what are osme examples of non-operative management?
Analgesia
Shoe wear modification
Activity modification
Weight loss (all foot and ankle condition orse if patient carrying to much weight)
Physiotherapy
Orthotics including insoles and bracing
when do you operate?
The only indication for operative management is failure of non-operative management
Pathological Grouping of Disease can be put in what categories?
(Look at aetiology – any of these underlying problems can be responsible for foot or ankle pain)
Anatomical Grouping of Disease can be put into what groups?
what are examples of forefoot problems?
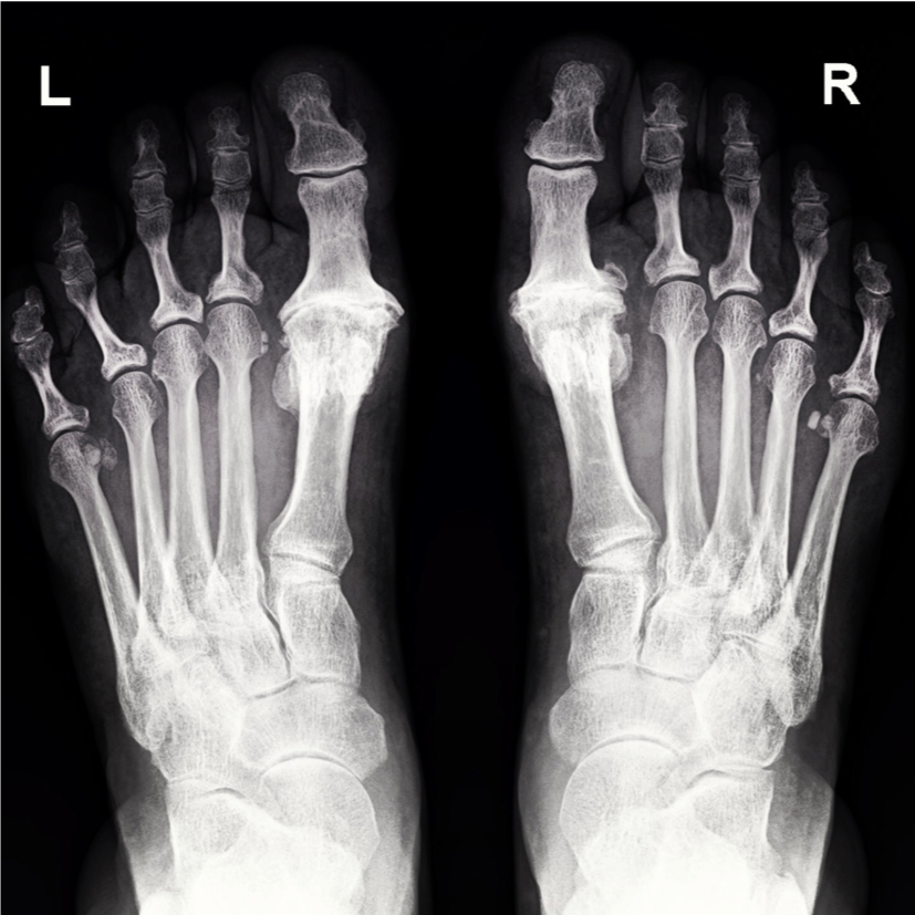
what is Hallux Valgus?
“Bunions”
a deformity of the big toe. The toe tilts over towards the smaller toes and a bony lump appears on the inside of the foot
Hallux valgus is a progressive foot deformity in which the first metatarsophalangeal (MTP) joint is affected and is often accompanied by significant functional disability and foot pain. This joint is gradually subluxed (lateral deviation of the MTP joint) resulting in an resulting in an abduction of the first metatarsal while the phalanges adduct. This often leads to development of soft tissue and bony prominence on the medial side of what is called a bunion

what is the aetiology of hallux valgus?
Genetic
Foot wear
Significant female preponderance
what are the symptoms of hallux valgus?
Pressure symptoms from shoe wear
Pain from crossing over of toes
Metatarsalgia (condition in which the ball of your foot becomes painful and inflamed)
what is the pathogenesis of hallux valgus?
Lateral angulation of great toe
Tendons pull realigned to lateral of centre of rotation of toe worsening deformity
Vicious cycle of increased pull creating increased deformity
Sesamoid bones sublux (medially) – less weight goes through great toe
As deformity progresses abnormalities of lesser toes occur

how is the diagnosis of hallux valgus made?
Clinical (probably best way, just looking at the foot)
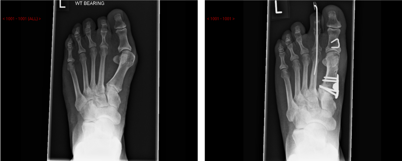
Xrays:
what is the non-operative management of hallux valgus?
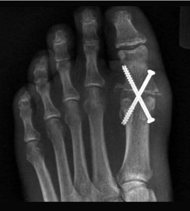
what is the operative management (if non-operative failed or unacceptable to patient) of hallux valgus?
Hallux Valgus – Scarf osteotomy
Bone broken and shifted in the coronal plane

Hallux Valgus – basal osteotomy

what is Hallux Rigidus?
It causes pain and stiffness in the joint, and with time, it gets increasingly harder to bend the toe. Hallux refers to the big toe, while rigidus indicates that the toe is rigid and cannot move
what is the aetiology of Hallux Rigidus?
Not known
Possibly genetic – typical shape of metatarsal head is slightly pointed rather than rounded
Possibly multiple microtrauma
what are the symptoms of hallux rigidus?
Many asymptomatic (incidental finding on x-ray)
Pain – often at extreme of dorsiflexion
Limitation of range of movement
what is the diagnosis of hallux rigidus?
Clinical (history and examinations)
Radiographs
radiography:
Older patient, osteoarthritis, narrowing and irregularity of the MTP joint, joint space narrowed, osteophyte, sclerosis in margins
Normal angle between 1st and 2nd metatarsals
Big dorsal osteophytes so that’s why extension is sore as rub on the soft tissues and pain impinge on dorsiflexion

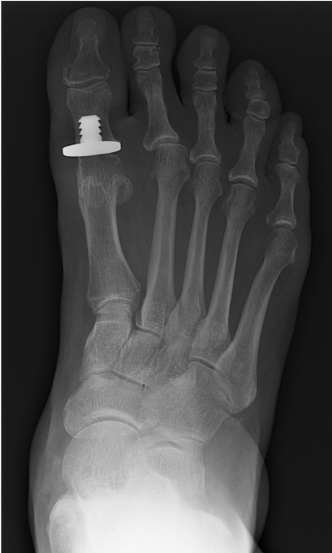
what is the management of hllux rigidus?
Non-operative:
Surgery (main ones):
what is Cheilectomy?

remove dorsal impingement
Particular pain when dorsiflexed, remove dorsal osteophytes

what is 1st MTPJ fusion?
Most reliable consistent treatment
Surface of the joint is debrided, fixation so bone crosses of the joint

what is 1st MTPJ hemiarthroplasty?

whata re some lesser toe deformities?

Lesser Toe deformities - how bone is effected

what is the aetiology of lesser toe deformities?
Imbalance between flexors/extensors
Shoe wear
Neurological
Rheumatoid arthritis
Idiopathic