Do you suture after performing a shave biopsy?
No, hemostatic solution can be used to stop bleeding. The wound is dressed with antibiotic ointment and a Band-Aid
When consenting a patient for a procedure, if the FNP is NOT performing the procedure, can they sign off as the provider obtaining consent?
The treating physician’s duty to obtain a patient’s informed consent cannot be delegated.
How do you instruct the patent after application of a splint?
What leads are examined to determine axis?
Axis comes from evaluating Lead 1 and AVF
Mechanical obstruction
a physical, organic, obstructing lesion prevents the passage of intestinal content past the point of either the small or large bowel blockage.
2 types:
Thumb Spica Splint
When should facial sutures be removed?
After 4-5 days
Interstitial lung disease
produces what can be thought of as discrete “particles” of disease that develop in the abundant interstitial network of the lung. Tend to be inhomogeneous, separated from each other by visible areas of normally aerated lung. The margins of interstitial lung disease are sharper than are the margins of airspace disease, whose boundaries tend to be indistinct. Interstitial lung disease can be focal (as in a solitary pulmonary nodule) or diffusely distributed in the lungs
These “particles” of disease can be further characterized as having three patterns of presentation:
How does right bundle branch block look on an ECG?
If the QRS complex is widened and upwardly deflected in lead V1, a right bundle branch block is present.
FIVE BASIC DENSITIES IN RADIOLOGY
Clue Cells
Look for bacteria clinging to epithelial cells, nucleus and borders will be obstructed
Tx: Clindamycin, Metronidazole

What are some of the common causes of conduction disturbances?
Arrhythmias and conduction disorders are caused byabnormalities in the generation or conduction of these electrical impulses or both. Any heart disorder, including congenital abnormalities of structure (eg, accessory atrioventricular connection) or function (eg, hereditary ion channelopathies), can disturb rhythm.
abnormal positioning of abdominal organs
situs inversus
What is the most common sustained arrhythmia in adults?
Atrial fibrillation
Complete fracture
bone is broken through and through
Contrast and its effects on the kidneys
MATTRESS SUTURE
useful for wounds under high tension because it provides strength and wound eversion. This suture may also be used as a stay stitch for temporary approximation of wound edges, allowing placement of simple interrupted or subcuticular stitches.
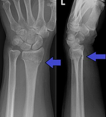
Colles’ fx
a complete fracture of the radius bone of the forearm close to the wrist resulting in an upward (posterior) displacement of the radius and obvious deformity
occurs as a result of falling onto wrists in extension.

Describe normal pulmonary markings on a
chest x-ray

How do you evaluate after splint application?
Describe radiographic features of a musculoskeletal injury?
Fracture lines-when viewed in correct plane look “BLACKER”
Acute angulations may be seen on the normally smooth bone
Edges can be jagged and rough
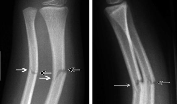
Incomplete fracture
Part of the cortex is fractured
fracture occurs when the bone cracks and bends but does not completely break

When should child abuse be considered?
if there are multiple fractures in various stages of healing, metaphyseal corner fractures, rib fractures and skull fractures
Animal or human bite treatment
All bites should be irrigated with copious normal saline or tap water immediately
Always examine for potential foreign bodies particularly avulsed teeth (x-ray is recommended with pointer a wound opening)