General Practice Flashcards

(962 cards)

1
Q

Define Acne Vulgaris (Acne)?

A

Chronic inflammation caused by a blockage of the follicle, with or without localised infection, in pockets within the skin known as the pilosebaceous unit

How well did you know this?
1
Not at all
2
3
4
5
Perfectly
2
Q

What is the Epidemiology of Acne?

A
  • It is one of the most common dermatological conditions globally,
  • Prevalence is highest in adolescents and young adults
  • The psychological impact of acne can be significant, affecting self-esteem and overall quality of life.
How well did you know this?
1
Not at all
2
3
4
5
Perfectly
3
Q

What are some risk factors for Acne?

A
  • Hormonal changes (e.g. during puberty, menstrual cycle, polycystic ovary syndrome)
  • Increased sebum (oil) production
  • Blockage of hair follicles and sebaceous glands by keratin and sebum
  • Bacterial colonization (Propionibacterium acnes)
  • Family history of acne
  • Certain medications (e.g. corticosteroids, hormonal treatments)
How well did you know this?
1
Not at all
2
3
4
5
Perfectly
4
Q

What is the pathophysiology of Acne?

A
  • Acne results from increased production of sebum, trapping of keratin (dead skin cells) and blockage of the pilosebaceous unit.
  • This leads to swelling and inflammation in the pilosebaceous unit.
  • Androgenic hormones increase the production of sebum, which is why acne is exacerbated by puberty and improves with anti-androgenic hormonal contraception.
  • Swollen and inflamed units are called comedones.
  • Closed Comedones: “White heads” as their contents are not exposed to the skin surface or oxygen
  • Open Comedones: “Black heads” as when they open the contents are exposed and become oxidised turning black.
  • Proprionbacterium acnes is a commensal organism that colonises the skin. When a comedone is open this species can invade and form an inflammatory papule (a solid raised lesion <0.5mm diameter) associated with erythema
  • As more neutrophils accumulate in the papule this may progress to form an inflammatory Pustule ( Lesion <0.5mm diameter containing pus)
How well did you know this?
1
Not at all
2
3
4
5
Perfectly
5
Q

Define these words:

Macules:

Papules:

Pustules:

Comedomes:

Blackheads:

Whiteheads:

Ice Pick Scars:

Hypertrophic Scars:

Rolling Scars:

A

Macules are flat marks on the skin

Papules are small lumps on the skin

Pustules are small lumps containing yellow pus

Comedomes are skin coloured papules representing blocked pilosebaceous units

Blackheads are open comedones with black pigmentation in the centre

Ice pick scars are small indentations in the skin that remain after acne lesions heal

Hypertrophic scars are small lumps in the skin that remain after acne lesions heal

Rolling scars are irregular wave-like irregularities of the skin that remain after acne lesions heal

How well did you know this?
1
Not at all
2
3
4
5
Perfectly
6
Q

What are the different classifications of Acne?

A
  • Non-inflammatory: Comedomes (blackheads and whiteheads)
  • Inflammatory: inflammatory papules, pustules, and nodules (cysts.)
  • Mild acne: predominantly non-inflammatory lesions.
  • Moderate acne: predominantly inflammatory papules and pustules.
  • Severe acne: nodules (cysts), scarring, acne fulminans, and acne conglobata.
How well did you know this?
1
Not at all
2
3
4
5
Perfectly
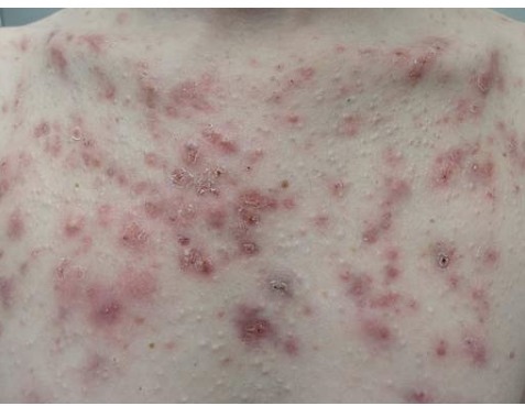
7
Q

What are the clinical features of Acne?

A
  • Open/closed Comedones, inflammatory papules and pustules, nodules, and cysts may be present.
  • The face is most often affected. The neck, chest and back may also be affected.
  • Psychological dysfunction due to changes physical appearance
  • Scarring: associated with inflammatory acne. Hypertrophic and keloid scars are more common in darker skin tones.
How well did you know this?
1
Not at all
2
3
4
5
Perfectly
8
Q

What is Acne Fulminans?

A

An uncommon but severe, serious acne presentation.

  • Inflammatory nodules/cysts that are painful, ulcerating, and haemorrhagic appear
  • Associated systemic upset (raised white cell count, joint pain, fever, fatigue.)
  • These patients should be reviewed urgently within 24 hours. It usually affects teenage male patients.
How well did you know this?
1
Not at all
2
3
4
5
Perfectly
9
Q

What are the investigations for Acne?

A

Clinical diagnosis and investigations are usually not needed

  • Swabs may be indicated if diagnosis is uncertain
  • If an endocrinological cause is suspected them maybe carry out investigations
How well did you know this?
1
Not at all
2
3
4
5
Perfectly
10
Q

What is the management of Acne?

A

Non-pharmacological

  • Dont over clean skin
  • Avoid oil based skin products
  • Avoid picking/scratching

Treatment is initiated in a stepwise fashion on severity of symptoms

  • No treatment may be acceptable if mild.
  • Topical Benzoyl peroxide (topical Antibiotic): Reduce inflammation, toxic to P.acnes
  • Topical retinoids: Slow sebum production
  • Topical antibiotics (Clindamycin): prescribed in combination with retinoids or benzoyl peroxide
  • Oral antibiotics (Lymecycline): Contraindicated in pregnancy or planning pregnancy
  • Oral contraceptive pill (Dianette): Slow sebum production
  • Oral Retinoids (Isotretinoin): Effective last line but only prescribed by a specialist
How well did you know this?
1
Not at all
2
3
4
5
Perfectly
11
Q

What is a contraindication to using Oral isotretinoin to treat acne?

A

Very effective at clearing the skin however it is strongly teratogenic so contraindicated in pregnancy or people planning pregnancy

How well did you know this?
1
Not at all
2
3
4
5
Perfectly
12
Q

What are some side effects to Isotretinoin?

A
  • Dry skin and lips
  • Photosensitivity of the skin to sunlight
  • Depression, anxiety, aggression and suicidal ideation. Patients should be screened for mental health issues prior to starting treatment.
  • Highly Teratogenic
  • Rarely Stevens-Johnson syndrome and toxic epidermal necrolysis
How well did you know this?
1
Not at all
2
3
4
5
Perfectly
13
Q

What is a major concern when using Co-cyprindiol (Dianette) as a treatment for Acne?

A

Has a high risk of thromboembolism so is not prescribed long term and is usually discontinued once acne is controlled

How well did you know this?
1
Not at all
2
3
4
5
Perfectly
14
Q

What are some complications of Acne?

A
  • Post-inflammatory erythema
  • Post-inflammatory hyper- and hypo- pigmentation
  • Psycho/social/sexual dysfunction
  • Scars (atrophic, hypertrophic, keloid)
How well did you know this?
1
Not at all
2
3
4
5
Perfectly
15
Q

What are Keloid scars and what are some risk factors for them?

A

Keloid scars: over-proliferating scar tissue/collagen extending beyond the boundaries of the lesion. Takes 3-4 weeks typically to develop after injury.

Risk Factors:

  • Darker skin/Chinese/Hispanic origin
  • Less than 30 years of age
  • Previous Keloid Scarring
How well did you know this?
1
Not at all
2
3
4
5
Perfectly
16
Q

Define Acute Bronchitis?

A

Acute bronchitis is defined as a self-limiting lower respiratory tract infection.

Bronchitis refers specifically to infections causing inflammation in the bronchial airways, whereas pneumonia denotes infection in the lung parenchyma resulting in consolidation of the affected segment or lobe.

How well did you know this?
1
Not at all
2
3
4
5
Perfectly
17
Q

What are some Risk factors for Acute Bronchitis?

A
  • Viral or atypical bacterial infection exposure
  • Cigarette smoking
  • Household pollution exposure
How well did you know this?
1
Not at all
2
3
4
5
Perfectly
18
Q

What is the Epidemiology of Acute Bronchitis?

A
  • Very common condition
  • Highest incidence in autumn and winter months
How well did you know this?
1
Not at all
2
3
4
5
Perfectly
19
Q

What is the aetiology of Acute Bronchitis?

A
  • Most commonly caused by Viral infections:
    • Coronavirus,
    • Rhinovirus
    • RSV
    • Adenovirus
How well did you know this?
1
Not at all
2
3
4
5
Perfectly
20
Q

What are the clinical features of Acute Bronchitis?

A

Patients typically present with an acute onset of:

  • cough: may or may not be productive
  • sore throat
  • rhinorrhoea
  • wheeze

The majority of patients with have a normal chest examination, however, some patients may present with:

  • Low-grade fever
  • Wheeze
How well did you know this?
1
Not at all
2
3
4
5
Perfectly
21
Q

What are the investigations for Acute Bronchitis?

A

Primarily a clinical diagnosis

  • May use Pulmonary Function Tests
  • May use Chest X-ray
  • May use CRP
How well did you know this?
1
Not at all
2
3
4
5
Perfectly
22
Q

What is the key differential for Acute Bronchitis?
How does the presentation differ?

A

Pneumonia:

Acute bronchitis typically only has a wheeze on examination.

No CXR changes, dullness to percussion, focal crackles, and less systemic symptoms

How well did you know this?
1
Not at all
2
3
4
5
Perfectly
23
Q

What is the management of Acute Bronchitis?

A

Supportive Treatments:

  • Analgesia
  • Good fluid intake
  • Consider SABA in patients with asthma affected by wheeze
  • If suspected bacterial cause then antibiotics (Doxycycline)
How well did you know this?
1
Not at all
2
3
4
5
Perfectly
24
Q

Define Acute Stress Reaction?

A

Acute Stress Reaction (ASR) is an immediate and intense psychological response following exposure to a traumatic event.

  • Characterized by intrusive memories, dissociation, heightened arousal, avoidance behaviours, and negative mood alterations
  • ASR unfolds rapidly, typically within the initial three days to four weeks post-trauma
  • ASR symptoms lasting > one month is Post Traumatic Stress Disorder (PTSD)
How well did you know this?
1
Not at all
2
3
4
5
Perfectly
25
What is the ICD-11 Criteria for Acute Stress Reaction?
* **Exposure:** Direct or indirect to a traumatic event, resulting in intense emotional distress. * **Symptoms:** Include dissociation, intrusive memories, negative mood, arousal, or avoidance. * **Duration:** Persists for a brief period, typically between 3 days to 4 weeks post-event.
26
What are the clinical factures of Acute Stress Reaction?
intrusive thoughts e.g. flashbacks, nightmares dissociation e.g. 'being in a daze', time slowing negative mood avoidance arousal e.g. hypervigilance, sleep disturbance
27
What are some differential diagnoses for Acute Stress Reaction?
**Adjustment Disorder:** * Adjustment disorder involves diverse maladaptive responses to stressors, leading to disproportionate mood disturbances, impaired functioning, and cognitive alterations persisting for up to six months. **Post-Traumatic Stress Disorder (PTSD):** * PTSD is marked by persistent intrusion symptoms, avoidance behaviours, negative alterations in mood and cognition, and heightened arousal following exposure to a traumatic event, with symptom duration extending beyond one month.
28
What is the management of Acute Stress Reaction?
**First Line: Trauma-focused CBT** * Occasionally medication may be used for symptomatic management such as sleep disturbance (benzodiazepines)
29
Define Allergy?
An umbrella term for hypersensitivity of the immune system to allergens. Allergens are proteins that the immune system recognises as foreign and potential harmful, leading to an allergic immune response.
30
Define Atopy?
A term used to describe a predisposition to having hypersensitivity reactions to allergens. It refers to the tendency to develop conditions such as eczema, asthma, hayfever, allergic rhinitis and food allergies.
31
Give some common conditions that are classed as Type 1 Hypersensitivity reactions?
* Asthma * Atopic eczema * Allergic rhinitis * Hayfever * Food allergies * Animal allergies
32
What is a Type 1 Hypersensitivity Reaction?
IgE antibodies to a specific allergen trigger mast cells and basophils to release histamines and other cytokines. This causes an immediate reaction. Typical food allergy reactions, where exposure to the allergen leads to an acute reaction, range from itching, facial swelling and urticaria to anaphylaxis.
33
What is a Type 2 Hypersensitivity Reaction?
**Cytotoxic Mediated Immune Reaction** IgG and IgM antibodies react to an allergen and activate the complement system, leading to direct damage to the local cells. **Examples are haemolytic disease of the newborn and transfusion reactions.**
34
What is a Type 3 Hypersensitivity Reaction?
Immune complexes accumulate and cause damage to local tissues. **Examples are autoimmune conditions such as systemic lupus erythematosus (SLE), rheumatoid arthritis and Henoch-Schönlein purpura (HSP)**
35
What is a Type 4 Hypersensitivity Reaction?
Cell mediated hypersensitivity reactions caused by T lymphocytes. T-cells are inappropriately activated, causing inflammation and damage to local tissues. **Examples are organ transplant rejection and contact dermatitis**
36
What should be covered when taking a history for allergy?
* Timing after exposure to the allergen * Previous and subsequent exposure and reaction to the allergen * Symptoms of rash, swelling, breathing difficulty, wheeze and cough * Previous personal and family history of atopic conditions and allergies
37
What are the investigations for diagnosis allergy?
There are three main ways to test for allergy: * Skin prick testing * RAST testing, which involves blood tests for total and specific immunoglobulin E (IgE) * Food challenge testing
38
What is the management for allergies?
* Establishing the correct allergen is essential * Avoidance of that allergen * Avoiding foods that trigger reactions * Regular hoovering and changing sheets and pillows in patients that are allergic to house dust mites * Staying in doors when the pollen count is high * Prophylactic antihistamines are useful when contact is inevitable, for example hayfever and allergic rhinitis * Patients at risk of anaphylactic reactions should be given an adrenalin auto-injector
39
Following exposure to an allergen what is the management?
* **Antihistamines** (e.g. cetirizine) * **Steroids** (e.g. oral prednisolone, topical hydrocortisone or IV hydrocortisone) * **Intramuscular adrenalin in anaphylaxis** Antihistamines and steroids work by dampening the immune response to allergens. Close monitoring is essential after an allergic reaction to ensure it does not progress to anaphylaxis.
40
Describe the inheritance pattern for Membranopathies
Autosomal dominant
41
Name two most common Membranopathies
Spherocytosis (horizontal deformity) - more severe, present neonatal jaundice and haemolysis Elliptocytosis (vertical deformity)
42
Describe the pathophysiology of Membranopathies
Deficiency of red cell membrane proteins caused by genetic lesions leading to haemolytic anaemia.
43
What are the common clinical features of Membranopathies?
Jaundice Anaemia Splenomegaly
44
What is Hereditary Spherocytosis?
Deficiency in structural membrane protein Spectrin Makes RBCs more spherical and rigid Mistaken to be damaged and therefore prematurely destroyed by the spleen Causes Splenomegaly
45
What are the symptoms of Hereditary Spherocytosis?
General Anaemia Neonatal Jaundice Splenomegaly 50% have Gallstones
46
What is the investigations of Hereditary Spherocytosis and Elliptocytosis? Diagnostic test?
**FBC and blood film:** Normocytic Normochromic Increased Reticulocytes + Spherocytes **Diagnostic Test:** EMA (Eosin-5 Maleimide) Binding Test
47
What is the treatment for Hereditary Spherocytosis?
**acute haemolytic crisis:** * treatment is generally supportive * transfusion if necessary **longer term treatment:** * folate replacement * splenectomy
48
Name a common Enzymopathy.
Glucose-6-Phosphate Dehydrogenase deficiency
49
What is G6PD Deficiency?
X linked recessive enzymopathy causing 1/2 RBC lifespan and RBC degradation
50
Why does a deficiency in glucose-6-phosphate dehydrogenase lead to shortened red cell lifespan?
G6PD is required for glutathione synthesis Glutathione protects Red blood cells against oxidative damage
51
How does G6PD deficiency present?
Mostly asymptomatic unless precipitated by oxidative stressor causing an attack: * neonatal jaundice is often seen * intravascular haemolysis * gallstones are common * splenomegaly may be present
52
What is the diagnostic investigations for G6PD Deficiency?
G6PD Enzyme Assay (Reduced Levels) FBC: * anaemia and raised reticulocytes **Blood film:** * Normal in between attacks * Increased reticulocytes * **HEINZ bodies and BITE cells**
53
What is the treatment for GP6D Deficiency?
Avoid Precipitants - Oxidative drugs Blood transfusions when attacks come on.
54
What precipitants can lead to attacks of GP6D Deficiency?
Naphthalene Anti-malarials Aspirin FAVA beans Nitrofurantoin
55
What is anaemia?
- Low level of haemoglobin in the blood - It is the result of an underlying disease, and not a disease itself
56
What are the normal haemoglobin and mean cell volume ranges for men and women?
Men: Haemoglobin - 120-165 g/L MCV - 80-100 femtolitres Women; Haemoglobin - 130-180 g/L MCV - 80-100 Femtolitres
57
What is Mean Cell (corpuscular) Volume?
Size of the red blood cells
58
What level is considered anaemic in men and women?
- <135 g/L for men - <115 g/L for women
59
What are the 3 main categories of anaemia?
- Microcytic anaemia (low MCV indicating small RBCs) - Normocytic anaemia (Normal MCV indicating normal sized RBCs) - Macrocytic anaemia (Large MCV indicating large RBCs)
60
What are the general Symptoms of Anaemia?
Tiredness Shortness of breath Headaches Dizziness Palpitations Worsening of other conditions such as angina, heart failure or peripheral vascular disease
61
What are the general signs of anaemia?
Pale skin Conjunctival Pallor Tachycardia Raised Respiratory Rate
62
What is Anaemia of Chronic Disease?
Secondary anaemia due to underlying pathology. Commonest anaemia in hospitals Occurs in patients with inflammatory disease
63
What is Iron Deficiency Anaemia?
Iron is required for the synthesis of Haemoglobin. Therefore in Iron deficiency there is impaired synthesis of haemoglobin leading to Microcytic anaemia.
64
What is the most common form of anaemia world wide?
Iron Deficiency anaemia
65
What are some reasons a person may become iron deficient/causes of iron deficiency anaemia?
Iron is being lost (BLEEDING) Insufficient dietary iron Iron requirements increase (for example in pregnancy) Inadequate iron absorption
66
Where is Iron mainly absorbed?
Duodenum and Jejunum
67
How is Iron Transported and stored?
Transported - Transferrin Stored - Ferritin and Haemosiderin
68
Why do medications that reduce stomach acid production lead to impaired absorption of iron?
Iron is kept in the soluble ferrous (Fe2+) form by the stomach acid. When it enters the intestines and the acid drops, it changes to Insoluble ferric iron (Fe3+) The ferric iron is required for absorption. PPIs will increase insoluble ferric iron in the stomach that cannot be absorbed.
69
What conditions may reduce iron absorption?
GI tract Cancer Oesophagitis and Gastritis - GI bleeding IBD, Colitis and Coeliacs - Impaired absorption
70
What are the Signs and Symptoms of Iron deficiency anaemia?
General Anaemia Sx PICA Brittle hair and nails Koilonychia Angular Stomatitis, Cheilitis Atrophic Glossitis
71
What are the diagnostic investigations for Iron Deficiency Anaemia?
FBC - MCV = Low (microcytic anaemia) Blood Film - Hypochromic RBC, Target cells, Howell Jolly Bodies Iron Studies - Low Ferritin (<15), Low transferrin Saturation (<15%), Increased Total Iron Binding Capacity (TIBC) Endoscopy/Colonoscopy if >60 yrs to look for GI bleed
72
What is the treatment of Iron Deficiency Anaemia?
Oral Fe - Ferrous Sulphate (Ferrous Gluconate if poorly tolerated) Blood Transfusion
73
What are some Side effects of Treating Iron deficiency anaemia with Ferrous sulphate?
Cause GI Upset Nausea Diarrhoea Constipation Black stools
74
What is Sideroblastic Anaemia?
A microcytic anaemia characterised by ineffective erythropoiesis due to having the inability to incorporate Iron into blood cells
75
What is the Pathogenesis of Sideroblastic anaemia?
Defective Hb synthesis within Mitochondria Often X linked inheritance A Functional Iron deficiency where there is increased Fe but it is not used in Hb Synthesis
76
What are the investigations for Sideroblastic anaemia?
FBC - Microcytic Blood film - Ringed Siderobasts
77
What is the Treatment for Sideroblastic Anaemia?
- Mainly supportive - Iron chelation (Desferrioxamine) - Consider B6 (Pyridoxine) if hereditary
78
What is Pernicious Anaemia?
- Autoimmune condition in which atrophic gastritis leads to a lack of intrinsic factor secretion from the parietal cells in the stomach - Dietary B12 remains unbound and cannot be absorbed at the terminal ileum - Therefore B12 deficiency leads to impaired maturation of RBCs and anaemia
79
What is vitamin B12 deficiency anaemia?
- Macrocytic anaemia with peripheral neuropathy and neuropsych complaints - It is a megaloblastic anaemia, as well as folate deficiency anaemia
80
What are the causes of B12 deficiency?
* **Pernicious anaemia:** most common cause * post gastrectomy * vegan diet or a poor diet * disorders/surgery of terminal ileum (site of absorption) * Crohn's: either diease activity or following ileocaecal resection * metformin (rare)
81
What is the cause of pernicious anaemia?
Autoimmune atrophic gastritis
82
What is B12 used for and how is it absorbed?
- DNA synthesis cofactor and the production of red blood cells - required for cell division - Without it, cells remain large (megaloblast) - It is normally present in meat, fish and dairy, and it absorbed in the terminal ileum combined with intrinsic factor
83
What is the normal physiology of Vitamin B12 absorption
B12 typically binds to Transcobalamin in the saliva (provides protection against stomach acid) Parietal cells release Intrinsic factor (IF) IF forms complexes with Vit B12 which is then absorbed in the ileum B12 is then used for RBC production
84
What is the Pathophysiology of B12 deficiency and Pernicious anaemia?
* antibodies to intrinsic factor +/- gastric parietal cells * intrinsic factor antibodies → bind to intrinsic factor blocking the vitamin B12 binding site * gastric parietal cell antibodies → reduced acid production and atrophic gastritis. Reduced intrinsic factor production → reduced vitamin B12 absorption * vitamin B12 is important in both the production of blood cells and the myelination of nerves → megaloblastic anaemia and neuropathy
85
What are the signs and symptoms of Pernicious anaemia?
General Anaemia Sx Signs: Lemon Yellow Skin Angular Stomatitis and glossitis Neurological SX - B12 def causes suactue combined degeneration of the Spinal chord. presents as loss of DCML, distal paraesthesia and neuropsych symptoms (mood disturbances)
86
What neurological symptoms may be seen in Pernicious anaemia?
**Subacute Combined Degeneration of the Spinal Cord** Impairment of the dorsal columns, lateral corticospinal tracts and spinocerebellar tracts. **dorsal column involvement** * distal tingling/burning/sensory * loss is symmetrical and tends to affect the legs more than the arms * impaired proprioception and vibration sense **lateral corticospinal tract involvement** * muscle weakness, hyperreflexia, and spasticity * upper motor neuron signs typically develop in the legs first * brisk knee reflexes * absent ankle jerks * extensor plantars **spinocerebellar tract involvement** * sensory ataxia → gait abnormalities * positive Romberg's sign
87
What are the diagnostic investigations of B12 Deficiency and Pernicious Anaemia?
MCV Increased - macrocytic anaemia Blood film - Megaloblasts + Oval Macrocytes Low serum B12 levels Anti-IF antibodies and Anti-parietal Abs
88
What is the treatment of Pernicious anaemia?
**Vitamin B12 replacement** * usually given intramuscularly * no neurological features: 3 injections per week for 2 weeks followed by 3 monthly treatment of vitamin B12 injections * Neurological features require more frequent injections **Folic Acid Supplementation**
89
What is Folate Deficiency Anaemia?
- A type of MACROcytic anaemia with absence of neurological signs - Folate is required for cell division and DNA synthesis. Without it maturing RBCs wont divide - Megalobastic
90
How long does B12 deficiency and pernicious anaemia take to develop?
Years
91
How long does Folate deficiency anaemia take to develop?
Months
92
What are the causes of folate deficiency anaemia?
- Poor diet (poverty, alcohol, elderly) - Increased demand (Pregnancy, renal disease) - Malabsorption (Coeliac) - Drugs, alcohol and methotrexate
93
What is the hallmark symptom of megalobastic anaemia?
Headache Loss of appetite and weight
94
What are the signs and symptoms of folate-deficiency anaemia?
General Anaemia Sx Angular Stomatitis and Glossitis No Neurological Sx - distinguish between B12 Def.
95
What is the diagnostic test for Folate deficiency Anaemia?
FBC and Blood film - Macrocytic and Megaloblasts Decreased serum folate
96
What is the treatment for Folate deficiency anaemia?
Dietary advice - leafy greens and brown rice Folate supplements If pancytopenic then give packed RBC Transfusion
97
What is Autoimmune Haemolytic Anaemia?
Autoimmune Abs against RBCs causing intra and extravascular haemolysis
98
What are the hereditary causes of haemolytic anaemia?
- Enzyme defects (G6P dehydrogenase deficiency) - Membrane defects (Spherocytosis, elliptocytosis) - Haemoglobinopathies (Abnormal Hb production) (Sickle cell, thalassaemia)
99
What are the types of Autoimmune haemolytic anaemia?
**Warm AIHA** * IgG mediated * Commonly causes extravascular haemolysis (splee) **Cold AIHA** * IgM Mediated * Causes haemolysis at 4 degrees * Commonly causes intravascular haemolysis
100
What is the specific test to Diagnose Autoimmune Haemolytic Anaemia?
Direct Coombs Test - Agglutination of RBCs with Coombs reagent
101
What are the signs and symptoms of haemolytic Anaemia?
- Anaemia symptoms (Pallor, fatigue, dyspnoea) - Jaundice (Increase in bilirubin) - Splenomegaly (increased haemolysis) - Dark urine (PNH)
102
What are the investigations for haemolytic anaemia?
Low Hb FBC - Normocytic Anaemia Blood film - Shistocytes, increased reticulocytes' Jaundice features: Inc bilirubin, Inc urinary urobilin, High faecal stercobilin Direct coombs Test - positive for autoimmune
103
What is the treatment of Coombs +ve haemolytic anaemia?
**Treatment of any underlying disorder** * Steroids (+/- rituximab) are generally used first-line **Severe Cases** * RBC transfusion and folic acid * Splenectomy
104
How does CKD cause anaemia?
Decreased EPO causes reduced erythropoiesis Normocytic and Normochromic anaemia
105
What is Aplastic Anaemia?
A Pancytopenia where Bone Marrow fails and stops making haematopoietic stem cells from pluripotent cells..
106
What is Haemolytic Anaemia?
Anaemia caused by haemolysis - early breakdown of RBCs
107
What are the different Mean Corpuscular Volumes in the different types of anaemia?
Microcytic - CMV <80 Normocytic - CMV 80-95 Macrocytic - CMV >95
108
What is a Megaloblastic Anaemia?
An anaemia characterised by large (macrocytic) non-condensed chromatin due to impaired DNA synthesis. B12 deficiency Folate Deficiency
109
What are the main causes of splenomegaly?
Infection Liver disease Autoimmune disease - SLE/RA Cancers (often haematological)
110
What can be reasons for Low blood count/anaemia?
Increased Loss: BLEEDING Haemolysis Decreased Production: Iron deficiency B12 deficiency Folate deficiency BM failure
111
What is a hypochromic cell?
Pale cells due to less haemoglobin
112
What are the causes of anaemia of chronic disease?
Crohn’s RA TB SLE Malignant disease CKD
113
What is the pathology of anaemia of chronic disease?
* Increased Hepcidin → Decreased iron absorption and release → Functional iron deficiency. * Inflammatory cytokines (IL-6, TNF-α, IFN-γ) → Reduced erythropoiesis and blunted response to erythropoietin. * Shortened RBC lifespan → Increased destruction of red blood cells. * Iron sequestration in macrophages → Impaired hemoglobin synthesis.
114
What are the investigations of anaemia of chronic disease?
FBC and blood film Normocytic/microcytic and hypochromic (pale) Low serum iron and low total iron-binding capacity (TIBC) Increased or normal serum ferritin
115
What is the treatment for anaemia of chronic disease?
Treat underlying cause Recombinant erythropoietin
116
What is the pathology of G6PD Deficiency?
G6PD vital in hexose monophosphate shunt which maintains glutathione in reduce state. Glutathione protects the RBC from oxidative crisis Therefore in deficiency the RBCs are easily damaged by oxidative stress.
117
What are some differential Diagnoses for Iron deficiency anaemia?
Thalassaemia Anaemia of chronic disease
118
What would you not treat B12 deficiency anaemia with?
Folic acid supplements Whilst this would treat the anaemia, this could mask the neurological symptoms predisposing you to an irreversible neurological deficit
119
What are some complications of Pernicious anaemia?
Heart failure Angina Neuropathy
120
How can you tell the difference between B12 and folate deficiency anaemia?
Both macrocytic megaloblastic anaemias B12 presents with anaemia Sx and Neurological deficits. Folate has no neurological deficits.
121
Where does haemolysis occur?
Intravascular - within blood vessels Extravascular - within reticuloendothelial system (most common) By macrophages in spleen (mainly), liver and bone marrow
122
What are the acquired causes of haemolytic anaemia
Autoimmune haemolytic anaemia Infections - malaria Secondary to systemic disease
123
What is the treatment of autoimmune haemolytic anaemia?
Folate and iron supplementation Immunosuppressives - prednisolone/ciclosporin Splenectomy
124
What are the causes of aplastic anaemia? What is the mnemonic to remember them?
A – Autoimmune conditions (e.g., lupus) P – Parvovirus B19 and other viral infections (like hepatitis, HIV, EBV) L – Lithium (or other drugs/medications like chemotherapy, antibiotics) A – Alcohol or Toxins (like benzene) S – Stem cell disorders (e.g., Fanconi anemia) T – Treatments with radiation or chemotherapy I – Idiopathic (unknown cause) C – Congenital causes (e.g., dyskeratosis congenita, Shwachman-Diamond syndrome)
125
What are the signs and symptoms of aplastic anaemia?
Anaemia Increased susceptibility to infection Increased bruising Increased bleeding (especially from nose and gums)
126
What are the investigations for aplastic anaemia?
FBC – would show pancytopenia (low levels of all blood cells i.e. RBCs, WBCS etc.) Reticulocyte count – low or absent BM biopsy – hypocellular marrow with increased fat spaces
127
What is the treatment for aplastic anaemia?
Remove causative agent Blood/platelet transfusion BM transplant Immunosuppressive therapy – anti-thymocyte globulin (ATG) and ciclosporin
128
Define Anal Fissure?
Linear tears or cracks in the mucosa of the distal anal canal, often causing severe pain and bleeding during or after bowel movements.
129
What is the Aetiology of Anal Fissures?
* **Constipation:** Hard stools can cause tearing in the distal anal canal. * **Pregnancy:** Increased risk during the third trimester and post-delivery.
130
What are the clinical features of Anal Fissures?
* Severe anal pain or a tearing sensation during bowel movements, lasting for hours afterward. * Anal spasms reported by about 70% of patients. * Bright red PR bleeding typically noticed on the stool or the toilet paper.
131
What are the differential diagnoses for anal fissures?
* **Hemorrhoids:** Painful, swollen veins in the lower portion of the rectum or anus. Signs include painless bleeding during bowel movements, itching or irritation in the anal region, discomfort, swelling around the anus, and a lump near the anus. * **Anal abscess or fistula:** Symptoms include anal pain, rectal discharge, bleeding, irritation, and fever. * **Anal cancer:** Symptoms can include anal bleeding, anal itching, a lump or mass at the anal opening, pain or feeling of fullness in the anal area. * **Inflammatory bowel disease** (Crohn's disease or ulcerative colitis): Symptoms include diarrhea, rectal bleeding, abdominal cramps and pain, an urgent need to move the bowels, and weight loss.
132
What are the investigations for Anal fissures?
**Clinical physical examination**
133
What is the management for anal fissures?
**Management of an acute anal fissure (< 1 week)** * soften stool is the aim * Dietary advice: high-fibre diet with high fluid intake * **Bulk-forming laxatives are first-line** - if not tolerated then lactulose should be tried * Lubricants such as petroleum jelly may be tried before defecation * Topical analgesia/anaesthetics - Lidocain ointment **Management of Chronic Anal Fissure** * Continue above management * **Topical GTN Ointment** is first line **Patients with atypical anal fissures or symptoms/signs suggestive of Crohn's disease should be referred to a gastroenterologist.**
134
Define Asthma
Asthma is a chronic inflammatory airway disease leading to **reversible airway obstruction**. The smooth muscle in the airways is hypersensitive and responds to stimuli by constricting and causing airflow obstruction.
135
What is the Pathophysiology of Asthma?
Environmental trigger against specific allergens leads to sensitisation reaction where IgE Abs against antigen bind to mast cells. Secondary exposure leads to an immune system activation and activation of Th2 cells. Th2 cells produce cytokines such as IL3, 4, 5, 13. IL-4 leads to IgE Crosslinking and degranulation of mast cells releasing histamine and leukotrienes. IL-5 leads to eosinophil activation and release of proteins This leads to a Hypersensitivity Rxn which causes Smooth muscle bronchospasm and increased mucus production leading to narrow airways and airway obstruction.
136
What happens to the airways in chronic asthma?
Initially asthma and inflammation of the airways is reversible. Over chronic asthma the inflammation in the airways causes irreversible damage such as scarring and fibrosis causing thickening of the epithelial BM causing permanent narrowing of the airways.
137
What pathological changes are responsible for airway narrowing in Asthma?
* Increased number of and hypertrophy of smooth muscle * Constriction of smooth muscle cells (bronchoconstriction) * Increased mucous production * Swelling and inflammation (of mucosa) * Thickened basement membrane * Airway hyperreactivity, cellular infiltration
138
What is Occupational Asthma?
Asthma caused by environmental triggers within the workplace
139
What are some risk factors for asthma?
* Family history * Personal history of atopy * Maternal smoking * Viral infections * Lower socioeconomic status * Occupational settings: Dusts, moulds, sands
140
What are some typical triggers for Asthma?
* Infection * Night time or early morning * Exercise * Animals * Cold, damp or dusty air * Strong emotions * NSAIDs and Beta blockers
141
What are the clinical features of Asthma?
**Symptoms:** * **Wheeze** * Dyspnoea * Cough (may be nocturnal) * Chest tightness * **Diurnal variation** (symptoms worse in the morning) **Note: symptoms may worsen following exercise, weather changes or following the use of nonsteroidal anti-inflammatory drugs (NSAIDs)/beta blockers.** **Signs:** * Tachypnoea * Hyperinflated chest * Hyper-resonance on chest percussion * Decreased air entry * Wheeze on auscultation
142
What are the investigations for Asthma?
**Peak Flow Diary:** * Due to diurnal variation theres readings will be lower in the morning * Twice daily readings over 2-4 weeks * Variability of **20% is positive and supports diagnosis** **Spirometry with Reversibility Testing:** * FEV1/FVC < 0.7 is suggestive of **obstructive airway disease** * Bronchodilator reversibility testing should **increase FEV1/FVC by > 12% and 200ml** **Fractional Exhaled Nitric Oxide (FeNO):** * NO is a marker of airway inflammation * **>40 ppb in adults or >35 ppb in children** is a positive result and supports diagnosis
143
What are the NICE guidelines for diagnosing suspected asthma?
NICE 2020 Guidelines **Initial Investigations:** * FeNO * Spirometry + Bronchodilator Reversibility **Where there is diagnostic uncertainty:** * Peak Flow Variability is the next step **Still Uncertainty:** * Direct bronchial challenge test with histamine or methacholine
144
What is the Non-pharmacological management for Asthma?
* Smoking cessation * Avoidance of precipitating factors (eg. known allergens) * Review inhaler technique * Regular exercise * Vaccinations/yearly flu jab
145
What is the Pharmacological Management for Asthma in Adults?
1. Start a short-acting beta 2 agonist inhaler (e.g. salbutamol) as required 2. Add a regular low dose corticosteroid inhaler **Assess Inhaler Technique** 3. Consider offering a leukotriene receptor antagonist (LTRA) in addition to the low dose ICS. Review the response to treatment in 4 to 8 weeks. 4. Add a long-acting beta-2 agonist inhaler (e.g. salmeterol). Continue salmeterol only if the patient has a good response. (Consider stopping LRTA) 5. If asthma uncontrolled, offer to change the person's ICS and LABA maintenance therapy to a maintenance and reliever therapy (MART) regimen with a low maintenance ICS dose. 5. Titrate the inhaled corticosteroid up to a moderate dose. 6. If asthma is uncontrolled on a moderate maintenance ICS dose with a LABA (either as MART or a fixed-dose regimen), with or without an LTRA, consider a trial of an additional drug (Theophylline). Alternatively change ICS to high dose
146
What are some conditions classed as Asthma Mimics?
* **Acid Reflux/GORD** * **Churg-Strauss Syndrome (EGPA)** * **Allergic Bronchopulmonary Aspergillosis (ABPA)**
147
What is an Acute exacerbation of Asthma?
An acute exacerbation of asthma involves a rapid deterioration in symptoms.
148
What are the presenting features of an acute asthma exacerbation?
* Progressively shortness of breath * Use of accessory muscles * Raised respiratory rate (tachypnoea) * Symmetrical expiratory wheeze on auscultation * The chest can sound “tight” on auscultation, with reduced air entry throughout
149
What are the different severities of an acute asthma exacerbation?
Moderate: PEF > 50% predicted Severe: PEF < 50% predicted Life threatening: PEF < 33% predicted
150
What are the features of a Moderate acute asthma exacerbation?
PEF > 50% predicted Normal speech
151
What are the features of a Severe acute asthma exacerbation?
* PEF 33-50% predicted * O2 saturations < 92% * Incomplete sentences * Signs of respiratory distress **Respiratory rate:** >25 **Heart rate:** >110 bpm
152
What are the features of a Life threatening asthma exacerbation?
**33, 92, CCHEST:** * PEF **< 33%** predicted * **<92%** - Oxygen Stats * **C**yanosis * **C**onfusion/Consciousness/AMS * **H**ypotension * **E**xhaustion and poor respiratory effort * **S**ilent Chest/no wheeze * **T**achycardia
153
What are the investigations for an Acute Asthma Exacerbation?
* Routine blood tests * Chest X-ray to rule out pneumothorax or consolidation * **ABG** as respiratory alkalosis is likely
154
What is the management for an Acute Asthma Exacerbation?
**Maintain oxygen saturations between 94-98% with high flow oxygen if necessary.** **All patients should receive steroids (Oral Prednisolone or IV hydrocortisone) given IV only if the patient is unable to take the dose orally** * Administer **inhaled salbutamol** via spacer: 10 puffs every 2 hours * Proceed to **nebulised salbutamol** if necessary * Add **nebulised ipratropium bromide** * If O2 saturations remain <92%, **add magnesium sulphate** * Add **intravenous salbutamol if no response to inhaled therapy** * If severe or life-threatening acute asthma is not responsive to inhaled therapy, add **IV aminophylline** **If the patient is not responding to salbutamol or ipratropium, consult with a senior clinician**
155
Define Primary Angle-closure Glaucoma/ **acute angle-closure glaucoma** (PACG/AACG)?
A type of glaucoma characterized by the blockage or narrowing of the drainage angle formed by the cornea and the iris, resulting in a sudden increase in intraocular pressure.
156
What is the epidemiology of PACG?
* Predominantly affects older individuals >40 years
157
What are some risk factors for PACG?
* Increasing age * Family history * Female (four times more likely than males) * Chinese and East Asian ethnic origin * Shallow anterior chamber * Hyperopia (long-sightedness) and short axial length of the eyeball
158
What medications can precipitate PACG?
* Adrenergic medications (e.g., noradrenaline) * Anticholinergic medications (e.g., oxybutynin and solifenacin) * Tricyclic antidepressants (e.g., amitriptyline), which have anticholinergic effects
159
What is the pathophysiology of PACG?
* Occurs when the iris bulges forward and seals off the trabecular meshwork from the anterior chamber * This prevents aqueous humour from draining and leading to a continual increase in intraocular pressure. * The pressure builds in the posterior chamber, pushing the iris forward and exacerbating the angle closure. **It is an ophthalmological emergency requiring rapid treatment to prevent permanent vision loss.**
160
What is the presentation of PACG?
**Symptoms** * **Severely Painful Red Eye:** an extremely painful eye that develops rapidly, with pain spreading throughout the orbit * **Blurred vision:** Can progress to vision loss * **Halos:** patients will often describe coloured haloes around lights * **Systemically unwell:** nausea and vomiting are very common presenting symptoms **Signs** * **Red eye:** ciliary flush with a hazy cornea * **Mid-dilated or fixed pupil** * **Hazy Cornea** * **Closed iridocorneal angles** on gonioscopy * **Corneal oedema** **Hard Eyeball due to Raised IOP** (defined as >21 mmHg)
161
What are some differential diagnoses of PACG?
* **Open-angle glaucoma:** Gradual loss of peripheral vision, usually in both eyes, and tunnel vision in the advanced stages. * **Acute anterior uveitis:** Red, painful eye, blurred vision, photophobia, and a small, irregular pupil. * **Retinal detachment:** Sudden appearance of floaters, flashes of light in the periphery, and a shadow or curtain over a portion of the visual field.
162
What are the investigations for PACG?
**Gonioscopy** - assessing angle between iris and cornea **Tonometry** - measurement of intraocular pressure **Ophthalmological examination**
163
What is the immediate initial management of Acute angle closure glaucoma (PACG) in the community?
**Acute angle-closure glaucoma requires immediate admission and urgent referral to ophthalmology. Measures while waiting for an ambulance are:** * Lying the patient on their back without a pillow * A Parasympathetomimetic (**Pilocarpine**) eye drops (2% for blue and 4% for brown eyes) * **Acetazolamide 500 mg orally** * Analgesia and an antiemetic, if required
164
How does Pilocarpine work?
Pilocarpine acts on the muscarinic receptors in the sphincter muscles in the iris and causes pupil constriction (it is a miotic agent). It also causes ciliary muscle contraction. These two effects open up the pathway for the flow of aqueous humour from the ciliary body, around the iris and into the trabecular meshwork.
165
How does Acetazolamide work?
Acetazolamide is a carbonic anhydrase inhibitor that reduces the production of aqueous humour.
166
What is the definitive management of PACG?
Surgical management o reduce the Intra-ocular pressure **Peripheral/laser iridotomy:** makes a hold in the iris allowing aqueous humour to flow from the posterior chamber to the anterior chamber to relieve the pressure
167
Define Blepharitis?
Blepharitis refers to inflammation of the eyelid margins. One of the most common reaons for eye related primary care visits
168
What is the aetiology of Blepharitis?
It may due to either: * **meibomian gland dysfunction** (common, posterior blepharitis) * **Seborrhoeic dermatitis/staphylococcal infection** (less common, anterior blepharitis). * Also can be caused by HSV/VZV infection * Blepharitis is more common in patietns with rosacea
169
What are the symptoms of Blepharitis? What are the signs?
**The symptoms of blepharitis include:** * Painful, gritty, itchy eyes * Eyelids sticking together upon waking * Dry eye symptoms (due to reduced meibomian gland oils) * Symptoms associated with the causative condition (e.g., seborrhoeic dermatitis, acne rosacea) **The signs of blepharitis include:** * Erythema of the eyelid margins * Crusting or scaling at the eyelid margin * Visibly blocked Meibomian gland orifices
170
What is the management of Blepharitis?
Blepharitis is a chronic condition for which there is no cure, but it can be well controlled and is rarely sight-threatening. The main management strategies include: * Softening of the lid margin using **hot compresses** twice a day * **'lid hygiene'** - mechanical removal of the debris from lid margins: * cotton wool buds dipped in a mixture of cooled boiled water and baby shampoo is often used * an alternative is sodium bicarbonate, a teaspoonful in a cup of cooled water that has recently been boiled * artificial tears may be given for symptom relief in people with dry eyes or an abnormal tear film
171
Define a Stye?
Acute infection of a gland at the edge of the eyelid or under the eyelid causing a small painful lump **External hordeolum** * Infection of an Eyelash follicle * It is an infection of the **glands of Zeis or Glands of Moll** **Internal Hordeolum:** is an abscess of the **meibomian gland**
172
What is a Chalazion?
A chalazion (Meibomian cyst) is a retention cyst of the Meibomian gland. It presents as a firm painless lump in the eyelid. The majority of cases resolve spontaneously but some require surgical drainage
173
What is the presentation of a stye?
Presents as a painful, red hot lump on the eyelid that points outwards, causing localized inflammation.
174
What is the presentation of a Chalazion?
Not usually painful, but evolves into a non-tender swelling that points inwards.
175
What are some differential diagnoses to a Stye/Chalazion?
* **Blepharitis:** Chronic inflammation of the eyelid, symptoms include red, swollen eyelids, crusting of the eyelashes, and a gritty sensation in the eye. * **Dacryocystitis:** Infection of the tear sac, symptoms include pain, redness, and swelling in the inner corner of the eye. * **Cellulitis:** Infection of the skin, symptoms include redness, swelling, warmth, and pain.
176
What is the management of a Stye/chalazion?
**Stye** * Warm compresses to promote drainage. * Topical antibiotics if infected. * Incision and drainage in cases of large or persistent styes. **Chalazion** * Warm compresses to encourage the gland to drain. * Steroid injections or surgical removal if it does not resolve after several weeks. * Antibiotics are not typically needed unless there is secondary infection.
177
Define Entropion?
* Entropion refers to when the eyelid turns inwards with the lashes pressed against the eye. * Causes pain and can result in **corneal damage and ulceration** * Management is taping down the eyelid to prevent it turning inwards + regular lubrication to prevent the eye drying out. * **Definitive management is Surgical**
178
Define Ectropion?
* Ectropion refers to when the eyelid turns outwards, exposing the inner aspect. * Usually affects the bottom lid resulting in **exposure keratopathy** due to poor lubrication and protection of the eye ball * Management is to regularly lubricate the eye
179
Define Trichiasis?
* Trichiasis refers to inward growth of the eyelashes. It results in pain and can cause corneal damage and ulceration. * Management involves removing the affected eyelashes. * Recurrent cases may require electrolysis, cryotherapy or laser treatment to prevent them from regrowing.
180
Define Benign Prostatic Hyperplasia (BPH)?
Benign prostatic hyperplasia (BPH) is a very common condition affecting men in older age (usually over 50 years). It is caused by hyperplasia of the stromal and epithelial cells of the prostate. It usually presents with lower urinary tract symptoms.
181
What is the pathophysiology of BPH?
* Benign proliferation of the transitional zone of the prostate (in contrast to peripheral layer expansion seen in prostate carcinoma) * After 30, men produce ~1% less testosterone each year but 5a-reductase increases with age 🡪 increased dihydrotestosterone levels * Prostate cells respond by living longer and growing 🡪 hypertrophy * As the prostate gets bigger, it may squeeze or partly block: * The bladder 🡪 urine retention 🡪 bladder dilation and hypertrophy 🡪 urine stasis 🡪 bacterial growth 🡪 UTIs * The urethra 🡪 urination problems
182
What is Responsible for the growth of the Prostate in BPH?
Dihydrotestosterone is responsible for prostatic growth
183
What is the presentation of BPH?
**Lower Urinary Tract Symptoms:** **Storage:** * Frequency * Urgency * Nocturia * Incontinence **Voiding:** * Straining/ Stream Poor * Hesitancy * Incomplete Emptying * Terminal Dribbling
184
What scoring system is used to assess the severity of LUTS in men?
**international Prostate Symptom Score (IPSS)**
185
What investigations are done initially to asses men who present with LUTS?
**Digital rectal examination** **Abdominal examination** **Urinary frequency volume chart**, recording 3 days of fluid intake and output **Urine dipstick** to assess for infection, haematuria **Prostate-specific antigen (PSA)** for prostate cancer, depending on the patient preference
186
What are some diagnostic investigations for BPH?
**Trans-rectal Ultrasound Scan** **Biopsy** to rule out prostate cancer
187
What are some causes that can lead to a raised PSA?
* Prostate cancer * Benign prostatic hyperplasia * Prostatitis * Urinary tract infections * Vigorous exercise (notably cycling) * Recent ejaculation or prostate stimulation
188
What is the management of BPH?
**If Symptoms are minimal: Watch and Wait** **Lifestyle advice:** * Reduce caffeine * Relax when voiding **Medication:** if symptoms are not controlled or if experience complications of BOO * 1st Line - alpha blocker - Tamsulosin (act immediately) * 2nd Line - 5-alpha Reductase inhibitors - Finasteride (take 6-12 months) **Surgery (last resort)** * Transurethral resection of prostate (TURP)
189
What is the mechanism of action of Tamsulosin?
Alpha blocker that will relax the bladder neck increasing urinary flow rate and improving obstructive Symptoms of BPH
190
What is a side effect of Tamsulosin?
Dizziness, postural hypotension, dry mouth, depression, drowsiness Retrograde ejaculation – bladder neck relaxes so sperm travels back into bladder
191
What is the mechanism of action of Finasteride?
5-alpha reductase inhibitor that will block conversion of testosterone to dihydrotestosterone to reduce prostatic growth
192
What are the Side Effects of Finasteride?
* Fatigue, lethargy * Erectile Dysfunction * libido loss
193
What is are the complications of transurethral resection of prostate surgery?
* Bleeding * Infection * Impotence * Urinary incontinence * **Erectile dysfunction** * **Retrograde ejaculation** * Urethral strictures * Failure to resolve symptoms
194
What are some possible complications of BPH?
* Auria - no urination * Retention * Hydronephrosis * UTI * Renal Stones
195
Define Olecranon Bursitis?
Inflammation and swelling of the olecranon bursa over the elbow. The olecranon is the bony lump at the elbow, which is part of the ulna bone.
196
What are Bursae?
* Bursae are sacs created by synovial membrane filled with a small amount of synovial fluid. * They are found at bony prominences (e.g., at the greater trochanter, knee, shoulder and elbow). * They act to reduce the friction between the bones and soft tissues during movement.
197
Define Bursitis?
Bursitis is inflammation of a bursa. This causes thickening of the synovial membrane and increased fluid production, causing swelling.
198
What is the aetiology of Olecranon Bursitis?
* Friction from repetitive movements or leaning on the elbow (common in students, drivers, plumbers etc) * Trauma * Inflammatory conditions (e.g., rheumatoid arthritis or gout) * Infection – referred to as septic bursitis
199
What is the presentation of Olecranon Bursitis?
The typical presentation is a young/middle-aged man with an elbow that is: * Swollen * Warm * Tender * Fluctuant (fluid-filled)
200
What may be some addition features of Olecranon bursitis when it is caused by infection?
* Hot to touch * More tender * Erythema spreading to the surrounding skin * Fever * Features of sepsis (e.g., tachycardia, hypotension and confusion
201
What is the management of Olecranon Bursitis?
**Management:** * Rest * Ice * Compression bandaging if tolerated * Elevation to reduce swelling * Analgesia (e.g., paracetamol or NSAIDs) * Protecting the elbow from pressure or trauma * Aspiration of fluid may be used to relieve pressure * Steroid injections may be used in problematic cases where infection has been excluded **When infection is suspected or cannot be excluded, management involves:** * Aspiration of the fluid for microscopy and culture: rule out crystal arthropathy and septic arthritis * Antibiotics
202
Define Trochanteric Bursitis?
Trochanteric bursitis refers to inflammation of a bursa over the greater trochanter on the outer hip (femur). **It produces pain localised at the outer hip, referred to as greater trochanteric pain syndrome.**
203
What is the aetiology of Trochanteric Bursitis?
* Friction from repetitive movements * Trauma * Inflammatory conditions (e.g., rheumatoid arthritis) * Infection – referred to as septic bursitis
204
What is the clinical presentation of Trochanteric Bursitis (Greater Trochanteric Pain Syndrome)?
* middle-aged patient with gradual-onset lateral hip pain (over the greater trochanter) that may radiate down the outer thigh. * Aching or burning pain * Worse with activity, standing/sitting for long periods/lying on affected side * May disrupt sleep * Tenderness on examination over the greater trochanter * Positive Trendelenburg gait * **Not usually any swelling compared to bursitis in other areas**
205
What are some differential diagnoses for Trochanteric Bursitis?
* **Hip osteoarthritis:** Characterised by chronic pain in the hip, morning stiffness, reduced range of motion, and pain that worsens with activity. * **Iliotibial band syndrome:** Presents with lateral knee pain, tenderness, and often a snapping or popping sensation on the outer knee. * **Hip fracture:** Acute, severe pain following trauma, inability to weight-bear, and physical examination may reveal shortening and external rotation of the leg. * **Lumbar radiculopathy:** Characterised by pain radiating from the lower back to the lower limb, often accompanied by numbness or weakness in the affected limb.
206
What are the investigations for Trochanteric Bursitis? What movements will cause pain?
**Generally a clinical diagnosis** * Examination and palpation of the greater trochanter * Trendelenburg Test * **Resisted, abduction, internal and external rotation of the hip** (Pain on these resisted movements supports the diagnosis)
207
What is the management of Trochanteric Bursitis?
**Usually Self limiting** * **Reduce compressive forces:** Weight loss, avoidance of excessive hip adduction * Rest * Ice * Analgesia (e.g., ibuprofen or naproxen) * Physiotherapy * Steroid injections in some cases to reduce inflammation
208
Define Chronic Kidney Disease (CKD)?
Chronic kidney disease (CKD) describes a chronic reduction in kidney function where the GFR <60ml/min sustained over three months. It tends to be permanent and progressive.
209
What is the Epidemiology of CKD?
CKD has an estimated prevalence of 9–13% worldwide.
210
What are the stages of CKD?
**KDIGO Criteria gives a G score based on eGFR (ml/min/1.73m^) and A score (Albumin:creatinine ratio mg/mmol):** **Stage 1 (G1):** * eGFR >90 * A1: <3 mg/mmol **Stage 2 (G2):** * eGFR 60-89 * A2: 3-30 mg/mmol **Stage 3a (G3A):** * eGFR 45-59 * A3: >30 mg/mmol **Stage 3b (G3b):** eGFR 30-44 **Stage 4 (G4):** eGFR 15-29 **Stage 5( G5/End stage):** eGFR <15 **Patients are typically asymptomatic until stage 4 or 5 CKD**
211
What are some risk factors for CKD?
**Kidney function naturally declines with age** * diabetic nephropathy * chronic glomerulonephritis * chronic pyelonephritis * hypertension * adult polycystic kidney disease
212
What are the clinical features of CKD?
**Most patients with CKD are Asymptomatic until stage 4/5** * Fatigue * Pallor (due to anaemia) * Foamy urine (proteinuria) * Nausea * Loss of appetite * Pruritus (itching) * Oedema * Hypertension * Peripheral neuropathy
213
# CRF HEALS What are the complications of CKD?
**C**ardiovascular disease **R**enal osteodystrophy **F**luid (oedema) **H**ypertension **E**lectrolyte disturbance (hyperkalaemia, acidosis) **A**naemia **L**eg restlessness (uraemia) **S**ensory neuropathy (uraemia)
214
What is the most common cause of death in CKD?
Cardiovascular disease
215
What are the investigations for CKD?
CKD staging is based on the eGFR and Urine Albumin:Creatinine Ratio (ACR) * FBC: Anaemia (normocytic) * U&Es: Raised creatinine and urea, **Low eGFR** **(ACR > 3 is significant)** * Urine Dipstick: Proteinuria and Haematuria * Renal Ultrasound: **Bilaterally small kidneys in CKD** **Others:** * Blood pressure (for hypertension) * HbA1c (for diabetes) * Lipid Profile (for hypercholesterolaemia) * ECG: for hyperkalaemia
216
What are the management targets of CKD?
**Focuses on preserving kidney function, managing complications of CKD and preparing for RRT** **Lifestyle Interventions:** * Maintaining health weight * Health diet * Exercise * Smoking cessation **Hypertension:** * Blood pressure <140/90 mmHg in patients with CKD and ACR <70 mg/mmol * Blood pressure <130/80 mmHg in patients under 80 with CKD and ACR >70 mg/mmol **Diabetes:** Individualised targets but generally: * HbA1c <53 mmol/mol
217
What is the Pharmacological Management of CKD?
**Slow disease progression** * ACE inhibitors * SGLT2 inhibitors (Dapagliflozin) **Reduce risk of complications:** * Exercise, maintain healthy weight and smoking cessation * Atorvastatin 20mg for primary prevention of CVD **Management of Complications:** * Oral sodium bicarbonate: for metabolic acidosis * Iron and erythropoietin replacement: to treat anaemia * Vitamin D, Low phosphate diet for Renal Bone Disease **End-stage Renal Disease:** * Special dietary advice * Dialysis * Renal Transplant
218
What are the options for Dialysis in End stage renal disease?
**Haemodialysis:** **Peritoneal Dialysis:** **Haemofiltration:**
219
What is the pathophysiology of Anaemia as a complication of CKD?
* Healthy kidneys produce erythropoietin, a hormone that stimulates the production of red blood cells. **Reduced Erythropoietin Levels:** * CKD results in lower erythropoietin and a drop in red blood cell production. **Reduced Iron Absorption** * Inflammation and reduced renal clearance of **Hepcidin** * Decreased iron absorption from the gut * Reduced iron stores for erythropoiesis
220
What is the management of Anaemia due to CKD?
* Iron deficiency if present is treated first (IV iron) * EPO stimulating agents such as recombinant EPO
221
What is the pathophysiology of Renal Bone Disease as a complication of CKD?
**Basic problems in chronic kidney disease (CKD):** * 1-alpha hydroxylation normally occurs in the kidneys → CKD leads to low vitamin D * The kidneys normally excrete phosphate → CKD leads to high phosphate **This, in turn, causes other problems:** * The high phosphate level 'drags' calcium from the bones, resulting in osteomalacia * Low calcium: due to lack of vitamin D, high phosphate * Secondary hyperparathyroidism: due to low calcium, high phosphate and low vitamin D
222
What is the management of Renal bone disease due to CKD?
* Low phosphate diet * Phosphate binders * Active forms of vitamin D (alfacalcidol and calcitriol) * Ensuring adequate calcium intake * Parathyroidectomy in certain cases
223
What is Vaginal Candidiasis?
**Also known as Thrush/yeast infection** Vaginal infection with a Yeast of the Candida family **most commonly Candida albicans**
224
How many presentations of Vaginal Candidiasis is required for it to be classified as recurrent?
Recurrent vaginal candidiasis is defined as **4 or more symptomatic episodes within 1 year**
225
What are the risk factors for Vaginal Candidiasis?
* Increased oestrogen (higher in pregnancy, lower pre-puberty and post-menopause) * Poorly controlled diabetes * Using SGLT2 inhibitors * Pregnancy * Immunosuppression (e.g. using corticosteroids) * Broad-spectrum antibiotics
226
What is the main causative organism of Vaginal candidiasis?
Candida albicans - 85-90% of the cases. Transmission is typically **non-sexual**
227
What are the clinical features of Candidiasis?
**Symptoms:** * Itching * **Cottage cheese non-offensive discharge** * **typically does not smell but may have sour milk odour** * dysuria * superficial dyspareunia * tenderness, * Burning sensation. **Examination findings:** * Redness * Satellite lesions * fissuring, * swelling, * intertrigo, * thick white discharge.
228
What are some differential diagnoses for Vaginal Candidiasis?
* **Bacterial vaginosis:** Characterised by greyish-white discharge, fishy odour, and absence of significant inflammation. * **Trichomoniasis:** Presents with yellow-green, frothy discharge, dysuria, and itching. * **Chlamydia or Gonorrhoea:** These sexually transmitted infections can cause similar symptoms such as discharge, but often also present with pelvic pain or bleeding. * **Genital herpes:** Characterised by painful blisters or open sores in the genital area.
229
What are the investigations for Vaginal Candidiasis?
**Clinical Diagnosis and Routine investigations usually not required** * Testing Vaginal pH with a swab can help differentiate between Bacterial Vaginosis, Trichomonas (pH > 4.5) and candidiasis (pH < 4.5) * **Charcoal wab + microscopy** can confirm the diagnosis
230
What is the management of Vaginal Candidiasis?
**Antifungal Treatment:** * First Line: Oral Antifungal Tablets (**Fluconazole**, Itraconazole): **150mg capsule as a single dose** * Second Line: Antifungal pessary (Clotrimazole): 500mg as a single dose * Antifungal Cream (Clotrimazole): 10% 5g as a single dose if vuvlal symptoms **if pregnant then only local treatments (e.g. cream or pessaries) may be used - oral treatments are contraindicated**
231
What is Oral Candidiasis?
Oral candidiasis is also called oral thrush. It refers to an overgrowth of candida, a type of fungus, in the mouth. This results in white spots or patches that coat the surface of the tongue and palate.
232
What are some risk factors for Oral Candidiasis?
* Inhaled corticosteroids (particularly with poor technique, not using a spacer and not rinsing with water afterwards) * Antibiotics (disrupt the normal bacterial flora giving candida a chance to thrive) * Diabetes * Immunodeficiency (consider HIV) * Smoking
233
What is the management of Oral Candidiasis?
* **Miconazole gel** * **Nystatin suspension** * Fluconazole tablets (in severe or recurrent cases)
234
Define Conjunctivitis?
Conjunctivitis (**Pink Eye**) is inflammation of the conjunctiva. The conjunctiva is a thin layer of tissue that covers the inside of the eyelids and the sclera. * Conjunctivitis may be Infectious (bacterial, viral) or Non-infectious (allergic/irritant) * It may be unilateral or bilateral.
235
What is the Aetiology of Conjunctivitis?
**Allergic Conjunctivitis:** * Type 1 hypersensitivity reaction * common triggers include pollen, dust mites, pet dander **Viral Conjunctivitis:** * **Most commonly caused by Adenoviruses** * May be caused by Herpes Simplex Virus * Highly Contagious * Often associated with URTIs or Colds **Bacterial Conjunctivitis:** * S. aureus, S. pneumoniae, H. influenzae, M. catarrhalis * May be caused by STIs such as Gonorrhoea or Chlamydia
236
What are the clinical features of Conjunctivitis?
**General Presentation:** * **Non-painful eye** * Red bloodshot eye * Itchy or Gritty sensation * Irritation * Excessive tearing * Discharge **Viral Presentation:** * Clear discharge * Associated with dry cough, sore throat and blocked nose **Bacterial Presentation:** * **Purulent discharge** * Complaints of eyelids being stuck together (often in morning)
237
What are some causes of an Acute **painful** red eye?
* Acute angle-closure glaucoma * Anterior uveitis * Scleritis * Corneal abrasions or ulceration * Keratitis * Foreign body * Traumatic or chemical injury
238
What are some causes of an Acute **painless** red eye?
* Conjunctivitis * Episcleritis * Subconjunctival haemorrhage
239
What is the management of Conjunctivitis?
**Typically resolves in 1-2 weeks without needing treatment** * Hygiene measures to reduce the spread * Clean the eyes with cooled boiled water and cotton wool to help clear the discharge * **Antihistamines (oral/topical)** if allergic conjunctivitis * **Chloramphenicol or Fusidic acid** eye drops for bacterial conjunctivitis if necessary
240
Define Contact Dermatitis?
Contact dermatitis is a skin condition marked by inflammation of the skin, **resulting from direct contact with substances** that irritate the skin (irritant contact dermatitis) or provoke an allergic response (allergic contact dermatitis).
241
What are the risk factors for Contact Dermatitis?
* Exposure to irritants or allergens in the environment or workplace * Personal or family history of atopic dermatitis or other allergic conditions * Occupation involving frequent exposure to potential irritants or allergens * Use of certain skincare products or cosmetics containing allergenic ingredients * Previous episodes of contact dermatitis increase the risk of future occurrences
242
What is the pathophysiology of Irritant Contact Dermatitis?
Non-allergic reaction: Occurs when the skin's natural barrier is disrupted by exposure to irritating substances, such as harsh chemicals, detergents, or solvents (**weak acids/alkalis**). This results in direct damage to the skin's cells and inflammation.
243
What is the pathophysiology of Allergic Contact Dermatitis?
This is a **delayed type IV hypersensitivity reaction**. Exposure to an allergen (often a low-molecular-weight chemical) sensitizes the immune system over time. Upon re-exposure (e.g. after repeated hair dyes), an immune response is triggered, leading to inflammation and the characteristic skin rash.
244
What is the presentation of Irritant Contact Dermatitis?
* Eczema due to contact with an irritant. * There may be burning, pain, and stinging. * Erythematous * Eczematous rash appears localised to the direct area of contact
245
What is the presentation of Allergic Contact Dermatitis?
* Presents as an itchy, eczematous rash (vesicles, fissures, erythema), **typically 24-48 hours after exposure**. * The rash may extend beyond the boundaries of immediate contact
246
What are some typical allergens that cause allergic Contact Dermatitis?
* **Nickle** found in jewellery, watches, metal buttons on clothing * Acrylates found in nail cosmetics * Fragrances * Rubber/plastics * Hair dye * Henna
247
What are the investigations for Contact Dermatitis?
**Contact dermatitis is a clinical diagnosis and investigations aren’t always needed. However, investigations may include:** * **Patch Testing:** used to identify allergens responsible for allergic contact dermatitis. * **Skin Biopsy:** rarely necessary, but it can help confirm the diagnosis or rule out other conditions.
248
What is the management of Contact Dermatitis?
* Avoidance of the irritant/allergen: 8-12 weeks avoidance may be needed before improvements are seen * **liberal emollient and soap substitutes** * Topical steroids (depends on severity of dermatitis) * Antihistamines for pruritis relief
249
Define Chronic Obstructive Pulmonary Disease (COPD)?
Chronic obstructive pulmonary disease (COPD) is characterised by irreversible, progressive obstruction of the airways caused by long term damage to lung tissue. It comprises both: * **Chronic bronchitis –** involves hypertrophy and hyperplasia of the mucus glands in the bronchi * **Emphysema –** involves enlargement of the air spaces and destruction of alveolar walls
250
What is the Epidemiology of COPD?
* Approximately 1.2 million people, or about 2% of the UK population, are living with diagnosed COPD. * Each year, COPD accounts for approximately 30,000 deaths or 26% of all lung disease-related deaths. * Majority of patients have a history of tobacco smoking
251
What are some risk factors for COPD?
* **Tobacco smoking (active or passive)** * Occupational exposure to dust * Air pollution * Alpha-1 antitrypsin deficiency **Prognosis is worsened by:** * Advancing age * Ongoing smoking * Reduced body weight * Low FEV1
252
Define Chronic Bronchitis?
A inflammatory lung condition that develops over time in which the bronchi and bronchioles become inflamed and scarred **Chronic Bronchitis is a clinical term relating to a chronic productive cough for at least 3 months over 2 consecutive years.** Alternative explanations for the cough should also be excluded.
253
What is Emphysema as a pathological Definition?
Refers to abnormal air space enlargement distal to terminal bronchioles with evidence of alveoli destruction and no obvious fibrosis. Damage to the alveolar sacs and alveoli decreases the gas exchange surface
254
What is the pathophysiology of Chronic Bronchitis?
* Chronic exposure to noxious particles such as smoking or air pollutants causes hypersecretion of mucus in the large and small bronchi. * Airway inflammation and fibrotic changes result in narrowing of the airways and subsequently chronic airway obstruction. * Cigarette smoke interferes with the action of cilia in removing noxious particles. * Cigarette smoke also dampens the ability of leukocytes in eliminating the bacteria in the airways.
255
What is the pathophysiology of Emphysema?
* Abnormal irreversible enlargement of the airspaces distal to the terminal bronchioles, due to destruction of their walls. * This reduces the alveolar surface area thus impeding efficient gaseous exchange. * Cigarette smoke stimulates accumulation of neutrophils and macrophages which produce neutrophil elastase that destroys alveolar walls. * In a normal lung, α1-antitrypsin is responsible for inhibiting excessive activity of neutrophil elastase. However, in emphysema, the normal balance of proteases and antiproteases is lost. * The stimulated neutrophils release free radicals that inhibit the activity of α1-antitrypsin. * This results in loss of elastic recoil and subsequently airway collapse during expiration and air trapping.
256
What are the different types of Emphysema?
**Centriacinar:** * The proximal part of the airways such as the respiratory bronchioles, mainly the upper lobes. * Caused by **cigarette smoking** **Panacinar:** * The entire acini from respiratory bronchioles to alveolar duct and alveoli, mainly the lower lobes. * Caused by **alpha1-antitrypsin deficiency** **Distal/Paraseptal Acinar:** * The distal part of the airways, mainly the paraseptal region * Caused by **Fibrosis, atelectasis**
257
What are the clinical symptoms of COPD?
* Productive cough * Recurrent respiratory infections (especially in winter) * Wheeze * Dyspnoea (shortness of breath) * Reduced exercise tolerance * Weight loss
258
What are the clinical signs of COPD?
* Accessory muscle use for respiration * Prolonged expiratory phase * Pursed lip breathing (Common in Emphysema) * Tachypnoea * Cachexia * Hyperinflation – reduction of the cricosternal distance (barrel chest) * Reduced chest expansion * Hyper-resonant percussion * Decreased/quiet breath sounds * Wheeze * Cyanosis (Common in Chronic bronchitis) * Cor pulmonale (signs of right heart failure)
259
What clinical features are **NOT** seen in COPD and thus suggest and alternative diagnosis?
* Clubbing * Haemoptysis * Chest Pain
260
What is the MRC Dyspnoea Scale?
**Grade 1:** Breathless on strenuous exercise **Grade 2:** Breathless on walking uphill **Grade 3:** Breathlessness that slows walking on the flat **Grade 4:** Breathlessness stops them from walking more than 100 meters on the flat **Grade 5:** Unable to leave the house due to breathlessness
261
What are the investigations for COPD?
**Clinical Diagnosis with Spirometry** **Spirometry:** * FEV1/FVC <0.7 * Little to no response with Bronchodilator reversibility testing **Other Investigations:** **Bloods:** FBC for polycythaemia, anaemia, infection **ABG:** Reduced PaO2 +/- Raised PaCO2 **ECG:** to assess for heart failure or Cor pulmonale **Chest X-ray:** To exclude other pathology such as cancer **Sputum Culture:** To assess for Chronic infections such as pseudomonas **Serum a1AT:** Look for alpha1-antitrypsin deficiency
262
What may be seen on an ECG in COPD?
* P-pulmonale showing Right Atrial Hypertrophy due to increased pulmonary pressures * Right ventricular Hypertrophy if there is Cor pulmonale
263
What may be seen on Chest X-ray in COPD?
* Hyperinflated chest (>6 anterior ribs) * Bullae * Decreased peripheral vascular markings * Flattened hemidiaphragms
264
How is the Severity of COPD Assessed?
Post Bronchodilator when FEV1/FVC ratio < 70% **Stage 1:** Mild - FEV1 >80% of predicted **Stage 2:** Moderate - FEV1 50-79% of predicted **Stage 3:** Severe - FEV1 30-49% of predicted **Stage 4:** Very Severe - FEV1 <30% of predicted
265
What are some differential diagnoses for COPD?
* **Asthma:** Characterised by reversible airway obstruction, episodic symptoms and response to bronchodilators. * **Bronchiectasis:** Persistent productive cough, recurrent respiratory infections and abnormal bronchial dilatation on CT chest. * **Heart Failure:** Shortness of breath, orthopnea, paroxysmal nocturnal dyspnoea, and signs of fluid overload such as peripheral oedema and elevated jugular venous pressure. * **Pulmonary Fibrosis:** Progressive dyspnoea, non-productive cough, and inspiratory crackles on auscultation.
266
What is the Non-pharmacological management of COPD?
* Smoking cessation (significantly worsens lung function and prognosis) * Nutritional support * Flu and pneumococcal vaccinations * Pulmonary rehabilitation
267
What is the Pharmacological Management for COPD?
**Initial Medical Treatment: Short Acting Bronchodilators:** * SABA: Salbutamol * SAMA: Ipratropium Bromide **Second Step when symptoms or exacerbations are problematic and is determined based on asthmatic/steroid responsive features:** **No Steroid Responsive Features:** * Offer LABA (Salmeterol) PLUS LAMA (Tiotropium). * **Anoro Ellipta, Ultibro Breezhaler, DuaKlir Genuair** * If no improvement then consider **3 month trial** of LABA Plus LAMA Plus ICS (to change back to LABA + LAMA in 3 months if not worked) **Has Steroid Response Features:** * Offer LABA Plus ICS * **Fostair, Symbicort, Seretide** * If day-day symptoms continue or pt has 1 severe/2 moderate exacerbations then offer LABA Plus LAMA Plus ICS **LABA + LAMA + ICS:** * **Trimbow, Trelegy Ellipta, Trixeo Aerosphere**
268
What are the **steroid responsive features** that may guide COPD management?
* **Raised blood eosinophil count** * Previous diagnosis of asthma or atopy * Variation in FEV1 of more than 400mls * Diurnal variability in peak flow of more than 20%
269
What are some other management options in Severe cases (Guided by Specialists?)
* Nebulisers (e.g., salbutamol or ipratropium) * Oral theophylline * Oral mucolytic therapy to break down sputum (e.g., carbocisteine) * Prophylactic antibiotics (e.g., azithromycin) * Oral corticosteroids (e.g., prednisolone) * Oral phosphodiesterase-4 inhibitors (e.g., roflumilast) * Long-term oxygen therapy at home * Lung volume reduction surgery (removing damaged lung tissue to improve the function of healthier tissue) * Palliative care (opiates and other drugs may be used to help breathlessness)
270
What are the indications for Long Term Oxygen Therapy (LTOT)?
**Used in Severe COPD where there is:** * Chronic Hypoxia (Sats <92%) * polycythaemia * Cyanosis * Core pulmonale **Smoking is a contraindication due to the fire risk**
271
What is an Acute Exacerbation of COPD?
An acute COPD exacerbation presents rapidly worsening symptoms, such as cough, shortness of breath, sputum production and wheezing. Viral or bacterial infection often triggers it. (Often caused by **haemophilus influenzae**)
272
What are the investigations for an Acute Exacerbation of COPD?
**ABG:** Showing Respiratory failure and Respiratory Acidosis **Others:** * **Chest X-ray:** Look for pneumonia or other pathology * **ECG:** Look for arrhythmias or evidence of heart strain * **FBC:** Look for infection (raised WCC) * **U&Es:** Check Electrolytes * **Sputum or blood cultures**
273
What is the management of an Acute Exacerbation of COPD?
**Ensure Patent Airway:** **Ensure Oxygen Saturations of 88-92% (if pt has a history of CO2 retention)** **First-line medical treatment of an acute exacerbation of COPD involves:** * **Regular nebulisers** (e.g., salbutamol and ipratropium) * **Steroids** (e.g., prednisolone 30 mg once daily for 5 days) * **Antibiotics** if there is evidence of infection **Respiratory physiotherapy** can be used to help clear sputum. **Additional options in severe cases include:** * IV aminophylline * Non-invasive ventilation (NIV) * Intubation and ventilation with admission to intensive care
274
What is a common complications of COPD exacerbations?
**respiratory Failure:** COPD patients are chronic retainers of CO2 and therefore their kidneys adapt to produce extra HCO3 to compensate the acidotic state. In acute exacerbations the kidneys cannot produce enough HCO3 quickly leading to respiratory failure * Low pH indicates acidosis * Low pO2 indicates hypoxia and respiratory failure * Raised pCO2 indicates CO2 retention (hypercapnia) * Raised bicarbonate indicates chronic retention of CO2
275
What are some complications of COPD?
* **Cor pulmonale** * Recurrent Respiratory Tract Infections: S. pneumoniae/H. influenzae * Respiratory failure * Pneumothorax: rupture of bullous disease (in Emphysema) * Polycythaemia or anaemia * Depression
276
What is Cor Pulmonale?
**Cor pulmonale refers to right-sided heart failure caused by respiratory disease.** * The increased pressure and resistance in the pulmonary arteries (pulmonary hypertension) limits the right ventricle pumping blood into the pulmonary arteries. * This causes back-pressure into the right atrium, vena cava and systemic venous system.
277
What are the causes of Cor Pulmonale?
* **COPD (the most common cause)** * Pulmonary embolism * Interstitial lung disease * Cystic fibrosis * Primary pulmonary hypertension
278
What are the clinical symptoms of Cor pulmonale?
**early Cor pulmonale is asymptomatic** * Shortness of breath * Peripheral oedema * Breathlessness of exertion * Syncope (dizziness and fainting) * Chest pain
279
What are the clinical signs of Cor pulmonale?
* Hypoxia * Cyanosis * Raised JVP (due to a back-log of blood in the jugular veins) * Peripheral oedema * Parasternal heave * Loud second heart sound * Murmurs (e.g., pan-systolic in tricuspid regurgitation) * Hepatomegaly due to back pressure in the hepatic vein (pulsatile in tricuspid regurgitation)
280
What is the Management of Cor pulmonale?
**Symptom management and treating the underlying cause:** **Diuretics:** For oedema and fluid overload **LTOT** is often used
281
Define Tinea?
**Also known as Ringworm** A superficial fungal infection of the skin caused by dermatophytes, a group of fungi that invade and grow in dead keratin. The most common type of fungus that grows is **Trichophyton**
282
What is the Epidemiology of Tinea?
* Can affect anyone * Related to poor hygiene
283
What are the different types of Tinea?
**Tinea capitis** refers to ringworm affecting the scalp (caput meaning head) **Tinea pedis** refers to ringworm affecting the feet, also known as athletes foot (pedis meaning foot) **Tinea cruris** refers to ringworm of the groin (cruris meaning leg) **Tinea corporis** refers to ringworm on the body (corporis meaning body) **Onychomycosis** refers to a fungal nail infection **Tinea manuum** refers to ringworm on the hand
284
What are some risk factors for Tinea?
* Fungal infection in another part of their body * Poor Hygiene * Close contact with infected individuals or animas * Immunocompromised nature
285
What are the clinical features of Tinea?
* Itchy erythematous scaly rash that is well demarcated. * The rash has a central clearing giving it the appearance of a ring.
286
What are some differential diagnoses for Tinea?
* **Psoriasis:** Characterised by silver-scaled plaques in typical locations such as elbows, knees, and scalp. * **Eczema (dermatitis):** Generally causes dry, itchy, and inflamed skin. * **Pityriasis rosea:** Features a herald patch followed by a 'Christmas tree' pattern of rash. * **Lyme disease:** Erythema migrans, the initial sign, is a red, expanding rash that sometimes presents with a bull's eye appearance.
287
What are the investigations for Tinea?
**Clinical Diagnosis supported by good response to anti-fungal medications** * Green flourescence under Woods Lamp * May be supported with culture of skin/scalp scrapings
288
What is the management of Tinea?
**General Hygiene Advice** **Anti-fungal medications:** * Anti-fungal creams such as clotrimazole and miconazole * Anti-fungal shampoo such as ketoconazole for tinea capitis * Oral anti-fungal medications such as fluconazole, griseofulvin and itraconazole * Fungal Nail infections are treated with **amorolfine nail lacquer for 6-12 months** * In resistance cases **oral terbinafine** may be required but this needs LFT monitoring before and after.
289
What advice should you give to patients with Tinea to prevent it reoccurring?
* Wear loose breathable clothing * Keep the affected area clean and dry * Avoid sharing towels, clothes and bedding * Use a separate towel for the feet with tinea pedis * Avoid scratching and spreading to other areas * Wear clean dry socks every day
290
What is Intertrigo?
An inflammatory condition of the skin folds, resulting from skin-on-skin friction, often exacerbated by heat, moisture, maceration, and lack of air circulation. It is frequently complicated by secondary bacterial or fungal infections.
291
What is the epidemiology of Intertrigo?
* **Obese patients** * **Hyperhydrosis** * **Diabetes mellitus** * Infants, due to short necks, relative chubbiness, and flexed posture. Intertrigo in infants may be exacerbated by drooling. * Individuals who frequently wear closed-toe or tight-fitting shoes, which can induce toe web intertrigo. This commonly affects those participating in athletic, occupational, or recreational activities. * Those with other predisposing factors, including urinary and faecal incontinence, hyperhidrosis, diabetes, poor hygiene, and malnutrition.
292
What is the Aetiology of Intertrigo?
The moist, damaged skin associated with intertrigo provides a fertile environment for the proliferation of various pathogens, leading to frequent secondary cutaneous infections: * **Bacterial infection:** Staphylococcus aureus, group A beta-haemolytic streptococcus, and various gram-negative organisms may occur alone or in combination. Proliferation may lead to keratinocytic necrosis. * **Fungal infection: Candida** is the fungus most commonly associated with intertrigo. In the toe webs, gram-negative bacteria often coexist.
293
What are the clinical features of Intritrigo?
* Itching, Burning and Pain in the affected areas * **Distribution:** The condition is most prevalent in the groin, axillae, and inframammary folds. It may also affect antecubital fossae; umbilical, perineal, or interdigital areas; neck creases; and folds of the eyelids. * **Morphology:** The condition is characterised by erythematous patches, often symmetrical. Erythema may progress to more severe inflammation with erosions, fissures, exudation, crusting, and maceration.
294
What are some differential diagnoses for Intritrigo?
* **Seborrhoeic eczema:** Can present similarly but often has scalp involvement and lacks the typical satellite lesions of Candidal intertrigo. * **Psoriasis:** May appear similar, but psoriasis is often associated with nail changes and glistening, well-demarcated, symmetrical flexural lesions. * **Tinea cruris:** Lesions are often annular or polycyclic, and tend to have a leading erythematous scaly edge. * Erythrasma, atopic eczema, irritant contact dermatitis, allergic contact dermatitis, and scabies can all involve skin folds and therefore be mistaken for intertrigo. * **Hailey-Hailey disease** and pemphigus vegetans are less common conditions that can be mistaken for intertrigo.
295
What are the investigations for Intritrigo?
**Clinical diagnosis based on examination and response to treatment:** **May require:** * Fungal culture to rule out fungal infection * Bacterial culture to identify secondary bacterial infection * Skin biopsy for histopathological examination in unclear or refractory cases
296
What is the Management of Intritrigo?
**Minimise moisture and friction:** Loose-fitting clothing, weight loss if necessary, and the use of barrier creams can all reduce skin-on-skin friction and moisture. **Promote skin hygiene:** Regular cleaning of the affected areas with mild soap and water. **Patient Education:** On the chronic and recurrent nature of the disease and importance of preventive measures **Topical agents:** * **Zinc oxide ointment** (reduces friction) * Application of topical antifungal, antibacterial, or corticosteroid agents, depending on the causative organisms and severity of inflammation. * **Clotrimazole**
297
What are the Crystal Arthropathies?
* Gout * Pseudogout
298
What are the types of crystals formed in Crystal arthritis?
**Gout:** * Needle Shaped monosodium Urate Crystals * Negatively Birefringent in polarised light **Pseudogout:** * Rhomboid Brick shaped Pyrophosphate crystals * Positively Birefringent in Polarised Light
299
Define Gout?
Gout is a form of **Crystal arthritis** caused by the deposition of **monosodium urate crystals** in and around the joints leading to an acute inflammatory response
300
What are some risk factors for Gout?
**Nonmodifiable** * Male sex * Age over 50 years * Family history of gout * Inherited syndrome with uric acid overproduction (eg. Lesch–Nyhan syndrome) **Modifiable** * Obesity * High purine diet such as meats and alcohol * Hypertension * Chronic kidney disease * Diabetes * Metabolic syndrome * Medications (eg. thiazide diuretics, ACE inhibitors and aspirin)
301
What factors can impair the excretion/removal of uric acid?
CKD Diuretics, ACEis Pyrazinamide Lead Toxicity
302
What are some triggers of Gout?
* Seafood/protein binges – eating lots of high-protein foods raises levels of uric acid * Chemotherapy – increases cell breakdown * Trauma and surgery – increases cell breakdown * Alcohol excess * Intercurrent illness * Medications that interfere with the handling of uric acid (eg. allopurinol)
303
What is the pathogenesis of Gout?
High purine intake (food/alcohol) Is oxidised to Uric acid by Xanthine oxidase. Normally uric acid is then excreted by the kidneys But in hyperuricaemia this cannot occur fast enough and this can lead to kidney damage The Uric acid is converted to monosodium urate crystals that trigger intracellular inflammation. These deposit in joints and cause an inflammatory arthritis
304
What substances can be anti-gout?
Dairy
305
What are the clinical features of Gout?
* Excruciating, sudden, burning pain in the affected joint * Swelling, redness, warmth and stiffness in the affected joint * Asymmetric joint distribution * Gouty Tophi: Nodular masses of urate acid crystals subcutaneously commonly seen on the **hands, elbows and ears** * Mild fever * Tachycardia as a transient sympathetic response to the pain of an acute attack
306
What are the most commonly affected joints in Gout?
* Base of the Big Toe (**Metatarsophalangeal joint/MTP Joint**) * Base of the Thumb (**Carpometacarpal join/ CMC Joint**) * Wrist
307
What are some differential diagnoses for Gout?
* **Pseudogout:** Typically affects the larger joints such as the ankle, knee, hips, wrist and shoulder * **Septic Arthritis:** Vital to rule this out so any suspicion of an acute onset arthritis should have this checked
308
What are the investigations for Gout?
**Joint Aspiration:** * **Negatively birefringent needle shaped Monosodium Urate Crystals** **Serum Uric Acid Level:** * Useful for long term management * Should be obtained at least 2 weeks after the attack as during this they may be falsely low or normal (Since all the uric acid is in the joint space) **X-ray of affected joints:**
309
What may be seen on X-ray in Gout?
* Maintained joint space (no loss of joint space) * Lytic lesions in the bone * Punched out erosions * Erosions can have sclerotic borders with overhanding edges
310
What is the Management of an Acute Gout Flare?
**First Line: NSAIDs** * Naproxen 500mg BD * Co prescribed with a PPI for gastric protection * Avoid if renal impaired, cardiac failure and IHD **Second Line: Colchicine** * Colchicine 500ug BD * Use with cation in liver or renal disease and can cause diarrhoea **Third Line: Oral Corticosteroids** * Prednisolone, 30mg OD for 5-7 days * Intra-articular corticosteroids is also an option
311
What is the Prevention Management for Gout?
**Lifestyle Changes:** * Reduce alcohol consumption * Reduce purine based food consumption - Meat and seafood * Increase Dairy consumption and hydration * Regular Exercise and weight loss **Review Medications that may cause hyperuricaemia** **Urate Lowering Therapies: Xanthine Oxidase Inhibitors** * Allopurinol or Febuxostat * Should not be started until weeks after first acute attack. Once started then continued during further acute attacks
312
Define Pseudogout?
Pseudogout is a **crystal arthropathy caused by calcium pyrophosphate crystals** collecting in the joints. It is formally known as calcium pyrophosphate deposition disease (CPPD). It may also be called chondrocalcinosis.
313
What are some risk factors for Pseudogout?
* Advanced age * Female Gender * Osteoarthritis * Injury or previous joint surgery * Metabolic Diseases: Hyperparathyroidism, Haemochromatosis, Hypophosphataemia, Diabetes * Hypomagnesaemia * Acute attacks may be precipitated by intercurrent infection
314
What are some triggers of a Pseudogout attack?
**4 H's** H – Hyperparathyroidism (high calcium levels and surgery) H – Hemochromatosis (iron overload) H – Hypothyroidism (underactive thyroid and T4 replacement) H – Hydration issues (dehydration, illness, IV fluids, blood transfusions)
315
What are the clinical features of Pseudogout?
**Often Asymptomatic** * Acute Monoarthritic pain: **Shoulder, Wrist and Knee most common** * Affected joints are acutely inflamed, swollen, effusive, warm and tender * Patients may display acute systemic illness with fever and general malaise
316
What are the investigations for Pseudogout?
**Joint Aspiration:** * **Positively birefringent rhomboid shaped Calcium Pyrophosphate Crystals** **X-ray of affected joints:** * **Chondrocalcinosis** * X-ray changes similar to Osteoarthritis (LOSS:) * Loss of joint space * Osteophytes (bone spurs) * Subarticular sclerosis (increased density of the bone along the joint line) * Subchondral cysts (fluid-filled holes in the bone) **Bloods:** It is important to consider secondary causes of pseudogout, particularly in younger patients: * Ferritin * Iron-binding studies * Bone profile * Alkaline phosphatase
317
What is the management of Pseudogout?
**symptomatic treatment only - No disease modifying drugs:** **First Line: NSAIDs** * Naproxen 500mg BD * Co prescribed with a PPI for gastric protection * Avoid if renal impaired, cardiac failure and IHD **Second Line: Colchicine** * Colchicine 500ug BD * Use with cation in liver or renal disease and can cause diarrhoea **Third Line: Oral Corticosteroids** * Prednisolone, 30mg OD for 5-7 days
318
What is Verrucae Vulgaris?
Common warts are elevated, round, hyperkeratotic skin papules with a rough greyish-white or light brown surface **Caused by HPV**
319
What is the Epidemiology of Verrucae Vulgaris?
* Very common * More common in children then adults * Clearance rates in children are related to time of diagnosis
320
What are some risk factors for Verrucae Vulgaris?
* Water immersion * Occupations involving the handling of meat and fish * Nail biting * Age < 35 years * Immunocompromised
321
What is the Aetiology of Verrucae Vulgaris?
Common warts are caused by the **Human Papillomavirus (HPV)** infection of keratinocytes. Various strains of the HPV virus are responsible such as HPV 1, 2, 4, 27, 57, 63
322
What are the clinical features of Verrucae Vulgaris?
* Rough papule on the hand, finger, periungual, or other skin area * Filiform papule on the skin of the body or face * Flat pink, slightly scaly papule on the face or digits.
323
What are the investigations for Verrucae Vulgaris?
**Clinical Diagnosis based on appearance** **May consider:** * Skin Biopsy * Immunoperoxidase stain * Skin culture
324
What are some differential diagnoses to Verrucae Vulgaris?
* Seborrhoeic keratosis * Lichen planus * Melanoma * Squamous Cell Carcinoma
325
What is the Management of Verrucae Vulgaris?
**Often Spontaneous regression of warts will occur** * Salicylic Acid and Debridement * Cryotherapy: using a liquid nitrogen spray to freeze the wart off
326
Define Diverticular Disease?
A term used to describe conditions related to the presence of diverticula, which are small, bulging pouches of mucosa that can form in the lining of the digestive system that leads to **the patient experiencing symptoms**
327
Define Diverticulosis?
Refers to the presence of diverticula, without inflammation or infection where **the patient is asymptomatic**
328
Define Diverticulum?
is a pouch or pocket of mucosa in the bowel wall, usually ranging in size from 0.5 – 1cm that form from the lining of the bowel.
329
What is the most common part of the GI tract affected in Diverticular Disease?
Lower part of the colon (**Sigmoid Colon**)
330
Define Diverticulitis?
A subset of diverticular disease, occurs when these diverticula become inflamed or infected. This condition is typically characterized by severe abdominal pain, fever, and nausea.
331
What is the Epidemiology of Diverticular Disease?
* Common in individuals over the age of 50 * Common in those who consume a **western diet (Low Fibre)**
332
What are some Risk Factors for Diverticular Disease?
**High Pressures in the Colon:** * Age > 50 * Low Fibre Diet * Obesity/Sedentary Lifestyle * Smoking * Constipation * Connective Tissue Disorders * NSAIDs and Opiates
333
What is the pathophysiology of Diverticular Disease?
* Wall of large intestine has a layer of circular muscle. * The points where arteries enter are areas of weakness. * Increased pressure over time can cause the mucosa to herniate through the muscle layer and pouch causing a diverticulum. * If faecal matter of bacteria gather –> this can lead to inflammation and rupture of the vessels causing GI bleeding
334
What are the clinical features of Diverticular Disease?
* Pain and tenderness in the left iliac fossa / lower left abdomen * Fever * Diarrhoea * Nausea and vomiting * Rectal bleeding * Palpable abdominal mass (if an abscess has formed) * Raised inflammatory markers (e.g., CRP) and white blood cells
335
What are the clinical features of Acute Diverticulitis?
* Pain and tenderness in the left iliac fossa / lower left abdomen * Fever * Diarrhoea * Nausea and vomiting * Rectal bleeding * Palpable abdominal mass (if an abscess has formed) * Raised inflammatory markers (e.g., CRP) and white blood cells
336
What are the investigations for Diverticular Disease? First line Gold standard
**Blood Tests:** * FBC: inflammatory picture * U&Es: Urea increased * CRP/ESR: Elevated * WCC: raised leukocytes **Abdominal Imaging:** * CT abdo/Pelvis with contrast (**Gold Standard for Diverticular Disease**) * Colonoscopy/Endoscopy if acute bleeding
337
What is the Management of Diverticulosis?
**No treatment is required**
338
What is the Management of Diverticular Disease?
* Patients advised to increase dietary fibre intake and hydration * Bulk forming Laxatives (**Ispaghula Husk**) * If evidence of Diverticulitis then patients are initially managed with oral antibiotics * Analgesia
339
What is the Management of Uncomplicated Diverticulitis?
* Oral Co-amoxiclav (5 days) * Analgesia (avoid opiates and NSAIDs) * Only taking clear liquids (avoid solid food) until symptoms improve * Follow-up within 2 days to review symptoms
340
What is the management of Complicated Diverticulitis?
**Patients with severe pain, complications or resistant to antibiotics should be admitted to hospital** * Nil by mouth or clear fluids only * IV Antibiotics * IV Fluids * Analgesia * Urgent Investigations (CT scan) * Urgent Surgery may be required for complications
341
What are some complications of Acute Diverticulitis?
**Short-term complications include:** * **Abscess formation:** Initially managed with bowel rest, broad-spectrum antibiotics ± CT-guided percutaneous drainage. Surgical management is considered if medical management fails. * **Perforation:** A surgical emergency suspected in cases of generalised peritonitis. Free air on the abdominal x-ray and high clinical suspicion necessitate urgent exploratory laparotomy. * **Large Haemorrhage requiring blood transfusions** **Long-term complications include:** * **Fistula formation:** Most commonly colovesical fistulas, presenting with pneumaturia, faecaluria, and recurrent UTIs. Diagnosed with cystoscopy or cystography and require surgical repair. Colovaginal, coloenteric, colouterine, and colourethral fistulas may also occur. * **Fibrosis:** Secondary to inflammation, resulting in strictures and large bowel obstruction.
342
Define Fibromyalgia?
A chronic, complex, and widespread pain syndrome. Patients experience body pain that occurs at specific tend anatomical sites over at least three months.
343
What is the Epidemiology of Fibromyalgia?
* More common in females * Presents between the ages of 20-40 * Has a familial predisposition
344
What is the aetiology of Fibromyalgia?
**Unknown but likely multifactorial**
345
What are some risk factors for Fibromyalgia?
* Females: Middle aged 30-60 yrs * Family history of Fibromyalgia * Depression * Stress * Poverty * IBS
346
What are the clinical features of Fibromyalgia?
**Pain features:** * Chronic widespread muscle pain > 3 months * Pain found at specific tender points: 11/18 (9 pairs of points) * Pain worse with stress and cold weather * Morning stiffness <1hr **Other features:** * Fatigue: and waking up fatigued despite sufficient sleep * Non-restorative sleep * Cognitive disturbances: Problems with focus and memory * Mood disorder: depression and anxiety * Sleep Disturbances: insomnia
347
What are the specific tender points associated with Fibromyalgia?
**Specific tender points throughout body: (9 pairs)** * Occiput * Low cervical region * Trapezius * Supraspinatus * Second rib * Lateral epicondyle * Gluteal region * Greater trochanter * Knees
348
What are some differential diagnoses for Fibromyalgia?
* **Rheumatoid arthritis:** Characterized by joint pain, swelling, and redness * **Chronic fatigue syndrome:** Marked by severe, unexplained fatigue * **Lupus:** Presents with rash, joint pain, and kidney problems * **Hypothyroidism:** Accompanied by weight gain, constipation, and cold sensitivity
349
What are the investigations for Fibromyalgia?
**Primarily clinical diagnosis after exclusion of other causes** * Widespread pain and tenderness for **at least 3 months** at **11 of 18 tender points** * Other investigations reveal no acute findings
350
What is the management of Fibromyalgia?
**Conservative Management:** * Lifestyle modifications: Regular Exercise, stress management, relaxation techniques * Patient education of condition * Cognitive Behavioural Therapy **Medical Management:** * Simple analgesia * Antidepressant medications
351
Define Folliculitis?
Folliculitis refers to the inflammation of a hair follicle that results in the formation of papules or pustules, commonly known as 'pimples'.
352
What is the aetiology of Folliculitis?
**Bacterial Infection** of hair follicles * Primarily Staphylococcus aureus
353
What are the clinical features of Folliculitis?
* Papules and pustules that can appear anywhere on the body specifically around hair growth regions. * Not found on palms of hands and soles of feet (no hair follicles here)
354
What are some differential diagnoses for Folliculitis?
* **Acne Vulgaris:** Presents with comedones, papules, pustules, nodules and possible scarring. Mainly seen on face, chest, and back. * **Impetigo:** Characterised by honey-colored crusty sores, often beginning as small red papules. * **Contact Dermatitis:** Symptoms include erythema, pruritus, and vesicles. Occurs in areas of skin exposure to irritants or allergens. * **Herpes Simplex:** Characterised by grouped vesicles on an erythematous base, often with a history of recurrence and previous similar episodes. * **Rosacea:** Presents with erythema, telangiectasia, and inflammatory papules and pustules, predominantly on the face.
355
What are then investigations for Folliculitis?
**Clinical diagnosis based on physical examination**
356
What is the Management of Folliculitis?
**Application of topical antibiotics**, with a suggested addition of antibacterial soaps (e.g. chlorhexidine-containing solutions like Hibiscrub). * Oral antibiotics may also be required in more severe cases or cases that don't respond to topical treatments. * Specific variants may require tailored antibiotic approaches
357
Define Gastro-Oesophageal Reflux Disease (GORD)?
A clinical diagnosis based on the presence of typical symptoms (dyspepsia, ""heartburn"" or ""acid reflux"") resulting from the reflux of gastric contents into the oesophagus caused by a defective lower oesophageal sphincter.
358
What are the risk factors for GORD?
* Obesity * Hiatus Hernia * Smoking * Alcohol use
359
What is the Aetiology of GORD?
Defective lower oesophageal sphincter which enables the reflux of gastric contents into the lower oesophagus causing irritation
360
What are some triggers of GORD?
* Greasy and spicy foods * Coffee and tea * Alcohol * Non-steroidal anti-inflammatory drugs * Stress * Smoking * Obesity * Hiatus hernia
361
What are the clinical features of GORD?
* Dyspepsia (Heart burn) * Acid regurgitation * epigastric or chest pain * Bloating and Belching * Nocturnal Cough * Tooth Erosion
362
What are the ALARMS symptoms of Gastroenterology?
**A**naemia **L**oss of weight **A**norexia **R**ecent onset of progressive symptoms **M**assess/Melena - or bleeding from any part of GIT **S**wallowing Difficulties (Dysphagia) **+55yrs**
363
What are the gastro Red Flag features that warrant a two week wait referral?
* **Dysphagia** (at any age gets an immediate TWW referral) * **Aged over 55 years with Unintentional weight loss plus** * Upper abdominal pain * Reflux * Treatment resistant dyspepsia * **rectal bleeding** with bowel habbit change for 3/52 over the age of 40
364
What are some differential diagnoses for GORD?
* **Gastric ulcers:** These may present with epigastric pain, nausea, vomiting, and weight loss. * **Oesophageal cancer:** This may present with dysphagia, weight loss, and potentially haematemesis. * **Zollinger-Ellison Syndrome:** This may present with severe dyspepsia, diarrhoea and peptic ulcers * **Functional dyspepsia:** This condition may present with similar gastrointestinal symptoms without a clear organic cause.
365
What are the investigations for GORD?
**8 week therapeutic trial of Proton Pump Inhibitor** **If symptoms don't improve or patient has alarm symptoms then** * Oesophagealgastroduodenoscopy (OGD): Usually normal in GORD * 24-hr oesophageal pH monitoring (the gold standard test for diagnosis) * Oesophageal Manometry
366
What is the Management of GORD?
**Lifestyle interventions** * Weight loss * Dietary changes * Elevation of the head of the bed at night * Avoidance of late-night eating. **Proton pump inhibitor therapy**. * Omeprazole/Lansoprazole * For patients <40 years old who present with typical symptoms and no red flags, commence treatment with a standard-dose PPI for 8 weeks in combination with lifestyle changes. **Antacids** for symptomatic relief: Gaviscon, Rennie **H2 Receptor Antagonists:** Famotidine Anti-reflux surgery for refractory cases: **Laparoscopic fundoplication**
367
What lifestyle changes should be advised in a patient with GORD?
* Reduce tea, coffee and alcohol * Weight loss * Avoid smoking * Smaller, lighter meals * Avoid heavy meals before bedtime * Stay upright after meals rather than lying flat
368
What are some potential complications of GORD?
* oesophagitis * ulcers * anaemia * benign strictures * Barrett's oesophagus * oesophageal carcinoma
369
Describe h.pylori.
A gram negative bacilli with a flagellum that is present in 50% of the populations gastric mucosa
370
How does helicobacter pylori infection cause gastric damage?
* secretes urease → urea converted to NH3 → alkalinization of acidic environment → increased bacterial survival **Pathogenesis mechanism:** * Helicobacter pylori releases bacterial cytotoxins (e.g. CagA toxin) → disruption of gastric mucosa
371
What conditions can arise as a result of H.pylori infection?
Peptic Ulcer Disease (PUD) Gastritis Gastric carcinomas
372
What is the diagnostic test to investigate H.pylori infection?
**Urea Breath Test:**First Line **Stool Antigen Test:** **Rapid urease test: Performed during endoscopy (CLO Test)**
373
What is the treatment of H.pylori infection?
**Triple-therapy: For 7 days** * Proton Pump Inhibitor - Omeprazole * Clarithromycin * Amoxicillin (metronidazole if CI)
374
What is Barrett's Oesophagus?
The constant reflux of acid into the lower oesophagus causes a change in the epithelium called **metaplasia.** **This is a change from the stratified squamous epithelium to the columnar epithelium from the stomach in the lower 3rd of the oesophagus.** Barrett's Oesophagus is **considered premalignant.**
375
What does Barrett's Oesophagus predispose a patient to?
Considered premalignant: predisposing the patient to adenocarcinoma.
376
What is the treatment of Barrett's Oesophagus?
* Endoscopic Monitoring: For progression to adenocarcinoma * Proton Pump Inhibitors: Omeprazole * Endoscopic Ablation: Can destroy abnormal cells which are then replaced with normal squamous epithelial cells. Only used in treating **high grade dysplasia to reduce cancer risk**
377
Define Zollinger-Ellison Syndrome?
Defined as a pathophysiological condition characterised by the development of multiple ulcerations in the stomach and duodenum. This is the **result of an uncontrolled release of gastrin from a gastrinoma**, a type of neuroendocrine tumour that commonly presents in the pancreas or the duodenum.
378
What is the Aetiology of Zollinger-Ellison Syndrome?
Associated with Multiple Endocrine Neoplasia Type I (MEN-1)
379
What is the mnemonic to remember the tumours associated with the different types of Multiple Endocrine Neoplasia?
**MEN 1:** 3 P's * Pituitary Adenoma * Parathyroid * Pancreatic tumours (Insulinoma, Gastrinoma (Zollinger-Ellison)) **MEN 2a** 2 P's +1 M * Parathyroid * Medullary Thyroid * Phaeochromocytoma **MEN 2B** 1 P + 2 M's * Phaeochromocytoma * Mucosal neuromas * Marfanoid habitus
380
What are the clinical features of Zollinger-Ellison Syndrome?
* Abdominal pain, particularly in the epigastric region * Diarrhoea * Ulceration of the duodenum, which can often lead to gastrointestinal bleeding * Non-responsiveness to simple Proton Pump Inhibitors (PPIs)
381
What are the investigations for Zollinger-Ellison Syndrome?
**Fasting Gastrin Levels:** Best Screening test **Secretin Stimulation Test** an unusually large increase in gastric occurs following secretin administration confirms the diagnosis **Somatostatin Receptor Scintigraphy** for imaging of the Tumour **Endoscopy** to identify duodenal ulcerations
382
What is the Management of Zollinger-Ellison Syndrome?
**Surgical resection of Gastrinoma** * Chemotherapy if Metastatic disease **Medical Management:** * Proton Pump Inhibitors * Somatostatin analogues
383
What is Diabetes Mellitus?
A disorder of carbohydrate metabolism characterised by hyperglycaemia
384
What are some different types of Diabetes Mellitus?
* Type 1 DM - Insulin dependent * Type 2 DM - Insulin Independent - Maybe be gestational or medication induced) * MODY (Maturity Onset Diabetes of Youth) * Pancreatic diabetes * Endocrine diabetes - Acromegaly, Cushing’s * Malnutrition related diabetes
385
What is the normal physiological blood sugar range?
4.4 - 6.1 mmol/l
386
Define Type 1 Diabetes Mellitus?
Type 1 diabetes mellitus (T1DM) is an autoimmune condition characterized by the destruction of the insulin-producing beta cells within the pancreas, leading to insulin deficiency.
387
What is the Epidemiology of Type 1 Diabetes Mellitus?
* Predominantly affects children and young adults but can occur at any age * Highest incidence over norther Europe * Lean males * Associated with Family History and other autoimmune diseases
388
What is the Aetiology of Type 1 Diabetes Mellitus?
Thought to be caused by **combination of genetic predisposition and environmental triggers** leading to a Type IV hypersensitivity reaction that destroys pancreatic beta cells. **Genes associated with T1DM:** HLA DR3 and HLA DR4 **Environmental Triggers:** Viral infections (such as Coxsackie B virus and Enterovirus)
389
What is the pathophysiology of Type 1 Diabetes Mellitus?
* Type IV hypersensitivity reaction leads to destruction of pancreatic beta cells leading to Absolute insulin deficiency. * Lack of insulin leads to: * Unrestricted hepatic glucose output: Glycogenolysis + Gluconeogenesis * Impaired peripheral uptake of glucose into adipose and muscle tissue * Glucose concentration rises in the blood significantly causing **hyperglycaemia** * Cells cannot uptake glucose and thus become **metabolically starved** resulting in lipolysis and muscle breakdown to **undergo ketogenesis** * High glucose concentration in the blood leads to glycosuria as re-uptake mechanisms are saturated. Glucose is also osmotically active and thus draws more water into the urine leading to **polyuria** * Increased Polyuria can subsequently cause increased thirst and **polydipsia**
390
What are the clinical features of Type 1 Diabetes Mellitus?
**2-6 week history** * **polyuria** * **Polydipsia** * **Weight loss** **Others:** * Fatigue
391
What are some differential diagnoses for Type 1 Diabetes Mellitus?
* **Diabetes insipidus:** Presents with polyuria and polydipsia, but without hyperglycaemia or glucosuria. * **MODY (Maturity Onset Diabetes of the Young):** * **Hyperthyroidism:** Can present with weight loss and increased appetite, but usually also includes symptoms such as tachycardia, tremor, and heat intolerance.
392
What are the investigations for Type 1 Diabetes Mellitus?
**If symptomatic, one of the following results is sufficient for diagnosis:** **If the patient is asymptomatic, two results are required from different days.** * Random blood glucose **≥ 11.1mmol/l** * Fasting plasma glucose **≥ 7mmol/l** * 2-hour Oral Glucose Tolerance Test (OGTT) **≥ 11.1mmol/l** * HbA1C **≥ 48mmol/mol (6.5%)** **To confirm T1DM, the following investigations can be done:** * **Autoantibody testing:** Identification of specific antibodies (e.g. anti-GAD, ICA, IAA) contributes to confirming the autoimmune nature of T1DM. * **C-peptide levels:** Evaluation of C-peptide production helps assess endogenous insulin secretion. * **Urine ketone testing:** Presence of ketones may suggest concurrent DKA.
393
What is the Management for Type 1 Diabetes Mellitus?
**Insulin Therapy:** * Basal Bolus Regime: * Long acting Insulin (levemir) * Rapid acting insulin taken 30 mins before meals (Humalog) **Lifestyle Modifications:** * Guidance on nutrition and carbohydrate counting * Exercise * Reduce alcohol consumption * Blood Glucose Monitoring: Either self glucose monitoring (SMBG) or continuous glucose monitoring (CMG) **Hypoglycaemia management: Sugary drinks or snacks if they have a hypo** **Regular Follow-up from DSN and monitoring of HbA1c** **Monitoring for complications (short and long term)** **Reduce risk factors of complications:** * Blood pressure control if high
394
What are the Targets for Glycaemic Control in Type 1 Diabetes?
**Individualised to the patient** **Typically:** * Pre-meal blood glucose: 4-7 mmol/L (72-126 mg/dL) * Bedtime blood glucose: 6-10 mmol/L (108-180 mg/dL) * **HbA1c: Less than 7% (53 mmol/mol) for most adults**; individualised targets for children, elderly patients, and those at risk of hypoglycemia.
395
What are some short term complications of Type 1 Diabetes Mellitus?
* Hypoglycaemia * Hyperglycaemia leading to **Diabetic Ketoacidosis (DKA)**
396
Define Hypoglycaemia?
Hypoglycaemia is a metabolic condition characterized by an abnormally low blood glucose level, typically defined as less than 3.9 mmol/L.
397
What are some risk factors for Hypoglycaemia?
* Advancing age * Cognitive impairment * Depression * Aggressive treatment of glycaemia * Impaired awareness of hypoglycaemia * Duration of multi dose insulin therapy * Renal impairment and other comorbidities
398
What is the aetiology of Hypoglycaemia?
* Drugs: **Insulin, Sulphonylureas**, GLP-1 analogues, DPP-4 inhibitors, Beta-blockers * Alcohol * Acute liver failure * Sepsis * Adrenal insufficiency * Insulinoma * Glycogen storage disease
399
What is the Pathophysiology of Hypoglycaemia?
**Hormonal response:** * Decreased insulin secretion. * Increased glucagon secretion. * Growth hormone and cortisol are also released but later **Sympathoadrenal response:** * Increased catecholamine-mediated (adrenergic) and acetylcholine-mediated (cholinergic) neurotransmission * Activates the PNS and CNS
400
What are the clinical features of Hypoglycaemia?
**Adrenergic Symptoms (Blood glucose concentrations <3.3 mmol/L):** * Trembling * Sweating * Irritability * Palpitations * Hunger * Headache **Neuroglycopenic Symptoms (Blood glucose concentrations below <2.8 mmol/L):** * Double vision * Difficulty concentrating * Slurred speech * Confusion * Coma
401
What are some differential diagnoses for Hypoglycaemia?
* **Diabetic ketoacidosis:** May cause hypoglycaemia due to insulin treatment. Symptoms include polydipsia, polyuria, fatigue, and abdominal pain. * **Adrenal insufficiency:** Lack of cortisol may lead to hypoglycaemia. Features include fatigue, weight loss, hyperpigmentation, and hypotension. * **Insulinoma:** Insulin-secreting tumour resulting in hypoglycaemia. Symptoms mimic hypoglycaemia but can occur after meals. * **Alcohol intoxication:** Alcohol can inhibit hepatic gluconeogenesis, leading to hypoglycaemia. Symptoms include confusion, ataxia, slurred speech, and coma.
402
What is the Management of Hypoglycaemia?
**Mild Hypoglycaemia (Patient is conscious):** * ABCDE approach * Consume 15-20g of fast-acting carbohydrate (e.g., glucose tablets, non-diet soda, sweets, fruit juice). * Avoid chocolate due to slower absorption. * Follow up with slower-acting carbohydrates (e.g., toast). **Severe Hypoglycaemia (e.g. Seizures, Unconsciousness):** * ABCDE approach * Administer **1mg glucagon IM** if no IV access (Note: this won't work if alcohol ingestion is the cause due to its action blocking gluconeogenesis). Alternatively * Administer 20% dextrose solution IV. * Manage prolonged or repeated seizures. **Aftercare:** * Consider medication changes. * Investigate non-drug causes if necessary.
403
Define Diabetic Ketoacidosis (DKA)?
Diabetic ketoacidosis (DKA) is a severe medical emergency characterized by the triad of: * Hyperglycaemia (blood sugars >11 mmol/L) * Ketonemia (blood ketones >3 mmol/L) * Acidosis (pH <7.3 or bicarbonate <15 mmol/L) **Note: Patients on gliflozins can present with euglycemic DKA.**
404
What is the Epidemiology of DKA?
DKA is most common in individuals with Type 1 diabetes but can occur in those with Type 2 diabetes under severe stress or illness. It is the leading cause of death among young individuals with diabetes.
405
What is the aetiology of DKA?
* Infections * SGLT2 Inhibitors * Dehydration * Fasting * First presentation of Type 1 diabetes **It is vital to note that fever is not a typical part of DKA presentation; a raised temperature might indicate an underlying infection that precipitated DKA.**
406
What is the Clinical Presentation of DKA?
* Nausea and Vomiting * Abdominal pain * Dehydration * Hypovolaemic shock * Drowsiness * Coma **Signs:** * Tachypnoea (**Kussmaul's respiration: a deep, sighing pattern of respiration, compensating for a metabolic acidosis by blowing off CO2**) * 'Fruity' ketotic breath
407
What are some differential diagnoses for DKA?
* **Alcoholic ketoacidosis:** History of chronic alcohol misuse, abdominal pain, nausea, vomiting, dehydration, similar lab findings as DKA. * **Starvation ketosis:** History of fasting or extremely low-calorie intake, dizziness, weakness, hypotension, mild ketonaemia. * **Lactic acidosis:** Shortness of breath, abdominal pain, lactate >5 mmol/L, and evidence of tissue hypoperfusion. * **Hyperosmolar hyperglycaemic state:** Severe hyperglycaemia (>30 mmol/L), severe dehydration, change in mental status, minimal ketonaemia.
408
What are the investigations for DKA?
* Blood glucose (>11.1mmol/L) * Blood ketones (>3mmol/L) * Blood gas analysis: pH <7.3 or Bicarbonate <15mmol/L * (expecting hyperglycaemic, hypokalaemic metabolic acidosis, low bicarb) * Urea and electrolytes * Urinary glucose and ketones * Blood cultures (if evidence of infection) * ECG (for any ischaemic changes or changes secondary to hypokalaemia)
409
What is the Management for DKA? When has DKA Resolved?
**F**luids: IV fluid resuscitation with 1L 0.9% NaCl stat. Then 1L every 2 hours **I**nsulin: Fixed rate insulin infusion (Actrapid 0.1 units/kg/hour) **G**lucose: Monitor BMs until glucose is <14mmol/L and add glucose infusion **P**otassium: Potassium replacement (dependant on [K]) added to IV fluids **I**nfection: Treat underlying trigger such as infection **C**hart fluid balance **K**etones: Monitor blood ketones, pH and Bicarbonate **Resolution of DKA is when pH >7.3, blood ketones <0.6mmol/L and bicarbonate >15**
410
What are some complications DKA and of DKA management?
**Dehydration, Acidosis, Potassium imbalance (Low total body K+)** * Gastric stasis * Thromboembolism * Arrhythmias secondary to hypokalaemia * Acute respiratory distress syndrome * Acute kidney injury **Iatrogenic due to incorrect fluid therapy: cerebral oedema, hypokalaemia, hypoglycaemia**
411
Define Type 2 Diabetes Mellitus?
A chronic metabolic condition characterized by inadequate insulin production from pancreatic beta cells, combined with peripheral insulin resistance. This leads to an elevation in blood glucose levels, causing hyperglycaemia.
412
What is the Epidemiology of Type 2 Diabetes Mellitus?
* Onset older (>30 years). * Strong familial predisposition * Usually overweight. * More common in African/Asian. * Most common form of Diabetes Mellitus (90-95% of cases)
413
What are some risk factors for Type 2 Diabetes Mellitus?
**Non-modifiable risk factors:** * Older age * Ethnicity (Black African or Caribbean and South Asian) * Family history **Modifiable risk factors:** * Obesity * Sedentary lifestyle * High carbohydrate (particularly sugar) diet
414
What are some drugs that can induce Type 2 Diabetes Mellitus?
* Steroids * Tacrolimus * Thiazides * Protease inhibitors (HIV) * Antipsychotics
415
What is the Pathophysiology of Type 2 Diabetes Mellitus?
* Repeated exposure to glucose and insulin makes the cells in the body resistant to the effects of insulin. * More and more insulin is required to stimulate the cells to take up and use glucose. * Over time, the pancreas becomes fatigued and damaged by producing so much insulin, and the insulin output is reduced. * A high carbohydrate diet combined with insulin resistance and reduced pancreatic function leads to chronic high blood glucose levels (hyperglycaemia). * Chronic hyperglycaemia leads to microvascular, macrovascular and infectious complications
416
What are the clinical features of Type 2 Diabetes Mellitus?
**Initially Asymptomatic but over time develop:** * Polyuria * Polydipsia * Unexplained weight loss * Fatigue * Slow wound healing * Opportunistic infections (Oral Thrush) * **Acanthosis nigricans** (associated with insulin resistance)
417
Define Pre Diabetes?
* HbA1c: **42-47 mmol/mol** **Impaired Fasting Glucose** 6.1-6.9 mmol/L **Impaired Glucose Tolerance** 7.8-11.0 mmol/L
418
What are the investigations for Type 2 Diabetes Mellitus?
**If symptomatic, one of the following results is sufficient for diagnosis: If the patient is asymptomatic, two results are required from different days.** * Random blood glucose ≥ 11.1mmol/l * Fasting plasma glucose ≥ 7mmol/l * 2-hour glucose tolerance ≥ 11.1mmol/l * HbA1C ≥ 48mmol/mol (6.5%) Typically repeated after 1 month to confirm diagnosis
419
What is the Management for Type 2 Diabetes Mellitus?
**Lifestyle management:** * Patient education about their condition and lifestyle * Dietary modification * Exercise and weight loss * Smoking Cessation * Monitoring for macro and microvascular complications of DM **First Line Pharmacotherapy: (To keep HbA1c <48mmol/mol)** * **Metformin** * Once settled on metformin, add **SGLT2 inhibitor** if the patient has existing CVD, Chronic HF or a QRISK >10% **Second Line Pharmacotherapy: (HbA1c >58mmol/mol on Metformin)** Add one of: * Sulphonylurea: Gliclazide, Tolbutamide * Pioglitazone * DPP-4 Inhibitor: Sitagliptin, Linagliptin * SGLT2 Inhibitor if not already on one: Dapagliflozin, Empagliflozin, Canagliflozin **Third Line Pharmacotherapy: (HbA1c >58mmol/mol on Dual Therapy)** One of: * Triple Therapy: Metformin and 2 of the second line drugs * Insulin therapy (initiated by a diabetes specialist nurse (DSN)) * If triple therapy fails to control HbA1c and patients BMI >35kg/m2 then switch one of the second line drugs to a **GLP-1 mimetic:** * Exenatide, Liraglutide, Semaglutide
420
What is the Mechanism of Action of Metformin?
* Metformin increases insulin sensitivity and decreases glucose production by the liver. * It is a biguanide (the class of medication). * It does not cause weight gain (and may cause some weight loss). * It does not cause hypoglycaemia.
421
What are the notable side effects of Metformin
* Gastrointestinal symptoms, including pain, nausea and diarrhoea (depending on the dose) * Lactic acidosis (e.g., secondary to acute kidney injury)
422
What is the Mechanism of Action of Sulphonylureas
* Sulfonylureas stimulate insulin release from the pancreas. * Acts on the SUR1 receptor
423
What are the notable side effects of Sulphonylureas
* Weight gain * Hypoglycaemia
424
What is the Mechanism of Action of SGLT2 Inhibitors
* The sodium-glucose co-transporter 2 protein is found in the proximal tubules of the kidneys. * It acts to reabsorb glucose from the urine back into the blood. * SGLT-2 inhibitors block the action of this protein, causing more glucose to be excreted in the urine. * Loss of glucose in the urine lowers the HbA1c, reduces the blood pressure, leads to weight loss and improves heart failure. * They can cause hypoglycaemia when used with insulin or sulfonylureas.
425
What are the notable side effects of SGLT2 Inhibitors
* Glycosuria (glucose in the urine) * Increased urine output and frequency * Genital and urinary tract infections (e.g., thrush) * Weight loss * **Diabetic ketoacidosis**, notably with only moderately raised glucose * Fournier’s gangrene (rare but severe infection of the genitals or perineum)
426
What are Incretins?
Incretins are hormones produced by the gastrointestinal tract. They are secreted in response to large meals and act to reduce blood sugar by: * Increasing insulin secretion * Inhibiting glucagon production * Slowing absorption by the gastrointestinal tract The main incretin is glucagon-like peptide-1 (GLP-1). Incretins are inhibited by an enzyme called dipeptidyl peptidase-4 (DPP-4).
427
What is the Mechanism of Action of DPP-4 Inhibitors
* DPP-4 inhibitors block the action of DPP-4, allowing increased incretin activity. * Examples of DPP-4 inhibitors are sitagliptin and Linagliptin. * They do not cause hypoglycaemia.
428
What are the notable side effects of DPP-4 Inhibitors
* Headaches * GI Tract upset * Low risk of acute pancreatitis
429
What is the Mechanism of Action of Pioglitazone
* Pioglitazone is a thiazolidinedione. * Activate PPAR-gamma receptor in adipocytes to promote adipogenesis and fatty acid uptake * It increases insulin sensitivity and decreases liver production of glucose. * It does not typically cause hypoglycaemia.
430
What are the notable side effects of Pioglitazone
* Weight gain * Fluid Retention * Heart failure * Increased risk of bone fractures * A small increase in the risk of bladder cancer
431
What are some different types of Insulin Therapy?
* **Rapid-acting insulins (e.g., NovoRapid)** start working after around 10 minutes and last about 4 hours. * **Short-acting insulins (e.g., Actrapid)** start working in around 30 minutes and last about 8 hours. * **Intermediate-acting insulins (e.g., Humulin I)** start working in around 1 hour and last about 16 hours. * **Long-acting insulins (e.g., Levemir and Lantus)** start working in around 1 hour and last about 24 hours or longer. Combinations insulins contain a rapid-acting and intermediate-acting insulin. In brackets is the ratio of rapid-acting to intermediate-acting insulin: * Humalog 25 (25:75) * Humalog 50 (50:50) * Novomix 30 (30:70)
432
What are the notable side effects of Insulin Therapy
* **Hypoglycaemia** * Injection site - Lipodystrophy: May occur when a patient injects insulin into the same spot causing the subcutaneous fat to harden. This can lead to poorer absorption of insulin * Insulin resistance - mild and associated with obesity * Weight gain - insulin makes people feel hungry
433
What is the Mechanism of Action of GLP-1 Mimetics
* GLP-1 mimetics imitate the action of GLP-1. * Examples are exenatide and liraglutide. * They are given as subcutaneous injections. * Liraglutide can also be used for weight loss in non-diabetic obese patients.
434
What are the notable side effects of GLP-1 Mimetics
* Reduced appetite due to making patient feel sick * Weight loss * Gastrointestinal symptoms, including discomfort, nausea and diarrhoea
435
What is the main acute complication of Type 2 Diabetes Mellitus?
Hyperglycaemia leading to Hyperosmolar Hyperglycaemic State (HHS)
436
Define Hyperosmolar Hyperglycaemic State?
A severe metabolic disorder that typically occurs in patients with type 2 diabetes, characterised by **extreme hyperglycaemia, hypotension, and increased serum osmolality without significant ketosis or acidosis.**
437
What is the aetiology of HHS in a Type 2 Diabetic?
* Infection * Medications that cause fluid loss or lower glucose tolerance * Surgery * Impaired renal function
438
What is the Pathophysiology of HHS?
hyperglycaemia → ↑ serum osmolality → osmotic diuresis → severe volume depletion
439
What are the clinical features of HHS?
* Polyuria, Polydipsia and weight loss with: * Nausea and vomiting * Lethargy * Weakness * Confusion * Dehydration * Coma * Seizure **They can be extremely unwell, demonstrating signs of hypovolaemia, tachycardia, hypotension, and exhaustion.**
440
What is a differential diagnosis for HHS?
* The main differential diagnosis for HHS is Diabetic Ketoacidosis (DKA). * Unlike HHS, DKA is characterised by significant acidosis (pH<7.3; bicarb <15mmol/L) and ketosis (ketones > 3mmol/L).
441
What is the diagnostic criteria for HHS?
* Severe hyperglycaemia (>=30mmol/L) * Hypotension * Hyperosmolality (usually >320 mosmol/kg) **The absence of significant acidosis or ketosis differentiates HHS from DKA.**
442
What is the Management of HHS?
**IV Fluid resuscitation** * 0.9% saline. * Patients may require subsequent fluid to correct dehydration. **Electrolyte Replacement** **Insulin** * Only if ketones >1mmol/L or glucose fails to fall. * Continue any long-acting insulin. **Venous thromboembolism (VTE) prophylaxis** * These patients are at high risk due to dehydration and hyperviscosity. **The management of HHS involves correcting serum osmolality, fluid deficit, and electrolyte deficits. These corrections need to occur over a slightly longer period of time than in DKA.**
443
What are the Macrovascular Complications of Diabetes Mellitus?
**Cardiac Complications** Diabetes significantly increases the risk of cardiovascular disease, contributing to major morbidity and mortality. **Peripheral Arterial Disease (PAD)** Patients present with foot discolouration, gangrene, intermittent claudication, rest pain, night pain and absent peripheral pulses (confirmed on doppler). **Cerebrovascular disease** Patients with diabetes are at significantly increased risk of TIAs and stroke and as such it is paramount to address the main risk factors (lipids, BP, smoking, obesity) for these as a broader part of management
444
What are the Microvascular Complications of Diabetes Mellitus?
**Diabetic Retinopathy** Characterised by vascular occlusion and leakage in the retinal capillaries, leading to potential sight loss if unmanaged, it is the leading cause of visual loss in adults. See separate section. **Diabetic Nephropathy** A leading cause of chronic kidney disease, it is characterised by proteinuria. Prevention of this complication is achieved with ACE inhibitors/ARBs (by managing blood pressure) and SGLT-2 inhibitors. **Diabetic Neuropathy** The primary causative factor is chronic hyperglycaemia, which leads to several distinct types neuropathy. **Sexual Dysfunction** Caused by a combination of factors including poor glycaemic control, neuropathy, microvascular complications, obesity, hypertension, depression, medication side effects, etc.
445
what are the consequences of Diabetic Neuropathy?
* **Autonomic Neuropathy:** May lead to postural hypotension and associated symptoms like dizziness, falls, and loss of consciousness. * **Gastrointestinal Complications:** Gastroparesis - a result of poor glycaemic control leading to nerve damage of the autonomic nervous system. Characterized by delayed gastric emptying, early satiety, abnormal stomach wall movements, and morning nausea. * **Foot Complications:** Diabetic Foot Infections - patients with vascular and neuropathic complications are at high risk for diabetic foot ulceration and subsequent infection.
446
What are the Infection related Complications of Diabetes Mellitus?
* Urinary tract infections * Pneumonia * Skin and soft tissue infections, particularly in the feet * Fungal infections, particularly oral and vaginal candidiasis
447
What is the pathogenesis of diabetic retinopathy?
* Hyperglycaemia is thought to cause increased retinal blood flow and abnormal metabolism in the retinal vessel walls. * * This precipitates damage to endothelial cells and pericytes * * Endothelial dysfunction leads to increased vascular permeability which causes the characteristic exudates seen on fundoscopy. * * Pericyte dysfunction predisposes to the formation of microaneurysms. * * Neovasculization is thought to be caused by the production of growth factors in response to retinal ischaemia
448
How does diabetic retinopathy get graded?
* R0 - None detected * R1 - Background changes; screened once a year * R2 - Pre-proliferative; early changes screened 6-monthly * R3 - Proliferative; called into eye clinic to look at interventions to protect vision * M - Maculopathy; changes that happen close to the fovea * P - Photocoagulation; laser treatment has been done * U - Unclassifiable
449
What is the pathophysiology of diabetic nephropathy?
* Hyperglycaemia leads to RBCs becomming sticky and can cause occlusion of the efferent arteriole. * Efferent arteriole is blocked leading to a build up of pressure and Hyperfiltration. * The hyperfiltration damages the filtration barrier and stimulates mesangial cells to secrete extracellular matrix * This leads to sclerosis and scarring (glomerulosclerosis) and subsequent nephropathy
450
When does diabetic nephropathy typically develop in type 1 and type 2 diabetes?
T1DM - Around 10 years after diagnosis T2DM - Can be present at diagnosis
451
What is Charcot Foot?
Weakening of the bones of the foot, they are more prone to fractures and the stress of walking leads to deformity of the foot
452
How are the Macro and Microvascular Complications Managed:
**Prevention of Cardiovascular Complications:** * ACE inhibitors are first line to manage Hypertension in Diabetes **Prevention of Diabetic Nephropathy:** * ACE inhibitors are also started in diabetics with CKD when the ACR >3mg/mol * SGLT2 inhibitors are started in diabetics with CKD when ACR >30 mg/mol **Management of Sexual Dysfunction in Diabetes:** * Phosphodiesterase-5 inhibitors may be started: **sildenafil, tadalafil** **Management of Gastroparesis in Diabetes:** * Prokinetic drugs: **Metoclopramide, Domperidone** **Management of Neuropathic pain in Diabetic Neuropathy:** * Amitriptyline: Tricyclic Antidepressant * Duloxetine: SNRI Antidepressant * Gabapentin: Anticonvulsant * Pregabalin: Anticonvulsant
453
Define Hypertension?
A High Blood Pressure A 'normal' blood pressure ranges between 90/60mmHg to <140/90mmHg. **The definition of hypertension is a blood pressure above 140/90 in clinical setting that is confirmed with 24h ambulatory blood pressure average reading (ABPM) that is more than or equal to 135/85mmHg.**
454
# ROPED What are the causes of Hypertension?
**Essential hypertension accounts for 90% of hypertension. This is also known as primary hypertension.** It means a high blood pressure has developed on its own and does not have a secondary cause. **Secondary Causes of Hypertension:** **R**enal disease **O**besity **P**regnancy-induced hypertension or pre-eclampsia **E**ndocrine **D**rugs (e.g., alcohol, steroids, NSAIDs, oestrogen and liquorice)
455
What are some Renal causes for Hypertension?
**Renal disease is the most common cause of Secondary Hypertension** * **Chronic Kidney Disease** * Renal Artery Stenosis * Tubular Necrosis
456
What are some Endocrine causes for Hypertension?
* **Conn's Syndrome** * Cushing's Syndrome * Phaeochromocytoma * Acromegaly
457
What are the risk factors for Hypertension?
* Family history * Old age * Male * Afro-Caribbean * Lack of physical activity * Unhealthy diet (high salt intake, alcohol, smoking) * Obesity * Diabetes mellitus * Stress
458
What are the classifications of Hypertension?
**Stage 1: (low risk)** * Clinical: >140/90 * ABPM: >135/85 **Stage 2: (high risk)** * Clinical: >160/100mmHg * ABPM: >150/95mmHg **Severe:** * Clinical systolic >180mmHg * Clinical diastolic >120 mmHg
459
What is the presentation of Hypertension?
**Asymptomatic**
460
How is Hypertension Diagnosed?
Patients with a clinic blood pressure between 140/90 mmHg and 180/120 mmHg should have 24-hour ambulatory blood pressure or home readings to confirm the diagnosis. **This rules out White Coat Syndrome where there is a increased BP reading of 20/10 mmHg due to the clinical setting** **Assess for End Organ Damage in all newly diagnosed patients**
461
What does NICE recommend all patients with newly diagnosed hypertension should receive?
**Assessment for End Organ Damage:** * **Urine Albumin:Creatinine ratio (ACR):** For proteinuria and dipstick for microscopic haematuria to assess for kidney damage * **Bloods:** For HbA1c, Renal Function and Lipids * **Fundus Examination** For Hypertensive Retinopathy * **ECG:** For Cardiac Abnormalities such as LVH * **Calculate QRISK score:** Any patients >10% offered Statin (atorvastatin 20mg)
462
When should you consider starting Hypertension Treatment?
* Stage 1 - Treat if >80yrs or if signs of end organ target damage or QRISK2 score 10% * Stage 2 - start Treatment
463
What is the Conservative Management of Hypertension?
* Weight loss * Reduce alcohol intake * Reduce salt intake * Stop smoking * Regular exercise * Stress reduction
464
What is the Pharmacological Management of Hypertension?
**Under age of 55 or Diagnosed with Diabetes Mellitus:** 1. ACE inhibitor / ARB (**Ramipril**) 2. Add Calcium Channel Blocker (**Amlodipine**) 3. Add Thiazide Diuretic (**Indapamide**) 4. Resistant Hypertension 4a. If K+ < 4.5 - Add Spironolactone 4b. If K+ > 4.5 - Add alpha or beta blocker **Over age of 55 or Afro-Caribbean Origin:** 1. Calcium Channel Blocker (**Amlodipine**) 2. Add ACE inhibitor / ARB (**Ramipril**) 3. Add Thiazide Diuretic (**Indapamide**) 4. Resistant Hypertension 4a. If K+ < 4.5 - Add Spironolactone 4b. If K+ > 4.5 - Add alpha blocker (**Doxazosin**) or beta blocker (**Atenolol**)
465
What are the main complications of Hypertension?
* Increased risk of morbidity and mortality from all causes * Coronary artery disease * Heart failure * Renal failure * Stroke * Peripheral vascular disease * Vascular Dementia * Hypertensive retinopathy, Nephropathy
466
Define Malignant Hypertension? Pathological hallmark?
**Extremely High Blood Pressure Above 180/120 with signs of Retinal Haemorrhages or Papilloedema** **Fibrinoid Necrosis is a pathological hallmark** Patients admitted with Malignant hypertension are assessed for **secondary causes and end organ damage**
467
What is the presentation of Malignant Hypertension?
* Headaches * Visual Disturbances
468
What is the Management of Malignant Hypertension?
**Hypertensive Urgency: (no end organ damage)** * Oral Nifedipine * Oral Nifedipine and Oral Amlodipine **Hypertensive Emergency (end organ damage):** * IV Sodium Nitroprusside * IV Labetalol * IV GTN
469
Define Haemorrhoids?
Haemorrhoids are a pathological condition where the vascular cushions become enlarged within the anal canal, abnormally expand and can protrude outside the anal canal.
470
How are Haemorrhoids graded?
* **1st degree:** no prolapse * **2nd degree:** prolapse when straining and return on relaxing * **3rd degree:** prolapse when straining, do not return on relaxing, but can be pushed back * **4th degree:** prolapsed permanently
471
What are the risk factors for developing Haemorrhoids?
* Constipation * Pregnancy * Increased intra-abdominal pressure due to causes like obesity, chronic cough or space-occupying lesions * Portal hypertension, particularly secondary to cirrhosis, due to increased pressure at the rectal porto-systemic anastomosis
472
What are the clinical features of Haemorrhoids?
**May be Asymptomatic** * Bright red PR bleeding, often associated with defecation and on wiping * Absence of pain, unless the patient has a thrombosed external haemorrhoid or another condition such as an anal fissure * Anal pruritus * A palpable or protruding mass in the anal region during examination
473
What are some differential diagnoses for Haemorrhoids?
* **Anal fissure:** Characterised by severe anal pain during and after bowel movements, presence of bright red blood on toilet paper, and potentially a visible tear or lump of skin near the anal area * **Anal cancer:** May present with rectal bleeding, anal pain, the presence of an anal mass, and changes in bowel habits * **Perianal haematoma:** Presents with acute, severe pain and a tender, bluish lump near the anus. It can be mistaken for a thrombosed external haemorrhoid * **Rectal prolapse:** Identified by the protrusion of pink or red tissue from the anus, typically after a bowel movement, with potential rectal bleeding
474
What are the investigations for Haemorrhoids?
**Clinical Examination** **Digital Rectal Examination** **Proctoscopy**
475
What is the management of Haemorrhoids?
**Grade 1and 2:** * First Line: Conservative management, Analgesia and topical corticosteroids to alleviate pruritus * Second Line: Non-surgical treatments **Grade 3:** First Line: Rubber band ligation **Grade 4:** * First Line: Surgical haemorrhoidectomy may be necessary, **In all cases, patients should be advised to maintain a diet rich in fibre and fluids to reduce the risk of constipation, thereby limiting exacerbation of haemorrhoids.**
476
What is the Conservative Management for Haemorrhoids?
* Increasing the amount of fibre in the diet * Maintaining a good fluid intake * Using laxatives where required * Consciously avoiding straining when opening their bowels
477
What are some Topic Treatments for Haemorrhoids?
* Anusol * Anusol HC (contains hydrocortisone) * Germoloids cream (contains lidocaine anaesthetic)
478
What are some Non-surgical treatments for Haemorrhoids?
* Rubber band ligation (fitting a tight rubber band around the base of the haemorrhoid to cut off the blood supply) * Injection sclerotherapy (injection of phenol oil into the haemorrhoid to cause sclerosis and atrophy) * Infra-red coagulation (infra-red light is applied to damage the blood supply) * Bipolar diathermy (electrical current applied directly to the haemorrhoid to destroy it)
479
What are some Surgical Treatments for Haemorrhoids?
* Haemorrhoidal artery ligation * Haemorrhoidectomy * Stapled Haemorrhoidectomy
480
Define Hiatus Hernia?
Occurs when abdominal contents (commonly the stomach) protrude through an enlarged oesophageal hiatus in the diaphragm.
481
What are some risk factors for a Hiatus Hernia?
* Obesity * Increasing age * Pregnancy * Prior hiatal surgery * Increased intra-abdominal pressure, such as from chronic cough, multiparity, or ascites
482
What are the types of Hiatus Hernia?
**Type 1: Sliding (80%):** Here, the gastro-oesophageal junction slides up into the chest. This results in a less competent sphincter and consequent acid reflux. Treatment is similar to Gastroesophageal reflux disease (GORD). **Type 2: Rolling (20%):** In this type, the gastro-oesophageal junction stays in the abdomen, but part of the stomach protrudes into the chest alongside the oesophagus. This type requires more urgent treatment since volvulus can lead to ischemia and necrosis. **Type 3: Combination of sliding and rolling** **Type 4: Large opening where additional abdominal organs enter the thorax**
483
What are the clinical features of a Hiatus Hernia?
* heartburn * dysphagia * regurgitation * chest pain
484
What are some differential diagnoses for a Hiatus Hernia?
* **Gastroesophageal reflux disease (GORD):** Heartburn, regurgitation, difficulty swallowing * **Gastritis:** Abdominal pain, nausea, vomiting * **Peptic ulcer:** Abdominal pain, bloating, feeling of fullness * **Gallstones:** Severe abdominal pain, jaundice, fever
485
What are the investigations for a Hiatus Hernia?
**Endoscopy** Often first line due to presentation **Barium Swallow** is most sensitive test **Chest X-ray:** Retrocardiac air bubble **CT Scan**
486
What is the Management of Hiatus Hernia?
**Conservative Management:** * Weight loss * Elevating the head of the bed * Avoidance of large meals and eating 3-4 hours before bed * Avoidance of alcohol and acidic foods * Smoking cessation **Medical Management:** * Proton Pump Inhibitors: Omeprazole, Lansoprazole **Surgical Management:** * Laparoscopic Fundoplication
487
Define Hypothyroidism?
Refers to insufficient thyroid hormones, triiodothyronine (T3) and thyroxine (T4).
488
What is the Epidemiology of Hypothyroidism?
* Higher prevalence among females * Increases with age * Iodine deficiency is most prominent cause in developing world * Hashimoto's Thyroiditis is most prominent cause in developed world
489
What is Primary Hypothyroidism?
Primary hypothyroidism is where the thyroid behaves abnormally and produces inadequate thyroid hormones. Negative feedback is absent, resulting in increased production of TSH. TSH is raised, and T3 and T4 are low.
490
What is Secondary Hypothyroidism?
Secondary hypothyroidism, also called central hypothyroidism, is where the pituitary behaves abnormally and produces inadequate TSH, resulting in under-stimulation of the thyroid gland and insufficient thyroid hormones. TSH, T3 and T4 will all be low.
491
What is the aetiology of Primary Hypothyroidism?
* **Hashimoto's thyroiditis** Most common in developed world * **Dietary iodine deficiency** Most common in developing world * Subacute thyroiditis (de Quervain's) * Riedel thyroiditis * After thyroidectomy or radioiodine treatment * Drug therapy (e.g. lithium, amiodarone or anti-thyroid drugs such as carbimazole)
492
What is the aetiology of Secondary Hypothyroidism?
* Tumours (e.g., pituitary adenomas) * Surgery to the pituitary * Radiotherapy * Sheehan’s syndrome (where major post-partum haemorrhage causes avascular necrosis of the pituitary gland) * Trauma
493
What is Hashimoto's Thyroiditis?
Autoimmune destruction of the thyroid gland associated with anti-TPO antibodies and Anti thyroglobulin antibodies. It initially causes a goitre when then leads to atrophy of the gland
494
What are the Transient causes of hypothyroidism?
Post partum Thyroiditis De Quervain’s thyroiditis
495
What are the clinical features of Hypothyroidism?
**General features:** * Goitre: Depends on aetiology * Weight gain * Fluid retention * Fatigue * Heavy or irregular periods * Constipation * **Cold intolerance** **Peripheral Features:** * Dry skin * Coarse hair and hair loss * **Queen Anne's Sign:** loss of outer 1/3 eyebrows **Neurological features:** * Slow reflexes * Confusion/Delirium * Peripheral neuropathy **Cardiac Features:** * Bradycardia * Cardiomegaly
496
What are some differential diagnoses for Hypothyroidism?
* **Iron deficiency anaemia:** fatigue, weakness, pallor, shortness of breath. * **Chronic fatigue syndrome:** persistent fatigue, unrefreshing sleep, cognitive impairment. * **Depression:** persistent low mood, lack of interest, feelings of guilt, sleep and appetite changes.
497
What are the investigations for Hypothyroidism?
**Thyroid Function Tests:** * Primary Hypothyroidism: * TSH - High * T3/T4 - Low * Secondary Hypothyroidism: * TSH - Low * T3/T4 - Low **Investigations for Aetiology:** * Antibody testing (Anti-TPO, Anti-thyroglobulin, Anti-TSH receptor) is used to identify autoimmune causes. * Imaging and biopsy may be used to identify congenital and infiltrative causes. * Medication review * Iodine levels can be assessed to determine whether deficiency or excess is contributing to hypothyroidism.
498
What are the antibodies found in Hashimoto's Thyroiditis?
* Anti-Thyroid Peroxidase (Anti-TPO) * Antithyroglobulin antibodies
499
What is the Management of Hypothyroidism?
**Oral Levothyroxine:** Synthetic T4 which metabolises to T3 in the body * Dose is titrated until TSH is normalised
500
What is the main complication of Hypothyroidism?
Myxoedema coma - usually infection precipitated Rapid loss of T4 **Features** * Hypothermia * Loss of consciousness * Heart failure
501
What is the treatment for Myxoedema coma?
* IV thyroid replacement * IV fluid * IV corticosteroids (until the possibility of coexisting adrenal insufficiency has been excluded) * electrolyte imbalance correction * sometimes rewarming
502
What results for TSH, T3 and T4 would you see in hyper and hypothyroidism?
Hyperthyroidism: TSH - Low (except in a pituitary adenoma) T3/T4 - High Primary Hypothyroidism: TSH - High T3/T4 - Low Secondary Hypothyroidism: TSH - Low T3/T4 - Low
503
What are the different antibodies related to Thyroid dysfunction and what conditions are they present in?
Anti-thyroid Peroxidase antibodies (Anti-TPO) - Graves disease and Hashimoto's Thyroiditis Antithyroglobulin antibodies - Graves disease, Hashimoto's Thyroiditis and thyroid cancer TSH Receptor antibodies (IgG) - Graves disease
504
What imaging techniques are useful in diagnosing thyroid conditions?
Thyroid Ultrasound for Nodules Radioisotope Scan with radioactive iodine: Diffuse high uptake - Graves disease Focal high uptake - TMG/adenoma Cold areas (low uptake) - Thyroid cancer
505
What is Hyperthyroidism?
Over production of Thyroid hormone from the thyroid gland
506
What is Thyrotoxicosis?
Abnormal/excessive quantity of thyroid hormone in the body.
507
What is Graves disease?
An autoimmune condition where TSH receptor autoantibodies stimulate the TSH-R leading to increased production of T3/T4. Most common cause of hyperthyroidism (80-90% primary cause)
508
What is Toxic Multinodular Goitre (TMG)?
Nodules develop in the thyroid gland that act independently of the normal negative feedback system and therefore result in over production of T3/T4
509
What are the main causes of Hyperthyroidism?
Grave’s disease Toxic multinodular goitre Benign Adenoma (Solitary toxic thyroid nodule) Thyroiditis (e.g. De Quervain’s, Hashimoto’s, postpartum and drug-induced thyroiditis)
510
What are the Universal features of Hyperthyroidism?
(EVERYTHING FAST) Sweating and heat intolerance Tachycardia Weight loss Fatigue Frequent loose stools Sexual dysfunction Anxiety and irritability
511
What are the unique features of Graves Disease?
Diffuse goitre (without nodules) Graves eye disease Bilateral exophthalmos Pretibial myxoedema Acropachy All relate to the presence of TSH Receptor antibodies
512
What is Exopthalmos?
bulging of eyeball out of the socket caused by Graves Disease. This is due to inflammation, swelling and hypertrophy of the tissue behind the eyeball that forces the eyeball forward.
513
What is Pretibial Myxoedema?
Deposits of mucin under the skin on the anterior aspect of the leg (the pre-tibial area). This gives a discoloured, waxy, oedematous appearance to the skin over this area. It is specific to Grave’s disease and is a reaction to the TSH receptor antibodies.
514
What are the unique features of TMG?
Goitre with firm nodules Most patients are aged over 50 Second most common cause of thyrotoxicosis (after Grave’s)
515
What is Thyroid Storm?
A rare presentation of hyperthyroidism. It is also known as “thyrotoxic crisis”. It is a more severe presentation of hyperthyroidism with pyrexia, tachycardia and delirium.
516
What is Gestational Thyrotoxicosis?
Transient form of thyrotoxicosis caused by excessive stimulation of thyroid gland by hCG. This leads to raise free T4 but low TSH. Usually limited to the first 12-16 weeks of pregnancy
517
What is Foetal Thyrotoxicosis?
Transplacental transfer of thyroid stimulating autoantibodies from mother to fetus. These autoantibodies bind to the fetal thyroid stimulating hormone (TSH) receptors and increase the secretion of the thyroid hormones.
518
What is the first line anti-thyroid drug?
Carbimazole: Prevent thyroid peroxidase enzyme coupling and iodinating tyrosine residues on thyroglobulin → reduce T3 and T4
519
What is the second line anti-thyroid drug?
Propylthiouracil (PTU): inhibits the conversion of T4 to T3
520
Why is Carbimazole preferred over PTU?
PTU has high risks of severe hepatic reactions
521
What are the various treatment options for Hyperthyroidism?
Carbimazole Propylthiouracil Radioactive iodine Beta-Blockers Surgery
522
What is the function of Radioactive iodine to treat hyperthyroidism?
Drinking a single dose of radioactive iodine. This is taken up by the thyroid gland and the emitted radiation destroys a proportion of the thyroid cells. This reduction in functioning cells results in a decrease of thyroid hormone production and thus remission from the hyperthyroidism Patients are then on Levothyroxine replacement
523
Who cannot have radioactive iodine?
Pregnant women
524
What is the function of Beta-blockers in hyperthyroidism?
Used to block the adrenaline related symptoms Typically Propranolol (non-selective) would be used
525
When would Surgery be used in treating Hyperthyroidism?
To removed toxic nodules/adenomas The patient would likely be on Levothyroxine permanently
526
What are the differences between Graves Disease and Gestational Thyrotoxicosis?
Graves Disease symptoms predate pregnancy (and are more prominent during pregnancy) N&V is greater in Gestational Thyrotoxicosis Graves disease will present with Goitres Graves disease ill have TSH-R antibodies
527
What is a key side effect of carbimazole?
Agranulocytosis Presents as a sore throat
528
What is the main complication of Hypothyroidism?
Myxoedema coma - usually infection precipitated Rapid loss of T4 Hypothermia, loss of consciousness, heart failure
529
How is Thyroid storm treated? 1st line and GS?
ABCDE and fluids to correct volume 1st Line: Using Propylthiouracil AND hydrocortisone AND propranolol GS: Thyroidectomy Can also give Hydrocortisone
530
What is the treatment for Myxoedema coma?
Levothyroxine Hydrocortisone until adrenal insufficiency has been ruled out
531
why would you not prescribe a pregnant women carbimazole?
Carbimazole is teratogenic therefore give PTU
532
What Conditions present with a smooth goitre?
Graves' disease Hashimoto's disease Drugs (e.g. lithium, amiodarone) Iodine deficiency/excess De Quervain's thyroiditis (painful) Infiltration (e.g. sarcoid, haemochromatosis
533
What conditions present with a nodular goitre?
Toxic solitary adenoma Non-functional thyroid adenoma Multinodular goitre Thyroid cyst Cancer
534
What is De Quervain's Thyroiditis?
Subacute Granulomatous thyroiditis Self limited inflammation of the thyroid often following viral infection.
535
What is the pathophysiology of De Quervain's Thyroiditis?
4 Phases: Phase 1 (3-6 weeks) Hyperthyroidism and painful goitre Phase 2 (1-3 weeks) Euthyroid - normal function Phase 3 (weeks-months) Hypothyroidism Phase 4 Thyroid structure and function return to normal
536
What is the typical presentation of De Quervain's Thyroiditis?
Neck pain (may radiate to jaw/ears) Difficulty eating Tender firm enlarged thyroid + goitre Fever Palpitations - often secondary to thyrotoxicosis
537
What are the diagnostic investigations for De Quervain's Thyroiditis?
**thyroid scintigraphy: globally reduced uptake of iodine-131** All elevated Total T4, T3, T3 resin uptake CRP elevated Often follows viral infection
538
What is the treatment for De Quervain's Thyroiditis?
Hyperthyroid Phase - NSAIDs and corticosteroids Hypothyroid Phase - No Tx usually
539
Define Infectious Mononucleosis classic triad?
**Also known as Glandular fever or "Mono"** Tthe most prevalent manifestation of Epstein-Barr virus (EBV) infection. as a classical traid of: * Sore Throat * Lymphadenopathy * Pyrexia
540
What is the Epidemiology of Infectious Mononucleosis?
* Most commonly observed among young adults in developed countries. * Exhibits no seasonal variation. * Does not show sex-based differences. * Transferred via saliva (kissing, sharing cups, toothbrushes etc)
541
What are the clinical features of Infectious Mononucleosis?
**Classical Features:** * Sore throat * Pyrexia * Lymphadenopathy **Other Features:** * malaise, anorexia, headache * palatal petechiae * **splenomegaly** * hepatitis, transient rise in ALT * lymphocytosis * haemolytic anaemia secondary to cold agglutins (IgM) * **Maculopapular, pruritic rash** develops in around 99% of patients who take ampicillin/amoxicillin whilst they have infectious mononucleosis
542
What are some differential diagnoses for Infectious Mononucleosis?
* **Streptococcal pharyngitis:** Presents with a sore throat, fever, and swollen lymph nodes. * **Influenza:** Characterized by fever, malaise, and sore throat. * **HIV seroconversion:** May present with symptoms similar to infectious mononucleosis. * **Cytomegalovirus (CMV):** Presents with similar symptoms, often with more prominent hepatosplenomegaly.
543
What are the investigations for Infectious Mononucleosis?
**Full Blood Count (FBC):** Typically shows elevated lymphocytes. **Monospot test (heterophile antibodies):** * This should be conducted in the 2nd week of illness. (Can be negative if undertaken early in the infection (first 2–6 weeks)) * If the result is negative, retesting should occur in 5-7 days. **EBV viral serology:** * Can be utilized if the patient is under 12, immunocompromised, * When the Monospot test continues to yield negative results despite high clinical suspicion. **Abdominal ultrasound:** Required if assessment of splenomegaly is necessary. **HIV Test:** Remember that a glandular fever-like presentation occurs in acute HIV
544
What is the Management for Infectious Mononucleosis?
**Usually a self limiting disease where the acute illness lasts around 2-3 weeks** * Rest during the early stages, drink plenty of fluid, avoid alcohol * Analgesia to manage pain * Antibiotics: Ampicillin and Amoxicillin should be avoided as they can trigger an itchy maculopapular rash * Contact sports should be avoided for 3 weeks to prevent splenic rupture
545
What may occur if a patient takes amoxicillin or ampicillin and has Infectiouos Mononucleosis?
An intensely itchy maculopapular rash
546
What are some complications for Infectious Mononucleosis?
* Splenic rupture * Glomerulonephritis * Haemolytic anaemia * Thrombocytopenia * Chronic fatigue * Rarely EBV infection can cause **Hemophagocytic lymphohistocytosis (HLH)** **EBV infection is associated with Burkitt's Lymphoma**
547
What is the definition of Influenza?
Influenza or 'flu' is a **single-stranded RNA virus** and is the **most common cause of viral pneumonia** in immunocompetent adults.
548
What are the different pathogenic serotypes of Influenza?
* **Influenza A** – capable of causing pandemics and epidemics; no animal reservoir * **Influenza B** –capable of epidemics only, animal hosts include pigs and birds * **Influenza C** – only found in cattle The influenza serotype is determined by surface antigens haemagglutinin and neuraminidase, which are rearranged in host organisms such as birds and animals to produce different strains.
549
How is Influenza transmitted?
The influenza virus is highly contagious and transmitted via respiratory secretions.
550
What is the incubation period for the influenza virus?
The incubation period is typically **1–4 days**
551
How long do patients with Influenza remain infectious for?
Patients can remain infectious for **7–21 days**
552
What is the clinical presentation of Influenza?
* Fever ≥ 37.8°C * Nonproductive (dry) cough * Myalgia * Lethargy and Fatigue * Headache * Malaise * Sore throat * Rhinitis * Anorexia * Muscle and joint aches
553
How can you differentiate between Flu and the common cold?
* Flu tends to have an **abrupt onset**, * Whereas a common cold has a more gradual onset. * **Fever** is a typical feature of the flu but is rare with a common cold. * Finally, people with the flu are **“wiped out”** with **muscle aches and lethargy**. * Whereas people with a cold can usually continue many activities.
554
What investigations can be done for Influenza?
* **Rapid Polymerase Chain Reaction (PCR) Test** - Is now first line and can confirm the diagnosis. Nasal or Throat swabs are used to get a sample. * **Point of Care Tests** - Using swabs, detects viral antigens and can give a rapid result. However, they are not as sensitive as formal lab tests and do not give information about the subtypes.
555
What is the management of Influenza?
* Healthy patients (who aren't at risk of complications) don't need treatment. The **infection will resolve with self-care measures** (such as adequate fluid intake and rest). **Treatment for patients at risk of complications**: * Oral oseltamivir (twice daily for 5 days) * Inhaled zanamivir (twice daily for 5 days) **Post-Exposure Prophylaxis** * Can be given to patients who meet specific criteria after exposure to someone with the flu. * Oral oseltamivir 75mg once daily for 10 days * Inhaled zanamivir 10mg once daily for 10 days
556
What is the criteria for people to recieve Post-Exposure Prophylaxis for Influenza?
* It is **started within 48 hours** of close contact with influenza * **Increased risk** (e.g., chronic disease or immunosuppression) * **Not protected by vaccination** (e.g., it has been less than 14 days since they were vaccinated)
557
What are the possible complications of Influenza?
* **Pulmonary** Viral pneumonia, secondary bacterial pneumonia (particularly S. aureus) , worsening of chronic conditions (eg. COPD and asthma) * **Cardiovascular** Myocarditis, heart failure * **Neurological** encephalopathy * **Gastrointestinal** Anorexia and vomiting are common
558
Who is entitled to a free Influenza vaccine on the NHS?
Those at **higher risk of developing flu or flu-related complications**: * Aged 65 and over * Young children * Pregnant women * Chronic health conditions, such as asthma, COPD, heart failure and diabetes * Healthcare workers and carers
559
What is the definition of Irritable Bowel Syndrome (IBS)?
Irritable Bowel Syndrome (IBS) is a common, **chronic gastrointestinal disorder** characterized by abdominal pain or discomfort associated with altered bowel habits, **without any identifiable structural or biochemical abnormalities**.
560
What is the epidemiology of IBS?
* It occurs in up to 20% of the population. * Affects **women** more than men * More common in **younger adults**.
561
What causes IBS?
The precise cause of IBS remains unknown. It is considered a **multifactorial condition** potentially involving: * Genetic predisposition * Altered gut microbiota * Low-grade inflammation * Abnormalities in the gut-brain axis.
562
What is the clinical presentation of IBS?
The Manning criteria for diagnosis of IBS includes: **At least 6 months of:** * Abdominal discomfort or pain * Relieved by defecation** OR * Associated with altered bowel frequency or stool form **PLUS two or more of the following:** * Altered stool passage (e.g., straining or urgency) * Abdominal bloating * Symptoms worsened by eating * Passage of mucus Additional symptoms such as lethargy, nausea, backache, and bladder symptoms may also be present. Physical examination typically reveals no abnormalities.
563
What are the Red Flag features that should be enquired about when suspecting IBS?
* Rectal bleeding * Unexplained/unintentional weight loss * Family history of bowel or ovarian cancer * Onset after 60 years of age
564
What can the symptoms of IBS be worsened by?
* Anxiety * Depression * Stress * Sleep disturbance * Illness * Medications * Certain foods * Caffeine * Alcohol
565
What are some differentials for IBS?
* **Inflammatory Bowel Disease (IBD)** Symptoms may include bloody diarrhea, weight loss, and fever. * **Coeliac Disease** Symptoms may include diarrohea, weight loss, and anemia. * **Colorectal Cancer** Symptoms may include rectal bleeding, weight loss, and changes in bowel habits.
566
What investigations are done for IBS?
The following investigations are often performed to rule out other organic diseases: * **Full blood count** for anaemia * **Inflammatory markers** (e.g., ESR and CRP) * **Coeliac serology** (e.g., anti-TTG antibodies) * **Faecal calprotectin** for inflammatory bowel disease * **CA125** for ovarian cancer
567
What does the management of IBS involve?
1st Line is **Lifestyle Advice** including: * Drinking enough fluids * Regular small meals * Adjusting fibre intake according to symptoms (more fibre if predominantly constipated, less with diarrhoea/bloating) * Limit caffeine, alcohol and fatty foods * Low FODMAP diet, guided by a dietician * Probiotic supplements may be considered over-the-counter (discontinuing after 12 weeks if there is no benefit) * Reduce stress where possible * Regular exercise 1st Line **Pharmocological options** (depends on symptoms) * pain: antispasmodic agents * constipation: laxatives but avoid lactulose * diarrhoea: loperamide is first-line Low dose TCAs are second line
568
What is the definition of Lyme Disease?
* Lyme disease is an infectious condition caused by the **spirochaete Borrelia burgdorferi** * Its transmitted via the bite of **Ixodes ticks** predominantly found in wooded areas.
569
What is the epidemiology of Lyme Disease?
Most cases originate from northeastern regions of the USA and northern-eastern Europe.
570
What causes Lyme Disease?
* Lyme disease is caused by **transmission of Borrelia burgdorferi via the bite of an infected Ixodes tick**. * The diverse clinical manifestations of the disease are attributed to the variety of Borrelia species and the host immune response to the infection.
571
What is the clinical presentation of Lyme Disease?
**Early Localized Stage (3-30 days after tick bite)** * Erythema migrans (EM): Bullseye-shaped rash at the site of the tick bite * Flu Like Symptoms (Fever, chills, headache, arthralgia) **Early Disseminated Stage (Weeks to months after bite)** * Multiple EM Rashes: May appear on other parts of the body as the infection spreads. * Neurological Symptoms: Facial Palsy * Cardiac issues: carditis * MSK Pain: Migratory joint pain **Late Disseminated Stage (Months to years after bite)** * Chronic Join Issues: Lyme arthritis * Neurological Complications: Neuropathy * Chronic Fatigue
572
What are the differentials for Lyme Disease?
**Other spirochaetal infections**: * **Borrelia recurrentis** Typically presents with recurring fever episodes * **Leptospirosis (Weil's disease)** Presents with jaundice, renal failure, and hemorrhage * **Treponema infections (syphilis, yaws, and pinta)** Present with distinct skin lesions and systemic symptoms **Other tick-borne diseases**: * **Rickettsia** (Rocky Mountain spotted fever or tick typhus) Presents with fever, headache, and a characteristic rash * **Babesiosis** Presents with fever, fatigue, and hemolytic anemia * **Tularaemia** Presents with ulcerative skin lesions and lymphadenopathy * **Tick-borne relapsing fever** (Caused by other Borrelia species) presents with recurring fever episodes * **Human monocytic ehrlichiosis and human granulocytic anaplasmosis** Present with non-specific flu-like symptoms * **Q fever** Presents with high fever, severe headache, and pneumonia
573
What investigations are done to diagnose Lyme Disease?
**If typical Erythema Migrans (target rash) is present, antibody testing is not nescesary for diagnosis** **Fist line is ELISA testing for Abs against borrelia burgdorfori** * If initial tests are negative but symptoms persist, retesting 3-4 weeks later is recommended * In cases presenting with **arthritis**, a **synovial fluid sample may be obtained for PCR Borrelia DNA testing**.
574
What is the management of Lyme Disease?
* Ensure complete removal of tick and monitor bite area for signs of infection (if asymptomatic, no antibiotics are required) **Antibiotic Management**: * **Oral Doxycycline for 3 weeks** 1st line for early disease * Oral Amoxicillin (if patient is pregnant) * **IV Ceftriaxone** in disseminated disease
575
What is a Jarisch-Herxheimer reaction?
* It is reaction that can develop within the **first 24 hours of treatment** with any antibiotic for Lyme disease. * It is a **systemic reaction** thought to be caused by the release of cytokines when antibiotics kill large numbers of bacteria, resulting in **worsening of fever, chills, muscle pains and headache**. * Its often mistaken for an allergic reaction, however if there are no features of anaphylaxis/allergy then the antibiotics can be continued. * There is usually complete **resolution within 48 hours**.
576
What is the definition of Measles?
* Measles is a highly contagious disease caused by the Measles morbillivirus. * It is transmitted via droplets from the nose, mouth, or throat of infected persons.
577
What is the epidemiology of Measles?
* It is most common in unvaccinated children * It is still prevalent in areas with low vaccination rates and can cause large outbreaks.
578
What causes Measles?
* Measles is caused by the **Measles morbillivirus (a paramyxovirus)**, which is a single-stranded, enveloped RNA virus. * The virus is **transmitted by respiratory droplets or by direct contact with nasal or throat secretions** of infected individuals.
579
What is the clinical presentation of Measles? Prodrome?
**Prodrome** * High fever above 40 degrees Celsius * Coryzal symptoms * Conjunctivitis **Other** * A rash appearing 2-5 days after onset of symptoms * **Koplik spots**: small grey discolourations of the mucosal membranes in the mouth, appearing 1-3 days after symptoms begin during the prodrome phase of infection. **These are pathognomonic for measles**. Symptoms usually develop 10-14 days post-exposure and last for 7-10 days.
580
What are some differentials for Measles?
* **Rubella** Similar to measles but often milder. The rash typically begins on the face and spreads to the rest of the body. Enlarged lymph nodes, particularly behind the ears and at the back of the skull, are common. * **Roseola** Characterized by a sudden high fever followed by a rash once the fever subsides. The rash usually starts on the chest, back, and abdomen, spreading to the neck and arms. * **Scarlet Fever** Presents with a characteristic sandpaper-like rash, a high fever, and a sore throat. The tongue may also become red and bumpy, giving it a 'strawberry' appearance.
581
What investigations are done for Measles?
* 1st: **Measles-specific IgM and IgG serology** (ELISA), most sensitive 3-14 days after onset of the rash. * 2nd: **Measles RNA detection by PCR**, best for swabs taken 1-3 days after rash onset.
582
What does the management of Measles involve?
Management of measles involves: * Supportive care, usually involving antipyretics. * Vitamin A administration for all children under 2 years. * Ribavirin may reduce the duration of symptoms but is not routinely recommended due to the potential side effects.
583
What are some complications that may arise as a result of measles?
* Acute otitis media * Bronchopneumonia * Encephalitis
584
What is the definition of Mumps?
* Mumps is a viral infection caused by a paramyxovirus and spread by respiratory droplets. * Mumps is usually a self limiting condition that lasts around 1 week.
585
What is the incubation period of Mumps?
14 – 25 days
586
What is the epidemiology of Mumps?
Its prevalence has decreased considerably due to the introduction of the MMR vaccine in the 1980s, but there have been a number of outbreaks in unvaccinated/partially vaccinated groups (mostly men over 19 years at University)
587
What are some risk factors for Mumps?
* Vaccination status (**unvaccinated**) * International travel * Exposure to a known case or outbreak.
588
What is the clinical presentation of Mumps?
Patients experience **generalised symptoms** like: * Fever * Muscle aches * Lethargy * Reduced appetite * Headache * Dry mouth Alongside the following organ involvement: * **Parotitis** The parotid glands are **almost always affected**, usually bilaterally (though can be unilateral). Swelling can be severe enough to prevent the mouth from being opened and usually lasts 3-4 days. * **Epididymo-orchitis** Presents as severely painful swelling of one or both testicles and/or backache. It usually develops 4-5 days after onset of parotitis. * **Aseptic meningitis** Is relatively common, but tends to be mild and self limiting * **Encephalitis** Rare complication presenting as headache, vomiting, seizures, unconsciousness. * **Deafness** Mumps can be a cause of acute or insidious sensorineural hearing loss (usually unilateral) in children.
589
How is Mumps investigated?
* Need laboratory confirmation using **oral fluid sample (salivary IgM)** to confirm a diagnosis * Can use serum serology (IgM or IgG) * High-resolution **ultrasound** can differentiate orchitis from torsion.
590
What does the management of Mumps involve?
* **Supportive, symptomatic treatment** only: fluids, analgesia, antipyretics * The disease is usually benign and self-limiting. Although Mumps encephalitis has a fatality of 1.5%. * Patients should be **isolated to prevent transmission** (usually until 5 days after onset of parotitis) * Mumps is a **notifiable disease**, meaning you need to **notify public health** of any suspected and confirmed cases.
591
What are some differentials for Mumps?
* **Infection** STI, Mumps, TB, brucellosis * **Trauma** * **Torsion** * **Malignancy** Usually painless, or gradual onset of pain. * **Vasculitis** PAN, Henoch-Schonlein Purpura
592
How is Obesity classified?
**Underweight** < 18.49 **Normal** 18.5 - 25 **Overweight** 25 - 30 **Obese class 1** 30 - 35 **Obese class 2** 35 - 40 **Obese class 3** > 40
593
What does the management of Obesity involve?
The management of obesity consists of a step-wise approach: * 1st Line - **conservative Management** including a healthy diet and more exercise **Pharmacological management**: * **Orlistat** - is a pancreatic lipase inhibitor. * **Liraglutide** - is a glucagon-like peptide-1 (GLP-1) mimetic that is used in the management of type 2 diabetes mellitus (T2DM) **Surgical Management** * Bariatric Surgery
594
What are the side effects of Orlistat?
* Faecal urgency/incontinence * Flatulence * fatty or oily poo * Oily discharge from the rectum
595
When is Orlistat indicated for use in the management of Obesity?
It should only be prescribed as part of an overall plan for managing obesity in adults who have: * BMI of 28 kg/m2 or more with associated risk factors (e.g. hypertension or T2DM), or * BMI of 30 kg/m2 or more * Continued weight loss e.g. 5% at 3 months Orlistat is usually **only used for less than a year**
596
When is Liralutide used in the management of Obesity?
* BMI of 35 or more * BMI of 32.5 or more (if patient is of south Asian, Chinese, Black African or African-Caribbean origin) * Non-diabetic hyperglycaemia * At high risk of heart problems such as heart attacks and strokes, for example because you have high blood pressure (hypertension) or high cholesterol
597
When is Bariatric surgery used in the management of obesity?
* BMI of 40 or more, or * BMI of between 35 and 40 and another health condition that could be improved with weight loss, such as type 2 diabetes or high blood pressure. * When all appropriate non-surgical measures have been tried, but the person hasn't achieved or maintained adequate, clinically beneficial weight loss * The person is fit enough to have anaesthesia and surgery * The person has been receiving, or will receive, intensive management as part of their treatment.
598
What is the definition of Osteoarthritis?
Osteoarthritis is a **chronic, degenerative joint disease** involving the breakdown and eventual **loss of the articular cartilage** in synovial joints.
599
What is the epidemiology of Osteoarthritis?
* It is the most common form of arthritis * Its associated with ageing * More common in Females
600
What are the risk factors for osteoarthritis?
* Increased **Age** * **Female** * **Obesity** * Previous joint injury (history of trauma) * Overuse of the joint * Genetics (family history) * Bone deformities
601
What is the pathophysiology of Osteoarthritis?
* Cartilage Breakdown: Loss of joint cushioning. * Joint Narrowing: Bones get closer, increasing friction. * Bone Spurs: Painful bone growths form. **Osteophytes** * Inflammation: Swelling of joint lining. * Muscle Weakness: Weak muscles worsen joint instability. * Chronic Pain & Stiffness: Ongoing damage limits movement
602
What joints are commonly affected by Osteoarthritis?
* Hips * Knees * Distal interphalangeal (DIP) joints in the hands * Carpometacarpal (CMC) joint at the base of the thumb * Lumbar spine * Cervical spine (cervical spondylosis)
603
What is the presentation of Osteoarthritis?
* **Joint pain and stiffness** that is **worsened by activity** and tends to be worse at the end of the day. * No morning stiffness or **morning stiffness that lasts less than 30 mins** * Bulky, bony enlargement of the joint * Restricted range of motion * Crepitus on movement * Effusions (fluid) around the joint
604
What are some signs of osteoarthritis in the hands?
* **Heberden’s nodes** (in the **DIP** joints) * **Bouchard’s nodes** (in the **PIP** joints) * Squaring at the base of the thumb (CMC joint) * Weak grip * Reduced range of motion
605
What are some differentials for Osteoarthritis?
* **Rheumatoid arthritis** Involves pain, swelling, and stiffness in multiple joints, often symmetrically. It is often accompanied by systemic symptoms like fever and fatigue. * **Gout** Known for sudden, severe attacks of pain, swelling, redness, and warmth in a joint, usually the big toe. * **Lyme disease** May present with joint pain and stiffness along with other symptoms like fever, fatigue, and skin rash. * **Psoriatic arthritis** Presents with joint pain, stiffness, and swelling, and is usually accompanied by psoriasis skin lesions.
606
How is Osteoartrhitis diagnosed?
A diagnosis can be made without investigations if the patient is: * **Over 45** * Has typical **pain associated with activity** and * Has **no morning stiffness** (or stiffness lasting **under 30 minutes**). Although imaging is used to confirm the diagnosis: * **X-Ray** (1st Line imaging) * MRI (shows more detailed view of the joint and reveal changes in the early stages of the disease)
607
What are the X-Ray changes seen in Osteoarthritis?
**LOSS**: * **L** – Loss of joint space * **O** – Osteophytes (bone spurs) * **S** – Subarticular sclerosis (increased density of the bone along the joint line) * **S** – Subchondral cysts (fluid-filled holes in the bone)
608
What is the management of osteoarthritis?
**Non-Pharmacological** * Therapeutic exercise to improve strength and function and reduce pain * Weight loss if overweight, to reduce the load on the joint * Occupational therapy to support activities and function (e.g., walking aids and adaptations to the home) **Pharmacological** * **Topical NSAIDs** (first-line for knee osteoarthritis) * **Oral NSAIDs** (co-prescribed with a **proton pump inhibitor** for gastroprotection) * Weak opiates and paracetamol are only recommended for short-term, infrequent use. NICE recommend against using any strong opiates for osteoarthritis. * **Intra-articular steroid injections** may temporarily improve symptoms (usually up to 10 weeks) **Surgical** * **Joint replacement** may be used in severe cases. The hips and knees are the most commonly replaced joints.
609
What are the side effects of NSAIDs?
NSAIDs (like ibuprofen and naproxen) are very effective for musculoskeletal pain. However, they must be used cautiously, particularly in older patients and those on anticoagulants. Side effects include: * **Gastrointestinal side effects** Such as gastritis and peptic ulcers (leading to upper gastrointestinal bleeding) * **Renal side effects** Such as acute kidney injury (e.g., acute tubular necrosis) and chronic kidney disease * **Cardiovascular side effects** Such as hypertension, heart failure, myocardial infarction and stroke * **Exacerbating asthma**
610
What is the definition of Osteoporosis?
* Osteoporosis is a **systemic skeletal disease** characterized by **reduced bone mass and altered microarchitecture of the bone tissue**. * It leads to increased bone fragility and a consequent increase in fracture risk. * It is typically defined by a **DEXA scan T-score of -2.5 or lower (Bone mineral density)**.
611
What is the definition of Osteopenia?
* Osteopenia is a **precursor to Osteoporosis**. * Its defined as a Bone mineral density (**T-Score**) of **-1 to -2.5**.
612
What is the definition of Osteomalacia?
Osteomalacia is defined as **poor bone mineralisation**; leading to soft bones due to a lack of calcium.
613
What is a T-Score?
* The T-Score is T-score is the number of standard deviations the patient's **bone mineral density** is from an average healthy young adult. * Its measured by a DEXA Scan at the Femoral Neck
614
What are the risk factors for Osteoporosis?
**SHATTERED**: * **S** – Steroid use and Smoking * **H** – Hyperthyroidism, hyperparathyroidism * **A** – Alcohol * **T** – Thin (BMI < 22) * **T** – Testosterone deficiency * **E** – Early menopause * **R** – Renal/liver failure * **E** – Erosive/inflammatory bone disease * **D** – Diabetes * FAMILY HISTORY
615
What is the epidemiology of Osteoporosis?
* Osteoporosis primarily affects **postmenopausal women and elderly men**. * But it is more common in postmenopausal women compared to elderly men.
616
What is the pathophysiology of Osteoporosis?
Bone Mineral Density and Bone mass is reduced however the mineralisatoin of bone is unchanged in Osteoporosis. **Bone remodelling imbalance** * Increased bone resorption from osteoclasts * Reduced bone formation by osteoblasts * Reduction in both bone mineral density and matrix density reducing bone mass. **Bones Brittle and Fragile** * Reduced bone density and mass * Causes brittle and fragile bones **Increased fracture risk**
617
What is the presentation of Osteoporosis?
It is usually **asymptomatic until a fracture occurs** But some clinical features include: * Back pain, caused by a fractured or collapsed vertebra * Loss of height over time * A stooped posture * A bone fracture that occurs much more easily than expected
618
What are some of the common places for an Osteoporotic fracture to occur?
* **Hip** - Femoral Neck Fracture (when someone falls on their side or back) * **Wrist** - Fracture of the distal radius (Collins/Smith fracture) after falling on an outstretched arm. * **Vertebrae** - Causes sudden onset severe back pain, often radiating to the front.
619
What are the differentials for Osteoporosis?
* **Metabolic bone diseases** Such as osteomalacia and hyperparathyroidism, which can present similarly with low bone mass and increased fracture risk. * **Malignancies** Like multiple myeloma or metastatic disease, which can lead to pathologic fractures similar to those seen in osteoporosis. * **Secondary causes of osteoporosis** Such as Cushing's syndrome, hyperthyroidism, and certain medications (e.g., glucocorticoids, anticonvulsants).
620
How is Osteoporosis diagnosed?
**DEXA Scan**: * with a T-Score of -2.5 is diagnostic for osteoporosis * Stands for Dual Energy X-Ray Absorbtiometry * It measures a patient's Bone mineral density at the femoral neck. **Other investigations** include: * X-rays for suspected fractures * MRI of the spine to assess vertebral fractures * Blood tests to exclude metabolic bone diseases and assess vitamin D, calcium, and hormone levels.
621
What is FRAX Score?
The FRAX (Fracture Risk Assessment Tool) score is used to estimate the **10-year probability of a major osteoporotic fracture**. Interpretation of FRAX scores: * **Normal**: 10-year probability < 10% * **Osteopenia**: 10-year probability 10-20% * **Osteoporosis**: 10-year probability >20%
622
What is the management of Osteoporosis?
**Non-Pharmacological**: * Reducing risk factors, such as quitting smoking and improving diabetic control, maintain healthy weight. * Ensuring adequate intake of vitamin D, calcium, and protein * Regular weight-bearing exercise * Use of hip protectors in nursing home patients **Pharmacological**: **Bisphosphonates** are the 1st line treatment for osteoporosis. Example regimes include: * **Alendronate** 70 mg once weekly (oral) * **Risedronate** 35 mg once weekly (oral) * **Zoledronic acid** 5 mg once yearly (intravenous) Other options (for when bisphosphonates aren't suitable): * **Denosumab** (a monoclonal antibody that targets osteoclasts) * **Romosozumab** (a monoclonal antibody that targets sclerostin – a protein in osteocytes that inhibits bone formation) * **Teriparatide** (acts as parathyroid hormone) * **Hormone replacement therapy** (particularly in women with early menopause) * **Raloxifene** (a selective oestrogen receptor modulator) * **Strontium ranelate** (a similar element to calcium that stimulates osteoblasts and blocks osteoclasts)
623
How do Bisphosphonates need to be taken?
Oral bisphosphonates should be: * Taken on an **empty stomach** with a **full glass of water**. * Afterwards, the patient should **sit upright for 30 minutes** before moving or eating to reduce the risk of reflux and oesophageal erosions.
624
What are the side effects of bisphosphonates?
* **Reflux and oesophageal erosions** * Atypical fractures (e.g., atypical femoral fractures) * Osteonecrosis of the jaw (regular dental checkups are recommended before and during treatment) * Osteonecrosis of the external auditory canal
625
What are the possible side effects of Strontium Ranelate?
Increased risk of: * **Venous thromboembolism** * **Myocardial infarction**
626
What is the definition of Otitis Externa?
* Otitis externa is **inflammation of the skin in the external ear canal** (external auditory meatus). * It's sometimes called **“swimmers ear”**, as exposure to water whilst swimming can lead to inflammation in the ear canal. * Its a common cause of otalgia (ear pain)
627
What can cause Otitis Externa?
* infection: bacterial (Staphylococcus aureus, Pseudomonas aeruginosa) or fungal * seborrhoeic dermatitis * contact dermatitis (allergic and irritant) * recent swimming is a common trigger of otitis externa
628
What are the most common causative organisms of Otitis Externa?
* Pseudomonas aeruginosa * Staphylococcus aureus
629
What is the clinical presentation of Otitis Externa?
* Ear pain * Discharge * Itchiness * Conductive hearing loss (if the ear becomes blocked) **Examination can show:** * Erythema and swelling in the ear canal * Tenderness of the ear canal * Pus or discharge in the ear canal * Lymphadenopathy (swollen lymph nodes) in the neck or around the ear
630
What are the differentials for Otitis Externa?
* **Otitis media**: Characterised by middle ear pain, fever, hearing loss and sometimes discharge. * **Furunculosis**: Presents with localised pain, swelling and redness, and occasionally fever. * **Eczema**: Features include itching, redness, and scaling of the skin.
631
How is Otitis Externa diagnosed?
* The diagnosis can be made **clinically with an examination of the ear canal** (otoscopy). * An ear swab can be used to identify the causative organism but is not usually required.
632
What is the management of Otitis Externa?
**Mild Otitis Externa** * Acetic acid 2% (drops in the ear) - Has both antifungal and antibacterial effect * Patients should keep their ear dry for 7-10 days **Moderate Otitis Externa** Is treated with topical antibiotics and steroids: * **Neomycin, dexamethasone and acetic acid** (e.g., **Otomize spray**) - is most common * Neomycin and betamethasone * Gentamicin and hydrocortisone * Ciprofloxacin and dexamethasone * Fungal infections can be treated with clotrimazole ear drops. **Severe Otitis Externa** * Oral antibiotics (**flucloxacillin** or **clarithromycin**) * IV antibiotics in very severe cases * An **Ear Wick** can be used if the if the canal is very swollen, and treatment with ear drops or sprays will be difficult. They contain antibiotics and steroids and are left in place for a prolonged period (e.g. 48 hours).
633
What do we need to make sure of when perscribing Aminoglycosides (gentamicin and neomycin) for Otitis Externa?
* It is essential to exclude a **perforated tympanic membrane** before using topical aminoglycosides in the ear. * This is because aminoglycosides are potentially **Ototoxic** (causing hearing loss) if they get past the tympanic membrane.
634
What is Malignant Otitis Externa?
* It is a severe and potentially life-threatening form of otitis externa. * It is when the **infection spreads to the bones surrounding the ear canal and skull**. * It progresses to **osteomyelitis of the temporal bone** of the skull.
635
How can Malignant Otitis Externa Occur?
Found in **immunocompromised individuals or diabetics (90%)** * Most commonly caused by **pseudomonas aeruginosa**
636
What is the clinical presentation of Malignant Otitis Externa?
* Diabetes (90%) or immunosuppression (illness or treatment-related) * Severe, unrelenting, deep-seated otalgia * Temporal headaches * Purulent otorrhea * Possibly dysphagia, hoarseness, and/or facial nerve dysfunction
637
What does the Diagnosis and Management of Malignant Otitis Externa involve?
**Diagnosis:** * **Granulation tissue** at the **junction between the bone and cartilage in the ear canal** (about halfway along) is a key finding of malignant otitis externa. * Diagnosis is typically made with a **CT Scan** **Management:** * Urgent referral to ENT * IV antibiotics (covering for pseudomonas): **Ciprofloxacin**
638
What are the possible complications Malignant Otitis Externa?
* Facial nerve damage and palsy * Other cranial nerve involvement (e.g., glossopharyngeal, vagus or accessory nerves) * Meningitis * Intracranial thrombosis * Death
639
What is the definition of Otitis Media?
* Otitis media is an **infection-induced inflammation of the middle ear**. * Frequently occurring after a viral upper respiratory tract infection.
640
What causes Otitis Media?
* It is primarily caused by a **bacterial infection** * The bacteria are able to enter the middle ear **through the eustachian tube from the back of the throat**. This is why otitis media is usually preceeded by an Upper Respiratory Tract infection.
641
What is the epidemiology of Otitis Media?
Predominantly affects young children
642
What is the most common bacterial cause of Otitis Media?
**Streptococcus pneumoniae** Other causes include: * Haemophilus influenzae * Moraxella catarrhalis * Staphylococcus aureus
643
What is the clinical presentation of Otitis Media?
* **Rapid onset of deep-seated ear pain** * **Reduced hearing** in the affected ear * Systemic symptoms, e.g. fever, irritability, anorexia, vomiting * Symptoms of an upper airway infection such as cough, coryzal symptoms and sore throat * When the infection affects the vestibular system, it can cause **balance issues and vertigo**. * When the tympanic membrane has perforated, there may be **discharge from the ear**. (After this, there will be a reduction of pain)
644
What is the presentation of Benign chronic otitis media?
A dry tympanic membrane perforation without chronic infection
645
What is the presentation of Chronic otitis media with effusion?
Also known as "Glue Ear". It presents with persistent pain lasting weeks after the initial episode with an abnormal-looking drum and reduced membrane mobility.
646
What is the clinical presentation of Chronic suppurative otitis media?
CSOM is defined as perforation of the tympanic membrane with purulent otorrhoea for > 6 weeks hearing loss labyrinthitis
647
What does a normal looking tympanic membrane look like under otoscope?
* **“pearly-grey”, translucent and slightly shiny**. * You should be able to visualise the malleus through the membrane. * Look for a cone of light reflecting the light of the otoscope.
648
What does the tympanic membrane look like in otitis media?
* Otitis media will give a **bulging, red, inflamed looking membrane**. * When there is a perforation, you may see discharge in the ear canal and a hole in the tympanic membrane.
649
What are the differentials for otitis media?
* **Otitis externa** Characterized by pain exacerbated by tugging of the auricle, accompanied by otorrhea and possible hearing loss * **Mastoiditis** Presenting with postauricular pain, erythema, and swelling, as well as protrusion of the ear * **Temporomandibular joint disorder** Characterized by jaw pain, difficulty in opening the mouth, and clicking or popping sounds during jaw movement
650
How is otitis media diagnosed?
Diagnosis of otitis media is **primarily clinical**, based on history and physical examination, notably the appearance of the tympanic membrane (with an **Otoscope**).
651
What does the management of Otitis media involve?
* Most cases will **resolve without antibiotics** within around **three days**, sometimes up to a week. * Simple analgesia (e.g., paracetamol or ibuprofen) can be used for pain and fever. * A **delayed prescription** of antibiotics can be given after three days if symptoms have not improved or have worsened at any time * Consider **Immediate antibiotics** in patients who have significant co-morbidities, are systemically unwell or are immunocompromised. Antibiotic options include: * **Amoxicillin for 5-7 days** first-line * Clarithromycin (in pencillin allergy) * Erythromycin (in pregnant women allergic to penicillin)
652
What are the possible complications of otitis media?
* Otitis media with effusion * **Hearing loss** (usually temporary) * **Perforated tympanic membrane** (with pain, reduced hearing and discharge) * Labyrinthitis (causing dizziness or vertigo) * Mastoiditis (rare) * Abscess (rare) * Facial nerve palsy (rare) * Meningitis (rare)
653
What is the definition of Pelvic Inflammatory Disease (PID)?
Pelvic inflammatory disease is **inflammation and infection of the organs of the pelvis**, caused by **infection spreading up through the cervix**. The terms for the individual affected organs include: * **Endometritis** - inflammation of the endometrium * **Salpingitis** - inflammation of the fallopian tubes * **Oophoritis** - inflammation of the ovaries * **Parametritis** - inflammation of the parametrium, which is the connective tissue around the uterus * **Peritonitis** - inflammation of the peritoneal membrane
654
What causes Pelvic Inflammatory disease?
Most cases of pelvic inflammatory disease are caused by one of the **sexually transmitted** pelvic infections: * **Neisseria gonorrhoeae** (tends to produce more severe PID) * **Chlamydia trachomatis** * Mycoplasma genitalium However less commonly, PID be caused by non-sexually transmitted infections, such as: * Gardnerella vaginalis (associated with bacterial vaginosis) * Haemophilus influenzae (associated with respiratory infections) * Escherichia coli (associated with urinary tract infections)
655
What are the risk factors for PID?
(The same as any other sexually transmitted infection): * Not using barrier contraception * Multiple sexual partners * Younger age * Existing sexually transmitted infections * Previous pelvic inflammatory disease * Intrauterine device (e.g. copper coil)
656
What is the presentation of PID?
* Pelvic or lower abdominal pain * Abnormal vaginal discharge * Abnormal bleeding (intermenstrual or postcoital) * Dyspareunia * Fever * Dysuria **On Bi-manual examination:** * Adnexal tenderness * Cervical motion tenderness upon bi-manual examination **Right upper quadrant pain (Fitz-Hugh-Curtis Syndrome)**
657
What is Fitz-Hugh-Curtis syndrome?
* It's a complication of pelvic inflammatory disease where there is **inflammation and infection of the liver capsule** (Glisson’s capsule), leading to **adhesions** between the liver and peritoneum. * It presents with **right upper quadrant pain** that can be **referred to the right shoulder tip** if there is diaphragmatic irritation. * Laparoscopy can be used to visualise and also treat the adhesions by adhesiolysis.
658
What are some differentials for PID?
* **Appendicitis** Presents with right lower quadrant abdominal pain, fever, nausea, and vomiting. * **Ectopic Pregnancy** Symptoms may include unilateral lower abdominal pain and vaginal bleeding. A positive pregnancy test is a key distinguishing factor. * **Endometriosis** Chronic pelvic pain, dysmenorrhea, and dyspareunia are common. Pain typically worsens during menstruation. * **Ovarian Cyst** Symptoms can include unilateral lower abdominal pain, bloating, and a palpable mass on examination. * **Urinary Tract Infection** Symptoms usually include dysuria, frequency, urgency, suprapubic pain, and possible fever.
659
What investigations are done for a PID?
**STI Screen** * NAAT swabs for gonorrhoea and chlamydia * NAAT swabs for Mycoplasma genitalium if available * HIV test * Syphilis test **A high vaginal swab**can be used to look for bacterial vaginosis, candidiasis and trichomoniasis. A microscope can be used to look for **pus cells on swabs from the vagina or endocervix**. The absence of pus cells is useful for excluding PID. A **pregnancy test** should be performed on sexually active women presenting with lower abdominal pain to exclude an ectopic pregnancy. **Inflammatory markers** (CRP and ESR) are raised in PID and can help support the diagnosis.
660
What is the management of PID?
Management involves a **combination of antibiotics** managed in an outpatient setting. A common regime includes: * A single dose of **intramuscular ceftriaxone** 1g (to cover gonorrhoea) * **Doxycycline** 100mg twice daily for 14 days (to cover chlamydia and Mycoplasma genitalium) * **Metronidazole** 400mg twice daily for 14 days (to cover anaerobes such as Gardnerella vaginalis) **Empirical treatment** for PID is often initiated in **sexually active young women** presenting with bilateral lower abdominal pain and adnexal tenderness due to the substantial number of women with PID that remain undiagnosed. Analgesia may also be required In severe cases of PID, admission to hospital may be required for IV antibiotics.
661
What are the possible complications of PID?
* Chronic pelvic pain (in around 40% of cases) * Infertility (approximately 15%) * Ectopic pregnancy (about 1%) * Sepsis * Pelvic Abscess * Fitz-Hugh-Curtis syndrome
662
What is the definition of Peripheral Arterial Disease (PAD)?
* (Also known as **peripheral vascular disease**) * It refers to the **narrowing of the arteries (distal to the aortic arch** (supplying the limbs and periphery), reducing the blood supply to these areas. * It usually affects the **lower limbs**.
663
What is the epidemiology of PAD?
Prevalence increases with age
664
What are the risk factors for developing PAD?
* Smoking * Diabetes mellitus * Hypertension * Hyperlipidaemia, (characterised by high total cholesterol and low high-density lipoprotein (HDL) cholesterol levels) * Physical inactivity * Obesity * Increased age
665
What causes PAD?
* The most common cause is **Atherosclerosis** * Atherosclerosis involves both the formation of fatty deposits in the artery wall (**Atheroma**) as well as the hardening/stiffening of the artery wall (**Sclerosis**). * Atherosclerosis results in the **narrowing of the arteries**. As a result, this resricts blood flow through these ateries (usually in the leg. As a result of this reduced blood flow, the tissues that arteries supply **don't recieve enough oxygen**. * A reduction in oxygen, results initially in **muscle ischaemia** (presents as claudication); followed by **wide spread cell death, necrosis and gangrene** if it occurs for long enough.
666
What are the 4 stages of Peripheral Arterial Disease?
* **Stage 1** - Asymptomatic * **Stage 2** - Intermittant Claudication This is like angina of the leg * **Stage 3** - Critical Limb Ischaemia Is the end-stage of peripheral arterial disease, where there is an inadequate supply of blood to a limb to allow it to function normally at rest. There is a significant risk of losing the limb. * **Stage 4** - Acute Limb Ischaemia Refers to a rapid onset of ischaemia in a limb. Typically, this is due to a thrombus (clot) blocking the arterial supply of a distal limb
667
What is the clinical presentation of Peripheral Arterial Disease?
**Intermittant Claudication** * **Crampy leg pain** that predictably **occurs after walking** a certain distance; that resolves with rest. * The most common location is the calf muscles, but it can also affect the thighs and buttocks. **Critical Limb Ischaemia** * Pain at rest * The pain is also **worse at night when the leg is raised**. * Non-healing ulcers * Gangrene **Acute Limb Ischaemia** (6 P's) * Pain * Pallor * Pulseless * Paralysis * Paraesthesia (abnormal sensation or “pins and needles”) * Perishing cold
668
What are the differences between Arterial and Venous Ulcers?
**Arterial Ulcers** - Are caused by ischaemia secondary to an inadequate blood supply. * Are **smaller** than venous ulcers * Are **deeper** than venous ulcers * Have **well defined borders** * Have a **“punched-out”** appearance * Occur peripherally (e.g., on the toes) * Have reduced bleeding * Are **painful** **Venous Ulcers** - Are caused by impaired drainage and pooling of blood in the legs. * Occur after a minor injury to the leg * Are larger than arterial ulcers * Are more superficial than arterial ulcers * Have irregular, gently sloping borders * Affect the gaiter area of the leg (from the mid-calf down to the ankle) * Are less painful than arterial ulcers * Occur with other signs of chronic venous insufficiency (e.g., haemosiderin staining and venous eczema)
669
What is Leriche Syndrome?
It is when there is **occlusion in the distal aorta or proximal common iliac artery**. There is a clinical triad of: * Thigh/buttock claudication * Absent femoral pulses * Male impotence
670
What are some differentials for Peripheral Arterial Disease?
* **Lumbar spinal stenosis** Presents with neurogenic claudication, numbness, tingling, or weakness in the legs, and lower back pain. * **Deep vein thrombosis** Swelling, pain, warmth, and redness are commonly observed in the affected leg. * **Diabetic neuropathy** Presents with burning or shooting pain, increased sensitivity to touch, and numbness or reduced ability to feel pain or temperature changes.
671
What investigations are done for Peripheral Arterial Disease?
* **Buerger’s Test** - Used to assess for used to assess for PAD clinically * **Ankle-brachial pressure index (ABPI)** - 1st Line A normal ABPI doesnt exclude PAD, so more investigations may be nescesary: * **Duplex ultrasound** – ultrasound that shows the speed and volume of blood flow * **Angiography (CT or MRI)** – using contrast to highlight the arterial circulation
672
What does the Ankle-brachial pressure index measure?
* It is the **ratio of systolic blood pressure (SBP) in the ankle** (around the lower calf) compared with the **systolic blood pressure in the arm**. * The readings are taken using a doppler probe
673
What do the different results of the Ankle-brachial pressure index indicate?
* **Normal**: 0.9 – 1.3 * **Mild** peripheral arterial disease: 0.6 – 0.9 * **Moderate to severe** peripheral arterial disease: 0.3 – 0.6 * **Severe disease to critical ischaemic**: Less than 0.3 Above 1.3 can indicate calcification of the arteries, making them difficult to compress (more common in diabetics)
674
What is Buerger's Test?
Buerger’s test is a clinical test used to assess for peripheral arterial disease. There are 2 parts to the test: The **first part** involves the patient lying on their back (supine). Lift the patient’s legs to an angle of 45 degrees at the hip. Hold them there for 1-2 minutes, looking for pallor. Pallor indicates the arterial supply is not adequate to overcome gravity, suggesting peripheral arterial disease. The **second part** involves sitting the patient up with their legs hanging over the side of the bed. Blood will flow back into the legs assisted by gravity. In a healthy patient, the legs will remain a normal pink colour. In a patient with peripheral arterial disease, they will go: * **Blue initially**, as the ischaemic tissue deoxygenates the blood * **Dark red** (Rubor) after a short time, due to vasodilation in response to the waste products of anaerobic respiration
675
What is Buerger's Angle?
Buerger’s angle refers to the angle at which the leg is pale due to inadequate blood supply
676
What is the management of Intermittant Claudication?
**Conservative Management** (1st Line) * **Lifestyle changes** - to manage modifiable risk factors (e.g., stop smoking). * Optimise medical treatment of co-morbidities (such as hypertension and diabetes). * **Exercise training**, involving a structured and supervised program of regularly walking to the point of near-maximal claudication and pain, then resting and repeating. **Medical Management** * **Atorvastatin** 80mg * **Clopidogrel** 75mg once daily (aspirin if clopidogrel is unsuitable) * **Naftidrofuryl oxalate** if poor quality of life (5-HT2 receptor antagonist that acts as a peripheral vasodilator) **Surgical Management** * Endovascular angioplasty and stenting * Endarterectomy – cutting the vessel open and removing the atheromatous plaque * Bypass surgery – using a graft to bypass the blockage
677
What is the management of critical limb ischaemia?
Patients require **urgent revascularisation**. This can be achieved by: * Endovascular angioplasty and stenting * Endarterectomy * Bypass surgery * Amputation of the limb if it is not possible to restore the blood supply
678
What is the management of Acute Limb Ischaemia?
**Initial management** * ABC approach * analgesia: IV opioids are often used * intravenous unfractionated heparin is usually given to prevent thrombus propagation, particularly if the patient is not suitable for immediate surgery vascular review **Definitive management:** * intra-arterial thrombolysis * surgical embolectomy * angioplasty * bypass surgery * amputation: for patients with irreversible ischaemia
679
What is the definition of Polymyalgia Rheumatica?
* Polymyalgia rheumatica (PMR) is an **inflammatory condition** that causes **pain and stiffness** in the **shoulders, pelvic girdle and neck**. * There is a strong association with **giant cell arteritis**, and the two conditions often occur together.
680
What is the epidemiology of Polymyalgia Rheumatica?
* It occurs **exclusively** in patients aged **over 50**. * It's most common in patients with **Northern European ancestry**.
681
What is the clinical presentation of Polymyalgia Rheumatica?
The core symptoms are **pain and stiffness** of the: * **Shoulders**, potentially radiating to the upper arm and elbow * **Pelvic girdle** (around the hips), potentially radiating to the thighs * **Neck** Features of the pain and stiffness: * **Worse in the morning** * **Worse after rest** or inactivity * **Interfere with sleep** * Take **at least 45 minutes to ease** in the morning * Somewhat improve with activity Other associated features: * **Systemic symptoms** (e.g., weight loss, fatigue and low-grade fever) * Muscle tenderness * Carpel tunnel syndrome * Peripheral oedema There's a **relatively rapid onset of symptoms** over days to weeks. And the symptoms should be present for at least two weeks before its considered
682
What are some differentials for Polymyalgia Rheumatica?
Autoimmune rheumatic disease: * **Polymyositis** Myositis causes bilateral proximal muscle weakness, while pain is either absent or mild . Whereas in polymyalgia rheumatica, pain and stiffness are prominent, but there should not be muscle weakness on examination * **rheumatoid arthritis** * **SLE** **Infection**, such as tuberculosis or subacute bacterial **Endocarditis** **Malignancy** **Chronic fatigue syndrome** **Hypothyroidism**
683
How is Polymyalgia Rheumatica diagnosed?
Diagnosis is based on: * **clinical presentation** * **Response to steroids** - Improvement of symptoms * **Excluding differentials** **Investigations** that should be **done before starting steroids**: * Full blood count * Renal profile (U&E) * Liver function tests * Calcium (abnormal in hyperparathyroidism, cancer and osteomalacia) * Serum protein electrophoresis for myeloma * Thyroid-stimulating hormone for thyroid function * Creatine kinase for myositis * Rheumatoid factor for rheumatoid arthritis * Urine dipstick **Other investigations** to consider: * Anti-nuclear antibodies (ANA) for systemic lupus erythematosus * Anti-cyclic citrullinated peptide (anti-CCP) for rheumatoid arthritis * Urine Bence Jones protein for myeloma * Chest x-ray for lung and mediastinal abnormalities (e.g., lung cancer or lymphoma)
684
What is the management of Polymyalgia Rheumatica?
* **15mg prednisolone daily** initially * Follow up after 1 week * Patients will show a dramatic improvement in symptoms within one week. * A poor response to steroids suggests an alternative diagnosis. * Symptoms typically resolve within 3 weeks Treatment with **steroids typically lasts 1-2 years**. The following **Reducing regime** of **prednisolone** is recommeded: * **15mg** until the symptoms are fully controlled, then * **12.5mg** for 3 weeks, then * **10mg** for 4-6 weeks, then * **Reducing by 1mg** every 4-8 weeks
685
What additional management do people on long term steroids require?
**DON'T STOP** mnemonic: * **Don't** - **steroid dependence** occurs after 3 weeks of treatment, and abruptly stopping risks adrenal crisis * **S** – **Sick day rules** (steroid doses may need to be increased if the patient becomes unwell) * **T** – **Treatment card** – patients should carry a steroid treatment card to alert others that they are steroid-dependent * **O** – **Osteoporosis** prevention may be required (e.g., bisphosphonates and calcium and vitamin D) * **P** – **Proton pump inhibitors** are considered for gastro-protection (e.g., omeprazole)
686
What is the definition of Prostate Cancer?
* Prostate cancer is a malignant tumour that arises from the cells of the prostate.
687
What is the epidemiology of prostate cancer?
* It is the most common cancer in men * Prevalence increases with age
688
What are the risk factors for prostate cancer?
**Non-Modifiable** * African ethnicity * BRCA gene mutations * Family history of prostate cancer * Age (risk increases with advancing age) * Tall stature **Modifiable** * Obesity * Smoking * Diet rich in animal fats and dairy products * Anabolic steroids
689
What is the clinical presentation of prostate cancer?
Early prostate cancer is often **asymptomatic**. While later in the course of the disease it can present with **LUTs** (similar to BPH) including: * Hesitancy * Frequency * Weak flow * Terminal dribbling * Nocturia Other **symptoms** include: * Haematuria * Erectile dysfunction * Haematospermia (blood in semen) * Pelvic discomfort Symptoms of **advanced disease** (or metastasis): * Weight loss * Bone pain * Cauda equina syndrome
690
What is the pathophysiology of prostate cancer?
* Prostate cancers are almost always **androgen-dependent**, (meaning they rely on androgen hormones (e.g., testosterone) to grow). * The majority are **adenocarcinomas** and grow in the **peripheral zone of the prostate**. * They vary in how aggressive they can be; but most prostate cancers are very **slow-growing and do not cause death**.
691
Where do advanced prostate cancers most commonly spread to?
**Lymph nodes** and **Bones**
692
What are some differentials for prostate cancer?
* **Benign Prostatic Hyperplasia (BPH)**: Characterised by difficulty in urination, increased frequency of urination, nocturia, and potentially, haematuria. * **Prostatitis**: Acute or chronic inflammation of the prostate that can cause pelvic pain, urinary symptoms, and potentially, systemic symptoms such as fever and malaise. * **Urinary Tract Infection (UTI)**: Can cause dysuria, urinary frequency, urgency, and potentially, systemic signs of infection. * **Bladder cancer**: May present with haematuria, dysuria, and urinary frequency.
693
What investigations are done for prostate cancer?
**Digital Rectal Examination** * A cancerous prostate may feel **firm or hard, asymmetrical, craggy or irregular, with loss of the central sulcus**. There may be a hard nodule. * Any of these findings require a 2 week urgent cancer referral **Multiparametric MRI** * Is the **1st line** investigation * The results are scored on the Likert scale (from 1 - very low suspicion to 5 - definite cancer) **Prostate Biopsy** * Establishes a **definitive diagnosis** * **Performed when the Likert scale of an MRI is 3 or above** * There are 2 types (**Transrectal ultrasound-guided biopsy** (TRUS) and **Transperineal biopsy**) * Due to the risk of a false negative result, (if the biopsy misses the cancerous area); multiple needles are used to take samples from different areas of the prostate. **Isotope Bone Scan** * Is also called a radionuclide scan or bone scintigraphy. * It is used to look for bony metastasis.
694
What are the main risks of a prostate biopsy?
* **Pain** (particularly lower abdominal, rectal or perineal pain) * **Bleeding** (blood in the stools, urine or semen) * **Infection** * **Urinary retention** due to short term swelling of the prostate * **Erectile dysfunction** (rare)
695
What is the Gleeson Grading System?
* Gleason grading system is based on the histology from the prostate biopsies. * The **greater the Gleason score**, the **more poorly differentiated the tumour is** (the cells have mutated further from normal prostate tissue) and the **worse the prognosis is**. * The tissue samples are graded 1 (closest to normal) to 5 (most abnormal). Its made up of **two numbers added together**: * The first number is the grade of the most prevalent pattern in the biopsy * The second number is the grade of the second most prevalent pattern in the biopsy A score of: * 6 is considered **low risk** * 7 is **intermediate risk** (3 + 4 is lower risk than 4 + 3) * 8 or above is deemed to be **high risk**
696
What is the staging system for prostate cancer?
**TNM staging system** - This rates the T (tumour), N (lymph nodes) and M (metastasis) of the cancer. **T for Tumour**: * TX – unable to assess size * T1 – too small to be felt on examination or seen on scans * T2 – contained within the prostate * T3 – extends out of the prostate * T4 – spread to nearby organs **N for Nodes**: * NX – unable to assess nodes * N0 – no nodal spread * N1 – spread to lymph nodes **M for Metastasis**: * M0 – no metastasis * M1 – metastasis
697
What is Prostate Specific Antigen (PSA)?
* PSA is a **glycoprotein** thats produced from **epithelial cells of the prostate** and is secreted in the semen (with a small amount entering the blood). * It helps to thin the semen after ejaculation * Its specific to the prostate and a **raised PSA is an indicator of prostate cancer**.
698
What are the advantages and disadvantages of testing for PSA?
**Advantages** * PSA testing can lead to the early detection of prostate cancer, potentially resulting in effective treatment and preventing significant problems. **Disadvantages** * PSA testing is unreliable, with a high rate of **false positives** (75%) and **false negatives** (15% * There are various other causes of a raised PSA (other than prostate cancer) * **False positives** may lead to further investigations, including invasive prostate biopsies, which have complications and may be unnecessary. It may also lead to the unnecessary diagnosis and treatment of prostate cancer that would never have caused problems * **False negatives** may lead to false reassurance.
699
What are the most common causes of a raised PSA?
* **Prostate cancer** * **Benign prostatic hyperplasia** * Prostatitis * Urinary tract infections * Vigorous exercise (notably cycling) * Recent ejaculation or prostate stimulation
700
What does the management of prostate cancer involve?
**Localised Cancer:** * Surveillance - Watch and wait * Radical Prostatectomy * Radiotherapy: External beam/brachytherapy **Localised Advanced Cancer:** * Hormonal * Radical Prostatectomy * Radiotherapy **Metastatic:** * Hormonal therapy * Chemotherapy
701
What is the key complication of External Beam Radiotherapy?
**Proctitis** - inflammation of the rectum * Proctitis can cause pain, altered bowel habit, rectal bleeding and discharge. * Prednisolone suppositories can help reduce inflammation.
702
What are the side effects of Brachytherapy?
* Inflammation in nearby organs, such as the bladder (cystitis) or rectum (proctitis). * Erectile dysfunction * Incontinence * Increased risk of bladder or rectal cancer
703
What are the options for hormone therapy to treat prostate cancer?
* **Androgen-receptor blockers** such as bicalutamide * **GnRH agonists** such as goserelin (Zoladex) or leuprorelin (Prostap) * **Bilateral orchidectomy** to remove the testicles (rarely used)
704
What are the side effects of hormone therapy (to treat prostate cancer)?
* Hot flushes * Sexual dysfunction * Gynaecomastia * Fatigue * Osteoporosis
705
What are the possible complications of a radical prostatectomy?
**Erectile dysfunction** and **Urinary incontinence**
706
What is the definition of Psoriasis?
Psoriasis is a **chronic autoimmune disease** characterised by **well-demarcated, erythematous, scaly plaques**.
707
What are the different types of Psoriasis?
**plaque psoriasis:** * the most common sub-type resulting in the typical well-demarcated red, scaly patches affecting the extensor surfaces, sacrum and scalp **flexural psoriasis:** * in contrast to plaque psoriasis the skin is smooth **guttate psoriasis:** * transient psoriatic rash frequently triggered by a streptococcal infection. * Common in children * Multiple red, **teardrop lesions** appear on the body **pustular psoriasis:** * commonly occurs on the palms and soles
708
What is the presentation of psoriasis?
**Key Presentation**: Itchy, well-demarcated circular-to-oval bright red/pink elevated lesions (plaques) with overlying white or silvery scale, distributed symmetrically over extensor body surfaces and the scalp. **Other psoriatic specific signs**: * **Auspitz sign** - refers to small points of bleeding when plaques are scraped off * **Koebner phenomenon** - refers to the development of psoriatic lesions to areas of skin affected by trauma * **Residual pigmentation** of the skin after the lesions resolve **Nail Changes** in psoriasis: * **Nailbed pitting** - superficial depressions in the nailbed * **Onycholysis** - separation of nail plate from nailbed * **Subungual hyperkeratosis** - thickening of the nailbed
709
What are some exacerbating features that can worsen psoriasis?
* Skin trauma (Koebner phenomenon) * Infection: Streptococcus, HIV * Drugs: B-blockers, Anti-malarials, Lithium, Indomethacin/NSAIDs (BALI) * Withdrawal of steroids * Stress * Alcohol + smoking * Cold/dry weather Other risk factors include: Family history, HIV infection and obesity
710
What are some differentials for Psoriasis?
There are various differentials for a **scaly rash**: * Pityriasis rosea * Tinea * Seborrhoeic dermatitis * Bowen's disease * Discoid eczema * Mycosis fungoides * Discoid lupus * Scabies
711
What does the management of Psoriasis involve?
The treatment of plaque psoriasis targets this pathology: * **Corticosteroids** to reduce inflammation and * **Vitamin D** to reduce keratinocyte proliferation. **Topical Treatment** - is first line * **All** patients should use an emollient to reduce scale and itch * **1st** - potent topical corticosteroid OD (eg Betnovate) + topical vitamin D OD (eg Dovonex) applied at different times (1 morn, 1 eve for 4 weeks) * **2nd**: stop the topical corticosteroid, apply topical vitamin D analogue twice daily for 4 weeks * **3rd**: stop the topical vitamin D, apply potent topical corticosteroid twice daily **Phototherpy** * With narrow band ultraviolet B light * Is useful in **extensive guttate psoriasis** **Systemic treatment** - when topical treatment fails * **1st** line: Methotrexate * **2nd** line: Ciclosporin (1st line if rapid disease control needed/palmoplantar pustulosis/are considering conception) * **3rd** line: Acitretin * **4th** line: Biologic therapy (e.g. Infliximab, Etanercept or Adalimumab)
712
What are the complications of systemic therapy in the treatment of psoriasis?
**Methotrexate** * Can cause pneumonitis and hepatotoxicity (monitor LFTs). * It can also cause myelosuppression leading to pancytopenia. **Acitretin** * Is teratogenic * It can cause hepatotoxicity and elevated lipids **Anti-TNF biological drugs** * (such as adalimumab) * Associated with reactivation of latent tuberculosis (always do CXR before initiation of treatment) **Ciclosporin** * Side effects can can be remembered by the **5 H's**: * Hypertrophy of the gums, Hypertrichosis, Hypertension, Hyperkalaemia and Hyperglycaemia (diabetes)
713
What is the definition of Spinal Stenosis?
* Spinal stenosis refers to the **narrowing of part of the spinal canal**, resulting in **compression of the spinal cord or nerve roots**. * This usually affects the cervical or lumbar spine.
714
What is the epidemiology of spinal stenosis?
* Lumbar spinal stenosis is the most common type of spinal stenosis * More common in patients older than 60 years (relating to degenerative changes in the spine)
715
What are the different types of spinal stenosis?
* **Central stenosis** – narrowing of the central spinal canal * **Lateral stenosis** – narrowing of the nerve root canals * **Foramina stenosis** – narrowing of the intervertebral foramina
716
What can cause spinal stenosis?
* **Congenital** spinal stenosis * **Degenerative changes**, including facet joint changes, disc disease and bone spurs * **Herniated discs** * **Thickening of the ligamenta flava** or posterior longitudinal ligament * **Spinal fractures** * **Spondylolisthesis** (anterior displacement of a vertebra out of line with the one below) * **Tumours**
717
What is the presentation of spinal stenosis?
* **Gradual symptom onset** (as opposed to cauda equina syndrome or sudden disc herniation with cord compression) **Central stenosis** * **Intermittent neurogenic claudication** is the key presentation. It involves typical symptoms involve: Lower back pain, Buttock and leg pain, Leg weakness. * Symptoms are absent at rest and when seated but occur with standing and walking. * Bending forward (flexing the spine) expands the spinal canal and improves symptoms. * Standing straight (extending the spine) narrows the canal and worsens the symptoms. **Lateral stenosis and Foramina stenosis** * Cause symptoms of **Sciatica** **Severe spinal stenosis** * Can present with features of **cauda equina syndrome** (saddle anaesthesia, sexual dysfunction and incontinence of the bladder and bowel).
718
What does the term Radiculopathy mean?
* It refers to **compression of the nerve roots as they exit the spinal cord and spinal column**. * This leads to motor and sensory symptoms. * Caused by things like spinal stenosis
719
What are some differentials for Spinal Stenosis?
* **Peripheral Vascular Disease (PVD)**: Characterized by intermittent claudication, but with associated vascular risk factors, diminished or absent pulses, and skin changes * **Herniated Lumbar Disc**: Presents with radicular pain, but the pain is often exacerbated by flexion and relieved by extension, the opposite of the presentation in LSS * **Spinal Tumors**: Can cause similar neurological symptoms, but often associated with weight loss, night sweats, or other systemic symptoms * **Arthritis**: Although it can cause back pain, it's typically associated with morning stiffness and may involve other joints
720
What investigations are done for spinal stenosis?
* **Diagnostic** - MRI Scan * Physical examination is usually the first step; to examine the patient for neurological signs and vascular risk factors * **Electromyography** (EMG) - Can be used to evaluate nerve function in patients with LSS
721
What is the management of Spinal Stenosis? 1st line and conservative Surgical?
**Conservative Management** - is first line * Exercise and weight loss (if appropriate) * Analgesia (NSAIDs, opioids, or nerve block injections) * Physiotherapy **Surgical Management** - when conservative measures fail or for patients with severe, disabling pain. Common procedures involve: * **laminectomy**, * **laminoplasty**, * **spinal fusion**.
722
What is the definition of Reactive Arthritis?
* Reactive arthritis is a **sterile inflammatory arthritis** occurring **within 4 weeks of an infection**.
723
What are the risk factors for Reactive Arthritis?
* **Male** * **Early adulthood**, commonly presents between the age of 20 and 40 * **HLA-B27** positive (it is a **seronegative spondyloarthropathy**)
724
What are the common triggers for Reactive Arthritis?
A previous **Sexually transmitted** or **Gastrointestinal infection** occuring within a month of the reactive arthritis. * Most common infections include **Chlamydia, Shigella, Yersinia or Salmonella** * (**Gonorrhoea more commonly causes Septic arthritis instead**) * Sometimes this infection is asymptomatic, and is only identified half of the time
725
What is the clinical presentation of Reactive Arthritis?
**Reiter's Triad**: * **Conjunctivitis** * **Urethritis** and Circinate balanitis (dermatitis at the head of the penis) * **Oligoarthritis** * *Can't see, Can't pee, Can't climb a tree* It typically presents as a **warm and painful swollen joint** (commonly affecting the large joints of the lower limb). It is typically an **Asymmetrical Oligoarthritis**.
726
What is the main differential for reactive arthritis that needs to be excluded?
Septic Arthritis
727
What is the management of Reactive arthritis?
Septic arthritis needs to be excluded; and antibiotics are given until it is. To do this: * **Joint aspiration** is done * The **synovial fluid** obtained is sent off for **microscopy**, **culture** and **sensitivity** testing for infection, and crystal examination for gout and pseudogout. When **Septic Arthirtis has been excluded**: * Treatment of the triggering infection (e.g., chlamydia) * **Analgesia and NSAIDs** * **Steroid injection** into the affected joints * Systemic steroids may be required, particularly where multiple joints are affected Most cases **resolve within 6 months** and do not recur. However, recurrent cases may require **DMARDs** or **anti-TNF** medications.
728
What is the definition of Rhinosinusitis? What is required for a diagnosis?
* Rhinosinusitis is defined as **inflammation of the nose and paranasal sinuses**. * The diagnosis requires the presence of at least two symptoms, one of which must be either **nasal blockage/obstruction/congestion** or **nasal discharge** (anterior/posterior nasal drip).
729
What is the epidemiology of Rhinosinusitis?
It is a very common disorder affecting around 10% to 15% of the adult population globally.
730
What can cause Rhinosinusitis?
Inflammation of the sinuses can be caused by: * atopy: hay fever, asthma * nasal obstruction e.g. Septal deviation or nasal polyps * recent local infection e.g. Rhinitis or dental extraction * swimming/diving * smoking
731
What is the difference between Acute and Chronic Rhinosinusitis?
* Acute lasts less than 12 weeks * Chronic lasts more than 12 weeks
732
What is the presentation of Rhinosinusitis?
* facial pain: typically frontal pressure pain which is worse on bending forward * nasal discharge: usually clear if allergic or vasomotor. Thicker, purulent discharge suggests secondary infection * nasal obstruction: e.g. 'mouth breathing' * post-nasal drip: may produce chronic cough
733
What are some differentials for Rhinosinusitis?
* **Common cold**: Symptoms typically include runny or stuffy nose, sore throat, cough, and fatigue. Cold symptoms usually peak within 2-3 days and resolve within 7-10 days. * **Allergic rhinitis**: Presents with nasal itching, sneezing, rhinorrhea, and nasal congestion. Ocular symptoms such as tearing and itching of the eyes can also be present. * **Nasal polyps**: Commonly associated with a history of chronic sinusitis, asthma, or aspirin allergy. Symptoms include nasal obstruction, anosmia, and often a runny nose.
734
What investigations are done for Rhinosinusitis?
**Clinical Diagnosis** To Confirm: * **Nasal endoscopy** - Allows for the visual examination of the internal nasal passages and the sinus openings. * **Computed tomography** (CT) - Provides detailed images of the sinuses and can reveal evidence of sinus inflammation or obstruction. * **Cultures** - Can be useful when bacterial sinusitis is suspected and previous treatments have failed.
735
What does the management of Rhinosinusitis involve?
* Avoid allergen * Intranasal corticosteroids * Nasal irrigation with saline solution **Surgical Management:** where medical treatment fails * Intranasal polypectomy * Endoscopic nasal polypectomy
736
What are the red flag symptoms of Rhinosinusitis?
unilateral symptoms persistent symptoms despite compliance with 3 months of treatment epistaxis **Requires referral as suggests neoplasia, abscess or osteomyelitis**
737
What is the definition of a tension headache?
* A tension headache is a cause of chronic recurring head pain. * It typically cause a **mild ache or pressure in a band-like pattern** around the head
738
What is the epidemiology of a tension headache?
* They are the most common cause of chronic recurring head pain * More likely to affect **women**
739
What is the presentation of a tension headache?
* Bilateral, non-pulsatile headaches * Tightness sensation, like a band around the head * Scalp muscle tenderness They develop and resolve gradually and do not produce visual changes.
740
What can cause a tension headache?
**Triggers** include: * Stress * Depression * Alcohol * Skipping meals * Dehydration
741
What is the management of a tension headache?
**First Line**: * Reassurance * Lifestyle Advice * Simple Analgaesia (Ibuprofen and paracetamol) **Medication** - Used for chronic or frequent tension headaches * Amitriptyline is first line
742
What is the definition of Tonsilitis?
* Tonsilitis refers to **inflammation of the tonsils**. * Its primarily caused by infection (either viral or bacterial)
743
What is the epidemiology of Tonsilitis?
It is a very common condition that predominantly affects **children** and **adolescents**
744
What causes Tonsilitis?
The most common cause is a **viral infection**. Common viruses include: * Epstein-Barr virus * Influenza virus * Adenovirus * Rhinovirus. It can also be caused by a **bacterial infection**: * Most common - Group A streptococcus (Streptococcus pyogenes). * 2nd most common - Streptococcus pneumoniae
745
What is the presentation of Tonsilitis?
* **Sore throat** * **Fever** (above 38°C) * **Pain on swallowing** **Examination** will show: Red, inflamed and enlarged tonsils, with or without exudates (small white patches of pus on the tonsils) There may be **anterior cervical lymphadenopathy**
746
Where are the Tonsillar Lymph Nodes?
The tonsillar lymph nodes are just **behind the angle of the mandible** (jawbone).
747
What are the 2 scoring systems for estimating whether the tonsilitis is viral or bacterial called?
* The **Centor criteria** - estimates the probability that tonsillitis is due to bacterial infection and will benefit from antibiotics. * The **FeverPAIN score** is an alternative to the Centor criteria.
748
Describe the scoring of the Centor Criteria
A score of **3 or more gives a 40 – 60 % probability** of bacterial tonsillitis, and it is appropriate to offer antibiotics. A point is given if each of the following features are present: * **Fever over 38ºC** * **Tonsillar exudates** * **Absence of cough** * **Tender anterior cervical lymph nodes** (lymphadenopathy)
749
Describe the scoring of the FeverPAIN Score
A score of 2 – 3 gives a 34 – 40% probability, and 4 – 5 gives a 62 – 65% probability of bacterial tonsillitis: * **Fever** during previous 24 hours * **P** – Purulence (pus on tonsils) * **A** – Attended within 3 days of the onset of symptoms * **I** – Inflamed tonsils (severely inflamed) * **N** – No cough or coryza
750
What are the differentials for Tonsilitis?
* **Pharyngitis** Symptoms include sore throat, fever, and headache. Unlike tonsillitis, patients do not usually present with lymphadenopathy. * **Mononucleosis** Characterized by fatigue, sore throat, fever, and swollen lymph nodes. A key difference is the presence of severe fatigue and splenomegaly.
751
What investigations are done for tonsilitis?
* Investigation for Tonsilitis typically involves **clinical examination** and **patient history**. * **Throat swabs** and **rapid antigen tests** are can be done if bacterial infection is suspected. * **Blood tests** are reserved for those with suspected immunodeficiency.
752
What is the management of Tonsilitis?
* Calculate the Centor Criteria or FeverPAIN Score **If Centor score is less than 3**: * **Simple analgesia** with paracetamol and ibuprofen to control pain and fever. * Advise to return if the pain has not settled after 3 days or the fever rises above 38.3ºC. * Delayed perscriptions (for antibiotics) are an option for if the symptoms get worse. **If Centor score is 3 or more**: * Consider Antibiotics * **Penicillin V** (phenoxymethylpenicillin) for a 10-day course is 1st line * **Clarithromycin** is first line in a patient with a penicillin allergy
753
What are some possible complications of Tonsilitis?
* **Recurrent Tonsillitis** (most common) * **Peritonsillar abscess**, also known as quinsy * **Otitis media**, if the infection spreads to the inner ear * Scarlet fever * Rheumatic fever * Post-streptococcal glomerulonephritis * Post-streptococcal reactive arthritis
754
What are the different types of incontinence?
* Stress incontinence * Urge incontinence * Overflow incontinence * Functional incontinence * Mixed incontinence
755
What are the reversible causes of incontinence?
**DIAPPERS** * **D** - Delirium * **I** - Infection * **A** - Atrophic vaginitis or urethritis * **P** - Pharmaceutical (medications) * **P** - Psychiatric disorders * **E** - Endocrine disorders (e.g. diabetes) * **R** - Restricted mobility * **S** - Stool impaction
756
What is the definition of Stress Incontinence?
* Stress incontinence involves the leaking of urine when **intra-abdominal pressure is raised** (e.g. when coughing, laughing or straining). * Its due to due to **weakness of the pelvic floor and sphincter muscles**.
757
What are the risk factors for stress incontinence?
* **advancing age** * **high body mass index** * **Childbirth** (especially **vaginal**) - This may be due to a combination of injury to the pelvic floor musculature and connective tissue (for example leading to prolapse), as well as nerve damage as a result of pregnancy and labor. * **family history** * **Hysterectomy**
758
What are some possible triggers for stress incontinence?
Anything that can increase abdominal pressure sufficiently: * Coughing * Laughing * Sneezing * Exercising
759
What is management of Stress Incontinence?
**Conservative Management** * Avoiding caffeine, fizzy and sugary drinks * Avoiding excessive fluid intake * **pelvic floor exercises** (8 contractions x3 daily for at least three months before considering surgery) **Surgical Management** * **Tension-free vaginal tape** (TVT) - involves a mesh sling looped under the urethra and up behind the pubic symphysis to the abdominal wall. This supports the urethra, reducing stress incontinence. * **Autologous sling procedures** - work similarly to TVT procedures but a strip of fascia from the patient’s abdominal wall is used rather than tape * **Colposuspension** - involves stitches connecting the anterior vaginal wall and the pubic symphysis, around the urethra, pulling the vaginal wall forwards and adding support to the urethra * **Intramural urethral bulking** - involves injections around the urethra to reduce the diameter and add support **Medical Management** * **Duloxetine** is an SNRI antidepressant and is used second line where surgery is less preferred
760
What is the definition of Urge Incontinence?
* Urge incontinence involves the **sudden and involuntary loss of urine associated with urgency**. * It is caused by overactivity of the detrusor muscle and is often called an **Overactive Bladder**
761
What are the risk factors for urge incontinence?
* Recurrent urinary tract infections * High BMI * Advancing age * Smoking * Caffeine
762
What is the management of Urge incontinence?
**Conservative Management** * **Bladder retraining** (gradually increasing the time between voiding) for at least **six weeks** - is first-line * Avoiding caffeine, fizzy and sugary drinks; as well as avoiding excessive fluid intake. * Pelvic floor exercises (can also help) **Medical Management** - 2nd line when conservative management fails * **Anticholinergic medication** (e.g. oxybutynin, tolterodine and solifenacin) - work by inhibiting the parasympathetic action on the detrusor muscle. * **Mirabegron** (a beta-3 receptor agonist) is an alternative often used in older patients as it has less of an anticholinergic burden. **Surgical Management** * **Botulinum toxin type A** injection into the bladder wall * **Percutaneous sacral nerve stimulation** involves implanting a device in the back that stimulates the sacral nerves * **Augmentation cystoplasty** involves using bowel tissue to enlarge the bladder * **Urinary diversion** involves redirecting urinary flow to a urostomy on the abdomen
763
What are some anticholinergic side effects?
* Dry mouth * Dry eyes * Urinary retention * Constipation * Postural hypotension It can also lead to a **cognitive decline**, **memory problems** and **worsening of dementia**, which can be very problematic in older, more frail patients.
764
What condition is Mirabegron contraindicated in?
**Uncontrolled hypertension** As it works as a beta-3 agonist, stimulating the sympathetic nervous system, leading to raised blood pressure. This can lead to a hypertensive crisis and an increased risk of TIA and stroke.
765
What is the definition of Functional Incontinence?
Functional incontinence involves an individual having the urge to pass urine, but for whatever reason they're unable to access the necessary facilities and as a result are incontinent. **You cant get to or a toilet in time**
766
What are some possible causes of functional incontinence?
Functional incontinence is associated with: * Sedating medications * Alcohol * Dementias
767
What is the definition of Overflow incontinence?
* Overflow incontinence occurs when **small amounts of urine leak without warning**. * It can occur when there is **chronic urinary retention** due to an obstruction to the outflow of urine. * The chronic urinary retention results in an overflow of urine, and the **incontinence occurs without the urge to pass urine**.
768
What are some causes of overflow incontinence?
* Anticholinergic medications * Fibroids * Pelvic tumours **Neurological conditions** such as: * Multiple sclerosis * Diabetic neuropathy * Spinal cord injuries.
769
What should an assesment of Urinary Incontinence involve?
**Medical History** - Should be able to distinguish between the different types of incontinence Assess the **modifiable lifestyle factors** that can contribute to symptoms: * Caffeine consumption * Alcohol consumption * Medications * Body mass index (BMI) Assess **severity** by asking: * Frequency of urination * Frequency of incontinence * Nighttime urination * Use of pads and changes of clothing An **Examination** to assess for pelvic tone, and should look for: * Pelvic organ prolapse * Atrophic vaginitis * Urethral diverticulum * Pelvic masses The **strength of pelvic muscle contraction** should be assesed and graded using the **modified Oxford grading system**
770
Describe the modified Oxford grading system for Pelvic muscle contraction?
* **0** - No contraction * **1** - Faint contraction * **2** - Weak contraction * **3** - Moderate contraction with some resistance * **4** - Good contraction with resistance * **5** - Strong contraction, a firm squeeze and drawing inwards
771
What investigations can be done for urinary incontinence?
* A **bladder diary** should be completed, tracking fluid intake and episodes of urination and incontinence over at least three days. There should be a mix of work and leisure days. * **Urine dipstick testing** should be performed to assess for infection, microscopic haematuria and other pathology. * **Post-void residual bladder volume** should be measured using a bladder scan to assess for incomplete emptying. * **Urodynamic testing** can be used to investigate patients with urge incontinence not responding to first-line medical treatments, difficulties urinating, urinary retention, previous surgery or an unclear diagnosis. It is not always required where the diagnosis is possible based on the history and examination.
772
What tests can be involved in Urodynamic Testing?
* **Cystometry** measures the detrusor muscle contraction and pressure * **Uroflowmetry** measures the flow rate * **Leak point pressure** is the point at which the bladder pressure results in leakage of urine. The patient is asked to cough, move or jump when the bladder is filled to various capacities. This assesses for stress incontinence. * **Post-void residual bladder volume** tests for incomplete emptying of the bladder * **Video urodynamic testing** involves filling the bladder with contrast and taking xray images as the bladder is emptied. Theses are only performed where necessary and not a routine part of urodynamic testing.
773
What is the definition of a Lower Urinary Tract Infection?
Infection of the lower urinary tract from the urethra to the bladder.
774
What is the definition of an Upper Urinary Tract Infection (Pylonephritis)?
* Upper urinary tract infections or Pyelonephritis refers to **inflammation of the kidney** resulting from bacterial infection. * The inflammation affects the kidney tissue (parenchyma) and the renal pelvis (where the ureter joins the kidney).
775
What is the epidemiology of Urinary Tract infections?
Much more common in **women** (as **urethra is alot shorter**, making it easier for bacteria to get into the bladde)r.
776
What are the most common causes of UTIs?
**Escherichia coli** (gram-negative, anaerobic, rod-shaped bacteria) - is most common Other causes: * **Klebsiella pneumoniae** (gram-negative, anaerobic, rod-shaped bacteria) * Enterococcus * Pseudomonas aeruginosa * Staphylococcus saprophyticus * Candida albicans (fungal) Bacteria can spread from faeces to the urinary tract through: * **Sexual Activity** * Faecal Incontinence * Poor Hygeine **Urinary catheters** are another possible source of infection
777
What is the presentation of a Lower Urinary Tract Infection?
* Dysuria (pain, stinging or burning when passing urine) * Suprapubic pain or discomfort * Frequency * Urgency * Incontinence * Haematuria * Cloudy or foul-smelling urine * Confusion is commonly the only symptom in older and frail patients
778
What is the presentation of Pylonephritis?
Can present with the same symptoms as a lower UTI **Plus**: * **Fever** * **Loin or back pain** (bilateral or unilateral) * **Nausea or vomiting** * **Renal angle tenderness** If there is evidence of **Systemic Illness**, its much more likely to be Pylonephritis
779
What investigations are done for a Urinary Tract Infection?
**Urine Dipstick** - **Nitrites or leukocytes plus red blood cells** indicate that the patient will likely have a UTI. **Midstream urine (MSU) sample** sent for microscopy, culture and sensitivity testing. This will determine the infective organism and the antibiotics that will be effective in treatment. It is important in: * **Pregnant** patients * Patients with **recurrent UTIs** * **Atypical** symptoms * When symptoms do not improve with antibiotics
780
What is the management of a Lower Urinary Tract Infection?
First Line Oral Antibiotics: * **Nitrofurantoin** (avoided in patients with an eGFR < 45) * **Trimethoprim** (often associated with high rates of bacterial resistance) Duration of Antibiotic Course: * **3 days of antibiotics** - for simple lower urinary tract infections in women * **5-10 days of antibiotics** - for immunosuppressed women, abnormal anatomy or impaired kidney function * **7 days of antibiotics** - for **men**, **pregnant women** or **catheter-related UTIs** Possible Alternatives: * Pivmecillinam * Amoxicillin * Cefalexin
781
What is the management of Pylonephritis?
**First-line antibiotics** for **7-10 days**: * Cefalexin * Co-amoxiclav (if culture results are available) * Trimethoprim (if culture results are available) * Ciprofloxacin (keep tendon damage and lower seizure threshold in mind) Patients require referral to hospital if there are features of Spesis. They then need the sepsis six.
782
What extra steps should you take with a catheter related UTI?
Changing the catheter
783
How does the management of UTIs differ in pregnancy?
* Management requires **7 days of antibiotics**. * All women should have an **MSU** for microscopy, culture and sensitivity testing. The **antibiotic options** are: * Nitrofurantoin (avoided in the third trimester) * Amoxicillin (only after sensitivities are known) * **Cefalexin** (the typical choice)
784
Why is Trimethoprim generally avoided entirely in pregnancy?
* Trimethoprim works as a **folate antagonist** * Folate is essential in early pregnancy for the normal development of the fetus * This means that trimethoprim can **cause congenital malformations**, particularly **neural tube defects** (e.g., spina bifida).
785
What is the definition of Urticaria?
* Urticaria are also known as **hives**. * They are **small itchy lumps that appear on the skin**. * Urticaria can be classified as acute urticaria or chronic urticaria.
786
What is the pathophysiology of Urticaria?
* Urticaria are caused the release of **histamine** and other pro-inflammatory chemicals by **mast cells in the skin**. * This may be part of an allergic reaction in acute urticaria or an autoimmune reaction in chronic idiopathic urticaria.
787
What are the causes of acute urticaria?
Acute urticaria is typically triggered by something that **stimulates the mast cells to release histamine**. This may be: * Allergies to food, medications or animals * Contact with chemicals, latex or stinging nettles * Medications * Viral infections * Insect bites * Dermatographism (rubbing of the skin)
788
What causes chronic Urticaria?
Chronic urticaria is an **autoimmune condition**, where autoantibodies target mast cells and trigger them to release histamines and other chemicals. It can be sub-classified depending on the cause: * **Chronic idiopathic urticaria** - describes recurrent episodes of chronic urticaria without a clear underlying cause or trigger. * **Chronic inducible urticaria** - Describes episodes of chronic urticaria that can be induced by certain triggers * **Autoimmune urticaria** - describes chronic urticaria associated with an underlying autoimmune condition, such as SLE.
789
What are some possible triggers for Chronic inducible urticaria?
* Sunlight * Temperature change * Exercise * Strong emotions * Hot or cold weather * Pressure (dermatographism)
790
What does the management of Urticaria involve?
* **Antihistamines** are first line for urticaria. * **Fexofenadine** is usually the antihistamine of choice for chronic urticaria. * **Oral steroids** may be considered as a short course for severe flares. In very **problematic cases**, the following may be considerred: * Anti-leukotrienes such as montelukast * Omalizumab, which targets IgE * Cyclosporin
791
What is the other name for the Varicella zoster virus (VZV)?
* **Human alpha-herpesvirus 3 (HHV-3)** * It is a member of the human herpes virus family
792
What is the definition of chickenpox?
* Chickenpox is an **acute infectious disease** caused by the **varicella-zoster virus (VZV)**, a member of the human herpes virus family. * This **highly contagious illness**, predominantly seen in children, is characterised by a vesicular rash, mild fever, and malaise.
793
What is the epidemiology of chickenpox
* It is a common global disease * The majority of cases occur in **children aged 1-9 years**. * The illness is typically **mild in children** but can be **severe in adults or immunocompromised individuals**. * Its highly contagious, with a 90% secondary infection rate in susceptible household contacts.
794
What is the pathophysiology of chickenpox?
* Its caused by the VZV * The virus is **airborne** and spreads through **direct contact** with the rash or by **breathing in particles** from an infected person's sneezes or coughs.
795
What is the presentation of chickenpox?
The cardinal sign of chickenpox is a **distinctive rash** that: * Starts as **raised red, itchy spots**, primarily on the face or chest, before spreading to the rest of the body. * Progresses into **small, fluid-filled blisters** over a span of a few days. * Eventually **crusts over and heals**, typically leaving no scars unless the blisters have been scratched and infected. Other **accompanying symptoms** include: * Mild fever * Fatigue * Loss of appetite * General discomfort.
796
What are some differentials for Chickenpox?
* **Herpes simplex**: Characterised by painful, grouped vesicles on an erythematous base, usually around the mouth or genital area. * **Hand, foot, and mouth disease**: Presents with a rash on the hands, feet, and inside the mouth, often alongside fever and malaise. * **Scabies**: Manifests as intense itching, especially at night, and a pimple-like rash.
797
How is Chickenpox diagnosed?
* Diagnosis of chickenpox is usually made **clinically** due to the characteristic nature of the rash and a history of exposure. * Laboratory testing is reserved for severe cases, immunocompromised patients, or when the diagnosis is uncertain.
798
What does the management of Chickenpox involve?
Management is **primarily conservative** as the condition is self limiting: * Keeping the patient's **fingernails short** to prevent scratching and subsequent infection * Encouraging the use of **loose, long-sleeved clothing** to limit skin exposure and scratching * **Cooling measures** like oatmeal baths or calamine lotion to reduce itching * **Analgesics** and **antipyretics** for symptom relief Management of **Immunocompromised patients** or **previously unexposed pregnant women**/neonate with peripartum exposure: * IV Aciclovir * Human varicella-zoster immunoglobulin (VZIG) It is recommended to **isolate the patient** to prevent the spread of the virus to others. NICE recommends **school exclusion** during the most infectious period.
799
When is the most infectious period of Chickenpox?
**1-2 days before** the rash appears, until all of the lesions are dry and have crusted over (**usually 5 days after** the rash appears)
800
What are the complications of Chickenpox?
* Secondary bacterial skin infections due to scratching * Pneumonia (more common in adults) * Encephalitis (rare) * Reye's syndrome (a severe complication, primarily in children) * Congenital varicella syndrome (if infection occurs during early pregnancy) * Reactivation of the virus as herpes zoster (**shingles**) later in life
801
What is the definition of Shingles?
Shingles is a **reactivation of the varicella zoster virus** which can lie dormant in nerve ganglia following primary infection (chickenpox).
802
What is the epidemiology of Shingles?
More common in the elderly
803
What is the presentation of Shingles?
* It manifests first as a **tingling feeling** in a dermatomal distribution. * It then progresses to **erythematous papules** occurring along one or more dermatomes within a few days. * The erythematous papules then develop into **fluid-filled vesicles** which then crust over and heal. * There may also be **systemic symptoms** like fever, headache and malaise. * **NEVER CROSSES THE MIDLINE**
804
805
What are some differentials for Shingles?
* **Herpes zoster ophthalmicus (HZO)** Presents with symptoms including a painful red eye, fever, malaise, and headache, followed by an erythematous vesicular rash over the trigeminal division of the ophthalmic nerve. A lesion on the nose, known as **Hutchinson's sign**, may suggest ocular involvement.
806
What is the management of Shingles?
**Prevent Spread:** * may need to avoid pregnant women and the immunosuppressed * Should be advised that they are infectious until the vesicles have crusted ove * Covering lesions reduces the risk **Analgesia** * Paracetamol and ibuprofen are first line * Oral Corticosteroids may be considered in first 2 weeks if immunocompromised and severe pain not responding to the above * Amitriptyline for Severe pain **Antivirals: Started within 72 hours of onset** * **Aciclovir** * Are over 50 years old. * Have non-truncal involvement (e.g., the rash affects areas like the face, eyes, or limbs). * Have moderate to severe pain or rash. * Are immunocompromised (due to conditions like HIV, cancer, or medications like steroids). * **consider** for people: < 50 years with milder symptoms, if treatment can be started within 72 hours.
807
What age is the one-off Shingles vaccine adviced for?
Over 70s
808
What are the possible complications of Shingles?
**post-herpetic neuralgia** * Most common complications **herpes zoster ophthalmicus** * (shingles affecting affecting the ocular division of the trigeminal nerve) is associated with a variety of ocular complications **herpes zoster oticus** * (Ramsay Hunt syndrome): may result in ear lesions and facial paralysis
809
What is the definition of Varicose Veins?
Varicose veins are **dilated and tortuous superficial veins** measuring **more than 3mm in diameter**, usually affecting the legs.
810
What is the definition of Reticular veins?
Reticular veins are dilated blood vessels in the skin measuring **less than 1-3mm in diameter**
811
What is the epidemiology of Varicose Veins?
* They are very common affecting 1/3 of adults * More common with **increased age** * More common in **Women** (due to hormonal influences)
812
What are the risk factors for Varicose Veins?
* Increasing age * Family history * Female * Pregnancy * Obesity * Prolonged standing (e.g., occupations involving standing for long periods) * Deep vein thrombosis (causing damage to the valves)
813
How do Varicose Veins develop?
* Varicose veins develop when the **valves within perforating veins** (veins that connect the superficial and deep veins) become **incompetant**. * This allows blood to **flow backwards from the deep veins into the superficial veins**, and overloads them. * This leads to dilatation and engorgement of the superficial veins, forming varicose veins.
814
What is the presentation of Varicose Veins?
Varicose Veins present with **engorged and dilated superficial leg veins**. There may also be: * Heavy or dragging sensation in the legs * Aching * Itching * Burning **Chronic Venous Insufficiency Signs:** * Haemosiderrin staining * Venous ulcers * Lipodermatosclerosis * Venous Eczema
815
What is the presentation of Chronic Venous Insufficiency?
* **Brown discolouration of the lower legs** - This occurs as when blood pools in the distal veins, the pressure causes the veins to leak small amounts of blood into the nearby tissues. The haemoglobin in this leaked blood breaks down to haemosiderin, which is deposited around the shins in the legs (giving the brown colour). * **Venous Eczema** - The pooling of blood in the distal tissues results in inflammation; resulting in dry and inflamed skin. * **lipodermatosclerosis** - The skin and soft tissues also become fibrotic and tight, causing the lower legs to become narrow and hard.
816
What are some differentials for Varicose Veins?
* **Deep vein thrombosis**: Presents with pain, swelling, redness or discoloration, and warmth in the affected limb. * **Chronic venous insufficiency**: Characterized by chronic oedema, skin changes such as pigmentation or eczema, and venous ulcers. * **Superficial thrombophlebitis**: Presents with a firm, red, tender vein and may have associated systemic symptoms such as fever. * **Peripheral artery disease**: Presents with intermittent claudication, non-healing ulcers, and in severe cases, rest pain.
817
What investigations are done for Varicose Veins?
Investigation starts with a thorough history and physical examination (including special tests). **Venous Duplex Ultrasound** * Shows retrograde venous flow
818
What special tests can be done for Varicose Veins?
* **Tap test** – apply pressure to the saphenofemoral junction (SFJ) and tap the distal varicose vein, feeling for a thrill at the SFJ. A thrill suggests incompetent valves between the varicose vein and the SFJ. * **Cough test** – apply pressure to the SFJ and ask the patient to cough, feeling for thrills at the SFJ. A thrill suggests a dilated vein at the SFJ (called saphenous varix). * **Trendelenburg’s test** – with the patient lying down, lift the affected leg to drain the veins completely. Then apply a tourniquet to the thigh and stand the patient up. The tourniquet should prevent the varicose veins from reappearing if it is placed distally to the incompetent valve. If the varicose veins appear, the incompetent valve is below the level of the tourniquet. Repeat the test with the tourniquet at different levels to assess the location of the incompetent valves. * **Perthes test** – apply a tourniquet to the thigh and ask the patient to pump their calf muscles by performing heel raises whilst standing. If the superficial veins disappear, the deep veins are functioning. Increased dilation of the superficial veins indicates a problem in the deep veins, such as deep vein thrombosis.
819
What is the management of Varicose Veins?
Treatment is typically not required unless symptoms like bleeding, pain, ulceration, thrombophlebitis arise or significant psychological morbidity is noted. Management can involve: **Conservative Management** * Weight loss if appropriate * Staying physically active (to promote venous return) * Keeping the leg elevated when possible to help drainage * Compression stockings * Reduction of long periods of standing **Surgical Management** * **Endothermal ablation** – inserting a catheter into the vein to apply radiofrequency ablation * **Sclerotherapy** – injecting the vein with an irritant foam that causes closure of the vein * **Stripping** – the veins are ligated and pulled out of the leg
820
What are the possible complications of Varicose Veins?
* Prolonged and heavy bleeding after trauma * Superficial thrombophlebitis (thrombosis and inflammation in the superficial veins) * Deep vein thrombosis * All the issues of chronic venous insufficiency (e.g., skin changes and ulcers)
821
What is the definition of Syncope?
Syncope may be defined as a **transient loss of consciousness due to global cerebral hypoperfusion** with rapid onset, short duration and spontaneous complete recovery. * Syncopal episodes are also known as **vasovagal episodes**, or simply fainting.
822
What is the pathophysiology of a vasovagal episode?
* A vasovagal episode (or attack) is caused by a problem with the **autonomic nervous system** regulating blood flow to the brain. * When the vagus nerve receives a **strong stimulus**, such as an emotional event, painful sensation or change in temperature it can **stimulate the parasympathetic nervous system**. * Parasympathetic activation counteracts the sympathetic nervous system, (which keeps the smooth muscles in blood vessels constricted). * As the blood vessels delivering blood to the brain relax, the **blood pressure in the cerebral circulation drops**, leading to **hypoperfusion of brain tissue**. This causes the patient to lose consciousness and “faint”.
823
What is the presentation of a vasovagal episode?
**Prodrome**: * Hot or clammy * Sweaty * Heavy * Dizzy or lightheaded * Vision going blurry or dark * Headache The **Vasovagal Episode** itself: * Suddenly losing consciousness and falling to the ground * Unconscious on the ground for a few seconds to a minute as blood returns to their brain * There may be some twitching, shaking or convulsion activity, which can be confused with a seizure * There can also be incontinence * The patient may be a bit groggy following a faint, however, this is different to the postictal period following a faint.
824
What is the period immediately prior to a vasovagal episode called?
Prodrome
825
What is the difference between a vasovagal episode and a seizure?
826
What are the possible causes of syncope (both primary and secondary)?
**Primary syncope** (simple fainting): * Dehydration * Missed meals * Extended standing in a warm environment, such as a school assembly * A vasovagal response to a stimuli, such as sudden surprise, pain or the sight of blood **Secondary Syncope**: * Hypoglycaemia * Dehydration * Anaemia * Infection * Anaphylaxis * Arrhythmias * Valvular heart disease * Hypertrophic obstructive cardiomyopathy
827
What investigations are done for Vasovagal Syncope?
**Cardiovascular Examination** * **ECG** - particularly assessing for arrhythmia and the QT interval for long QT syndrome **Blood Pressure Lying and Standing** **Other Investigations if required** * **24 hour ECG** - if paroxysmal arrhythmias are suspected * **Echocardiogram** - if structural heart disease is suspected * **Bloods** - including a full blood count (anaemia), electrolytes (arrhythmias and seizures) and blood glucose (diabetes)
828
What is the epidemiology of Vasovagal Syncope?
More common in children (particularly teenage girls)
829
What is the management of Vasovagal Syncope?
Seizures or underlying pathology need to be managed by an appropriate specialist. Once a simple vasovagal episode is diagnosed, **reassurance and simple advice** can be given to: * Avoid dehydration * Avoid missing meals * Avoid standing still for long periods * When experiencing prodromal symptoms such as sweating and dizziness, sit or lie down, have some water or something to eat and wait until feeling better.
830
What is the definition of venous ulcers?
Venous ulcers, are a **form of skin ulcers** predominantly caused by **sustained venous hypertension**, resulting in **venous valve incompetence**.
831
What are some risk factors for developing venous ulcers?
* Obesity * Immobility * Presence of varicose veins * History of deep vein thrombosis (DVTs) * Advanced age * Prior trauma to the leg
832
What is the presentation of venous ulcer disease?
* Predominantly found over the medial malleolus * Shallow and sloughy in nature * Presence of haemosiderin deposition in the lower leg * Oedema * Skin thickening * Eczema
833
What investigations are done for venous ulcer disease?
**Ankle-Brachial Pressure Index (ABPI)** - Is the first line investigation in order to rule out any co-existing arterial disease that might be exacerbated if compression bandaging is applied. (As this would worsen arterial supply to the leg).
834
What is the management of venous ulcers?
**Conservative Management** * Maintain cleanliness of the ulcer * Promote mobility * Suggest weight reduction * Recommend leg elevation at rest * **Emollient treatment** for the leg * **Compression bandaging** - This technique aims to improve venous return from the leg. **Medical Management** * **Pentoxifylline** (a peripheral vasodilator) may be considered if the ulcer fails to respond to initial treatment. **Surgical Management** * Though rarely necessary, options include debridement and skin grafting.
835
What are some potential complications of venous ulcer disease?
* Decreased mobility due to pain * Risk of infection, which can progress to sepsis * Possibility of osteomyelitis * Decreased quality of life due to persistent pain and disability
836
What is the definition of Chronic Venous Insufficiency?
* Chronic venous insufficiency occurs when **blood does not efficiently drain from the legs back to the heart**. * This results in blood pooling in the legs, causing **venous hypertension** and the skin changes associated with chronic venous insufficiency. * Its often associated with Varicose Veins
837
What is the pathophysiology of chronic venous insufficiency?
* Chronic venous insufficiency usually occurs as a result of **damage to the valves inside the veins**. * These valves are usually responsible for ensuring blood flows in one direction as the leg muscles contract and squeeze the veins. * When they are damaged however, the **pumping effect** of the **leg muscles becomes less effective** in draining blood towards the heart; and blood pools in the veins of the legs, causing venous hypertension. * Chronic pooling of blood in the legs leads to skin changes. The area between the **top of the foot and the bottom of the calf muscle** is the area most affected by these changes. This is known as the **gaiter area**.
838
What is the clinical presentation of Chronic Venous Insufficiency?
**Skin Changes**: * **Haemosiderin staining** (is a **red/brown discolouration to the legs**) - This occurs as small ammounts of blood leaks out of the veins into the nearby tissues (due to the venous hypertension). haemoglobin in this leaked blood breaks down to haemosiderin, which is deposited around the shins in the legs (giving the brown colour). * **Venous eczema** (or varicose eczema) - Is dry, itchy, flaky, scaly, red and cracked skin. These eczema-like changes are caused by a chronic inflammatory response in the skin in response to the pooled blood. * **Lipodermatosclerosis** - is hardening and tightening of the skin as well as the tissue beneath. This occurs as, chronic inflammation causes the subcutaneous tissue to become fibrotic. * **Atrophie blanche** - refers to patches of smooth, porcelain-white scar tissue on the skin, often surrounded by hyperpigmentation. **Other symptoms**: * Cellulitis * Poor healing after injury * Skin ulcers * Pain
839
What is the management of chronic venous insufficiency?
**Management involves**: * Keeping the skin healthy * Improving venous drainage to the legs * Managing complications The skin is **kept healthy by**: * Monitoring skin health and avoiding skin damage * Regular use of emollients (e.g., diprobase, oilatum, cetraben and doublebase) * Topical steroids to treat flares of venous eczema * Very potent topical steroids to treat flares of lipodermatosclerosis **Improving venous drainage** to the legs involves: * Weight loss if obese * Keeping active * Keeping the legs elevated when resting * Compression stockings (exclude arterial disease first with an ankle-brachial pressure index) **Management of complications** involves: * Antibiotics for infection * Analgesia for pain * Wound care for ulceration
840
What is the definition of an exanthem?
* An “exanthem” is an **eruptive widespread rash**. * Originally there were **six “viral exanthemas”** known as first, second, third, fourth, fifth and sixth disease.
841
What are the six "viral exanthemas" now known as?
* First disease: **Measles** * Second disease: **Scarlet Fever** * Third disease: **Rubella** (AKA German Measles) * Fourth disease: **Dukes’ Disease** * Fifth disease: **Parvovirus B19** * Sixth disease: **Roseola Infantum**
842
What is Duke's Disease?
* (Also known as **fourth disease**), it has been mostly forgotten and is **never now used in clinical practice**. * No organism has been found that could explain a specific “fourth disease”. * Its likely the term fourth disease, was used to decribe the various non-specific viral rashes with no one specific viral cause.
843
What causes Roseola Infantum?
It's caused by **human herpesvirus 6** (HHV-6) and less frequently by human herpesvirus 7 (HHV-7).
844
What is the presentation of Roseola Infantum?
* It presents **1 – 2 weeks after infection** with a **high fever (up to 40ºC)** that comes on rapidly, **lasts for 3 – 5 days** and then disappears suddenly. * During this period, there may also be coryzal symptoms, sore throat and swollen lymph nodes. * When the fever settles, a **mild erythematous macular rash** across the arms, legs, trunk and face appears for 1 – 2 days. The rash is not itchy. * Children make a **full recovery within a week**
845
What is the main complication of Roseola Infantum?
**Febrile convulsions** due to the high temperature
846
What is the definition of Acute Gastritis?
Acute gastritis is **inflammation of the stomach** and presents with nausea and vomiting.
847
What is the definition of Enteritis?
Enteritis is **inflammation of the intestines** and presents with diarrhoea.
848
What is the definition of Gastroenteritis?
Gastroenteritis is **inflammation all the way from the stomach to the intestines** and presents with nausea, vomiting and diarrhoea.
849
What is the most common cause of gastroenteritis?
The most common cause of gastroenteritis is **viral infection**: * **Norovirus** - most common cause of viral gastroenteritis overall * **Rotavirus** - most common cause of infantile gastroenteritis * Adenovirus - more commonly causes respiratory infection. But it can also cause gastroenteritis, especially in children.
850
What are the bacterial causes of gastroenteritis?
* **Escherichia coli** (including E.coli 0157 which can cause haemolytic uraemic syndrome) * **Campylobacter Jejuni** - The most common cauase of bacterial gastroenteritis worldwide (is a common cause of travellers diahorrea) * Staph. aureus * Shigella * Salmonella * Bacillus Cereus
851
What are the possible differentials for Diarrhoea?
* Infection (gastroenteritis) * Inflammatory bowel disease * Lactose intolerance * Coeliac disease * Cystic fibrosis * Toddler’s diarrhoea * Irritable bowel syndrome * Medications (e.g. antibiotics)
852
What are the principles of Gastroenteritis management?
**Prevent the spread**: * When patients develop symptoms they should immediately be **isolated** to prevent spread. * **Barrier nursing** and **rigorous infection control** is important for patients in hospital to prevent spread to other patients. * Children need to stay off school until 48 hours after the symptoms have completely resolved. **Faeces sample** with microscopy, culture and sensitivities to establish the causative organism **Rehydration**: * The key to managing gastroenteritis is to ensure they remain hydrated whilst waiting for the diarrhoea and vomiting to settle. * **Fluid challenge** - This involves recording a small volume of fluid given orally every 5-10 minutes to ensure they can tolerate it. * Oral **Rehydration solutions** (e.g. dioralyte) can be used if tolerated * If oral fluid isn't tolerated, then **IV fluid rehydration** may be nescesary **Antibiotics** * Antibiotics should only be given in patients that are at risk of complications once the causative organism is confirmed.
853
What are some possible post gastroenteritis complications?
* Lactose intolerance * Irritable bowel syndrome * Reactive arthritis * Guillain–Barré syndrome
854
What drugs are enzyme inducers? What is the Mnemonic to remember them?
CRAP GPS Carbemazepines Rifampicin Alcohol Phenytoin Griseofulvin Phenobarbitone Sulphonylureas
855
What drugs are Enzyme Inhibitors What is the mnemonic to remember them?
SICKFACES.COM Sodium Valproate Isoniazid Cimetidine Ketoconazole Fluconazole Alcohol (binge drinking) Chloramphenicol Erythromycin Sulphonamides Ciprofloxacin Omeprazole Metronidazole
856
What is the definition of Arrhythmias?
They're abnormal heart rhythms that result from an interruption to the normal electrical signals that coordinate the contraction of the heart muscle. There are several types
857
What are some shockable rhythms?
Ventricular tachycardia Ventricular fibrillation
858
What are some un-shockable rhythms?
Pulseless electrical activity (all electrical activity except VF/VT, including sinus rhythm without a pulse) Asystole (no significant electrical activity)
859
What is the definition of a narrow complex tachycardia?
Narrow complex tachycardia refers to a fast heart rate with a QRS complex duration of less than 0.12 seconds.
860
What are the 4 main differentials for a narrow complex tachycardia?
Sinus tachycardia Supraventricular tachycardia Atrial fibrillation Atrial flutter
861
What is the management of narrow complex tachycardias? (that have life-threatening features like loss of consciousness (syncope), heart muscle ischaemia (e.g. chest pain) or shock) (haemodynamically unstable)
Synchronised DC cardioversion under sedation or general anaesthesia. IV amiodarone is added if initial DC shocks are unsuccessful.
862
What is the definition of a broad complex tachycardia?
Broad complex tachycardia refers to a fast heart rate with a QRS complex duration of more than 0.12 seconds.
863
What are the different types of broad complex tachycardia?
* Ventricular tachycardia (or unclear cause) * Polymorphic ventricular tachycardia, such as torsades de pointes * Atrial fibrillation with bundle branch block * Supraventricular tachycardia with bundle branch block
864
What is the management of Ventricular tachycardia?
IV Amiadorone
865
What is the management of Polymorphic ventricular tachycardia?
IV Magnesium
866
What is the management of broad complex tachycardias with life threatening features (haemodynamically unstable)?
Synchronised DC cardioversion under sedation or general anaesthesia. IV amiodarone is added if initial DC shocks are unsuccessful. (Same as narrow complex )
867
What is the definition of atrial flutter?
Atrial flutter is a common supraventricular tachycardia (SVT) where there is succession of rapid atrial depolarisation It is characterised by an abnormal cardiac rhythm with an atrial rate of 300 beats/min and a ventricular rate that can be fixed or variable.
868
How often do the ventricles usually contract compared to the atria in atrial flutter?
Usually 2:1 conduction (2 atrial contractions for every ventricle contraction) Thus the HR would be 150bpm Although the conduction rate can be 3:1 or even 4:1
869
Why don't the ventricles contract every time the atria do in atrial flutter?
As the electrical signal can't enter the ventricles on every lap due to the long refractory period of the atrioventricular node
870
What is the classic ECG appearance of atrial flutter?
**Sawtooth appearance** with repeated P waves occurring at around 300 per minute. In a regular rhythm). With a narrow complex tachycardia (narrow QRS Complex).
871
What is the pathophysiology of atrial flutter?
Normally the electrical signal passes through the atria once, stimulating a contraction, then disappears through the atrioventricular node into the ventricles. Atrial flutter is caused by a re-entrant rhythm in the right atrium. The electrical signal re-circulates in a self-perpetuating loop due to an extra electrical pathway in the atria. The signal goes round and round the atrium without interruption resulting in a very high atrial HR.
872
What can cause atrial flutter?
Its likely to occur with pulmonary disease such as: * COPD * Obstructive sleep apnoea * Pulmonary emboli * Pulmonary hypertension Other causes: SMITH Sepsis Myocardial Ischaemia Infection (IE) and intoxication (alcohol) Thyrotoxicosis Hypertension
873
What is the clinical presentation of atrial flutter?
Asymptomatic Palpitations Lightheadedness Syncope Chest pain
874
What is the management of atrial flutter in Haemodynamically Unstable Patients?
1st line = direct current synchronised cardioversion +/- amiodarone
875
What is the management of atrial flutter in Haemodynamically Stable Patients?
Treat reversible causes e.g. fluid rehydration (in septic/dehydrated patients) **Rate and Rhythm control** * 1st line = **beta-blocker** (bisoprolol) OR calcium channel blocker (diltiazem, verapamil) * 2nd line = if rate control fails to control flutter than consider cardioversion (either electrical or pharmacological with drugs like **amiodarone**, sotalol, or digoxin) * 3rd line = recurrent or refractory flutter managed with **Radiofrequency ablation of arrhythmogenic foci at cavotricuspid isthmus**. **Anticoagulation** According to CHA2DS2VASc score due to increased risk of ischaemic stroke
876
What are the possible complications of atrial flutter?
* **CardiacEmboli** - Ischaemic stroke if not appropriately anticoagulated. * Tachycardia-induced cardiomyopathy leading to heart failure.
877
What is classed as a prolonged QT interval? | (In both men and women)
More than 440 milliseconds in men More than 460 milliseconds in women
878
What is the pathophysiology of prolonged QT intervals?
A prolonged QT interval represents **prolonged repolarisation** of the heart muscle cells (myocytes) after a contraction. Waiting a long time for repolarisation **can result in spontaneous depolarisation** in some muscle cells. These afterdepolarisations spread throughout the ventricles, **causing a contraction before proper repolarisation.** When this leads to **recurrent contractions without normal repolarisation, it is called torsades de pointes.**
879
What is depolarisation of the heart?
Depolarisation is the electrical process that leads to heart contraction.
880
What is repolarisation of the heart?
Repolarisation is a recovery period before the muscle cells are ready to depolarise again.
881
What are Torsades de pointes?
Its type of polymorphic ventricular tachycardia. It translates from French as “twisting of the spikes”, describing the ECG characteristics.
882
What do torsades de pointes look like on ECG?
It looks like standard ventricular tachycardia but with the appearance that the QRS complex is twisting around the baseline. The height of the QRS complexes gets progressively smaller, then larger, then smaller, and so on.
883
What will eventually happen to torsades de pointes?
They will **terminate spontaneously and revert to sinus rhythm** or progress to ventricular tachycardia. Ventricular tachycardia can lead to cardiac arrest.
884
What are the causes of a prolonged QT interval?
**Congenital:** * Jervell-Lange-Nieslen Syndrome (deafness) * Romano-Ward Syndrome (no-deafness) **Drugs: (ASTHMATiC)** * **A:** amiodarone * **S:** sotalol, SSRIs * **T:** terfenadine * **H:** haloperidol * **M:** methadone, macrolides (erythromycin) * **A:** antiarrythmics class Ia * **T:** tricyclic antidepressants * **C:** chloroquine **Other:** * Electrolyte imbalance: Hypocalcaemia, hypokalaemia, hypomagnesaeimia * Acute MI * Myocarditis * Hypothermia * SAH
885
What is the management of prolonged QT intervals?
* Stopping and avoiding medications that prolong the QT interval * Correcting electrolyte disturbances * Beta blockers (not sotalol) * Pacemakers or implantable cardioverter defibrillators
886
What does the acute management of Torsades de Pointes involve?
* Correcting the underlying cause (e.g., electrolyte disturbances or medications) * **Magnesium infusion** (even if they have normal serum magnesium) * Defibrillation if ventricular tachycardia occurs
887
What are Ventricular Ectopics?
They are premature ventricular beats caused by random electrical discharges outside the atria. Patients often present complaining of random extra or missed beats. They are relatively common at all ages and in healthy patients. (but are more common in those with pre-existing heart conditions).
888
How do ventricular ectopics appear on ECG?
They appear as isolated, random, abnormal, broad QRS complexes on an otherwise normal ECG.
889
Define Bigeminy
Bigeminy refers to when every other beat is a ventricular ectopic. The ECG shows a normal beat, followed immediately by an ectopic beat, then a normal beat, then an ectopic, and so on.
890
Define first degree heart block
**PR interval greater than 0.2 seconds** It occurs where there is delayed conduction through the atrioventricular node. Despite this, every atrial impulse still leads to a ventricular contraction, meaning every P wave is followed by a QRS complex.
891
Define second degree heart block
Second-degree heart block is where some atrial impulses don't make it through the atrioventricular node to the ventricles. Thus, there are instances where P waves are not followed by QRS complexes. There are two types.
892
What are the 2 types of second degree heart block?
Mobitz type 1 (Wenckebach phenomenon) Mobitz type 2
893
Describe Mobitz Type 1 heart block
It is where the conduction through the atrioventricular node takes progressively longer until it finally fails, after which it resets, and the cycle restarts. On an ECG, there is an increasing PR interval until a P wave is not followed by a QRS complex. The PR interval then returns to normal, and the cycle repeats itself.
894
Describe Mobitz Type 2 heart block
This is where there is intermittent failure of conduction through the atrioventricular node, with the occasional absence of QRS complexes following P waves. There is usually a set ratio of P waves to QRS complexes, for example, three P waves for each QRS complex (3:1 block). **The PR interval remains Constant (either normal/prolonged)** There is a risk of asystole
895
Define Third Degree heart block
Also called complete heart block. There is no observable relationship between the P waves and QRS complexes. There is a significant risk of asystole
896
Define Asystole
Asystole refers to the absence of electrical activity in the heart (resulting in cardiac arrest).
897
What are the Arrhythmias that can cause asystole?
* Mobitz type 2 * Third-degree heart block (complete heart block) * Previous asystole * Ventricular pauses longer than 3 seconds
898
What does the management of unstable patients at risk of asystole involve?
**Commence ALS/PALS:** * **Intravenous Adrenaline 1mg every 3-5mins** (first line) * Inotropes (e.g., isoprenaline or adrenaline) * Temporary cardiac pacing * Permanent implantable pacemaker, when available
899
What are the options for temporary cardiac pacing?
* Transcutaneous pacing, using pads on the patient’s chest * Transvenous pacing, using a catheter, fed through the venous system to stimulate the heart directly
900
What is Atropine?
Atropine is an antimuscarinic medication and works by inhibiting the parasympathetic nervous system.
901
What are some side effects of atropine?
pupil dilation dry mouth urinary retention constipation.
902
What is the definition of Atrial Fibrillation?
Atrial fibrillation (AF) is characterised by irregular, uncoordinated atrial contraction usually at a rate of 300-600 beats per minute. Delay at the AVN means that only some of the atrial impulses are conducted to the ventricles, resulting in an irregular ventricular response.
903
What is the epidemiology of Atrial Fibrillation?
AF is the commonest sustained cardiac arrhythmia. (Atrial Flutter is second most common) The prevalence of AF roughly doubles with each advancing decade of age
904
How is AF classified?
* Acute: lasts <48 hours * Paroxysmal: lasts <7 days and is intermittent * Persistent: lasts >7 days but is amenable to cardioversion * Permanent: lasts >7 days and is not amenable to cardioversion It can also be classed as **fast** or **slow**: Fast AF : >100bpm Slow AF: <60bpm
905
What are the causes of AF?
**Cardiac** * Ischaemic heart disease: most common cause in the UK. * Hypertension * Rheumatic heart disease (typically affecting the mitral valve): most common cause in less developed countries. * Peri-/myocarditis **Non-cardiac** * Dehydration * Endocrine causes e.g. hyperthyroidism * Infective causes e.g. sepsis * Pulmonary causes e.g. pneumonia or pulmonary embolism * Environmental toxins e.g. alcohol abuse * Electrolyte disturbances e.g. hypokalaemia, hypomagnesaemia
906
What are the symptoms of AF?
Palpitations Chest pain Shortness of breath Lightheadedness Syncope
907
What are the signs of AF?
* Irregularly irregular pulse rate with a variable volume pulse. * A single waveform on the jugular venous pressure (due to loss of the a wave - this normally represents atrial contraction). * An apical to radial pulse deficit (as not all atrial impulses are mechanically conducted to the ventricles). * On auscultation there may be a variable intensity first heart sound.
908
What are some differentials for AF?
**Atrial Flutter** Distinguishing between the two requires an ECG. **Supraventricular Tachycardia** Distinguishing between different types of SVT requires an ECG. **Ventricular Tachycardia** ECG patterns differ tremendously.
909
What is the diagnostic investigation for AF?
**12-lead ECG** Shows absence of p waves with an irregularly irregular rhythmn.
910
What other investigations should be ordered for AF?
* Routine bloods: to look for reversible causes (e.g. infection (raised WCC and CRP), Hyperthyroidism (raised T3/T4)) * Echocardiography - To see if there is a cardoiac cause for the AF (e.g. left atrial dilatation secondary to mitral valve disease).
911
What is the management of acute AF in patients with adverse signs (shock, syncope, heart failure, myocardial ischaemia)?
1st line = synchronised DC cardioversion +/- amiodarone
912
What is the management of acute AF in stable patients and onset of AF <48 hours?
**Rate or rhythmn control** Either: * Rhythm control with DC cardioversion (+ sedation) * or pharmacological anti-arrhythmics (fleicanide if no structural heart disease, amiodarone if history of structural heart disease). If DC cardioversion is used then heparin will be required to anticoagulate the patient before DC cardioversion. If onset of AF is <48 hours then no further anticoag is required
913
What is the management of acute AF in stable patients and onset of AF >48 hours (or unclear time of onset)
**Rate control only** * Rate control with **beta-blockers or rate limiting CCBs (diltiAzeem, verapamil)** * Digoxin may be used does no/very little exercise * Need to anticoagulate for 3/52 prior to attempting cardioversion due to the risk of throwing off a clot. You can also perform a TOE to exclude a mural thrombus.
914
What is the management of chronic AF?
Management focusses on symptomatic relief and control of stroke risk * 1st Line = **Rate Control** (reduces patient's HR to control symptoms) * **Rhythem Control** is only appropriate in certain patients * **Anticoagulation** should be given to males who score 1 or more, and females who score 2 or more in CHADS2VASc
915
What are the medications used for Rate Control of chronic AF?
* **1st line**: beta-blocker (bisoprolol) or rate-limiting calcium channel blocker (diltiazem). * **2nd line**: dual therapy of beta blockers and rate limiting CCBs * **Digoxin monotherapy** may be considered in those with non-paroxysmal AF who are sedentary.
916
In what patients would rate control not be used as first line for AF?
**RANCH** * Reversible cause of AF *Atrial Flutter Ablation * New onset (<48hrs) * Clinical Judgement * HF secondary to AF
917
How can Rhythm control be achieved for chronic AF?
* Electrical cardioversion * Pharmacological cardioversion: amiodarone, fleicanide or sotalol. * Catheter Ablation of the arrhythmogenic focus between the pulmonary veins and left atrium is a final option for rhythm control. But with this method, there is a high risk of reccurence.
918
What are the options for anticoagulation for patients with AF?
* **1st Line**: Direct oral anticoagulants (DOACs) e.g. edoxaban, apixaban, rivaroxaban & dabigatran. These don't require monitoring. * Warfarin - Requires cover with LMWH for 5 days when initiating treatment; and regular INR monitoring. This is the only option for those with Valvular AF * Low Molecular Weight Heparin (LMWH) - e.g. enoxaparin. This is a rare option for those who can't tolerate oral treatment. Requires daily injections.
919
What are some possible complications of AF?
**Heart failure** **Systemic emboli**: * Ischaemic Stroke * Mesenteric ischaemia * Acute limb ischaemia **Bleeding**: * GI * Intracranial
920
What is Pityriasis Rosea?
Acute Self limiting rash caused by HHV-7
921
What are the features of Pityriasis Rosea?
**Herald Patch** on the trunk. * 1-2 weeks later multiple erythematous scaly patches following the rib distribution (parallel to the line of Langer) (**Christmas tree appearance**) * Self limiting- disappears within 6-12 weeks
922
What is the management of Pityriasis Rosea?
Self limiting condition caused by HHV-7 Will clear within 6-12 weeks.
923
What are the differing features of pityriasis rosea and Guttate Psoriasis? **Prodrome** **Appearance** **Management**
**Guttate Psoriasis** * Prodrome: preceded by strep throat 2-4 weeks ago * Appearance: **tear drop** scaly papules on trunk and limbs * Management: Resolve within 2-3 months. Topical agents as per psoriasis treatment **Pityriasis Rosea** * Prodrome: often non- may have URTI (viral) * Appearance: Herald patch followed by christmas tree distribution of smaller scaly patches on ribs * Management: Self limiting - resolves in 6-12 weeks
924
What is Pityriasis Versicolor?
Also called tinea versicolor, is a superficial cutaneous fungal infection caused by **Malassezia furfur**
925
What are the features of Pityriasis Versicolor?
* Most commonly affects trunk * Patches may be hypopigmented, pink or brown (hence versicolor). * May be more noticeable following a suntan * Scale is common * Mild pruritus
926
What are some predisposing features of Pityriasis Versicolor?
* Occurs in healthy individuals * Immunosuppression * Malnutrition * Cushing's
927
What is the management of Pityriasis Versicolor?
**Topical Antifungal** * Ketoconazole shampoo as this is more cost effective for large areas * If failure to respond to topical treatment then consider alternative diagnoses (e.g. send scrapings to confirm the diagnosis) + oral itraconazole
928
What is Scabies?
Scabies is caused by the mite **Sarcoptes scabiei** and is spread by prolonged skin contact. It typically affects children and young adults.
929
What is the pathophysiology of Scabies?
* The scabies mite burrows into the skin, laying its eggs in the stratum corneum. * The intense pruritus associated with scabies is due to a delayed-type IV hypersensitivity reaction to mites/eggs * Which occurs about 30 days after the initial infection.
930
What are the clinical features of Scabies?
* **Widespread Intense pruritus** * linear burrows on the side of fingers, interdigital webs and flexor aspects of the wrist * in infants, the face and scalp may also be affected * **secondary features** are seen due to scratching: excoriation, infection
931
What is the management of Scabies?
**Permethrin 5% is first-line** **malathion 0.5% is second-line** pruritus persists for up to 4-6 weeks post eradication
932
What guidance should be given when managing Scabies?
* Avoid close physical contact with others until treatment is complete * All household and close physical contacts should be treated at the same time, even if asymptomatic * Launder, iron or tumble dry clothing, bedding, towels, etc., on the first day of treatment to kill off mites.
933
What is Norwegian (Crusted) Scabies?
Scabies seen in immunosuppressed patients especially with HIV **Ivermectin and isolation is the treatment of choice**
934
What is Rosacea?
Rosacea (sometimes referred to as acne rosacea) is a chronic skin disease of unknown aetiology.
935
What are the clinical features of Rosacea?
* Typically affects nose, cheeks and forehead * Flushing is often first symptom * Sunlight may exacerbate symptoms * Telangiectasia are common * later develops into **persistent erythema with papules and pustules** * **rhinophyma** **ocular involvement: blepharitis**
936
What is the management of Rosacea?
**Simple Measures:** * Application of high-factor sun cream * Camouflage creams for redness concealment **Mild-Moderate papules/pustules** * **Topical Ivermectin** is first line **Moderate-Severe Papules/Pustules** * Combination of **Topical Ivermectin + Oral Doxycycline**
937
What Management for Rosacea can be used for **predominant flushing and erythema** as a PRN?
**Topical Brimonidine Gel** * Topical alpha-adrenergic agonist * Temporarily reduces redness
938
When should patients be referred to dermatology with Rosacea?
* Symptoms have not improved with optimal management in primary care * Laser therapy may be appropriate for patients with prominent telangiectasia * **Patients with a rhinophyma**
939
What is Rhinophyma?
An enlargead red bumpy and bulbous nose due to granulomatous infiltration as a result of untreated rosacea
940
What is Onychomyosis?
Fungal Nail infection involving any part of the nail or the entire nail unit
941
What are the common causative organisms for Onychomyosis?
**Dermatophytes** * account for around 90% of cases * mainly Trichophyton rubrum **Yeasts** * account for around 5-10% of cases * Candida **non-dermatophyte moulds**
942
What are some risk factors for Onychomyosis?
increasing age diabetes mellitus psoriasis repeated nail trauma
943
What are the clinical features of Onychomyosis?
* 'unsightly' nails are a common reason for presentation * Thickened, rough, opaque nails are the most common finding
944
What is the Investigations for Onychomyosis?
**nail clippings +/- scrapings of the affected nail** * Microscopy and culture * should be done for all patients if antifungal treatment is being considered * False-negative rate for cultures are around 30%, so repeat samples may need to be sent if the clinical suspicion is high
945
What is the management of Onychomyosis?
**Asymptomatic** * Does not require treatment if patient not bothered by appearance **Confirmed Candida/Dermatophyte infection (Limited Involvement)** * Topical Amorolfine 5% nail laquer * 6 months for finger nails * 12 months for toe nails **Extensive Dermatophyte infection** * Oral Terbinafine * 6-12 weeks for finger nails * 3-6 months for toe nails
946
What is Paronychia?
an infection of the proximal and lateral fingernails and toenails folds, including the tissue that borders the root and sides of the nail
947
What is Erectile Dysfunction?
The persistent inability to attain and maintain an erection sufficient to permit satisfactory sexual performance. It is a symptom and not a disease
948
How can the cause of Erectile Dysfunction be differentiated?
**Factors Favouring an Organic Cause** * Gradual onset of symptoms * Lack of tumescence * Normal libido **Factors Favouring a Psychogenic Cause** * Sudden onset of symptoms * Decreased libido * Good quality spontaneous or self-stimulated erections * Major life events * Problems or changes in a relationship * Previous psychological problems * History of premature ejaculation
949
What are some Psychological and non-psychological causes of erectile dysfunction?
**Psychological** * Stress * Anxiety disorder * Depression * Performance Anxiety **Non-Psychological** * Vascular causes * Diabetes * Neurogenic - parkinsons/nerve damage * Alcohol * Meds - Beta blockers
950
What are some other risk factors for Erectile Dysfunction?
* **Increased Age** * Cardiovascular disease risk factors: obesity, diabetes mellitus, dyslipidaemia, metabolic syndrome, hypertension, smoking * Alcohol use * Drugs: SSRIs, beta-blockers
951
What are the investigations for Erectile Dysfunction?
**NICE recommend all men have their 10-year CVD risk assessed by calculating lipid and fasting glucose levels** **Free Testosterone:** * Measured in morning between 9-11am * If low or borderline then do LH. FSH and Prolactin * If these are abnormal then refer to Endocrinology **Blood tests:** * Testosterone * Lipid Profile * Prolactin * HBA1c
952
What is the management of Erectile Dysfunction?
**PDE-5 inhibitors** * Sildenafil * Prescribed regardless of aetiology (if no CIs) * sildenafil can be purchased over-the-counter without a prescription. **Vacuum erection devices** are recommended as first-line treatment in those who can't/won't take a PDE-5 inhibitor. **Psychosexual Counselling** **Advice:** * Young man who has always had difficulty achieving an erection, referral to urology is appropriate * People with ED who cycle for more than three hours per week should be advised to stop
953
What is Actinic Keratoses?
Actinic, or solar, keratoses (AK) is a common premalignant skin lesion that develops as a consequence of chronic sun exposure
954
What are the clinical features of Actinic Keratoses?
* Small, crusty or scaly, lesions * May be pink, red, brown or the same colour as the skin * Typically on sun-exposed areas e.g. temples of head * Multiple lesions may be present
955
What is the management of Actinic Keratoses?
**Prevention** * Sun avoidance * Suncreams **Fluorouracil Cream** 2-3 week course **Topical Diclofenac** **Topical Imiquimod**
956
What is Bowen's Disease?
Type of precancerous dermatosis that is a precursor to squamous cell carcinoma. * It is more common in elderly patients. * There is around a 5-10% chance of developing invasive skin cancer if left untreated.
957
What are the features of Bowen's Disease?
* Red, scaly patches * often 10-15 mm in size * slow-growing * often occur on sun-exposed areas such as the head (e.g. temples) and neck, lower limbs
958
What is the management of Bowen's Disease?
**Topical 5-fluorouracil** * typically used twice daily for 4 weeks * often results in significant inflammation/erythema. **Topical steroids are often given to control erythema from 5-FU** Cryotherapy Excision
959
What is Compartment syndrome?
Post fracture, there is raised pressure causing muscles and blood vessels within a fascial compartment are compressed and inflamed. The fascia is not stretchy so leads to ischaemia and severe pain/
960
What are the features of Compartment Syndrome?
6Ps of acute limb ischaemia Extreme pain on passive movement of the limb. Pulses may be faint rather than absent
961
How is Compartment Syndrome Diagnosed?
**History of crush injury or trauma** * Intra-compartmental manometry (increased by 40mmHg)
962
What is the Management of Compartment syndrome?
Fasciotomy