Under what circumstances is it appropriate to take on a ‘guarded reassurance and watchful waiting’ approach to a pt. with first trimester bleeding?
Only if fetal sounds can still be detected with dopple, if the pt is stable, AND if there is no adnexal mass, tenderness, or signs of abdominal bleeding
What is an anembryonic pregnancy?
Presence of a gestational sac alrger than 18mm without evidenc of embryonic ttuse (yolk sac or embryo)
What is embryonic demise?
An embryo larger tahn 5mm wihtout cadaic activity
What is a heterotopic pregnancy?
simultaneous intrauterine and ectopic pregnancy
What is an incomplete abortion?
Occurs wehn some, but not all, of the products of conception pass
What is an inevitable abortion?
bleeding in the first trimester in the presence of a dialted cervix
What is a threatened abortion?
Bleeding before 20 weeks gestation in the presence of an embryo with cardiac activity and a closed cervix
T or F. Evidence should not support the routine use of ABX in all women with incomplete abortion
T. Only in the presence of a septic abortion
When should a gestational sac be visible in the uterus for a normal IUP?
Only 100% reliable when hCG levels exceed 1500-200 mIU/ml
When must a yolk sac appear for a normal viable IU pregnancy to occur?
once the gestational sac gets to 10mm in size
When should cardiac activity be heard for a normal IUP?
Once the crown-rump lenth of the embryo exceeds 5mm in length
Levels of hCG exceeding 1500-200 mIU/ml but with the lack of an endometrial gestational sac suggests what?
Ectopic pregnancy
What are the risk factors for an ectopic pregnancy?
What is an adnexal mass?
An adnexal mass is a lump in tissue of the adnexa of uterus (structures closely related structurally and functionally to the uterus such as the ovaries, fallopian tubes, or any of the surrounding connective tissue). Adnexal masses can be benign or cancerous, and they can be categorized as simple or complex.
Hyperelevated hCG levels suggest what?
Molar pregnancy
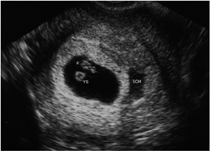
What is this?

A normal IUP with the presene of a subchorionic hemorrhage
What is a subchorionic hemorrhage?
A common source of first trimester bleeding
What should be done if a repeat 48 hr hCG is drawn and it has not doubled and there is still not a gestational sac in the uterus?
dilatation and curettage to look for POC- if they are there, its a SAB. If not, ectopic
T or F. The presence of subchorionic hemorrhage increases the risk of SAB
T.
Although D&C has been historically the treatment of choice for abortion, new trials confirm the expectant or medical management with misoprostol can be as effective and safe while offering the pt more control over her care
Expectant vs medical management of SAB
When though both expectant and medical management are effective for incomplete abortion, expectant management is more likely to fail than medical in embryonic demise or anembronic pregnancy and these women have more outpt visits
T or F. Women treated medically for abortion have more bleeding but less pain than those treated surgically
T. And surgeries are more assoicated with post-abortion infections
What is misoprostol?
A medication that be used to induce abortion
Misoprostol has fewer GI AEs when given what way?
vaginally compared to orally