General Skin Structure & Function (Noland) Flashcards

(47 cards)

1
Q

Describe the general migration pathway of melanoblasts to the skin.

A

Melanoblasts originate from neural crest cells at the dorsal neural tube, delaminate, and migrate dorsolaterally between the somite and ectoderm to reach the skin, where they differentiate into melanocytes.

How well did you know this?
1
Not at all
2
3
4
5
Perfectly
2
Q

What are the four broad categories of tissues?

A
  • Epithelial tissue
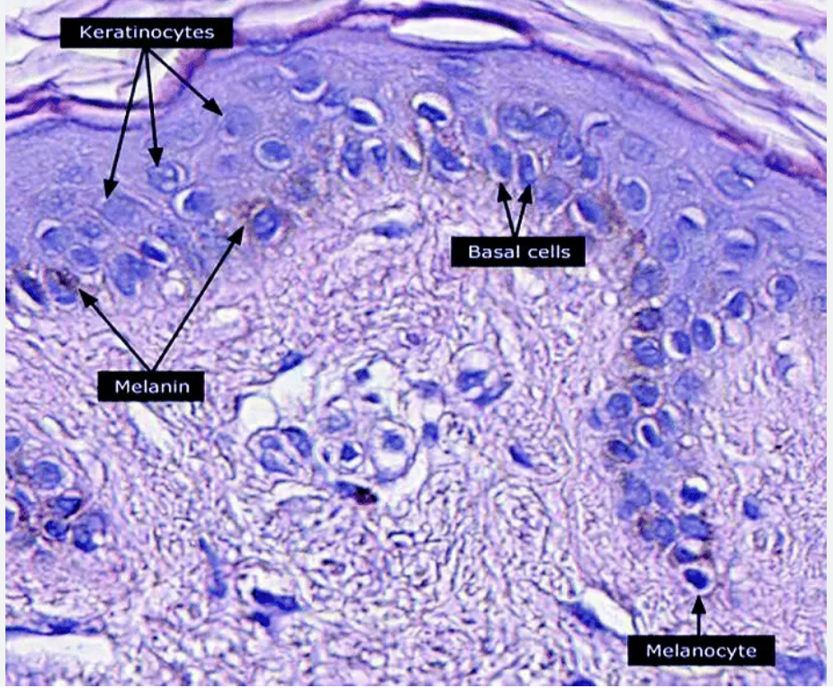
  • Connective tissue
  • Muscle tissue
  • Nervous tissue
How well did you know this?
1
Not at all
2
3
4
5
Perfectly
3
Q

Identify the germ layers from which the components of the skin are derived.

A

The three embryonic germ layers include the endoderm, mesoderm, and ectoderm.

The epidermis of the skin is derived from the ectoderm. The dermis and subcutis of the skin are derived from the mesoderm.

How well did you know this?
1
Not at all
2
3
4
5
Perfectly
4
Q

Epidermis of the skin is derived from the ________.

A

ectoderm

How well did you know this?
1
Not at all
2
3
4
5
Perfectly
5
Q

The dermis and subcutis of the skin are derived from the __________.

A

mesoderm

How well did you know this?
1
Not at all
2
3
4
5
Perfectly
6
Q

Main types of epithelia of the skin?

A
  • Keratinized stratified squamous
  • Stratified cuboidal
  • Simple cuboidal
  • Simple columnar
How well did you know this?
1
Not at all
2
3
4
5
Perfectly
7
Q

Describe the development of the integument system

A

The epidermis of the skin is derived from the ectoderm, while the dermis and subcutis are derived from the mesoderm.

How well did you know this?
1
Not at all
2
3
4
5
Perfectly
8
Q

Identify the germ layers from which the components of the skin are derived

A

Epidermis → ectoderm
Dermis & subcutis → mesoderm

How well did you know this?
1
Not at all
2
3
4
5
Perfectly
9
Q

Describe the general migration pathway of melanoblasts to the skin — Origin

A

Melanocytes arise from neural crest cells, derived from the neuroectoderm on the dorsal surface (roof plate) of the neural tube.

How well did you know this?
1
Not at all
2
3
4
5
Perfectly
10
Q

Identify epidermal, dermal, and subcutaneous layers of skin on a microscopic slide/image.

A
How well did you know this?
1
Not at all
2
3
4
5
Perfectly
11
Q

Describe the general migration pathway of melanoblasts to the skin — Delamination & Specification

A

Neural crest cells detach (delaminate) from the neural tube, forming migratory bipotent precursor cells that divide into melanoblasts.

How well did you know this?
1
Not at all
2
3
4
5
Perfectly
12
Q

Describe the general migration pathway of melanoblasts to the skin — Migration Route

A

Melanoblasts migrate along a dorsolateral pathway between the somite and ectoderm toward developing skin.

How well did you know this?
1
Not at all
2
3
4
5
Perfectly
13
Q

Describe the general migration pathway of melanoblasts to the skin — Destination

A

Melanoblasts reach the skin, proliferate, and differentiate into melanocytes in the basal layer of the epidermis and hair follicles.

How well did you know this?
1
Not at all
2
3
4
5
Perfectly
14
Q

Name the four broad categories of tissues

A

Epithelial, connective, muscle, and nervous.

How well did you know this?
1
Not at all
2
3
4
5
Perfectly
15
Q

Name all the types of epithelia of the skin.

A
  • Simple/stratified squamous
  • Simple/stratified cuboidal
  • Transitional
  • Simple/stratified columnar
  • Pseudostratified columnar
How well did you know this?
1
Not at all
2
3
4
5
Perfectly
16
Q

Differentiate non-keratinized vs keratinized stratified squamous epithelium

A

Non-keratinized retains nuclei; keratinized loses nuclei and forms a protective outer layer.

How well did you know this?
1
Not at all
2
3
4
5
Perfectly
17
Q

Name the areas of the body with thick vs thin skin (grossly)

A

Thick (dermal):

  • dorsum
  • lateral limbs (high friction)

Thin (dermal):

  • ventral abdomen/thorax
  • medial limbs
  • axilla
  • inguinal
  • eyelids
  • muzzle
How well did you know this?
1
Not at all
2
3
4
5
Perfectly
18
Q

Name the areas where thick skin (microscopically) can be found

A

Paw pads, nose, and lip regions.

Microscopically thick = thick epidermis, usually hairless.

How well did you know this?
1
Not at all
2
3
4
5
Perfectly
19
Q

Differentiate microscopic vs gross thick and thin skin

A

Microscopic = epidermal thickness
Clinical = dermal thickness

Thick epidermis → paw pads/nose/lips
Thick dermis → dorsum/lateral limbs

20
Q

Identify the layer of the skin where melanocytes reside

A

Basal layer of the epidermis.

21
Q

Identify a melanocyte within a microscopic slide or image

22
Q

Describe how the skin functions as a protective barrier — overview

A

Highly impermeable

Prevents chemical penetration, water loss, and pathogen entry via immune surveillance.

23
Q

Explain the brick and mortar analogy of the skin barrier

A

Bricks = corneocytes

Mortar = lipid bilayers surrounding corneocytes (stratum corneum)

24
Q

Name the immune system cell involved in the skin barrier

A

Langerhans cells — antigen-presenting immune cells in the epidermis.

25
Describe the function of Langerhans cells
Capture antigens from skin and present them in lymph nodes (dendritic cell function).
26
Name the general pH of dog skin
More neutral (vs human skin, which is acidic).
27
Explain how pH affects the dog skin barrier
Neutral pH supports a healthy microbiome and prevents pathogen infection.
28
Describe the general process of melanogenesis — overview
Melanocytes produce melanin when triggered by UV light, hormones, or genetics.
29
Describe the enzymatic steps of melanogenesis
Tyrosinase converts tyrosine → DOPA → dopaquinone. With cysteine → pheomelanin (yellow-red). Without cysteine → eumelanin (brown-black).
30
Explain how melanin is transported to keratinocytes
Melanin travels via microtubules/actin to melanocyte dendrite tips, then transferred to surrounding keratinocytes.
31
Name the major enzyme in melanogenesis
Tyrosinase — rate-limiting enzyme in melanin synthesis.
32
Explain how lack or mutation of tyrosinase presents clinically
Causes pigmentation defects (congenital or acquired), possibly affecting skin, eyes, ears, and nervous system.
33
Name the two melanin pigments produced in domestic species
Eumelanin (black/brown) and Pheomelanin (red/yellow).
34
Explain how melanin protects from UV damage
Melanosomes cluster above keratinocyte nuclei forming a perinuclear cap that shields DNA from UV.
35
Explain the skin’s role in thermoregulation
* Vasoconstriction retains heat * Vasodilation promotes heat loss * Adipose tissue provides insulation and heat production
36
Describe the Vitamin D synthesis pathway involving the skin
UVB light exposure converts 7-dehydrocholesterol (in plasma membrane of epidermal keratinocytes) → Pre-D3 undergoes hydroxylation either spontaneously or by additional UVB light exposure → Cholecalciferol (Vitamin D3, inactive form).
37
Describe how the skin functions as a sensory organ
Detects touch, pressure, temperature, pain, proprioception, hair follicle receptors, and itch.
38
Identify the four mechanoreceptors in skin
Encapsulated nerve ending-mechanoreceptors (x3): 1. Pacinian corpuscles 2. Meissner’s corpuscles 3. Ruffini’s corpuscles Unencapsulated free nerve endings (x1): 4. + Merkel cells
39
Pacinian corpuscle — function and location
Detects vibration and pressure changes. Located in deep dermis/hypodermis (paw pads, joints) and firbrous tissue surrounding a nerve.
40
Meissner’s corpuscle — function and location
Detects light/fine touch. Found in papillary dermis (paw pads, lips, muzzle).
41
Ruffini’s corpuscle — function and location
Senses skin stretch and joint angle changes via displacement of collagen bundles. Located in reticular/deep dermis (joint capsules, paws, skin over joints).
42
Unencapsulated free nerve endings — function and location
Sense fine touch, temperature, and pain. Extend into epidermis and hair follicle epithelium.
43
Merkel cells — function and location
Detect fine touch, pressure, texture. Located in basal epidermis and tylotrich pads.
44
What do Pacinian Corpuscles look like histologically?
## Footnote Pacinian corpuscles = onion-like rings
45
What do Meissner Corpuscle look like histologically?
## Footnote Meissner corpuscle = encapsulated in dermal papillae
46
What do Tylotrich Pads look like histologically?
## Footnote Tylotrich pad = raised epidermal mound
47
Describe how the skin functions as a behavioral organ
Skin influences agonistic and sexual behaviors (e.g., piloerection, horn display, sexual dimorphism).