Final: Fractures Flashcards

(62 cards)

1
Q

8-month old M boxer 30kg. Hit by baseball 2 hours ago.

Classify and assess fracture, and give repair options

A

Salter Harris Type 2

Fracture assesment score: 8-10

Repair: Diverging pin technique (K-wires)

How well did you know this?
1
Not at all
2
3
4
5
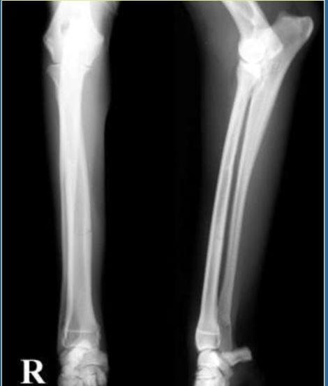
Perfectly
2
Q

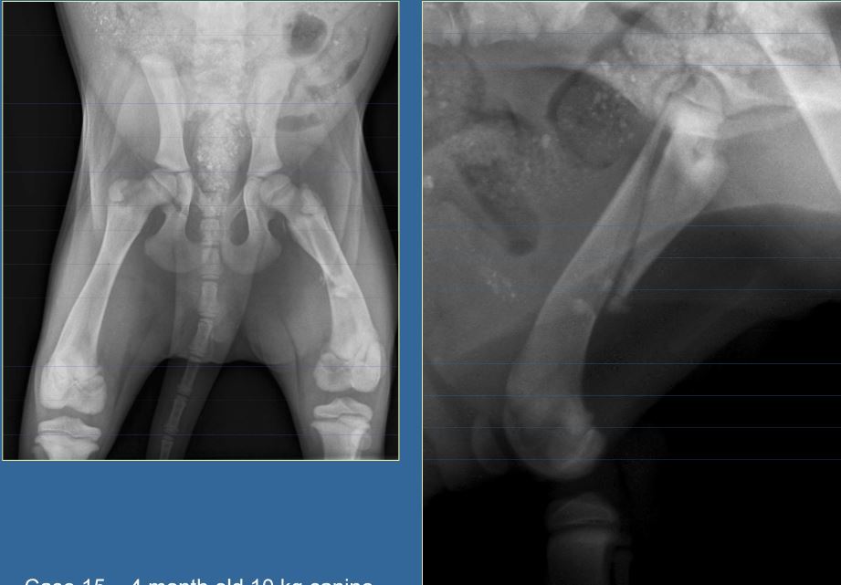
4 month old canine, 10kg

HBC 24 hours ago

Classify and assess fracture, and give repair options

A

Long oblique fracture of the proximal femoral diaphysis

Fx score= 8-10

Repair: IM pin+ cerclage wire, ESF, bone plate

How well did you know this?
1
Not at all
2
3
4
5
Perfectly
3
Q

4 month old mixed breed canine

Acute lameness RHL

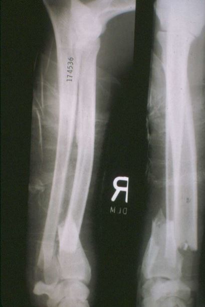
Classify and assess fracture, and give repair options

A

Transverse fracture of the diaphysis of the tibia

Fx score= 8-10

Repair: ESF, Interlocking nail, External coaptation

Bone plate may be overkill (young patient)

How well did you know this?
1
Not at all
2
3
4
5
Perfectly
4
Q

14 year old M mixed breed dog, 22kg

HBC yesterday

Classify and assess fracture, and give repair options

A

Spiral fracture of the distal to mid diaphyseal femur

Fx score= 0 (AGE!)

Repair: Type 2 ESF spanning the articular surface place in a CLOSED fashion

How well did you know this?
1
Not at all
2
3
4
5
Perfectly
5
Q

1 year old DSH, 4.5kg

HBC 24 hours ago.

Classify and assess fracture, and give repair options

A

Severely comminuted femoral fracture

and

Short oblique tibial fracture

Fx score= 5

Repair: 2 ESFs (Type 1A), on femur + cerclage wire and IM pin

How well did you know this?
1
Not at all
2
3
4
5
Perfectly
6
Q

How can you prevent quadriceps contracture?

A

Early return to function

Physical therapy

No immobilization

Ice packs

NSAIDs

How well did you know this?
1
Not at all
2
3
4
5
Perfectly
7
Q

4 year old spayed female Dalmatian, 26kg

HBC 4 days ago

Concurrent ipsilateral tibial-tarsal luxation

Classify and assess fracture, and give repair options

A

Olecranon avulsion

Fx score WITHOUT luxation = 7-9

Fx score = 5-7

Repair: Tension band

How well did you know this?
1
Not at all
2
3
4
5
Perfectly
8
Q

4 year old NM Burmese, 5kg

Unknown trauma yesterday

Classify and assess fracture, and give repair options

A

Luxation of the radial head

and

Montaggia fracture of the ulna

Repair: ASAP - IM pin in ulna + Cerclage wire around radius

How well did you know this?
1
Not at all
2
3
4
5
Perfectly
9
Q

What does excessive local pain, fever, lethargy, lucency around the bone impant and a loose implant imply?

A

Osteomyelitis

How well did you know this?
1
Not at all
2
3
4
5
Perfectly
10
Q

4 year old F St.Bernard, 50kg

HBC 1 week ago

Classify and assess fracture, and give repair options

A

Transverse fractures of the radius and ulna

Fx score= 5

Repair: 2 plates- one on radius and one on ulna (because of size, if had been smaller would not need ulnar plate)

How well did you know this?
1
Not at all
2
3
4
5
Perfectly
11
Q

What would you use to allow a scapular fracture to heal?

A

Velpau sling

How well did you know this?
1
Not at all
2
3
4
5
Perfectly
12
Q

What causes ligamentous laxity when referring to fractures?

A

Disuse or immoilization, muscle atrophy, loose ligaments (due to atrophy), joint instability (due to muscle atrophy)

How well did you know this?
1
Not at all
2
3
4
5
Perfectly
13
Q

How deep does the first screw hole have to be when placing a lag screw into the long sacral body?

A

60% of the sarcal body width

How well did you know this?
1
Not at all
2
3
4
5
Perfectly
14
Q

2 year old GSD, 45kg

HBC 1 hour ago

Classify and assess fracture, and give repair options

A

Comminuted fracture of the mid-diaphysis of the femur

Fx score= 5 (large patient and comminuted, but young)

Repair: Bone plate + IM pin, Interlocking nails

How well did you know this?
1
Not at all
2
3
4
5
Perfectly
15
Q

What causes osteoporosis when referring to fractures? When can it be permanent?

A

Disuse (reduction of mechanical stress)

Will cause bone loss especially distally

Can be permanent if >12 weeks

How well did you know this?
1
Not at all
2
3
4
5
Perfectly
16
Q

2 year old M Pharaoh hound, 18kg

HBC yesterday

Classify and assess fracture, and give repair options

A

Comminuted T or Y fracture

Fx score= 3-5

Repair: Osteotomy of olecranon, bilateral plates or pins

How well did you know this?
1
Not at all
2
3
4
5
Perfectly
17
Q

4 year old mixed breed canine, 25kg

Found on side of road, NWB LHL with wound at level of the fracture

Classify and assess fracture, and give repair options

A

Open mid-diaphyseal tibial oblique fracture (possibly comminuted)

Fx score= 3-4 (open)

Repair: ESF, bone plate (Perl plate), interlocking nail

How well did you know this?
1
Not at all
2
3
4
5
Perfectly
18
Q

What are the 3 classifications of scapular fractures? When is surgery indicated?

A

SEA- Stable extra-articular

USEA- Unstable extra-articular

IA- Intraarticular

Sx if IA and some USEA

How well did you know this?
1
Not at all
2
3
4
5
Perfectly
19
Q

When does quadriceps contracture occur most often and in what type of patient?

A

After distal femoral fracture

Young (<6mo) with poor limb use during healing and extensive muscle trauma

How well did you know this?
1
Not at all
2
3
4
5
Perfectly
20
Q

9 month old Mastiff, 75lbs

Ran over by owner

Classify and assess fracture, and give repair options

A

Comminuted fracture of the distal humerus

Fx score= 3-5 (large patient, comminuted)

Repair: Bone plate (Perl) + IM pin

How well did you know this?
1
Not at all
2
3
4
5
Perfectly
21
Q

6 month old M mixed breed dog, 15kg

Playing w/larger dog, yelped and started running on 3 legs 2 hours ago

Classify and assess fracture, and give repair options

A

Avulsion fracture of the tibial tuberocity

Fx score = 10

Repair: Tension band

How well did you know this?
1
Not at all
2
3
4
5
Perfectly
22
Q

7 month old mixed breed dog, 13kg

Weight-baring lameness for 2 days, unknown cause

Classify and assess fracture, and give repair options

A

Single cortex greenstick fracture of the radius

Fx score= 10 (Potential problem= stunted growth/ limb shortening if physis closes prematurely)

Repair IF GROWTH AFFECTED: Radial osteotomy + Ulnar ostectomy (plus fat graft) and Ring fixator and Distraction Osteogenesis

How well did you know this?
1
Not at all
2
3
4
5
Perfectly
23
Q

What are the suggested implants in a situation where you have a small sized dog, with a simple greenstick fracture, and highly complant owner? What score range is this?

A

Type 1 ESF

IM pin + cerclage wire

External coaptation

Score: 8-10 (high)

How well did you know this?
1
Not at all
2
3
4
5
Perfectly
24
Q

18 month old M pitbull, 22kg

HBC 18 hous ago

A

Simple transverse fracture of the distal diaphysis of the femur

Fx score= 10

Repair= ESF + IM pin

IM pin + cerclage wire C/O’d on transverse fx

How well did you know this?
1
Not at all
2
3
4
5
Perfectly
25
What are some proposed etiologies for fracture associated sarcomas?
Implant corrosion at fx site (Jonas pins, TPO plates) Dissimilar metals Hx of complications (inflammation, infection)
26
What are the options for repairing fractures of the ischial body?
2 or more **IM pins** (to resist forces of hamstrings) +**lag or K-wires** ## Footnote **Reconstruction plate**
27
What are they keys for success for open fracture repairs?
Prompt debridement BIgorous irrigation Antibiotics **Soft tissue repair**
28
When does fracture associated sarcoma occur?
In **large breed** dogs with **comminuted/complicated femoral** fractures **\>5 years** after the facture has occured
29
What causes muscle atrophy when referring to fractures?
"Use it or lose it" (disuse, immobilization) ## Footnote *If occurs recovery takes 2-4 times longer to recover*
30
What is the best approach when surgically repairing a sacroiliac fracture or luxation?
Dorsal * Allows visualization of sacral wing* * Use Ventral when have _ipsilateral ilial fracture_*
31
What are the 3 options for reparing a bilateral sarcoiliac luxation?
Lag both sides One long screw Transilial pin (dorsal to L7)
32
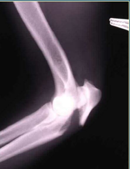
5 month old M Saluki, 13kg. Unknown trauma 12 hours ago Classify and assess fracture, and give repair options
*Note top arrow= physis, bottom=fx* Transverse articular fracture of the proximal ulna Fx score= 7-9 Repair: Tension band
33
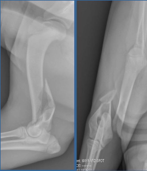
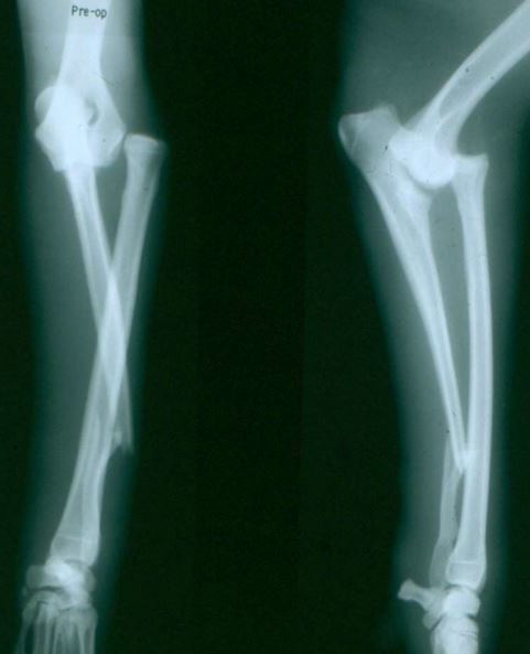
8 month old F Dobermann, 30kg HBC yesterday, presented in full-limb cast Classify and assess fracture, and give repair options
Transverse fracture of radius and Comminuted fracture of the ulna Fx score= 5-6 Repair: Plate on cranial aspect of radius + plate or in in ulna
34
Which pelvic fractures can be managed conservatively?
Ischium and pubic fractures When there is no compromised neuro function If there is no severe pain or displacement
35
20 month old bearded collie, 20kg Radial fx at 8 months of age treated w/cast Assess pathology and give repair options
Distal ulnar and radial physis closure - Procurvatum Repair: Corrective osteotomy then stabilize w/plate + ESF
36
What is seen in small dogs with elbow or antebrachial fractures because they walk on 3 legs?
Digital flexor cantracture ## Footnote *Can use spoon split and physical therapy*
37
6 month old border collie, 14kg Acutely lame after running across field 1 hour ago. Classify and assess fracture, and give repair options
Medial malleolar fracture Fx score: 7 Repair: Tension band, Lag screws (if reducible and stable then cast)
38
What causes cartilage atrophy when referring to fractures? When can it be reversed and when can it be permanent?
Immobilization dreases GAG (glycosaminoglycans) which lubricates the joints and stimulates joint fluid production Reversible if \<4 weeks Permanent if \>7 weeks
39
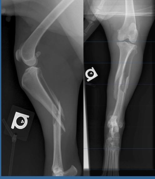
14 month old toy poodle, 4kg Acute lameness after jumping off stable Classify and assess fracture, and give repair options
Transverse fractures of the mid to distal diaphyses of the radius and ulna Fx score= 3ish (*LOW BLOOD SUPPLY in this location in toy breeds)* Repair: Bone plate, ESF (less blood supply compromise) ***Remember Can't put nails or IM pins in the radius!!!!***
40
A(n) ________ is a dead section of bone from osteomyelitis and a(n) ___________ is new bone formed around that.
Sequestrum Involucrum
41
What plates can you use for a fracture of the scapular neck?
VPL L plate T plate *In small dogs use cross pins*
42
What is/are the most common bone(s) affected by delayed healing or non union? For what reason?
Radius and ulna Insufficient blood supply
43
What potential result of diaphyseal trauma results in a fusion of paired bones?
Synostosis ## Footnote *Can cause ulnar subluxation and elbow pain*
44
What are the 3 A's of fracture assessment?
Alignment Aparatus Activity
45
What are the suggested implants in a situation where you have a medium sized dog, with a reducible comminuted fracture, and complant owner? What score range is this?
Bone plate Type 1 or 2 ESF ESF + IM pin Interlocking nail IM pin + cerlage wire **Score: 4-7 (moderate)**
46
What factors are used to obtain a fracture assesment score?
Mechanical (Type of fracture, number of fragments, number of injuries) Biological (Age, health, type of bone) Clinical (Client/patient compliance, wimp vs stoic)
47
What does an 'elephant foot' callus indicate?
Viable non-union
48
2 year old Great Dane, 110 lbs. HBC 3 hrs ago. Classify and assess fracture, and give repair options
Simple transverse mid-diaphyseal fracture of the humerus Fx score: 5-7 (*patient size + simple fx)* Repair: Bone plate, Interlocking nails
49
How are ilial fractures reduced and repaired?
Bone forceps on cranial and caudal fracture segements to reduce Option 1: Place **DCP** on **lateral** surface **1/3** from **dorsum** (at least 1 screw engagaes ilial body Option 2: Use **2-3 lag screws** placed frm ventral aspect (more rigid than plate)
50
2 year old F mixed breed dog, 30kg. HBC 4 hours ago. Classify and assess fracture, and give repair options
Comminuted fracture of distal diaphysis of the femur Fx score: 6 Repair: ESF, Plate * IM pin + wire wont work* * Make sure you look for concurrent injuries (e.g. if hip luxated would also need Ehmers sling)*
51
How do you treat quadriceps contracture?
Salvage procedures: arthrodesis of stifle (will have poor limb function), amputation, quadriceps release (doesn't work well) **Dynamic flexor brace** (if early, helps break down some of the fibrosis by aallowing flexion of the stifle joint)
52
What are the suggested implants for a situation in which you have an old patient with a comminuted fracture and a non-compliant owner? What score range is this?
Lengthening plate (+/- rod) Type 2 or 3 ESF +/- tie-in Interlocking nail Plate + ESF **Score: 0-3 (low)**
53
6 month old mixed canine Owner came home and notices pet not using RH leg. Classify and assess fracture, and give repair options
Salter Harris type 2 fracture of the distal femur *Reduce ASAP* Fx score= 7-10 (*non-articular, young)* Repair: Cross pins, Rush pins, or single IM pin + cross pin *If the patient was younger you could do only a single IM pin to help the dog reach full frowth potential*
54
What is the non-surgical approach to acetabular fractures? In what patients can this sometimes be used?
Ehmers sling q10-14 days Young patients with stable fractures involving the NWB aspect of the acetabulum
55
An osteotomy of the ______ is requried when you need to make an approach to the neck of the scapula, while an osteotomy of the _________ is required when trying to get to the supragenoid tubercle?
Acromion (*using tension band fixation)* Greater tubercle (*using lag screw or tension band)*
56
6 month old F mini Dachshund, 8kg Jumped off steps 4 hours ago. Classify and assess fracture, and give repair options
Salter Harris type 4 of the lateral condyle of the humerus Fx score= 6-8 Repair: Lag screw + anti-rotational K-wire
57
What type of fracture are ilial fractures most often?
Oblique
58
What do you often have to do if there is osteomyelitits in a bone where you have placed a plate?
Remove plate
59
What are the options for repairing fractures of the pubis?
For pubic bone fx: **K-wires or lag screws** For pubic symphysis fx: **Orthopedic wire** *Repair herniation of soft tissue first*
60
What is the surgical procedure for repairing acetabular fractures?
**Osteotomy** of greater trochanter (for appropriate visualization) Expose joint w/**longitudinal incision** (to enable visualization, preserve blood supply to neck femur, and allow better joint closure to prevent luxation) **Place IM pin** into ischial wing OR use **Kern bone forceps** on ischeum and provide caudal traction to **reduce** Place **plate on sursal surface**
61
T/F: Surgical repair is the #1 cause of osteomyelitis.
True
62
11 month old F irish setting, 28kg HBC yesterday Classify and assess fracture, and give repair options
Salter Harris Type 1 (Slip fracture of the femoral head) Fx score= 10 Repair: Diverging pins