Fracture x-rays Flashcards

(87 cards)

1
Q

What type of fracture is displayed ? [1]
Explain how you can tell [4]

A

Intracapsular fracture - Subcapital - AP:
1. Shortened femoral neck
2. Increased density of femoral neck (due to impacted bone)
3. Less troch. is more prominent
4. Shenton’s line is disrupted

How well did you know this?
1
Not at all
2
3
4
5
Perfectly
2
Q

Which type of Garden classification is shown [1]

I
II
III
IV

A

III - Complete - partially displaced

How well did you know this?
1
Not at all
2
3
4
5
Perfectly
3
Q

Which type of Garden classification is shown [1]

I
II
III
IV

A

I - Incomplete or impacted bone injury with valgus angulation of the distal component

How well did you know this?
1
Not at all
2
3
4
5
Perfectly
4
Q

What type of Garden classification is this? [1]

A

IV - Complete - totally displaced

How well did you know this?
1
Not at all
2
3
4
5
Perfectly
5
Q

What type of Garden classification is shown here? [1]

A

II - Complete (across whole neck) - undisplaced

How well did you know this?
1
Not at all
2
3
4
5
Perfectly
6
Q

What classification of Garden fracture is this? [1]

A

Garden IV fracture
* Loss of Shenton’s line
* Complete fracture of the full diameter of the femoral neck
* Total displacement of the 2 fracture components

How well did you know this?
1
Not at all
2
3
4
5
Perfectly
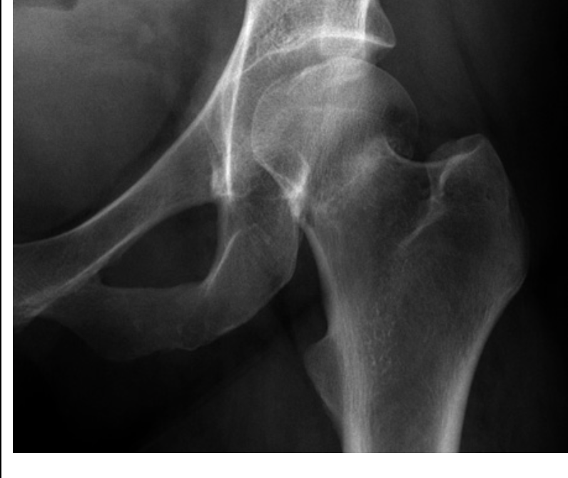
7
Q

Describe the type of fracture depicted [1]

A

Intertrochanteric fracture
* A fracture line runs between the trochanters
* There is comminution with separation of the lesser trochanter
* Note the fracture does not involve the femoral neck

How well did you know this?
1
Not at all
2
3
4
5
Perfectly
8
Q

Describe the type of fracture depicted [1]

A

Subtrochanteric fracture
This fracture passes distal to the trochanters
The femoral neck remains intac

How well did you know this?
1
Not at all
2
3
4
5
Perfectly
9
Q

Describe what has happened in this x-ray [1]

A
How well did you know this?
1
Not at all
2
3
4
5
Perfectly
10
Q

Describe the fracture in this x-ray [1]

A
How well did you know this?
1
Not at all
2
3
4
5
Perfectly
11
Q

Describe this x-ray [1]

A

Transverse fracture with rotational displacement and shortening

How well did you know this?
1
Not at all
2
3
4
5
Perfectly
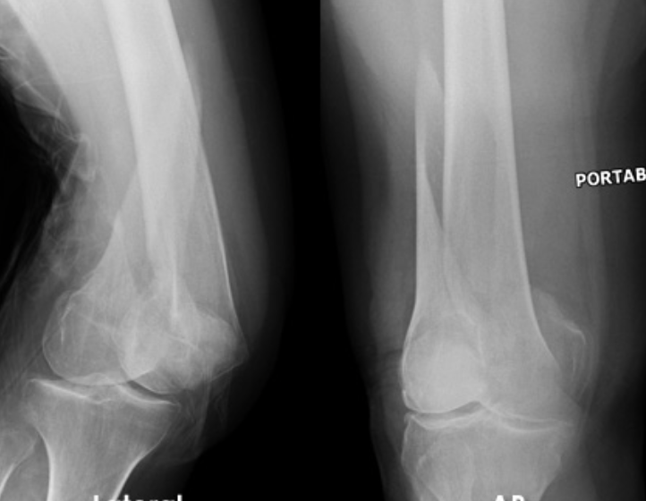
12
Q

Describe the anatomical components to the knee joint [+]

A
How well did you know this?
1
Not at all
2
3
4
5
Perfectly
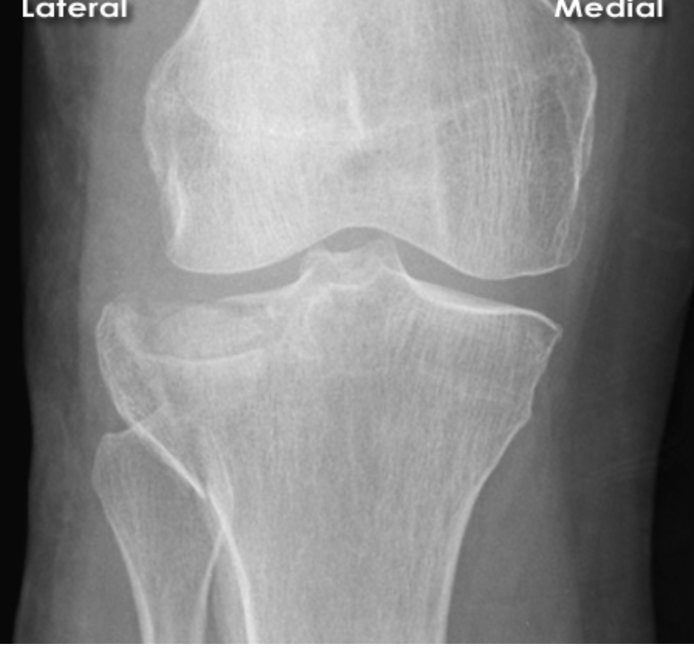
13
Q

Describe the fracture seen in this X-ray [1]

A

Lateral tibial plateau fracture
* The fracture fragment is displaced and depressed from its normal position (dotted line)

How well did you know this?
1
Not at all
2
3
4
5
Perfectly
14
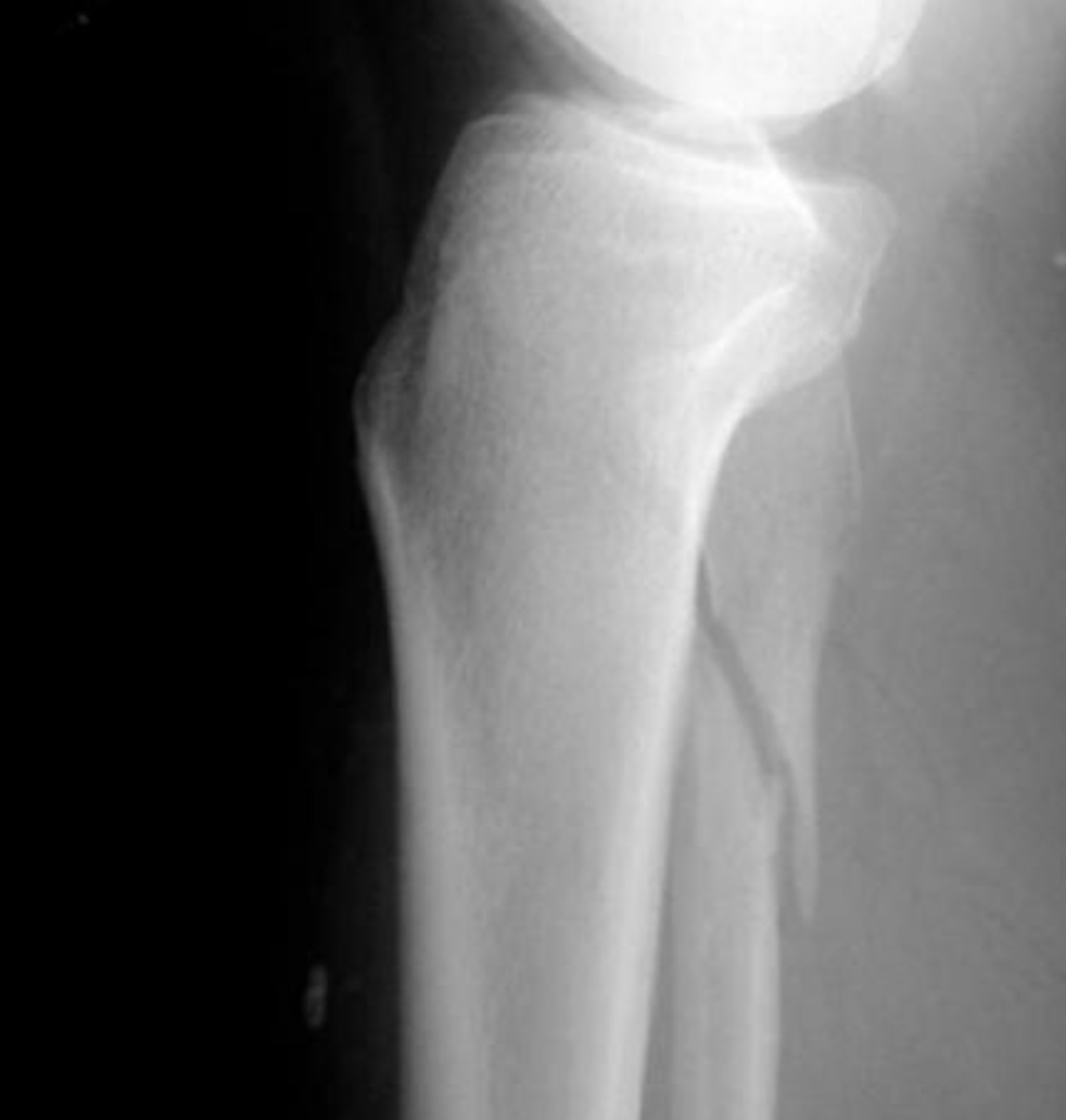
Q

What type of fracture is depicted [1]

A

Comminuted fractures of the tibial and fibular shafts with medial displacement and posterior angulation

How well did you know this?
1
Not at all
2
3
4
5
Perfectly
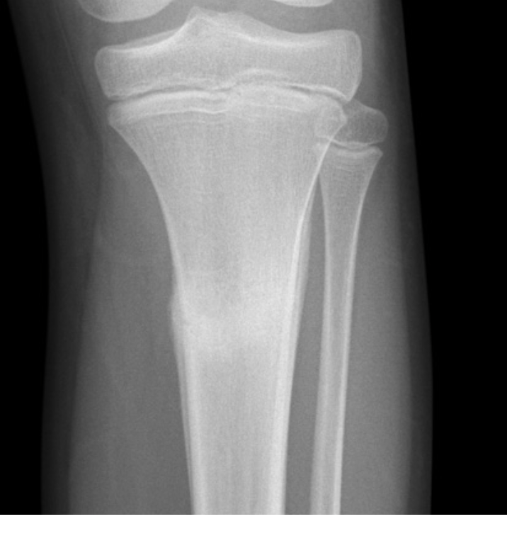
15
Q

What type of fracture is depicted [1]

A

Tibial stress fracture
* Periosteal stress reaction are signs of stress injury (often not present on the initial X-ray)
* History of chronic pain worsened by activity

How well did you know this?
1
Not at all
2
3
4
5
Perfectly
16
Q

The ankle is stabilised by multiple ligaments not visible with X-ray.

What are they? [3]

A
How well did you know this?
1
Not at all
2
3
4
5
Perfectly
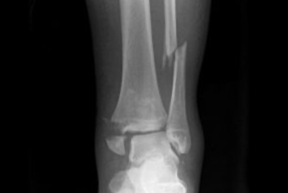
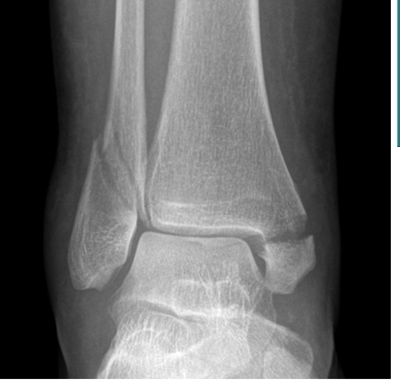
17
Q

What type of Weber’s fracture classification is pictured? [1]

A

Weber A = Distal to ankle joint (this case)

How well did you know this?
1
Not at all
2
3
4
5
Perfectly
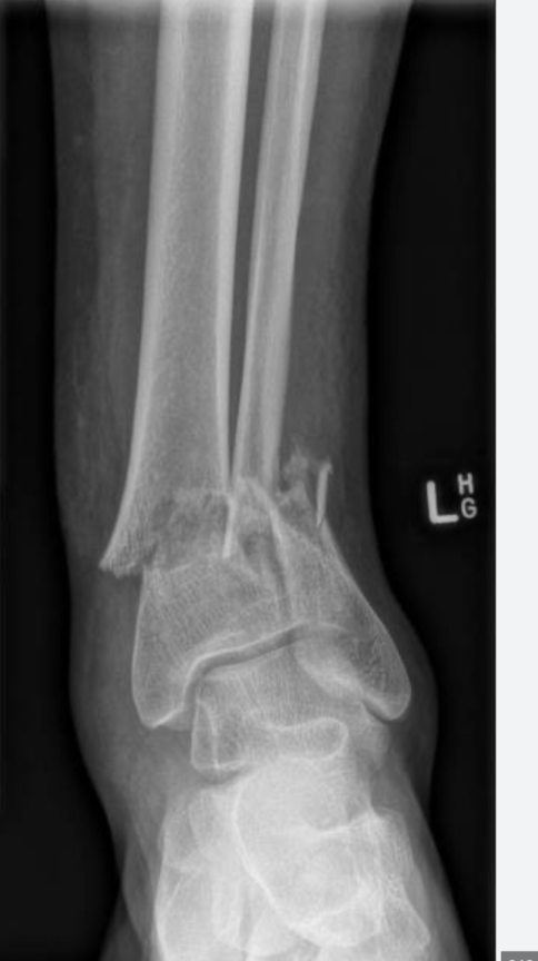
18
Q

What type of Weber’s classification is this? [1]

A

B

How well did you know this?
1
Not at all
2
3
4
5
Perfectly
19
Q

What type of fracture is shown? [1]

A

Potts fracture

How well did you know this?
1
Not at all
2
3
4
5
Perfectly
20
Q
A

Radiographs demonstrating a disruption of the distal tibiofibular syndesmosis along with a fracture of the proximal fibula, consistent with a Maisonneuve fracture.

How well did you know this?
1
Not at all
2
3
4
5
Perfectly
20
Q

Name for this fracture? [1]

A

Pilon fracture
- These fractures involve the distal tibia and its articular surface.

How well did you know this?
1
Not at all
2
3
4
5
Perfectly
21
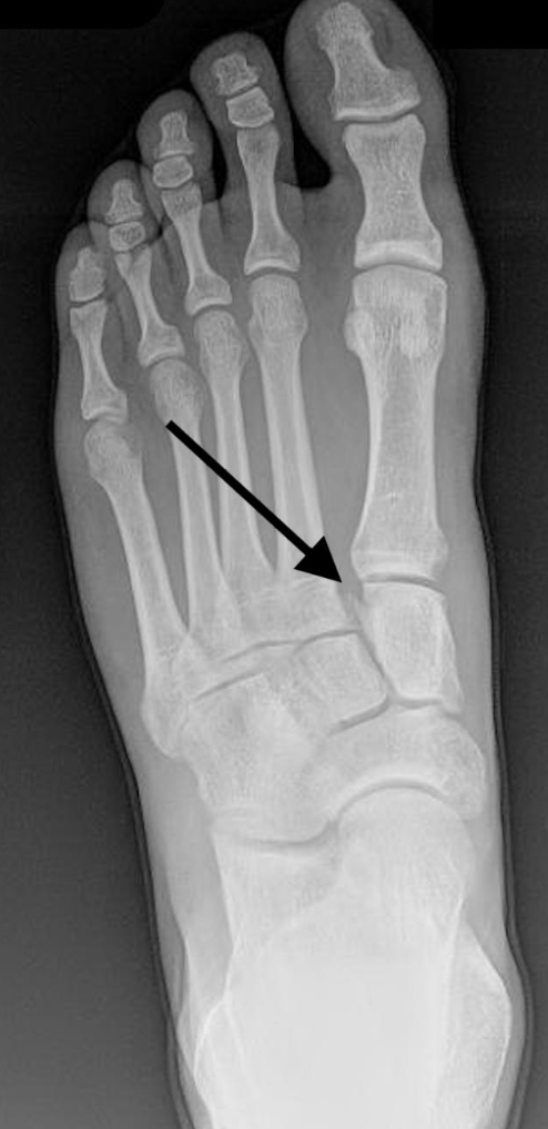
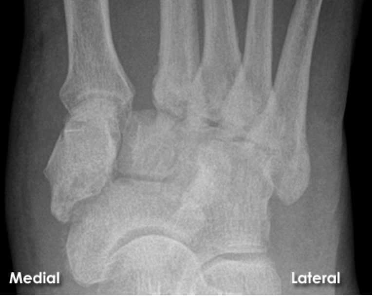
Q
A

A Lisfranc injury is a tarsometatarsal fracture dislocation characterized by traumatic disruption between the articulation of the medial cuneiform and base of the second metatarsal.
* Diagnosis is confirmed by radiographs which may show widening of the interval between the 1st and 2nd ray.

How well did you know this?
1
Not at all
2
3
4
5
Perfectly
22
Q

What’s going on in this x-ray? [1]

A

Calcaneal fracture - Lateral view

How well did you know this?
1
Not at all
2
3
4
5
Perfectly
23
Q
A
How well did you know this?
1
Not at all
2
3
4
5
Perfectly
24
25
Where is the fracture? [1]
26
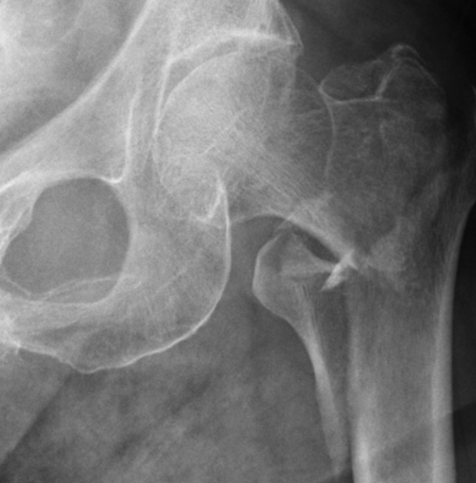
Name the fracture depicted [1]
Subcapital fracture - AP
27
Neck of femur - Transcervical fracture - AP
28
29
30
31
32
33
34
35
36
37
Which Weber's classification? [1]
B
38
Which Weber's classification? [1]
C
39
Which Webers classification? [1]
40
What should you suspect from this x-ray? [1]
41
This x-ray X ankle instability = ?
42
43
Name for this fracture? [1]
44
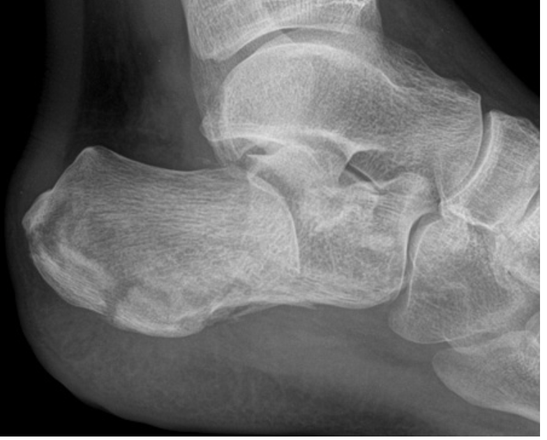
45
On a calcaneal fracture, what are you spefically looking for? [1]
**Calcaneus fracture - Reduced Bohler's angle - Lateral**
46
47
48
What is the type of fracture? [1] What is the mechanism of impact that causes this impact? [1]
**Boxer's fracture** - The X-ray shows a transverse fracture through the neck of the right fifth metacarpal bone, which is consistent with a Boxer's fracture. - The mechanism of injury is almost always a result of direct impact to a clenched fist against a solid surface (eg. human face or wall).
49
An x-ray is requested and reported as "vertical pattern patella fracture with minimal displacement". What is the most appropriate management plan?
**Conservative management with cricket pad splint and full-weight bearing**
50
51
Maisonneuve injury
52
**Lisfranc Injury**
53
Galeazzi fracture
54
The radiograph shows AP and lateral projections of a transverse patellar fracture
55
X-ray features consistent with a **Bennett** **fracture** include **an intra-articular fracture of the base of the first metacarpal bone**. The mechanism for this injury is forced abduction of the thumb.
56
**Monteggia fracture** X-ray features of a Monteggia fracture include an ulnar shaft fracture with an associated radial head dislocation. T
57
Bennett fracture
58
Describe this x-ray [1]
**Acromioclavicular joint disruption**
59
Describe this x-ray [1]
**Shoulder - Normal Y-view** The Y-view is so named because of the Y shape of the scapula formed when looking at it laterally The humeral head is correctly aligned - it overlies the glenoid and is positioned posterior to the coracoid
60
Describe this x-ray [1]
**Anterior shoulder dislocation - AP view** - Humeral head and glenoid surfaces are not aligned - The humeral head lies below the coracoid
61
62
What pathology is depicted? [1] Describe the findings in this x-ray [1] How would the patient present? [1]
**Posterior shoulder dislocation - AP view** - **The glenohumeral joint is widened** - Following posterior dislocation the **humerus is held in internal rotation**
62
63
Describe this pathology [1]
**Glenoid fracture - (Bony Bankart)**
64
What angulation is the fracture? [1]
65
Draw and label normal elbow anatomy [4]
66
Describe this fracture [1]
**Colles fracture:** * **Distal radius fracture - Dorsal displacement**
67
Describe this fracture [2]
**Distal radius fracture - Palmar displacement** * Palmar (volar) displacement and angulation * Shortened radius * This injury is often referred to as a 'reverse Colle's' fracture or **'Smith's' fracture**
68
**Forearm fracture/dislocation - Monteggia type**
69
Paediatric case
**Torus fracture**
70
71
72
73
74
75
Anterior or posterior dislocation? [1]
Anterior
76
Describe this fracture [1]
**Flattening or indentation of the posterior humeral head** following **shoulder** **dislocation** is known as a '**Hill-Sachs' lesion**
77
**Shoulder - Anterior dislocation/glenoid fracture - AP** - A fracture of the **anterior** **glenoid** following **shoulder** **dislocation** is known as a '**bony Bankhart' lesion**
78
79
80
81
82
**Monteggia fracture-dislocation - Lateral**
83
**Galeazzi fracture-dislocation - AP** - A 'Galeazzi' injury is a fracture of the radial shaft with dislocation of the ulna from its articulation with the radius at the distal radio-ulnar joint
84
85