Fractures, Bone Healing, & Splinting Flashcards

(75 cards)

1
Q

What is a fracture? What is the goal of its repair?

A

(in)complete break in the continuity of bone or cartilage

early return of the patient to full function of the limb

How well did you know this?
1
Not at all
2
3
4
5
Perfectly
2
Q

What are transverse, oblique, and spiral fractures?

A

TRANSVERSE = angle of the fracture line is perpendicular to the long axis of the bone

OBLIQUE = angle of the fracture line is on a diagonal to the long axis to the bone

SPIRAL = fracture line curves around the bone

How well did you know this?
1
Not at all
2
3
4
5
Perfectly
3
Q

What are the 5 types of Salter-Harris fractures?

A

I - fracture of the physis (slip)
II - physis + metaphysis
III - physis + epiphysis
IV - physis + metaphysis + epiphysis
V - physeal compression

higher grade = decreased prognosis of physeal survival resulting in the halting of bone growth

How well did you know this?
1
Not at all
2
3
4
5
Perfectly
4
Q

What is the difference between reducible and irreducible fractures?

A

REDUCIBLE - able to be put back into alignment, usually more simple and low energy

IRREDUCIBLE - can’t use pins and plates to correct small splintering of bones, cannot be put back into alignment (jigsaw puzzle)

How well did you know this?
1
Not at all
2
3
4
5
Perfectly
5
Q

What are incomplete, avulsion, and pathological fractures?

A

INCOMPLETE = portion of cortex is intact (Greenstick fracture, common in young animals), which tend to heal quickly with a good prognosis

AVULSION = insertion point of a tendon or ligament is fractured

PATHOLOGICAL = fracture occurs because of underlying disease, like osteoporosis or neoplasia

How well did you know this?
1
Not at all
2
3
4
5
Perfectly
6
Q

What is the difference between fissure and folded fractures?

A

FISSURE = fracture line runs parallel to the long axis

FOLDED = fracture occurs in demineralized bone

How well did you know this?
1
Not at all
2
3
4
5
Perfectly
7
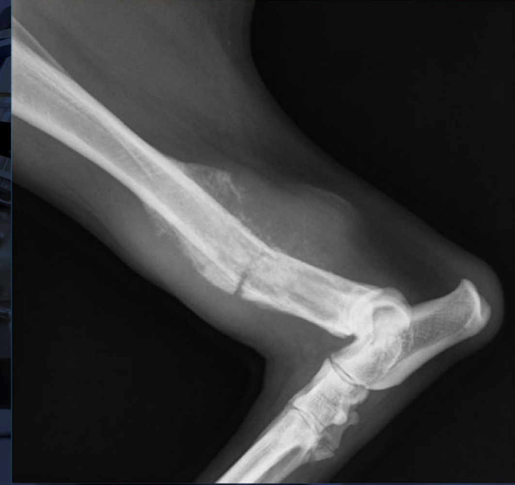
Q

Incomplete fracture:

A
How well did you know this?
1
Not at all
2
3
4
5
Perfectly
8
Q

Avulsion fracture:

A

cartilaginous tibial tuberosity

How well did you know this?
1
Not at all
2
3
4
5
Perfectly
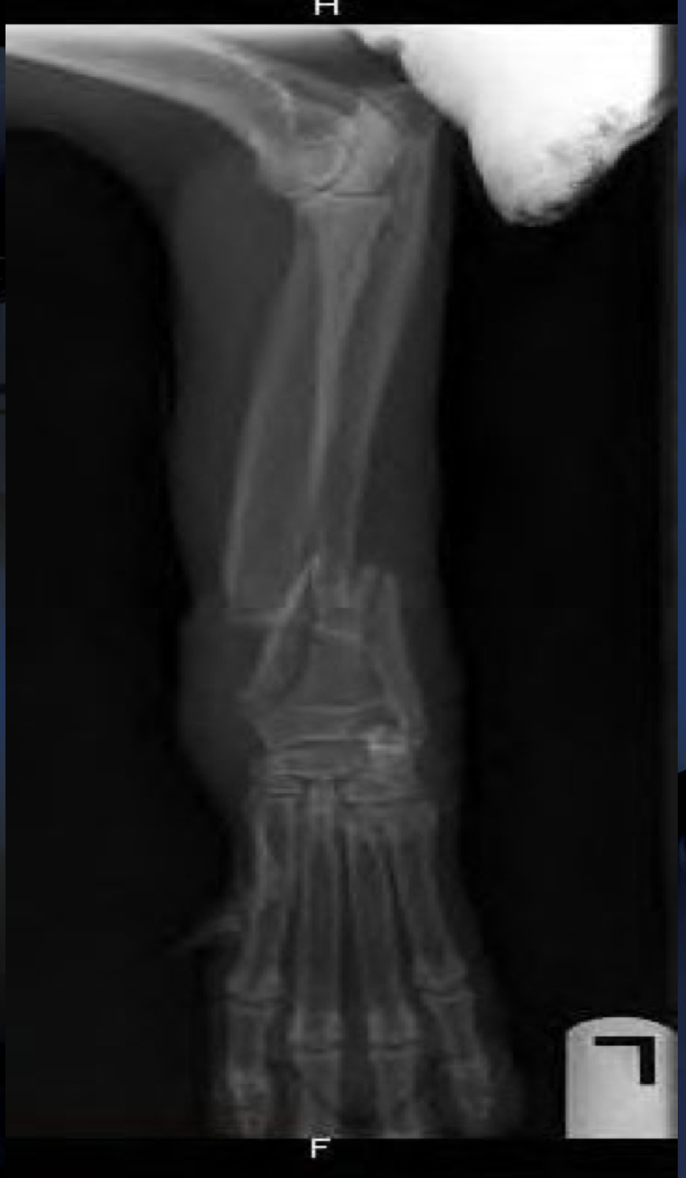
9
Q

Pathological fracture:

A

neoplasia

How well did you know this?
1
Not at all
2
3
4
5
Perfectly
10
Q

Fissure fracture:

A
How well did you know this?
1
Not at all
2
3
4
5
Perfectly
11
Q

What is the difference between open and closed fractures?

A

OPEN = developed a communication with the external environment

CLOSED = no communication with the external environment

How well did you know this?
1
Not at all
2
3
4
5
Perfectly
12
Q

What is the difference between Type 1 and 2 open fractures?

A

TYPE 1 = small points of bone penetrates through the skin, typically out of < 1 cm lacerations, considered clean

TYPE 2 = external object penetrates soft tissue out of > 1 cm lacerations with mild soft tissue trauma (decreased extraosseous blood supply from local muscle)

How well did you know this?
1
Not at all
2
3
4
5
Perfectly
13
Q

What are the 3 subtypes of Type 3 open fractures?

A

3a - vast soft tissue laceration with soft tissue available for closure

3b - extensive soft tissue injury and loss with bone exposure and stripped periosteum

3c - arterial supply damaged and requiring repair for limb salvage

How well did you know this?
1
Not at all
2
3
4
5
Perfectly
14
Q

What are the 4 most common causes of fractures?

A
  1. direct insult - HBC
  2. indirect insult - force transmitted through bone from a distant point, like the femoral neck and tibial tuberosity
  3. pathological - neoplasia, nutritional
  4. repeated stress - metacarpal and metatarsal bones in racing Greyhounds
How well did you know this?
1
Not at all
2
3
4
5
Perfectly
15
Q

Forces on bones:

A
How well did you know this?
1
Not at all
2
3
4
5
Perfectly
16
Q

What should be taken into account when deciding how to repair fractures?

A
  • bone affected: weight bearing, non-weight bearing, articular, non-articular
  • size/weight of patient
  • direction of fraction lines
  • loss of bone
  • forced acting on bone

choose a method that counteracts the forces acting on the bone and is comfortable enough to enable use of limb for load sharing

How well did you know this?
1
Not at all
2
3
4
5
Perfectly
17
Q

What are the 2 methods for fixation of fractures?

A
  1. REDUCTION - reestablishing normal alignment of fracture fragments
  2. FIXATION - securing fracture fragments to withstand forces acting on fracture following reduction
How well did you know this?
1
Not at all
2
3
4
5
Perfectly
18
Q

What is a closed reduction?

A

reducing a fracture without surgically exposing the fractured bones

How well did you know this?
1
Not at all
2
3
4
5
Perfectly
19
Q

What are 3 pros and a con to closed reductions?

A
  1. preserved soft tissue and blood supply
  2. decreases risk of infection
  3. decreasing operating time

difficult to obtain accurate reconstruction

How well did you know this?
1
Not at all
2
3
4
5
Perfectly
20
Q

What are 4 indications for external coaptation?

A
  1. closed fracture below elbow or stifle
  2. fractures in which bone will be stable after reduction - Greenstick, intact periosteal sleeve, impaction fractures
  3. fractures in which bone can be expected to heal quickly
  4. small, long legged breeds
How well did you know this?
1
Not at all
2
3
4
5
Perfectly
21
Q

What is an open reduction?

A

surgical approach to expose fracture in order to reconstruct and stabilize

How well did you know this?
1
Not at all
2
3
4
5
Perfectly
22
Q

What are 3 pros and cons to performing open reductions?

A

PROS:
- direct visualization of fracture to facilitate reconstruction
- allows direct placement of implant
- allows load sharing

CONS:
- use of bone grafts increase surgical time
- increased soft tissue/blood supply trauma
- increased risk of infection

How well did you know this?
1
Not at all
2
3
4
5
Perfectly
23
Q

What are 3 indications for open reduction?

A
  1. fractures that are unstable and more complicated
  2. internal fixation required
  3. fractures involving articular surfaces
How well did you know this?
1
Not at all
2
3
4
5
Perfectly
24
Q

What are some rules for open reductions?

A
  • be gentle and efficient
  • attain strict hemostasis
  • follow normal separations between muscles and fascial planes
  • incise muscles close to origin/insertion if needed
  • know location of major vessels and nerves
  • preserve soft tissue and blood supply
How well did you know this?
1
Not at all
2
3
4
5
Perfectly
25
What is the purpose of fixation?
counteracts forces acting on fractures while allowing some load of weight bearing to allow for optimal healing (NOT used for severely comminuted fractures)
26
When are transverse fractures stable? Unstable?
in compression ---> ideal for load sharing (less stress on fixation) in bending and rotation
27
When are oblique fractures stable? Unstable?
in bending are rotation in compression
28
When are comminuted fractures stable?
NEVER ---> fracture will displace or collapse when any forces are applied = NO LOAD SHARING
29
How are transverse fractures reduced?
- apply traction - lift bone ends from incision - place ends in contact - apply force to place in normal position use a slim instrument and apply it as a lever
30
How are oblique fractures reduced?
- distract bone segments - use 2 self-retaining pointed reduction bone forceps positioned obliquely to reduce (lever can snape the bone!)
31
What are scapular fractures associated with? What are the 3 categories?
blunt trauma ---> look for life-threatening injuries to the thorax! 1. stable extraarticular - conservative tx 2. unstable extraarticular - surgical tx 3. intraarticular - surgical tx
32
What are the 2 most common articular scapular fractures?
1. avulsion of glenoid tubercle where biceps brachii attach 2. scapular neck
33
In what patients are glenoid tubercle avulsions most common? How do they typically present? How is this repaired?
young, large breeds acute severe lameness lag screw or pin and tension band
34
How are scapular neck fractures repaired? What needs to be avoided?
acromion osteotomy for surgical access with various methods of fixation suprascapular nerve
35
What portion of the humeral condyle is most commonly affected by fractures? Why? In what animals can this be a genetic predisposition?
lateral portion ---> increased weight bearing and smaller epicondylar crest incomplete ossification seen in Spaniel breeds
36
What is imperative to humeral condylar fracture repair? What is the primary means of fixation? What is done for T/Y fractures?
anatomical reduction and alignment (failure to do so decreases ROM and can cause articular damage and osteoarthritis) lag screw and anti-rotational wire plate application
37
What must be achieved when placing lag screws and anti-rotational wires for humeral condylar fracture repair? What should be avoided?
compression across condyle engagement of the physis in young animals and trochlear fossa
38
What may be required in young and growing animals after humeral condylar fracture repair?
implant removal
39
What are Monteggia fractures? What type if the most common? How are they repaired?
fracture of the ulna with dislocation of the radial head Type I - cranial displacement of radial head must repair ulnar fracture and any ruptured ligaments to maintain radial reduction
40
In what animals are distal diaphyseal radius/ulna fractures most common? How do they compare to other types of fractures?
- young, small breeds - pathological fractures in older, large breed dogs related to neoplastic processes higher risk of delayed union or non-union ---> inherently unstable with poor blood supply, soft tissue coverage, and intraosseous circulation
41
When are non-unions and malunions especially common with distal diaphyseal radius/ulna fractures?
external coaptation - poor candidates for casting, compliance, cast application, or blood supply *recommend surgery for all complete distal radial/ulna fractures in small breed dogs*
42
What are metacarpal and metatarsal fractures most commonly associated with? What are 2 methods of management?
trauma 1. plantar/palmar splints - can result in amputation and malunions 2. surgery - small bone plates, external fixator, IM wires
43
When are pelvic fractures most commonly seen? What is characteristic? Is surgery required?
HBC trauma more than one fracture is common due to the box shape of the pelvis not always - intrinsically stable with muscle surrounding
44
What are 2 important considerations with pelvic fractures?
1. evaluate for more life-threatening injuries (HBC) - thoracic and abdominal imaging for hernias, pneumothroax, free abdominal fluid, etc. 2. perform a thorough neurologic exam - pelvic limb function, anal tone, urinary continence, tail sensation (sciatic nerve!)
45
What are 3 situations where surgical stabilization may be necessary for pelvic fractures? What has the highest priority?
1. marked decrease in size of pelvic canal 2. fracture of acetabulum 3. instability of hip caused by ilium, ischium, or pubis fracture (unilateral or bilateral) acetabular and ilial fractures and sacroiliac luxations - weight-bearing bones!
46
When is conservative management indicated for pelvic fractures? What complications can occur?
stable, minimally displaced fractures that do not disrupt the continuity of pelvic canal ---> strict cage rest for 6-8 wks + intensive nursing care - malunion with pelvic canal narrowing - entrapment of sciatic nerve in callus - nonunion (?)
47
What are the 2 most common sites for spinal fractures and luxations? What is commonly associated?
1. T3-L3 2. L4-L7 concurrent injuries (other fractures!) - base treatment off of neuro exam
48
What are the 2 most sensitive methods for evaluating vertebral column injuries?
1. CT - bony lesions, better for assessing multiple sites of injury; requires limited patient manipulating to obtain excellent images 2. MRI - spinal cord and changes within canal, better for assessing spinal cord compression secondary to traumatic disk extrusion
49
What are the 2 surgical goals to spinal fracture and luxation repair?
1. decompression of spinal cord 2. stabilization of vertebral column
50
What are important aspects of bandaging and splinting?
- muzzle +/- restrain - stirrups - open toes to check for swelling - stretch materials if 360 degrees around limb - immobilize joints above and below injury - monitor and check often
51
What are 4 important considerations for padding application?
1. even application 2. 50% coverage 3. 3-4 layers 4. stretch rolls while applying/beforehand
52
How are splints added to bandages?
- secured with tape outside of gauze layer - place an additional gauze layer - complete placement by placing stirrups then the tertiary layer
53
What are 3 examples of fractures with poor blood supply? What are they at risk for?
1. distal radial/ulnar fractures in toy breeds 2. distal tibial fractures in dogs 3. highly comminuted fractures with severe soft tissue damage nonunion ---> require special care in fixation
54
How are comminuted fractures repaired? What equipment is used?
bridging osteosynthesis technique - comminuted area is NOT reconstructed, allowing preservation of soft tissue enveloping the fragments and blood supply while aligning them bone plates, interlocking nail of Type I ESF on proximal and distal fragments to maintain length of bone
55
What are the 3 main arterial blood supplies to the femoral head and neck?
1. medial circumflex femoral artery 2. caudal gluteal artery 3. lateral circumflex femoral artery
56
What are the 3 A's of fracture assessment?
1. Alignment - Are fragments in the same position as in immediate post-op radiographs? 2. Apparatus - Is the apparatus stable? 3. Activity - Does the fracture site show progression in healing (callus formation, fracture line)?
57
What is the difference between clinical and bone union?
CLINICAL - fracture is healed sufficiently to allow weight-bearing without complications with a hard bridging callus, no movement or pain at the fracture site, and a visible fracture line BONE - fracture healed radiographically
58
What is the difference between malunion and delayed union fractures?
MALUNION - fracture has healed, but with poor alignment that can compromise the function of the limb (deformities) DELAYED - fracture has not healed in the expected time for the type of fracture, patient, and method of repair - some evidence of healing with callus formation and resorption of bone
59
What affects the rate of bone healing?
- age - blood supply - energy level of trauma - infection - metabolic status (Cushing's, catabolic state slow) - means of stabilization
60
What rates of healing are expected with patients 6-12 months of age and >1 year of age?
6-12 months - 5-8 weeks with casts, pins, and wires; 3-4 months with plates >1 year - 7-12 weeks with casts, pins, and wires; 5 months to 1 year with plates
61
What are nonunion fractures? What is the most common sign of this? What are 3 causes?
fracture has not healed and is not likely to do so without intervention signs of healing have ceased on radiographs 1. apparatus failed or is inadequate 2. loss of alignment 3. sequestrum
62
What are 4 clinical signs of delayed union and nonunion fractures?
1. persistent pain at fracture site 2. instability at fracture site 3. non-weight bearing lameness 3. disuse muscle atrophy (nonunion: +/- no pain at fracture site, may be weight-bearing with pseudoarthrosis)
63
What are 3 radiographic signs of delayed union and nonunion fractures?
1. persistence of fracture gap 2. sclerosis of fracture ends 3. sealing of medullary cavity at fracture ends
64
What is the significance of activity at the site of delayed and nonunion fracture sites?
non-bridging "elephant's foot" - hypertrophic, vascular, viable active nonunion ---> widening with persistent gap + false joint absence of callus = atrophic, non-viable, inactive nonunion
65
What is indicative of viable/biologically active nonunion fractures?
- callus formation: does NOT bridge the fracture - pseudoarthrosis
66
What is indicative of non-viable/biologically inactive nonunion fractures?
- little to no callus formation - rounding of fracture ends become pointed - sclerosis at fracture ends - sealing of medullary cavity at fracture site
67
What is an atrophic nonunion fracture?
inability of a fracture to heal with bone being actively reabsorbed
68
What are the 6 most common causes of nonunion fractures?
1. instability at fracture site* - inadequate stabilization and post-op care 2. inadequate blood supply - poor surgical technique, trauma after fracture 3. infection - delays healing with lack of rigid stabilization 4. excessive gap at fracture site - iatrogenic, traumatic, ischemic, or septic bone loss 5. excessive post-op use of limb - implant failure, excessive motion 6. improper metal - electrolytic reaction, bone loss and necrosis (not as common now with surgical grade equipment)
69
What are 3 common sites of nonunion fractures?
1. distal radius and ulna in toy breeds - avascular 2. distal tibia in older animals 3. transverse diaphyseal fractures of femur in older animals - vascular
70
How are delayed union fractures repaired?
improve mechanical environment if alignment is accurate by applying additional fixation and reduce activity - if no improvement within 2-4 weeks, update status to nonunion
71
What are the 2 options for treating biologically active nonunion fractures?
1. improve environmental environment by applying additional fixation device, changing fixation device, and restricting exercise 2. open reduction with cancellous bone graft - incise soft callus to get to bone, peel back hard callus, remove loose wires/lost sponges/sequestrum
72
What are sequestra?
unattached devitalized pieces of bone that are indicative of osteoclastic activity
73
Nonunion fracture:
not aligned well with pseudoarthrosis
74
What is required for treating biologically inactive fractures?
SURGERY - open medullary canal and debride sclerotic bone - apply appropriate rigid fixation - cancellous bone graft - encourage limb use
75
How are malunion fractures treated?
- if use of limb is satisfactory - treatment not indicated ---> aesthetic changes in motion, limb healed well without pain - if use of limb is not satisfactory - corrective osteotomy and internal fixation