FTM_01 Flashcards

(65 cards)

1
Q

DNA is found in what organelle

A

Nucleus

How well did you know this?
1
Not at all
2
3
4
5
Perfectly
2
Q

List out the numerous components associated with the nucleus

A

-Nuclear envelope -Nuclear lamina -Nuclear pores -Nucleolus -Nucleoplasm

How well did you know this?
1
Not at all
2
3
4
5
Perfectly
3
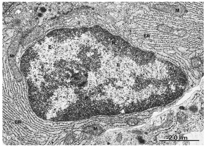
Q

Identify parts of the nucleus histological image:

A

Answer:

How well did you know this?
1
Not at all
2
3
4
5
Perfectly
4
Q

Describe the general structure of the nuclear envelope

A
  • Considered the “membrane of the nucleus”
  • Dual structure (inner and outer)
How well did you know this?
1
Not at all
2
3
4
5
Perfectly
5
Q

Describe the inner nuclear membrane (what it faces and its contact)

A
  • Faces => nucleoplasm
  • Contact => nuclear lamina
How well did you know this?
1
Not at all
2
3
4
5
Perfectly
6
Q

Describe the outer nuclear membrane (what it faces and its contact)

A
  • Faces => cytoplasm
  • Contact => continuous w/ rER
How well did you know this?
1
Not at all
2
3
4
5
Perfectly
7
Q

Describe nuclear lamina structure and function

A
  • Thin, sheet-like meshwork
  • Scaffold/network for the nuclear envelope, chromatin, and nuclear pores
How well did you know this?
1
Not at all
2
3
4
5
Perfectly
8
Q

What intermediate filaments are associated w/ the nuclear lamina

A

Lamin A and lamin B

How well did you know this?
1
Not at all
2
3
4
5
Perfectly
9
Q

During mitosis (somatic cell division) what will happens to our complex networks of lamina

A

Disassembly

How well did you know this?
1
Not at all
2
3
4
5
Perfectly
10
Q

Explain Hutchinson-Gilford Progeria

A
  • Mutation of lamin A.
  • Alters the shape of nucleus
  • Severely aged appearance
How well did you know this?
1
Not at all
2
3
4
5
Perfectly
11
Q

Describe the Nuclear Pore Complex

A
  • Found on nuclear envelope
  • regulates what goes in and out of cell
How well did you know this?
1
Not at all
2
3
4
5
Perfectly
12
Q

What is the NPC comprised of

A

Nucleoporins (specialized proteins)

How well did you know this?
1
Not at all
2
3
4
5
Perfectly
13
Q

Molecules less than 9mm can _____ through the NPC

A

-freely diffuse

How well did you know this?
1
Not at all
2
3
4
5
Perfectly
14
Q

Molecules greater than 9mm require _____ through the NPC

A

-active transport

How well did you know this?
1
Not at all
2
3
4
5
Perfectly
15
Q

Describe the significance of the nucleolus

A

-Site of ribosomal production

How well did you know this?
1
Not at all
2
3
4
5
Perfectly
16
Q

What is Chromatin

A

Condensed DNA

How well did you know this?
1
Not at all
2
3
4
5
Perfectly
17
Q

During eukaryotic packing, linear DNA is wrapped around _______ proteins to form ______.

A

Histone, nucleasome

How well did you know this?
1
Not at all
2
3
4
5
Perfectly
18
Q

In forming the nucleosome, DNA is wrapped around ______

A

Twice

How well did you know this?
1
Not at all
2
3
4
5
Perfectly
19
Q

Describe the structure of the nucleosome

A

Nucleosome is comprised of 4 pairs of proteins:

1) H2A
2) H2B
3) H3
4) H4

8 into total (also called histone octamer)

How well did you know this?
1
Not at all
2
3
4
5
Perfectly
20
Q

What protein anchors the DNA to the histone octamer. (What protein keeps the nucleosome structure stable)

A

H1 protein

How well did you know this?
1
Not at all
2
3
4
5
Perfectly
21
Q

Description of the levels of DNA packing

A

linear DNA => nucleosome fiber (beads on a string) => solenoid (30 nm)

How well did you know this?
1
Not at all
2
3
4
5
Perfectly
22
Q

Describe 30 nm packing of DNA

A

Nucleosomes collapse onto each other and are tied down by H1

How well did you know this?
1
Not at all
2
3
4
5
Perfectly
23
Q

Name and describe two type of chromatin

A

1) Euchromatin:

  • Lightly stained
  • Less condensed, more transcriptionally active

****Euchromatin => “Eu” = good. Good at transcription

2) Heterochromatin:

  • Densely stained
  • Highly condensed, less transcriptionally active
How well did you know this?
1
Not at all
2
3
4
5
Perfectly
24
Q

Describe the centromere

A
  • Contains heterochromatin
  • Present during interphase
  • holds sister chromatid
  • kinetochore formation
How well did you know this?
1
Not at all
2
3
4
5
Perfectly
25
Describe the telomere
- Repetitive sequence of DNA at the ends of our chromosomes (think of shoelace cap) - Job is to prevent damage to our replicative DNA - During DNA replication, telomere will shorten with every replication - At "Hayflick limit", the chromosome will stop undergoing replication - Clinical relevance in cancer and aging
26
Ribsosomes are the site of \_\_\_\_\_\_
Translation
27
Translation is when
Protein Synthesis occurs
28
if mRNA has an ER signal sequence, we expect that mRNA to be processed at the
rER
29
if mRNA does NOT have an ER signal sequence, we expect that mRNA to be processed by
free ribosomes in the cytosol
30
When multiple ribsomes translate a single mRNA, we call this a
polyribosome
31
Why are polyribosomes unique
they can produce the same protein multiple times from one strand on mRNA
32
When proteins produced by the rER are formed they are sent to the
Golgi
33
After the Golgi has modified the proteins, what are the three pathways that can happen to the protein
1) Placed into a secretory vesicle and expelled exocytosis 2) Absorbed by plasma membrane 3) Placed into a lysosomal vesicle
34
Proteins synthesized by free ribsomes can be sent somewhere depending upon the signal sequence it encodes. Name the 4 places it can be sent:
1) Nucleus 2) Mitochondria 3) Cytosol 4) Peroxisomes
35
Job of rER is
Protein synthesis
36
Job of sER is
1) Lipid synthesis 2) Detox (Cytochrome P450 system) 3) Calcium sequestration
37
Explain the two faces of the Golgi Apparatus
- Cis face =\> Entry point from rER into Golgi - Trans face =\> exits from Golgi
38
Name the two types of transport that occur b/w the rER and Golgi
1) Retrograde 2) Anterograde
39
Explain retrograde transport
Movement of COP-1 coated vesicles from CGN to rER
40
Explain anterograde transport
Movement of COP-ll coated vesicles from rER to CGN
41
Name three distinct functions of Golgi
1) PTM 2) Sorting 3) Packaging
42
What is a lysosome
Digestive organelle that is enclosed with hydrolytic enzymes
43
How are proteins targeted to the lysosomes
- In the Golgi, protein are tagged by M6P which indicates it as a lysosomal protein. - The M6P on the protein will then bind to M6P receptors on a vesicle and exits the trans face to the endosome.
44
Tay-Sachs Disease
- Lysosomal Storage disease - Deficiency in HEXA protein - Autosomal recessive - GM2 Accumulation - Death of neurons. - Life expectancy ~1 year
45
Name the paths of lysosomal digestion
1) Phagocytosis (technically is a form of endocytosis) 2) Endocytosis 3) Autophagy
46
Name three examples of endocytosis
- Receptor-mediated - Pinocytosis - Phagocytosis
47
Describe the structure of the mitochondria
- Two membranes: Outer and inner - Two compartments: Intermembrane space and matrix - Contains multiple fold or cistae
48
Primary function of mitochondria
- Generates ATP - "Energy bank": -Exchange of energy checks (NADH, FADH2) for ATP currency
49
Name three important metabolic processes occurring in the mitochondria
- TCA - Oxidative Phosphorylation - B-oxidation of fatty acids
50
What are porins and how do they relate to the mitochondria
- Large-channel forming proteins =\> allows passage of small molecules - Located in the outer membrane
51
What is Cytochrome c and how does it relate to the mitochondria
- Important factor in intrinsic apoptoisis pathway - Found in the intermembrane space
52
Oxy-redox rxns occurs in what region of the mitochondria
inner membrane
53
Give two examples of a mitochondrial disease
1) Leber hereditary 2) Myoclonic epilepsy
54
What are the function of peroxisomes
- fat metabolism through VLCFA =\> catalytic rxn step in plasmalogens =\> necessary for formation of myelin - degrade reactive oxygen species. - detoxify alcohol in the liver (very prevalent in hepatocytes)
55
Name a peroxisomal disease
Zellweger Syndrome
56
What are the 3 zones of the nucleus along with their general characteristics
1) Fibrillar center =\> DNA loops of chromosomes and rRNA genes 2) Fibrillar material =\> transcription of rRNA genes 3) Granular material =\> initial ribosomal assembly
57
What kind of disease is Hurlers syndrome: What is the faulty enzyme: What is the accumulating product: What organs are affected:
LSD a-L-iduronidase Dermatan sulphate Skeleton and nervous system
58
What kind of disease in Pompe syndrome: What is the faulty enzyme: What is the accumulating product: What organs are affected:
LSD a-1,4-Glucosidase Glycogen Skeleton and nervous system
59
What kind of disease is Gaucher syndrome: What is the faulty enzyme: What is the accumulating product: What organs are affected:
LSD Glucocerebrosidase Glucosylceramide Liver and spleen
60
What kind of disease is I-cell disease: What is the faulty enzyme: What is the accumulating product What organs are affected
LSD Phosphotransferase (M6P) formation Absence of lysosomal hydrolyses Skeleton and nervous system
61
What enzymes are present in the outer membrane of the mitochondria
Phospholipases and Acetyl CoA Synthase
62
What enzymes are present in the inter membrane space of the mitochondria. Whats so special about these enzymes?
CK and Adenylate Kinase \*\*\*Kinase is an enzyme that utilizes ATP. These enzymes use ATP generated in the inner membrane.
63
Name important reaction occurring in the matrix of the mitochondria
1) Oxidation of fatty acids 2) TCA cycle
64
ATP synthesis rxns occurs in what region of the mitochondria
inner membrane
65
Transport regulation in and out of the matrix occurs where in the mitochondria
inner membrane