Impacted fracture
Impacted fracture can be caused by a fall, strike from an object, or by twisting action or bending of the bone.

Simple fracture
This is a complete fracture where the bone is broken into two fragments.

Hairline fracture
A common overuse injury most often seen in athletes.
Can also be caused by an acute event, e.g. a car crash or a fall.
Where the bone experiences a very high force that causes the hairline fracture to propagate.

Greenstick fracture
A “greenstick fracture” means that one side of the fracture has broken and one side is bent; therefore it is classified as an incomplete break.
Occurs in children where their bones are more bendy and pliable.

Closed fracture
A closed fracture is a broken bone that does not penetrate the skin.

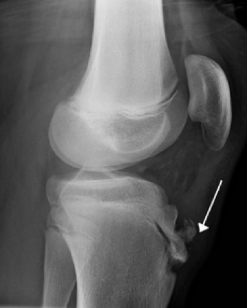
Avulsion fracture
This is an example of an avulsion fracture where there is an injury to the bone in a place where a tendon or ligament attaches to the bone.
When an avulsion fracture occurs, the tendon or ligament pulls off a piece of the bone.
Avulsion fractures are more common in children than adults.

Osgood-Schlatters disease
Caused by repetitive forceful contractions of the quadricep muscles giving rise to tiny avulsion fractures at the tendon attachment on the tibia.
The bone will try to repair itself by adding more calcium to the area to protect and strengthen the attachment.
Common in young sportsmen and women.

Compression fracture
The normal vertebral body of the spine is compressed, to a smaller height. See in patients who are involved in traumatic accidents.
When a load placed on the vertebrae exceeds its limit, it may collapse
More commonly seen, in patients with osteoporosis, which weakens the internal structure of vertebrae. This is common in the elderly especially women and causes major disability.

Multi-fragmentary fracture
This is a complete fracture, where the bone is broken into several fragments resulting from very traumatic injury. Generally this requires pinning or plates to effect repair.

Open fracture
The broken bone penetrates the skin. When a broken bone penetrates the skin there is a need for immediate treatment, and an operation is often required to clean the area of the fracture. Because of the risk of infection, there are more often problems associated with healing. Typically caused by high-energy injuries such as car crashes, falls, or sports injuries. In these cases huge amounts of soft tissue damage can also occur.

Crush injuries
These are generally very complex injuries involving a lot of soft tissue damage in combination with fractures and joint damage resulting from major trauma. There is often extensive neuro-vascular damage requiring complex surgery to repair.

Fracture repair mechanisms
