Dark areas on an x-ray are _______ as they permit the penetrations of x-rays.
Dark areas on an x-ray are radiolucent as they permit the penetrations of x-rays.
Lighter areas are _________ and they block the penetration of x-rays.
Lighter areas are radiopaque and they block the penetration of x-rays.
What makes up dark areas on an x-ray?
air
What makes up light areas on an x-ray?
bone
organ tissue
What do each of the following represent in an x-ray?
Black
White
Grey
Darker grey
Intense white
Black: air
White: calcification
Grey: soft tissue
Darker grey: fat
Intense white: metallic objects
You will see the following on an abdominal x-ray in which 2 dz?
Dilated bowel proximal to obstruction with collapsed bowel distally
Air fluid levels
Obstruction & Intussesception
You will see the following abdominal x-ray findings in which dz?
Dilated bowel
Gas in both small & large intestines
Paralytic ileus: non-mechanical bowel obstruction
You will see the following abdominal x-ray findings in which dz?
Free air outside of the bowel
Perforation (ruptured viscus)
Which one is small v. latge bowel obstruction?

top: small bowel w/valvulae conniventes
bottom: large bowel w/haustrations
What type of bowel gas pattern?

Small Bowel Obstruction
What type of bowel gas pattern?

Large Bowel Obstruction
What type of bowel gas pattern?

Normal
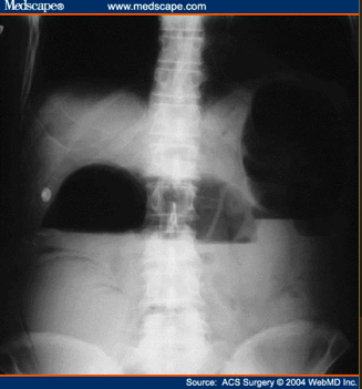
What does this show?

complete small bowel obstruction showing multiple air-fluid levels of varying size arranged in inverted U’s.
What does this show?

distended small bowel loops
bowel wall b/w loops is thickened and edematous (large white arrow)
No air is seen in the colon or rectum
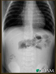
What does this show?

complete colonic obstrucion
obstructing carcinoma in descending left colon = proximal air-fluid levels
absence of air distally in the rectum or sigmoid = complete obstruction
ileocecal valve is competent so there is no small bowel air
What does the following show?

ileus: air throughout: small and large bowel look “the same”
What does the following show?
Label A-D

Post-operative ileus
A: massive gastric distention
B: distended small bowel loops
C: air in colon & mild dilatation of sigmoid colon
D: Haustral fold in apex of sigmoid colon
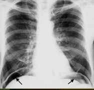
What does this show?

sickle-shaped free air on both sides under the diaphragm
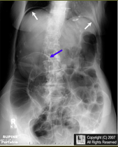
What do you see?

free air of large quantity
supine view
white arrows: crescents of air seen beneath each hemidiaphragm
blue arrows: both sides of the bowel wall are visible
What is this showing?

Intussusception
A loop of bowel has slipped into another section of bowel = swelling, decreased blood flow, obstruction & tissue damage.
Requires emergency treatment (barium enema or surgery).
What are the risks/complications of abdominal x-rays?
contraindicated in pregnancy
Describe fluoroscopy
“x-ray movie”
Continuous x-ray is passed through the body part, & the image is transferred to a monitor
What parts of the GI tract is the esophagram used for?
aka barium swallow
throat & esophagus only
What are the 3 components of the UGI series?
Fluoroscopy
Esophagram
small bowel follow-through