What is cartilage?
Cartilage is an AVASCULAR form of CONNECTIVE TISSUE. It is composed of COLLAGEN AND ELASTIC FIBRES embedded in a gel-like MATRIX, containing localised CELLS in cavities
Cartilage is enveloped in PERICHONDRIUM which is a type of connective tissue
What is perichondrium?
It is a layer of dense, irregular CONNECTIVE TISSUE that envelopes cartilage.
What are the complications associated with cartilage being avascular?
Because cartilage is avascular, all nutrients need to DIFFUSE through the matrix to reach chondrocytes (cartilage cells)
This contributes to WEAKED DEGENERATIVE PROPERTIES of cartilage and thus they have very slow healing
What are the functions of cartilage?
What is a chondroblast?
Chondroblasts are cartilage cells located between the perichondrium and gel matrix, whose role is to MAKE CARTILAGE by secreting cartilaginous matrix. In doing this, the matrix surrounds and isolates chondroblasts, embedding them in the cartilage
What is a chondrocyte?
When a chondroblast becomes embedded in the cartilage, it is called a chondrocyte and their role is to maintain cartilage. Chondrocytes are found in lacunae which are spaces in the matrix
appositional growth of cartilage
growth in diameter
chondroblasts secrete new matrix at the periphery of cartilage
What is interstitial growth of cartilage?
growth in length
through mitosis
two daughter cells occupy one lacuna (they do not like this)
they secrete new matrix in order to separate
What are the different types of cartilage?
hyaline cartilage
elastic cartilage
fibrocartilage
What is hyaline cartilage?
Hyaline cartilage covers bony articular surfaces (joints)
most common in the body
matrix contains a moderate amount of collagen fibres - not visible
what is articular hyaline cartilage?
What is elastic cartilage?
Elastic cartilage contains bundles of elastic fibres arranged in irregular patterns, providing flexibility
what is fibrocartilage?
fibrocartilage is tough, containing thick, regular patterns of collagen fibre
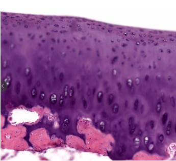
what type of cartilage is this?

hyaline cartilage
what type of cartilage is this?

elastic cartilage
what type of cartilage is this?

fibrocartilage
What are the functions of bone?
What is the difference between red and yellow bone marrow?
yellow bone marrow contains adipose tissue and can act as a source of energy
red bone marrow is where hematopoiesis - the production of blood cells (red blood cells, white blood cells and platelets are all produced in red bone marrow)
during trauma events, the body has the ability to convert yellow bone marrow to red bone marrow to assist in replenishing red blood cell’s lost
How do bones assist in maintaining homeostasis?
storage of mineral and energy reserves
What are osteoblasts?
The osteoblast is the bone cell responsible for forming new bone and is found in the growing portions of bone including the periosteum and endosteum
what are osteocytes?
As the secreted matrix surrounding the osteoblast calcifies, the osteoblast becomes trapped within it and becomes an osteocyte
What are osteoclasts?
Bone is dynamic, meaning that new bone tissue is constantly formed and old, injured or unecessary bone is dissolved for repair or for calcium release
What is compact/cortical bone?
Compact bone is the denser, stronger of the two types of bone tissue. It can be found in the outer layers and offers protection and support. Compact bone is dense so that it can withstand compressive forces
What is spongy/trabecular/cancellous bone?
Spongy bone is the inner structure of bone and is honeycombed and lightweight. It houses bone marrow and is directed to stress lines
spongy bone has open spaces and supports the shift in weight distribution