General info - Exotics Flashcards

Things you want to remember + incorrect Q's from specific species question sessions (88 cards)

1
Q

Beak and Feather disease is caused by?

A

Circovirus

The virus infects new, growing feathers. Prognosis is poor :/

How well did you know this?
1
Not at all
2
3
4
5
Perfectly
2
Q

Beak and feather disease is most commonly seen in?

A

Psittacines, especially cockatoos

How well did you know this?
1
Not at all
2
3
4
5
Perfectly
3
Q

What is the best way to dx Beak and feather disease? How is it tx and prevented?

A

PCR on blood/feces/swabs/feathers

Tx: no treatment :/ just supportive care

Prevent: quarantine and screen new arrivals with PCR

How well did you know this?
1
Not at all
2
3
4
5
Perfectly
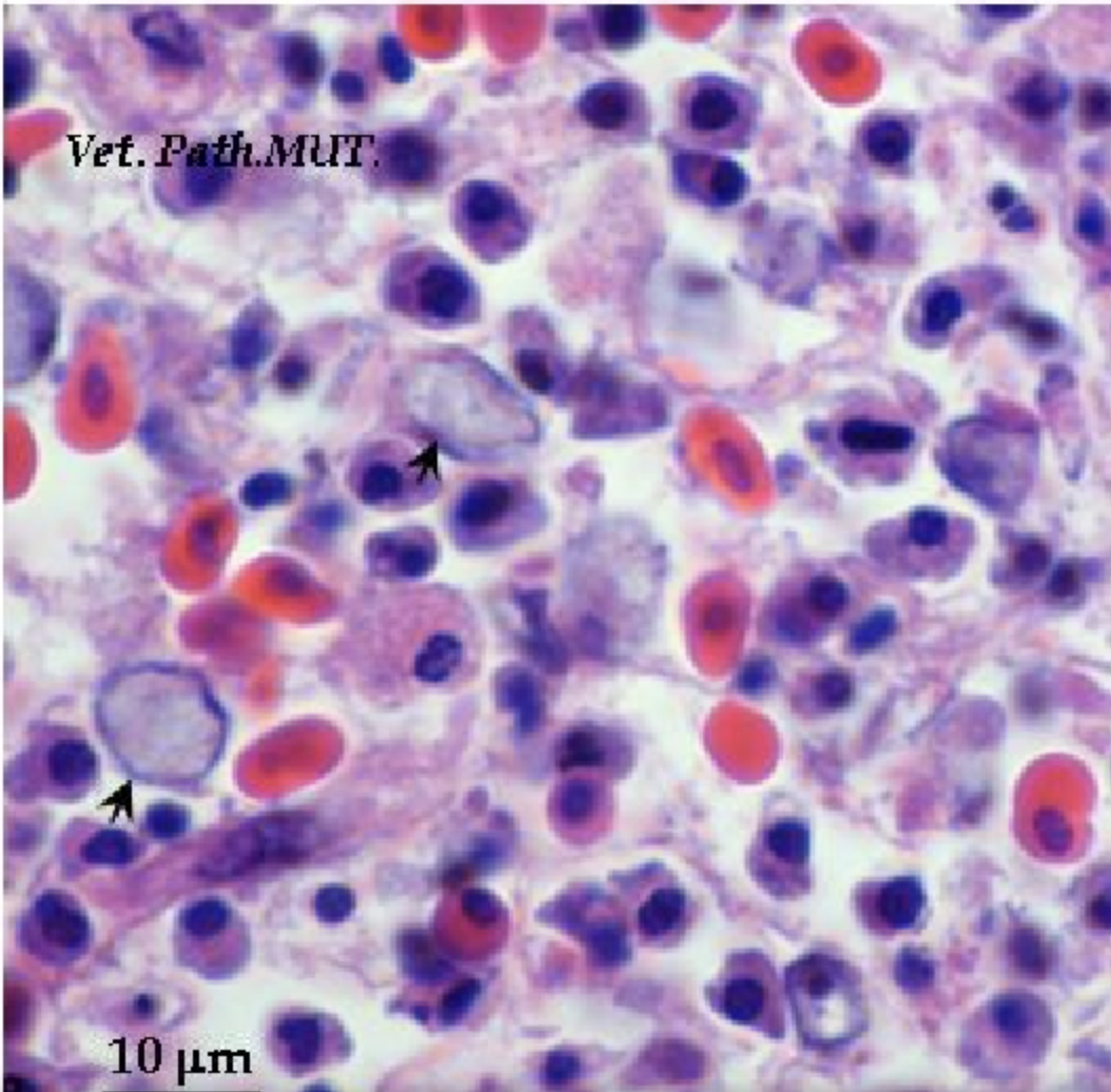
4
Q

An autopsy was performed on a fledging that was depressed and acutely died. Samples were collected and submitted for histopathology. What can be seen in the image provided?

A

IN inclusion bodies in large, karyomegalic cells

How well did you know this?
1
Not at all
2
3
4
5
Perfectly
5
Q

Budgies that survive avian polyoma virus may have?

A

Abnormal plumage +/- ascuties/serositis and are called “runners”

How well did you know this?
1
Not at all
2
3
4
5
Perfectly
6
Q

How do you prevent avian polyoma virus?

A

Vaccinate birds in nurseries!

How well did you know this?
1
Not at all
2
3
4
5
Perfectly
7
Q

Pacheco’s disease is caused by a ?

A

Psittacid herpesvirus

How well did you know this?
1
Not at all
2
3
4
5
Perfectly
8
Q

What would you see on histology of a bird that died from pacheco’s disease?

A

IN inclusion bodies in hepatocytes and other cells

How well did you know this?
1
Not at all
2
3
4
5
Perfectly
9
Q

What medication is used to treat pacheco’s disease?

A

Antivirals: acyclovir, gancyclovir

How well did you know this?
1
Not at all
2
3
4
5
Perfectly
10
Q

Proventricular dilatation disease is caused by _____ via what route of transmission?

A

Bornavirus via fecal-oral transmission

How well did you know this?
1
Not at all
2
3
4
5
Perfectly
11
Q

What is the pathogenesis of proventricular dilatation disease?

A

Bornavirus causes lymphoplasmacytic infiltrates around the autonomic nerve ganglia in the walls of the GI tract, especially the proventriculus and the crop +/- brain.

How well did you know this?
1
Not at all
2
3
4
5
Perfectly
12
Q

What disease is reportable, zoonotic, and causes flu-like symptoms in humans?

A

Chlamydiosis
Caused by chlamydophila psittaci

How well did you know this?
1
Not at all
2
3
4
5
Perfectly
13
Q

What are the C/S of Chlamydiosis?

A

Any age parrot (esp. cockatiels, budgies) that is depressed, anorexic, with green or yellow diarrhea/urates +/- conjunctivitis and upper resp signs esp in cockatiels

How well did you know this?
1
Not at all
2
3
4
5
Perfectly
14
Q

What type of placenta do the following species have:
1. Horses
2. Pigs
3. Dogs
4. Cats
5. Ruminants
6. Rodents

A
  1. Horses = diffuse
  2. Pigs = diffuse
  3. Dogs = Zonary
  4. Cats = Zonary
  5. Ruminants = Multicotyledonary
  6. Rodents = Discoid
How well did you know this?
1
Not at all
2
3
4
5
Perfectly
15
Q

What is the minimum recommended age for castration in llamas?

A

18 months

Castration of South American Camelids at a young age has been shown to delay closure of the physes of long bones, leading to taller, straight-legged geldings that may be prediposes to earlier development of arthritis.

How well did you know this?
1
Not at all
2
3
4
5
Perfectly
16
Q

What is the recommended treatment for gas bubble disease?

A

Vigorous aeration of the water and correct the underlying cause e.g. water source, leaking pumps.

How well did you know this?
1
Not at all
2
3
4
5
Perfectly
17
Q

Gas bubble disease is typically caused by? Most commonly occurs?

A

Supersaturation of water with dissolved nitrogen gas, less commonly O2 and CO2.

Most commonly occurs when well water that is high in nitrogen gas is used to fill the tank or if the air pump is leaking and is sucking in and pressurizing nitrogen gas into the water.

How well did you know this?
1
Not at all
2
3
4
5
Perfectly
18
Q

How do you diagnose gas bubble disease?

A

Measuring dissolved gasses in the water and using a saturometer/total gas pressure meter.

How well did you know this?
1
Not at all
2
3
4
5
Perfectly
19
Q
  1. What is your top differential?
  2. How would you treat the affected animals and the ones remaining?
A
  1. Top differential is proliferative enteritis caused by Lawsonia intracellularis
  2. Isolate affected animals, treat with enrofloxacin or doxycycline or TMS, administer fluids. Sanitize environment to limit transmission.
How well did you know this?
1
Not at all
2
3
4
5
Perfectly
20
Q

Whirling disease is a parasitic infection caused by?

A

Myxobolus cerebralis

How well did you know this?
1
Not at all
2
3
4
5
Perfectly
21
Q

Describe the life cycle of Myxobolus cerebralis.

A

A spore is released from the worm which attaches itself to the fish and injects the parasite. The parasite travels through the nervous system to replicate near the head causing spinal impingement. Once the fish dies, the spores are released back into the environment to continue the cycle.

How well did you know this?
1
Not at all
2
3
4
5
Perfectly
22
Q

How do you diagnose Myxobolus cerebralis?

A

PCR or by IDing the spores from infected fish on histopath

How well did you know this?
1
Not at all
2
3
4
5
Perfectly
23
Q

How do you treast Myxobolus cerebralis?

A

No treatment. Prevent by purchasing uninfected breeding stock and keeping the environment free of tubifex worms.

How well did you know this?
1
Not at all
2
3
4
5
Perfectly
24
Q

What causes Aleutian disease?

A

A parvovirus

How well did you know this?
1
Not at all
2
3
4
5
Perfectly
25
Infectious salmon anemia
26
Is infectious salmon anemia a reportable disease?
Yes in the U.S. and Canada
27
How do you treat salmon infected with infectious salmon anemia?
There is no treatment. You need to cull the entire fish stock if confirmed positive via IFA. It is a reportable disease in the U.S. and Canada.
28
What is the causative agent of infectious salmon anemia?
Orthomyxovirus (Isavirus)
29
Describe the clinical signs of columnaris disease. How is it treated? Prevented?
Patches of pale discoloration of skin with red edges at the base of the dorsal fin or over the gills, covered in a slimy exudate. Fins are also deteriorated, fish are inappetent, oral mucosal ulcerations. Tx early infection with potassium permanganate or hydrogen peroxide in the water. Use florfenciol or oxytetracycline to treat systemic/chronic columnaris disease. Prevent by reducing traumatic injuries and organic debris. Maintain proper temperature because the bacteria prefer lower water temperatures.
30
What is the etiologic agent of rabbit syphilis? Clinical signs? Tx?
Treponema cuniculi C/S Red, ulcerated, scabby lesions around perineum, genitalia, and later on the face. Tx: parenteral penicillin. DO NOT USE ORAL PENCILLIN DUE TO RISK OF SEVERE CLOSTRIDIAL ENTEROTOXEMIA.
31
What is the long term prognosis of pasteurellosis in rabbits?
Prognosis is poor because treatment is often unsuccessful. May be able to temporarily eradicate but will never fully cure. If pursue treatment, use enrofloxacin in drinking water.
32
What are the clinical signs of chronic or subacute chlorine exposure in fish?
Cloudy eyes, inflammation, necrosis of the gills, gasping for air at the surface of the water.
33
Do you need to treat a rabbit with a trichobezoar?
No! It is normal! Trichobezoars are more likely to be a result of anorexia, not its cause.
34
What is the etiologic agent of enteric septicemia in channel catfish? C/S? Dx? Tx? Prevention
1. Edwardsiella ictaluri 2. C/S: Punctate red lesions along body wall and petechial hemorrhages around the eyes and mouth. "Hole in the head" is a key c/s 3. Culture 4. AB 5. Vaccines
35
After how many hours are newborn cria unable to absorb IG ?
24 hrs
36
Name the organism pictured that is an important problem in farmed salmon.
Sea lice aka Lepeophtheirus salmonis
37
What is the appropriate tx for ?Gout?
Oral allopurinol (helps lower hyperuricemia), promotion of diuresis, pain control,
38
What condition is pictured?
Carp pox or koi pox A self-limiting condition that is primarily an aesthetic issue seen primarily in carp.
39
What is the main cause of carp pox?
Rising temperatures. Resolves once temperatures have leveled out/been maintained for some time. Etiologic agent: Cyprinid herpesvirus-1
40
What is the only FDA approved drug to treat flatworm infestations in fish intended for food?
Formalin
41
What are the major C/S of carbon dioxide toxicity?
Disorientation, lethargy, increased mortality. Look for high CO2 and low pH to diagnose. Increase aeration and decrease stocking density for tx.
42
What is your top differential and tx?
Mybacteriosis No tx
43
What are the clinical signs of Aleutian disease?
GI bleeding, weight loss, renal failure, high mortality. No Tx or vaccination.
44
Red-leg syndrome Occurs most commonly with systemic infections of Aeromonas, pseudomonas, proteus, and citrobacter spp. Seen in amphibians that are malnourished and poorly managed. Dx: Culture blood or coelomic fluid Tx: AB or antifungals, descending on causative agent
45
46
What is the rule surrounding unvaccinated dogs, cats, and ferrets exposed to a rabid animal?
Should be euthanized immediately but if the owner is unwilling to euthanize, the animal should be placed in strict isolation for 6 months - ferret, or 4 months - dogs, cats. Rabies vaccine must be administered upon entry into isolation.
47
How do you treat coccidial infection?
Coccidia aka Eimeria Ponazuril
48
What is your top differential?
Eimeria aka coccidia
49
What is your top differential?
Lymphocystis This is a self limiting condition
50
What is your top differential? How can you confirm Dx?
Top differential: Giardiasis Dx: Zinc sulphate fecal flotation
51
What are the top clinical signs seen in ferrets suffering from hyperadrenocorticism?
1. Progressive, symmetrical nonpruritic, bilateral alopecia 2. Vulvar swelling (females) 3. Stranguria or urinary blockage (males - d/t enlarged prostate). 4. Shivering, depression 5. Enlarged adrenals on abdominal palpation
52
How do you diagnose ferrets with hyperadrenocorticism? Tx? Prognosis?
Dx: Palpate enlarged adrenals on PE, on AUS see enlarged adrenals +/- enlarged prostate, Ovarian hormonal panel Tx: Melatonin orally or via implant, GnRH agonists such as deslorelin, leuprolife, Adrenalectomy Prognosis: Fair in the short term, poor in the long-term b/c it recurs.
53
What is the purpose of administering oral melatonin or placing a melatonin implant in a ferret suffering from hyperadrenocorticism?
Helps with fur regrowth - DOES NOT ALTER DISEASE COURSE
54
Answer the following in regards to insulinoma: 1. C/S 2. Pathogenesis 3. Dx 4. Tx 5. Prognosis
1. C/S: hind end weakness, stuporous, hypoglycemic crisis, nausea, drooling, lip smacking 2. Hyperplasia or adenoma of insulin-producing beta cells 3. Dx: insulin-glucose ratio, glucose + insulin levels, response to dextrose administration 4. Tx: Fluids, dextrose, steroids. Control glucose levels with diazoxide, prednisone 5. Prognosis: Fair in short term, poor in long term
55
What is the second and third most common cancer in ferrets?
Second most common - insulinoma Third most common - lymphoma
56
Answer the following in regards to Epizootic catarrhal enteritis: 1. C/S 2. Etiology/Pathogenesis 3. Dx 4. Tx 5. Prognosis
1. C/S: Profuse, water to mucoid bright green diarrhea (AKA Green Slime Disease) 2. Etiology/Pathogenesis: Coronavirus; often occurs as an epidemic in a group of ferrets after a new ferret was introduced. 3. Dx: EM on feces 4. Tx: Agressive AB 5. Prognosis: fair to good with aggressive tx
57
A ferret with hyperkeratotic footpads most likely has?
Canine distemper virus
58
What is the prognosis of canine distemper disease?
Almost 100 fatal aka prognosis is grave
59
What AB are considered to be safe in rabbits?
ETC - Enrofloxacin, chloramphenicol, trimethoprim sulfa
60
What are the C/S of a rabbit with pasteurellosis? How do you diagnose it ?
A stressed out rabbit from a commercial operation with nasal and ocular discharge, uveitis, metritis. Dx via culture (deep nasal or from abscess), xrays (may see bullae changes in rabbits with head tilt or pneumonia).
61
T/F: Most adult rabbits are asymptomatic carriers of Pastuerella multocida.
True. Usually succumb to disease when under stress or immunosuppressed.
62
Answer the following in regards to Encephalitozoonosis: 1. Etiologic Agent 2. C/S 3. Diagnosis 4. Treatment 5. Prognosis
1. Etiologic Agent: Encephalitozoon cuniculi (fungus) 2. C/S: Often asymptomatic; Large breeds: progressive hind end ataxia, Small breeds: torticollis, head tilt, uveitis 3. Diagnosis: E. cuniculi titers, PCR on urine or feces, necropsy with histopath (see pitting kidneys) 4. Treatment: Try AB 5. Prognosis: Poor if showing clinical signs; ZOONOTIC
63
What is your top differential? What is your treatment plan?
Franciellosis - caused by Francisella orientalis Tx: Increase water temperature
64
Is velveting a legal practice in NA?
Yes it is - as long as proper analgesia is used
65
How do you treat a case of new tank syndrome?
Frequent water changes, decrease feed to appropriate levels, add chloride for nitrite toxicity.
66
The most common cause of mandibular swellings in SA camelids is?
Tooth infection
67
What are the signs of old tank syndrome? Treatment?
Low pH, high ammonia levels, complete absence of alkalinity. Tx: Change water and add products that bind to Nh3 to prevent ammonia toxicity as the pH increases. This will take weeks
68
Supplementation with what vitamin can reduce the incidence of ulcerative pododermatitis in pet guinea pigs?
Vitamin C
69
Which diagnostic test most reliably confirms a definitive diagnosis of infection with Mycobacterium tuberculosis in South American camelids?
Bacterial culture and isolation
70
A snake is presented because the owner says the snake spends a lot of time in its water bowl. Gently rubbing the dry snake over white paper yields numerous tiny specks on the paper. Under the microscope, they look like the image below. What is your top differential?
The common snake mite aka Ophionyssus natricis Tx = Topical permethrin
71
This is the dewlap, a heavy fold of skin on the ventral neck of female rabbits. It contains adipose tissue and develops once the doe is sexually mature. Can range in size from a tiny bump to extremely large.
72
How do you diagnose Psoroptes cuniculi in rabbits?
Cytological evaluation of otic exudate
73
Top differential: Scale rot aka ulcerative dermatitis Treatment: Topical and systemic AB
74
Top differential: Ich aka white spot disease Dx: light microscopic visualization of the parasite and its characteristic rotating movement Tx: formalin in the water
75
What is the main energy source of SA camelids?
Like true ruminents, camelids' primary energy source is volatile fatty acids produced by microbial fermentation but they maintain a higher BG than other ruminants.
76
What is your top differential?
Rabbit hemorrhagic disease There is now a recombinant vaccine under emergency use authorization of the USDA.
77
What is your top differential? Tx?
Lice Tx with ivermectin now and in two weeks
78
What is the difference between a xanthoma and a lipoma?
Xanthomas are very vascular and lipomas are not vascular at all! Otherwise they are both fatty little tumors
79
What cardiomyopathy is a common finding in pet hedgehogs?
DIlated cardiomyopathy!! Etiology: Hereditary, nutritional basis
80
What values are indicative of liver disease in a pet bird?
Increased asparate aminotransferase, normal Creatine phosphokinase, increased bile acids
81
Infectious stomatitis
82
Dental malocclusion in guinea pigs is almost always due to?
Trauma; their heavy head causes their face to hit the ground first when dropped. Can also result from mandibular deformity in subclinical vitamin C deficiency.
83
What are the clinical signs of Vitamin C deficiency or scurvy in guinea pigs?
Pain when touched, diarrhea or soft stool, petechiae, hematuria, mucosal bleeding, subcu hemorrhage, swollen joints, alopecia, lameness.
84
Guinea pigs are unable to synthesize __________ which is needed for collagen synthesis.
Ascorbic acid
85
Answer the following in regards to the clinical signs of Bordetellosis: 1. Etiology 2. Clinical signs 3. Dx 4. Tx
1. Etiology: Bordatella bronchiseptica 2. Clinical signs: Mucopurulent oculonasal discharge, abortions, stillbirths, sudden death, pneumonia acute or chronic, etc. 3. Dx: Culture and sensitivity 4. Tx: Ab - enroflox, doxy. Fluids, bronchodilators, injectable vaccine available.
86
How can you prevent calcium urolithiasis in guinea pigs?
Potassium citrate or citric acid
87
What can be seen in the image below? How would you treat it? Are you concerned about zoonoses?
Lice on guinea pig Tx = Selamectin Not concerned about zoonoses as all lice are very host specific
88