What type of epithelial cells are these? Where are they found? What is its function?

Serous acini - simple cuboidal epithelium
Found in the salivary glands - parotid (all serous) and sub-mandibular glands (mixed but produces 75% of saliva secretion)
They secrete serous saliva into ducts which travel to the buccal cavity.
What type of cell is this? Where is it found? What is its function?

Mucous acini - simple cuboidal epithelium
In the salivary glands - sublingual glands (mucous gland) and in the sub-mandibular (mixed gland)
Secrete mucous into ducts which travel to the buccal cavity
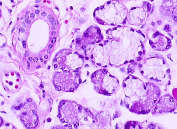
What are the different type of cells that you can see and what do they produce? Where are these acini found?

Both serous and mucous acini.
These are found in the mixed gland of the submandibular salivary gland.
What two different types of cell can you see in the acini? What are their functions? What is the name of the semilunar cap on the terminal part of the acini? Where is the artifact?

You can see mucous cell in the acini and the semiluar cap called the serous demilune. The serous demilune is an artifact of the preparation method for the sample. In reality the serous and mucous cells are aligned. Mixed acini like this are typified by the submandibular gland.