Why is it useful to determine if bacteria is gram positive or gram negative?
Gives us an idea of what type of antibiotics to use.
What does gram stain help us do?
Differentiate between the two major groups of bacteria (gram positives and gram negatives)
It is the first step in identification of bacterial species and demonstrates a basic difference in cell wall structure
What are acid- fast stains used for?
To identify acid fast genetically engineered bacteria (mycobacteria). Hot pink. Grow inside macrophages so tend to grow in clumps (hundreds of organisms in a clump)
What is Giemsa used for?
Used to ID organisms in blood such as Malaria
What is dark stain used for?
Enables you to Look just at refracted light
What does diameter of a virus tell you?
Possibly the family the virus is in
What is a good way to identify and study a bacteria or virus?
Grow or culture in a cell free media, broth or agar, in a cell type
What are obligately intracellular parasites?
Only grow in animal cells. (can grow them in complex media, often containing serum)
How are chick embryos used?
As cultures. They are excellent for influenze and hard to grow viruses. Some bacteria and viruses can only be cultured using chick embryos.
What are pathogen free animals?
Relatively pathogen free animals that are used to study different viruses and parasites. Some are only able to be studied in this manner. Can use natural host or artificial host (mice are common)
Tests to detect microbial proteins or carbohydrates
Toxin antitoxin tests, labelled antibody test, ELISAs, neutralisation or inhibition assays, haemagglutination, latex aggulination
Pathogenesis (questions you might ask when considering pathogenesis)
How does the agent cause disease? How does the agent enter the host? How does the agent cause disease in the host (clinical signs)? How does the agent respond to infection? How does the agent get out of the host to infect new animals?
Virus taxonomy
Taxonomy based on type of nucleic acid, strategy of viral replication, morphology of virion, sequence analysis of the viral genome
Light microscopy- what is this essential for? What can it not be used for?
Essential for ID of bacteria and fungi. VIRUSES are not visible by light microscopy- electron microscopy for viruses.

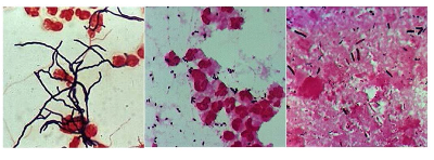
a. Bacillus
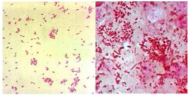
b. Coccobacillus
c. Coccus
d. Chain of bacilli
e. Chains (Streptococci)
f. Clumps (Staphylococci)
g. Curved (vibrio)
h. Filamentous bacillus
i. Diplococci
j. “Chinese letters”
k. Branching
l. Spirillum

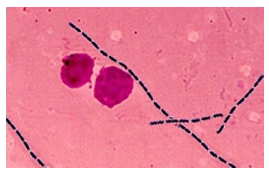
Bacillus anthracis

Streptococcus agalactiae

Bacillus anthracis
Gram negative or gram positive?

Gram positive because
Capsule is much thicker.

Gram negative or gram positive?



Helical, polyhedral, complex virus
3 special types of media
Enrichment media, selective media, indicator or differential media
Properties used in bacterial ID
Structural characteristics (cell shape and size), colony morphology
What does phenol red tell us?
Fermentation of various carbohydrates. Gas production
Yellow = acids produced by fermentation
Red= no acid produced