Gallbladder Ca & Gallbladder Polyp Flashcards

(19 cards)

1
Q

Epidemiology of Gallbladder ca.

A
  • Commonly seen in elderly female; F:M = 3:1
  • Mean age 65 years; common in 6th – 7th decades.
  • Prognosis poor; 5-YS is 0 – 12%.
  • Majority of cases, gallbladder cancers are discovered incidentally following cholecystectomy.
How well did you know this?
1
Not at all
2
3
4
5
Perfectly
2
Q

Etiology of gallbladder ca.

A
  • Chronic cholecystitis
  • Familial adenomatous polyposis syndrome (FAP)
  • Inflammatory bowel disease (IBD)
  • Primary sclerosing cholangitis
  • Chronic infections including the typhoid carrier state
  • Exposure to carcinogens (e.g. lead, cadmium, chromium, ↑ risk in people working in rubber industry)
  • Obesity, diabetes mellitus, and dietary factors
  • Family history of gallbladder carcinoma
  • Adenomatous polyps
  • Porcelain gallbladder (calcification of GB wall) – premalignant condition
  • Anomalous pancreaticobiliary duct junctions
  • ↑ in Asians (highest in India)
How well did you know this?
1
Not at all
2
3
4
5
Perfectly
3
Q

Pathological Types of gallbladder ca.

A
  • Adenocarcinomas - Papillary, Tubular, Mucinous, Signet-cell type (80-95%)
  • Squamous cell CA (1-6%), Anaplastic (7%), Adeno-squamous cell CA (1-4%)
  • Rare: Small-cell CA, Carcinoid, Sarcoma, Melanoma, Lymphomas

Aggressive tumor:
- Direct invasion to liver (segment IVB and V), colon, duodenum, cystic duct, CBD
- Lymphatic, hematogenous (lungs, brain)
- Intraperitoneal → peritoneum, surgical wounds, laparoscopic port sites
- Perineural infiltration

How well did you know this?
1
Not at all
2
3
4
5
Perfectly
4
Q

Clinical presentation of Gallbladder ca.

A
  • Primarily affects the fundus (60%), body (30%) or neck (10%) of gallbladder.
  • Incidental finding post-cholecystectomy.
  • Clinical presentation depends on the direction in which mass extends. In cases where biliary obstruction is created then jaundice (45%) is often the first presentation.
  • If malignancy is located in body or fundus of the gallbladder, extending into the liver or adjacent colon or small bowel can lead to local pain (75%) or bowel obstruction respectively.
  • Painless jaundice with a palpable mass in right upper quadrant (Courvoisier sign or Courvoisier-Terrier sign, if this is due to a palpable gallbladder).
    • Presence of jaundice in gallbladder cancer usually portends a poor prognosis.
  • Periumbilical lymphadenopathy (Sister Mary Joseph nodes).
  • Left supraclavicular adenopathy (Virchow’s node).
  • Pelvic seeding: mass is palpated on digital rectal examination (Blumer shelf).
  • Nausea, vomiting, anorexia, weight loss, lethargy.
How well did you know this?
1
Not at all
2
3
4
5
Perfectly
5
Q

Investigation for Gallbladder ca.

A

Blood Investigation

  • ↑ALP, ↑AST, ↑ALT
  • ↑CEA (in 18%), ↑ CA19-9 (in 30%)

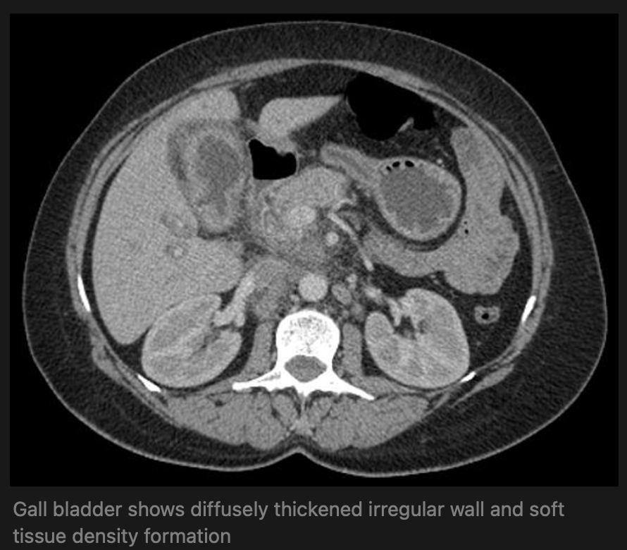
Radiological presentation: one of three morphologies:

  • Intraluminal mass
  • Diffuse mural thickening
  • Mass replacing the gallbladder, most common presentation
    • presumably the end result of progression from either 1 or 2

USG - tumor usually has irregular and sometimes ill-defined margins, with heterogeneous echotexture and predominantly low echogenicity.

CT Scan - appear as large heterogeneous masses, which may have engulfed gallstones or areas of necrosis, patchy moderate contrast enhancement is usually seen.

Features of advanced disease include:

  • intrahepaticbiliary dilatation
  • invasion of adjacent structures
  • lymphadenopathy
  • peritoneal carcinomatosis
  • hepatic and other distant metastases

MRI - sensitivity for direct hepatic invasion and lymph node invasion can be as high as 100% and 92% respectively.

PET – most sensitive to determine distant metastases.

MRCP/ERCP – to see bile duct involvement, exclude ampullary pathology, tissue diagnosis, palliative stenting.

Endoscopic ultrasound (EUS) - to assess regional lymphadenopathy and depth of tumor invasion into the wall of gallbladder, obtaining tissue biopsy.

US/CT-guided FNAC – in non-operable cases.

How well did you know this?
1
Not at all
2
3
4
5
Perfectly
6
Q

Staging for Gallbladder ca.

A

TNM Classification

  • Stage 1 – Tumor confined to muscularis propria
  • Stage 2 – Tumor not breaching serosa
  • Stage 3 – Tumor invades liver and surrounding organs + Nodal involvement
  • Stage 4 – Metastatic

Nevin’s staging of Gallbladder CA

  • Stage 1 – tumor confined to mucosa
  • Stage 2 – tumor breaches the muscularis mucosa
  • Stage 3 – tumor extends through the muscularis propria
  • Stage 4 – tumor involves the cystic duct node
  • Stage 5 – tumor involves the liver or other organ
How well did you know this?
1
Not at all
2
3
4
5
Perfectly
7
Q

Management of Gallbladder ca.

A

Surgery is the only curative treatment. However, curative resection is only feasible in 10 – 30% of patients.

Early Lesions: Tis, T1a (invasion limited to lamina propria)

  • Simple cholecystectomy.
  • Cure rates are 85% - 100% as long as negative margins obtained
  • Laparoscopic cholecystectomy has shown equivalent or better treatment outcomes compared to laparotomy. [DOI:10.1007/s11605-009-0809-7, DOI:10.3748/wjg.v17.i2.174]
  • Laparotomy is recommended for definite preoperative evidence of GB fossa invasion.
  • Lymph node metastasis has been reported in less than 2.5% of total cases; therefore, lymph node dissection is not recommended for patients with T1a GB cancer.
  • To prevent bile leakage during laparoscopic cholecystectomy and associated peritoneal metastasis and tumor recurrence at trocar sites, surgical procedure should be carefully performed so as to prevent intraoperative GB perforation, and resected GB should be removed using a vinyl bag.

T1b and T2 tumors (invasion of the muscular layer)

  • Extended resection for T1b, Radical cholecystectomy for T2.
  • Histopathologic examination should be performed to evaluate whether there is invasion in the resection margin of the cystic duct.
  • T1b tumor: 15% LN metastasis
  • T2 tumor: 40-80% LN metastasis
  • Removal of gallbladder, gallbladder fossa, minimum 2cm of hepatic parenchymal margin and lymphadenectomy (cystic duct lymph node, common bile duct lymph node, lymph nodes around hepatoduodenal ligament (hepatic artery and portal vein lymph nodes), and posterior superior pancreaticoduodenal lymph node).
  • For accurate determination of TNM stage, more than three lymph nodes should be collected for histopathologic examinations.

T3 and T4 tumors (invasion of serosa, portal vein, hepatic artery or extrahepatic structures)

  • May benefit from resection if no evidence of distant or peritoneal disease
  • No survival benefit if tumour not completely excised → no role of debulking surgery
  • Consider diagnostic laparoscopy → to avoid unnecessary laparotomy
  • Extended liver resection + radical lymphadenectomy
How well did you know this?
1
Not at all
2
3
4
5
Perfectly
8
Q

Contraindication for Surgery in gallbladder ca.

A

Contraindications for surgery

  • Liver metastasis, malignant ascites
  • Peritoneal metastasis, distant disease
  • Extensive involvement of hepatoduodenal ligament
  • Encasement or occlusion of major vessels
  • Para-aortic LN involvement
  • Poor performance status
How well did you know this?
1
Not at all
2
3
4
5
Perfectly
9
Q

Overview of management for incidental Gallbladder ca.

A
  • If expertise is available and there is convincing clinical evidence of cancer, a definitive resection should be performed. If expertise is unavailable, document all relevant findings and refer patient to a center with available expertise.
  • Hepatic resection ( IV B and V) should be performed to obtain clear margins.
  • Extended resections beyond segments IV B and V may be needed in some patients to obtain negative margins.
  • Port site resection has not been shown to be effective, as the presence of a port site implant is a surrogate marker of underlying disseminated disease and has not been shown to improve outcomes.
How well did you know this?
1
Not at all
2
3
4
5
Perfectly
10
Q

Adjuvant Therapy and Surveillance

A

Radiation therapy (RT) - Postoperative EBRT using conventional 3D-CRT or IMRT is an option for resected extrahepatic cholangiocarcinoma and gallbladder cancer.

How well did you know this?
1
Not at all
2
3
4
5
Perfectly
11
Q

Palliative for gallbladder ca.

A
  • Palliation for pain, jaundice and possibly intestinal obstruction
  • Median survival only 2-4 months
  • Endoscopic placement of stent, percutaneous drainage
    - Choledochojejunostomy and gastrojejunostomy if intra-op found to be unresectable
  • Chemotherapy and radiotherapy ineffective
  • Modest results with 5-FU, gemcitabine
  • Palliative EBRT is appropriate for symptom control and/or prevention of complications from metastatic lesions, such as bone or brain.
How well did you know this?
1
Not at all
2
3
4
5
Perfectly
12
Q

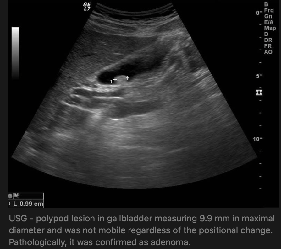
What is gallbladder polyp

A

An elevation of the gallbladder mucosa that protrudes into the gallbladder lumen.

  • Prevalence 3-10% in healthy patients on ultrasound
  • US alone cannot determine whether polyp is a neoplastic or nonneoplastic polyp. Therefore, once GB polyps are incidentally identified using US, surgical treatment is frequently being considered if the size is larger than 1 cm.
How well did you know this?
1
Not at all
2
3
4
5
Perfectly
13
Q

Presentation of gallbladder polyp

A
  • Usually symptomatic and found incidentally on ultrasound (64%).
  • Occasionally (23%), nonspecific gastric symptoms such as nausea, vomiting, and right hypochondriac pain due to intermittent obstruction caused by fragments of cholesterol detached from GB mucosa.
  • Rarely, some large polyps may obstruct the cystic duct causing acute cholecystitis or obstructive jaundice.
  • Benign and malignant polyps have a similar clinical presentation.
  • 13% had raised liver function tests.
How well did you know this?
1
Not at all
2
3
4
5
Perfectly
14
Q

Investigation for gallbladder polyp

A

USG - features of GB polyps:

  • specificity (71–98%) and sensitivity (50–90%)
  • hyperechoic lesions protruding into the GB lumen,
  • absence of post-acoustic shadow,
  • lack of positional change of lesions,
  • crucial to identify the size, number, and shape of polyps, GB wall thickening, and presence of gallstones.
  • sometimes, biliary sludge, or small stones (<5 mm), can be mistaken as GB polyps.

EUS

  • Favorable, in patients who are obese or harbor bowel gas, because the probe is proximally positioned and scanning is performed from the duodenum.
  • Sensitivity and specificity for carcinoma diagnosis is 91.7% and 87.7%, respectively.

CT Scan, MRI, PET Scan

  • Plays a role in staging of GBC. Still, is not suitable for differentiating between true and pseudo polyps and for long-term monitoring and is not superior to US
How well did you know this?
1
Not at all
2
3
4
5
Perfectly
15
Q

Classification of gallbladder polyps

A

Identified based on radiologic image, surgery, and pathologic findings.

Divided into :
- Non neoplastic gallbladder polyp
- Neoplastic gallbladder polyp

How well did you know this?
1
Not at all
2
3
4
5
Perfectly
16
Q

Classification of Neoplastic Gallbladder polyps

17
Q

Risk factors of GB Malignancy in gallbladder polyp patients

A
  • old age (>50 years) - odds of malignancy increase by 11.83
  • history of primary sclerosing cholangitis (PSC) - inflammation-dysplasia-carcinoma sequence might be the plausible cause, GB polyps were found in 6% of patients, GB malignancy in 56%, and dysplasia in 9%.
  • presence of gallstones
  • sessile polyp - independent risk factor of malignancy by a factor of 7.32
  • Size > 1cm
18
Q

Overview management of Gallbladder polyps

19
Q

Anatomy of Gallbladder