FOH Flashcards

(222 cards)

1
Q

Describe the clinical presentation of this condition.

A

Odontogenic Infections: Acute infections present with fever, facial swelling, distress, and possible dehydration. Chronic infections may be asymptomatic but can cause a mobile or discolored tooth, halitosis, or a sinus tract.
F.A.C.E.S.
F – Fever (Acute Infection)
The body’s response to infection, leading to increased temperature, often associated with acute odontogenic infections.
A – Asymptomatic (Chronic Infection)
Chronic infections may not show any obvious symptoms but can still cause problems like tooth mobility or discoloration.
C – Chronic Infections (Sinus Tract/Discolored Tooth)
Chronic odontogenic infections can present with a mobile or discolored tooth and a sinus tract that may drain.
E – Edema (Swelling) (Acute Infection)
Swelling in the face or oral tissues is a hallmark of acute odontogenic infections.
S – Sinus Tract (Chronic Infection)
A chronic infection may form a sinus tract, leading to drainage of pus or fluid from the infected area.

How well did you know this?
1
Not at all
2
3
4
5
Perfectly
2
Q

Describe the causes of common oral pathological conditions in children.

A

“GODS”

G: Gingivostomatitis (Viral Infections) – Just as God provides healing for afflictions, viral infections like HSV-1 and Coxsackie viruses can afflict the mouth but require divine wisdom to treat.
O: Odontogenic Infections – These infections, entering the dental pulp, represent the spread of decay, akin to how sin can spread in our lives without treatment.
D: Divine Healing (Osteomyelitis) – Osteomyelitis, a bone infection from odontogenic sources, reflects how God’s divine healing can restore even the most affected areas, like bones from infection.
S: Soft Tissue Lesions – Like God’s ability to heal wounds, soft tissue lesions such as haemangiomas, cysts, and polyps require attention and restoration.

How well did you know this?
1
Not at all
2
3
4
5
Perfectly
3
Q

Osteomyelitis clinical presentation

A

Here’s an acronym for the description you provided:

“FIRE” to the bones

F: Fever – A common symptom of the infection, signaling the body’s response to the illness.
I: Infection – The underlying cause of pain, swelling, and the radiographic “moth-eaten” appearance in bone.
R: Radiographic Changes – The “moth-eaten” appearance on X-rays indicating severe bone involvement.
E: Edema (Swelling) – Swelling is another prominent symptom that accompanies the infection.

How well did you know this?
1
Not at all
2
3
4
5
Perfectly
4
Q

what is this? describe symptoms how do you tx it?

A

Primary Herpetic Gingivostomatitis: This condition causes swollen, painful gums (gingiva) and oral mucosa, along with small vesicles that become ulcers. The child may have fever, malaise, and difficulty eating or drinking.
V – Vesicles
Small fluid-filled blisters that appear on the gums and oral mucosa, which can rupture and become painful ulcers.
I – Inflammation
Swollen, red, and painful gums (gingiva) and mucosa, leading to discomfort and difficulty with oral function.
R – Rash (Ulcers)
The vesicles eventually break open and form ulcers, which are painful and contribute to difficulty eating and drinking.
U – Unwell
The child may feel generally unwell, with symptoms like fever, malaise, and irritability.
S – Swallowing Difficulty
Due to painful ulcers and swollen gums, children often have difficulty eating and drinking, leading to dehydration if not managed properly.

How well did you know this?
1
Not at all
2
3
4
5
Perfectly
5
Q

crazy fact abt the virus in primary herpetic gingivastomatitis

A

Caused by Herpes Simplex virus type 1 (HSV-1), can go to the trigeminal ganglion where it enters a latent state.
- 30-40% will develop recurrent herpes simplex infections that reappear at sites previously
infected

How well did you know this?
1
Not at all
2
3
4
5
Perfectly
6
Q

what is this?

A

H.E.R.P.E.S.
Caused by Herpes Simplex virus type 1 (HSV-1): After primary infection, the virus recedes via the sensory nerve intothe
trigeminal ganglion where it lies latent throughout the
individual’s lifetime
– Stimuli such as fever, sunlight, upper respiratory infection can reactivate virus

H: Hurtful blisters (painful)
E: Enclosed fluid (fluid-filled blisters)
R: Ring of discomfort (around the lips)
P: Preceded by tingling (tingling or burning sensation)
E: Exposed (commonly occurring on the lips)
S: Short-term outbreaks (recurring)

How well did you know this?
1
Not at all
2
3
4
5
Perfectly
7
Q

what is this?

A

Herpangina: Presents with fever, sore throat, and a cluster of small, shallow ulcers with an erythematous border in the back of the mouth (on the soft palate and tonsils).
S.O.R.E.
S – Sore Throat
A key symptom of Herpangina, where the child experiences pain or discomfort when swallowing.
O – Oropharyngeal Ulcers
A cluster of small, shallow ulcers appears in the back of the mouth, primarily on the soft palate and tonsils.
R – Red Border
The ulcers have an erythematous (red) border, distinguishing them from other types of oral lesions.
E – Erythema (Fever)
Accompanying fever and erythema (redness) in the throat and mouth, contributing to general malaise and discomfort.

How well did you know this?
1
Not at all
2
3
4
5
Perfectly
8
Q
A

Hand-Foot-Mouth Disease: Causes mouth ulcers and an erythematous rash on the hands, feet, and other areas. Symptoms also include fever and malaise.
F.E.V.E.R.
F – Fever
One of the first symptoms, leading to general malaise and discomfort.
E – Erythematous Rash
An erythematous (red) rash appears on the hands, feet, and sometimes other areas of the body.
V – Vesicular Lesions
Small, fluid-filled blisters or ulcers develop in the mouth, causing discomfort.
E – Exanthem
The rash that spreads to the hands, feet, and sometimes the buttocks or other areas.
R – Rash (Mouth and Skin)
The presence of mouth ulcers and a rash on the body is a hallmark of this disease.

How well did you know this?
1
Not at all
2
3
4
5
Perfectly
9
Q
A

H.A.E.M.A.N.G.I.O.M.A.S.

H: Hue of red to purple (smooth lesions)
A: At birth or shortly after (often present at birth)
E: Elevated (usually raised)
M: Mouth lesions (found in the mouth)
A: Abnormal blood vessels (vascular malformations)
N: Non-cancerous (benign)
G: Growing (may increase in size over time)
I: Infrequent symptoms (usually asymptomatic)
O: Often smooth (smooth surface)
M: Mild discomfort (generally painless)
A: Appearance-based diagnosis (diagnosed by visual inspection)
S: Surface changes (may change shape or color over time)

How well did you know this?
1
Not at all
2
3
4
5
Perfectly
10
Q
A

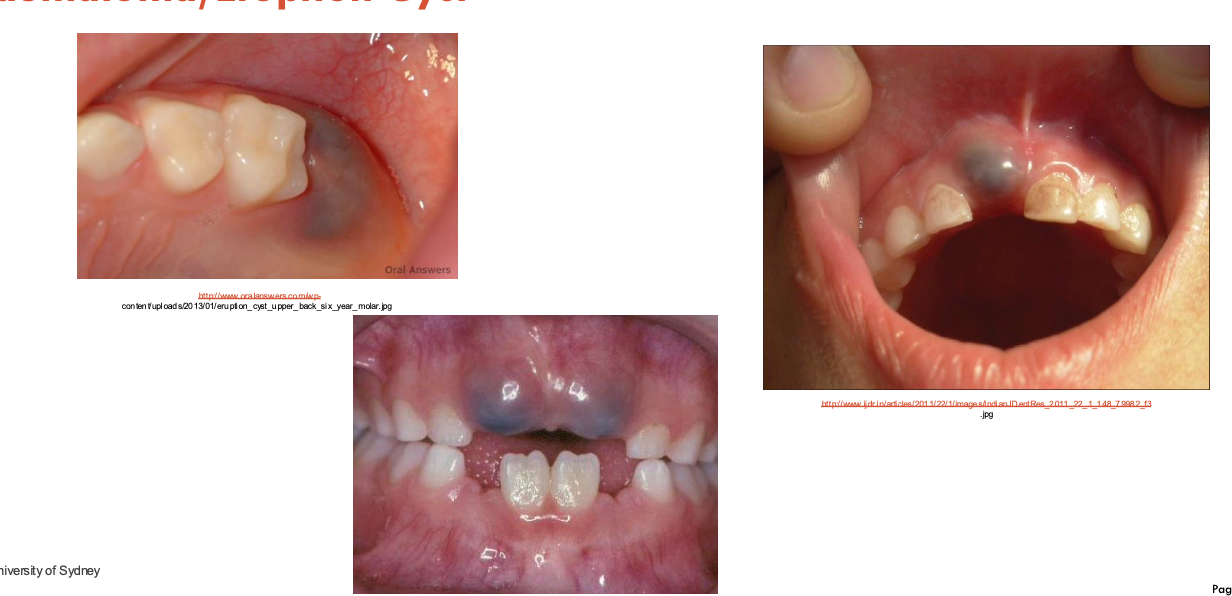
eruption cyst
B.L.U.E.

B: Bluish appearance (bluish cystic swellings)
L: Located near erupting teeth (area where a tooth is about to erupt)
U: Uncommon in upper jaw (common in the lower jaw)
E: Erupting teeth (associated with the eruption process)

How well did you know this?
1
Not at all
2
3
4
5
Perfectly
11
Q
A

Here’s an acronym for White Sponge Nevus based on its key characteristics:

W.H.I.T.E.

W: White or grey mucosa (mucosa appears white or grey)
H: Hereditary (familial, autosomal dominant condition)
I: Inherited (present in family history, frequency ~1 in 200,000)
T: Thickened, folded, spongy mucosa (mucosal texture)
E: Early childhood onset (appears in early childhood, sometimes at birth)

Generally painless, but the folds of extra tissue can promote bacterial growth
– Refer DO for diagnosis and management

How well did you know this?
1
Not at all
2
3
4
5
Perfectly
12
Q
A

: A condition with smooth, red patches on the tongue that can change over time, often with raised white borders.

How well did you know this?
1
Not at all
2
3
4
5
Perfectly
13
Q
A

.I.S.S.U.R.E.D.

F: Fissures (perpendicular to the lateral border)
I: Inflammation (food debris may cause inflammation)
S: Seen in Down Syndrome (commonly seen in children with Down Syndrome)
S: Split tongue (20% of plicated tongues may have geographic tongue)
U: Uncomfortable (can cause discomfort due to trapped food debris)
R: Residual bacteria (site for Candida colonization)
E: Easy to manage (tongue brushing recommended)
D: Debris accumulation (food debris may cause halitosis)

How well did you know this?
1
Not at all
2
3
4
5
Perfectly
14
Q
A

ere’s an acronym for Salivary Mucocele based on its key characteristics:

M.U.C.O.S.E.

M: Mucus leakage (mucous leaks into surrounding tissues)
U: Usually young people (commonly occurs in young individuals)
C: Caused by trauma (resulting from biting or a blow to the lip)
O: Occurs in lower lip (over 70% occur on the lower labial mucosa)
S: Superficial cyst (develops as an extravasating cyst)
E: Extraoral sites (can also occur on buccal mucosa and floor of the mouth)

How well did you know this?
1
Not at all
2
3
4
5
Perfectly
15
Q
A

R.A.N.U.L.A.

R: Raised swelling (smooth, soft tissue swelling)
A: Affected sublingual gland (originates from the sublingual or submandibular glands)
N: Near midline (located lateral to the midline)
U: Unusual color (often appears bluish)
L: Linked to trauma (caused by trauma to the salivary duct)
A: Affects floor of the mouth (found on the floor of the mouth)

How well did you know this?
1
Not at all
2
3
4
5
Perfectly
16
Q
A

epsteins pearls
“CYST”

C: Cystic Nodules – Small, cystic, keratin-filled nodules.
Y: Yielding to Time – They resolve spontaneously without treatment over a few weeks.
S: Site – Often seen on the roof of the palate (midpalatine raphe) or sometimes the mandibular ridge.
T: Trapped Epithelium – Caused by entrapped epithelium during palate development along the fusion line.

How well did you know this?
1
Not at all
2
3
4
5
Perfectly
17
Q
A

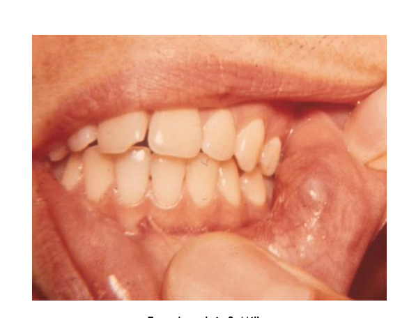
“BUMP”

B: Buccal Mucosa – The lesion is commonly found on the buccal mucosa at the occlusal level.
U: Unchanged Unless Traumatised – It is typically symptomless unless significantly traumatized.
M: Malpositioned Teeth – Associated with trauma, malpositioned teeth, sharp tooth edges, or biting habits.
P: Pink to Red – The color varies from pink to red depending on the vascularity of the lesion.

Management
- Documentation
- Referral to Dentist - Monitor
- Surgical excision
- Local - GA

How well did you know this?
1
Not at all
2
3
4
5
Perfectly
18
Q

when to refer Extraction of Deciduous Teeth

A

refer sasi tooth
S.A.S.I.

S: Supernumerary teeth (extra teeth, often seen between 11 and 21)
A: Ankylosed teeth (primary teeth blocking eruption of permanent teeth)
S: Submerged teeth (severely infraoccluded teeth, such as 85)
I: Impacted eruption (caused by congenitally missing teeth, such as 45 affecting 85

How well did you know this?
1
Not at all
2
3
4
5
Perfectly
19
Q
A
  1. Indications and Rationale for Extraction of Deciduous Teeth (IRET)
    IRET – Infections, Restore, Extraction, Trauma
    Infections (odontogenic infections, irreversible pulpitis, pulpal necrosis)
    Restore (hopeless prognosis, internal resorption, external resorption)
    Extraction due to severe resorption (ectopic eruption, retained roots)
    Trauma-related infection (alveolar abscess)
How well did you know this?
1
Not at all
2
3
4
5
Perfectly
20
Q
A
How well did you know this?
1
Not at all
2
3
4
5
Perfectly
21
Q

Consequences of Early Loss of Deciduous Teeth (MESIL)

A

MESIL – Midline, Eruption, Space, Incorrect sequence, Lack of guidance
Midline shift
Eruption delays or misalignment
Space loss from mesial drift
Incorrect eruption sequence
Lack of permanent tooth guidance

How well did you know this?
1
Not at all
2
3
4
5
Perfectly
22
Q
  1. Indications and Rationale for Extraction of Deciduous Teeth (IRET)
A

IRET – Infections, Restore, Extraction, Trauma
Infections (odontogenic infections, irreversible pulpitis, pulpal necrosis)
Restore (hopeless prognosis, internal resorption, external resorption)
Extraction due to severe resorption (ectopic eruption, retained roots)
Trauma-related infection (alveolar abscess)

E.X.O.D.U.S.

E: Eviction of Infection (odontogenic infections, irreversible pulpitis, pulpal necrosis)
X: Xchange for Healing (hopeless prognosis, internal/external resorption)
O: Opening for Restoration (extraction due to severe resorption, ectopic eruption, retained roots)
D: Divine Guidance (trauma-related infections, such as alveolar abscess)
U: Unification in Health (removal for long-term health, preventing further issues)
S: Salvation through Relief (providing relief from pain and further complications)

How well did you know this?
1
Not at all
2
3
4
5
Perfectly
23
Q
  1. Contraindications for Extraction of Deciduous Teeth (CHIC)
A

CHIC – Conditions, Heart, Infections, Cancer
Conditions like bleeding disorders (hemophilia, thrombocytopenia and uncontrolled asthma)
Heart conditions that risk infective endocarditis
Infections such as cellulitis or abscesses
Cancer treatments (chemotherapy/radiation, immunocompromised)

How well did you know this?
1
Not at all
2
3
4
5
Perfectly
24
Q

what is tx?

A
How well did you know this?
1
Not at all
2
3
4
5
Perfectly
25
4. Scope of Practice for Oral Health Therapists in Deciduous Teeth Extraction (CAREFUL)
Clinical assessment of indications/contraindications Assess medical history and pain Recognition of when referral is needed Extraction of non-surgical deciduous teeth Follow-up care and pain management Understanding limitations and scope of practice Legal considerations (informed consent, radiographs)
26
Contraindications of extraction for cardiac reasons include:
P.R.O.T.E.C.T. P: Prosthetic cardiac valve (including transcatheter-implanted prosthesis or homograft) R: Repaired defects (with residual defects at or near prosthetic patches or devices) O: Ongoing infective endocarditis (history of previous infective endocarditis) T: Troubling congenital heart defects (unrepaired cyanotic defects, palliative shunts, and conduits) E: Endothelialisation inhibition (defects that prevent proper endothelialisation at repair sites) C: Congential heart disease (with specific conditions) T: Treatment guidance (consult with the cardiologist for antibiotic prophylaxis if in doubt) This acronym, PROTECT, reflects the importance of safeguarding patients with these cardiac conditions during high-risk dental procedures.
27
1. Define dentinal hypersensitivity and identify factors contributing to dentinal hypersensitivity.
Here's an acronym for Dentinal Hypersensitivity based on the provided information: T.R.A.I.N.S. T: Transient pain (pain subsides when the stimulus is removed) R: Root exposure (due to gingival recession, aggressive brushing, periodontal therapy) A: Abrasion factors (abrasive toothpaste, attrition, abfraction, root caries) I: Inadequate hygiene (poor oral hygiene or orthodontic treatment) N: Noxious stimuli (thermal, mechanical, chemical, osmotic triggers) S: Sensitive diet (acidic foods and drinks contributing to sensitivity)
28
Define and discuss Classic recession, Stillman’s cleft, and McCall’s festoon.
G: Gingival recession (classic recession, retreat of facial gingiva, exposing CEJ) I: Irregular groove (Stillman’s cleft, groove or notch in the gingiva) R: Rolling gingiva (McCall’s festoon, thickening and rolling due to recession) Classic recession refers to the apical retreat of facial oral gingiva, typically caused by improper brushing or orthodontic treatment, leading to the exposure of the cementoenamel junction (CEJ). Stillman’s cleft is a groove or notch in the gingiva that can lead to pronounced recession. McCall’s festoon is a thickening and rolling of the gingiva due to recession, often seen after inflammation subsides.
29
Define dehiscence and fenestration.
D.E.F.I.N.E. D: Depletion of bone (Dehiscence, loss of bone covering a portion of the root) E: Exposed root surface (often at the CEJ due to bone loss) F: Fenestration (window-like defect in the bone) I: Involvement of mucosa (fenestration exposes root to the mucosa) N: Normally caused by trauma (both conditions can be caused by periodontal disease or traumatic procedures) E: Effects of orthodontics (both conditions can also result from orthodontic treatment or occlusal forces)
30
Differentiate: Primary Herpetic Gingivostomatitis, Necrotizing Gingivitis, and Necrotizing Ulcerative Periodontitis
Simplified Summary in Lay Terms with Mnemonic: Primary Herpetic Gingivostomatitis is a first-time cold sore infection in the mouth caused by HSV-1, showing painful ulcers, swollen gums, and fever; it’s treated with rest, hydration, and sometimes antiviral medicine like acyclovir. Necrotizing Gingivitis (NG) is a sudden gum infection from stress or poor hygiene, leading to red, swollen gums, ulcers, bad breath, and bleeding, treated with cleaning, antibiotics, and better oral care. Necrotizing Ulcerative Periodontitis (NUP) is a severe gum and bone infection often in people with weak immunity, causing tissue loss, exposed bone, and pain; it needs urgent cleaning, antibiotics, and treating overall health. Mnemonic: "Hot, Red, Dead Gums" H for Herpetic Gingivostomatitis (Hot sores, fever). R for Red Gums in NG (Stress and hygiene issues). D for Dead Tissue in NUP (Severe damage and exposed bone).
31
. Discuss the diagnosis and management of gingival recession, including classification.
Gingival recession is diagnosed by looking for signs like the gums moving down and exposing the tooth's root. Treatment depends on the severity, with options ranging from basic care and grafts for mild cases to more advanced surgery for severe loss of tissue or bone. C.L.I.M.B. C: Class I – Localized recession, no interdental loss, no bone loss (Conservative treatment, maintain oral hygiene, graft if needed) L: Limited to mucogingival junction, no bone or tissue loss (Class II: Non-surgical treatment, grafting if needed) I: Involves bone or soft tissue loss in interdental area (Class III: Surgical intervention such as grafts, flap surgery, orthodontic treatment) M: Major bone or soft tissue loss, malpositioned teeth, large gaps (Class IV: Advanced surgical treatments like bone grafting and implants)
32
Millers classificaition of gum recession
"I See Big Teeth" I = Class I – Intact papillae, no bone loss S = Class II – Surface recession, no tissue loss in interdental B = Class III – Bone loss, and may involve malpositioned teeth T = Class IV – Total loss of bone and soft tissue, tooth mobility
33
Explain Brännström's hydrodynamic theory of pain transmission.
Brännström's theory explains that stimuli, such as cold or pressure, cause fluid movement within the dentinal tubules of exposed dentin. This movement disturbs the odontoblastic processes at the base of the tubules, activating nerve endings and resulting in sharp pain. It is the most widely accepted theory for dentinal hypersensitivity.
34
Discuss the role of an OHT in managing dentinal hypersensitivity.
An Oral Health Therapist (OHT) plays a key role in diagnosing dentinal hypersensitivity, educating patients on proper brushing techniques, and recommending preventive measures, such as avoiding acidic foods and drinks. They may apply desensitizing agents, like fluoride varnishes, or use therapeutic interventions to seal open dentinal tubules and reduce pain. They also monitor patients’ oral health following treatments like scaling or periodontal therapy. D.E.S.I.G.N. D: Diagnosing dentinal hypersensitivity (identifying symptoms and causes) E: Educating patients (on proper brushing techniques and preventive care) S: Sealing dentinal tubules (using desensitizing agents like fluoride varnishes) I: Intervening therapeutically (applying treatments to reduce pain) G: Guiding preventive measures (avoiding acidic foods and drinks) N: Nurturing ongoing care (monitoring oral health after scaling or periodontal therapy)
35
8. Identify the active ingredients for currently marketed professional and patient-applied desensitizing agents.
P.S.A.R.S. P: Potassium nitrate (calms nerves to reduce sensitivity) S: Stannous fluoride (occludes dentinal tubules) A: Arginine (amino acid found in toothpastes) R: Reducing sensitivity (through agents like strontium chloride and glutaraldehyde) S: Sodium fluoride (used in professional varnishes, helps in desensitization) This PSARS acronym captures the key active ingredients and their functions in desensitizing agents. ther agents include strontium chloride, glutaraldehyde with HEMA, and hydroxyapatite, which help block tubule openings and reduce sensitivity.
36
Four examples of conditions or factors that can lead to reduced salivary flow (hyposalivation) are:
S.A.L.V.A. S: Systemic diseases (Sjögren’s syndrome, diabetes, rheumatoid arthritis impairing salivary glands) A: Antihypertensives, antidepressants, and antihistamines (medications causing dry mouth) L: Lack of hydration (dehydration from insufficient fluid intake or illness) V: Vomiting and diarrhea (illnesses causing fluid loss and reduced saliva production) A: Affected by radiation (radiation therapy damaging salivary glands)
37
Three barriers faced by antenatal care providers in promoting oral health are:
L.I.P. L: Lack of Oral Health Knowledge (limited training for antenatal care providers) I: Inadequate time (time constraints during antenatal visits) P: Perceived Low Priority (oral health seen as less critical compared to other health aspects)
38
The term "restorative staircase" refers to
The term "restorative staircase" refers to a stepwise approach in dental treatment planning that starts with the least invasive and simplest treatment options and progresses to more complex and invasive ones as needed. The concept emphasizes beginning with conservative treatments, such as remineralization or small fillings, and only advancing to more extensive procedures, like crowns or root canals, if the initial treatments do not sufficiently restore or preserve the tooth. This approach prioritizes preserving as much natural tooth structure as possible S.T.E.P.S. S: Start with conservative treatments (such as remineralization or small fillings) T: Targeting minimal invasiveness (begin with the least invasive procedures) E: Expanding to more complex procedures (e.g., crowns or root canals) if necessary P: Preserving natural tooth structure (prioritizing conservation of the tooth) S: Stepwise approach (progressing to more invasive treatments only when needed) This STEPS acronym emphasizes the gradual, conservative approach in restorative dental treatment planning.
39
Three factors that can affect the osseointegration of dental implants are:
B.O.S.S. B: Bone quality and density (poor bone quality or low density affecting implant stability) O: Overall health status (systemic conditions, diabetes, smoking, or medications affecting bone healing) S: Surgical technique (precise placement and minimal trauma to the bone during surgery) S: Stress on bone (excessive heat, improper angulation, or pressure damaging bone) The BOSS acronym highlights the key factors that influence implant osseointegration.
40
Three factors that can affect the osseointegration of dental implants are:
Here’s an acronym for the factors affecting implant osseointegration: B.O.S.S. B: Bone quality and density (poor bone quality or low density affecting implant stability) O: Overall health status (systemic conditions, diabetes, smoking, or medications affecting bone healing) S: Surgical technique (precise placement and minimal trauma to the bone during surgery) S: Stress on bone (excessive heat, improper angulation, or pressure damaging bone) The BOSS acronym highlights the key factors that influence implant osseointegration.
41
2. Explain the concept of osseointegration and its clinical importance in implant success.
Osseointegration is the process by which the bone fuses directly with the surface of the implant, creating a stable anchor for the restoration. This process is critical for implant success, as it ensures that the implant can withstand the forces of chewing and provide long-term function. If osseointegration fails, the implant can loosen, leading to failure of the restoration. S.T.A.B.L.E. S: Surface fusion (bone fuses directly with the surface of the implant) T: Table anchor (creates a stable anchor for the restoration) A: Allows function (ensures the implant can withstand chewing forces) B: Bone stability (critical for long-term function and success) L: Long-term success (essential for the implant to remain functional over time) E: Eliminates failure (prevents loosening and failure of the restoration)
42
How does peri-implant health differ from tooth health, and what factors influence it?
Peri-implant health refers to the health of the soft tissue surrounding an implant, while tooth health involves the periodontal ligament and surrounding gum tissue. Peri-implant health can be influenced by factors such as oral hygiene, implant surface design, and the presence of inflammation. Unlike natural teeth, implants do not have a periodontal ligament, making them more susceptible to peri-implant mucositis and peri-implantitis if not properly maintained. S.O.U.L. S: Soft tissue health (like the body’s protection, the soft tissue surrounds the implant as a shield) O: Organic care (oral hygiene and maintenance, mirroring stewardship of the body) U: Union with the implant (implants lack a ligament, highlighting the need for care and faithfulness) L: Living integrity (teeth and gums, like a foundation, support lasting function and health)
43
What are the key aspects of peri-implant maintenance treatment (PIMT) and its role in preventing complications?
Peri-implant maintenance treatment (PIMT) includes regular cleaning, monitoring for signs of inflammation, and using specialized instruments to avoid damage to the implant surface. Regular recall visits (typically every 3-6 months) are crucial for preventing peri-implant diseases like mucositis and peri-implantitis. Effective PIMT helps to ensure long-term implant success and prevents complications such as bone loss. C: Cleaning (regular cleaning to maintain peri-implant health) A: Assessing inflammation (monitoring for signs of inflammation to prevent complications) R: Recall visits (regular visits every 3-6 months for monitoring and prevention) E: Ensuring success (effective PIMT ensures long-term implant health and prevents bone loss)
44
What are the clinical signs and risk factors associated with peri-implant mucositis, and how can it be managed?
Peri-implant mucositis is characterized by redness, swelling, bleeding on probing, but no bone loss. It occurs due to plaque accumulation around the implant. Risk factors include poor oral hygiene, smoking, and a history of periodontal disease. Management involves improving oral hygiene, mechanical debridement, and antiseptic treatments to prevent progression to peri-implantitis. C.L.E.A.N. C: Cleansing (improving hygiene through proper oral care) L: Localized debridement (mechanical debridement to remove plaque and debris) E: Elimination of bacteria (using antiseptic treatments to prevent infection) A: Adhering to routine (consistent maintenance to ensure ongoing cleanliness) N: Normalizing health (restoring and maintaining healthy peri-implant tissue) The CLEAN acronym emphasizes the key components of managing peri-implant health effectively.
45
Describe the diagnostic differences between peri-implant mucositis and peri-implantitis, and why they are important for treatment planning.
Peri-implant mucositis involves inflammation without bone loss, whereas peri-implantitis is characterized by inflammation with bone loss beyond the initial remodeling. Identifying the stage of peri-implant disease is crucial for treatment planning, as peri-implantitis requires more intensive management, such as decontamination of the implant surface and possibly surgical intervention, whereas mucositis can typically be managed with non-surgical methods. I.D.E.A.L. I: Inflammation (common to both mucositis and peri-implantitis) D: Differentiating stages (mucositis has no bone loss, peri-implantitis involves bone loss) E: Essential diagnosis (crucial to identify the stage for proper treatment planning) A: Appropriate management (mucositis can be managed non-surgically, peri-implantitis requires intensive treatment) L: Long-term health (effective treatment ensures the longevity of the implant and surrounding tissues)
46
What role does osseointegration play in implant placement, and what factors can affect its success?
Osseointegration is crucial for the long-term success of an implant, as it ensures the implant is securely integrated into the bone. Factors affecting osseointegration include the material of the implant, the quality and quantity of the patient’s bone, the surgical technique, and the patient’s overall health (e.g., diabetes or osteoporosis). Any disruption to osseointegration can result in implant failure. I: Implanted material (the material of the implant affecting integration) N: Necessary bone quality (the quality and quantity of the patient’s bone) T: Technique precision (surgical technique’s role in osseointegration) E: Effects of health conditions (diabetes, osteoporosis affecting integration) G: Guaranteeing stability (osseointegration ensures secure implant stability) R: Resulting failure (disruption in integration leading to implant failure) A: Aligning with bone (implant securely integrates into the bone) L: Long-term success (successful osseointegration leads to implant durability)
47
How do you prevent and manage peri-implantitis in a patient with a history of periodontal disease?
Preventing peri-implantitis in patients with a history of periodontal disease involves thorough initial assessment, ensuring adequate bone and soft tissue health before implant placement, and maintaining meticulous oral hygiene. Regular recall visits and professional maintenance are essential. If peri-implantitis occurs, non-surgical treatments like debridement and antiseptic use are recommended, with more invasive treatments necessary for advanced cases. P.R.O.T.E.C.T. P: Prevention through assessment (thorough initial evaluation of bone and soft tissue health) R: Regular oral hygiene (maintaining meticulous oral hygiene to prevent peri-implantitis) O: Ongoing maintenance (regular recall visits and professional cleaning) T: Treatment for early stages (non-surgical debridement and antiseptic treatments) E: Ensuring long-term health (maintaining proper hygiene and professional follow-ups) C: Comprehensive care (invasive treatments for advanced cases, like flap surgery if needed) T: Timely intervention (early diagnosis and management to prevent progression)
48
What are the clinical implications of medical conditions that may require special precautions prior to or during dental treatment?
Restorative treatment planning for adult patients must consider factors like medical history (e.g., systemic conditions, allergies, medications), dental history (previous treatments, risk factors), and social factors (oral hygiene habits, diet, lifestyle). Aging, worn dentitions, increased edentulism, and prosthodontic needs are also key considerations, along with ensuring treatment addresses functional and aesthetic concerns in a holistic way. DASH Dental history (previous treatments, risk factors) Aging (worn dentitions, increased edentulism) Social factors (oral hygiene habits, diet, lifestyle) Health (medical history, systemic conditions, allergies, medications)
49
Understand the principle concepts of the phases of care framework for treatment planning in dentistry:
Always Carefully Correct Dental Maintenance SYSTEMIC Always = Acute Phase (address ASAP concerns) Carefully = Control Phase (stabilize dental health) Correct = Definitive Phase (corrective or reparative care) Dental = Definitive Phase (referrals to specialists as needed) Maintenance = Maintenance Phase (ongoing care and prevention) Systemic Phase focuses on reviewing medical, dental, and social histories to identify factors that may influence care. Acute Phase addresses urgent issues such as pain or dental trauma. Control Phase involves stabilizing oral health by managing disease and risk factors. Definitive Phase focuses on corrective treatments and referrals as necessary. Maintenance Phase ensures ongoing care and prevention through recall visits and reinforcement of oral health practices. -- Systemic Phase: "Seek wisdom and understanding" (Proverbs 4:7) by considering the whole person’s health and history before making decisions. Acute Phase: "Heal the brokenhearted" (Psalm 147:3) by addressing urgent pain and issues with immediate care. Control Phase: "Guard your heart" (Proverbs 4:23) by stabilizing health and preventing further harm through careful management. Definitive Phase: "Two are better than one" (Ecclesiastes 4:9) by providing corrective treatment or referring to experts for specialized care. Maintenance Phase: "Encourage one another" (1 Thessalonians 5:11) by maintaining care and supporting long-term health with regular check-ups.
50
Rationalise and implement evidence-based approaches when formulating a patient’s individual treatment plan:
Evidence-based approaches involve utilizing current research and clinical guidelines to inform treatment decisions. Critical reasoning is applied to tailor the treatment plan to the patient's unique medical, dental, and social context. This includes selecting interventions that have proven effectiveness, such as using fluoride to prevent caries or applying periodontal therapies based on the patient’s risk profile and health status.
51
Develop sequential, holistic and patient-centred treatment plans:
A patient-centred treatment plan is developed by considering the patient’s preferences, values, and individual needs while ensuring all aspects of their oral health are addressed. The treatment plan should be sequential, starting with urgent care needs in the acute phase, progressing through disease control and restorative treatments, and concluding with ongoing maintenance to prevent further issues. Holistic planning ensures all factors, including physical, emotional, and financial aspects, are considered to provide comprehensive and personalized care. patient-centred care.
52
phases of care
Always Carefully Correct Dental Maintenance SYSTEMIC Always = Acute Phase (address ASAP concerns) Carefully = Control Phase (stabilize dental health) Correct = Definitive Phase (corrective or reparative care) Dental = Definitive Phase (referrals to specialists as needed) Maintenance = Maintenance Phase (ongoing care and prevention)
53
What factors must the treatment planning process for adult patients, consider?
CAPTURE Complex medical histories Aging/worn dentitions (Loss of vertical dimension & cracks) Prosthodontic considerations THIRD molars Underlying endodontic considerations Rates of edentulism and increased edentulism Endodontic and periodontal considerations CAPTURE emphasizes the comprehensive nature of adult treatment planning, ensuring that all aspects of the patient's health and dental needs are addressed. WHY?? Complex medical histories: Biblical reasoning: "For the Lord gives wisdom; from his mouth come knowledge and understanding" (Proverbs 2:6). God calls us to be wise and diligent in all aspects of care. Understanding complex medical histories helps us serve patients well and honor their overall health, aligning our work with His wisdom. Aging/worn dentitions (Loss of vertical dimension & cracks): Biblical reasoning: "Even to your old age and gray hairs, I am he, I am he who will sustain you" (Isaiah 46:4). God cares for us throughout all stages of life. As we age, our bodies and teeth change, and He calls us to care for the elderly with the same compassion and diligence He offers to us at every age. Prosthodontic considerations: Biblical reasoning: "So God created mankind in his own image" (Genesis 1:27). Restoring function and beauty through prosthodontics reflects God’s creativity in designing us. In caring for others’ dental needs, we are called to help restore their dignity and the wholeness of their image. THIRD molars: Biblical reasoning: "There is a time for everything, and a season for every activity under the heavens" (Ecclesiastes 3:1). God has designed times and seasons for all things. Understanding when to address third molars ensures that we align with the right timing in care and treatment, guided by wisdom and discernment. Underlying endodontic considerations: Biblical reasoning: "Let all things be done decently and in order" (1 Corinthians 14:40). God desires order and restoration. Addressing endodontic issues, like root infections or damage, brings healing and order to a patient’s dental health, aligning with God’s will to restore what is broken. Rates of edentulism and increased edentulism: Biblical reasoning: "The plans of the diligent lead surely to abundance" (Proverbs 21:5). God calls us to be proactive, caring for others’ needs before they become overwhelming. By addressing edentulism early, we prevent further decline and provide the care necessary to restore health and abundance. Endodontic and periodontal considerations: Biblical reasoning: "He heals the brokenhearted and binds up their wounds" (Psalm 147:3). Just as God heals us, He calls us to heal and restore, especially the foundations of dental health, such as endodontics and periodontics. Caring for these foundational needs aligns with God’s desire for us to heal and strengthen what is broken, ensuring full restoration.
54
The Restorative Staircase
MICE MO (Class I and II restorations) Intermediate (MOD - Class III and IV restorations) Complex (pins, cusp capping, indirect restorations, Endo & crown) Extractions and possible replacement MICE helps remember the stages of restorative treatment, moving from basic restorations to more complex and restorative procedures.
55
Comprehensive oral examination will involve??
CHAIR-P Comprehensive oral examination History assessment (Patient Histories) Assessment of Oral Health Status Individual Tailored Risk Management Plan Risk assessment Phases of care framework Comprehensive Oral Examination Clinical Importance: Ensures a full understanding of the patient’s oral health, guiding accurate diagnosis and treatment. Message from God: "Be diligent to know the state of your flocks" (Proverbs 27:23) – highlights the importance of thorough examination for effective care. History Assessment (Patient Histories) Clinical Importance: Identifies risks and underlying conditions, influencing treatment decisions. Message from God: "The plans of the diligent lead surely to abundance" (Proverbs 21:5) – emphasizes careful planning for better outcomes. Assessment of Oral Health Status Clinical Importance: Identifies current oral conditions, enabling targeted interventions. Message from God: "Guard your heart, for everything you do flows from it" (Proverbs 4:23) – stresses the importance of protecting oral health as the foundation of overall health. Individual Tailored Risk Management Plan Clinical Importance: Customizes care based on the patient's unique needs, reducing risks and complications. Message from God: "I know the plans I have for you" (Jeremiah 29:11) – highlights the value of personalized care for better health outcomes. Risk Assessment Clinical Importance: Prevents complications by identifying and managing potential risks. Message from God: "The prudent sees danger and hides himself" (Proverbs 22:3) – underscores the importance of anticipating and addressing risks. Phases of Care Framework Clinical Importance: Ensures organized, step-by-step care for optimal treatment and outcomes. Message from God: "Let all things be done decently and in order" (1 Corinthians 14:40) – advocates for structured care to ensure effective patient treatment.
56
Social History will involving asking abt? why do we need it?
SHADFOR Smoking status History (Personal History) Alcohol consumption Dietary Habits Fluorides Oral Hygiene Practices Recreational drug use Why? BRAD Build an individual risk profile Recognize factors impacting appointment attendance Assess patient's needs Determine risk factors and barriers
57
Name all components considered for an Assessment of Oral Health Status
SCOPE-IE Saliva (Saliva) Care (Immediate care assessment) Orthodontic assessment (Orthodontic assessment) Periodontal screening (Periodontal screening) Extraoral (Head and Neck) Intraoral (Oral mucosa) Endodontic considerations (Endodontic considerations)
58
Types of dx
Here’s a simplified explanation of each type of diagnosis: Clinical Diagnosis: This is the diagnosis made based on the patient’s symptoms, physical exam, and history. For example, if a patient has a toothache, the dentist may identify the issue just by examining the tooth. Pathological Diagnosis: This diagnosis is based on lab tests or samples (like blood tests or tissue biopsies) to find out if there’s a disease, like cancer or infection, affecting the body. Direct Diagnosis: This type of diagnosis is made when a clear cause of the symptoms is identified right away, such as a cavity seen directly on an X-ray. Provisional (Working) Diagnosis: A provisional diagnosis is an early, temporary diagnosis that the dentist uses while waiting for more tests or information. It’s like a guess based on the early signs. Deductive Diagnosis: This approach uses reasoning to narrow down possible causes. For example, if a patient has swelling and pain, the dentist uses logic to figure out what might be causing the issue. Differential Diagnosis: This is the process of considering several possible causes for a patient’s symptoms and then ruling them out one by one. It's like a process of elimination. Diagnosis by Exclusion: This diagnosis is made when other possible conditions are ruled out, and the remaining condition is identified. For example, if all other causes of pain are excluded, the dentist might determine it’s due to an infection. Provocative Diagnosis: This diagnosis is made by triggering or testing certain symptoms to see how the body reacts. For example, a dentist might apply pressure to a tooth to see if it causes pain, which helps identify the problem. Diagnosis Made Only by a Response to Treatment: This diagnosis is confirmed only after the patient responds to a treatment. For example, if a patient's pain goes away after treatment, it helps confirm the diagnosis was correct.
59
60
systemic considerations
Here’s an alternative acronym: ARMIS Allergies (any allergies?) Recent injuries (recent injuries?) Medications (oral and systemic side effects, drug interactions) Increased risk (of bleeding, perioperative infection, medical emergencies) Social history (relevant aspects impacting care) ARMIS helps to remember the key factors that impact treatment planning during the systemic phase of care.
61
acute phase considerations
CARE Complaints (Address the chief complaint or urgent care needs) Assessment (Carefully consider symptoms and concerns to form a diagnosis) Recommendation (Stabilize, treat, or refer as necessary) Emergency (Provide immediate care for pain, trauma, or aesthetic concerns) CARE helps remember the key steps in addressing urgent patient needs and ensuring appropriate treatment or referral.
62
control phase considerations
STEPS Stabilize (Achieve a reduction of oral disease and stabilize dental health) Targeted plan (Create a tailored preventive and corrective treatment plan) Etiological risk factors (Identify risk factors and address underlying causes) Practitioners (Involve various dental, medical, and allied health professionals) Strategies (Consider periodontal, restorative, endodontic, exodontic, prosthodontic, and preventive care)
63
definitive phase considerations
CURE Corrective care (Focus on corrective or reparative treatments) Understanding (Reassess the patient’s needs to determine further care) Referral (Refer to specialized dental and health professionals as needed) Expert involvement (Include other health professionals such as physiotherapists, speech pathologists, etc.) CURE captures the essence of the Definitive Phase, focusing on correcting issues, reassessing needs, and involving experts for comprehensive care.
64
Maintainence phase
CARE Continued support (Focused on supportive therapy to maintain oral health) Appropriate recall (Establish an appropriate recall period for future visits) Reinforcement (Reinforce oral health prevention during visits) Encouragement (Remotivate patients to maintain healthy habits) CARE emphasizes the ongoing support and prevention in the Maintenance Phase, ensuring patients maintain their oral health through regular check-ups and encouragement.
65
show example of phases of care tx plan
66
1. Discuss the 3 different types of restorative margin placements.
Here’s an acronym for the characteristics of each margin type: Supragingival margin: This margin is located above the gingival line and does not directly impact the periodontium. It is often used in areas where aesthetics are less of a concern. The finishing is easier compared to other margin types, and it generally has the least impact on the surrounding gum tissue. It's ideal when aesthetics are not critical and provides a simpler approach. Equigingival margin: This margin is positioned at the same level as the gingival margin. It is often used when the supragingival margin doesn't meet aesthetic needs. With newer materials, there is minimal impact on the periodontium, and the finishing is easier than subgingival margins. It is used when a supragingival margin would be insufficient for aesthetic purposes but still maintains good gum health. Subgingival margin: This margin is placed below the gingival margin, making it harder to access for finishing procedures. While necessary for some restorations, such as when there's a need for contour alterations or to hide the tooth-restoration interface, it can violate the biologic width if placed too far below the gingiva, leading to potential periodontal complications like bone loss or gingival recession. S.E.S.T. S: Simplicity (Supragingival: above the gingiva, easy finishing, minimal impact on gums) E: Esthetics (Equigingival: at the gingiva level, minimal periodontium impact, used when aesthetics are needed) S: Sensitivity (Subgingival: below the gingiva, harder to access, potential for periodontal issues like bone loss if not placed correctly) T: Tolerance (Supragingival and Equigingival have less risk of violating biological width compared to subgingival)
67
Define the terms biologic width, biologic zone, and the dentogingival complex.
The biologic width is the space between the gum and the bone, and it needs to be kept intact to protect your gums and prevent problems. The dentogingival complex includes this space along with the tissue that attaches the tooth to the gum, ensuring everything stays healthy and in place. Biologic width: This refers to the distance from the base of the gingival sulcus or pocket to the alveolar bone, typically around 2.04mm. It is essential to maintain this space to prevent any damage to the periodontium and avoid periodontal issues. Biologic zone: This refers to the connective tissue attachment, junctional epithelium, and the sulcus apical to the restored margin. It is the protective area between the tooth and the surrounding gingival tissue. Dentogingival complex: This term refers to the full measurement from the alveolar crest to the gingival margin, encompassing the biologic width and the connective tissue attachment. The dentogingival complex includes the biologic width and zone, ensuring the integrity and health of the periodontium. AIM" A: Alveolar Bone to Sulcus (Biologic Width) – This refers to the distance from the base of the gingival sulcus or pocket to the alveolar bone (typically around 2.04mm). It's the space you want to maintain to avoid periodontal issues. I: Integrity of Gingiva (Biologic Zone) – This is the connective tissue attachment, junctional epithelium, and the sulcus apical to the restored margin, forming a protective barrier between the tooth and gingiva. M: Measure from Crest to Margin (Dentogingival Complex) – This is the full measurement from the alveolar crest to the gingival margin, encompassing both biologic width and the biologic zone, ensuring periodontal health. Mnemonic: "AIM for healthy gums!" This acronym helps you remember the essential components—A for the alveolar bone distance, I for the integrity of gingiva, and M for the complete measurement from crest to margin.
68
3. Discuss the depth at which it is considered safe to place restorative margins subgingivally.
The ideal depth for placing restorative margins subgingivally is at least 2.5mm from the alveolar crest to avoid impinging on the biologic width. If the sulcus is shallow (1.0-1.5mm), it is recommended that the margin be placed no more than 0.5mm subgingivally to avoid causing recession. In deeper sulcus cases, the margin can be placed further below the gingival crest, but the risk of recession increases with the depth of the sulcus. Probing depths can help estimate how deep it’s safe to place the restoration.
69
. Identify the two potential periodontal responses to restorative margins that violate the biologic width.
Bone loss: If restorative margins violate the biologic width by being placed too deep, the body’s natural response is bone loss as the gingival attachment is disturbed. This can lead to a loss of supporting bone around the tooth. Gingival recession: The other response is gingival recession, where the gingival tissue pulls away from the tooth, exposing the root. This can cause aesthetic concerns and compromise periodontal health, making the tooth more susceptible to sensitivity and decay.
70
Discuss how marginal fit, contour, and subgingival restorative debris can affect the periodontal response.
Marginal Fit: The more a filling or crown fits poorly, the more likely it is to irritate your gums. Gaps around the filling can trap plaque, which can make your gums sore and inflamed. Contour: The shape of a filling or crown can affect how easily you can clean your teeth, the space between your teeth, and whether food gets stuck. The best shape helps you clean your teeth well, supports healthy gums, and looks natural. But if the filling or crown is too big or bulky, it can trap plaque, which can cause gum irritation and inflammation. The fit of a dental restoration is important to prevent plaque buildup and gum irritation, which can lead to gum disease. It's also important to ensure the restoration isn't too bulky, and all materials are removed from beneath the gums to keep the area clean and promote healing. Marginal fit: The fit of the restoration margin plays a crucial role in periodontal health. If the margin is not well-sealed, plaque and bacteria can accumulate, leading to gingival inflammation and increased risk of periodontal disease. Proper marginal fit reduces the risk of plaque retention and ensures better gum health. Contour: The contour of the restoration is important for access to oral hygiene. An over-contoured restoration (e.g., a bulky crown) can cause plaque accumulation, leading to gingival inflammation. The ideal contour allows for easy plaque removal and a natural gingival form, promoting better periodontal health. Subgingival restorative debris: Any debris left beneath the gingival margin after a restoration procedure (such as retraction cord, impression material, provisional material, or cement) can irritate the gums and interfere with healing. It's essential to ensure that all foreign materials are removed to avoid inflammation or infection of the surrounding tissues. Here’s an acronym for the Marginal Fit, Contour, and Subgingival Restorative Debris: F.I.T.T. F: Fit of restoration margin (a well-sealed margin prevents plaque accumulation, reducing the risk of gingival inflammation and periodontal disease) I: Ideal contour (restoration contour should allow for proper plaque removal and a natural gingival form, avoiding over-contouring that leads to plaque buildup) T: Thorough cleaning (removal of subgingival restorative debris such as retraction cord, impression material, and cement to avoid irritation and promote healing) T: Tissue protection (ensuring good marginal fit and contour protects the gum tissues and promotes periodontal health)
71
Discuss interproximal embrasure, pontic, and occlusal considerations related to restorations and periodontal health.
**The fake tooth (pontic) should allow normal chewing without stressing the supporting teeth. Occlusal problems can lead to gum disease and bone loss, so treatment involves addressing inflammation first and then restoring tooth function.** The space between teeth should be shaped to allow the gums to fill properly and prevent food traps, which helps with plaque removal and healthy gums. When replacing missing teeth with a pontic or adjusting bite forces, it's important to ensure the right fit to avoid gum problems, bone loss, and ensure proper oral health. 7. 6. Discuss interproximal embrasure, pontic, and occlusal considerations related to restorations and periodontal health. Interproximal embrasures: These spaces should be shaped to allow the gingival papillae to fill the space properly without impingement. An ideal embrasure space allows for good plaque removal and maintains healthy tissue. If the space is too large, it can serve as a food trap, leading to plaque accumulation and possible periodontal disease. Pontic considerations: A pontic is a prosthetic tooth that replaces a missing tooth in a dental bridge. It needs to provide a functional occlusal surface while not overloading the abutment teeth. The shape of the pontic is important for preventing plaque accumulation and promoting good oral hygiene. A smooth pontic surface leads to a favorable biologic response. Occlusal considerations: Occlusal trauma can contribute to periodontal disease by disrupting normal force distribution and causing atrophy of periodontal tissues. When teeth are lost, occlusal forces are altered, leading to bone loss. Restoring proper occlusion with restorative or prosthetic solutions is essential for preventing further damage and maintaining the health of the periodontium. "SPO" S: Shaped for Health (Interproximal Embrasures) – The space between teeth should be shaped to allow the gingival papillae to fill properly, preventing impingement. This ensures good plaque removal and maintains healthy tissue. P: Proper Function (Pontic Considerations) – A pontic is a prosthetic tooth that replaces a missing one. It must provide a functional occlusal surface without overloading the abutment teeth, while maintaining plaque-free surfaces for good oral hygiene. O: Optimal Occlusion (Occlusal Considerations) – Occlusal trauma can lead to periodontal disease by disrupting the distribution of forces. Proper occlusion is crucial for preventing further tissue atrophy, bone loss, and maintaining periodontal health.
72
1. Define Hepatitis and HIV.
Hepatitis is when the liver becomes inflamed due to viruses (A-E) that infect the liver, causing damage as the body tries to fight off the virus. HIV is a virus that weakens the immune system by attacking specific cells, and if not treated, it can lead to AIDS, which makes the body more vulnerable to infections, cancers, and other health problems.
73
2. Discuss the aetiology and general categories of Hepatitis.
Hepatitis is caused by five viruses (A-E), each affecting the liver differently: Hepatitis A is spread through contaminated food and causes short-term illness; vaccine available. Hepatitis B spreads through blood and fluids, can cause long-term liver damage; vaccine available. Hepatitis C is spread through blood, may cause chronic liver issues; no vaccine, but treatable with antivirals. Hepatitis D only occurs with Hepatitis B and spreads through blood; rare in Australia. Hepatitis E spreads through contaminated food and causes short-term illness; no vaccine.
74
3. Discuss the aetiology of HIV.
HIV is caused by a retrovirus that attacks CD4 T-cells, which are crucial for the immune response. The virus replicates inside the host's body, impairing the immune system and increasing vulnerability to infections and certain cancers. There are two main types of HIV: HIV-1 (most common globally) HIV-2 (less common, primarily in West Africa)
75
Discuss the medical treatment and dental management of patients with Hepatitis C and HIV.
Hepatitis C: Treatment with antiviral drugs like Epclusa® and Maviret® can cure Hepatitis C in 95-99% of cases. Dental care focuses on preventing dry mouth, cavities, and fungal infections, with possible saliva tests and fluoride treatments. **SCDC** Saliva testing Candidiasis (fungal infections) Dental caries (cavities) Chronic xerostomia (dry mouth) HIV: HIV is treated with a combination of antiretroviral drugs, and regular tests monitor its progress. Dental care includes managing oral issues like gum disease and fungal infections, emphasizing good oral hygiene and fluoride use. **HFC ** Hygiene (Good oral hygiene) Fluoride applications Candidiasis managemen
76
5. List and describe the oral manifestations of undiagnosed and untreated Hepatitis C and HIV.
Hepatitis C: Patients may experience dry mouth (xerostomia), dental caries, altered taste, burning sensation in the mouth, candidiasis, halitosis, and difficulty chewing and swallowing. **CHART ** Candidiasis (fungal infections) Halitosis (bad breath) Altered taste Recurrent burning sensation in the mouth Tooth decay (Dental caries) HIV: Oral manifestations include fungal infections (e.g., candidiasis), bacterial infections (e.g., necrotizing ulcerative gingivitis and periodontitis), viral infections (e.g., herpes simplex, human papillomavirus), and oral neoplasms (e.g., Kaposi’s sarcoma). The presence of these conditions is often linked to a low CD4 count. **FLOUR ** Fungal infections (e.g., candidiasis) Low CD4 count (linked to oral issues) Oral neoplasms (e.g., Kaposi’s sarcoma) Ulcerative gingivitis (necrotizing periodontitis) Rashes (viral infections like herpes simplex, HPV)
77
Identify the different HIV antiviral medical agent classes and their mechanisms of action.
HIV antiviral medications work by targeting different stages of the virus’s life cycle: they prevent the virus from entering cells, stop its replication, mimic DNA to halt replication, prevent integration into DNA, and block the virus from maturing. The PInT-PE acronym helps remember these actions: Prevent entry, Inhibit replication, Nucleoside mimicry, Prevent integration, and Enzyme blocking.
78
7. Identify and discuss the current Hepatitis C medications.
Current Hepatitis C medications, such as Epclusa, Maviret, Harvoni, Zepatier, and VOSEVI, are direct-acting antivirals (DAAs) that target different stages of the virus’s life cycle. These medications are prescribed based on the virus's genotype and liver condition, with cure rates of 95-99%.
79
8. Discuss the legal situations of HIV and Hepatitis C in the clinic.
In Australia, it is illegal to discriminate against patients based on their HIV or Hepatitis C status. Patients are not required by law to disclose their status unless a needle-stick injury occurs. If a healthcare worker is exposed to a blood-borne virus (BBV), the patient is legally obliged to disclose their status.
80
. Identify what HIV “PeP” is and how it can be accessed.
Post-exposure Prophylaxis (PeP) is a 28-day course of HIV medications taken after possible exposure to reduce the risk of infection, and it must be started within 72 hours. In Australia, PeP can be accessed through hospitals, GPs, or a 24-hour hotline (1800 737 669).
81
10. Discuss what “PreP” is and what it is used for.
Pre-exposure Prophylaxis (PrEP) is a daily medication (e.g., Truvada 200 mg/300 mg) taken by HIV-negative individuals to reduce the risk of HIV infection, primarily against HIV-1. In Australia, PrEP is available through the PBS at a cost of $7 per script for concessional patients.
82
Types of rinses in market
C: Chlorhexidine (CHX) – The gold standard for anti-plaque and anti-gingivitis. E: Essential Oils – Found in products like Listerine, effective against plaque and gingivitis. S: Cetylpyridinium Chloride (CPC) – A less effective but commonly used quaternary ammonium compound. T: Tea Tree Oil – A natural antimicrobial mouth rinse with limited clinical evidence.
83
Antiseptics vs. Antibiotics differences?
Antiseptics stop the growth of germs (bacteria, fungi, viruses) without necessarily killing them and are used locally. They work in multiple ways, reducing resistance. Antibiotics specifically target and kill bacteria or stop their growth, either locally or systemically, by attacking their internal structures.
84
Mouth rinses today application
Plaque-control – prevention of gingivitis and periodontitis  Fluoride-based – caries prevention & control  Potassium-based – control of dentine hypersensitivity  Dry mouth control agents  Breath-freshening agents, tooth whitening agents, etc.
85
Ideal mouth rinse should:
P.L.A.C.E.T.S. P: Plaque control – Effective in plaque inhibition and preventing gingivitis. L: Low interaction – Does not interfere with toothpaste ingredients. A: Acceptable taste – Pleasant taste for patient compliance. C: Chemical control – Controls plaque chemically. E: Effective substantivity – Stays on teeth long enough to work. T: Tolerable – No adverse effects. S: Safe (Non-toxic) – Does not cause harm or toxicity.
86
What is the step towards a more sophisticated holistic approach to oral prophylaxis?
: The step involves combining mechanical plaque (biofilm) control with chemical plaque control to disrupt biofilm, expose bacteria, and prevent bacterial growth as an adjunct to mechanical plaque control.
87
What is Chlorhexidine (CHX) and how is it used?
Chlorhexidine (CHX) is a widely used product in dental care, medicine, and disinfectants, and can also be found in hygiene and beauty products. It’s a strong chemical that interacts with toothpaste ingredients like SLS. CHX works best in a salt form called digluconate, which dissolves easily in water, and it’s available in both alcohol and alcohol-free versions.
88
What is the spectrum and action of Chlorhexidine (CHX)?
Chlorhexidine is effective against a wide range of harmful germs, including certain bacteria (both Gram-positive and some Gram-negative) and fungi like Candida albicans. It's especially active against bacteria that cause gum disease, such as P. gingivalis, A. actinomycetemcomitans, and F. nucleatum. When used in higher concentrations (0.12% or 0.2%), it quickly kills bacteria and then prevents their growth for a longer time. It also helps reduce plaque and inflammation in the mouth. B: Broad spectrum – Effective against many types of bacteria and fungi. F: Fungi – Moderately effective against Candida albicans. G: Gram-positive bacteria – Strong activity against these types of bacteria. P: Periodontal pathogens – Targets bacteria like P. gingivalis, A. actinomycetemcomitans, and F. nucleatum. A: Anti-plaque and anti-inflammatory – Helps reduce plaque and inflammation.
89
What happens at low concentrations of Chlorhexidine (CHX) and how does it work?
A: At low concentrations (0.05% to 0.06%), Chlorhexidine prevents bacteria from growing without killing them. It reduces plaque by affecting the bacteria's cell walls, causing them to release potassium and phosphorus, which disrupts their normal function.
90
How does Chlorhexidine (CHX) work on biofilm?
Chlorhexidine prevents new plaque from forming by blocking proteins (AP) in saliva from sticking to teeth. It also stops bacteria from attaching to existing plaque and helps break it down by disrupting the bonds that hold it together, reducing bacterial buildup and keeping your mouth cleaner.
91
Q: What are the key properties of Chlorhexidine (CHX)?
B.P.R.E.S.T. Chlorhexidine is most effective against the bacteria involved in early plaque formation. Brushing before using CHX helps expose bacteria and improve its effectiveness. After rinsing, 30% of CHX stays on the mouth, gradually releasing over 8-12 hours for up to 24 hours of bacterial control. It binds to bacteria, tooth enamel, and mucosa, providing better adhesion. Using it twice a day suppresses bacteria, and its cationic properties prevent it from being absorbed through the skin. B: Best for early plaque bacteria – Most effective against bacteria involved in early plaque formation. P: Plaque removal – Brushing before using CHX helps expose bacteria and improve its effectiveness. R: Release over time – 30% stays on the mouth, releasing over 8-12 hours for up to 24 hours of bacterial control. E: Effective adhesion – CHX binds to bacteria, tooth enamel, and mucosa for better adhesion. S: Suppression – Provides long-term bacterial suppression with 2 rinses a day. T: Tolerable to skin – The cationic property prevents absorption through the skin.
92
How should Chlorhexidine (CHX) mouth rinse be used, and does using it more frequently help?
C: Concentration – Use 10 ml of 0.2% or 15 ml of 0.12% CHX. F: Frequency – Rinse twice a day. D: Duration – Use for 2 weeks for mild issues, 4-6 weeks for severe or post-op care. E: Effectiveness – Rinse for 60 seconds, brush before use for better results. A: Avoid – Don’t use immediately after toothpaste with SLS. Use 10 ml of 0.2% CHX mouth rinse (20 mg) or 15 ml of 0.12% CHX mouth rinse (18 mg). Rinsing more than twice a day doesn’t provide extra benefits in reducing plaque.
93
How long should Chlorhexidine (CHX) mouth rinse be used for different gum issues?
For mild gum problems or prevention, use 0.12% CHX for up to 2 weeks. For more severe gum issues or after dental procedures, use it for 4 to 6 weeks. Lower concentrations like 0.09%, 0.06%, or 0.05% may be used longer, such as during orthodontic treatment, but there is less evidence supporting long-term use with these strengths.
94
What are the common adverse effects of Chlorhexidine (CHX)?
Chlorhexidine (CHX) may cause yellow or brown staining on teeth, the tongue, and tooth-colored fillings, especially when there’s plaque buildup or with certain foods like wine, tea, or coffee. It can also affect your taste, making salty foods taste bland. Some people may feel a burning sensation or dryness in the mouth, and in rare cases, it can cause sores in the mouth or swelling of the glands. There’s also a chance of allergic reactions like hives or more severe responses, and some concerns about anaphylaxis in certain medical products. Mnemonic for CHX Adverse Effects: S.T.A.I.N. B.D. S: Staining – Can cause yellow/brown stains on teeth, tongue, and fillings. T: Taste changes – Affects salt taste, making food taste bland. A: Allergic reactions – Possible skin rashes (hives) or swelling. I: Irritation – Burning, dry mouth, and sores in the mouth. N: Nausea – Rarely, may cause hypersensitivity or microbial resistance reactions. B: Biofilm impact – Staining worsens with plaque buildup. D: Diet – Certain foods (wine, tea, coffee) can increase staining.
95
How do essential oils work in oral health?
Q: How do essential oils work in oral health? A: Essential oils have a broad antimicrobial effect, targeting many types of bacteria, fungi, and some viruses. They work by inactivating important enzymes inside bacteria, preventing plaque from forming and growing. Essential oils also reduce bacterial aggregation, remove harmful toxins from bacteria, and penetrate plaque to target bacteria within it. B.I.P.E.R. B: Broad spectrum – Works against many types of bacteria, fungi, and some viruses. I: Inactivation of enzymes – Stops important enzymes inside bacteria from working. P: Plaque prevention – Stops plaque from forming and growing. E: Extract endotoxins – Removes harmful toxins from bacteria. R: Reduces bacterial aggregation – Prevents bacteria from sticking together and slows their growth.
96
How do the phenolic compounds in essential oils work in oral health?
A: Phenolic compounds in essential oils help reduce inflammation and prevent certain chemicals in the body that cause swelling. They also act as "scavengers" to remove harmful oxygen molecules, and they affect white blood cells, which play a role in the body’s immune response. Mnemonic: S.A.L.V. S: Scavengers – Remove harmful oxygen molecules. A: Anti-inflammatory – Help reduce swelling and inflammation. L: Leukocyte activity – Affect white blood cells involved in immune response. V: Prostaglandin inhibition – Prevent chemicals that cause inflammation. SALV helps remember how essential oils work in fighting inflammation and promoting oral health.
97
How do essential oils in Listerine help with bad breath?
Essential oils in Listerine can significantly reduce the bacteria and sulfur compounds that cause bad breath, providing relief for up to 12 hours after just one rinse.
98
Essential Oils (EO) vs. Chlorhexidine (CHX):
Essential Oils (EO) vs. Chlorhexidine (CHX): Essential oils in mouth rinses are about 40% less effective than Chlorhexidine at fighting plaque and bacteria. However, they cause less staining in both the short and long term. Some people might experience taste changes or sensitivity, but this is rare. High concentrations of alcohol in mouth rinses can cause a tingling or burning sensation. If the mouth rinse contains alcohol, it's recommended to use it for a short period and avoid using it in people who are at risk, such as smokers, people with dry mouth, children, or those with a history of oral cancer or mucositis. S.T.A.I.N. B.A.D. S: Staining – EO causes less staining compared to CHX. T: Taste changes – EO may cause rare taste alterations. A: Alcohol irritation – EO with alcohol can cause tingling or burning. I: Ineffective – EO is 40% less effective than CHX in plaque control. N: Not for long-term – EO should be used for short-term use. B: Bacteria – CHX is more effective at fighting bacteria. A: At-risk patients – Avoid alcohol-based EO mouthwashes for smokers, dry mouth, children, etc. D: Duration – EO mouthwashes can be used for short periods to reduce side effects.
99
What is Cetylpyridinium Chloride (CPC) and how is it used in mouth rinses?
Cetylpyridinium Chloride (CPC) is a common ingredient in mouth rinses in Australia. It has a low retention time in the mouth (3-6 hours) and doesn't stay effective as long as other rinses like Chlorhexidine (CHX). To get similar results to CHX, it would need to be used more often, up to 4 times a day, but this is not always practical for patients. CPC is also used in cosmetic products, with 20 ml used for 30 seconds twice a day. It can interact with ingredients like Sodium Lauryl Sulfate (SLS) in toothpaste, and while it has similar side effects to CHX, they tend to be less severe. Mnemonic: C.A.S.T. C: CPC – The active ingredient in the mouth rinse. A: Amount – Needs to be used 4 times a day for effectiveness. S: Side effects – Similar to CHX, but less severe. T: Time – Low retention time, only lasts 3-6 hours.
100
What are natural mouth rinses, and how do they work?
atural mouth rinses are made from herbal ingredients like tea tree oil, green tea, grapefruit seed oil, aloe vera, and echinacea. They are alcohol- and preservative-free. While many manufacturers claim these rinses can help reduce bad breath and may even fight plaque and inflammation, there is limited evidence to support their clinical effectiveness. Oil pulling, using oils like coconut, sesame, or sunflower oil, is another natural remedy where you swish oil around your mouth for 20 minutes before breakfast, but more research is needed to prove its benefits. Mnemonic: H.E.A.L. O.I.L. H: Herbal ingredients – Tea tree oil, green tea, aloe vera, etc. E: Evidence – Limited clinical evidence for their effectiveness. A: Anti-inflammatory & anti-plaque – Claims to reduce plaque and inflammation. L: Limited regulations – Don’t undergo strict evaluations. O: Oil pulling – Coconut, sesame, and sunflower oils used for swishing. I: Improvement claims – Mainly to reduce bad breath (halitosis). L: Lack of strong evidence – More research needed to confirm benefits.
101
What is antiseptic stewardship in dental practice?
Antiseptic stewardship means choosing mouth rinses based on a patient’s needs, treating them like medications, and not using them routinely. Patients should get instructions and be informed about side effects. Alcohol-based rinses should be used for short periods, as oral health impacts overall health. Mnemonic: S.T.A.R. S: Suitability – Choose based on patient needs. T: Treat like medication – Not for routine use. A: Adverse effects – Inform patients. R: Restrictions – Limit alcohol-based rinses to short use.
102
When are systemic antibiotics recommended in periodontal treatment?
Systemic antibiotics are recommended for patients with unresolved or progressing periodontal issues after mechanical cleaning, such as severe periodontitis (Stage III/IV, Grade C), or rapidly progressing forms like molar/incisor periodontitis. They are also used for acute periodontal diseases causing systemic symptoms, severe generalized periodontitis in patients with systemic diseases, and after certain surgeries or implant therapy. Antibiotic use is controversial for prophylaxis in patients at risk of bacterial endocarditis. Mnemonic: S.P.A.R.K. S: Severe periodontitis – Stage III/IV, Grade C or rapidly progressing forms. P: Prophylaxis – For patients at risk of bacterial endocarditis (controversial). A: Acute disease – With systemic symptoms like abscesses. R: Recurrent/refractory cases – In severe or generalized periodontitis. K: Keen need post-surgery – After periodontal surgery or implant therapy.
103
When are local antibiotics used in periodontal treatment, and what are the advantages and disadvantages?
A: Local antibiotics are used after deep cleaning (supra and subgingival debridement) for periodontitis, especially for localized pockets with persistent bleeding and attachment loss. The advantages include high local concentration with minimal systemic effects, making them convenient and cost-effective. However, they can impair healing, risk reinfection from other areas of the mouth, and contribute to microbial resistance. Common local antibiotics include Minocycline and Metronidazole microspheres, and Chlorhexidine (CHX) chips are also used for pocket suppression. Mnemonic: C.A.R.E. C: Concentration – High local concentration of antibiotics. A: Adverse effects – Can cause headaches, bitter taste, and tenderness. R: Reinfection – Risk of reinfection from other mouth areas. E: Effectiveness – Provides effective treatment with minimal systemic effects.
104
Identify the risk factors that can facilitate root caries activity.
"Don't Allow People Get Distracted Listening, Driving, Smoking, Ignoring Abrasions, Removing Problems Permanently Really" Dry mouth (meds) Age Periodontal disease Genetics Diabetes Localized crowding Defective restorative margins Smoking Illicit substance use Abrasion Removable prosthetics (partial dentures) Poor oral hygiene Reflux
105
Assess and diagnose the severity of root carious lesions, and when referrals may be necessary.
106
Determine the difference between active vs inactive/arrested lesions.
active lesions are soft, shiny, and still growing, while inactive lesions are hard, dark, and stable. Write that the management for active lesions involves preventive and restorative care, and for inactive lesions, you focus on maintenance and monitoring.
107
Understand the preventive and restorative management techniques for root caries.
"Prevent Root Caries Involving Fluoride, Fillings, Silver For Elderly Specials" Prevention is always the first step. Restorative care is necessary when prevention alone isn't enough. Consider Importance of oral hygiene and diet. Fluoride toothpaste and Fluoride varnish for prevention. Silver fluoride for minimally invasive treatments. Fillings (composite) and removal of decay for restorative care. Extraction or Crowns for extensive lesions. Silver fluoride is helpful for elderly or special needs patients.
108
Root caries- Superficial Lesions Q: What is the management goal for a hard superficial lesion? Q: What clinical and home care is recommended for a hard superficial lesion? Q: What is the management goal for a soft superficial lesion? Q: What clinical and home care is recommended for a soft superficial lesion?
Superficial Lesions Q: What is the management goal for a hard superficial lesion? A: The goal is to maintain arrest. Q: What clinical and home care is recommended for a hard superficial lesion? A: Brush twice daily with regular fluoride toothpaste. Q: What is the management goal for a soft superficial lesion? A: The goal is to arrest the caries. Q: What clinical and home care is recommended for a soft superficial lesion? A: Brush twice daily with high fluoride toothpaste (5000 ppm) and apply fluoride varnish every 3 to 6 months.
109
Root Caries: Minimal Cavitation (<2mm) Q: What is the management goal for a hard lesion with minimal cavitation (<2mm)? Q: What clinical and home care is recommended for a hard lesion with minimal cavitation (<2mm)? Q: What is the management goal for a soft lesion with minimal cavitation (<2mm)? Q: What clinical and home care is recommended for a soft lesion with minimal cavitation (<2mm)?
Minimal Cavitation (<2mm) Q: What is the management goal for a hard lesion with minimal cavitation (<2mm)? A: The goal is to maintain arrest. Q: What clinical and home care is recommended for a hard lesion with minimal cavitation (<2mm)? A: Brush twice daily with regular fluoride toothpaste. Q: What is the management goal for a soft lesion with minimal cavitation (<2mm)? A: The goal is to arrest the caries and restore/correct later if necessary. Q: What clinical and home care is recommended for a soft lesion with minimal cavitation (<2mm)? A: Brush twice daily with high fluoride toothpaste (5000 ppm) and apply fluoride varnish every 3 to 12 months.
110
Root caries- Deep Cavitation Q: What is the management goal for deep cavitation? Q: What clinical and home care is recommended for deep cavitation?
Deep Cavitation Q: What is the management goal for deep cavitation? A: The goal is to restore and prevent recurrence. Q: What clinical and home care is recommended for deep cavitation? A: Perform restoration and brush twice daily with fluoride toothpaste.
111
What do these I/O progress pics suggest?
112
Root caries tx
Here’s a mnemonic to help you remember the key points for the treatment of root caries: “Doctors Treat Patients Slowly, For Prevention, Silver Fluoride Saves Aging Cases” Dietary advice Tailored OHI & plaque control (interproximal cleaning aids, soft toothbrush, modified bass technique) Prescribing high fluoride toothpastes (i.e., Neutrafluor 5000) Saliva substitutes Fluoride varnish Preventive strategies Silver fluoride (for elderly, special needs, low compliance patients) Small working area for root surfaces (minimally invasive treatment) ART (Atraumatic Restorative Treatment) Consider spoon excavation or slow speed round for caries removal
113
Be able to describe tooth wear using appropriate terminology, with reference to its appearance, location, and probable aetiology.
Tooth wear, or tooth surface loss (TSL), is the irreversible loss of tooth structure (like enamel and dentine) due to causes other than cavities, trauma, or developmental issues. It’s different from conditions like cavities or fractures. The wear shows up as changes in the shape or location of teeth. The main causes are: Erosion (External acid eats enamel): Caused by acids (from food or stomach) wearing away tooth surface. Attrition (Attacking opposing teeth): Happens when teeth wear down from contact with other teeth, like grinding. Abrasion (Abrasion by external agents): Caused by external factors like brushing too hard or eating abrasive foods. Abfraction (Bending at the base): Stress on the teeth leads to wedge-shaped lesions, usually near the gum line. A simple phrase to remember is: "Every Active Action Breaks."
114
2. Understand the processes that cause or contribute to tooth wear.
Tooth wear happens through different processes that can work together to break down tooth structure. These processes include: Erosion (External & Internal Acids): Caused by acids, either from the stomach (gastric acid) or from foods and drinks (like fruit juices or soft drinks). Erosion wears away enamel and dentine without bacteria involvement. Attrition (Attacking Tooth-to-Tooth): Occurs when teeth wear down due to contact with other teeth, such as from grinding (bruxism) or chewing. It’s most noticeable on the chewing surfaces and edges of teeth. Abrasion (Aggressive Action): Caused by external forces like brushing too hard or eating abrasive foods that wear down tooth surfaces. Abfraction (Tension on Teeth): Caused by stresses on the teeth, particularly from heavy biting forces (occlusal loading), and made worse by acidic environments. A simple mnemonic to remember the causes: "E.A.A.T."
115
Recognise risk factors for tooth wear in a person’s systemic health, behaviour, lifestyle, and diet.
Answer: The risk factors for tooth wear can be broadly divided into systemic health conditions, behaviour, lifestyle, and diet: Systemic health: Conditions like eating disorders (e.g., bulimia), gastro-oesophageal reflux disease (GORD), sleep disorders, and damage to salivary glands (autoimmune or iatrogenic) increase the risk of tooth wear. Hyposalivation, which may be caused by medications or stress, also contributes. Behaviour: Repetitive oral behaviours, such as aggressive brushing, biting hard objects, or excessive use of teeth for non-functional purposes, can increase wear. Bruxism, or teeth grinding, especially during sleep, is another significant factor. Lifestyle: Stress, poor social behaviours surrounding eating and drinking, and poor oral hygiene can increase the risk of tooth wear. Diet: Frequent consumption of acidic foods and drinks (e.g., citrus fruits, carbonated drinks, vinegar) increases the exposure of teeth to acids that cause erosion. Acidic beverages held in the mouth for long periods or sipped frequently can exacerbate this risk "Silly Beavers Love Delicious Acids." S for Systemic health (eating disorders, GORD, sleep disorders, salivary damage) B for Behavior (aggressive brushing, bruxism, biting non-food items) L for Lifestyle (stress, poor social habits, bad oral hygiene) D for Diet (acidic foods and drinks, frequent sipping)
116
4. Understand the consequences of tooth erosion on a person’s oral and general health.
"DENTAL CARE" D for Dentine hypersensitivity: Loss of enamel exposes dentine, leading to discomfort or pain. E for Enamel loss: Exposing dentine increases sensitivity and vulnerability. N for Non-aesthetic appearance: Shortened, discolored, or uneven teeth affecting the smile. T for Tooth fractures: Erosion of enamel leads to increased risk of breakage. A for Aesthetic concerns: Uneven, discolored teeth impact facial appearance. L for Loss of tooth structure: Affects occlusion, causing teeth to drift or become mobile. C for Compromised tooth survival: Severe wear threatens tooth longevity, making it prone to further damage. A for Abscess (periapical pathology): Exposing the pulp can lead to inflammation and infection. R for Root exposure: Loss of enamel causes root sensitivity and erosion. E for Erosion: Significant wear and breakdown of tooth structure. General health consequences: Tooth wear can be indicative of underlying systemic conditions such as gastroesophageal reflux disease (GORD), eating disorders, or salivary gland dysfunction, necessitating broader medical evaluation​(Tooth wear Appreciate the key objectives in the management of tooth wear.
117
Appreciate the key objectives in the management of tooth wear.
"EASY PMA" E for Early intervention: Detecting tooth wear early to prevent further irreversible damage and mitigate its impact. A for Accurate diagnosis: Identifying the correct cause of the tooth wear, considering factors like patient history, lifestyle, and dietary habits. S for Protecting the dentition: Using protective measures like custom nightguards for bruxism or recommending dietary changes to reduce acid exposure. Y for Yearly monitoring: Regular assessments to track progression, using tools like the BEWE, photographs, and study models. P for Patient history: Considering the patient's health and habits to identify potential causes. M for Managing underlying causes: Addressing factors like GORD, oral hygiene habits, or other systemic conditions to prevent further wear. A for Adjusting habits: Modifying oral habits and lifestyle factors to prevent additional wear.
118
Impact of Hormonal Variations on Oral Health:
Rising progesterone levels during pregnancy increase vascular permeability, which makes the gums more sensitive and prone to inflammation, a condition known as pregnancy gingivitis. This heightened sensitivity allows for greater bacterial invasion, leading to swollen, bleeding gums.
119
Effect of Morning Sickness on Oral Health:
Morning sickness leads to the regurgitation of gastric acid, which can erode tooth enamel, particularly in the posterior teeth. This erosion weakens the enamel and may cause tooth sensitivity and an increased risk of cavities, particularly if not managed properly.
120
Oral Health Risks Associated with Dietary Changes in pregnancy
Frequent consumption of sugar-rich foods and drinks during pregnancy creates an acidic environment in the mouth, which can contribute to the demineralization of enamel and the development of dental caries. This makes it important to manage dietary intake and maintain good oral hygiene to protect the teeth.
121
Relationship Between Gestational Diabetes Mellitus and Periodontal Disease:
Gestational diabetes mellitus (GDM) is associated with an increased risk of periodontal disease due to the inflammatory mediators released from both conditions. Poor periodontal health in pregnant women may worsen glycemic control and increase the risk of complications related to GDM.
122
Impact of Increased Stress on Oral Health
Increased stress during pregnancy can impair the immune system, reducing resistance to oral infections like gingivitis and periodontal disease. Stress hormones, such as cortisol, can also lead to a decrease in saliva flow, which further contributes to the risk of tooth decay.
123
Effect of Medications on Saliva Flow
Some medications, particularly those used to treat cardiovascular and gastrointestinal conditions, can reduce saliva flow, leading to dry mouth (xerostomia). This decreases the natural cleansing effect of saliva, increasing the risk of tooth decay, gum disease, and oral discomfort during pregnancy.
124
Impact of Obesity on Oral Healt
Obesity during pregnancy is linked to an increased risk of periodontal disease due to inflammatory responses in the body. Higher levels of body fat and related metabolic factors can worsen the immune system’s ability to fight off oral infections, leading to gum disease.
125
Relationship Between Smoking and Oral Health Problems:
Smoking during pregnancy is associated with a higher risk of periodontal disease, tooth loss, and oral cancer. It impairs blood flow to the gums, reducing their ability to heal and increasing the severity of infections like gingivitis and periodontitis.
126
Prevalence of Dental Problems in Pregnant Women
Pregnant women are more likely to experience gingivitis (60-70%), dental caries (25%), and periodontal disease (30-40%) due to hormonal changes, dietary habits, and altered immune function. Pregnancy-related oral tumors, though less common, occur in about 5% of pregnant women, usually as benign growths on the gums.
127
Impact of Poor Maternal Oral Health on Mother, Fetus, and Newborn:
Poor maternal oral health can affect the mother’s ability to chew and obtain proper nutrition. It is also associated with adverse pregnancy outcomes like preterm birth and low birth weight. The fetus may be exposed to harmful bacteria from the mother’s oral infections, and the newborn can suffer from early childhood caries (ECC) through vertical transmission.
128
Current Recommendations for Oral Health Care During Pregnancy
Pregnant women should consult with an oral health practitioner early in their pregnancy, ideally during the second trimester. Dental care, including X-rays, local anesthesia, and pain medication, is considered safe, and periodontal treatment can improve glycemic control and reduce the risk of preterm birth.
129
Barriers Preventing Pregnant Women from Seeking Oral Health Care:
The main barriers include lack of awareness about the importance of oral health during pregnancy, cost of dental care, and misconceptions about the safety of treatments. Providing targeted education and making dental services more accessible can help overcome these barriers.
130
Barriers for Antenatal Care Providers in Addressing Oral Health
Many antenatal care providers do not discuss oral health due to limited knowledge, time constraints, and a lack of formal training on the subject. Addressing these gaps through education and training can improve oral health care delivery for pregnant women.
131
Barriers for Dentists in Providing Care to Pregnant Women:
entists may hesitate to provide care due to concerns about the safety of certain treatments during pregnancy, such as radiographs or medications. There may also be a lack of knowledge about pregnancy-specific oral health needs and reluctance to treat patients without the approval of other healthcare providers.
132
Strategies for Promoting Maternal Oral Health
Effective strategies include providing tailored educational materials that are evidence-based and accessible, promoting oral health training programs for healthcare providers, and establishing clear referral pathways for dental care. Integration of oral health into antenatal care can ensure pregnant women receive the appropriate guidance and care.
133
Effectiveness of the Midwifery Initiated Oral Health (MIOH) Program:
he MIOH program has been effective in integrating oral health education and services into midwifery practice, leading to improved access to dental care for pregnant women. It has shown success in promoting preventive care, which results in better maternal and child health outcomes.
134
Importance of Oral Health Screening Tools:
Screening tools like the Maternal Oral Health Screening (MOS) tool help identify pregnant women at risk of poor oral health and direct them to appropriate dental care. The tool’s high sensitivity ensures that at-risk individuals are promptly referred for treatment, preventing the escalation of oral health problems.
135
Impact of Education and Training Programs:
Programs such as CPD training for midwives and undergraduate oral health modules significantly improve oral health knowledge and confidence among healthcare providers. These programs help ensure that oral health is integrated into prenatal care and that providers are equipped to promote oral health during pregnancy.
136
Describe the Microbiology of Disease in Children: Q: How does gingival disease change as children grow? Q: How does the composition of oral bacteria change as children grow? Q: What did Yang and colleagues (2013) find in their study of dental plaque in children? Q: What link did the study by Yang and colleagues find between bacteria in children and their mothers? Q: What did the study by Morinushi et al. (2000) find about P. gingivalis in children? Q: What other bacteria did Morinushi et al. (2000) find in children? Q: How is P. gingivalis associated with gum disease in children? Q: What did experimental models of gingivitis in children show?
Q: How does gingival disease change as children grow? A: The intensity of gingival (gum) disease increases as children mature. Q: How does the composition of oral bacteria change as children grow? A: The types of bacteria in the mouth change as the child gets older. Q: What did Yang and colleagues (2013) find in their study of dental plaque in children? A: They found that 71% of children aged 18 to 48 months had at least one periodontal pathogen. Specifically: 68% had P. gingivalis 20% had T. forsythia Q: What link did the study by Yang and colleagues find between bacteria in children and their mothers? A: They found a moderate link between the presence of T. forsythia in children and periodontal disease in their mothers. T. forsythia was also associated with gum bleeding in children. Q: What did the study by Morinushi et al. (2000) find about P. gingivalis in children? A: They found that 60% of children aged 2 to 18 years had detectable levels of P. gingivalis in their dental plaque. Q: What other bacteria did Morinushi et al. (2000) find in children? A: 75% of children showed similar levels of A. actinomycetemcomitans, another harmful bacteria linked to gum disease. Q: How is P. gingivalis associated with gum disease in children? A: P. gingivalis was strongly linked to the progression of gingivitis and the onset of periodontitis in otherwise healthy children. Q: What did experimental models of gingivitis in children show? A: The models showed an increase in bacteria like Actinomyces, Capnocytophaga, Leptotrichia, and Selenomonas, which are not typically seen in adult gingivitis. This has led researchers to explore their potential role in childhood gingivitis.
137
Describe the Periodontium of Primary Dentition
The periodontium of primary dentition is characterized by several unique features. The labial frenum attachment is high, and the tissue is typically pale pink or pigmented. Probing depths in primary dentition are generally shallow, ranging from 1 to 2 mm. The keratinized tissue is thinner compared to permanent dentition, and the junctional epithelium is thicker. Loss of attachment and true periodontal pockets are rare in primary teeth. These characteristics play a role in the periodontal health of children, and the changes in the periodontium are crucial as children transition to mixed dentition. L = Labial frenum attachment is high P = Pale pink or pigmented tissue P = Probing depths are shallow (1-2 mm) K = Keratinized tissue is thinner J = Junctional epithelium is thicker L = Loss of attachment and true periodontal pockets are rare
138
Discuss Gingivitis – Dental Biofilm Induced and Non-Biofilm Induced
Dental Biofilm-Induced Gingivitis is the most common type in children, caused by plaque buildup, leading to gum redness and bleeding. This type tends to be less severe than in adults, with less tissue damage due to thicker protective tissue around the gums. Non-Biofilm-Induced Gingivitis is caused by factors like viral infections (e.g., Coxsackievirus, Herpes Simplex Virus 1), physical trauma, or chemical exposure, leading to inflammation but not related to plaque buildup.
139
What are the local and systemic risk factors contributing to dental biofilm-induced gingivitis in children and adolescents?
A: Dental biofilm-induced gingivitis in children and adolescents can be caused by both local and systemic risk factors. Local factors include: Erupting teeth (Plaque buildup around new teeth causes gum irritation) Restoration overhangs (Poor dental work traps plaque) Calculus (Hardened plaque, more common as children age) Crowding and Orthodontic appliances (Makes it harder to clean, leading to plaque buildup) Mouth breathing (Dries out gums, making them prone to inflammation) Poor oral hygiene (Leads to plaque accumulation) Systemic factors include: Hormonal changes (Puberty or pregnancy can increase gum sensitivity) Poorly controlled diabetes (Affects gum health due to fluctuating blood sugar) Immune disorders (Weakened immunity, like with HIV, increases risk) Malnutrition and Smoking (Both weaken the immune system and affect gum health) Mnemonic for Local Factors: "CROWDS EAT MUNCHIES" Crowding Restoration overhangs Orthodontic appliances Worsened by poor oral hygiene Dry mouth from mouth breathing Soft tissue irritation from erupting teeth Mnemonic for Systemic Factors: "HAPPY DIETTERS SMOKE" Hormonal changes (Puberty, pregnancy) Diabetes (poorly controlled) Immune disorders (e.g., HIV) Exposure to malnutrition Smoking (weakens gums) These mnemonics help you recall the key risk factors for gingivitis, both local and systemic, for better understanding and exam preparation!
140
Q: What systemic risk factors contribute to dental biofilm-induced gingivitis in children and adolescents?
A: Systemic risk factors for dental biofilm-induced gingivitis include puberty, type 1 diabetes, leukemia, vitamin C deficiency, smoking, and drug-induced gingival enlargement. Puberty: Gingivitis peaks between 9-14 years old due to hormonal changes. Type 1 Diabetes: High blood sugar weakens the immune system, increasing gingivitis risk. Leukemia: Causes excessive gum inflammation, even without plaque buildup. Vitamin C deficiency: Lack of vitamin C causes gum inflammation, similar to plaque-induced gingivitis. Smoking: Increases gum disease risk, and quitting is important for prevention. Drug-induced enlargement: Medications like phenytoin, cyclosporine, and calcium channel blockers can cause gum swelling, especially in children with conditions like epilepsy or organ transplants. Mnemonic: "Pediatrics Look Very Sick, Medical Drugs Cause Gums" P for Puberty L for Leukemia V for Vitamin C deficiency S for Smoking M for Medications (Drug-induced gingival enlargement) D for Diabetes C for Cyclosporine, Phenytoin, Calcium channel blockers
141
142
143
144
145
Discuss Periodontitis as a Manifestation of Systemic Disorders in Children and Adolescents:
A: Periodontitis in children and adolescents can sometimes be caused by underlying conditions, both genetic and acquired. Genetic Disorders: Down syndrome: Children with Down syndrome are more likely to get infections because their immune system is weaker, making them more susceptible to gum disease. Papillon-Lefevre syndrome: This condition can cause severe gum disease, and children with it often develop periodontitis at an early age. Cyclic neutropenia: This condition causes recurring infections, including gum disease, because of a weakened immune system. Acquired Disorders: HIV: Children with HIV have a weakened immune system, which increases their risk of periodontal disease. Poorly controlled diabetes: High blood sugar levels can make gum problems worse and speed up the damage to the gums. Leukemia: Leukemia and other blood cancers can cause severe gum inflammation and accelerate gum disease because of the body's weakened ability to fight infections. Mnemonic to remember: "DPC Helps DIg in Leukemia" D for Down syndrome P for Papillon-Lefevre syndrome C for Cyclic neutropenia H for HIV D for Diabetes L for Leukemia
146
Discuss Mucogingival Deformities and Conditions That May Be Associated with Children:
Gingival Recession: Gums pull back from teeth, often due to crowding or late-erupting teeth. Aberrant Frenum Attachment: A high frenum attachment can pull on the gums, causing recession. Decreased Vestibular Depth: Lack of gum tissue development, especially during mixed dentition. Mnemonic: "G.A.D." G for Gingival Recession A for Aberrant Frenum Attachment D for Decreased Vestibular Depth
147
Discuss Plaque Control for Pediatric Patients:
Plaque Control for Pediatric Patients: Manual Dexterity: Younger children need help with brushing and flossing from caregivers. Age-Dependent Regimen: Older children can use electric toothbrushes; younger or special needs children may need extra help or tools. Orthodontic Appliances: Kids with braces need special plaque control to avoid gum swelling and inflammation. Flossing and Mouthwashes: Flossing may be hard for young children, and mouthwashes should be used carefully based on age. Mnemonic: "M.A.O.F." M for Manual Dexterity A for Age-Dependent Regimen O for Orthodontic Appliances F for Flossing and Mouthwashes
148
What are the oral health challenges associated with Down syndrome?
Q: What are the oral health challenges associated with Down syndrome? A: Oral health challenges in Down syndrome include a higher risk of infections due to a weakened immune system, bite issues (Class III malocclusion), gum disease, and delays in tooth eruption. People with Down syndrome may have smaller teeth (microdontia), weaker enamel (hypoplasia and hypocalcification), and missing teeth (partial anodontia). The tongue can protrude, causing speech and chewing difficulties, and there is less room in the mouth for natural cleaning of the teeth. These issues are commonly associated with the condition. Mnemonic: "I Can't Talk, But Teeth Grow Slowly" I for Infections (higher risk due to weak immune system) C for Chewing and Class III malocclusion (bite issues and difficulty chewing) T for Tongue issues (fissures, protruding tongue) T for Teeth problems (microdontia, hypoplasia, hypocalcification, missing teeth) G for Gum disease (higher risk of periodontal disease) S for Speech (delayed speech due to limited space for the tongue) S for Slow tooth eruption (delayed eruption of teeth)
149
Q: What are the oral health challenges associated with Papillon-Lefevre syndrome, Cyclic Neutropenia, and Acquired Neutropenia?
Q: What are the oral health challenges associated with Papillon-Lefevre syndrome, Cyclic Neutropenia, and Acquired Neutropenia? A: Papillon-Lefevre Syndrome is a hereditary condition that causes hyperkeratosis (thickened skin) on the palms and feet. It leads to premature tooth loss due to severe gum inflammation and bone loss, affecting both baby (deciduous) and permanent teeth, with most individuals becoming edentulous (toothless) by age 16. Cyclic Neutropenia is a rare hereditary disorder affecting the bone marrow, causing a cyclic pattern of low white blood cell count. This can lead to recurrent infections, including mouth ulcers, periodontal disease, and fever. It often starts around age 10, with cycles of 19-21 days. It may improve in adolescence. Acquired Neutropenia occurs when the body’s neutrophil count (a type of white blood cell) drops. This can be caused by drugs, radiotherapy, or infections (like HIV, Hepatitis, Measles, or Influenza). It leads to an increased risk of infections, including oral infections and periodontal disease. Mnemonic: "P.C.A. Makes Neutropenia Work" P for Papillon-Lefevre syndrome (tooth loss, gum disease, thickened palms/feet) C for Cyclic Neutropenia (recurrent infections, mouth ulcers, 19-21 day cycle) A for Acquired Neutropenia (caused by drugs, infections, and radiotherapy) M for Mouth ulcers (common in both cyclic and acquired neutropenia) N for Neutrophil decrease (main cause of infections and gum issues) W for Work with specialists (important for managing these conditions and preventing severe oral health issues)
150
Q: How should an Oral Health Therapist (OHT) manage periodontal care in children?
Q: How should an Oral Health Therapist (OHT) manage periodontal care in children? A: Once a child’s first permanent molars are fully erupted and they can cooperate, the OHT should check for early signs of gum disease and take steps to prevent it. If there are any signs of gum disease, either clinically or on x-rays, the OHT should probe the first molars. For children with special health care needs who are receiving treatment under sedation or anesthesia, the OHT should take the opportunity to perform a thorough gum check.
151
. Importance of Medications in Society and Dental Care
Medications are crucial in healthcare and can impact oral health, causing effects like dry mouth, gum enlargement, and bleeding risks. Understanding how medications influence dental treatments helps prevent complications and ensures optimal care, especially in polypharmacy, which is common in older patients.
152
2. Taking a Comprehensive Medication History
A comprehensive medication history involves documenting all medications, including prescription, OTC, and complementary types. This includes details like name, dose, frequency, and purpose. It helps identify oral health risks (e.g., dry mouth, bleeding) and ensure safe dental treatments, reducing medication-related complications.
153
3. How Medications Affect Oral Health
increased bleeding. Recognizing these helps in preventing complications like tooth decay or gum disease, and informs treatment decisions, such as adjusting anesthesia or managing post-procedure bleeding.
154
4. How Medications Affect Dental Care
Medications can impact procedures by affecting anesthesia (e.g., interactions with beta-blockers) or healing (e.g., corticosteroids impair wound recovery). Understanding these effects helps manage treatment, adjust doses, and coordinate care with other healthcare providers to minimize risks and improve outcomes.
155
Identify which medicines, including herbal remedies, can influence dental treatment:
Many medications can significantly affect dental treatment outcomes. For example, medications like anticoagulants (warfarin, dabigatran) increase bleeding risk during procedures, while corticosteroids and immunosuppressants impair wound healing and increase infection risk. Drugs such as bisphosphonates and denosumab may lead to osteonecrosis of the jaw (ONJ) following dental extractions. Herbal remedies, like garlic and ginkgo biloba, also pose bleeding risks, requiring careful consideration in treatment planning.
156
Appreciate the range of oral side effects of medicines:
Medicines can cause a variety of oral side effects, including dry mouth (xerostomia), which can be caused by anticholinergics, antidepressants, and diuretics. Other side effects include mucosal lesions from NSAIDs and chemotherapy drugs, taste alterations from medications like ACE inhibitors, and gingival enlargement due to calcium channel blockers and phenytoin. Additionally, drugs like bisphosphonates and denosumab can impair alveolar bone healing, increasing the risk of complications like osteonecrosis of the jaw.
157
Define eating disorders, anorexia nervosa, and bulimia nervosa, and identify their main features:
Eating disorders are mental health conditions where people have unhealthy eating habits, often tied to body image issues and emotional struggles. Anorexia nervosa (AN) involves severely restricting food intake, leading to weight loss, a distorted body image, and a fear of gaining weight. Bulimia nervosa (BN) is when someone overeats and then tries to compensate by vomiting, exercising too much, or using laxatives. Both disorders cause emotional pain and can lead to serious health problems, with anorexia nervosa having a particularly high risk of death.
158
Understand the epidemiology and identify risk factors for eating disorders
Around 4% of Australians are affected by eating disorders, with 63% being female and 37% male. Transgender people are also more likely to experience eating disorders, with about 23% affected. Key risk factors include genetics, mental health issues like OCD and low self-esteem, and social pressures, such as those from social media. Certain groups, like models or people with type 1 diabetes, are at higher risk due to societal and physical pressures.
159
Identify early signs of an eating disorder:
Early signs of eating disorders include extreme dietary restrictions, unhealthy preoccupation with food or weight, and noticeable fluctuations in body weight. In anorexia nervosa, signs may include distorted body image, excessive exercise, and fear of gaining weight. Bulimia nervosa may present as frequent trips to the bathroom after meals, signs of purging, or the consumption of large amounts of food in short periods. Early detection is crucial as the disorder can become self-sustaining after several years, making it harder to manage.
160
Understand the management and treatment for eating disorders:
Treating eating disorders requires a team of professionals, including doctors, psychologists, dietitians, and dental experts. Doctors focus on stabilizing the patient and treating complications like osteoporosis. Psychologists use therapy to challenge unhealthy thoughts and promote healthy eating. Dietitians help restore nutrition and create regular eating habits. Dental professionals address oral health issues like tooth decay, erosion, and sensitivity caused by vomiting or malnutrition.
161
Identify oral health implications of eating disorders and how to best manage patients:
Eating disorders can lead to significant oral health issues, such as tooth decay, erosion (particularly on the upper anterior teeth in bulimia nervosa), and gum recession. Patients may also experience dry mouth, tooth sensitivity, and bad breath. Dental professionals should modify oral hygiene instructions and timing of tooth brushing to avoid further erosion, especially in patients who purge. Fluoride treatments, the use of tooth mousse, and educating patients on maintaining oral health during treatment are essential components of managing the oral health implications of eating disorders. To remember the key oral health issues related to eating disorders, use the mnemonic "DETECT": D = Decay (tooth decay) E = Erosion (especially on upper anterior teeth in bulimia nervosa) T = Tooth sensitivity (pain when eating or drinking) E = Erosion prevention (modifying brushing and hygiene) C = Dry mouth (reduced saliva) T = Treatments (fluoride, tooth mousse, patient education)
162
1. Describe the dental implications associated with ASD and ADHD.
Autism Spectrum Disorder (ASD) and Attention-Deficit/Hyperactivity Disorder (ADHD) can create dental challenges. Children with ASD may have sensitivities to textures or tastes, making oral hygiene difficult. ADHD patients often have trouble focusing, being impulsive, and cooperating, which can affect their ability to care for their teeth. Both conditions increase the risk of tooth decay, gum problems, and dental injuries, such as teeth grinding or self-harm.
163
2. Discuss the dental management of children with special needs.
Managing the dental care of children with special needs, including those with ASD and ADHD, requires a patient, individualized approach. It's important to consider sensory issues, behavior challenges, and communication barriers. Techniques like "Tell-Show-Do," gradual desensitization, and positive reinforcement can help reduce anxiety and encourage cooperation. Adjusting the dental environment with calming music, visual aids, and fewer distractions can also be helpful. Working closely with caregivers and other professionals ensures better care and results. Use the mnemonic "CATCH" to remember key aspects of dental management for children with special needs: C = Calming environment (music, visual supports, reducing distractions) A = Alleviate anxiety (Tell-Show-Do, desensitization, positive reinforcement) T = Tailored approach (individualized care considering sensory, behavioral, and communication needs) C = Collaboration (work with caregivers and multidisciplinary professionals) H = Helpful techniques (gradual desensitization, positive reinforcement)
164
Identify and discuss the perspectives of the older/elderly patient.
Older patients often have dental views shaped by their life experiences, including their social, financial, and educational backgrounds. Negative attitudes may come from past painful dental visits or the expectation of tooth loss. Many elderly people associate old age with poor health and fewer activities, so they tend to delay dental care until they feel pain or have problems. The idea of prevention, like fluoride in water, was introduced later in their lives, influencing their dental care expectations.
165
Identify and discuss the characteristics and other factors that influence interactions between the older/elderly patient and dental practitioner.
The relationship between older patients and dental practitioners has changed over time. In the past, older patients often trusted health professionals' advice, but now they may be more informed and sometimes hesitant about treatment. Many elderly patients may downplay symptoms, thinking issues like tooth loss or poor eyesight are just part of aging. Those who’ve had preventive dental care tend to maintain better oral health habits. It's important to respect their age while also recognizing that older adults can learn new things with time and repetition.
166
Identify and discuss the patient- and practitioner-related barriers with respect to dental care of older/elderly patients.
Patient-related barriers to dental care for older patients include cost, limited access to services, and fear of treatment. Older patients may also delay care or downplay symptoms. Practitioner-related barriers include a lack of confidence in treating elderly patients, relying on basic treatments instead of addressing more complex needs, and insufficient training in geriatric care. These factors can make it harder to provide the best care for older adults.
167
Identify and discuss strategies to improve communication, empathy, and overall clinical experience when treating older/elderly patients.
To improve communication and empathy with older patients, avoid "elderspeak" (exaggerated or overly simple language) and instead validate their concerns. Use shared decision-making to ensure their preferences and goals are respected, which can help reduce stress and build confidence. Empathy—understanding and sharing the patient's feelings—is key to forming a strong bond. Empathetic care has been shown to improve outcomes and reduce isolation, which is especially important for older patients dealing with medical or social challenges.
168
Q: What is haemostasis and what are its components?
Q: What is haemostasis and what are its components? A: Haemostasis is the process that stops bleeding and keeps blood flow steady. It involves three components: the blood vessel walls, platelets (small blood cells), and the coagulation cascade (a series of steps to form a clot). We can remember this with VPC (Vine, Platelets, Christ) because just as the vine (Jesus) sustains the branches (platelets), haemostasis restores balance in the body, much like how Christ restores spiritual balance.
169
Q: What are bleeding disorders and what causes them?
Q: What are bleeding disorders and what causes them? A: Bleeding disorders happen when the clotting factors or platelets don’t work properly, which makes it hard to stop bleeding. The acronym FAITH (Factors, Abnormalities, Inherited, Thrombocytes, Healing) can help remember these causes. Just as faith is key to salvation, understanding these disorders helps fix the bleeding problem, just like spiritual healing.
170
Q: What are the stages of wound healing?
Q: What are the stages of wound healing? A: Wound healing happens in three stages: inflammation, proliferation, and maturation. This can result in regeneration (new tissue) or scar formation. RAPID (Regeneration, Anger, Proliferation, Inflammation, Differentiation) reminds us that healing happens quickly, with God’s grace. Sometimes, wounds don’t heal perfectly, like how some trials in life leave scars but still lead to growth.
171
Q: How does wound healing work after a tooth extraction?
A: After a tooth extraction, the healing process includes granulation (new tissue forming), epithelial migration (skin cells moving to cover the wound), and bone remodeling (bone regrowth). The word GRACE (Granulation, Restoration, Anger, Christ’s Empowerment) symbolizes this process. Just like God’s grace helps us through difficult times, the extraction site healing requires patience and divine support.
172
Q: What are the possible complications during a primary tooth extraction?
Q: What are the possible complications during a primary tooth extraction? A: Complications during a primary tooth extraction can include tooth fractures, damage to nearby teeth, or bleeding after the procedure. BLOOD (Bleeding, Loss, Overforce, Damage) captures these risks. Just as Jesus shed His blood for us, it’s important to handle the extraction carefully to avoid unnecessary harm and blood loss.
173
Q: What can be done to prevent complications during a primary tooth extraction?
Q: What can be done to prevent complications during a primary tooth extraction? A: To prevent complications, it’s important to use the right forceps, avoid using too much force, and confirm patient details. The acronym SHIELD (Safe Handling, Integrity, Extraction, Loyalty, Divine) can remind us of the protective steps. Like the Shield of faith, proper technique shields us from problems during the procedure
174
Q: How should complications be managed during a primary tooth extraction?
Q: How should complications be managed during a primary tooth extraction? A: Managing complications involves properly identifying them, documenting the issue, and treating it accordingly. PEACE (Proper Evaluation, Action, Care, Existence) symbolizes how to handle complications. Just as God brings peace to troubled hearts, managing complications with calm, careful steps brings healing and peace to both the patient and practitioner.
175
What is the correct grasp and movement during extraction?
What is the correct grasp and movement during extraction? A: The grasp and movement need to be gentle and controlled: G = Gentle grasp (firm, but not too tight) R = Rotational movement (for single-rooted teeth) A = Apply controlled pressure C = Coordinate force (use a figure-eight or bucco-lingual motion) E = Expand the socket (gradually loosen the tooth) Scripture (2 Corinthians 12:9): "My grace is sufficient for you..." Just like grace is applied gently, the right extraction requires patience and control.
176
Q: What is important in post-operative care after a tooth extraction?
Q: What is important in post-operative care after a tooth extraction? A: Post-op care is vital for healing: H = Haemostasis confirmation (ensure bleeding stops) E = Educating the patient on care instructions A = Analgesic management for pain relief L = Lifestyle and activity restrictions after extraction
177
Q: What should be included in a concise treatment record? A: The treatment record should be thorough and clear:
R = Record patient info and history E = Explain diagnosis and reason for extraction C = Contain treatment details (anaesthesia, procedure) O = Outline any complications R = Record post-op instructions
178
Hypodontia refers to missing teeth, ranging from one or a few (hypodontia) to six or more (oligodontia) or complete absence (anodontia), often affecting lateral incisors, second premolars, and wisdom teeth. It can be sporadic, hereditary, or linked to conditions like ectodermal dysplasia and Down syndrome. Signs include visible gaps, prolonged baby teeth, and peg-shaped teeth, with treatment focusing on managing gaps and alignment.
179
180
Q&A: Hypodontia and Related Conditions Q: What is ectodermal dysplasia, and how does it affect teeth? Q: How is ectodermal dysplasia managed in dental care? Q: What is dental alveolar clefting? Q: How is dental alveolar clefting treated? Q: Why is early treatment important for these conditions?
Q&A: Hypodontia and Related Conditions Q: What is ectodermal dysplasia, and how does it affect teeth? A: Ectodermal dysplasia is an inherited condition that impacts hair, skin, teeth, nails, and sweat glands. It often causes multiple missing or conical teeth, along with other features like fine hair, dry skin, and distinct facial traits such as frontal bossing and underdeveloped upper jaw. Q: How is ectodermal dysplasia managed in dental care? A: Treatment focuses on restoring function and appearance through early interventions like partial dentures, composite build-ups, orthodontics, and implants, often starting as early as 2–3 years old. Q: What is dental alveolar clefting? A: It’s a common craniofacial defect involving clefts in the lip or palate, which may be unilateral or bilateral, complete or incomplete. Missing teeth, usually lateral incisors, or extra teeth near the cleft are common. Q: How is dental alveolar clefting treated? A: Management involves a multidisciplinary team to correct structural issues, restore function, and improve appearance through surgeries, orthodontics, and therapies like speech pathology. Q: Why is early treatment important for these conditions? A: Early care helps improve function, aesthetics, and overall quality of life, providing tailored solutions to meet the needs of growing children.
181
Disorders of Tooth Development (Extra Teeth) Extra teeth can form when the dental tissue (dental lamina) creates additional tooth buds. These extra teeth often have unusual shapes: Conical supernumeraries: Small, pointy teeth with short roots, sometimes upside-down. Tuberculate supernumeraries: Barrel-shaped crowns. Supplemental teeth: Look like normal teeth. These extra teeth often stop permanent teeth from erupting and are sometimes seen as a "third set" of teeth between baby and adult teeth.
182
Disorders of Tooth Development (Extra Teeth) Extra teeth can form when the dental tissue (dental lamina) creates additional tooth buds. These extra teeth often have unusual shapes: Conical supernumeraries: Small, pointy teeth with short roots, sometimes upside-down. Tuberculate supernumeraries: Barrel-shaped crowns. Supplemental teeth: Look like normal teeth. These extra teeth often stop permanent teeth from erupting and are sometimes seen as a "third set" of teeth between baby and adult teeth.
183
Extra Teeth (Supernumerary Teeth): How Common Are They? Found in 0.3–0.8% of baby teeth and 1–3.5% of adult teeth. Most (98%) appear in the upper jaw, with 75% being mesiodens—extra teeth in the middle of the upper jaw. Other names include paramolar (near molars), distomolar (behind molars), hyperdontia, polydontism, and supplemental teeth (look like normal teeth).
184
Extra Teeth (Supernumerary Teeth): How Common Are They? Found in 0.3–0.8% of baby teeth and 1–3.5% of adult teeth. Most (98%) appear in the upper jaw, with 75% being mesiodens—extra teeth in the middle of the upper jaw. Other names include paramolar (near molars), distomolar (behind molars), hyperdontia, polydontism, and supplemental teeth (look like normal teeth).
185
Extra Teeth (Supernumerary Teeth): How Common Are They? Found in 0.3–0.8% of baby teeth and 1–3.5% of adult teeth. Most (98%) appear in the upper jaw, with 75% being mesiodens—extra teeth in the middle of the upper jaw. Other names include paramolar (near molars), distomolar (behind molars), hyperdontia, polydontism, and supplemental teeth (look like normal teeth).
186
Explain oral manifestations of hep c
Hepatitis C is a liver infection that affects the body's ability to filter toxins, fight infections, and maintain overall health. Since the liver is linked to many body systems, including the mouth, the infection can cause several oral health problems: Sialadenitis (Swelling of Salivary Glands): Hepatitis C can cause inflammation in the salivary glands, leading to swelling and discomfort. This happens because the virus may directly attack these glands or because the immune system is overreacting. Xerostomia (Dry Mouth): Damage to the salivary glands can reduce saliva production, causing dry mouth. Saliva is essential for keeping the mouth healthy, so this can lead to discomfort, increased cavities, and difficulty eating or talking. Lichen Planus (White or Red Spots in the Mouth): Hepatitis C can trigger an immune response that causes a condition called oral lichen planus, where the body’s immune system mistakenly attacks the mouth’s lining, creating patches, ulcers, or a burning sensation. Sjogren's Syndrome (Dry Mouth and Eyes): Hepatitis C can be associated with autoimmune conditions like Sjogren's syndrome, where the immune system attacks the salivary and tear glands, leading to chronic dry mouth and eyes. Petechiae (Small Red or Purple Spots): Liver dysfunction from Hepatitis C affects blood clotting, leading to small bleeding spots in the mouth (petechiae) or other areas. Gingivitis and Periodontal Disease: The weakened immune system and reduced saliva flow can increase the risk of gum inflammation and infections. Mnemonic: "Six Pretty Little Soft Gums" S: Sialadenitis X: Xerostomia P: Petechiae L: Lichen Planus S: Sjogren’s Syndrome G: Gingivitis
187
Diagnosing Extra Teeth (Supernumerary Teeth): Identified when adult teeth fail to erupt or come in the wrong place. Often discovered through routine dental X-rays. Can be linked to conditions like Cleidocranial Dysplasia, Gardner’s Syndrome, or cleft palate.
188
Diagnosing Extra Teeth (Supernumerary Teeth): Identified when adult teeth fail to erupt or come in the wrong place. Often discovered through routine dental X-rays. Can be linked to conditions like Cleidocranial Dysplasia, Gardner’s Syndrome, or cleft palate.
189
Diagnosing Extra Teeth (Supernumerary Teeth): Identified when adult teeth fail to erupt or come in the wrong place. Often discovered through routine dental X-rays. Can be linked to conditions like Cleidocranial Dysplasia, Gardner’s Syndrome, or cleft palate.
190
Diagnosing Extra Teeth (Supernumerary Teeth): Identified when adult teeth fail to erupt or come in the wrong place. Often discovered through routine dental X-rays. Can be linked to conditions like Cleidocranial Dysplasia, Gardner’s Syndrome, or cleft palate.
191
mesiodens
192
mesiodens
193
mesiodens
194
mesiodens
195
Supernumerary teeth
196
Supernumerary teeth
197
Supplemental
198
Supplemental
199
Mesiodens (Extra Tooth in the Upper Midline): Clinical Signs Delayed or failed eruption of a front tooth. Rotated teeth. A gap (diastema) between the front teeth. Misaligned permanent front teeth.
200
Mesiodens (Extra Tooth in the Upper Midline): Clinical Signs Delayed or failed eruption of a front tooth. Rotated teeth. A gap (diastema) between the front teeth. Misaligned permanent front teeth.
201
Problems from Extra Teeth and Management:
Problems from Extra Teeth and Management: Erupted teeth: May cause crowding, biting issues, gaps, or cavities; conical ones are often easy to remove. Unerupted teeth: Can block or move nearby teeth; rare issues include damage or cysts and may require early surgical removal or monitoring if harmless. Diagnosis: Located using X-rays (maxillary occlusal, SLOB technique) or cone beam CT. Referral: Cases should be referred to a Dental Officer or Pediatric Dentist for proper management.
202
Problems from Extra Teeth and Related Conditions: Erupted teeth: May cause crowding, biting issues, gaps, or cavities; conical ones are often easy to remove. Unerupted teeth: Can block or move nearby teeth; rare issues include damage or cysts and may require early surgical removal or monitoring if harmless. Diagnosis: Located using X-rays (maxillary occlusal, SLOB technique) or cone beam CT. Referral: Cases should be referred to a Dental Officer or Pediatric Dentist. Cleidocranial Dysplasia: A genetic condition (autosomal dominant) causing missing or underdeveloped collarbones and extra teeth (hyperdontia).
203
Extra Teeth and Related Conditions: Erupted teeth: May cause crowding, gaps, or cavities; conical ones are often easy to remove. Unerupted teeth: Can block or move nearby teeth; may need surgical removal or monitoring. Diagnosis: Located with X-rays or cone beam CT. Referral: Requires Dental Officer or Pediatric Dentist. Cleidocranial Dysplasia: Genetic condition causing missing collarbones and extra teeth. Gardner’s Syndrome: Genetic condition with colon polyps, tumors, and dental issues like extra teeth, abnormal shapes, or impacted teeth, often linked to jaw osteomas.
204
205
206
207
Fusion (Tooth Development Issue): Happens when two tooth buds join together by enamel, dentine, or pulp. May have two separate pulp chambers or appear as a single large crown with one chamber, making it hard to distinguish from gemination. Usually reduces the total tooth count by one, unless fused to an extra (supernumerary) tooth, which keeps the count normal.
208
Fusion (Tooth Development Issue): Happens when two tooth buds join together by enamel, dentine, or pulp. May have two separate pulp chambers or appear as a single large crown with one chamber, making it hard to distinguish from gemination. Usually reduces the total tooth count by one, unless fused to an extra (supernumerary) tooth, which keeps the count normal.
209
Q: What are double teeth, and are they a problem? Q: How are grooves on double teeth managed? Q: Can double teeth be reshaped or separated? Q: Do primary double teeth need treatment?
Q: What are double teeth, and are they a problem? A: Double teeth can affect appearance and may have grooves prone to decay, but they usually don’t require treatment unless there’s a specific concern. Q: How are grooves on double teeth managed? A: Fissure sealants are recommended to prevent cavities. Q: Can double teeth be reshaped or separated? A: Fused permanent teeth may be surgically separated with orthodontic and restorative follow-up, but geminated teeth (with a single canal) usually can’t be reshaped. Q: Do primary double teeth need treatment? A: No treatment is typically needed, except for fissure sealing if necessary.
210
211
Odontomes (Tooth Tumors): Odontomes are not true tumors but growths of calcified tooth tissue from abnormal tooth development. Compound odontomes: Resemble small teeth (called denticles), ranging from a few to hundreds, commonly found in the front upper jaw in young people. Complex odontomes: Irregular masses of dental tissue that don’t look like teeth. Both types appear as radiopaque (white) on X-rays with a clear border.
212
Complex Odontome (Irregular Tooth Mass): A disorganized mass of dental tissues that doesn’t resemble normal teeth. Common in children and teens, often in the lower molar area. Appears as a dense white (radiopaque) mass on X-rays, surrounded by a dark (radiolucent) line, often near an impacted tooth. Growth is self-limiting and usually stops on its own.
213
Complex Odontome (Irregular Tooth Mass): A disorganized mass of dental tissues that doesn’t resemble normal teeth. Common in children and teens, often in the lower molar area. Appears as a dense white (radiopaque) mass on X-rays, surrounded by a dark (radiolucent) line, often near an impacted tooth. Growth is self-limiting and usually stops on its own.
214
Regional Odontodysplasia (Ghost Teeth): A rare defect in tooth formation, usually affecting one part of the mouth but can involve opposite central incisors. Teeth are poorly formed, slow to erupt, and appear ghost-like on X-rays. Cause is unknown and often associated with abscessed baby teeth before or shortly after eruption.
215
216
217
218
Tx for: Primary Herpetic Gingivostomatitis, Necrotizing Gingivitis, and Necrotizing Ulcerative Periodontitis
Mnemonic: "Help, Clean, Deep!" H for Herpetic Gingivostomatitis: Hydrate (rest, fluids, soft foods), Heal with antivirals and pain relief. C for Necrotizing Gingivitis: Clean gums gently, use Chlorhexidine rinses, and fix Causes (stress, hygiene). D for Necrotizing Ulcerative Periodontitis: Deep cleaning, Drugs (antibiotics), and manage Deficiencies (nutrition, immunity).
219
Microdontia (Small Teeth): Teeth are smaller than normal, often tapering or peg-shaped. Localised: Commonly affects upper lateral incisors and third molars, occurring in about 2% of people. Generalised: Very rare, linked to conditions like pituitary dwarfism. Often associated with missing teeth (hypodontia), frequently seen in Down Syndrome and ectodermal dysplasia.
220
Microdontia (Small Teeth): Teeth are smaller than normal, often tapering or peg-shaped. Localised: Commonly affects upper lateral incisors and third molars, occurring in about 2% of people. Generalised: Very rare, linked to conditions like pituitary dwarfism. Often associated with missing teeth (hypodontia), frequently seen in Down Syndrome and ectodermal dysplasia.
221
Microdontia (Small Teeth): Teeth are smaller than normal, often tapering or peg-shaped. Localised: Commonly affects upper lateral incisors and third molars, occurring in about 2% of people. Generalised: Very rare, linked to conditions like pituitary dwarfism. Often associated with missing teeth (hypodontia), frequently seen in Down Syndrome and ectodermal dysplasia.
222
How can small teeth (Microdontia) be managed?
A: Small teeth can be treated with cosmetic fixes like veneers to enhance shape, braces to align teeth or prepare for implants, and tooth transplanting if suitable. Mnemonic: "Veneers, Braces, Transplant" V: Veneers for cosmetic improvement. B: Braces to align or create space for implants. T: Tooth transplant for unique cases. Microdontia (Small Teeth): Management Cosmetic solutions: Composite resin or porcelain veneers can improve tooth shape, though size is limited by gum margins, which may cause overhang or shadows between teeth. Orthodontics: Alignment or extraction followed by implants may be needed. Auto-transplantation: Moving a tooth from one part of the mouth to another can be considered in some cases.