GI Flashcards

(354 cards)

1
Q

Special stain for detection of Helicobacter ssp on tissue biopsies?

A
  • Steiner stain
  • Warthin-Starry stain
How well did you know this?
1
Not at all
2
3
4
5
Perfectly
2
Q

Toxins associated with Clostridioides difficile infection?

A

Toxin A (enterotoxin) and toxin B (cytotoxin)

How well did you know this?
1
Not at all
2
3
4
5
Perfectly
3
Q

Gene toxins associated with AHDS with C. perfingrens?

A

Net E, net F,
* other toxins: net G (spore-forming toxin), CPE (ELISA detection)

How well did you know this?
1
Not at all
2
3
4
5
Perfectly
4
Q

Causes of false negative for CPV using ELISA test on feces?

A

Low fecal viral load, high serum antibody titers, high fecal antibodies

How well did you know this?
1
Not at all
2
3
4
5
Perfectly
5
Q

True for false: serum phosphorus concentration correlates with outcome in dogs with CE and is a part of FCEAI

A

True

How well did you know this?
1
Not at all
2
3
4
5
Perfectly
6
Q

True or false: CRP correlates with IBD clinical disease activity index in dogs, greatest clinical utility is to monitor treatment response

A

True

How well did you know this?
1
Not at all
2
3
4
5
Perfectly
7
Q

Alpha-1 proteinase inhibitor concentration in feces is useful for diagnosis of ? In which context, alpha-1 proteinase inhibitor can be falsely normal or falsely high?

A
  • PLE
  • Falsely normal: severe hypoalbuminemia
  • Falsely abnormal: digitally retrieved fecal samples
How well did you know this?
1
Not at all
2
3
4
5
Perfectly
8
Q

Which biomarkers have been showed to be increased in dogs with IBD in serum?

A
  • Calprotectin + S100A12: markers for neutrophilic inflammation; increased in serum and feces
  • Methylhistamine, marker of mast cell degranulation, serum and fecal in some dogs with IBD
  • Brominated tyrosine, markers of eosinophili activity, serum, in some dogs with IBD
How well did you know this?
1
Not at all
2
3
4
5
Perfectly
9
Q

Why do cats can become blind after oral surgery?

A

If plonged wide mouth openin => reduce maxillary artery blood flow

How well did you know this?
1
Not at all
2
3
4
5
Perfectly
10
Q

What is periodontitis?

A

Inflammation of the gingiva, periodontal ligament, alveolar bone and cementum

How well did you know this?
1
Not at all
2
3
4
5
Perfectly
11
Q

True or false: use of antibiotics is recommended for periodontal dz

A

false

How well did you know this?
1
Not at all
2
3
4
5
Perfectly
12
Q

Drugs-induced gingival hyperplasia?

A

-Calcium-channel blocker
- Cyclosporine
- Phenobarbital

How well did you know this?
1
Not at all
2
3
4
5
Perfectly
13
Q

Which antibiotics can reduce gingival hyperplasia in dogs?

A

Azithromycin

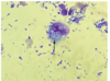
How well did you know this?
1
Not at all
2
3
4
5
Perfectly
14
Q

What is the other possible treatment of eosinophilic granuloma complex ?

A

Amoxicillin/clavulanic acid

How well did you know this?
1
Not at all
2
3
4
5
Perfectly
15
Q

Autoantigens in bullous pemphigoid in dogs and cats?

A
  • dogs: laminin 5 and 6; collagen XVII; integrin alpha 6/beta 4
  • cats: laminin 5
How well did you know this?
1
Not at all
2
3
4
5
Perfectly
16
Q

True or false: dogs with masticatory muscle myositis can have exophtalmos

A

true

How well did you know this?
1
Not at all
2
3
4
5
Perfectly
17
Q

Definitive diagnosis of masticatory muscle myositis?

A

Ab against type 2M fibers in serum or immune complexes detected in biopsied muscle samples
Titer >1:100 => positive
Titer<1:100 => negative

How well did you know this?
1
Not at all
2
3
4
5
Perfectly
18
Q

Different muscles affected in masticatory muscle myositis

A

Masseter
Temporal
Medial and lateral pterygoid muscles

How well did you know this?
1
Not at all
2
3
4
5
Perfectly
19
Q

Risk factors of buccal squamous cell carcinoma in cats?

A
  • exposition to tobacco smoke
  • flea collars
  • canned tuna food
  • canned cat food
How well did you know this?
1
Not at all
2
3
4
5
Perfectly
20
Q

Most common oral tumors in cats and in dogs?

A
  • Dogs: melanoma, squamous cell carcinoma, fibrosarcoma
  • Cats: squamous cell carcinoma, fibrosarcoma
How well did you know this?
1
Not at all
2
3
4
5
Perfectly
21
Q

Limits of the detection of thoracic metastases of radiographs and CT

A

XR: 5 mm in diameter
CT: 2 mm in diameter

How well did you know this?
1
Not at all
2
3
4
5
Perfectly
22
Q

Difference of oesophageal musculature between cats and dogs?

A
  • dogs: all striated muscle
  • cats: distal 1/3: smooth muscle
How well did you know this?
1
Not at all
2
3
4
5
Perfectly
23
Q

Esophageal striated muscle are innervated by 3 nerves, which are?

A
  • recurrent laryngeal nerve
  • pharyngoesophageal nerve
  • vagus nerve
How well did you know this?
1
Not at all
2
3
4
5
Perfectly
24
Q

Esophageal secondary peristalsis is triggered by? and aim?

A
  • triggered by esophageal distension
  • clear the lumen of material
How well did you know this?
1
Not at all
2
3
4
5
Perfectly
25
Causes of oropharyngeal swallowing impairment in puppies? (4)
-cleft palate - cricopharyngeus muscle dysfunction - muscular dystrophy - pharyngeal weakness
26
What is the bias due to lateral recumbency in VFSS?
Delayed cervical esophageal transit
27
What is the frame considered the starting point in VFSS?
The starting point is the frame in which the epiglottis closes over the larynx
28
Up to what point are frames counted during a VFSS study?
Frames (1/30 s) are counted until observation of maximal pharyngeal contraction and the opening and closing of the UES
29
When is the swallow considered complet on VFSS study?
When the epiglottis is observed to reope, usually after 5-6 frames (0.2 seconds)
30
How to quantify pharyngeal contractility?
Pharyngeal constriction ratio= pharyngeal area at maximum contraction / pharygeal area at rest * as pharyngeal contractility diminishes ratio approaches 1
31
Treatment of myasthenia gravis
Antiacetylcholinesterase inhibitor: pyridostigmine
32
Progressive swallowing impairment in cricropharyngeus muscle dysfunction in worse with which type of ingesta?
when drinking water
33
Which alternatives to cricopharyngeus muscle myotomy/myectomy to treat cricopharyngeus achalasia/asynchrony?
- Botulinum toxin A (temporary: 3-4 months, can be useful to select good candidate for surgery) - Serial double-balloon dilation (in people) - Endoscopic CO₂ laser cricopharyngeus myotomy (achalasia)
34
Which is the more potent digestive prokinetic in dogs?
Cisapride (0.5-1 mg/kg PO q8h-q12h) => more potent than metoclopramide to reduce GER in dogs
35
% of general anesthesia preceding esophageal stricture in dogs?
65%
36
Mechanism of GER in general anesthesia?
- decreased LES tone with anesthetic drugs (non-adrenergic non-cholinergic pathways) - TLESR cause also GER during anesthesia - Loss of swallow reflex during anesthesia => prolonged acid clearance time - acid GER => activation of pepsin (from pepsinogen) vicious circle: esophagitis decreased LES tone => increasing GER and mucosal inflammation
37
SIgns of esophageal perforation on RX?
Pneumomediastinum, emphysema, mediastinitis NB: pneumomediastinum => pneumothorax but no pneumothorax => pneumomediastinum
38
What are the main sites where esophageal foreing body lodging?
Sites of minimal esophageal distension: - thoracic inlet - diaphragmatic hiatus - heart base
39
Causes of esophageal obstruction due to vascular ring anomalies? (5)
- Most common: Persistent right aortic arch (embryonic right 4th aortic arch persist rather than the left) - aberrant right or left subclavian arteries - double aortic arch - left aortic arch with right ligamentum arteriosum - aberrant intercostal arteries
40
Why is there oesophageal compression in persistent right aortic arch?
Circular compression of esophagus: - aorta on the right - ligamentum arteriosum left dorso-laterally - pulmonary trunk on the left - heart base ventrally
41
Typical signs on thoracic XR in persistent right aortic arch?
- oesophageal dilation cranial to the heart base - focal leftward deviation of the trachea near the cranial border of the heart in dorsoventral or ventrodorsal XR
42
The most common IRY esophageal tumors in dogs and cats?
- in dogs: fibrosarcoma and osteosarcoma secondary to Spirocerca lupi infection - in cats: squamous cell carcinoma
43
Treatment of Spirocerca lupi granulomas?
- SQ injection of doramectin (200µg/kg) at 14-day interval for 3 treatments - injectable doramectin solution given orally (500µg/kg PO q24h) for 6 weeks
44
What are the origins of 2 types of esophageal diverticula ?
- traction diverticula: due to perioesophageal inflammation and fibrosis with adhesions to adjacent tissue (ex: abcess due to migration of grass awn) - pulsion diverticula: develop in association with increases in intraluminal pressure secondary to obstruction
45
Why is surgical treatment of an esophageal diverticulum associated with a guarded prognosis?
As all oesophageal surgery: risk of oesophageal surgery post operatively + segmental esophageal hypomotility may persist after surgery
46
What is an esophageal diverticulum?
Circumscribed sacculation of the esophageal wall that affect esophageal motility. Congenital: embryologic development that permit herniation of the esophageal mucosa through a defect in the muscularis
47
what is the most common cause of regurgitation in dogs?
megaesophagus
48
How is characterized esophageal achalasia?
Lack of esophageal peristalsis and by partial or absent relaxation of the LES leading to a function esophageal obstruction
49
In acquired secondary megaesophagus, % of MG?
25-30%
50
Dysautonomia is due to ?
degenerative lesions of autonomic ganglia
51
mysasthenia gravis can cause focal megaesophagus in % of dogs?
40%
52
True or false: in a context of acute megaosophagus in a dog, AChR antibody titer are in the gray zone : 0.3-0.6 nmol/L. We recommend to repeat the test 4-8 weeks after.
true
53
Treatments of LES achalasia
- pneumatic dilation => the most cost-effective first-line treatment - injection of botulinum toxin in LES => moderate effectiveness - surgical Heller myotomy with partial fundoplication => more permanent therapeutic modality
54
True or false: 50% of dogs with megaesophagus caused by acquired myasthenia gravis responding to supportive therapy
true
55
Type I hiatal hernia?
sliding hiateal hernia abdominal segment of the esophagus and parts of the stomach are displaced cranially through the esophageal hiatus
56
Type II hiatal hernia?
paraesophageal hiatal hernia abdominal segment of the esophagus and LES remain in a fixed position but a portion of the stomach herniates into the mediastinum alongside the thoracic esophagus
57
Type III hiatal hernia?
combination types I and II herniation of the greater curvature of the stomach as well as the gastroesophageal junction into the thorax
58
Type IV hiatal hernia?
liver, stomach, small intestine displaced in the thorax
59
Link between brachycephalic syndrome and hiatal herniation?
upper airway obstruction => increases negative intrathoracic pressure => subsequent hiatal herniation (vacuum effect)
60
How is hiatal hernia is diagnosed with endoscopy?
When apparent separation between the squamocolumnar junction and the diaphragmatic impression is greater than 2cm using a retroflexion or J-maneuver
61
Surgical treatments of hiatal hernia
- diaphragmatic crural apposition - esophagopexy - left fundus tube gastropexy
62
Causes of GER?
- hiatal hernia - general anesthesia-induced reduction of LES pressure - chronic vomiting causing a weakening of LES tone - gastric atony - pyloric outflow obstruction
63
What are the 5 major phyla in feces of healthy dogs and cats?
Fusobacteria, Actinobacteria, Proteobacteria, Firmicutes, Bacteroidetes
64
Which is the most abundant taxa in the phylum Firmicutes?
Clostridia
65
Among Clostridium, which are the clusters important producers of SCFA?
Clostridium clusters IV and XIVa
66
True or false: aerobes and facultative anaerobes bacteria are more important in the colon and anaerobes in the small intestine?
False contrary
67
True or false: in addition to quantify bacterial species, metagenomic shotgun sequencing allow study of functional genes
true
68
Why is individual's "core" microbiome is best defined by its collective bacterial genome rather than the composition of its structure?
Studies using shotgun sequencing (whole metagenome sequencing, short reads of all 16S rRNA genes for functional information) showed significant interpersonal overlap in functional gene families
69
3 common metabolic end-products produced by the intestinal microbiota?
SCFA, ammonia, lactate
70
Effect of metronidazole or tylosine on the gut microbiota?
reduce compositional richness and diversity
71
Which is the genetic defect typically associated with IBD in GSD?
SNPs in TLR5 associated with IBD in GSD
72
What are the 3 characteristics of dysbiosis in dogs?
- broad shifts in the composition of the microbes - reduced species diversity - changes in the relative proportion of select microbial members
73
What are the common abnormalities identified in the microbiota of dogs with IBD?
- reduced relative abundance of Bacteroidetes, Fusobacterium ssp, Firmicutes - increased abundance of Proteobacteria and Actinobacteria decreased alpha diversity
74
What are the common abnormalities identified in the microbiota of cats with IBD?
using FISH - decreased abundance of Bifidobacterium and Desulfovibrio - increased abundance of mucosal Enterobacteriaceae
75
What are the 3 SCFA of particular interest for the host ?
Butyrate, propionate, acetate
76
What are the roles of SCFA in gut health?
- essential energy source for colonocytes - module mucosal immune responses - enhance epithelial barrier function by strengthening tigh junction + regulate the size and function of regulatory T-lymphocyte pool
77
Metabolites from microbiome decreased in CE?
- SCFA - depletion of tryptophane - secondary bile acids
78
Role of tryptophane in the normal gut ?
- tryptophane precursor of serotonine, melatonine, indole => serotonie important neurotransmitter for mediating GI secretion, motility and pain => indole produced by the gut microbiota from tryptophane enhance mucosal homeostasis
79
Roles of bile acids?
- lipid digestion - anti-microbial actions
80
Which is the bacteria responsible for deconjugation and dehydroxylation of primary BA in the gut?
Clostridium hiranonis
81
Cite the name of 2 primary bile acids and 2 secondary bile acids
Primary bile acids: - Cholic acid - Chenodeoxycholic acid Secondary bile acids: - Deoxycholic acid - Lithocholic acid
82
Alpha diversity vs beta diversity ?
alpha diversity = bacterial richness beta diversity = microbial composition
83
Definition of prebiotics and examples of prebiotics
Prebiotics= selective food ingredients that when fermented by colonic bacteria, promote the growth of benificial bacteria and their metabolites (SCFAs) ex: manna oligosaccharides, fructooligosaccharides, pectin, psyllium
84
What are the actions of psyllium ?
- fermentable fiber - water and BA-binding properties - improve fecal consistency - increase the intestinal mucus layer - beneficial effects on cell proliferation in the intestinal tract
85
What are the mechanisms by which probiotics improve host health?
- enhance intestinal barrier function: upregulation of TJ, increased mucin and defensin secretion) - production of SCFAs - stimulation of sIgA production - immune modulation= promotes tolerance to commensals while protecting against gut pathogens - destruction of toxin receptors - competitive exclusion
86
What are the main regions of acid secretion in the stomach?
body and fundus
87
In the stomach, which are the cells secreting HCl?
Parietal cells + in dogs secrete also intrinsic factor
88
In the stomach, which are the cells secreting pepsinogen ?
chief cells
89
In the stomach, which are the cells secreting mucus?
Mucus neck cells + trefoil peptides + gastric lipase
90
In the stomach, what is the other particular molecule secreted by fundic glands?
ghrelin
91
What are the roles of pyloric gland cells?
Secretion of bicarbonate, secretion of gastrin by G cells, secretions of histamin by enterochromaffin-like cells
92
What are the 3 major secretagogues for acid secretion by stomach?
- Acetylcholine (vagus nerve and enteric nervous system) - gastrin (G cells of pylorus) - histamin (ECL) => bind to receptors and stimulate H+-K+-ATPases (proton pump)
93
What are the 2 major inhibitors of acid secretion by stomach?
- somatostatin: produced by gastric and pyloric gland D cells - prostaglandins
94
What is the action of vasoactive intestinal peptide in dogs ? in cats?
-in dogs: VIP inhibit acid secretion - in cats: promotes meal-stimulated acid-secretion + pepsin activation
95
What are the four hormones which inhibit gastric emptying? What is the hormone which stimulate gastric emptying?
Inhibition: - gastrin - CCK - peptide YY - GLP1 Stimulation: - motilin
96
Major bacteria phylum in the stomach of dogs (and cats)?
Proteobacteria => Helicobacter ssp in cats: also various lactic acid producing bacteria
97
2 mechanisms by which NSAID provoke gastritis ? And mechanism of NSAID with carboxyl group (carprofen)?
- directly: weak acid - indirectly: by inhibiting prostaglandins other mechanism with carboxylgroup: o undergo enterohepatic recirculation o form acyl-glucuronide metabolites o excreted in bile → repeated epithelial exposure → mitochondrial dysfunction + impaired epithelial renewal
98
True or false: caution ! in cats heartworm can cause acute and chronic gastritis
true
99
What is the cellular target of maropitant?
Neurokinin 1 receptor antagonist
100
What is the cellular target of metoclopramide/chlorpromazine?
Dopamine receptor antagonist
100
What is the cellular target of odansetron?
Serotonin (5-HT3) antagonist
101
What are the 4 typical bacteria implicated in gastritis in dogs?
Helicobacter, Salmonella, Campylobacter, Clostridium but rarely own clinical signs
102
True or false: Helicobacter in cats is associated with gastric lymphoid follicles, epithelial proliferation, gastric lymphoma
true
103
True or false: hypertrophic pyloric gastropathy is overrepresented in old animals
False overrepresented in young to middle-aged dogs of small breeds
104
What is giant hypertrophic gastritis?
Ressemble Ménétrier's disease in human => diffuse hypertrophic gastropathy => diffuse gastric mural thickening, secondary to foveolar and glandular hyperplasia and concurrent loss of chief and parietal cells => predisposition Basenji and Drentse Patrijshond dogs (can have concurrent congenital stomatocytosis and CKD, liver dz)
105
True or false: atrophic gastritis is characterized by atrophy of the gastric mucosa and severe inflammation
False: inflammation tends to be minimal
106
True or false: atrophic gastritis can be a sequela to chronic billiary reflux gastritis in dog
true
107
Why is there a risk of bacterial overgrowth in dogs with atrophic gastritis ?
fundic mucosa is often involved => loss of gastric acid secreting function => achlorhydria => predispose to bacterial overgrowth
108
True or false: atrophic gastritis in dogs is associated with gastric carcinoma
true * thought to occur secondary to ECL cell hyperplasia from chronic hypergastrinemia
109
Why are serologics test for H.pyloric used in humans are useless in dogs and cats?
because non-H.pylori species predominate
110
True or false: in dogs and cats, Helicobacter-like organisms are found exclusively in stomach
False predominantly in stomach but found also in small intestine, hepatobiliary system, oral cavity
111
What are the characteristics of Helicobacter infection (histopathologically)?
- lymphoplasmacytic gastritis - lymphoid follicular hyperplasia
112
Most common nematodes associated with stomach infestation in dogs ? cats?
dogs: Physaloptera rara cats: Ollulanus tricuspis other: Toxocara canis/felis, Gnathostoma
113
2 mainly types of signs of infection with Pythium insidiosum in dogs?
digestive (abdominal mass) and cutaneaous signs
114
What are the two most common localizations of gastric carcinoma in dogs?
Lesser curvature and pyloric antrum
115
True or false: corticosteroids have a regenerative effect on gastric parietal cell
true
116
Why is budesonide minimized systemic effects compared to prednisolone?
Because of high first-past metabolism
117
What is the principle of fecal occult blood?
- substrates (o-tolidine or guaiac) that become oxidized and impart a color change in the presence of peroxidase activity found in Hb but before test: fed diets devoid of meat or vegetables with high peroxidase activity (red meat, fish, turnips, broccoli, califlower) several days before testing (less effect with o-tolidine based test)
118
What is the mechanism of action of misoprostol ? What is the main indication?
Mesoprostol= prostaglandin E1 analog can be give concurrently with PPI in NSAID-induced ulceration
119
What are the alternative drugs of PPIs in non healing ulcers?
vasoactive drugs lysine analogues
120
Which is the chemotherapeutic drug known to provoke delayed gastric emptying?
vincristine
121
How long does the stomach normally take to empty after a meal, and how long after eating should vomiting raise concern for a gastric motility disorder?
- 8 hours -gastric distension or vomiting >8-12 hours post-meal
122
What are the eight methods to study gastric emptying (preferrentially with solid meals)?
- Nuclear scintigraphy (GOLD STANDARD) - isotope studies (blood or breath test) - pressure transducers - contrast radiography - barium-impregnated polyethylene spheres - US -CT, MRI - wireless motility capsules
123
Why do pure mu opoids provoke delayed gastric emptying?
because binds to opioid receptor in the GI tract => decrease acetylcholine receptor => reduced GI motility
124
What is the mechanism of action of cisapride ? (cellular targets and pharmacological action)
- non-selective serotonin (5 HT4) receptor agonist => release of serotonin from enterochromaffin cells => stimulation of primary afferent neurons that synapse in the myenteric plexus => stimulate cholinergic neurons => ascending intestinal smooth muscle contraction + descending relaxation
125
Where is the greatest and longest action of cisapride in GI tract?
- gastric antral motiliy => increased frequency, amplitude, duration of pyloric contractions + improved antropyloroduodenal coordination + increased mean distance of duodenal propagation contractions in dogs
126
What are the main AE of cisapride in dogs and cats ? And other AE described in cats at supratherapeutic dose?
- diarrhea - in cats: prolonged QT interval due to effect on hERG K+channel, dopamine receptors, 5-HT1 and 5-HT2 receptors * alternative: mosapride but no effect on colonic motility
127
What is the mechanism of action of metoclopramide ? (cellular targets and pharmacological action) and clinical consequences?
- low dosages: dopamine-2 receptor antagonist - at high dosages: 5-HT3 antagonist and selective 5-HT4 agonist => enhances Ach release + antagonize inhibitory effect of dopamine on intestinal transit = inhibit dopamine effect of decreasing Ach release from postganglionic cholinergic neurons - clinical effect: transiently increases gastric contraction in the fasting state in the dog but little effect in postprandial state + enhance antropyloroduodenal coordination and mean distance of duodenal propagation contractions
128
How can erythromycin/azithromycin enhance gastric emptying?
motilin receptor agonist at low dosage caution: at high dosage, favor retrograde peristalsis
129
How can ranitidin (H2-receptor antagonis) theoretically enhance gastric emptying?
Anticholinesterase inhibitor activity ==> but not showed in vivo in dogs
130
True or false: mirtazapine is a presynaptic alpha-2 adrenergic receptor and post-synaptic 5-HT1 and 5-HT-2 antagonist which can improve gastric emptying at high dosage in dogs?
true
131
What is lubriprostone?
- selective type-2 chloride channel activator => increases luminal chloride and fluid secretion => enhance post-prandial gastri emptying and small intestinal colonic transit in healthy dogs
132
Which aminoacids can improve gastric emptying?
L-arginine and L-glutamate => administered intragastrically
133
Why early enteral nutrition improves outcomes in hospitalized animal ?
- improved mucosal blood flow to the GI tract - decreased intestinal bacterial translocation - stimulation of GI motility - secretion of GI hormones, growth factors and bicarbonate
134
On a right lateral radiograph, which is the type of gastric dilation volvulus which can have normal positioned stomach with gastric dilation?
organoaxial volvulus * normally clockwise rotation along mesentoroaxial axis
135
definition of intestinal microbiome
interaction between resident microbes of gut (microbiota) and host cells
136
Two differences of small intestine microbiota between cats an dogs ?
cats: greater total number of bacteria in the SI + larger proportion of obligate anaerobic bacteria
137
True or false: cats have migrating motor complex as in dogs
false cats have migrating spike complexes => differ from migrating motor complexes in their frequency, intensity and propagation and not initiated by motilin
138
True or false: motiliin initiates migrating spike complexes in cats
false true for MMC in dogs
139
What is the essential channel in small intestine to secrete water ?
CFTR= cystic fibrosis transmembrane conductance regulator = cAMP-dependent chloride channel => transport of Cl- across this channel => electric potential => attracts Na+ => pulling it across TJ and into the lumen => NaCl create osmotic gradient => draws water into lumen * channel central in secretory diarrhea
140
What is the hormone produced to counteract acidifying duodenal luminal environment? Which cells ? Mechanism of action
- secretin by S cells - stimulate the pancreas to produce a fluid with high bicarbonate concentration for suitable environment for optimal function of digestive Ez (pH=7) + other functions: - secretion of bile and water - inhibit GI motility - inhibit gastric secretion of acid
141
What is the hormone secreted in response to the presence of luminal partially digested proteins and fats ? By which cells ?
- cholecystokinin by I cells - contraction of GB + relaxation of Sphincter of Oddi - Ez secretion by pancreatic acinar cells + trophic effect on pancreas - Inhibit gastric emptying
142
What is the transporter of responsible of absorption of glucose in the SI ?
sodium-dependent hexose transporter SGLT-1
143
What are M cells ? Roles ?
M cells = specialized modified enterocytes that sample the luminal contents and help deliver Ag to the mucosal immune system most abundant in Peyer's patches but are found scattered troughout the SI
144
In IBD, what are the TLR's type upregulation discovered and breed specificity?
- in GSD: upregulation of TLR4 not TLR2 - in other breeds: upregulation of TLR2 not TLR4
145
What are the roles of secondary bile acids on immune system, digestive epithelium, mucus and luminal contents?
- Immune system: anti-inflammatory effetc on macrophages/monocytes (reduced production of TNF alpha), immune modulation, DC and T cell regulation - Epithelium: epithelial integrity/AI effects, enhanced reconstituion (NF-kB, TGF-b), proliferation (c-myc), reduction in ER stress, TJ modulation, pro-inflammatory cytokine inhibition - Mucus: increase mucus production - Luminal: antibacterial effects, detergent effects, direct membrane toxicity, microbial metabolism inhibition
146
What are the 3 global mechanisms of GI inflammation ?
- Loss of integrity of the mucosal barrier - Dysregulation of the mucosal immune system - Disruption of endogenous microbiota
147
What are the 2 architectural changes observed microscopically in FRE?
- increased space between microvilli - increased width of TJ
148
What are the dual links between lymphatic abnormalities and GI inflammation?
- IRY: failure to function properly: inadequate lymphatic clearance => intestinal lymphangiectasia => immune cells accumulate in the mucosa/submucosa => inflammation + leakage of lymph => worsen inflammatory reaction - IIRY: inflammatory or neoplastic intestinal mucosal infiltrates => increases hydrostatic pressure => IL => perpetuate inflammation
149
What are the secondary causes of intestinal lymphangiectasia?
- Infiltration of neoplastic cells in lymphatics vessels (increased hydrostatic pressure) - Portal hypertension, cardiac tamponade, right-sided heart failure (increased venous pressure)
150
What are the consequences of intestinal lymphangiectasia?
- inflammation - immunological deficits - disrupted extracellular fluis homeostasis => edema - disrupted fat absorption (vit A, D, E, K also) and transport
151
True or false: NLR are high in dogs with CE and may help to distinguish immunosuppressant and non-responsive enteropathies from those with FRE?
True
152
A low NLR in a dog with chronic diarrhea and weight loss should raised the suspicion for which disease?
hypoadrenocorticism
153
Biochemical abnormalities in PLE?
lymphopenia, hypocalcemia, hypoalbuminemia +/- hypoglobulinemia, hypocholesterolemia, (hypomagnesemia)
154
What is the percentage of cats with chronic GI signs and hypocobalaminemia with normal SI in US?
1/3 = 33% =>2/3 have abnormal US
155
In which type of enteropathy, gastrin may be measured?
- immunoproliferative enteropathy of Basenji
156
What is an alternative test to PARR or IHC to differentiate CIE from LGITL in cats?
Histopathology-guided mass spectrometry
157
What is the stain used on fecal smears to highlight fat?
Sudan stain
158
What is the stain used on fecal smears to highlight starch?
Lugol's iodine stain
159
What is the sensitivity and specificity of multifocal white villous tips and milky-white exudation for the diagnosis of IL on endoscopy?
Se= 68%; Sp= 42%
160
What is the percentage of dogs with PLE presented with no GI or no history of GI signs?
5-10%
161
What are the common histopathologic findings of dogs with PLE? (4)
- IL - mucosal edema - various types and degree of inflammation - dilated, cystic crypts
162
What are the 3 sites of IL detected on histopathology?
- villus - lamina propria - submucosa
163
What are the detrimental effects of food withdrawal on the GI tract? (5)
- morphological alterations: decreased villous height - decreased gut barrier function - increased risk of bacterial translocation - reduced activity of intestinal disaccharidase enzymes - Lack of luminal nutrients => pro-inflammatory state
164
For dogs with acute non specific diarrhea, what is the diet recommended?
highly digestible, low fat diet with fermentable fiber
165
What is the pharmacological class of loperamide ? MOA? Precaution?
- loperamide = opioids - increase segmental intestinal contractions and slow GI transit time - caution: substrate drug for the ABCB1 (MDR-1) transporter => mutations in Longhaired Whippets, Collies ...
166
What is the pharmacological class of butylscopalamine ? Risk?
antimuscarinic agents may paralyze SI which may predispose to intussusception
167
What are the 2 helminths causing digestive signs in dogs/cats which can provoke larvae migrans in human?
- Toxocara canis: may cause visceral, ocular or neural larvae migrans - Ancylostoma: cutaneous larvae migrans in humans
168
How do the dogs contaminate with Dipylidium caninum?
ingestion of flea intermediate host
169
What are the clinical signs associated with infection with the oomycetes Pythium insidiosum?
- ulcerative nodular skin lesions - chronic diarrhea or vomiting (digestive mass)
170
What is the medical treatment of pythiosis if surgery alone is not sufficient?
- itraconazole, terbinafine, mefenoxam
171
True or false: Protothecosis is more often associated with small intestinal disease
FALSE => large intestinal involvement more common
172
What is the organism found on this specimen obtained by rectal scraping?
Histoplasma capsulatum
173
Simplify definition of dysbiosis
Dysbiosis is an alteration of composition and/or richness of microbiota
174
True or false: Neutrophilic or granulomatous enteritis should prompt consideration of AIEC, Salmonella, Streptococcus, Yersinia, mycobacteria, Histoplasma, Prototheca.
TRUE
175
True or false: eosinophilic enteritis should prompt consideration of food allergy, parasites, Pythium insidiosum
true
176
What are the 6 negative prognostic factors in CE?
* hypoalbuminemia (most important) * high CCECAI>8 * elevated BUN>20 mg/dL * hypocobalaminemia (<200 ng/mL) * need for immunosuppression * hypovitaminosis D (especially PLE)
177
What is the percentage of cats in which LGITL progress in large cell lymphoma?
10%
178
What is the agent infectious in cats associated with neutrophilic infiltration on intestinal biopsies?
Campylobacter
179
What are the biochemical, prognostic and presentation of immunoproliferative enteropathy of Basenji?
- spontaneous intestinal perforation possible (associated with severe LP infiltration) - associated with gastric hypertrophy (hyperplasie of chief and parietal cells, increased gastrin) - hyperglobulinemia frequent => less ascites/edema - poor prognosis
180
True or false: in SCWT, PLN precedes PLE
False PLE in general precede PLN
181
How do detection of familial PLE/PLN in SCWT can be improved ?
detection of perinuclear anti-neutrophilic cytoplasmic autoantibodies allows for detection of the syndrome 2.4 years before the onset of hypoalbuminemia
182
What are the histopathologic characteristics of celiac disease in Irish Setter?
* Villous atrophy * Intraepithelial lymphocyte (IEL) infiltration
183
What are the serological tests which can be performed in paroxysmal gluten-sensitive dyskinesia of the Border Terrier? Sensitivity and specificity?
o anti-gliadin IgG o anti-transglutaminase-2 IgA o high specificity, low sensitivity (good rule-in, weak rule-out)
184
What is the MOA of acetazolamide and why do use it in PGSD of Maltese?
- carbonic anhydrase inhibitor => K+ excretion, diuresis, metabolic acidosis, loss of serum HCO3- => decreased brain lactate and pyruvate levels => brain acidosis => alter the membrane potential => reduce neuronal excitation
185
What is the particularity of CE in Shiba Inu?
- poor prognosis MST 74d - severe LP with severe duodenal lesions
186
In how many % bacteria are cultured in FGESF lesions?
50-60%
187
Why do prescribe anti-inflammatory dosage of prednisolone in the case of IL if the pathogenesis is not immune-mediated?
because IL causes lymphangitis and lymph leakage => induce secondary enteritis
188
Characteristics in % of fat per EM in low-fat diet and ultra-low-fat diet?
- low-fat diet: 15-22.5% metabolizable energy (ME) from fat - Ultra-low-fat diets o ~10–15% ME o ≈ 1.1–1.5 g fat / 100 kcal
189
What are the 3 mechanisms implicated in PLE?
- altered lymphatic function and direct loss of protein-rich lymph - abnormal intestinal permeability resulting in a loss of protein into the lumen - direct mucosal erosion or ulceration and leakage of protein into the lumen
190
Which is the AA deficiency described in PLE?
Tryptophan
191
The three most common SI neoplasia in dogs?
Adenocarcinoma, smooth muscle tumors, lymphoma
192
How many % of cats with lymphoma have GI affected?
up to 70%
193
True or false: cats living in household with cigarette smokers have a 2.4 fold increase risk for developing lymphoma
true
194
How many cats with LCL or LGITL are hypoalbuminemic?
50%
195
Where is LGITL more diagnosed?
ileum => 44% diagnosed in ileum (sometimes not in duodenum)
196
True or false: PARR can lack sensitivity
false => specificity inflammation can be monoclonal, especially in older patients
197
What is the possible alternative treatment (with improve MST) of feline lymphoma?
RT
198
What is the most common biochemical abnormality observed in dogs with intestinal lymphoma?
severe hypoalbuminemia
199
What is the preferential location of adenoma/adenocarcinoma in the GI tract in dogs ? And alternatively, which location?
large intestine if SI: duodenum ==> contrary in cats: more commonly in SI and jejunum/ileum
200
What are the most frequent GI location of smooth muscle tumor in dogs?
Jejunum Cecum typically in the antimesenteric border
201
From which cells do GI stromal tumors arise?
Pacemaker cells: interstitial cells of Cajal
202
What are the paraneoplastic syndromes reported with leiomyosarcoma?
- Hypoglycemia: production of insulin-like growth factor-II like (for all smooth cell tumors) - Erythrocytosis due to elaboration of erythropoietin-like molecule (specifically for meiomyosarcoma=
203
What are the markers with IHC which distinguish GIST from smooth muscle cell tumors ?
- GIST express c-kit CD117 - Smooth cell tumors express alpha-smooth actin (SMA) not c-kit
204
True or false: intestinal hemangiosarcoma are more frequent in dogs than in cats
FALSE intestinal hemangiosarcome are more frequent in cats than in dogs
205
Characteristic of pathological dilation of SI loop on RX
width of loop = 1.6 x height L5
206
In the presence of gravel sign in the SI on Rx, what is suspected?
chronic partial obstruction
207
What is the **mechanism** of **Metoclopramide**?
* D2 dopaminergic receptor antagonist – antiemetic ± prokinetic * 5HT3 receptor antagonism – prokinetic * 5HT4 receptor agonism – prokinetic ## Footnote Metoclopramide acts on the LES, stomach, intestine, and CRTZ.
208
What are the **common uses** of **Metoclopramide**?
* Treat gastroesophageal reflux (due to increased LES tone) * Accelerate gastric emptying * Increase small intestinal motility (weak) * CRTZ-induced emesis (weak) * Stimulate esophageal motility (cats – smooth muscle) ## Footnote Dosage for dogs is 0.2-0.5 mg/kg SQ or IV bolus, or 1-2 mg/kg/day IV CRI.
209
What is the **mechanism** of **Cisapride**?
* 5HT4 receptor agonism * 5HT3 receptor antagonism ## Footnote Cisapride acts on the LES, stomach, intestine, colon, and CRTZ.
210
What are the **common uses** of **Cisapride**?
* Treat gastroesophageal reflux (due to increased LES tone) * Accelerate gastric emptying * Increase small intestinal motility * Treat constipation * Stimulate esophageal motility (cats – smooth muscle) ## Footnote Dosage for dogs is 0.1-0.5 mg/kg PO q8-12h.
211
What is the **mechanism** of **Erythromycin** in GI purpose?
Mimics the effects of motilin ## Footnote Erythromycin acts on the LES, stomach, intestine, and colon.
212
What are the **common uses** of **Erythromycin** for GI purpose?
* Treat gastroesophageal reflux (due to increased LES tone) * Accelerate gastric emptying * Treat constipation (dogs only) ## Footnote Dosage is 0.5-1 mg/kg PO or IV q8-12h.
213
What is the **mechanism** of **Ranitidine**?
* Acetylcholinesterase inhibition – prokinetic * H2 receptor antagonism – acid suppression ## Footnote Ranitidine acts on the stomach and colon.
214
What are the **common uses** of **Ranitidine**?
* Accelerate gastric emptying ## Footnote Dosage for dogs is 1-2 mg/kg PO, SQ, IM, or slow IV q8-12h.
215
What is the **mechanism** of **Bethanechol**?
Cholinergic receptor agonist ## Footnote Bethanechol acts on the esophagus.
216
What are the **common uses** of **Bethanechol** for GI purpose?
Management of idiopathic megaesophagus (dog) – acts on striated muscle ## Footnote Alternative treatment options exist and may be more efficacious.
217
What are clinical signs described in dysautonomia, a generalized autonomic neuropathy?
generalized autonomic neuropathy that results in esophageal, gastric, and small intestinal dilation and hypomotility, urinary bladder distension, reduced tear production, bradycardia unresponsive to atropine, and pupillary dysfunction, among other signs.
218
Causes of chronic intestinal pseudo-obstruction describes in dogs and cats
Myopathy or neuropathy (ENS) Idiopathic secondary to: - infection - drug intoxications - endocrinopathies - generalized neuromuscular dz - visceral myopathy - leiomyositis - alpha-smooth actin deficiency (Bengal) - enteric ganglionitis - neoplasia (lymphoma in a cat)
219
What are the intestinal abnormalities described in dogs with CIPO?
- reduced expression of alpha-smooth muscle actin in the tunica muscularis - intestinal leiomyositis - atrophy and fibrosis of the tunica musculuris - myenteric plexus vacuolar degeneration
220
What are the brush border enzyme deficiencies desbribed in dogs ?
- relative lactase deficiency - congenital absence of aminopeptidase N =>clinical significance?
221
What are the main 3 types TJ proteins?
occludin claudin zonulin-1
222
True or false: luminal content of the colon is a little bit more alkaline than SI
false luminal colon is a little bit more acidic than those of SI
223
In the colon, what are the molecules activating peristalsis and inhibiting persistalsis?
- activation: Ach activates excitatory motor neurons + chemical (SCFA, bile salts...) and mechanical stimuli can activate EC => serotonin - inhibition ADP and NO activates inhibitory neurons
224
Where are microfold cells located in the colon ? What are the roles of microfold cells?
- colonic epithelium and lymphoid follicles - responsible for selective endocytosis of antigens and transport to intraepithelial macrophages and lymphocytes
225
What are the positive aspect of the use of antibiotics on GI?
- reduction of mucosally adhering bacteria - decrease of inflammatory antigenic stimulus of the intestinal immune system
226
What is the most essential SCFA for colonocyte nutrition?
butyrate *from proteins and carbonhydrates *converted by butyryl-CoA:acetate-CoA-transferasea
227
What are the 2 neutrotransmitters produced by colonic microbiota?
- 5-HT - gamma-aminobutyric acid (GABA)
228
What is the enzyme provided by C.hiranonis for conversion of primary bile acids in secondary bile acids?
7-alpha hydroxylase
229
Cite 5 nutraceuticals of fermentable fiber used for treat uncomplicated colonic diarrhea?
- inulin - fructo-oligosaccharides - psyllium - beet pulp - mannanoligosaccharides
230
True or false: uremic toxins can provoke colitis
true
231
Why is liver dysfunction responsible of GI signs ? (4 causes)
- portal hypertension - changes in GI motility - inadequate removal of toxins - imbalance of hormones
232
What are the limits of colon diameters in dogs and cats using XR?
- in cats: less than 1.5 x the length of L5 - in dogs: less than 1.5 x the length of L7
233
What is colonic vascular ectasia (angiodysplasia)? And which treatments?
- fragile dilated vessels with a single layer of endothelial cells that easily rupture => chronic, intermittent, hematochezia - partial colectomy, laser coagulation, estrogen-progesteron therapy
234
What is a characteristic of short colon syndrome on imaging concerning anatomy "malposition"?
- ileocolic valve or cecum on the left side of the body
235
Where is the most common site of intestinal intussusception in large intestine?
ileocolic junction
236
What is the most frequent enterotoxin associated with C.perfringens in AHDS?
Net F
237
How many % of dogs with previous episodes of canine parvovirus infection show later in life CE?
42% => acute enterititis = important mechanism possible for inducing chronic CE in dogs => barrier dysfunction=> translocation of dietary substances and bacterial components => loss of oral tolerance
238
To promote an tolerogenic immune response, bacteria products bind to TLR and favor production of which IL of macrophages in order to expand Tregs?
IL10
239
What are the 3 main mechanisms by which intestinal microbiota can influence the mucosal inflammatory response?
- presence of a true intestinal pathogen - close contact of commensal bacteria and the intestinal mucosal immune system due to intestinal barrier dysfunction (directly attached bacteria) - intestinal dysbiosis leading to a profinlammatory intestinal environment
240
What is the link between polymorphism in NOD2 gene in GSD and CE?
NOD2-CARD15 => synthesize products that activate NF-kappa-B = proinflammatory factors in response to bacterial LPS
241
What is the defect documented in Boxer which can explain increased susceptibility to granulomatous colitis?
- mutation in neutrophilic cytosolic factor 2 (NCF2) = encode for subunits of NADPH oxidase, responsible for producing microbicidal, ROS within macrophages ==> E coli invade and persist intracellularly in epithlial cells + macrophages triggers the chronic inflammatory process
242
What is the difference of MOA between fermentable fiber and non fermentable fiber?
-fermentable fiber= prebiotics - non-fermentable fiber= bulking agent
243
What is sulfasalazine? Why is sulfasalazine action only on the colon? AE ? Alternative for cat?
- prodrug of mesalamine =5-aminosalicylic acid - anti-inflammatory effect only on large intestine because resident bacteria metabolize the prodrug => release of mesalamine - decreased PG and leukotriene synthesis in the colonic mucosa - AE in dogs: KCS, acute vomiting, pancreatitis - Serious toxicosis in cats => alternative olsalazine
244
True or false: budesonide orally administered is a very potent glucocorticiods, 15 times more potent than prednisolone and weak mineralocorticoid effects
true
245
True or false: cyclosporine is a potent inhibitor of cell mediated immunity by decreasing IL-2 production
true
246
Why patients with severe liver dysfunction at high risk of sepsis during colitis?
because cannot clear efficiently translocated bacteria from the intestin with liver (PSS...)
247
SIRS criteria in dogs
* T<37.2°C or T>39.2°C * HR>140 bpm *RR>40 mpm *WBC>19 500/µL or <5000/µL or >5% bands
248
SIRS criteria in cats
* T>39.7°C or T<37.8°C * HR>225 bpm or HR<140 bpm * RR>40 mpm * >19 500/µL or <5 000/µL or >5% bands
249
Finding a potential pathogenic bacteria in feces after culture can be a sign of dysbiosis/microbiota shift. What is associated with overgrowth of Clostrioides difficile ?
Reduction of protective C. hiranonis
250
What is the hallmark of granulomatous colitis ? And what are the two breeds predisposed?
- infiltration of the colonic mucosa by larte, foamy, periodic acid-Schiff-positive macrophages - Boxer and French Bulldog
251
True or false: Giardia typically provoke large intestinal signs
False more frequently small bowel signs
252
What are the typical histopathological lesions in GC?
Mucosal ulcerations, infiltration with histiocytes/macrophages and lymphocytes and loss of goblet cells
253
What is the % of fluoroquinolone resistance in dogs with GC?
50% ==> imperative to perform colonic mucosa culture with susceptibility testing
254
What is the most common form of protothecosis in dogs? And clinical presentation
- in dogs: systemic disseminated form Most common: large intestinal disease with hematochezia; blindness due to chorioretinitis;, seizure, ataxia due to CNS invasion also: ostemyelitis - in cats: cutaneous form ## Footnote Rhodesian Ridgeback predisposed
255
How to diagnose protothecosis?
rectal swab, histopathology caution: partially stained with H&E, better visualized with PAS, silver or Giemsa (stain cell wall) Also: indirect ELISA for specific Ab against *Prototheca zopfii*
256
How are dogs infected by oomycetes Pythium, Conidiobolus, Basidiobolus, Lagenidium ?
Aquatic environments: standing water =>penetration of the mucosa
257
Who is the vector of Heterobilharzia americana ? (canine schistosomiasis)
Freshwater snails excrete cercariae => prenetrate the skin of the dog and migrate through the lungs and liver => adult flukes migrate then into mesenteric venule => severe granulomatous inflammation and/or chronic hepatic fibrosis
258
What is the agent of feline strongyloidiasis?
Strongyloides tumefaciens
259
What is the agent of whipworm infection?
Trichuris vulpis in dogs Trichuris serrata in cats Treatment: fenbendazole, milbemycin, moxidectin, febantel => larval stages, more difficult to treat => TT repeated after 3 weeks and 3 months caution: intermittent shedding => false negative not exclude infection
260
True or false: Giardia eradication in dogs is reported with fecal transplantation
true
261
True or false: male cats are overrepresented (70%) is cases of constipation, obstipation.
True
262
Why does constipation can provoke vomiting?
because of stimulation of stretch receptors
263
Which enema for removal of impacted feces should never be used in small dogs and cats and why?
Enema containing sodium phosphate => can cause severe or even fatal electrolyte shifts: hypernatremia, hyperphosphatemia, hypocalcemia and severe dehydration
264
What is the core mechanism of oral laxatives?
Stimulating fluid acumulation in the colon => increase motility
265
In which type of patients psyllium should be avoided and what is the alternative?
in patient with megacolon => give low residue diet to reduce amount of fecal material produced
266
What is the most effective stimulant laxative used in cats? MOA? Risk?
* Stimulant laxatives= induce propulsive motility => bisacodyl most effective * acts via NO-mediated epithelial cells electrolyte secretion and myenteric neuronal depolarization **caution: continuous administration => damages the myenteric plexus**
267
What is the MOA of prucalopride ?
- serotonergic 5-HT4 agonists prokinetic agent for colon alternative in study: mesoprostol PGE1 analog
268
What are the clinicals typically distinguishing LI disease from proctitis?
- LI: constipation - Proctitis: urgency to defecate, increased frequency of defecation
269
Cite 2 conditions in young dogs with congenital abnormalities causing rectal prolapse
- colonic duplication - colorectal polyposis with ganglioneuromatosis
270
What is one of the most common cause of rectal prolapse in cats?
Infestation with T.foetus
271
Albeit rare, what is the macroscopic differential for rectal prolapse?
ileocolic intussusception
272
True or false: the majority of GI neoplasms in dogs and cats are colorectal tumors (60%)
true
273
True or false: It is uncommon for adenomatous polyps to undergo transformation into carcinoma in situ and eventual malignancy over time
False It is **COMMON** for adenomatous polyps to undergo transformation into carcinoma in situ and eventual malignancy over time
274
True or false: dogs with multiple rectal masses including those located at the colorectal junction have frequently concourrent colonic masses
False dogs with multiple rectal masses including those located at the colorectal junction have **NO** concourrent colonic masses
275
True or false: postoperative complications from rectal pull-through techniques are low.
False **80% **of complications: fecal incontinence in 56% with 53% permanently incontinent, diarrhea, tenesmus, stricture formation, dehiscence, constipation and local infection
276
True or false: non metastasized rectal carcinoma in situ and carcinoma after surgical resection have a very poor prognosis
FALSE MST carcinoma= 700d MST carcinoma in situ= 1000d ## Footnote adenoK, plasmacytome, lymphoma => higher risk or recurrence
277
What are the 2 most common rectoanal malformations in dogs and cats?
-atresia ani - rectovaginal fistula (or combination)
278
Cite the 4 types of atresia ani
- type I: stenosis without imperforate anus - type II: imperforate anus due to persistence of the anal membrane - type III: imperforate anus due to rectum terminating cranially - type IV: complete discontinuation of proximal rectum (not described)
279
True or false: pets affected by rectoanal malformations have frequently concurrent urogenital malformation
true
280
True or false: in perineal hernia, there is a higher incidence of left-sided hernia
false in perineal hernia, there is a higher incidence of **RIGHT**-sided hernia
281
What is the main hormone participating to the pathogenesis of perineal hernia?
Relaxin producted by prostate or placenta * estrogen conflicting evidence ## Footnote risk factors for PH: increased intra-abdominal pressure (stranguria, GI dz, prostatomeglay ...), cough, trauma
282
True or false: there is an established association between colitis and perianal fistula
true
283
What are the 3 genetic factors implicated in pathogenesis of PAF in GSD? What are other risk factors? (4)
- canine MHC immune response genes (DLA) - pro-inflammatory cytokines (Th1 dysfunction) - certains matrix metalloproteinases (MMP9) other risk factors - high moisture environment from low tail carriage - pre-existing bacterial infection - cutaneous adverse food reaction - increased density of perianal apocrine glands
284
What is a new alternative treatment (with few case reports) in cases of PAF refractory to cyclosporine?
local mesenchymal stem cells therapy
285
True or false: At the time of diagnosis, AGASACA is associated with high rate of metastasis
True 50-90%
286
True or false: in AGASACA, despite the presence of metastasis, surgery alone prolonge survival time
true
287
What are the elements typically associated with sacral nerve dysfunction (as with degenerative lumbosacral stenosis= cauda equina syndrome)?
- urinary incontience + fecal incontinence - at PE: reduced to absent perineal reflex and anal tone
288
True or false: mesothelioma affects predominantly the peritoneum>pleura>pericardium
False * most frequently pleura: 79% * pericardium: 64% * peritoneum: 7%
289
Why most patients with peritonitis are dehydrated and/or hypovolemic?
Alterations in vascular permeability and reduced venous return due to decreased lymphatic function and volume losses
290
What are the 3 main secretagogues stimulating gastric acid secretion by parietal cells?
-acetylcholine via the M3 muscarinic receptor - histamine via the histamine type 2 receptor - gastrin via the cholecystokinin B receptor
291
Why is cimetidine not recommended to used in dogs and cats?
Because it inhibits cytochrome P450, resulting in possible drug interactions; decreases hepatic blood flow; and anecdotally is less effective compared to other H2RAs
292
The effect of famotidine PO is reduced after 2 to 3 days of administration. What is the name of this phenomenon?
tachyphylaxis
293
What is the PPI the least effective in cats?
Lansoprazole and dexlansoprazole
294
What is the hallmark of nearly all tumeur microenvironment?
acidic environment via upregulation of vacuolar-ATPase => promote angiogenic factors, tissue invasion and sabotage of chemotherapeutic efficacy
295
How do prostaglandins participate to health of the GI tract?
- stimulate secretion of bicarbonate-rich mucus - enhance mucosal blood flow - promote epithelial turn over
296
What is the most common and reproducticible effect of AB on microbiota?
decreased diversity => the worst with AB with anaerobic activity
297
Among SCFA, what is the main energy source for colonocytes?
butyrate
298
What are the most abundant phyla in digestive microbiota in dogs?
1/ Firmicutes 2/ Bacteroidetes 3/ Actinobacteria 4/ Proteobacteria 5/ Fusobacteria
299
What are the most abundant phyla in digestive microbiota in cats?
1/ Firmicutes 2/Actinobacteria 3/Bacteroidetes 4/ Proteobacteria 5/Fusobacteria
300
Consequences of metronidazole of digestive microbiota in dogs (4)
- decreased richness and diversity microbiota - decreased phyla Firmicutes, Bacteroidetes, Fusobacteria but increased Actinobacteria - decreased health beneficial bacteria: Blautia, Faecalibacterium => known to produce SCFA and increased in Enterobacteriacae: E.coli - alteration in metabolome: increased IRY BA (cholic acid, chenodeoxycholic acid), decreased IIRY BA (deoxycholic acid, lithocholic acid), decreased fecal vitamin, antioxidant, increased oxidative stress molecules
301
True or false: CRP correlates with prognosis in puppies with parvovirus and dogs with AHDS
false only parvo
302
What are the 2 most commons Campylobacter species identified in feces of cats ? (independently of clinial signs)
C. helveticus C.upsaliensis
303
What is the assemblage of Giardia intestinalis which infect more commonly cats?
Assemblage F
304
True or false: Tritrichomonas fetus only exists in trophozoites form
true
305
Which AA is particularly deficient in PLE?
Tryptophan
306
What are the 3 main roles of SCFA in gut health?
- support the growth and activity of the commensal intestinal microbiota, most commonly Bifidobacteria and Lactobacilli species - inhibit the growth of pathogenic bacteria - provide an energy source for colonocytes ## Footnote csq: immune system stimulation, vitamin production, creation of an anti-inflammatory environment, increased tissue sensitivity to insulin, stool bulking, increased colonocyte absorptive capacity and reduction of toxic metabolites
307
What are the 3 disadvantages of fibers?
- promotion of satiety - lack of caloric value - reduction of nutrient digestibility
308
Positive effects of vitamin D on GI health ? (3)
- modulation of immune system - maintenance of GI health: - regulation of tight junction -inhibition of intestinal epithelial cell apoptosis
309
True or false: vitamin D deficiency is a negative prognostic indicator in CE and PLE
true
310
What is the consequence of hypomagnesemia on PTH in face of hypocalcemia ?
blunted response of PTH in face of hypocalcemia
311
Definition of low-fat diet and ultra-low fat diet per g fet/Mcal ME
- low-fat diet: <30 g fat/Mcal ME - ultra-low-fat diet: <15g fat/MCal ME
312
True or false: antigenicity of a protein in diet is related to protein's configuration
true
313
Benefits of butyrate for host health? (14)
- primary energy source for colonocytes - maintain osmotic balance in the colon by facilitating absorption of NaCl - maintain healthy epithelium by regulating proliferation - improve colonic blood flow - reduce reliance on gluconeogenesis - prevent colonization by pathogenic bacteria - lowering luminal pH => inhibit proliferation of Clostridium - enhance mineral absorption - reduce peptide degration => reduce the production of NH3, amines, phenolic compounds - improve glycemic control (all SCFA) - modulation of gene expression (all SCFA) - immunoregulatory effects (all SCFA) - neuronal regeneraiton (all SCFA) - modulation of bile acids profile
314
What are the 2 bacteria which break down primarily fibers in microbiota?
- Bifidobacterium -Lactobacillus
315
Which vitamin deficiency is described with sulphites additive?
Thiamin deficiency
316
What are the 4 categories of additives in animal food ?
- zootechnical - technological - sensory - nutritional
317
Which additive is associated with hematological abnormalities in cat?
propylene glycol
318
How many % greater than ideal weight is considered obesity in cats?
obesity is considered an excess weight of greater than 20–30% of the ideal range
319
Criteria for metabolically unhealthy obese/overweight cats
- high levels of SAA >200 ng/mL - low adiponectin concentration <3 µg/mL - hyperlipidemia TG>165 mg/mL
320
True or false: cats eating predominantly dry food are up likely to 2.4 times more likely to be overweight compared to cats eating mainly wet food
true
321
True or false: obese cats are 2-4 times more likely to develop diabetes
true
322
True or false: for each kg of extra-weight, insulin sensitivity decreased by 30%
true
323
Clinical criteria for obesity in cats (3)
- BCS >/= 7/9 - BMI >/=30% - [TG]> 165 mg/dL
324
What are the 2 main nutrient deficiencies with calorie restriction without an appropriately formulated diet ?
selenium and choline
325
What is the characteristic in bone marrow of hypereosinophilic syndrome?
BM contains increased eosinophilic precursors
326
In immunohistochemistry, what are the markers for T cells (1) and B-cells (3)?
- T cells: CD3 - B cells: PAX-5, CD20, CD79a
327
Why can PARR not be used to identify lineage of the clone?
because in 10% of cases cross-link lineage (T with B cell receptor and vice versa)
328
What are the different locations of LGITL in descending order of occurence?
Jejunum>ileum>duodenum>stomach>ileum
329
True or false: feline thymidine kinase 1 is a potential new biomarker of feline lymphoma
true
330
True or false: in one study, AUS was normal in 54% of cats with LPE, 15% in cats with LGITL and 12% of cats with other intestinal neoplastic dz
true
331
WWhat are the 5 criteria of architecture assessed on intestinal biopsies by WSAVA ?
- epithelial injury - villus blunting - crypt distention - fribrosis - lacteal dilatation ## Footnote other criteria: grade of severity 0 to 3 (severe) ; degree and quality of cellular infiltrates in the mucosa
332
What are the 4 markers of canine lymphoma (according to WHO)?
- CD3 - upregulation of STAT5 - expression of Ki 67 - clonality
333
Different histopathological patterns observed in LGTIL
- massive infiltration of lamina propria and loss of architecture with marked epitheliotropism - more subtle form with specific patterns: gradient within the lamina propria or nests or plaques or both within the intraepithelial compartment
334
What are the cases of histopathologically ambiguous LGITL ?
both inflammatory and neoplastic features: - epitheliotropism in a polymorphic background - inconsistent nest or plaque identification within signe villi - areas of monomorphic lymphocytes within the lamina propria in an polymorphic background
335
What is the more frequent immunophenotype of LGITL ? (3)
CD3+, CD56-, STAT5+
336
Which immunomarker is associated with poorer outcome in cats with LGITL?
Presence of intraepithelial TIA1+ cytotoxic lymphocytes
337
What is the basis of amplification of the receptor antigen rearrangement?
amplification of: - CDR3 region of the T-cell receptor for T-cells - immunoglobulin heavy chain genes for B cells
338
What is the primary cause of congenital megacolon in cats?
one case report of a kitten with congenital large intestine hypoganglionosis
339
True or false: 70% of cases of megacolon are in male cats
true
340
What is the second most prevalent factor for megacolon in cats?
pelvic canal stenosis secondary to pelvic fracture
341
Why are Manx predisposed to megacolon?
The sacral cord defect observed in Manx cats, also referred to as sacrocaudal dysgenesis or spina bifida, is a congenital anomaly characterized by failure in the closure of the neural tube. It is associated with a genetic mutation during fetal development, which leads to malformations of the caudal spinal cord and vertebral arches, resulting in the tailless phenotype. Consequently, these cats may present with neurological deficits, including hind limb weakness (diminished reflexes) or paralysis, as well as urinary and fecal incontinence. Fecal incontinence often leads to progressive colonic dilation secondary to constipation, which may eventually advance to megacolon.
342
Where are located Meissner's plexus and Auerbach's plexus?
- Meissner's plexus: submucosa - Auerbach's plexus (myenteric plexus) in the muscularis externa
343
What are the consequences of colonic aganglionosis or hypoganglionosis?
absence of ganglia in the colonic smooth muscle cell due to disruption in the migration and differentiation of neural crest cells within the enteric nervous system => impairs the relaxation capacity of the affected colonic segment => colonic segment to become overactive and release acetylcholine persistently => continuous contraction of the affected segment => progressive secondary dilation (hypertrophy) of the proximal, unaffected colonic segment and ultimately results in megacolon
344
What are the 4 classes of feline megacolon?
Acute, chronic, congenital, idiopathic/primary, secondary
345
What are the type of fibers which can be beneficial for megacolon and which should be avoided?
- beneficial: moderate soluble and fermentable=> support colonic hydration, SCFA prodution (benefits for colonic motility) and fecal quality. Also possible: mixed profile - Avoid: poorly soluble, nonfermentable fibers => may exacerbate hypomotility by adding bulk without improving moisture
346
What are the benfits of low residue diet for megacolon?
decreased fecal load with low fibers => can be beneficial for colonic hypomotility
347
348
Risk of combination of mirtazapine + tramadol in cats?
serotonin syndrome
349
biomarkers of inflammation in CE (4)
350
biomarkers ELISA for CE (3)
o Anti-OmpC IgA (outer membrane porin C of E.coli) o Anti-canine calprotectin IgA o Anti-gliadin-derived peptide IgA
351
10 contributors to intestinal epithelial barrier
352
Targets of TLR2, TLR5, NOD2
* TLR2 → lipopeptides (Gram-negative bacteria) * TLR5 → flagellin * NOD2 → lipopolysaccharide
353
AE of sulfasalazine (3)
- Keratoconjunctivitis sicca - Acute pancreatits - acute vomiting