fx codo Flashcards

(23 cards)

1
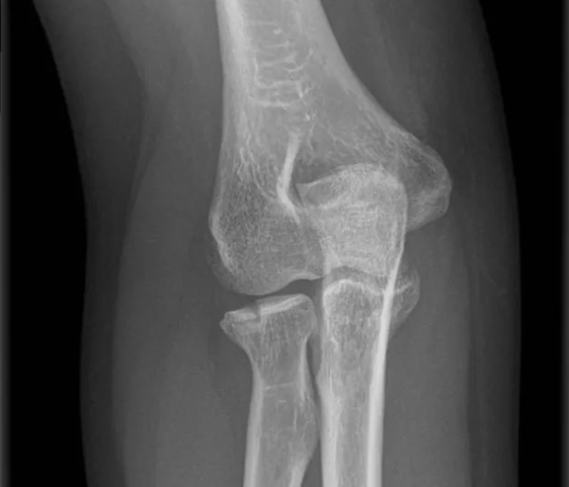
Q

Resultado de una caída sobre una mano extendida con el antebrazo en pronación, lo que resulta en una carga axial sobre el codo

A

Fx de cabeza radial (cúpula)

How well did you know this?
1
Not at all
2
3
4
5
Perfectly
2
Q

clasificacion de Masson para Fx de cabeza radial (cúpula)

A

Tipo 1 no desplazada (minima)

Tipo 2 desplazada

Tipo 3 conminuta y desplazada (se ven pedazos)

Tipo 4 luxación de radio con la articulación cubitohumeral

How well did you know this?
1
Not at all
2
3
4
5
Perfectly
3
Q

segun clasificacion de Masson que tipo es

A

Tipo 1 no desplazada

Se busca consolidación primaria para que no haya callo visible ya que es una articulacion y no queremos ese callo ahí

How well did you know this?
1
Not at all
2
3
4
5
Perfectly
4
Q

segun clasificacion de Masson que tipo es

A

tipo 2

How well did you know this?
1
Not at all
2
3
4
5
Perfectly
5
Q

tx Fx de cabeza radial (cúpula)

A

quitar cúpula radial, prótesis, placas

How well did you know this?
1
Not at all
2
3
4
5
Perfectly
6
Q

A lado del radio, son fx intraarticulares por lo que se busca estabilidad absoluta

A

→ Fx de olecranon

How well did you know this?
1
Not at all
2
3
4
5
Perfectly
7
Q

clasificacion que se usa en fx de olecranon

A

Colton 1: no desplazadas

Colton 2: desplazadas

How well did you know this?
1
Not at all
2
3
4
5
Perfectly
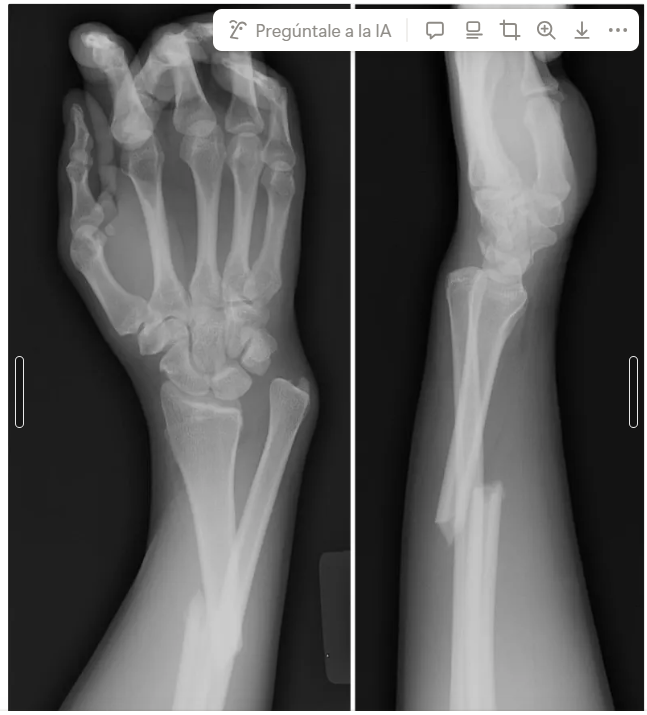
8
Q

Px de 23 años jugando americanos cayo con mano y codo en extensión

A

Fx de radio distal y luxación radio cubital distal = Galiase

How well did you know this?
1
Not at all
2
3
4
5
Perfectly
9
Q

DX

A

Luxación de radio humeral y fx de diafisis del cúbito = Monteggia

How well did you know this?
1
Not at all
2
3
4
5
Perfectly
10
Q

fx de cubito con luxación de radio cubital proximal

A

Monteggia

How well did you know this?
1
Not at all
2
3
4
5
Perfectly
11
Q

fx de radio distal y luxación de radio cubital distal

A

GALIASE

How well did you know this?
1
Not at all
2
3
4
5
Perfectly
12
Q

componentes triada terrible del codo

A

Luxación de radio humeral y cubital, fx de la cúpula radial y fx de la apófisis coronoides (Urgencia→ coronoides es la que mantiene la estabilidad a nivel óseo de la articulación)

How well did you know this?
1
Not at all
2
3
4
5
Perfectly
13
Q

Signo de la vela, indica

A

a hemartrosis intraarticular

How well did you know this?
1
Not at all
2
3
4
5
Perfectly
14
Q

Las fx del olécranon son comunes y pueden resultar de varios mecanismos, como

A

golpes directos, caídas sobre la mano extendida con el codo en flexion o traumatismo de alta energia. Frecuente en jovenes tras traumatismo de alta energia y en ancianos tras caídas de baja energia

How well did you know this?
1
Not at all
2
3
4
5
Perfectly
15
Q

clasificacion que se usa en fx de codo para categorizarlas segun su gravedad y características

A

MASON

How well did you know this?
1
Not at all
2
3
4
5
Perfectly
16
Q

El dolor lateral en el codo y la limitación en el
movimiento del codo o antebrazo son signos
importantes que pueden indicar la presencia de una

A

fractura de la cabeza radia

17
Q

Estas fracturas son especialmente frecuentes en personas Jóvenes tras traumatismos de alta energía y en ancianos tras caídas de baja energía.

A

fracturas del olécranon

18
Q

Clasificacion que se usa para categorizar a las fx del olecranon

19
Q

Complicaciones de una fx de olecranon

A

rigidez, pérdida de la reducción, consolidación viciosa, y problemas con el material de fijación, como prominencia o lesión nerviosa.

20
Q

Una caída directamente sobre el codo puede
causar una

A

a fractura-luxación transolecraniana

21
Q

una caída sobre la
mano extendida puede provocar una fractura
luxación posterior o una

A

a fractura de Monteggia

22
Q

clasificacion que se usa para la fx de monteggia

A

clasificación de Bado categoriza las fracturas de
Monteggia en cuatro tipos, siendo el tipo II
(dislocación posterior de la cabeza del radio) el más comun

23
Q

es una lesión compleja que combina una luxación del codo con fracturas de la cabeza del radio y la apófisis coronoides. Este patrón de lesión suele ocurrir por una fuerza en valgo combinada con supinación del antebrazo, resultando en fractura de la cabeza radial, fractura de la apófisis coronoides y ruptura del ligamento colateral lateral (LCL).

A

triada terrible del codo