Fusions (midterm) Flashcards

(44 cards)

1
Q

What are the 3 types of fusions?

A

1) congenital
2) acquired
3) surgical block vertebrae

How well did you know this?
1
Not at all
2
3
4
5
Perfectly
2
Q

Which type of fusion is this?
-concavity to the anterior
-rudimentary disc space
-decreased A->P diameter
-posterior motor unit fusion

A

congenital fusion

How well did you know this?
1
Not at all
2
3
4
5
Perfectly
3
Q

Which type of fusion is this?
-due to some pathology, DDD is most common
-osteophytes present
-LEO is present

A

acquired fusions

How well did you know this?
1
Not at all
2
3
4
5
Perfectly
4
Q

What is the other name for occipitalization of C1?

A

AO fusion

How well did you know this?
1
Not at all
2
3
4
5
Perfectly
5
Q

Congenital fusion of C1 to the base of the occiput and is a deformity of the AO junction

A

occipitalization of C1

How well did you know this?
1
Not at all
2
3
4
5
Perfectly
6
Q

When does occipitalization of C1 occur?

A

first few weeks of fetal life

How well did you know this?
1
Not at all
2
3
4
5
Perfectly
7
Q

What represents the most cephalic “blocked vertebra” encountered in the spine?

A

occipitalization of C1

How well did you know this?
1
Not at all
2
3
4
5
Perfectly
8
Q

If a patient with occipitalization of C1 has symptoms, what are they similar to? What are the symptoms?

A

similar symptoms to basilar impression
-headache
-diminished ROM
-visual and auditory abnormalities
-neural manifestations in the upper extremities

How well did you know this?
1
Not at all
2
3
4
5
Perfectly
9
Q

Which fusion would show this radiographic sign?
-lateral film shows a decreased or non-existent space between the posterior arch of C1 and the base of the occiput
-flexion/extension** films should be obtained to rule out motion between the posterior arch of C1 and the inferior border of the occiput

A

occipitalization of C1

How well did you know this?
1
Not at all
2
3
4
5
Perfectly
10
Q

In basilar impression, there is a decreased space between the occiput and the posterior arch of C1. What happens to the dens?

A

dens typically migrates superiorly

How well did you know this?
1
Not at all
2
3
4
5
Perfectly
11
Q

What is basilar impression associated with?

A

-occipitalization of C1
-spina bifida of C1
-odontoid abnormalities
-agenesis of C1
-Klippel-Feil syndrome
-Arnold-Chiari syndrome

How well did you know this?
1
Not at all
2
3
4
5
Perfectly
12
Q

What is Arnold-Chiari syndrome?

A

inferior portion of the cerebellar hemispheres and medulla protrude through the foramen magnum into the spinal canal, usually accompanied by spina bifida or meningomyelocele

How well did you know this?
1
Not at all
2
3
4
5
Perfectly
13
Q

What has these radiographic features?
-positive Chamberlain’s
-positive McGregor’s
-positive MacRae’s
-postive basilar angle

test q

A

basilar impression

How well did you know this?
1
Not at all
2
3
4
5
Perfectly
14
Q

In basilar impression, there is a lack of interosseous spacing between the occiput and the posterior arch of atlas. Where else are there congenital malformations?

A

C2-C5 vertebral bodies and neural arches

How well did you know this?
1
Not at all
2
3
4
5
Perfectly
15
Q

What is congenital block vertebra?

A

-2 adjacent vertebrae osseously fused together from birth
-failure of normal segmentation
-causes stress above or below the block vertebrae and results in premature degeneration

How well did you know this?
1
Not at all
2
3
4
5
Perfectly
16
Q

What is the most common segment for block vertebra?

A

C5/C6

How well did you know this?
1
Not at all
2
3
4
5
Perfectly
17
Q

What is the 2nd most common segment for block vertebra?

A

C2/C3

How well did you know this?
1
Not at all
2
3
4
5
Perfectly
18
Q

What fusion would have these radiographic features?
-decreased A->P diameter
-rudimentary disc space may show faint calcification
-possible fusion of apophyseal joints 50% of time (posterior motor unit)
-possible malformtion or fusion of SPs
-anterior concavity forming C shape
-wasp waist vertebra** with concavity to the anterior
-IVF present but smaller than normal

A

congenital block vertebra

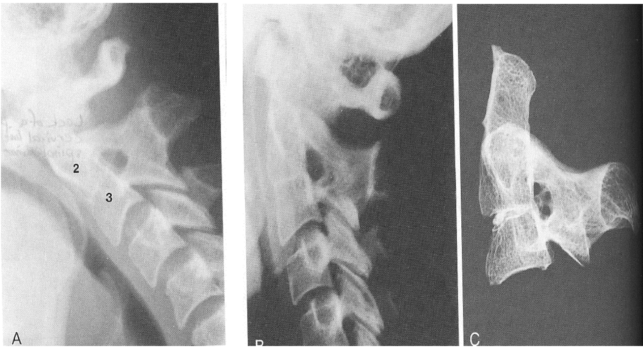
19
Q

What fusion is known to have “wasp waist” vertebra as its radiographic sign?

A

congenital block vertebra

20
Q

What is this?

A

congenital block vertebra

21
Q

What is this?

A

congenital block vertebra C2/C3 with rudimentary disc

22
Q

What is this?

A

C2/C3 congenital block vertebra

23
Q

What fusion has these classic signs?
-wasp waist vertebra
-c shaped anterior margin
-rudimentary disc
-fusion of posterior elements

A

congenital block vertebra

24
Q

What syndrome has this classic triad?
-short webbed neck (pterygium colli)
-low hair line
-decreased cervical ROM

A

Klippel-Feil syndrome

25
What syndrome has a thoracic cage deformed due to Sprengel's deformity?
Klippel-Feil syndrome
26
What is this?
Klippel-Feil syndrome
27
What fusion has these radiographic features? -2+ congenital block vertebra in the cervical or upper thoracic region OR a congenital block with 3+ segments involved -sprengel's deformity 25% of the time -omovertebral bone 30-40% of the time
Klippel-Feil syndrome
28
What is this?
Klippel-Feil syndrome
29
What is this?
Klippel-Feil syndrome (congenital block at C2/C3 and C6/C7)
30
What is this?
Klippel-Feil syndrome with omovertebral bone
31
What is this deformity called? -congenital elevation of the scapula -scapula and potentially clavicle fail to descend
sprengel's deformity
32
In sprengel's deformity, where does the scapula remain?
C4/C5 where it embryonically developed
33
Is sprengel's deformity usually unilateral or bilateral?
unilateral
34
A patient with sprengel's deformity will have decreased....
abduction of the arm and torticollis
35
What is sprengel's deformity associated with?
Lippel-Feil syndrome in 25% of cases and omovertebral bone in 40% of cases
36
What is an omovertebral bone?
bony bridge between C5/C6 SP, lamina, or TP to the superior angle of the scapula
37
What has these radiographic features? -scapula shortened vertically -inferior angle above normal at T7 level
sprengel's deformity
38
What is this?
sprengel's deformity
39
What is this?
sprengel's deformity
40
What is acquired block vertebra?
-2 adjacent vertebra are fused (ankylosis) -represents post-pathological change
41
What fusion would have these radiographic features? -proliferative prominence at the disc level -disc space persists -plates usually destroyed and replaced with complete ankylosis -IVFs are altered, distorted, and have decreased diameter -no neural arch fusion -decreased body height -considered an E shape
acquired block vertebra
42
Acquired block vertebra may be caused by?
-DDD (most common) -infection (contraindication to adjust) -inflammation
43
What is this?
DDD acquired block vertebra
44
Surgically fused vertebra lack what?
anterior concavity and rudimentary discs