Use of reflected sound waves to visualize the abdominal aorta, liver, gallbladder, pancreas, bile ducts, spleen, kidneys, ureters, bladder
What diagnostic test is this?
US
In an US, what are the dark areas and what are the white areas?
Echogenic (solid / white) masses with “shadowing” behind (mobile)
What finding is this describing on an US?
Gallstones
US Of what structure?

Gallbladder
Patient receives radionuclide injection
Radionuclide extracted by liver & excreted in to bile
Provides visualization of biliary tree
Best info obtained when test is ordered with CCK stimulation and ejection fraction
Which diagnostic tool?
HIDA scan (Hepatoiminodiacetic acid)
Indications for a HIDA scan
Primary indication is to diagnose suspected acalculous cholecystitis
US generally ordered 1st, HIDA scan done if US negative & clinical suspicion for cholecystitis persists
What 3 findings show a positive test for cholecystitis?
No radionuclide seen in GB within 15 – 60 min.
Ejection fraction < 35% (< 50% is indeterminate)
Test reproduces patient’s symptoms
Computerized x-rays that produce cross-sectional images of the body layer by layer
What diagnostic tool?
CT scan aka CAT scan
Used to evaluate abdominal & pelvic organs
Imaged enhanced w/ IV iodine-containing contrast (water soluble)
Contrast usu. indicated
Common exception: Renal stone study
Which diagnostic tool?
CT scan
T/F: In general CT more accurate than MRI for abd diagnoses
TRUE
T/F: When suspected abdominal or bowel disease, CT abdomen & pelvis usu. ordered simultaneously
TRUE
What are the 6 indications for abdominal/pelvic CT?
suspected liver disease
Issues of the:
gallbladder
pancreas
GI tract/bowel
spleen
abdominal aorta
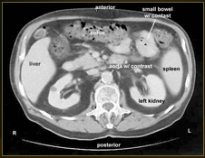
What type of diagnostic test is shown here?

CT abdomen with contrast
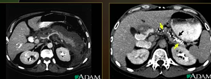
What is this image showing?

Pancreatitis
Left image: upper abdominal CT scan shows inflammation and swelling of the pancreas. Consistent with acute pancreatitis.
Right image: CT scan of the upper abdomen showing multiple white-colored calcifications. These occur in chronic pancreatitis.
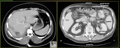
What is this image showing?

CT abdomen-liver laceration
Left image: contrast-enhanced CT of abdomen shows linear low-attenuation defect crossing the posterior aspect of the left lobe of the liver representing a laceration
Right image: Normal contrast-enhanced CT abdomen view for comparison
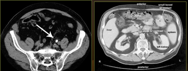
What is this showing?

Right image: CT pelvis without contrast demonstrating renal stone
Left image: normal contrast-enhanced CT abdomen view - for comparison
Contraindications to Abd/Pelvic CT
Pregnancy
Unstable vitals
Morbid obesity (weight of patient on table)
What are the contraindications to IV contrast?
Allergy to iodine or shellfish
In selected cases, may premedicate with steroids
Elevated Cr, renal failure
Precautions for Abd./Pelvic CT
Metformin
Radiation risks
direct visualization of the upper GI tract (esophagus, stomach, and first part of duodenum) via a long, flexible, fiberoptic-lighted scope
Usu. performed with conscious sedation
What diagnostic tool?
EGD
3 channels of endoscope

Indications for EGD
Alarm symptoms: dysphagia, weight loss, early satiety, epigastric pain
Dyspepsia
Chronic GERD
Investigate abnormal UGI
There are others but i thought these were the most imp! :)
EGD versus UGI:
What makes EGD a better option?
EGD = more sensitive & gold standard bc able to biopsy
EGD = can be used therapeutically to:
What is this showing?

EGD: banding esophageal varices