Describe Salter Harris classification? + Common sites of occurance
type I: distal radius, femur and tibia
type II: distal radius, femur and tibia
type III: medial maleolus and ankle
type IV: medial maleolus and ankle
type V
ruined or rammed
uncommon < 1%
crushing type injury does not displace the growth plate but damages it by direct compression
worst prognosis

How are growth plate fractures classified
Salter Harris
Mx of salter Harris fractures?
1 + 2: extra articulate - closed reduction and plaster of Paris
3 + 4: intra articular open reduction and internal fixation if more than 2mm displacement
Decribe common appearance of humeral physis fractures + Mx
Decribe patterns of injury arround the elbow
NB! cant see facture look for Fat Pad Sign
Mx of elbow injury?
DDx of painful elbow/ no obvious fracture dislocation?
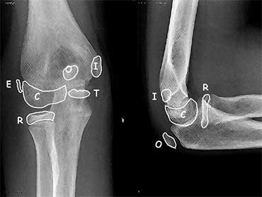
ossification centres around the elbow?

Most common elbow fracture?
Supracondylar fracture
Mech of injury in supracondylar?
Hyperextention of the elbow
Classification of supracondylar + Mx?
Complications of Supracondylar fractures?

Mech of injury Lateral Condylar fracture?
Mx of Lateral Condylar fractures?