Question

A. Focal nodular hyperplasia

This patient’s incidentally found liver mass is characteristic of focal nodular hyperplasia (FNH), a nonneoplastic lesion that most commonly occurs in young women. FNH is thought to result from a hepatic vascular abnormality causing localized hyperperfusion with a secondary hyperplastic response. It grossly appears as a well-circumscribed, solitary mass with a characteristic central stellate scar from which fibrous septa radiate to the periphery. On microscopic examination, the fibrous septa—which enclose abnormally large, thick-walled arterial branches—divide the lesion into nodules composed of plates of normal-appearing hepatocytes.
FNH is benign and typically does not enlarge, undergo malignant transformation, or rupture; therefore, most cases do not require treatment. These lesions are usually asymptomatic and discovered incidentally during autopsy examination or abdominal imaging for a different condition.
(Choice B) Hepatic hemangioma is the most common benign hepatic lesion but typically appears as a well-circumscribed, red-brown, spongy subcapsular mass with areas of hemorrhage. Histopathology shows cavernous vascular compartments lined by endothelial cells and filled with red blood cells.
(Choice C) Hepatocellular adenoma is a benign liver lesion that is strongly associated with oral contraceptive use that may undergo malignant transformation or rupture. Although it can also be discovered incidentally, a hepatocellular adenoma usually appears as a well-circumscribed, solitary mass without a central scar. Histopathology typically shows hepatocytes without atypia and an absence of normal hepatic architecture (no portal structures or bile ducts).
(Choice D) Hepatocellular carcinoma (HCC) is a malignant liver tumor that usually develops in older patients in the setting of underlying chronic liver disease (eg, chronic viral hepatitis, alcohol-induced cirrhosis), and patients are often symptomatic at presentation (eg, abdominal pain, elevated liver function tests). HCC can have variable appearances on gross examination (eg, solitary or multiple tan, yellow, or green masses); however, the background liver parenchyma is usually cirrhotic.
Educational objective:
Focal nodular hyperplasia is a benign liver lesion marked by a central stellate scar with radiating fibrous septa that microscopically contain abnormally large, thick-walled arteries. It usually arises in asymptomatic young women, and most cases are found incidentally.
Focal nodular hyperplasia histology
centrall stellate scar
well circumscribed nodular lesion

Hepatocellular adenoma associations
Strongly associated with oral contraceptive use
Hepatocellular adenoma histology
Hepatocellular adenoma is a benign liver lesion that is strongly associated with oral contraceptive use that may undergo malignant transformation or rupture. Although it can also be discovered incidentally, a hepatocellular adenoma usually appears as a well-circumscribed, solitary mass without a central scar. Histopathology typically shows hepatocytes without atypia and an absence of normal hepatic architecture (no portal structures or bile ducts).

Question

C. Cholesterol 7alpha hydroxylase
This patient, with recurring abdominal pain, a positive “sonographic Murphy sign,” and multiple cholesterol gallstones, has acute cholecystitis. Water-insoluble cholesterol is secreted in bile, where it is solubilized by detergent-like bile salts and phosphatidylcholine. If there is more cholesterol than can be dissolved by the bile salts, it will precipitate into insoluble crystals, leading to formation of gallstones. Risk factors for gallstone formation include obesity or rapid weight loss, female sex, glucose intolerance, and hypomotility of the gallbladder (eg, pregnancy, prolonged fasting).
Fibrate medications (eg, fenofibrate, gemfibrozil) upregulate lipoprotein lipase, resulting in increased oxidation of fatty acids. In addition, fibrates inhibit cholesterol 7α-hydroxylase, which catalyzes the rate-limiting step in the synthesis of bile acids. The reduced bile acid production results in decreased cholesterol solubility in bile and favors the formation of cholesterol stones.
(Choice A) Estrogens increase the biosynthesis of cholesterol by upregulating hepatic HMG-CoA reductase activity. Estrogenic medications (eg, estrogen replacement therapy, combined oral contraceptives) increase the amount of cholesterol secreted in bile and contribute to formation of gallstones. Aromatase catalyzes the conversion of androgens to estrogen; inhibition would lead to reduced gallstone formation.
(Choice B) β-glucuronidase is released by damaged hepatocytes and bacteria in infected bile. It deconjugates bilirubin, and the resulting free bilirubin precipitates with calcium in the bile to form pigmented gallstones. Decreased activity of this enzyme would reduce the formation of pigmented stones but would not affect the formation of cholesterol gallstones.
(Choices D and E) The first step in cholesterol synthesis is the condensation of 2 molecules of acetyl-CoA by acetyl-CoA acetyl transferase (thiolase) to form acetoacetyl-CoA. Condensation with a third molecule of acetyl-CoA yields β-hydroxy-β-methylglutaryl-CoA (HMG-CoA). HMG-CoA reductase then catalyzes the conversion of HMG-CoA to mevalonate, the rate-limiting step in cholesterol synthesis. Decreased activity of these enzymes would reduce cholesterol synthesis and the amount of cholesterol secreted in bile, discouraging cholesterol stone formation.
Educational objective: Fibrate medications (eg, fenofibrate, gemfibrozil) inhibit cholesterol 7α-hydroxylase, which catalyzes the rate-limiting step in the synthesis of bile acids. The reduced bile acid production results in decreased cholesterol solubility in bile and favors the formation of cholesterol gallstones.

Question

E. Villous Adenoma

Biopsy of this patient’s mass demonstrates long glands with finger-like (villous) projections extending from the surface as well as dysplastic epithelium, which are characteristic of a villous adenoma. A villous adenoma is often large and sessile and can have velvety or cauliflower-like projections. By contrast, a tubular adenoma is composed of dysplastic colonic mucosal cells that form tube-shaped glands and tends to be smaller and pedunculated. A mixture of these 2 types indicates a tubulovillous adenoma. Of these, villous adenomas are the most likely to undergo malignant transformation.
Adenomas in the colon can cause occult or visible bleeding, leading to iron-deficiency anemia. Large polyps may occasionally cause partial obstruction with pain, constipation, and abdominal distension. In addition, villous adenomas can produce large quantities of prostaglandin E2, which results in increased mucin production and a secretory diarrhea characterized by watery, mucinous stools. Mucin is a potassium-rich glycoprotein; excessive production can result in hypoproteinemia and hypokalemia.
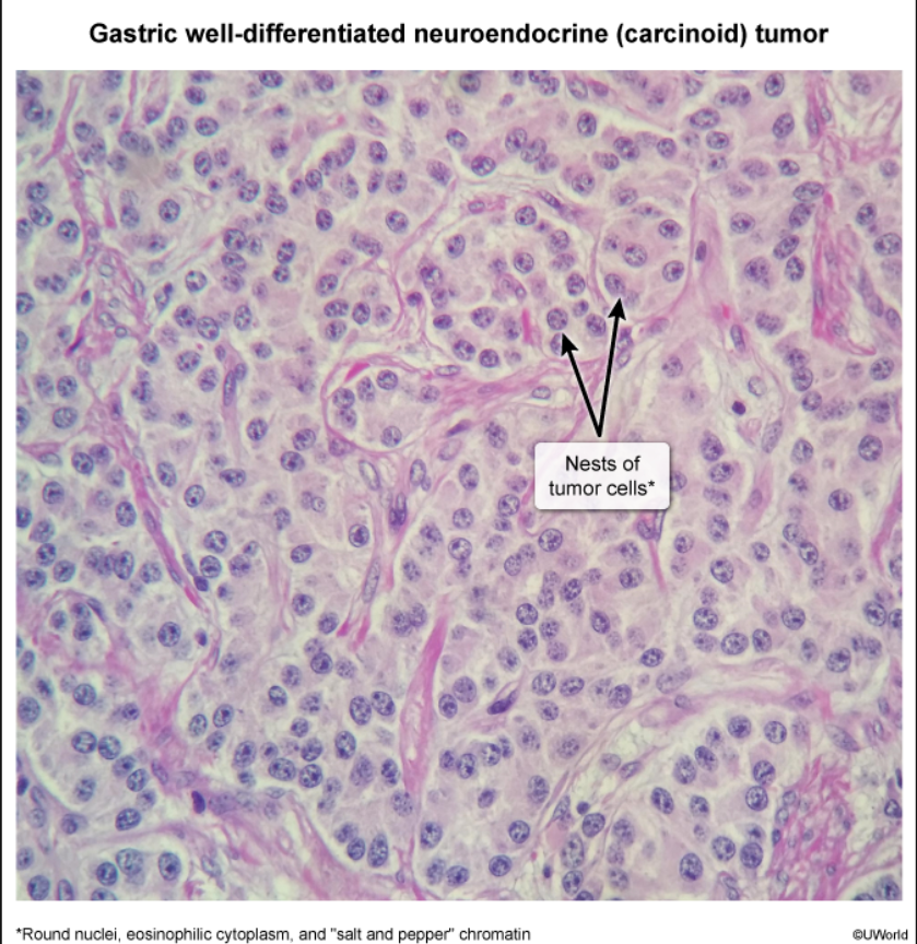
(Choice A) Intestinal carcinoids can cause diarrhea and are often associated with additional symptoms such as flushing, wheezing, and vascular telangiectasia when they metastasize. Histopathology is typified by insular (nesting) masses of small, round cells with peripheral palisading, granular cytoplasm, small nucleoli, and salt-and-pepper chromatin.
(Choice B) Hamartomatous polyps consist of disorganized mucosal glands, smooth muscle, and connective tissue. They may occur sporadically or in Peutz-Jeghers syndrome or juvenile polyposis. These polyps can cause bleeding and intussusception, but not secretory diarrhea.
(Choice C) Hyperplastic polyps are characterized by a proliferation of nondysplastic epithelial cells resulting in a serrated or “sawtoothed” architecture seen in the upper parts of the crypts. They are typically small lesions and almost always asymptomatic.
(Choice D) Signet ring cell carcinoma can occur in different locations, such as the stomach, breast, ovary, and colorectal area. Tumor cells contain abundant mucins that push the nuclei to the periphery and give the tumor cells their characteristic appearance.
Educational objective:
Adenomatous polyps are either tubular, villous, or tubulovillous, depending on their histologic appearance. Villous adenomas tend to be larger, sessile, and more severely dysplastic than tubular adenomas. Villous adenomas can cause a secretory diarrhea from increased mucin production; patients may develop hypoproteinemia and hypokalemia.
types of colonic adenomas
tubular adenoma
villous adenoma
tubulovillous adenoma
Colonic adenoma most likely to undergo malignant transformation
villous adenoma
colonic villous adenoma and hypoproteinemia or hypokalemia
villous adenomas can produce large quantities of prostaglandin E2, which results in increased mucin production and a secretory diarrhea characterized by watery, mucinous stools. Mucin is a potassium-rich glycoprotein; excessive production can result in hypoproteinemia and hypokalemia
Hamartomatous polyp of Peutz-Jaegers syndrome or juvenile polyposis
risk for intussusception

Colonic Tubular adenoma histology

Colonic villous adenoma histology

Carcinoid tumor histology

Hyperplastic polyp histology

Signet ring cell carcinoma
Signet ring cell carcinoma can occur in different locations, such as the stomach, breast, ovary, and colorectal area. Tumor cells contain abundant mucins that push the nuclei to the periphery and give the tumor cells their characteristic appearance.
