
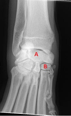
Antebrachiocarpal joint

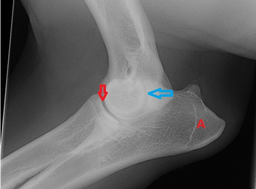
Lateral coronoid process

A- radial carpal bone
B- 2nd carpal bone

1st metacarpal bone

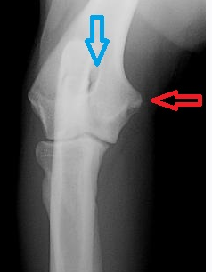
Blue arrow- supratrochlear foramen
Red arrow- medial epicondyle of the humerus
red and blue arrow
what is the third joint that makes up the elbow?

red- humeroradial joint
blue arrow- humeroulnar joint
third joint- radioulnar joint

medial coronoid process
What is a possible consequence of renal disease in a dog?
Rubber jaw
What is a potential endocrinological cause of osteoporosis?
Cushing’s disease- hyperadrenocorticism
Talk through endochondral ossification
Nutritional secondary hyperparathyroidism
Causes of osteoporosis in domestic animals
* Gastrointestinal parasitism
* Cushing’s disease
* Starvation
* Inflammatory bowel disease
* Ageing
* Copper deficiency
* Oestrogen deficiency
Predominant lesion in rickets and why?
Persistence of hypertrophic chondrocytes. They do not undergo degeneration and necrosis (because there is not mineralization of the cartilage matrix they produced); when the ossification front approaches, there is no vascular invason from the metaphysis and no bone formation as a consequence.
Lumpy jaw
Common after a traumatic injury to the oral cavity, condition characterized by a suppurative osteomyelitis, affected maxillary bones undergo rapid osteolysis, regional lymph nodes are almost always affected by the same suppurative process
Parathyroid hormone
Stimulates osteoclastic activity in the bones, PTH stimulates the conversion of vitamin D into its active form, PTH stimulates absorpton of Ca from the small intestine and resorption of Calcium from the kidneys (and Phosphorous is excreted), PTH responds to hypocalcaemic stimuli

Rickets (similar to chrondrodysplasia)- the growth plate is thickened, due to the persistence of chondrocytes which do not degenerate and undergo necrosis.

Transverse foramen of the atlas- vertebral artery runs through it on its way to the skull

Costal fovea

Tubercle
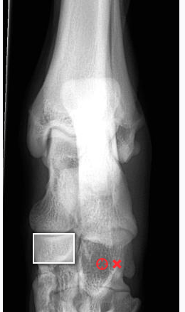
The most distal joint

Tarsometarsal joint
Box?
Red x?

Central tarsal bone
Red x- fourth tarsal bone

Site of insertion for the sacrotuberous ligament

Red arrow- 4th tarsal bone
blue arrow- lateral malleolus, also the origin of the Peroneus longus m. and Lateral digital extensor m.

Tibial crest