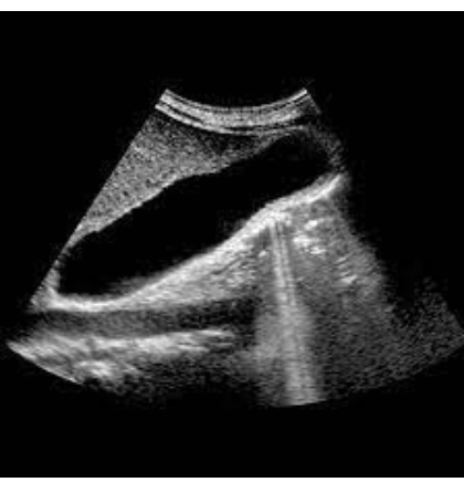
What Pathology is in the image below

Distention/Hydrops - enlarged gallblader intravenous
What pathology is in the image below

Sludge - Low level interal echoes, without shadows, no wall/ border
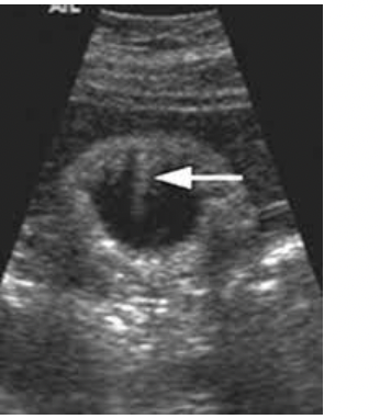
What pathology is in the image below ?

Acute Choleycystitis - Thickened gallbladder wall >3 mm, irregular outline of thickened wall, sonolucent
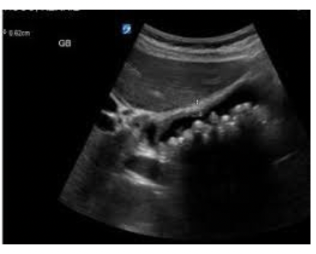
What pathology is in the image below ?

Cholelithiasis/Gallstones - Increased wall thickness, internal reflections, mobile, hyperechoic
What pathology is in the image below?

Porcelain Gallbladder - right echogenic, posterior shadow
What pathology is in the image below ?

Cholesterlosis/Polyps - Well defined, tissue projection, multiples, do not shadow, fixed, immobile
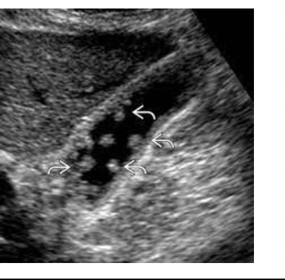
WHat pathology is found below ?

Adenomyomatosis - Small echogenic foci at abdominal wall, comet tai
What pathology is found below?

Gallbladder carcinoma - Dilated ducts, heterogenous, irregular wall
What pathology is found below?

Choledochal cyst - Sonolucent mass, may contain internal sludge
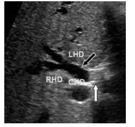
What Pathology is found below?

Intrapancreatic obstruction - Dilated ducts
WHat pathology is found below?

Choledocholithiasis - Stones impacted, dilated ducts, hyperechoic stone, posterior shadow
What pathology is found below ?

Intrahepatic Cholongro - large hetergeneous mass
What pathology is found below?

Distal cholongiocarcinoma
Focal irregular ductal construction, wall thickening