On the basis of the clinical symptoms and somorohic findings, the lab results will most likely demonstrate:

Hypothyroidism
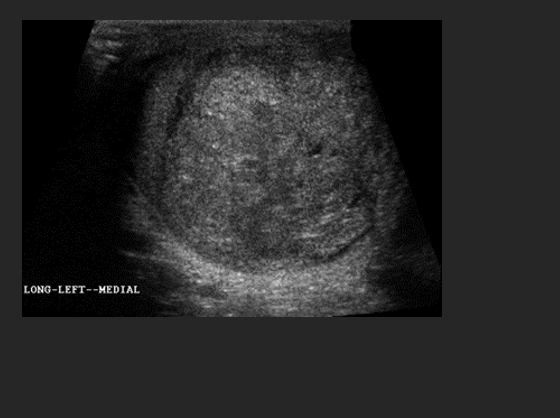
A patient presents with a small mass palpated in a recent physical exam and normal lab values. A mass is identified in the inferior portion of the right thyroid lobe. On the basis of this clinical history, the sonographic findings are most suspicious for a

B. Adenoma
A 35 year old patient presents with a palpable scrotal mall. He is afebrile and denies any scrotal pain. This is most suspicious for what abnormality?

B. Testicular Torsion
A patient presents with a palpable anterior neck mass. The patient denies any recent surgery or fever. A nonvascular complex mass is identified extending from the superior portion of the isthmus to the patients chin. On the basis of this clinical history, the sonographic findings are most suspicious for:

C. Thyroglossal cyst
An 84 year old patient present presents with intermittent scrotal swlling. He states that the swlling comes and goes. On the basis of the clinical history the sonographic f inding is most suspicious for

D. Scrotal Hernia
Hyperechoic foci are identified in which of the following regions of the porstate. Gland ?

C. central zone (Middle)
- A 30 year old patient presents with a tender scrotal mass. The sonographic finding is most suspicious for which of the following abnormalities -
-Which of the following complications is associated with this diagnosis

C. Varicocele
- A. Infertility
A patient presents with a history of scrotal swelling and tenderness. He denies any scortal trauma on the basis of this clinical history the sonographic findings are most consistent with a
The echogenic structure superior to the testis most likely represents

A. Hydrocele
D. Epidymal Head
A 45 year old patient presents with acute scrotal pain after a mountain biking trip. On the basis of this clinical history, the sonographic findings are most suspicious for what abnormality?
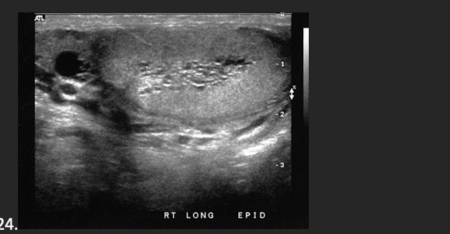
An echogenic mass is identified superior to the testis and outlined by calibers. This most likely represents what structure?

C. Epidymitis
C. Head of the Epidymis
This sagittal image of the left inguinal canal an 8 month old male infant is most likely demonstrating an

C. undescended testicle
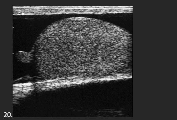
A 76 year old patient presents with a history of a palpable mass in the superior portion of the right scrotal sac. A nonvascular cystic mass is identified in the medial portion of the testis. This mass is most suspicious for what abnormality?
The contralateral testis in this patient will most likely demonstrate a

D. Tubular ectasia of the rete testis
– D. Tubular ectasia of the rete testis
An asymptomatic patient presents with a palpable right scrotal mass discovered during a recent physical examination. The sonographic finding is most consistent with which abnormality?

D. Spermatocele
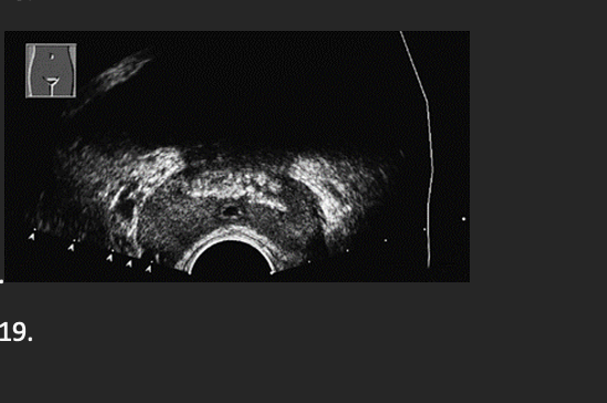
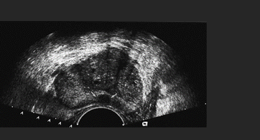
A patient presents with a history of hematuria and elevated prostate specific antigen(PSA). The neoplasm identified by the arrows is located in which region of the prostate gland? –

D. Peripheral zone