In a country with a high incidence of this finding, what would you expect the incidence of GERD to be?

Low
(Inverse relationship between H. pylori and GERD incidences; H. pylori causes gastric atrophy so reduces acid)
A patient taking an OTC medication for “allergies” presents with substernal chest pain and dry mouth. What is the mechanism for her symptoms?
May be taking a first generation antihistamine, which has anticholinergic effects = decreased salivation = decreased esophageal clearance + less neutralizing bicarb
What is the function of the crural diaphragm?

List 3 protective factors of the esophagus against development of GERD.
Dx?

Hiatal hernia
(Gastric folds present above the diaphragm, which is the circular constricted area)
This finding is the most common cause of GERD due to:

Hypotensive LES
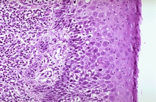
(Notice all the neutrophils + the squamous epithelium = esophagitis)
What sign would you expect in this patient?

Bowel sounds in lung fields
(Rolling hernia/paraesophageal hernia)
Dx?

GERD
(Notice epithelium is all still squamous; nuclei in desquamated cells; lymphocytes, PMNs, and eosinophils present)
A patient with an A1c of 12 has had poorly controlled DM for over a decade. He now presents with CP that is worse at night and after meals. What is the mechanism of his symptoms?
Diabetic gastroparesis - causes delayed gastric emptying
Dx of acid reflux vs. pathologic reflux using pH monitoring
Esophageal pH < 4 for > 5 seconds = acid reflux
pH < 4 for > 1.2 hours (5%) in 24 hours = pathologic reflux
What is the function of the angle of His?
Forms a flap valve that anatomically prevents reflux
(Angle between fundus of stomach and esophagus)

A patient presents with cough and vomiting after meals but denies chest pain. First step in management?
Impedance study
(This checks for non-acid reflux, i.e. from duodenum, by measuring the conductivity of the refluxed liquid; no chest pain because acid isn’t present to destroy mucosa)
Dx?

Esophageal adenocarcinoma
Describe the pathogenesis of this type of hernia.

Widening of the diaphragmatic hiatus and relaxation of the phreno-esophageal ligament
What is causing this endoscopic finding?
What symptom may the patient present with?

GERD leading to a bleeding ulcer
Hematemesis
A patient presenting with substernal chest pain worse at night is found to have Tzank cells on biopsy of his esophagus during endoscopy. What is the mechanism of his symptoms?
Esophagitis (due to HSV) leads to hypotensive LES, which leads to GERD
How do strictures occur in GERD patients? What other complication can they cause?
Acid knocks out the mucosa and its stem cells; healing of ulcers occurs by fibrosis = strictures
Strictures can cause esophageal dysmotility
Why might a patient with CREST syndrome develop GERD?
Esophageal dysmotility (the “E” in CREST) results in inability to clear esophageal contents
(Esophageal dysmotility may also result from GERD)
A patient presents with chest pain that comes and goes and is in the middle of his chest. He has also developed a cough that seems to only happen at night. He has lost some weight as eating makes the pain worse. What is the first step in management of this patient?
Two week trial with anti-reflux lifestyle modifications (elevate head of bed, etc) + PPI
What is this patient’s risk of developing esophageal adenocarcinoma?

~0.5%
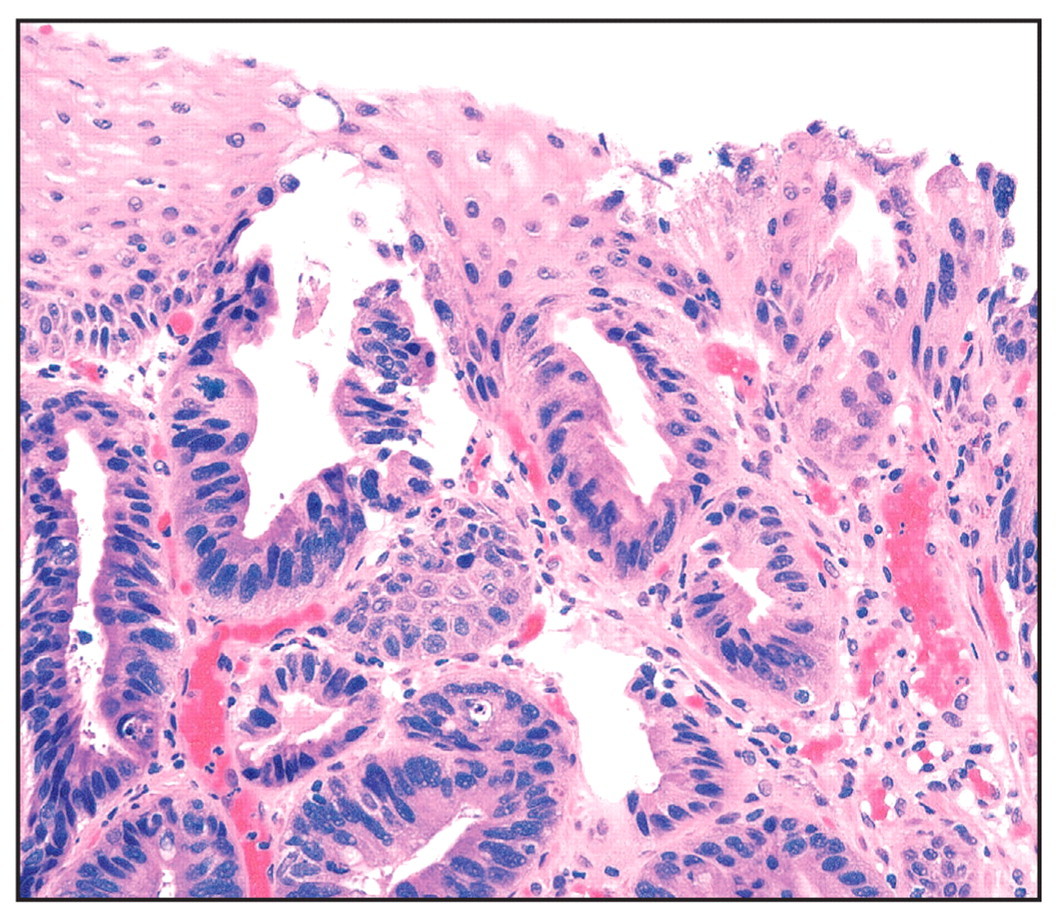
(Barrett’s esophagus - notice non-ciliated columnar epithelium with goblet cells next to normal squamous epithelium)
Dx?

High-grade dysplasia, Barrett’s
(Irregular glands, nuclear atypia)
How does tLESr compare with normal LES relaxation during a meal?
Normal LES relaxation
induced by swallowing; couple of seconds long; followed by primary peristalsis in esophageal body
tLESr
independent of swallowing; >10 seconds long; followed by repetitive contractions in esophageal body; accompanied by inhibition of crural diaphragm
A pregnant patient presents with chest pain and a cough at night. What is the mechanism of her symptoms?
Hypotensive LES due to estrogen and progesterone
What are the 3 results of this surgery? 3 complications?

Fundoplication
Results:
Complications: