Final Lecture Flashcards

(67 cards)

1
Q

Tumors

A

a mass of cells whose growth is uncontrolled and that serves no useful function

Can be malignant (cancerous) or benign –> Depends on whether the tumor is encapsulated

How well did you know this?
1
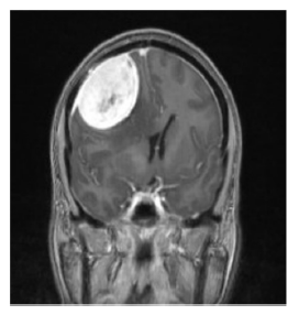
Not at all
2
3
4
5
Perfectly
2
Q

Is an encapsulated tumor benign or malignant

A

Benign

How well did you know this?
1
Not at all
2
3
4
5
Perfectly
3
Q

Who is benign and malignant most common in

A

Benign more common in women; malignant more
common in men

How well did you know this?
1
Not at all
2
3
4
5
Perfectly
4
Q

Tumors damage brain tissue by

A

Compression and Infiltration
* Malignant can compress and infiltrate
* Benign tend to only compress

How well did you know this?
1
Not at all
2
3
4
5
Perfectly
5
Q

Primary and secondary brain tumors

A

Primary = start in CNS, Most commonly seen in those under 15 and above 65 y/o

Secondary = Metastasize to brain, Most common brain metastases are from lung and breast cancer.

How well did you know this?
1
Not at all
2
3
4
5
Perfectly
6
Q

Grading of CNS Tumors: grade 1 and grade 4

A

Grade 1:
* low proliferative potential (cells not dividing a lot)
* possibility of cure after surgical resection

Grade 4:
* histological evidence of malignancy (looking at tissue under microscope)
* mitotically active (cells are dividing/proliferating)
* prone to necrosis
* associate with rapid preoperative and postoperative disease progression and fatal outcomes

How well did you know this?
1
Not at all
2
3
4
5
Perfectly
7
Q

Gliomas

A

Most common primary brain tumoors (33%)

Tumor of the glial cells (astrocytes, oliog., etc.)

Types:
- Astrocytoma
- Meningioma

How well did you know this?
1
Not at all
2
3
4
5
Perfectly
8
Q

Astrocytoma

A

tumor of the astrocytes

Can be low grade or high grade

Type to know: Grade 4 Astrocytoma = Glioblastoma Multiforme

How well did you know this?
1
Not at all
2
3
4
5
Perfectly
9
Q

Glioblastoma Multiforme

A

Grade 4 Astrocytoma

  • Most aggressive tumor form (grows in 1-2 months)
  • Average survival rate from diagnosis approx. 2 years
  • Higher Incidence in white individuals
How well did you know this?
1
Not at all
2
3
4
5
Perfectly
10
Q

Meningioma

A

tumor of the meninges, usually benign and slow growing
–> Encapsulated

How well did you know this?
1
Not at all
2
3
4
5
Perfectly
11
Q

Main Treatments for Gliomas

A

Surgical resection (remove tumour)
* partial resection (debulking)
* total gross resection

Radiation
* whole brain (damages hippocampus)
* Hippocampus sparing (new technique, keeps hippocampus in tact)

Chemotherapy
* Must cross blood-brain barrier
* Gliadel Wafters (chemo-therapy impregnanted wafer)

How well did you know this?
1
Not at all
2
3
4
5
Perfectly
12
Q

Seizure

A

a period of sudden, excessive activity of cerebral
neurons (glutamate, gaba, etc.)

Facts:
* Epilepsy chronic d/o of recurrent seizures
* can be partial/focal or generalized

How well did you know this?
1
Not at all
2
3
4
5
Perfectly
13
Q

Partial/focal types of seizures

A

Partial/Focal Types:

  • simple partial = no major change in consciousness (can be aware or not aware of it happening)
  • Complex partial = cause of loss of conciousness
How well did you know this?
1
Not at all
2
3
4
5
Perfectly
14
Q

Generalized types of seizures

A
  • Tonic-Clonic (aka Grand mal)
  • Absence (aka petit-mal)
  • Atonic
How well did you know this?
1
Not at all
2
3
4
5
Perfectly
15
Q

Tonic-Clonic/Grand Mal Seizures

A

most severe form of seizure

include conclusions (violent uncontrollable muscle movements)
* tonic phase: stiffening of muscles
* clonic phase: jerking or twitching (frothy, eye blinking)

Typical stages

How well did you know this?
1
Not at all
2
3
4
5
Perfectly
16
Q

Can one person have different types of seizures?

A

Yes!

How well did you know this?
1
Not at all
2
3
4
5
Perfectly
17
Q

Absence “petit mal” seizures

A

Sudden lapse in consciousness
* Staring blankly into space
* Eyelid fluttering
* Lip smacking
* Involuntary hand movements

Last less than 15 seconds

How well did you know this?
1
Not at all
2
3
4
5
Perfectly
18
Q

Atonic seizures

A

Aka “drop seizures”

Sudden loss of muscle control = collapse or fall

Different to Cataplexy in Narcolepsy due to loss of consciousness (in atonic, they don’t know whats happening)

How well did you know this?
1
Not at all
2
3
4
5
Perfectly
19
Q

Challenges of seizures

A

50% of those with seizure d.o show damage to the hippocampus

falling/drowning

Car accidents (unable to drive for 1 year post)

Pregnancy complications (seizure meds hard on babies)

Emotional issues

How well did you know this?
1
Not at all
2
3
4
5
Perfectly
20
Q

Challenges of seizures

A

50% of those with seizure d.o show damage to the hippocampus

falling/drowning

Car accidents (unable to drive for 1 year post)

Pregnancy complications (seizure meds hard on babies)

Emotional issues (see next slide)

How well did you know this?
1
Not at all
2
3
4
5
Perfectly
21
Q

Emotional issues with epilepsy

A

Most common = ADHD, anxiety, aggression

6-10% experience post-ictal psychosis

Epilepsy increases risk of schizophrenia by 2.5x (think because of the synaptic pruning that happens during seizure)

How well did you know this?
1
Not at all
2
3
4
5
Perfectly
22
Q

Seizure first aid

A
How well did you know this?
1
Not at all
2
3
4
5
Perfectly
23
Q

Prion diseaes

A

Type of neurodegenerative disease

occur when prion protein, found throughout the body, begins folding into an
abnormal three-dimensional shape.

damaged prion protein destroys brain cells, leading to a rapid decline in thinking
and reasoning. aka Transmissible Spongiform Encephalopathies (looks like sponge)

How well did you know this?
1
Not at all
2
3
4
5
Perfectly
24
Q

Creutzfeldt-Jakob disease

A

Type of neurodegenerative disease

Most common between Kuru and Prion

  • “Mad cow disease” epidemic of the 1980’s to 1990’s (People ate cows whose feed was contaminated with meat from ill sheep)
  • Can be sporadic or familial
  • Causes severe mental deterioration and dementia – 8 month avg.
How well did you know this?
1
Not at all
2
3
4
5
Perfectly
25
Kuru Disease
Type of neurodegenerative disease From eating contaminated human brain tissue Traditional practice of Fore people of Papa New Guinea * Cannabilism of deceased loved ones 10-50 year incubation period of disease Kuru = “trembling” aka Laughing Sickness – leads to total loss of muscle control and dysphagia (difficulty swallowing)
26
Parkinson's Disease: General
Caused by the degeneration of dopamine-secreting neurons in the substantia nigra that send axon to the basal ganglia = a deficiency of automatic, habitual motor responses * 95% of cases are sporadic
27
Parkinson's Disease: Symptoms
Dystonia = rigidity (cog wheel test: see lack of smooth movement when moving arm) * Bradyskinesia & Slowed reaction times = falls * Shuffling gait * Face Masking (mask like expression) * Tremors (75% have pill rolling tremor)
28
Parkinson's Disease: Treatments
L-Dopa - time-limited, side effects of hallucinations and delusions (trying to give your body more dopamine) Deprenyl – slows Parkinson’s progression Intentional lesioning of the pathway Deep Brain Stimulation * 75% relief of symptoms * Contraindicated (aka not used) in those with cognitive or memory impairments**
29
Huntington's Disease: General
Inherited disease resulting in degeneration of the basal ganglia * Chromosome 4 mutation = defect causes the building blocks of DNA called cytosine, adenine, and guanine (CAG) to repeat many more times than they normally do.
30
Huntington's Disease: Symptoms
Chorea – involuntary jerking movements Dystonia (neurological movement disorder characterized by involuntary (unintended) muscle contractions that cause slow repetitive movements or abnormal postures that can sometimes be painful) Slurred speech and swallow difficulties
31
Amyotrophic Lateral Sclerosis (ALS): General
degenerative disorder that attacks spinal cord and cranial nerve motor neurons, causes brain and muscle connection loss (die from respiratory failure) 90% sporadic, 10% inherited Inherited: In inherited forms – mutation on chromosome 21 (gene that produces the enzyme superoxide dismutase (mutation leads to protein misfolding)
32
Amyotrophic Lateral Sclerosis (ALS): Symptoms
Progressive weakness and muscular atrophy - eventual loss of speech, swallow w/ paralysis Eye movements spared Death typically caused by respiratory failure – typically within 24 months * Only current pharmacological treatment is Riluzole (extends life by approx. 2 months)
33
Multiple Sclerosis (MS): General
= an autoimmune demyelinating disease. At scattered locations within the CNS, the person’s immune system attacks myelin sheaths, leaving behind hard patches of debris called sclerotic plaques. *Damage occurs in white matter* (think demyelinating disease)
34
Multiple Sclerosis (MS): Risk Factors
Females > Males Living far from the equator (think environment, not genetic) Black or white race Smoking
35
Multiple Sclerosis (MS): Symptoms
* Fatigue * Vision problems * Bladder/bowel dysfunction * Spasms * Slowed Processing Speeds*
36
Types of multiple sclerosis
Note: besides primary progressive, they all go up and down (set backs). Easily exploited by pharmaceutical companies (will wait to give medications to time with this cycle)
37
Meningitis: general and caused by
= Inflammation of the meninges caused by viruses or bacteria. * Virus * Bacteria * Fungus * Parasite Etiology: * Spread of middle-ear infection to the brain * Head injury * Embolus that has dislodged from bacterial infection in the heart (IV drug use - dirty needles = increased risk)
38
Meningitis: Symptoms
* Stiff neck** * Headache * AMS (altered mental status) * Fever * Photophobia (sensitive to light) * Sometimes – convulsions, LOC, death
39
Brudzinski and Kernig *KNOW*
Use to see if meningitis Flexion of the hips and knees in response to neck flexion Resistant to extension of leg while the hip is flexed
40
Dementia as an umbrella term
Umbrella term for memory loss and other thinking abilities severe enough to interfere with daily life **KNOW**: Alzheimer is the most common
41
5 common types of dementia
42
Alzheimer's Disease: Causes
*Neuritic plaques (B Amyloid) & neurofibrillary tangles (tau)* *estrogen lowers risk of Alz. --> less common in women* B Amyloid * Abnormal in Alzheimer’s and Trisomy 21 Immune system research: possibly due to bad immune system Tx with anti-inflammatory drugs results in lower risk Exposure to toxins, TBI, infections may trigger abnormal B amyloid formation (estrogen lowers risk) APOE gene is involved in making a protein that helps carry cholesterol and other types of fat in the bloodstream Vaccine research * Sensitize immune system against  Amyloid
43
Alzheimer's Disease: Impact on brain
44
Alzheimer's Disease: Differential
Occurs later in life (70+) memory loss Getting lost in familiar places
45
Vascular Dementia
Associate with brain damage due to ischemic injury, anoxia Risk factors same as stroke risk factors Experience "mini strokes" called Lacunar Infarcts *causes microvascular changes * accumulation over time --> dementia symptoms Typical age of onset: 65
46
Vascular vs Alzheimer's disease testing KNOW
Vascular dementia impairments: * semantic memory * visuo-spatial/perceptual skills * slowed processing speed * with cuing/recognition paradigm, can recall information (memory is okay, but retrieval is not okay) Alzheimer's impairments: * Episodic Memory * Language * Cuing/Recognition does not help IN BOTH: * executive/attentional functioning * lack of awareness that they have it
47
Mild cognitive impairment vs dementia
Not all people with mild cognitive impairment go on to have dementia, but when it does go to dementia the decline happens rapidly
48
Dementia with Lewy Body Disease
Characterized by the abnormal build up of alpha-synuclein proteins into masses i.e., lewy bodies (which effects the chemicals in the brain which causes symptoms) Symptoms: * Visual hallucinations - 80% of individuals early on in condition (are aware they are hallucinations) * falls and dysautonomia (autonomic functions are off like bad temp regulation) * movement issues * Sleep problems (REM sleep disorder) * fluctuating cognition * mood and behavior change
49
Fronto-Temporal Dementia
Umbrella term for group of brain diseases known as frontotemporal lobar degeneration (accumulation of Tau protein, overwhelms the brain and causes tissue death) 3 types: * behavioral variant (most common, changes in personality and behaviors) * Primary progressive aphasia (communication progressively worsens) * movement disorders
50
FTD: Behavioral variant
most common, changes in personality and behaviors * Lack of empathy and interest * Increasing inappropriate social bx * Changes in eating bx, desire to eat inedible foods
51
Schizophrenia: Risk and development
* 46% concordance rate (chance of heritability) * 10x risk of African and Caribbean migrants * Men>Women * Mutation in 21 of the 23 chromosomes * Older Paternal Age * Atypical prenatal development (influenza, prematurity, preclampsia, gestational diabetes * Poor social adjustment and academic performance * Deficient psychomotor functioning
52
Schizophrenia: Minor physical anomalies
* High-steepled palate * Partial webbing of two middle toes * Especially wide or narrow-set eyes
53
Schizophrenia: Disease burden
* 20% reduction in life expectancy * 40% of deaths attributable to suicide
54
Schizophrenia: age of onset
55
Schizophrenia: birth month
56
Akathisia
Subjective unpleasant feeling of restlessness
57
Bradyskinesia
Bradykinesia means slowness of movement and is one of the cardinal manifestations of Parkinson's disease. Weakness, tremor and rigidity may contribute to but do not fully explain bradykinesia.
58
Tardive Dyskinesia
condition where your face, body or both make sudden, irregular movements which you cannot control (tounge darting) symptoms irreversible but Vitamin E can prevent further deterioration
59
Antipsychotic side effects: Extrapyramidal
*Extrapyramidal* – impairment in motor functions NOT related to the pyramids * Tardive Dyskinesia – symptoms irreversible but Vitamin E can prevent further deterioration * Akathisia – subjective unpleasant feeling of restlessness * Pseudo-Parkinsonism (slow) * Acute Dystonia (lack of movement)
60
Antipsychotic side effects: Anti-cholinergic
dry mouth, urinary retention, blurred vision, constpiation
61
Antipsychotic side effects: Treatment resistance medication
Failing of at least 2 antipsychotic medication trials (resistant to medications), have to use Clozapine * Requires blood test every 18 weeks d/t high risk of neutropenia (low neutrophil levels – these fight infection)
62
Depression: Heritability
Families of persons with affective disorders are 10x more likely to develop MDD or BMD
63
Depression: neuropathology *KNOW*
Hedonic tone/responsiveness: trait or genetic predisposition underlying one’s baseline range and lifelong ability to feel pleasure * see dysfunction in mesolimbic and mesocortical pathways * los of 40-90% of glial cells * LOW Hedonic Tone = Increase risk of anhedonia, depression, and dysthymia (Seen in MDD and ADHD) --> MAYBE SNRIS BETTER THAN SSRIS BECAUSE ISSUE ISN"T NEEDING MORE SERITONIN Also: see hippocampus neurogenesis - explains 3-6 week lag in tx response time (brain needs to get used to SSRIS)
64
Brain differences: Generalized anxiety DO
* Reduced connections between amygdala and PFC * Activation of the vmPFC does not result in reduction of amygdala activation * Lowered GABA presence in amygdala
65
Brain differences: Social Anxiety
Disproportionate activation of amygdala when viewing negative expressions and neutral ones
66
Brain differences: During panic attack
* Increase activation of amygdala & periaqueductal grey (pain) * Can be induced by the breathing of CO2 and injection of lactic acid
67
Brain differences: “Anxious Apprehension” vs. “Anxious Arousal” *KNOW*
* Anxious App = ↑ activation in left frontal lobe i.e., Broca’s (over activated speech area) * Anxious Arousal = ↑ activation in right temporal lobe i.e., increased sensitivity to environmental sounds and noises.