.
●WES sign can be mimicked by residual barium, a porcelain gallbladder, or Bouveret syndrome.
●Air-filled bowel loops in RUQ may create shadowing which can be mistaken for contracted GB with stones.
●Differential diagnosis for chronic cholecystitis is adenomyomatosis and GB carcinoma.

How well did you know this?
1
Not at all
2
3
4
5
Perfectly
23
Q
A

Cholelithiasis: Wall-Echo-Shadow Triad

How well did you know this?
1
Not at all
2
3
4
5
Perfectly
24
Q

Acute Cholecystitis (Inflammation of GB)
oSymptoms can be confused with acute pancreatitis, perforated peptic ulcer, liver abscess, or acute alcoholic hepatitis.
oLaboratory results can be nonspecific (serum liver transaminase, leukocytosis, hyperbilirubinemia, or elevated alkaline phosphatase).
oApproximately 20% with cholelithiasis will develop acute cholecystitis.
oOnly 20-35% with RUQ pain will have acute cholecystitis.
●60% of acute cases resolve spontaneously

Sonography Exam
●Positive sonographic Murphy sign, wall thickening, and gallstones
●Pericholecystic fluid
●At times, a hydropic GB
●Cholelithiasis and positive Murphy sign are highly suggestive of acute cholelithiasis
●GB wall thickening and pericholecystic fluid are considered secondary signs
●Color or power Doppler may be helpful by detecting hyperemia and enlarged cystic artery

A
How well did you know this?
1
Not at all
2
3
4
5
Perfectly
25
Acute Cholecystitis (Inflammation of GB)
26
●Acute Acalculous Cholecystitis oNo gallstones in approximately 5-14% of cases oIncreased concentration of stagnant bile can be directly toxic and cause overdistension of GB leading to vascular compromise (stagnant bile + direct vascular changes). oViscous stagnant bile can act as functional GB outflow obstruction and provide pathway for secondary bacterial invasion. oDirect vascular changes may lead to selective thrombosis of vessels supplying GB oSonographic Appearance ●GB often distended with a thickened wall and internal debris or sludge ●Wall thickening with hypoechoic areas within the wall and pericholecystic fluid can also be seen. ●Diagnosis is often difficult due to absence of gallstones. ●Patient’s mental and medication status can hinder evaluation of a positive Murphy sign.
27
Acute Acalculous Cholecystitis
28
●AKA: suppurative cholecystitis ●Typically occurs in diabetic patients ●Sonographic appearance: PUS-FILLED GB resembles sludge ●Symptoms comparable to cholecystitis including fever, chills, and RUQ pain ●Sepsis can be present ●MRI or a percutaneous needle aspiration of GB is helpful to distinguish pus from sludge ●Treatment: cholecystectomy and IV antimicrobial therapy
Empyema (pus in GB)
29
●Affects 2-11% of patients with acute cholecystitis ●Typically, perforations occur in fundus due to chronic inflammation and low blood flow ●Acute perforation: bile leak causes peritonitis ●Acute perforations are uncommon ●Subacute Perforations: more common ➢Result in an abscess formation ●Abscesses occur in or around GB, liver, or within peritoneal cavity ● is life-threatening with high mortality rates (12–42%) ●Age, delayed treatment, and sepsis are main factors contributing to high mortality rate ●Patients present with RUQ pain, nausea, vomiting, and fever ●Lab values: Increase WBC, abnormal LFTs ●Sonographic appearance: Complex fluid collection (abscess), irregular GB wall, gallstones, inflammatory changes within GB fossa, and focal defect of GB wall
Gallbladder Perforation
30
Perforated Gallbladder
31
Perforated gallbladder
32
●Due to absent blood supply or infection ●GB wall becomes ischemic; eventually necrotic ●Developed in approximately 2–38% of acute cholecystitis cases ●Patients acutely ill with positive sonographic Murphy sign present in 1/3rd of patients ➢Positive sign may not be present due to nerve damage ➢Patient presents with diffuse versus ●Thickened, irregular GB wall with both hyperechoic and hypoechoic striations suggestive of gangrenous cholecystitis ●Intraluminal membranes from sloughing off walls and fibrous strands may be visualized on sonography ●Gas within GB wall or lumen, absent GB wall, and/or abscess may be present ●Occurs early or late in course of acute cholecystitis
Gangrenous Cholecystitis
33
Gangrenous Cholecystitis
34
Gangrenous Cholecystitis
35
●Rare form of acute cholecystitis ●Gas-forming bacteria invade GB wall, lumen, pericholecystic spaces, and occasionally bile ducts ●More common in men ●As many as 40% of cases associated with diabetes ●Gallstones not seen in many cases—more common in acute cases ●Patients present with sudden progressive RUQ pain, fever, nausea, and vomiting ●Patients likely to develop a gangrenous GB or abscess formation ●GB perforation can also occur ●Fatal in about 15% of cases ●Sonographic appearance: ➢Gas bubbles are prominent non–gravity-dependent changing position with patient position ➢Air appears as echogenic foci within GB wall or lumen—causes GB wall to appear echogenic ➢Ring down or comet tail artifacts are seen ➢Artifacts may make it difficult to visualize GB
Emphysematous Cholecystitis
36
Emphysematous Cholecystitis
37
Hydropic Gallbladder
38
Comet tale artifact: -Caused by closely spaced, highly reflective surfaces -Appears as bright, tapereing lines along the ultrasound beam -short tapering artifact that diminishes in size and intensity with depth -Common in gallbladder adenomyomatosis, likely due to cholesterol crystals in Rokitansky-Aschoff, sinus
39
Comet tail artifact
40
Ring down artifact: -Caused by resonant vibrations in air bubbles -Seen in abscesses, emphysematous infections, or any air containing process -Appears as long, continuous, parallel bands, extending deep into the image -Forms when fluid is trapped between a tetrahedron of air bubbles, producing a continuous sound wave
41
Ring down artifact
42
occurs most commonly in elderly women. The presenting clinical situation is variable and non-specific but often includes nausea, vomiting, and epigastric pain. A history of gallstone disease will only be present in a minority of patients. Exemplifying reports of non-specific symptoms and comorbidities include synchronous acute diverticulitis and complicating acute pancreatitis, just to name a few. The condition refers to a GASTRIC OUTLET OBSTRUCTION secondary to impaction of a gallstone in the pylorus or proximal duodenum. Thus, it can be considered a very proximal form of gallstone ileus.
Chronic Cholecystitis: Bouveret syndrome
43
Chronic Cholecystitis: Bouveret syndrome
44
is a rare complication of gallstone disease in which a gallstone becomes impacted in the cystic duct or neck of the gallbladder causing compression of the common bile duct (CBD) or common hepatic duct, resulting in proximal obstruction. The patient may present initially with colicky epigastric pain or manifest with hyperbilirubinemia (jaundice). The obstructive jaundice can be caused by direct extrinsic compression of CHD/CBD by the stone or from fibrosis of the same caused by chronic inflammation. A cholecystocholedochal fistula can occur as a further complication to this condition if left untreated.
Mirizzi syndrome
45
Mirizzi syndrome: is a rare complication of gallstone disease where an impacted stone in the cystic duct or gallbladder neck compresses the common hepatic duct, leading to obstructive jaundice.
46
is a rare condition characterized by complete or scattered calcification of the gallbladder wall. More common in men. Associated with a high incidence of GB carcinoma. ●Sonographic appearance ➢Single echogenic line representing calcified wall ➢All or part of wall may be calcified ➢If wall is strongly calcified, a posterior shadow is seen which can obscure GB
Porcelain gallbladder
47
Porcelain Gallbladder
48
Cholestasis and Pregnancy
oIntrahepatic cholestasis occurs during 2nd and 3rd trimesters of pregnancy oResolves shortly after delivery oPatient presents with pruritus (itchy rash) oLaboratory values: elevated alkaline phosphatase, elevated serum transaminase, and elevated bile acids oBenign condition for the mother oFetus at risk for prematurity, dysrhythmia, distress, or intrauterine death oSonographic appearance ●Gallstones may be detected ●There is no ductal dilatation
49
Benign – Polyps ●GB polyps are masses extending from GB mucosa ●Present in 0.3–12% of healthy individuals ●Often asymptomatic ●Found incidentally on imaging studies ●Do not have association with gender, age, or obesity ●Majority are composed of cholesterol and are considered benign. ●Early-stage GB cancers can present as polyps. ●Although rare, polyps can be classified as adenomas ●Adenomas—pedunculated, well-circumscribed lesions within GB typically measuring <2 cm ●When large, adenomas may be more heterogeneous ●Polyps >1 cm are suggestive of malignancy ●Malignant potential can be as high as 27%
50
GB Carcinoma ➢Can metastasize to liver, lymph nodes, CHD, and other surrounding organs ➢Intraductal spread occurs in at least 4% of cases and can clinically mimic pancreatic or bile duct tumors ➢In early stages difficult to detect as patients may be asymptomatic or present with signs and symptoms of cholelithiasis or cholecystitis ➢No laboratory value variances to assist in early diagnosis ➢In late stages, patients have jaundice, malaise, or weight loss ➢Majority are found incidentally during routine cholecystectomy ➢50% are diagnosed preoperatively ➢Cholecystectomy if metastasis has not yet occurred ➢Five-year survival rate for primary GB carcinoma is less than 5%. ➢If diagnosed by sonography, typically in advanced stage ➢Heterogeneous, irregular-shaped mass replaces GB ➢Tumefactive sludge or sludge balls can mimic a malignant GB mass ➢Direct invasion into liver, irregular wall thickening, or a defined polypoid mass may be seen ➢GB mass >1 cm, wall thickening >1 cm, or disruption of GB wall should increase suspicion of malignancy ➢Gallstones encased in tumor are sign of GB carcinoma
51
GB Carcinoma
52
is a benign, hyperplastic cholecystosis of the gallbladder wall. It is characterized by an overgrowth of the gallbladder mucosa and muscular wall, along with the formation of Rokitansky-Aschoff sinuses (outpouchings of the mucosa into or through the muscular layer). Is most common in women, is often asymptomatic and incidentally found during an examination. Ultrasound Findings -Gallbladder Wall Thickening: Focal or diffuse thickening, often seen in the fundus but may involve other parts. -Rokitansky-Aschoff Sinuses: May appear as small cystic spaces within the thickened wall. -Comet-Tail Artifact: A key ultrasound feature; reverberation artifacts (comet-tail) arise from cholesterol crystals trapped in the sinuses. -No Inflammatory Changes: Typically, there is no significant pericholecystic fluid or signs of acute inflammation unless associated with cholecystitis. -Gallstones are common -Diagnosis is often made by sonography -Can be misdiagnosed as GB carcinoma, emphysematous cholecystitis, or chronic cholecystitis
Adenomyomatosis
53
Adenomyomatosis
54
Bile Duct Obstruction oObstruction causes direct interference with bile flow oObstruction from intrinsic or extrinsic cause (stones, tumors, and strictures) oCan be intrahepatic or extrahepatic location oIntrahepatic can be caused by primary sclerosing cholangitis (PSC), or space-occupying liver mass. oObstruction at porta hepatis can be due to cholangiocarcinoma, PSC, GB cancer, or metastatic tumors. oBiliary obstruction at pancreas includes pancreatic cancer, pancreatitis, choledocholithiasis, or cholangiocarcinoma. oPrevious obstruction or inflammation with loss of elasticity or ampullary dysfunction may cause duct to dilate. Types: -complete common bile duct obstruction -incomplete obstruction -extrinsic -intrinsic
55
Aka parallel channel sign, representing dilated duct running anterior to its accompanying portal vein or hepatic artery. Irregular jagged, walls and branching patterns of ducts, compared to smooth walls and smooth verifications of portal venus system. Stellated confluence of dilated ducts converging toward the porta hepatis.
Double-barreled shotgun
56
Double barrel shotgun
57
●Characterized by LIPID-laden macrophages that deposit within GB wall ●Cholesterol polyps make up approximately 20% of deposits but represent 50% of all GB polyps ●Occurs more frequently in women ●Lesions may be diffuse, with no impairment of GB function ➢Or ●Lesions may be localized single or multiple polypoid lesions which may be pedunculated and interfere with function ●Diffuse form of cholesterolosis is also known as a “STRAWBERRY GALLBLADDER “
Cholesterosis
58
Cholesterosis
59
Biliary atresia
60
Acute acalculous cholecystitis
61
Cells that perform exocrine functions secreting digestive enzymes
Acini cells
62
Cells that perform endocrine functions secreting glucagon
Alpha cells
63
Enzymes that digest carbohydrates
Amylase
64
Cells that perform endocrine functions secreting insulin
Beta cells
65
Cells that perform endocrine function, secreting somatostatin
Delta cells
66
Hormone secreted by the alpha cells that function to increase activity of phosphorylase
Glucagon
67
Hormone secreted by beta cells that function to increase the uptake of glucose and amino acids by most body cells
Insulin
68
Endocrine portion of the pancreas made up of alpha cells and beta cells, which is the source of insulin (beta cells) and glucagon (alpha cells) and secrete directly into the blood stream. Are scattered throughout the pancreas, however are more numerous in body and tail.
Islets of Langerhans
69
Fat digesting enzyme
Lipase
70
Diffuse inflammatory reaction to infection spreading along fascial pathways, producing edema and swelling
Phlegmon
71
An abnormal or dilatated cavity resembling a true cyst, but not lined with epithelium
Pseudocyst
72
Hormone secreted by Delta cells that function to regulate insulin and glucagon production
Somatostatin
73
is a nonencapsulated structure that lies obliquely in the anterior portion of the retroperitoneum. It consists of three main portions: the head, body, and tail. The head is located to the right and inferior to the body and tail. It has the largest anteroposterior (AP) dimension of the gland and is bordered by the C-loop of the duodenum
Pancreas
74
lies anterior to the inferior vena cava and posterior to the superior mesenteric vein (SMV)
uncinate process
75
The body of the pancreas lies anterior to the aorta, superior mesenteric artery (SMA), and left renal vein.
76
The tail of the pancreas extends from the body into the left anterior pararenal space. Bordered posteriorly by the splenic vein, it frequently extends to the splenic hilum. The tail is bordered anteriorly by the stomach and laterally by the left kidney. Because of its proximity to the stomach, the pancreatic tail is often obscured by gas on sonography
77
is the most common congenital anomaly, occurring in approximately 4% to 14% of the population. It results from a failure of fusion of the dorsal and ventral pancreatic buds during embryologic development.
Pancreas divisum
78
is another congenital anomaly in which the head of the pancreas surrounds the second portion of the duodenum. It occurs more frequently in males and has been associated with complete or partial atresia (abnormal opening) of the duodenum. It is associated with other congenital abnormalities in up to 70% of affected infants. This includes duodenal stenosis or atresia, Down syndrome, tracheoesophageal fistula, gastrointestinal anomalies, and congenital heart disease.
annular pancreas
79
When the blood glucose level rises above a certain level, believed to be 100 mg/dL, the beta cells immediately secrete ____?
Insulin: When the blood glucose level falls, insulin secretion decreases. Other factors influencing insulin secretion include autonomic nervous system responses, the release of other endocrine hormones, and certain drugs.
80
The enzymes secreted by the pancreas are amylase, lipase, trypsinogen, and chymotrypsinogen—all of which are essential to the digestion and absorption of essential nutrients. Amylase breaks down complex carbohydrates into usable sugars; lipase is an enzyme that breaks down fats; and trypsinogen and chymotrypsinogen are preproteolytic enzymes that reduce proteins to their component amino acids. The pancreas is capable of secreting about _______ mL of pancreatic fluid per day.
1,500 mls
81
Laboratory values for the pancreas?
-amylase: In a diseased pancreas, disintegrating acinar cells release their digestive enzymes into the organ’s parenchyma, and ultimately into the capillaries that supply the diseased area. Amylase levels can be accessed with either serum or urine analysis. Levels usually begin to increase within 5 to 8 hours following the first onset of clinical symptoms. They usually reach a maximum level within the first 1 to 2 days of disease onset, and often persist until the underlying cause is treated. -Lipase: Lipase is a fat-splitting enzyme excreted by the pancreas. It is released into the bloodstream in increased quantities in the setting of inflammatory, and occasionally neoplastic, pancreatic disease. With acute pancreatitis, lipase levels may be 5 to 10 times the normal reference range. Lipase levels increase rapidly within 3 to 6 hours of onset, peak at 24 hours, and remain elevated for 1 to 2 weeks -fat excretion: Fecal fat excretion values reflect the amount of undigested fat molecules passing through the alimentary tract. Increased fecal fat (steatorrhea) is symptomatic of pancreatitis. Other abnormalities may also result in an increased discharge of fat into fecal matter, including celiac disease, inflammatory bowel disease, or short bowel syndrome. -bilirubin
82
______ is characterized by an edematous, enlarged gland; subsequently, there is a breakdown of the pancreatic architecture. It is believed that blockage of the pancreatic ductules leads to a release of digestive enzymes, which lyse cell walls. As the cell walls are destroyed by proteolytic digestive enzymes, more enzymes are released into the interstitial spaces, precipitating further destruction. Lipolytic enzymes, which break down fat, also effect changes in the internal morphology of the pancreas. Necrosis of blood vessel walls may cause hemorrhage into or around the pancreas. In 30% of cases, pancreatic enlargement and decreased parenchymal echogenicity owing to interstitial edema may be seen along with ill-defined hypoechoic/hyperechoic areas representing edema or hemorrhage. Although alcohol and biliary tract pathology, especially gallstones, are the most common predisposing factors, abdominal trauma, drugs, viral infections, and many other causes exist.
Acute pancreatitis
83
Pancreatic pseudocysts, encapsulated collections of the by-products of tissue destruction, are common findings with severe disease. The incidence of pseudocysts in acute pancreatitis ranges from 5% to 16%. The occurrence of pseudocysts in chronic pancreatitis ranges from 20% to 40%. Pseudocysts arise in about half of patients with severe disease and form more than 75% of cystic lesions of the pancreas. Although pseudocysts can occur anywhere in the abdominal cavity, they are most frequently found in or around the pancreas itself, especially in the area of the tail. Pseudocysts may contain pancreatic juice, blood, pus, and/or inflammatory by-products.
84
Chronic pancreatitis results from repeated bouts of acute pancreatitis. Progressive interlobular fibrosis, destruction, and atrophy of functioning tissue results. In the early stages, gross anatomic changes may be absent. As the disease progresses, the gland becomes small and atrophic. Calculi may be found within the pancreatic duct system, and cystic formations are common. Intraparenchymal fluid collections are frequently seen.
85
_______ of the pancreas rank as the fourth leading cause of cancer-related deaths in the United States. Early diagnosis is associated with a slightly better prognosis, but because many pancreatic malignancies do not produce symptoms until late in the disease, early detection is uncommon. Tumors most commonly occur in MEN older than 30 years of age and are approximately 50% to 90% more common in BLACK MALES. Risk factors include a family history of pancreatic cancer, smoking, high-fat diet, chronic pancreatitis, diabetes, and cirrhosis of the liver.
Neoplastic Disease
86
Exocrine neoplasms vs endocrine neoplasm
-Exocrine neoplasms : Neoplasms of exocrine origin comprise the largest group of pancreatic tumors and include the single most common malignant lesion: adenocarcinoma. ADENOCARCINOMA is one of the most lethal of all malignancies, with an overall 5-year survival rate of 9%. Anatomically, these lesions vary in size and gross appearance. Some are well-circumscribed, solid, ovoid masses, whereas others infiltrate surrounding pancreatic parenchyma so diffusely that the pancreas appears as a matted mass of tumor. Some small carcinomas that arise in the ampulla of Vater may be very difficult to detect sonographically. Tumors in the pancreatic head usually spread into the duodenum and compress the common bile duct and ampulla of Vater. -Endocrine neoplasms: Insulinomas and gastrinomas are the most common types of endocrine tumors (80%). Neuroendocrine neoplasms may produce hormones that can make an individual symptomatic. Insulinomas produce large amounts of insulin, and gastrinomas produce gastrin. Most endocrine tumors are solid and are often very small, making them difficult to detect with sonography. These tumors can be singular or multiple and are more common in the body or tail of the pancreas.
87
serous cystadenoma is a benign epithelial tumor that most commonly arises in the ovary. It is characterized by the formation of cystic structures lined by a single layer of ciliated, columnar epithelium and typically contains a serous (clear, watery) fluid. Most commonly found in women of reproductive age to postmenopausal women. Key Features Benign Nature: Generally non-cancerous with a low risk of malignant transformation. Epithelial Origin: Arises from the ovarian surface epithelium. Cystic Structure: Typically multilocular (multi-chambered) with a smooth lining. Clear Fluid: The cysts are filled with serous fluid, which is generally clear or straw-colored.
88
Pancreas
Mucinous cystadenomas are a benign tumor, but can progress into a cancerous lesion. Resection for these tumors is recommended and usually yields an excellent prognosis for survival in which patients often do not need any follow-up. Mucinous cystadenomas are located in the body and tail region of the pancreas, but can also be found in the ovaries and liver. Virtually all of these lesions occur in women. Sonographically, they appear as solitary, unilocular, well-circumscribed round or lobular cysts (about 80%) that can range in dimensions (1 to 36 cm).
89
Image of pancreas
intraductal papillary mucinous neoplasms (IPMN) arises from the pancreatic ducts, usually in the head of the pancreas, and produces mucin. These tumors have the potential to become malignant, with malignant transformation occurring in 25% to 70% of cases, of which 15% to 43% are invasive. This tumor occurs more commonly in elderly males. Ductal dilation is a distinguishable feature of IPMN on ultrasound. Findings include lobulated dilation of the branching ducts, diffuse dilation of the branch ducts, diffuse dilation of the main pancreatic duct, and intraductal papillary tumors. IPMNs may be solitary or multiple and can be highly variable in appearance (grape-like multicystic, unilocular, or finger-like).
90
Composition of gallbladder stones: -cholesterol stones -pigment stones
-cholesterol stones: are made mostly of cholesterol with variable amounts of calcium and bilirubin. Appearance is yellow green, smooth or faceted. Most common in general and with women.(5F ‘s) -Pigment stones: pigment stones can be either black or brown pigment stones. == black pigment stones are composed of calcium bilirubinate and other calcium salts. Their appearance are small, hard, and black due to oxidized bilirubin. Their formation is due to chronic hemolysis leading to excessive unconjugated bilirubin which binds to calcium. === brown pigment stones are composed of calcium bilirubinate, cholesterol, and fatty acids. Their appearance are soft, greasy, and brown. Their formation is due to bacterial infections (e.coli) in the biliary tree, releasing enzymes that hydrolyze bilirubin conjugates increasing unconjugated bilirubin.
91
is an autosomal dominant disease characterized by the presence of multiple small cysts in the kidney; liver; and, less commonly (10%), the pancreas. Patients present with a family history of polycystic disease or are being worked up for hypertension, renal insufficiency, or pyelonephritis. The slowly multiplying and enlarging cystic masses eventually destroy the normal pancreatic tissue. The vast majority of patients with this disease, will succumb to renal failure well before the pancreas is physiologically affected.
Pancreatic Polycystic disease
92
Pancreas
Von Hippel–Lindau disease is an autosomal dominant disorder that involves the central nervous system. Pancreatic lesions may develop in 35% to 77% of patients with von Hippel–Lindau and most of them present as benign cysts. Pancreatic neuroendocrine tumors have been reported to occur in 17% of patients with this disease. Pancreatic carcinoma has also been reported. Peripheral calcifications may also occur in the pancreas.
93
is the most common lethal genetic defect in the Caucasian population. It is characterized by a dysfunction of epithelial chloride transport that affects multiple organs, including the lungs, liver, intestine, reproductive tract, and the pancreas. The disease is the major cause of pancreatic exocrine failure in children.
Cystic Fibrosis
94
The difference between gallbladder carcinoma versus cholangiocarcinoma
-gallbladder carcinoma is located within the gallbladder and surrounding the gallbladder wall. == it is normally not notice until the later stages of cancer, with a 5% survival rate. -cholangiocarcinoma is located intrahepatic within the biliary ducts at the perihilar. == it is often found late due to absence of early symptoms. Doesn’t involve the gallbladder.