What runs around Lister’s tubercle?
EPL tendon

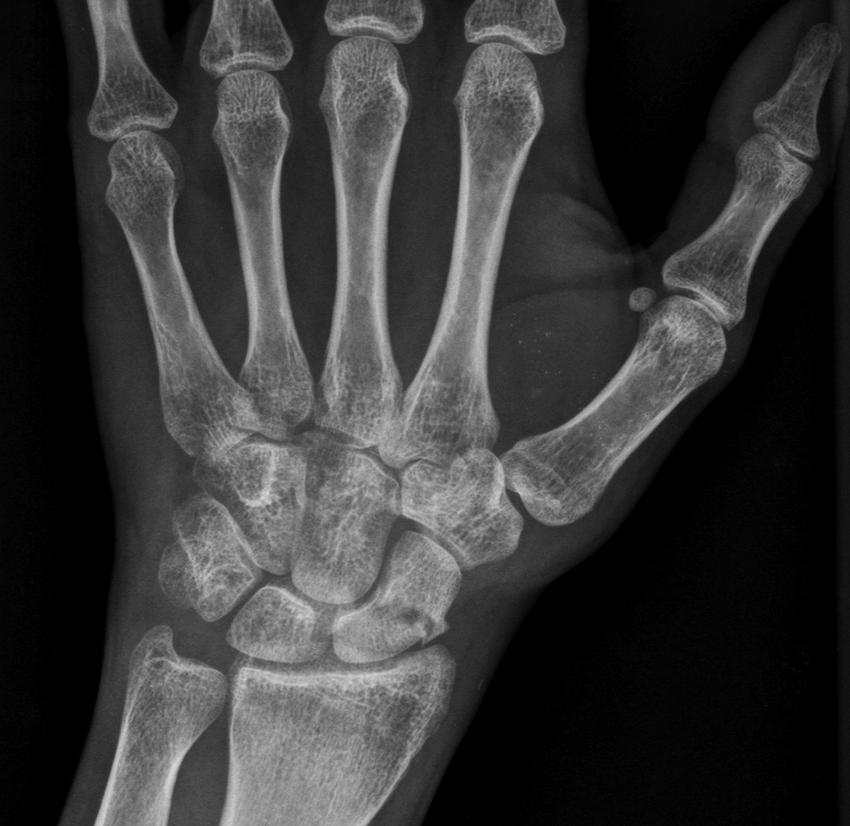
1 carpal fracture? Risks?
Scaphoid, risks of nonunion/AVN

Which bone articulates with the triangular fibrocartilage complex (TFCC)
triquetrum

Which tendon does the trapezium have a groove for?
FCR

Scaphoid lunate angle average?
47° (range 30°-60°)

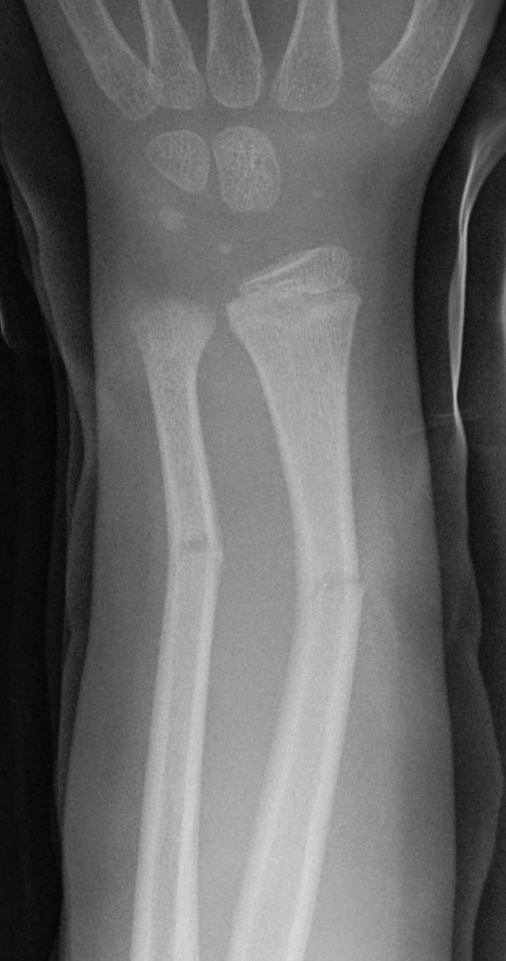
Monteggia fracture. Complications?
Proxima ulna fracture characterized by anterior angulation of ulna and anterior dislocation of radial head Complications: Radial nerve/PIN injury. Compartment syndrome

Galeazzi fracture
Distal 1/3 radial shaft fracture with distal RU dx. May be anterior or posterior.

Colles fracture
Distal radial head fracture with dorsal angulation

Frykman classification
I: extraarticular radius II: I+ulnar styloid III: Radiocarpal intraarticular IV: III+ Ulnar stuloid V: Intraarticular distal radioulnar VI: V+ulnar styloid VII: Intraarticular radiocarpal and distal radioulnar VIII: VII+ ulnar styloid

Most common scaphoid fx location? Complications?
Middle/waist followed by proximal pole and distal pole Complications: Osteonecrosis, nonunion, SLAC (scaphoid lunate advance collapse)

Mayfield classification
Perilunate instability I: Scapholunate disruption II: lunocapitate disruption III: Lunotriquetral disruption IV: lunate (peri) dislocation

Dislocation of lunate occurs through?
Space of Poirier

Torus fracture?
Buckle fracture of radius

Greenstick fracture?
concave, cortex intact or buckled.

Are palmar (volar) or dorsal hand ligaments stronger?
palmar

Radiocarpal joint: Superficial ligaments
RSC (RS and RC) long RL UC

Radiocarpal joint: Deep ligaments
short RL UL (help stabilize the DRUL) ulnotriquetral (“”) RSL (ligament of Testut)

Radiocarpal Extrinsic - dorsal
Dorsal RC (superficial and deep bundles)

Contents of the carpal tunnel?
9 tendons: 4 FDS 4 FDP 1 FPL 1 nerve: Median n

Primary fxn of triangular fibrocartilage complex?
Stabilizes the DRUJ

Borders of carpal tunnel?
Roof: transverse carpal ligament (flexor retinaculum) Floor: central carpal bones Medial wall: pisiform and hamate Lateral wall: trapezium and scaphoid

Borders of ulnar tunnel/Guyon’s canal
Floor: TCL Roof: volar carpal ligament Medial wall: pisiform Lateral wall: hook of hamate

Contents of the ulnar tunnel
Ulnar nerve and artery

1 cause of ulnar tunnel nerve compression?
Ganglion cysts
