Fixed appliances Flashcards

(16 cards)

1
Q

When do we use fixed appliances?

A

Camouflage of mild to moderate skeletal discrepancy
Intrusion/Extrusion of teeth
Correction of rotations
Multiple tooth movements in one arch
Active space closure
Space redistribution e.g. hypodontia

How well did you know this?
1
Not at all
2
3
4
5
Perfectly
2
Q

Name some differences of when we used fixed to rem appliances

A
How well did you know this?
1
Not at all
2
3
4
5
Perfectly
3
Q

What is the sequence of positioning in fixed appliances?

A

*STAGE 1: Alignment and levelling

*STAGE 2: Overbite reduction

*STAGE 3: Space closure and overjet reduction

*STAGE 4: Finishing and Detailing

How well did you know this?
1
Not at all
2
3
4
5
Perfectly
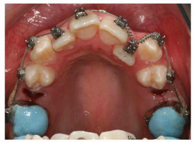
4
Q

This pt has crowding, a centreline shift and a ant x-bite
What are the blue blocks on the upper 6’s here for?

A

There are blue blocks on the upper 6’s to disclude the bite allowing for the correction of the anterior crossbite.

How well did you know this?
1
Not at all
2
3
4
5
Perfectly
5
Q

What are the risks of using fixed appliances?

A

Demineralisation
Gingivitis & periodontitis
Root resorption
Pulpal pathology
Soft tissue irritation
Ingestion or inhalation of a foreign body

How well did you know this?
1
Not at all
2
3
4
5
Perfectly
6
Q

What is the definition of demineralisation?
Name the stages of WSL Index by Gorelick et al (1982)

A

Loss of calcified tooth substances due to the attack by acidic by-products (lactic acid) of plaque metabolism that remove the mineral and give the opaque white appearance.

Stage 0 (none);
Stage 1 is a slight rim;
Stage 2 a broad rim;
Stage 3 cavitation.

How well did you know this?
1
Not at all
2
3
4
5
Perfectly
7
Q

If a pt with fixed appliances has WSLs, what is reccomended?

A

Reinforce OHI and dietary advice - fluoride mouthwash
Removal of archwires for a visit to allow remineralisation,
Remove appliance as last resort.

How well did you know this?
1
Not at all
2
3
4
5
Perfectly
8
Q

What might the occurance of gingivitis/periodontitis during fixed appliance treatment mean?

A

May necessitate a shortened treatment plan or immediate discontinuation of treatment

How well did you know this?
1
Not at all
2
3
4
5
Perfectly
9
Q

Is root resorption common when using fixed appliances?

A

Yes
Majority of cases this is minor and around 1mm

*In 5% of cases there may be 5mm loss in root length

How well did you know this?
1
Not at all
2
3
4
5
Perfectly
10
Q

What can be risk factors for more severe root resorption during fixed appliance tx?

A

*Root length and morphology

*History of trauma

*Genetic

*Treatment duration and apical movement

How well did you know this?
1
Not at all
2
3
4
5
Perfectly
11
Q

If root resorption occurs during fixed appliance treatment what are the recommendations?

A

The force levels should be modified or a 2–3 months’ pause in treatment with passive archwires should be implemented (Levander 1994).
Then take a repeat PA radiograph,
if the resorption doesn’t continue then try to modify the treatment if it does continue then retain the result and accept.

How well did you know this?
1
Not at all
2
3
4
5
Perfectly
12
Q

Is pulpitis common when using fixed appliances?

A

Pulpitis occurs transiently in the majority of patients at the start of treatment, rarely leading to a loss of vitality

How well did you know this?
1
Not at all
2
3
4
5
Perfectly
13
Q

If pulpitis/loss of vitality occurs during fixed appliance treatment what are the recommendations?

A

Analgesia
Monitor baseline vitality and repeat 3 monthly. Atack (1999)
Use light forces
If the tooth develops pulpitis, a pause of treatment, take a radiograph, liaise with the GDP if it is heavily restored or requires their advice about prognosis.

How well did you know this?
1
Not at all
2
3
4
5
Perfectly
14
Q

How do we prevent the risk of pulpitis occuring during fixed appliance tx?

A

Caution when treating previously traumatised/RCT teeth, pre-op PA, mid-treatment PA (6 months into treatment) and post-op PA to compare.
When debonding appliances be careful not to overheat the teeth leaving them susceptible to thermal damage.
When planning your mechanics take care when managing susceptible teeth.

How well did you know this?
1
Not at all
2
3
4
5
Perfectly
15
Q

What can cause traumatic ulcers during fixed appliance tx?
How can we prevent this?

A

Brackets,
Distal ends,
Long spans of thin wire
Headgear tubes
Operator error when using acid etch

  • instruction in the use of orthodontic wax
  • ensuring there are no sharp ends of the wire by turning them in, using composite stops and careful instrumentation
  • stops being placed on the wire to prevent it slipping
  • bumper sleeve on the archwire to stop long spans from causing irritation
How well did you know this?
1
Not at all
2
3
4
5
Perfectly
16
Q

However, if you suspect an object may have been inhaled, or it is larger than …cm in length and has been swallowed, then you should refer the patient to the Radiology or Accident and Emergency Department of your local hospital for advice