Why does a fracture of either the radius or ulna usually also result in a fracture or dislocation of the other bone?
The radius and ulna are connected proximally and distally by rings of strong ligaments
What is a nightstick fracture?
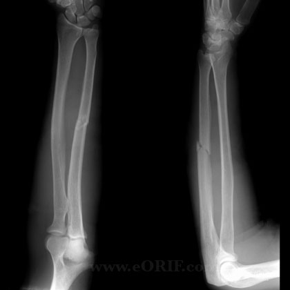
Fracture of the ulnar shaft

Fractures of the ulnar shaft are commonly associated with what?
Monteggia injury
(fracture of the ulnar shaft and dislocation of the radial head at the elbow)

How would a fracture of both forearm bones be treated?
ORIF with plates and screws
(this is due to the high degree of instability and need to prevent deformity)
Flexible intramedullary nails can be used in highly unstable cases
In children a plaster cast can be used as treated as the bone remodels easier
With isolated ulnar fractures it is advisable to take an X-ray of the _________
With isolated ulnar fractures it is advisable to take an X-ray of the elbow
(to check for Monteggia fracture)
How are Monteggia fractures treated?
ORIF
(in adults and children)
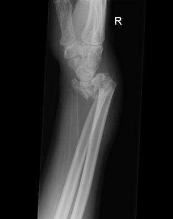
What is a Galeazzi fracture?
Fracture of the radius and dislocation of the ulna at the distal radioulnar joint

Whith any radial shaft fracture, which investigation is mandatory and why?
Lateral X-ray of the wrist
(in case of Galeazzi fracture dislocation)
How are Galeazzi fractures treated?
ORIF
A _________ fracture involves fracture of the ulnar shaft and dislocation of the proximal radial head at the elbow, whilst a __________ fracture involves a fracture of the radial shaft alongside dislocation of the ulna at the distal radio-ulnar joint
A Monteggia fracture involves fracture of the ulnar shaft and dislocation of the proximal radial head at the elbow, whilst a Galeazzi fracture involves a fracture of the radial shaft alongside dislocation of the ulna at the distal radio-ulnar join
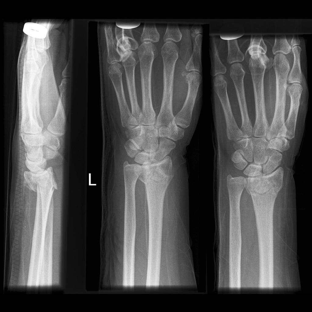
Distal radial fractures are commonly sustained in which situation?
Fall onto outstretched hand
What is a Colles’ fracture?
An extra articular fracture of the distal radius within an inch of the articular surface and with dorsal displacement or angulation

A Colles’ fracture is commonly associated with fracture of what else?
Ulnar styloid process

What are the treatment options for a Colles’ fracture?
Which neurovascular complication is commonly associated with a Colles’ fracture?
Median nerve compression
(due to stretch or bleed in carpal tunnel)
Which tendon can rupture with a Colles’ fracture?
Extensor pollicis longus
(Usually requires tendon transfer)
What is a Smith’s fracture?
A volarly displaced or angulated extra-articular fracture of the distal radius

How is a Smith’s fracture commonly sustained?
Falling onto the back of a flexed wrist

How are Smith’s fractures treated?
ORIF with plate and screws
(they are highly unstable)
A _________ fracture involves a volarly displaced distal radius, whereas a _________ involves a dorsally displaced distal radius
A Smith’s fracture involves a volarly displaced distal radius, whereas a Colles’ involves a dorsally displaced distal radius
What is a Barton’s fracture?
Intra-articular fractures of the distal radius involving dorsal or volar rims
Carpal bones of the wrist sublux with the displaced rim fragment

What are the two classifications of Barton’s fractures?
What is the treatment for a Barton’s fracture?
ORIF
How are distal intra-articular radial fractures treated when they are extremely comminuted?