Genodermatoses 1 Flashcards

(45 cards)

1
Q

Herança da ptiriase rubra pilar

A

Adquirida
6% AD

How well did you know this?
1
Not at all
2
3
4
5
Perfectly
2
Q

Gene murado na Pitirase rubra

A

CARD 14❤️

How well did you know this?
1
Not at all
2
3
4
5
Perfectly
3
Q

Etiologia da PPR E EPIDEMIOLOGIA

A

DISFUNÇÃO DE QUERATINIZACAO OU METABOLISMO DA VIT A
BIMODAL H=M

How well did you know this?
1
Not at all
2
3
4
5
Perfectly
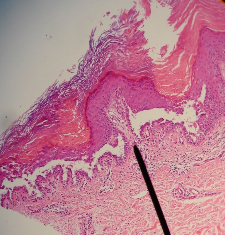
4
Q

HISTOLOGIA DA PPR

A

PARACERATOSE EM ALTERNANCIA VERTICAL E HORIZONTAL (TABULEIRO DE XADREZ). PLUG FOLICULAR E PARACERATOSE NOS OMBROS FOLICULARES ♟

How well did you know this?
1
Not at all
2
3
4
5
Perfectly
5
Q

Subtipos da PPR

A

TIPO I : Classica do adulto
TIPO II: Atipico do adulto
TIPO III: Classivo juvenil
TIPO IV: Circunscrito juvenil
TIPO V Atipico juvenil

How well did you know this?
1
Not at all
2
3
4
5
Perfectly
6
Q

PRP TIPO I : Caracteristicas

A

Generalizado
Disseminação crânio caudal
Pápulas perifoliculares
Queratodermia palmoplantar cerra
Remissão em 3a
55%

How well did you know this?
1
Not at all
2
3
4
5
Perfectly
7
Q

PRP TIPO II

A

GENERALIZADO
AREAS DE DERMATITE ECZEMATOSA
ESCAMAS ICTIOSIFORMRS NAS PERNAS
QUERATODERMIA PALMOPLANTAT GROSSEIRA
ALOPECIA OCASIONAL
CURSO CRONICO
5%

How well did you know this?
1
Not at all
2
3
4
5
Perfectly
8
Q

PRP TIPO III

A

GENERALIZADO
ACHADOS CLÁSSICOS (=I)
Picos de início: primeiro 2 anos de vida / adolescência
Maioria remissão em 3 anos
10%

How well did you know this?
1
Not at all
2
3
4
5
Perfectly
9
Q

PRP TIPO IV

A

FOCAL
COTOVELOS E JOELHOS
ERITEMA
PAPULAS FOLICULARES
INICIO PRE- PUBERAL
CURSO VARIAVEL
25%

How well did you know this?
1
Not at all
2
3
4
5
Perfectly
10
Q

PRP TIPO V

A

GENERALIZADO
HIPERCERATOSE FOLICULAR
ALTERAÇÕES ESCLERODERMIFORMES DE MÃO OU PÉS
MAIOR NUm de PRP FAMILIAR
INICIO NOS PRIMEIROS ANOS DE VIDA
CURSO CRONICO

How well did you know this?
1
Not at all
2
3
4
5
Perfectly
11
Q

Poroceratose : caracteristicas

A

Lesões papulosas com crescimento centrífugo e centro normal
Periferia com. Uma muralha cornea
Pode ser herdada
Pode desenvolver CEC -raro

How well did you know this?
1
Not at all
2
3
4
5
Perfectly
12
Q

AP de poroceratose

A

Lamela cornoide (coluna de paraceratose)

How well did you know this?
1
Not at all
2
3
4
5
Perfectly
13
Q

Poroceratose de Mibelli

A

Lesões de diferentes tamanhos
Predileção por Membros
Pode acometer Mucosa
Início na infância

How well did you know this?
1
Not at all
2
3
4
5
Perfectly
14
Q

Poroceratose linear

A

Surge naninfancia
Segue linhas de blaschko

How well did you know this?
1
Not at all
2
3
4
5
Perfectly
15
Q

Poroceratose actínica disseminada

A

Mais comum
Lesões numerosas e menos evidentes
Localiza em área fotoexposta
Frequência maior em mulher caucasiana
Início na Adolescência (actínica)

How well did you know this?
1
Not at all
2
3
4
5
Perfectly
16
Q

Poroceratose superficial disseminada

A

Lesões em áreas fotoexposta e nao fotoexposta
Mais frequente em mulher
Associada a imunossupressão

How well did you know this?
1
Not at all
2
3
4
5
Perfectly
17
Q

Poroceratose palmoplantar punctata

A

Durante ou após adolescencia
Punctata-puberdade
Papula em palma e planta

How well did you know this?
1
Not at all
2
3
4
5
Perfectly
18
Q

Poroceratose palmoplantar disseminada

A

Surgem na adolescência
Acomete palmoplantar inicialmente, depois via pra tronco e membros
+ homem

How well did you know this?
1
Not at all
2
3
4
5
Perfectly
19
Q

Qual herança da Doença de Darier?

A

AD
Mutação no gene ATP2A2

20
Q

Caracteristicas da doença de Darier

A

Inicio na adolescência
Pápulas queratóticas
Areas seborréicas, dorso das mãos e mucosas
Lesões em dobras vegetantes
Lesões mucosas simulam leucoplasia oral
Unhas com chanfradura em V e estrias longitudianais
Lesões podem ser exacerbadas por calor, radiação infeções, herpes e litio

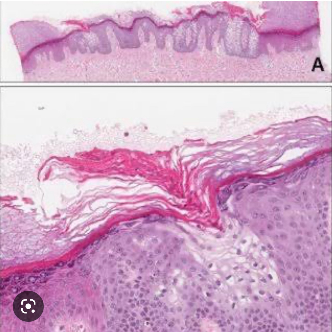
21
Q

Histopatológico de Darier

A

Disceratose acantolitica
Colunas de paraqueratose, sob as quais há fendas, células disqueratóticas, arredondadas, com um halo claro, chamados de “corps rounds”
Células Fantasmas na camada córnea

22
Q

Quais são as dermatoses perfurantes?

A

Doença de Kyle
Colagenose Perfurante reativa
Elastose perfurante serpiginosa
Foliculite perfurante

23
Q

Epidemiologia da Doença de Kyrle

A

Sexo feminino
40-50 anos

24
Q

Associações da Doença de Kyrle

A

Principais: DM e doença renal (IV e V)

Doenças pruriginosas, como picadas de insetos e escabiose// Linfoma e doenças Hepatobiliares/ Após herpes zoster, inibidor de TNF-alfa, indinavir inibidores de fator de crescimento epidérmico

25
Características da doença de Kyrle
Pápulas hiperceratóticas com predileção por membros inferiores Pode ser generalizada
26
HP de Doença de Kyrle
Eliminação transepidérmica de material necrótico
27
Epidermiologia da Colagenose perfurante reativa
Adquirida: idosos Hereditária: infância
28
Associação da colagenose perfurante reativa
Associação: DM, hipo/hipertireoidismo, IR, SIDA, Leucemia,linfoma
29
Clinica da Colagenose perfurante reativa
Pápulas queratóticas locais: braços e mãos locais de trauma pode ter remissão com o controle das doenças relacionadas
30
HP da Colagenose perfurante reativa
Eliminação transepidérmica de firbas de colágeno dermico lesão em formato de xícara contendo queratina, restos celulares, neutrófilos e fibras colágenas e elásticas (Hematoxilina & eosina, 50×). (B) Presença de fibras colágenas intraepidérmicas perpendiculares à superfície da pele (Tricômico de Masson, 40×
31
Epidermiologia da Elastose perfurante serpiginosa
inicia na infância / vida adulta + sexo masculino
32
Doenças associadas a Elastose perfurante serpiginosa
Associação: REATIVO- DTC(PXE) Drogas: Penicilamina // Síndrome de Down
33
Clinica da Elastose perfurante serpiginosa
Pápulas hiperceratóticas com distribuição serpiginos Local: Pescoço, MSS, face e tronco Quadro autolimitado
34
HP da Elastose perfurante serpiginosa
HP: Extrusão transepidérmica de fibras elásticas canal transepidérmico eliminando material amorfo, composto por fibras elásticas eosinofílicas, células mononucleares basofílicas e debris celulares
35
Epidemiologia da foliculite perfurante
EPIDEMIO: ADULTOS JOVENS
36
Associação da foliculite perfurante
IDIOPÁTICA // PODE ESTAR ASSOCIADO A IRC, DM, HAS
37
Clínica da foliculite perfurante
Pápulas ceratóticas foliculares na superfícies extensoras dos membros e glúteos
38
HP da foliculite perfurante
Ruptura do infundibulo com eliminação transfolicular ou transepidérmica de material conjuntivo e restos celulares
39
Herança da Síndrome de Netherton
REcessiva (NethERton) Mutação no gene SPINK 5
40
Clínica da Síndrome de Netherton
Tríade: 1.Ictiose linear circunflexa 2. Tricorrexe invaginata (cabelo em bambu) 3. Dermatite atópica
41
Herança da Tricotiodistrofia
AR Sem ictiose:ERCC3/XPB Com ictiose:ERCC2/XPD
42
Clínica da Tricotiodistrofia
Hastes pilosas fragéis e deficientes de enxofre >> Cabelo em cauda de tigre Pode apresentar bebê colódio Alterações neurológicas Tricorrexe nodosa
43
a tricotiodistrofia + Ictiose
IBIDS/ PIBIDS Photosensitivity Ichthyosis Brittler hair (cabelo quebradiço) Impaired Intelligente Decreased fertility Short stature
44
Síndrome KID
Mutação no gene da GJB2 Keratitis (vasculariação progressiva da córnea com cegueira na adolescência Icthyosis ( alopecia e erupção acneiforme) Deafness Risco aumentado de CEC
45
Hiperceratose lenticular persistente
AD Desordem na proliferação de queratinócitos Pápulas vermelha-amarronzadas e hiperceratóticas região istal de MII e dorso dos pés Geralmente assintomáticas Quando destacadas causam leve sangramento