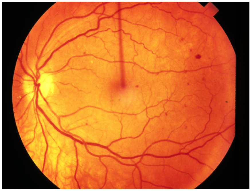
What is this showing and how do you know?

Diabetic retinopathy
Lesions: Microaneurysm, dot haemorrhage
Visual acuity 6/12 worse = Maculopathy
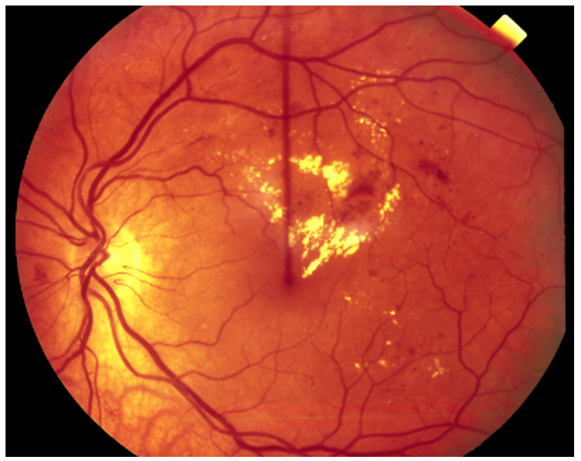
What is this showing and how do you know?

Diabetic maculopathy
Hard exudates in macular area
Lesions: Hard exudates, ?microaneurysms, haemorrhages
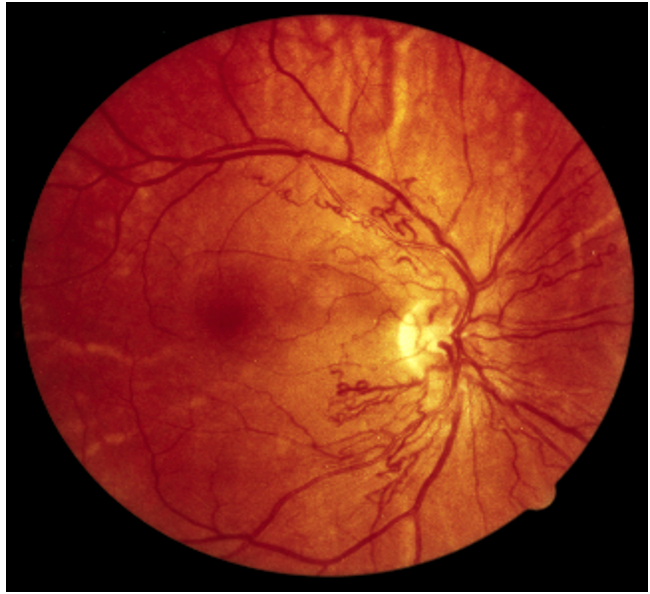
What is this showing and how do you know?

advanced proliferative DR
Lesions: New vessels on disc & elsewhere
What is this showing and how do you know?

Hypertensive retinopathy
Lesions:
What is this showing and how do you know?

Optic Atrophy
What is this showing and how do you know?

Papilloedema
Optic disc swollen & raised
Lesions: Congested retinal veins, blurred disc margins