Explain the principles of preparing tissue for examination under the light microscope.
Requires Fixation: Prevents breakdown of cellular material, antibacterial and toughens tissue - Formaldehyde (formalin) Embedding: Wash with alcohol then replace with xylene which is able to take up paraffin much better (this further stiffens tissue) Sectioning: Involves cutting the sample to the correct size Staining: Different stains used to show the cells (typically H&E)
What does Haemotoxylin stain and what colour is it?
Haemotoxylin binds to acidic or -ve charged compounds (such as phosphate on DNA). The compound is known as basophilic.
It displays as blue/purple colour.
What does Eosin stain and what colour does it show?
Eosin stains positively charged molecules (such as amino group found on amino acids). Mostly stains proteins. The compounds stained by Eosin is known to be acidophilic or eosinophilic.
It is seen as a orange/pink stain
What does amphophilic mean?
This is a compound that is stained by both H&E such as cytoplasm of cells with abundant RER. (DNA and protein)
Priniciple of Immunohistochemistry?
Use antibodies with specific component to target to bind to it. The antibody will then attach to that compound. An enzyme is attached which will change colour when a substrate it added to it.
What are the four basic tissue types?
Connective tissue, Epithelia, Muscle and Neural tissue
What are parenchymal and stroma?
Stroma: Support tissue
Parenchymal: Functional cells
What are the three types of Connective Tissue?
Loose connective tissue has more ground substance in it.
3.Specialised connective tissue (found in bones, cartilage, adipose tissue, blood, haemopoietic and lymphatic tissue)
How much blood in a 70kg person?
5L
Function of the Blood?
Tranport nutrients, O2, hormones, heat, cells, immune cells, waste, CO2
What proteins are found in the plasma?
Albumin, Globulins (includes immunoglobulins and antibodies), coagulation proteins
What blood cells are there?
RBC, WBC and platelets
WBC: Granulocytes - Neutrophils, Eosinophils, Basophils
Mononuclear leukocytes: macrophages and lymphcytes
What is haematocrit?
RBC Volume/Blood volume (should be about 45%
Cell charisteristic of RBC?
Biconcave disc, no nucleus or organelles, contains haemoglobulin and transports O2 and CO2
120 days in blood
What are Reticulocytes?
These are immature RBC without nucleus but has some organelles and RNA. This is how they are released into the blood. Normablast are more immature than reticulocytes (still have nucleus).
What are platelets?
Platelets are cell fragments that contain various granules (release factors for blood clotting - thromboxane and attack neutrophils). Involved in haemostasis.
Life span: 8-10 days
What is diapedesis?
Movement of blood cells through intact capillaries (transmigration)
What are neutrophils and its characteristics?
Polymorphonuclear leukocyte, phagocytic, degranulate (myeloperoxidase, lysozyme and colleganse).
Life span of several, cells part of the acute immune system, rarely found in tissue.

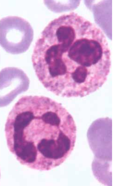
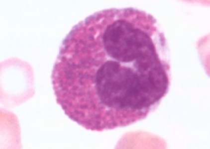
Explain Eosinophils and its characteristics
Granular WBC, biloped nucleus, eosinphilic (stains pink), involved in allergy and binding to parasites (IgE).

Explain what basophils are and their characteristics.
Biloped nucleus, basophilic granules (stains blue in cytoplasm), degranulates histamine

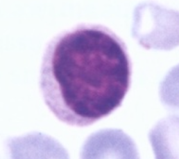
What are lymphocytes and it function and charactertics?
These are WBC that include B,T and NK cells. Slightly larger than RBC, round densely stained nucleus with thin cytoplasm.
Immune functions

What are monocytes and its characteristic?
Similar to lymphocytes with eccentric oval or bean shaped nucleus (paler) with more cytoplasm than lymphocytes.
Found in the blood stream as precursor to macrophages
What is the function of bone marrow with blood?
Site of blood cells and platelet generation - specifically immune function (B lymphocyte differentiation)
What is the process of haemopoiesis and explain how it works?
This is generation of Blood Cells that occurs in bones (adult) or liver (fetal).
Begins with haemopoietic stem cell, which proliferates then diffierentiates to either myeloid or lymphoid linage to form cells (depends on different signals).